QUALINET
Habitation
Spécial architecture
Dossiers
Plaisirs d'hiver & ski
Cuisine italienne à Québec

Novembre 2023
AUDREY PICHETTE
DIRECTRICE DE COMPTES ET CHEFFE D'ĂQUIPE
Accompagnement comptable
Finance corporative
Ăvaluation dâentreprises
Marketing, études et stratégies
Gestion stratégique des ressources humaines
Acquisition et intégration de talents
Redressement dâentreprise
Réseau Mallette
Immigration
Juricomptabilité
Gestion des risques, processus financiers, systĂšmes dâinformation et contrĂŽle interne
Riche en expertises


En page couvertureâ:
Pichette, directrice de comptes et cheffe d'équipe chez Qualinet.
Ode Ă lâarchitecture
Je suis fascinĂ©e par lâarchitecture. Par sa beautĂ©, son originalitĂ©, parfois sa singularitĂ©. Jâadore le mĂ©lange des genres, de lâantique et de lâultramoderne qui cohabitent en toute harmonie, du moins la plupart du temps. Jâaime lever les yeux vers le ciel et observer la cime des Ă©difices qui me rappellent que notre monde est vaste. Tout comme jâaime grimper tout en haut de ces gratte-ciel pour me souvenir Ă quel point nous sommes tout petits, nous, les humains. Minuscules, mais Ă la fois si grands dans notre maniĂšre de concevoir le monde en trois dimensions et dâoccuper lâespace qui est nĂŽtre.
Chaque fois que je dĂ©barque dans une nouvelle ville, je porte dâabord attention Ă son architecture, comme si je visitais un musĂ©e Ă ciel ouvert. Chacune dâelles possĂšde sa personnalitĂ©, sa signature distinctive. Certaines «âcicatricesâ» nous rappellent ses combats et ses Ă©preuves. Manhattan en est un bel exemple, somme toute rĂ©cent. Jâai eu la chance de visiter cette mĂ©gapole avant la tragĂ©die du 11 septembre 2001 et de monter jusquâĂ lâobservatoire du World Trade Center situĂ© aux 101e et 102e étages. La vue de lĂ -haut Ă©tait Ă©poustouflante et affichait la grandiositĂ© et lâingĂ©niositĂ© de ses bĂątisseurs. Jây suis retournĂ©e aprĂšs la tragĂ©die. Le mĂ©morial et son musĂ©e national qui ont Ă©tĂ© Ă©difiĂ©s Ă lâemplacement des tours jumelles reprĂ©sentent un pur chef-dâĆuvre de lâarchitecte israĂ©lo-amĂ©ricain Michael Arad. Une ode Ă la rĂ©silience dâun peuple qui tente de guĂ©rir une profonde blessure. Lâarchitecture de la ville de Chicago est Ă©galement fascinante et de nombreux visiteurs la cĂ©lĂšbrent pour sa multitude de styles architecturaux qui en font une ville amĂ©ricaine absolument unique.

Ăvidemment, lâAmĂ©rique toute jeune nâa rien Ă voir avec lâEurope dont la longue histoire sâinscrit sur les murs et dans chaque pierre. Paris, Londres, Barcelone, Rome, AthĂšnes⊠LâĂ©blouissement est total pour lâamatrice dâarchitecture que je suis. Jâaurai par ailleurs le bonheur de visiter sous peu lâAndalousie en Espagneâ: le palais dâAlcazar Ă SĂ©ville, la Mezquita Ă Cordoue, lâAlhambra Ă Grenade, le théùtre romain Ă Malaga⊠Il y a tant de beautĂ©s architecturales issues du gĂ©nie humain Ă admirer Ă travers le mondeâ!
Si jâaborde ce sujet, câest que Prestige vous prĂ©sente ce mois-ci un dossier spĂ©cial sur lâarchitecture et met en valeur trois firmes rĂ©putĂ©es de QuĂ©bec. Parce que, oui, la ville de QuĂ©bec est riche de talents et nâa rien Ă envier au reste du monde dans ce domaine. Ce nâest pas sans raison que les touristes, annĂ©e aprĂšs annĂ©e, la placent sur la liste des plus belles villes Ă visiter au Canada et mĂȘme en AmĂ©rique du Nord. Son patrimoine bĂąti aux multiples influences sĂ©duit Ă tout coup. Mais QuĂ©bec est aussi une ville moderne qui regarde en avant. Et pour cela, nous avons Ă©galement de quoi ĂȘtre fiers des architectes qui construisent notre ville de demain.
Bonne lecture et au plaisir de vous prĂ©senter notre derniĂšre Ă©dition de lâannĂ©e 2023 en dĂ©cembre prochainâ!
NOVEMBRE 2023
Vol. 28, no 4, 237e parution
PubliĂ© parâ:
L'Antidote Médias
RĂDACTRICE EN CHEF
Marie-Josée Turcotte
DIRECTION DES VENTES
France Bélanger
RĂDACTION
Ariane Arpin-Delorme
Jean-Pierre Bouchard
Jean Chouzenoux
Nathalie Clark
Réal Demers
Paméla Egan
Jean-Marie Lebel
Gilles Levasseur
Johanne Martin
Marie-Claude Savoie
Annie St-Pierre
CORRECTION ET RĂVISION
Gilles Levasseur
PRODUCTION, GRAPHISME
Atelier 480
PHOTOGRAPHIES
Marc-Ăric Baillargeon, Les Festifs
Marjorie Roy, Optique Photo
IMPRESSION
Solisco
DISTRIBUTION RĂSIDENTIELLE ET COMMERCIALE
Postes Canada
DépÎt légal BibliothÚque nationale du Canada ISSN-1205-6707
DépÎt légal BibliothÚque nationale du Québec
Magazine Prestige 6500, boul. Pierre-Bertrand, bureau 200 Québec (Québec) G2J 1R4
TĂ©lĂ©phoneâ: 418 683-5333 www.magazineprestige.com
RĂ©daction et productionâ: info@magazineprestige.com
PublicitĂ©â: france.belanger@lantidote.com 418 998-1333
Cette Ă©dition est distribuĂ©e Ă 20â000 exemplaires.
Les opinions Ă©mises dans les articles publiĂ©s par le magazine Prestige nâengagent que leur auteur.
Une publication de © Louis Arthur
Marie-Josée Turcotte Rédactrice en chef
Voir le monde comme je suis


Passion QC.
NOMINATION
Le 11 septembre dernier, Julie BĂ©dard sâest jointe Ă lâĂ©quipe de BFL CANADA, lâune des plus importantes sociĂ©tĂ©s de gestion de risques, de courtage dâassurance et de services-conseils en avantages sociaux en AmĂ©rique du Nord.

Celle qui fut la premiĂšre femme de lâhistoire Ă occuper les fonctions de prĂ©sidente et cheffe de la direction de la Chambre de commerce et dâindustrie de QuĂ©bec possĂšde par ailleurs plus de 30 annĂ©es dâexpĂ©rience comme avocate, gestionnaire et femme dâaffaires, notamment dans les domaines de la finance, de lâassurance, de lâimmobilier et du dĂ©veloppement Ă©conomique. M me BĂ©dard, dont le bureau est basĂ© Ă QuĂ©bec, occupe le poste de viceprĂ©sidente, positionnement stratĂ©gique et relations dâaffaires pour lâest du QuĂ©bec.
Bon succĂšsâ!
INAUGURATIONS
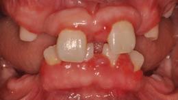
Le 14 septembre dernier a eu lieu lâinauguration officielle de Villa â Espace paro , le plus grand centre spĂ©cialisĂ© en parodontie et implantologie au QuĂ©bec. Ă cette occasion, les D rs Anne-Sophie Villeneuve et Simon LafreniĂšre ont accueilli de maniĂšre festive prĂšs de 400 professionnels au sein de leurs nouveaux espaces modernes et chaleureux. Ils en ont Ă©galement profitĂ© pour dĂ©voiler Le Campus, un espace de formation continue unique ainsi quâun lounge amĂ©nagĂ©s Ă mĂȘme le nouveau bĂątiment. La clinique pourra dĂ©sormais rĂ©pondre aux besoins de plus de 3 500 patients annuellement.
Les parodontistes propriétaires, Dr Simon LafreniÚre et Dre Anne-Sophie Villeneuve

Le 10 octobre, câĂ©tait au tour de GraphSynergie , LIVYA by Realvuu et Synergie immobiliĂšre dâaccueillir plus de 80 invitĂ©s, employĂ©s et clients partenaires Ă lâoccasion de lâinauguration de leur tout nouveau local situĂ© au 125, boul. Charest Est. Câest au sein de ce nouvel espace dynamique que naitront les prochains produits innovants dans le domaine immobilier.


Pierre-Yves Charest, PDG dâOĂKOS Construction, reçoit son trophĂ©e de la part de Sabrina Fortier de DuProprio, partenaire de lâĂ©vĂ©nement.
SOULIGNONS LâEXCELLENCE EN HABITATION
Le 14 septembre dernier a eu lieu la 36e édition des Prix Nobilis de lâAPCHQ - rĂ©gion de QuĂ©bec au Théùtre Capitole de QuĂ©bec. Ă cette occasion, 18 projets ont Ă©tĂ© rĂ©compensĂ©s pour leur excellence en habitation.
Parmi les laurĂ©ats, OĂKOS Construction a rĂ©coltĂ© trois Prix Nobilis dans ces catĂ©goriesâ: BĂątiment multifamilial â Moins de 12 unitĂ©s, Habitation neuve unifamiliale â De 450 000â$ Ă 600 000â$, et Habitation neuve unifamiliale â De 800 000â$ Ă 1 000 000â$.
LâAtelier Avant-Garde a pour sa part obtenu le trophĂ©e dans la catĂ©gorie RĂ©novation et/ou agrandissement rĂ©sidentiel â 200 000â$ et moins.
Enfin, Construction Maurice Bilodeau a remportĂ© le Prix Nobilis dans la catĂ©gorie Habitation neuve unifamiliale â De 350 000â$ Ă 450 000â$. FĂ©licitations Ă tous les laurĂ©atsâ!

Judy-Ann Ross, PDG de LâAtelier Avant-Garde, reçoit son trophĂ©e de la part de Pierre-Luc Verret de Canac.

JĂ©rĂŽme CĂŽtĂ©, prĂ©sident de Construction Maurice Bilodeau, reçoit son trophĂ©e de la part de Sabrina Fortier de DuProprio, partenaire de lâĂ©vĂ©nement.
Pour consultez la liste complĂšte et admirer les projetsâ: prixnobilis.com
UN PREMIER VOL EN PROVENANCE DE LA CORĂE ATTERRIT Ă QUĂBEC
GrĂące Ă un nouveau partenariat avec le voyagiste corĂ©en Hanjin Travel, un Boeing de la compagnie aĂ©rienne Korean Air a atterri pour la premiĂšre fois Ă lâAĂ©roport international Jean-Lesage de QuĂ©bec le 27 septembre dernier. Ă cette occasion, les passagers en provenance de SĂ©oul ont eu droit Ă tout un comitĂ© dâaccueil. Au total, quatre vols directs se sont posĂ©s Ă QuĂ©bec cet automne. Selon des donnĂ©es recueillies sur les dĂ©penses touristiques moyennes des CorĂ©ens, on Ă©value Ă plus dâun million de dollars les retombĂ©es Ă©conomiques pour la rĂ©gion.


Construit Ă flanc de montagne dans la rĂ©gion du Tyrol du Sud, lâhĂŽtel Hubertus dispose de 64 chambres offrant une superbe vue sur la vallĂ©e et sur les Dolomites.
Un spa entre ciel et terre au cĆur des Alpes italiennes

Lâimmense piscine Ă dĂ©bordement suspendue, dâune longueur de 25 mĂštres et chauffĂ©e toute l'annĂ©e Ă plus de 30°C, semble dĂ©fier les lois de la gravitĂ©.
L'A L pin pA nor A m A Hote L Hubertus, situĂ© d A ns L es A L pes du s ud- t yro L en i tAL ie, A rĂ©cemment dĂ©voiLĂ© un spA extrAordinAire qui sembLe fLotter Au-dessus des sommets AL pins. c e concept A rc H itectur AL spectAcu LA ire se nomme «âHub of Hutsâ» ou «âLe viLLAge Ă Lâenversâ».
NichĂ© au cĆur des Dolomites, cet hĂŽtel Ă©tait dĂ©jĂ rĂ©putĂ© pour son offre bien-ĂȘtre exceptionnelle, avec un environnement de 5 000 mÂČ comprenant 7 saunas, plusieurs piscines extĂ©rieures, des hammams et un bain turc. Cependant, le nouveau spa, perchĂ© Ă 15 mĂštres du sol sur des pilotis et composĂ© de plusieurs maisonnettes, Ă©lĂšve le bien-ĂȘtre Ă un niveau supĂ©rieur.



DĂFIER LA GRAVITĂ
Le projet, qui a vu le jour sous le trait de crayon gĂ©nial de l'agence Network of Architecture, s'inspire d'un village de montagne traditionnel se reflĂ©tant dans un lac. Dans ses quatre espaces Ă l'endroit, on retrouve deux piscines, un vestiaire et des douches panoramiques, tandis que dans les maisonnettes Ă l'envers, les visiteurs peuvent se dĂ©tendre dans deux saunas, nager au-dessus du vide dans une troisiĂšme piscine, et se reposer dans un salon offrant une vue imprenable sur les montagnes. Le circuit bien-ĂȘtre offre une expĂ©rience sensorielle ludique, passant du chaud au froid, d'une atmosphĂšre humide Ă sĂšche, et ce, du haut vers le bas.
L'hÎtel Hubertus est déjà connu pour ses projets architecturaux audacieux, notamment pour sa piscine au fond de verre en porte-à -faux inaugurée en 2016, conçue comme un rocher trÎnant entre ciel et terre. Le spa suspendu est le deuxiÚme projet de l'agence Noa pour l'hÎtel, ajoutant une touche futuriste et onirique à cet établissement de luxe.
Le spa est perchĂ© Ă 15 mĂštres au-dessus du sol, soutenu par deux piliers revĂȘtus de troncs de mĂ©lĂšze, et se niche dans les courbes dâun paysage de carte postale. Il peut accueillir jusqu'Ă 27 personnes et comprend deux niveaux. Le niveau supĂ©rieur abrite deux piscines d'hydrothĂ©rapie, des douches panoramiques et un vestiaire, tandis que le niveau infĂ©rieur offre un sauna classique, un sauna finlandais, une cabine de douche, une douche de brume glacĂ©e et une troisiĂšme piscine extĂ©rieure offrant une vue panoramique Ă 360 degrĂ©s sur le paysage environnant.
EN SYMBIOSE AVEC LA NATURE
Les matĂ©riaux et les couleurs utilisĂ©s se fondent harmonieusement dans le paysage montagnard, avec des panneaux d'aluminium dans des tonalitĂ©s de brun naturel, de la cĂ©ramique beige clair et un parquet de chĂȘne blanc huilĂ©, crĂ©ant une atmosphĂšre apaisante tout en mettant en valeur les vues spectaculaires encadrĂ©es par les fenĂȘtres panoramiques.
Le spa «âHub of Hutsâ » de l'Alpin Panorama Hotel Hubertus est une rĂ©alisation architecturale exceptionnelle qui offre une expĂ©rience de bien-ĂȘtre unique, suspendue au-dessus des sommets alpins, offrant aux visiteurs un mĂ©lange parfait de luxe, de nature et d'innovation. Dans ce lieu dâexception, les jours coulent paisiblement en mode Dolce Vitaâ!

Affaires / Profil
LA RELĂVE FAMILIALE CHEZ QUALINET
Telle fille⊠tel pĂšreâ!

contrAirement Ă ce que beAucoup pourrAient croire, iL est gĂ©nĂ©rALement pLus Ardu de grAvir Les Ă©cHeLons dâune entreprise fA mi L i AL e L orsquâun L ien fi L i AL cArActĂ©rise LA reLĂšve. câest ce que vit LâAĂźnĂ©e des six enfAnts du pdg Ă©ric picHette, Audrey, qui, Ă 23 Ans, est directrice de comptes et cHeffe dâĂ©quipe. «âmon pĂšre est miLLe fois pLus exigeAnt envers moi quâiL Lâest pour quiconque cHez quALinet, Assure-t-eLLe, de sorte que je dois gAgner cHAque jour pAr mes efforts LA pLAce que jâoccupe prĂ©sentement.â» teL est dâ A i LL eurs L e m A ntr A pAterne L â: tr AvA i L Ă©g AL rĂ©su LtAt. p oussĂ©e pA r LA mĂȘme A mbition que son pĂšre et mentor, Audrey est donc LA premiĂšre des trois Autres fiLLes et deux gArçons de LA fAmiLLe Ă suivre â et Avec AutAnt de pAssion â Les trAces du fondAteur. Au sein dâune entreprise consAcrĂ©e Aux urgences, Le dĂ©fi nâA rien de commun.
Le monde du nettoyage aprĂšs sinistre nâest vraiment pas une partie de plaisir. Cette spĂ©cialitĂ© requiert une connaissance pointue des rĂšgles de lâart, une grande minutie, du contrĂŽle de soi, de la prĂ©sence dâesprit, une capacitĂ© Ă gĂ©rer la pression et de lourdes charges de travail, une totale disponibilitĂ©, de la discrĂ©tion ainsi que du respect et de lâempathie envers les personnes touchĂ©es par un sinistre. En effet, celles-ci se trouvent bien souvent dĂ©jĂ au comble de lâĂ©motivitĂ© et du stress sans compter leur intimitĂ© mise Ă nu.
Ă lâinstar de son pĂšre, Audrey Pichette a dĂ©jĂ dĂ©montrĂ© quâelle est de cette trempe. En effet, Qualinet baigne dans les urgences 24âheures par jour et 365 jours par annĂ©e, comme les hĂŽpitaux ou les services policiers et ambulanciers. Quand elle est de garde, pas question de faire la fĂȘte avec des amis, elle doit conserver la forme, la discipline personnelle est de rigueur, car lâimprĂ©vu nâest jamais loin. La jeune femme sait pertinemment que les sinistrĂ©s comptent sur ceux qui sont appelĂ©s Ă leur rescousse et elle honore au maximum cette confiance. «âAudrey a fait preuve dĂšs son jeune Ăąge dâun sens aigu des responsabilitĂ©sâ», confirme son pĂšre, qui lui a Ă©galement confiĂ© un rĂŽle de formatrice au sein du rĂ©seau provincial ainsi que la prise en charge du suivi auprĂšs des clients nĂ©cessitant une attention particuliĂšre. «âJe trouve trĂšs valorisant de pouvoir ainsi, partout au QuĂ©bec, transmettre mes connaissances aux autres â câest ce qui me satisfait le plus dans mon travail â et de me voir attribuer la gestion des cas les plus difficilesâ», dit-elle.
Ă cet Ă©gard, le quotidien des employĂ©s sur le terrain va parfois bien au-delĂ du cĂ©lĂšbre dĂ©gĂąt dâeau de la pub auquel on pense spontanĂ©ment, Ă preuve ces drames qui font partie de la vie. Faire disparaĂźtre toute trace dâun suicide
violent ou dâun dĂ©cĂšs passĂ© inaperçu pendant des semaines demande autant de sang-froid que de maĂźtrise Ă©motionnelle et de dignitĂ© en plus dâune mĂ©thode de travail ne laissant nulle place Ă lâerreur. Bref, quâune jeune femme de 23 ans Ă©volue Ă son aise dans cet univers professionnel secouant allĂšgrement les zones de confort a de quoi Ă©tonner. Ă tel point que pour se changer les idĂ©es, elle raffole du cinĂ©ma, et â le croiriez-vousâ? â plus particuliĂšrement des films dâhorreur⊠Ăa ne sâinvente pas, mĂȘme si dans la vraie vie, elle est de tempĂ©rament jovial. «âHeureuse et confiante, câest une jeune femme positive de façon gĂ©nĂ©rale, je nâai jamais vu Audrey de mauvaise humeurâ», assure Roger Vigneault, le directeur des opĂ©rations de Qualinet et lâun des piliers de longue date de lâentreprise. Cet enthousiasme est aussi trĂšs apprĂ©ciĂ© des assureurs avec lesquels elle entretient dâimportants Ă©changes au quotidien.
LâĂCOLE DE LA VIE
Lorsquâelle a commencĂ© Ă sâapprivoiser Ă Qualinet pendant ses Ă©tudes secondaires, lâadolescente a rapidement ressenti la piqĂ»re pour ce domaine atypique. Tellement que son intĂ©rĂȘt pour lâĂ©cole sâest dĂ©placĂ© vers le marchĂ© du travail aprĂšs lâobtention de son premier diplĂŽme. Aucun doute, son chemin Ă©tait tout tracĂ©, car elle aspire aux plus hautes fonctions au sein de lâorganisation. La relĂšve de seconde gĂ©nĂ©ration porte donc son nom, pour lâinstant du moins, car il appert que Justin, 14 ans, lorgne aussi du cĂŽtĂ© de lâentreprise mĂȘme si la formation scolaire demeure prioritaire dans les prochaines annĂ©es. Au dire dâĂric Pichette, la relĂšve familiale sera bien sĂ»r encouragĂ©e, mais les jeunes auront le libre arbitre dây adhĂ©rer ou non, et si oui, une fois leurs Ă©tudes complĂ©tĂ©es.
Comme sa fille carbure plus que tout Ă lâadrĂ©naline du terrain, le PDG lâa dâabord fait travailler Ă tous les postes, sauf Ă lâadministration, pour quâelle se forge un portrait global des diffĂ©rentes facettes de la compagnie. Elle a acquis Ă titre de technicienne des compĂ©tences en dĂ©sinfection et en dĂ©contamination, elle a Ă©tudiĂ© les diffĂ©rentes technologies permettant notamment de restaurer des documents et dâaccroĂźtre lâefficacitĂ© des interventions. Rien nâest simple dans lâart de tout remettre en ordre Ă la suite dâun dĂ©gĂąt dâeau. «âIl est frĂ©quent que des sinistrĂ©s nous demandent pourquoi nous nâaccĂ©lĂ©rons pas au maximum le processus dâassĂšchement, mentionne Audrey. Alors que dans les faits, la procĂ©dure obĂ©it Ă des critĂšres trĂšs prĂ©cis. En effet, si on sĂšche trop rapidement, les matĂ©riaux comme le bois vont se dĂ©former de façon dĂ©finitive, tandis que si le processus est trop lent, les moisissures risquent dâapparaĂźtre. Comme dans une recette, tout est question de dosage. Et ce nâest quâun exemple parmi tant dâautres.â»
DĂPARTAGER FAMILLE ET TRAVAIL
RĂ©aliser un processus de relĂšve Ă long terme comporte des enjeux particuliers lorsque le patron est aussi le pĂšre. «âJe dois donc gĂ©rer Ă la fois lâĂ©motion et la raison, car une relation parent-enfant transporte toujours une charge Ă©motive, lâenvie de bien faire, le rĂ©flexe de ne jamais dĂ©cevoir. Et comme Ă certains moments câest le patron qui parle, et Ă dâautres le pĂšre, je dois avoir la sagesse de sĂ©parer lâĂ©motion pour appuyer sur le bouton de la raison, dĂ©partager lâune de lâautre. Pour faciliter les choses, nous avons Ă©tabli un codeâ: câest le patron qui parle quand je porte mon uniforme.â» Quant Ă cette rigueur supplĂ©mentaire que son pĂšre lui impose, elle ne peut Ă tĂȘte reposĂ©e que constater quâil lui rend service Ă plus long terme mĂȘme si le sirop est parfois amer. «âCâest vrai, admet Ăric, mais comme je connais ses ambitions, jâinsiste toujours pour quâelle vise lâexcellence, dâautant plus quâen tant que cheffe dâĂ©quipe, elle doit donner lâexemple. Chose certaine, nous devons ĂȘtre Ă la hauteur des exigences que requiert notre secteur dâactivitĂ©, sinon la survie mĂȘme de lâentreprise serait en jeu.â» En rĂ©alitĂ©, Audrey voit son pĂšre comme un mentor parce quâil est lui-mĂȘme le reflet de ce quâelle poursuit comme objectifs et quâil passe de la parole aux actes. «âLâexemple vient dâen haut, et ça force lâadmiration.â» Cela dit, ses aspirations professionnelles, bien que prioritaires pour le moment, ne lui font pas perdre de vue son dĂ©sir de fonder un jour une famille.

«âje rĂȘvAis depuis Longtemps dâune motomArine. Aux gens qui ont pensĂ© que mon pĂšre me LâAvAit offerte, je rĂ©ponds que jâAi Ă©conomisĂ© pendAnt pLus de deux Ans pour me LA procurer.â»
â Audrey Pichette, fille dâĂric Pichette, fondateur et PDG de Qualinet.

à gauche, Justin, l'aßné des garçons,
APPRENDRE LâAUTONOMIE
Les rumeurs vont souvent bon train lorsquâon est la fille deâŠ, mais la rĂ©alitĂ© est tout autre ici. Ăric Pichette a dĂ©cidĂ© quâil ne ferait pas de cadeau financier important Ă ses enfants afin de leur apprendre que lorsquâon dĂ©sire quelque chose, on nâest jamais si bien servi que par soi-mĂȘme. «âJe rĂȘvais depuis longtemps dâune motomarine, raconte-t-elle, cette activitĂ© me permet de dĂ©crocher complĂštement lorsque je suis en congĂ©. Aux gens qui ont pensĂ© que mon pĂšre me lâavait offerte, je rĂ©ponds que jâai Ă©conomisĂ© pendant plus de deux ans pour me la procurer. MĂȘme chose pour la maison achetĂ©e rĂ©cemment, qui, par ailleurs, est voisine de la rĂ©sidence familiale.â»
UNE FAMILLE TRICOTĂE SERRĂE
Les valeurs familiales figurent en tĂȘte de liste chez les Pichette, toute occasion Ă©tant propice Ă se retrouver tous ensemble. LĂ encore, plusieurs pourraient croire Ă une vie luxueuse, mais entre autres exemples, durant la belle saison, le plus grand plaisir du clan est le camping (Ă neufâ!) dans une grande roulotte, sur un terrain Ă proximitĂ© de QuĂ©bec, urgence Qualinet obligeâ! MĂȘme leur propriĂ©tĂ© secondaire sise sur les berges dâun lac se voit relĂ©guĂ©e Ă lâarriĂšre-plan.
«âLors de nos rĂ©unions en famille, il faut souvent se rappeler Ă lâordre pour Ă©viter dâaborder les affaires du bureau mĂȘme si ça nous dĂ©mange souventâ», avoue le patron dans un clin dâĆil. Leur capacitĂ© Ă se serrer les coudes dans les moments difficiles sâest particuliĂšrement illustrĂ©e lors du dĂ©cĂšs de Richard Pichette Ă lâĂ©tĂ© 2020, alors quâil Ćuvrait toujours dans lâentreprise de son fils. Câest lui qui avait initiĂ© Ăric Ă cette industrie alors quâil Ă©voluait dans le domaine, ce qui a fini par motiver son fils Ă donner naissance Ă lâentreprise que lâon connaĂźt et qui, foi de fondateur, «âconservera toujours son siĂšge social Ă QuĂ©bec tant que je serai vivantâ!â»

Les valeurs familiales figurent en tĂȘte de liste chez les Pichette, toute occasion Ă©tant propice Ă se retrouver tous ensemble. Cette photo rĂ©cente prise Ă NoĂ«l en 2022 est lâimage ultime dâune famille tricotĂ©e serrĂ©e.
SiĂšge social de Qualinetâ:
434, rue des Montérégiennes, Québec
418Â 666-6666 | qualinet.ca
Développement des affaires / Johanne Martin
LES SERVICES CLĂS EN MAIN DE MALLETTE
Achat et vente dâentrepriseâ: bien accompagnĂ©, bien prĂ©parĂ©â!
pour pLusieurs, LâAcHAt ou LA vente dâune entreprise reprĂ©sente un processus Ă LA fois exige A nt et stress A nt. e n p Lus de ne pA s sâinscrire d A ns L es tĂącHes quotidiennes dâun entrepreneur, LA dĂ©mArcHe vient souvent sâAjouter Ă un AgendA bien cHArgĂ©.
cH ez mALL ette, une Ă©quipe de spĂ©ci AL istes peut AccompAgner tAnt Le vendeur que LâAcHeteur.
Du dĂ©but Ă la fin dâune opĂ©ration dâachat ou de vente, Mallette est en mesure de proposer une prĂ©sence rassurante. «âNous possĂ©dons une vaste expĂ©rience en la matiĂšre. Nous effectuons plusieurs transactions et avons une vision du processus Ă 360 degrĂ©s. Sâil survient un
problĂšme, nous pouvons trouver des solutions basĂ©es sur des cas vĂ©cusâ», exprime dĂšs le dĂ©but de lâentretien PascalOlivier GagnĂ©, directeur principal en services-conseils, spĂ©cialisĂ© en achat et en vente dâentreprises.
La vente dâune PME est susceptible de constituer un passage hautement Ă©motif dans la vie dâun entrepreneur. En servant dâintermĂ©diaire entre le vendeur et lâacheteur, Mallette permet de gĂ©rer certaines attentes et de mieux anticiper les Ă©tapes Ă venir. Par exemple, la compagnie sera Ă©valuĂ©e avant mĂȘme la phase de nĂ©gociation, Ă©vitant ainsi une part de dĂ©ception chez le vendeur sâil avait Ă lâesprit une valeur supĂ©rieure au montant qui lui sera finalement offert.

«â c ert A ins c L ients nous rencontrent deux A ns A v A nt de penser Ă effectuer une trAnsAction pour nous demAnder combien v A ut L eur entreprise. c ette dĂ©m A rc H e permet de L eur f A ire des suggestions pour sâ A mĂ© L iorer et en Augmenter LA vALeur. en fAit, pLus un cLient se prĂ©sente tĂŽt, pLus iL est fAciLe de Le prĂ©pArer.â»
â Pascal-Olivier GagnĂ© , directeur principal en services-conseils, spĂ©cialisĂ© en achat et en vente dâentreprises.
«âsouvent, iL nây A pAs Assez de pLAnificAtion AvAnt LA vente dâune entreprise. cette prĂ©pArAtion est cruciALe, ne serAit-ce que pour veiLLer Ă ce que Le propriĂ©tAire puisse profiter de sA dĂ©duction pour g Ain en c A pitAL et que L e bi LA n Ait Ă©tĂ© nettoyĂ© de composAntes excĂ©dentAires. un portrAit rĂ©eL AiderA Ă optimiser Le prix de vente.â»
â Patrick Veilleux, associĂ© en services-conseils, spĂ©cialisĂ© en finance corporative.
Puisquâil y a gĂ©nĂ©ralement des experts des deux cĂŽtĂ©s de la dĂ©marche, il devient Ă©galement possible de parler le mĂȘme langage, dâĂȘtre sur la mĂȘme longueur dâonde afin de sâassurer que les pourparlers vont bon train, de se rapprocher de lâobjectif en vue de conclure une transaction qui soit «âgagnant-gagnantâ». En faisant appel Ă un spĂ©cialiste qui agit comme Ă©cran, si un lien dâaffaires existe entre le vendeur et lâacheteur, il sera aussi plus aisĂ© de prĂ©server la relation.
UNE ĂQUIPE MULTIDISCIPLINAIRE Ă VOTRE SERVICE
«âUn autre Ă©lĂ©ment important que nous constatons, câest que, souvent, il nây a pas assez de planification avant la vente dâune entreprise. Cette prĂ©paration est cruciale, ne serait-ce que pour veiller Ă ce que le propriĂ©taire puisse profiter de sa dĂ©duction pour gain en capital et que le bilan ait Ă©tĂ© nettoyĂ© de composantes excĂ©dentaires. Un portrait rĂ©el aidera Ă optimiser le prix de venteâ», rapporte Patrick Veilleux, associĂ© en services-conseils, spĂ©cialisĂ© en finance corporative.
Mallette rassemble par ailleurs lâune des plus grosses Ă©quipes en finance corporative Ă lâest de la mĂ©tropole. Lâorganisation sâappuie donc sur un trĂšs large rĂ©seau, qui, dans un contexte de vente, peut ĂȘtre mis Ă contribution dans la recherche dâacquĂ©reurs stratĂ©giques. «âQuand on est capable de proposer de nouvelles idĂ©es ou dâavoir plusieurs acheteurs potentiels, ça a pour effet de maximiser le prix de vente dâune entrepriseâ», note M. Veilleux.
Ă nâimporte quelle Ă©tape du processus dâachat ou de vente, les services de Mallette peuvent gĂ©nĂ©rer de la valeur ajoutĂ©e. «âCertains clients nous rencontrent mĂȘme deux ans avant de penser Ă effectuer une transaction pour nous demander combien vaut leur entreprise. Cette dĂ©marche permet de leur faire des suggestions pour sâamĂ©liorer et en augmenter la valeur. En fait, plus un client se prĂ©sente tĂŽt, plus il est facile de le prĂ©parerâ», commente M. GagnĂ©.

GĂNĂRER DE LA VALEUR AJOUTĂE
Si Mallette est en mesure de fournir un accompagnement complet dans la sphĂšre financiĂšre, des experts en fiscalitĂ© et en droit sont Ă©galement disponibles pour rĂ©pondre Ă des besoins spĂ©cifiques dans ces secteurs complĂ©mentaires. «âNous pouvons tout gĂ©rer sous un mĂȘme toit, confirme lâassociĂ© en services-conseils. Quant aux domaines qui ne sont pas couverts, des rĂ©fĂ©rences vers des ressources externes compĂ©tentes demeurent toujours envisageables.â»
En ce qui a trait au volet acquisition, lâentreprise rĂ©alise en outre de nombreux mandats de vĂ©rification diligente. «âParfois, lâacheteur et le vendeur sâentendent sur le prix, et notre rĂŽle consiste Ă pousser lâanalyse plus loinâ», Ă©met le directeur principal. «âLes chiffres que nous avons sontils rĂ©currentsâ? Y a-t-il un seul gros client qui met en pĂ©ril lâentreprise si elle le perdâ? Souvent, si la transaction est financĂ©e, le banquier va exiger la vĂ©rification diligente.â»
Les intervenants rappellent quâil est primordial de bien choisir son conseiller, puisque le client devra entretenir une relation trĂšs Ă©troite avec ce dernier. Les deux seront engagĂ©s dans un processus qui durera, en moyenne, plus de six mois et qui comportera aussi une dimension humaine. «âQue ce soit de la part de lâacheteur ou du vendeur, il y aura un million de questions tout au long de la dĂ©marche, et nous sommes lĂ pour y rĂ©pondreâ!â», concluent-ils.
Pour en savoir davantageâ: 3075, chemin des Quatre-Bourgeois, bureau 200, QuĂ©bec | 418 653-4431 | mallette.ca
RelĂšve d'entreprise
DG3A Architecture
BĂTIR
LâĂMOTIONâ: 40 ANS DE SCIENCE ET DâART AU SERVICE DE LâHUMAIN

Les associĂ©s de DG3Aâ: Ă lâavant-planâ: Danielle Godbout
Au centre, assisâ: Clarick Lachance, Audrey Vaillancourt et MĂ©lanie St-Gelais
Deboutâ: Steve Fortier-Evers et Antoine Lefebvre
si on dit que LA vie commence Ă 40 Ans, LA firme dg3A ArcHitecture entreprend sA cinquiĂšme dĂ©cennie en consoLidAnt Le processus de reLĂšve dĂ©jĂ AmorcĂ© pAr LA fondAtrice, dAnieLLe godbout, vers sA fiLLe Audrey vAiLLAncourt, prĂ©sente Ă ses cĂŽtĂ©s depuis 2009 en effet, quAtre Autres membres de LâĂ©quipe Agissent dĂ©sormAis en tAnt quâAssociĂ©s Afin que Lâentreprise poursuive son Ă©voLution conformĂ©ment Ă sA mission premiĂšre, symboLisĂ©e pAr Le triAngLe «âscience, Art et HumAinâ». en ArcHitecture, LA forme triAnguLĂ©e nâest-eLLe pAs indĂ©formAbLeâ? LA reLĂšve sâAnnonce tout Aussi soLide.
Toute crĂ©ation architecturale ne serait quâune coquille sans Ăąme si elle nâallait pas au cĆur de lâhumain Ă qui elle se destine en plus de se fondre harmonieusement dans lâenvironnement quâelle habite. Desservir Ă la fois lâindividu et sa communautĂ©, voilĂ le double engagement de DG3A Architecture, que reflĂštent ses projets autant publics que rĂ©sidentiels, une cohabitation qui ne court pas les rues dans le merveilleux monde de lâarchitecture. PrivilĂ©gier lâhumain signifie forcĂ©ment lâinclure dans toutes les Ă©tapes de conception et de rĂ©alisation, et conjuguer le processus Ă une Ă©coute sans failles. Les deux autres cĂŽtĂ©s du triangle reprĂ©sentent respectivement lâart â gĂ©nie crĂ©atif et signature architecturale â ainsi que la science, soit la qualitĂ© de construction et sa capacitĂ© Ă vaincre lâĂ©preuve du temps. Le dĂ©fiâ? Rechercher lâĂ©quilibre entre ces trois Ă©lĂ©ments dans chacune des rĂ©alisations. Tel est le fruit dâun rĂ©cent et fructueux exercice de remue-mĂ©ninges visant Ă redĂ©finir la vision de la firme.
UN NOYAU SOLIDE POUR UNE RELĂVE FORTE
Assises dans la grande salle lumineuse du 6e étage des condos locatifs Le Cliff, Danielle et Audrey ne dissimulent pas leur passion pour leur domaine de prédilection. La mÚre / Gilles Levasseur


est dâailleurs considĂ©rĂ©e comme lâune des pionniĂšres de lâarchitecture au fĂ©minin au QuĂ©bec. Elles se disent trĂšs fiĂšres de l'Ă©quipe compĂ©tente, loyale et soudĂ©e qu'elles ont constituĂ©e au fil des ans, dont la crĂ©ativitĂ© a rendu possible la conception de nombreux projets rĂ©alisĂ©s dans les secteurs commercial, institutionnel et rĂ©sidentiel partout en province. AprĂšs quinze annĂ©es dâun prolifique tandem mĂšre-fille Ă la direction, Danielle Godbout a choisi de ralentir progressivement le rythme tout en demeurant consciente de lâimportance de la transmission du savoir aux personnes qui en portent Ă leur tour le flambeau. Lâinclusion de nouveaux associĂ©s est alors apparue comme la meilleure avenue, dâautant plus quâil sâagissait dâemployĂ©s cumulant une belle feuille de route au sein de la firme. «âSi jâĂ©tais Ă©ventuellement restĂ©e seule Ă la barre, je nâaurais pas pu continuer Ă faire croĂźtre et rayonner l'entreprise dans les prochaines annĂ©es, mentionne Audrey. Je devais mâentourer d'un noyau solide. Câest maintenant chose faite.â»
MRC de La Nouvelle-Beauce
Un duo mĂšre-fille dynamiqueâ: Audrey Vaillancourt et Danielle Godbout

DES CHOIX RĂFLĂCHIS
Les nouveaux associĂ©s nâont pas Ă©tĂ© sĂ©lectionnĂ©s Ă la lĂ©gĂšre. Audrey et Danielle ont veillĂ© Ă ce que les personnes pressenties se lancent pour les bonnes raisons. «âNotre volontĂ© premiĂšre Ă©tait que ces partenaires partagent nos valeurs et notre visionâ», soulignent-elles. En 2023, Steve Fortier-Evers, Clarick Lachance, MĂ©lanie St-Gelais et Antoine Lefebvre ont donc acceptĂ© dâajouter leurs mains au gouvernail.
EntrĂ© en poste il y a cinq ans Ă titre dâarchitecte-concepteur et chargĂ© de projet, Steve Fortier-Evers joue grĂące Ă sa crĂ©ativitĂ© un rĂŽle clĂ© dans la rĂ©alisation de projets rĂ©sidentiels et publics. «âSon apport est important, autant pour la qualitĂ© des conceptions que pour notre signature architecturale distinctive, explique Audrey, sa contribution est dĂ©terminante dans la mise en valeur et le rayonnement de DG3A.â»
PrĂ©sent depuis plus de 15 ans, Clarick Lachance occupe le poste de technologue senior et chef d'atelier. Il assure ainsi la qualitĂ© des plans et la supervision de plusieurs chantiers, partageant Ă©galement sa grande expertise avec l'Ă©quipe technique par son talent pĂ©dagogique. Sa grande minutie et ses connaissances techniques lui permettent de chapeauter la conception des dĂ©tails dâenveloppe
dans lâatelier. Sa spĂ©cialitĂ©â: les projets complexes dans des bĂątiments existants. «âClarick est un membre clĂ© de lâĂ©quipe pour assurer la qualitĂ© de construction des projetsâ» , confie Audrey.
BacheliĂšre en architecture et certifiĂ©e LEED, MĂ©lanie StGelais a rejoint DG3A Ă la mĂȘme Ă©poque que Clarick. Elle est technologue senior et chargĂ©e de projet, spĂ©cialisĂ©e dans les amĂ©nagements intĂ©rieurs dans le cadre de mandats de rĂ©novations d'institutions et dâimmeubles du secteur bancaire. «âMĂ©lanie excelle Ă©galement dans la rĂ©daction des devis techniques et lâestimation des coĂ»ts de construction, des volets essentiels Ă la rĂ©ussite dâun projetâ», mentionne Danielle, qui insiste pour dire Ă quel point MĂ©lanie a su Ă©voluer et grandir dans lâentreprise.
Finalement, Antoine Lefebvre, technologue senior et chargĂ© de projet, a commencĂ© son parcours chez DG3A aussitĂŽt son diplĂŽme en poche. Il s'est notamment dĂ©marquĂ© par son indĂ©niable contribution sur le plan de la satisfaction de la clientĂšle en raison de la grande qualitĂ© de son suivi et de son implication. Selon Danielle et Audrey, il a Ă cĆur le succĂšs de lâentreprise et la collaboration au sein de lâĂ©quipe. «âChaque membre joue un rĂŽle essentiel dans nos rĂ©alisations, insiste Danielle. Ils sont tous trĂšs prĂ©cieux.â»
DES MAISONS HYPER PERSONNALISĂES
Si DG3A agit sur tous les tableaux en matiĂšre dâarchitecture, le crĂ©neau des maisons unifamiliales illustre le mieux lâapproche humaine Ă laquelle lâĂ©quipe attache autant dâimportance. Si la mĂšre sâoccupe davantage de lâinstitutionnel et du commercial, Audrey affectionne particuliĂšrement les mandats rĂ©sidentiels. «âNous accompagnons vraiment nos clients du tout dĂ©but jusquâĂ la livraison, en les invitant Ă oser sâabandonner au processus intĂ©grĂ© de crĂ©ation dâun chez-soi qui reflĂ©tera lâessence mĂȘme des gens qui lâhabiteront, confie Audrey. Les croquis Ă la main font encore partie de notre dĂ©marche pour leur richesse dâapprocheâ! LâexpĂ©rience demande de se laisser surprendre par des idĂ©es diffĂ©rentes de celles initialement envisagĂ©es par les clients, car nous aimons "sortir de la boĂźte", une expression propre aux domaines de crĂ©ation. Chose certaine, lâobjectif final est que lâespace soit hyper fonctionnel au quotidien. Cette vision globale inclut Ă©videmment le design, car le dĂ©cor ajoute une Ăąme Ă la fonctionnalitĂ© du milieu de vie. « Nous comptons dâailleurs maintenant des designers dâintĂ©rieur dans notre Ă©quipe qui traduisent l'esprit du projet, de l'architecture extĂ©rieure jusquâĂ l'intĂ©rieur, ce qui est essentiel Ă la rĂ©ussite de notre mission.â»
UNE PROFESSION DE PLUS EN PLUS VALORISĂE
Lorsquâelle sâest lancĂ©e en affaires, Danielle Godbout a vĂ©cu lâĂ©poque oĂč la profession dâarchitecte Ă©tait relĂ©guĂ©e au second plan, derriĂšre les considĂ©rations budgĂ©taires notamment, ce qui a donnĂ© naissance Ă ces bungalows presque tous identiques entre autres exemples. «âJâai ensuite vu les perceptions Ă notre Ă©gard Ă©voluer et une ouverture progressive sâinstaller en faveur dâune architecture plus distinctive, prĂ©cise Danielle. Nous jouons de plus en plus un rĂŽle clĂ© dans la rĂ©alisation des projets, en participant activement Ă toutes les Ă©tapes, de la conception Ă la construction, en passant par la gestion de projet et la surveillance de chantier, et ce pour tout type de rĂ©alisation, de la plus grande Ă la plus modeste. VoilĂ qui est trĂšs rĂ©jouissantâ!â»
Ă lâaube de cette cinquiĂšme dĂ©cennie, les dirigeants de DG3A Architecture entendent ne jamais perdre de vue la primautĂ© de lâhumain dans leurs objectifs de croissance, une valeur essentielle qui vaut Ă©galement pour leurs clients et partenaires. «âEt bien sĂ»r, conclut Audrey Vaillancourt, continuer Ă nous laisser inspirer par notre passion de donner vie Ă des crĂ©ations architecturales uniques et harmonieusement intĂ©grĂ©es Ă leur environnement, qui demeureront actuelles malgrĂ© le passage des ans. Cette philosophie ne saurait exister sans le dĂ©sir profond de sâamĂ©liorer constamment, dâexplorer sans cesse de nouvelles façons de crĂ©er. Telle est notre quĂȘte.â»


Si DG3A Architecture agit sur tous les tableaux en matiĂšre dâarchitecture, le crĂ©neau des maisons unifamiliales illustre le mieux lâapproche humaine Ă laquelle lâĂ©quipe attache autant dâimportance.
Caserne de pompiers Ă Saint-Georges

Pour en savoir davantageâ:
1751, chemin Saint-Louis, Québec
418Â 529-6626 I info@dg3a.ca I dg3a.ca
Professions & éducation
Professionâ: arpenteur-gĂ©omĂštre
voici tout ce que vous Avez toujours
vou L u s A voir sur LA profession dâArpenteur-gĂ©omĂštreâ!

LE TRAVAIL DâARPENTEUR-GĂOMĂTREâ?
Lâarpenteur-gĂ©omĂštre est lâexpert de la dĂ©limitation des propriĂ©tĂ©s au QuĂ©bec. Il sâagit du seul professionnel Ă pouvoir Ă©mettre une opinion sur la position dâune limite de propriĂ©tĂ© lors de la rĂ©alisation de ses diffĂ©rents mandats. Au-delĂ du certificat de localisation lors dâune transaction immobiliĂšre, lâarpenteur-gĂ©omĂštre est un joueur important dans le dĂ©veloppement immobilier ainsi que lâamĂ©nagement du territoire, puisquâil positionne prĂ©cisĂ©ment les nouveaux bĂątiments sur une propriĂ©tĂ© et quâil crĂ©e les nouvelles limites dâun dĂ©veloppement rĂ©sidentiel. Lâarpenteur-gĂ©omĂštre est Ă©galement un spĂ©cialiste de la prise de mesure prĂ©cise de tout type dâenvironnement 3D. DiffĂ©rents professionnels, tels que des ingĂ©nieurs et des architectes, utilisent ensuite cette information pour faire des Ă©tudes de cas et planifier des travaux.
LE PARCOURS QUI CONDUIT Ă LA PROFESSION
La profession dâarpenteur-gĂ©omĂštre exige une formation reconnue par lâOrdre des arpenteurs-gĂ©omĂštres du QuĂ©bec (OAGQ). LâUniversitĂ© Laval est la seule institution Ă offrir le baccalaurĂ©at en sciences gĂ©omatiques dâune durĂ©e de quatre ans. Un stage professionnel dâun an et des examens dâadmission sont Ă©galement exigĂ©s pour ĂȘtre admis dans lâOAGQ et porter le titre dâarpenteur-gĂ©omĂštre. PrĂšs de 1200 membres en font partie.
LES QUALITĂS ET COMPĂTENCES REQUISES
PossĂ©der dâexcellentes connaissances en informatique, en mathĂ©matiques, et manifester un intĂ©rĂȘt pour le droit font partie des prĂ©requis pour devenir un excellent arpenteur-gĂ©omĂštre. Lâesprit dâanalyse et de synthĂšse, le sens de la diplomatie et la capacitĂ© de conseiller plusieurs collaborateurs provenant de milieux diffĂ©rents ainsi quâen coordonner les actions jouent Ă©galement un rĂŽle clĂ©.
PRIVĂ, PUBLIC OU PARAPUBLIC
Lâarpenteur-gĂ©omĂštre peut pratiquer sa profession soit dans le secteur privĂ© (principalement dans les firmes dâarpenteurs-gĂ©omĂštres), soit le secteur public (ministĂšres provinciaux ou fĂ©dĂ©raux, comme le ministĂšre des Transports et de la MobilitĂ© durable, le ministĂšre des Ressources naturelles et des ForĂȘts ou encore les Ressources naturelles du Canada). Il peut aussi travailler dans le secteur parapublic (Hydro-QuĂ©bec, municipalitĂ©s, sociĂ©tĂ©s de transport, enseignement).
PERSPECTIVES DâEMPLOI ET ENJEUX FUTURS
DĂ©jĂ grandement en demande, la profession le sera davantage dans quelques annĂ©es en raison du dĂ©part Ă la retraite de plusieurs arpenteurs-gĂ©omĂštres. «âLa perspective dâemploi est donc incroyable et les conditions de travail sont trĂšs avantageuses. Pour ceux et celles qui ont un intĂ©rĂȘt marquĂ© pour lâentrepreneuriat, câest aussi une profession qui permet de gĂ©rer sa propre entreprise et dâoffrir des services qui sont rĂ©servĂ©s aux arpenteurs-gĂ©omĂštresâ», confirme Xavier Goulet, fondateur de GĂ©omatex arpenteurs-gĂ©omĂštres.
Selon une enquĂȘte SOM rĂ©alisĂ©e en 2022 et concernant lâannĂ©e 2021â:
/ 16â% des salariĂ©s prendront leur retraite dans 5 ans;
/ 18â% des propriĂ©taires prendront leur retraite dans 5 ans;
/ Le salaire moyen est de 116 050â$ et de 70 000â$ en dĂ©but de carriĂšre.
LE
MONDE DE LâARPENTAGE
Pour ceux et celles qui souhaitent intĂ©grer le monde de lâarpentage sans pour autant complĂ©ter le cycle complet menant au titre dâarpenteur-gĂ©omĂštre, il existe un diplĂŽme dâĂ©tudes professionnelles (DEP) pour devenir arpenteur-topographe et un diplĂŽme dâĂ©tudes collĂ©giales (DEC) pour devenir technicien en arpentage. Le travail consiste principalement Ă prendre des mesures et Ă effectuer certains calculs dans la prĂ©paration des diffĂ©rents mandats dâun arpenteur-gĂ©omĂštre. «âLâarpentage, câest un secteur aux tĂąches diversifiĂ©es qui permet de bĂątir la sociĂ©tĂ© de demainâ», conclut Xavier Goulet.
* Sourceâ: Site Internet de lâOrdre des arpenteurs-gĂ©omĂštres du QuĂ©bec (oagq.qc.ca).

Géomatex arpenteursgéomÚtres
LâARPENTAGE SOUS TOUTES SES MESURES
Xavier Goulet, prĂ©sident-fondateur de GĂ©omatex et membre de lâOrdre des arpenteurs-gĂ©omĂštres du QuĂ©bec.
SE LANCER EN AFFAIRES
Lâhistoire de GĂ©omatex commence en aoĂ»t 2020. Muni de son diplĂŽme en sciences gĂ©omatiques de l'UniversitĂ© Laval depuis 2017, membre de l'Ordre des arpenteurs-gĂ©omĂštres du QuĂ©bec depuis 2018, et avec trois annĂ©es dâexpĂ©rience acquises dans une firme de Saint-Jean-sur-Richelieu, Xavier Goulet lance son entreprise Ă QuĂ©bec Ă lâĂąge de 26 ans. Ce qui le motive en premier lieuâ? Son dĂ©sir dâautonomie, de libertĂ© dĂ©cisionnelle et dâaccomplissement professionnel. «âGrĂące Ă mon expĂ©rience acquise dans la grande rĂ©gion de MontrĂ©al, oĂč jâai participĂ© Ă de nombreux projets de construction et de dĂ©veloppements rĂ©sidentiels, je savais que je pouvais offrir un service de qualitĂ© Ă mes futurs clientsâ», exprime le prĂ©sidentfondateur, qui a Ă©galement choisi de sâinstaller Ă QuĂ©bec pour se rapprocher de sa famille et de ses amis. «âCâest la ville oĂč jâai grandi, poursuit-il. Dâailleurs, je remercie profondĂ©ment ma famille et ma conjointe, qui mâencouragent et me soutiennent depuis les tout dĂ©buts de cette belle aventure.â»
Ac HA t ou vente dâune propriĂ©tĂ©. dĂ©veLoppement immobiLier. constructions dAns tous Les secteurs dâActivitĂ©. AutAnt dâĂ© L Ă©ments qui nĂ©cessitent L â A pport de g Ă©om A tex A rpenteurs-gĂ©omĂštres. e n pLus dâoffrir une expertise sur mesure, cette entreprise dâici se distingue pAr ses mĂ©tHodes de trAvAiL rigoureuses et pAr L âuti L is Ation de tec H no Logies de pointe. un vĂ©ritAbLe pArtenAire performAnt, qui veiLLe Ă ce que vos projets se dĂ©rouLent efficAcement⊠seLon Les rĂšgLes de LâArtâ! / RĂ©al Demers
LA MISSION DE GĂOMATEX
La mission de GĂ©omatex est simple. Elle consiste en premier lieu Ă offrir des services dâarpentage reliĂ©s aux limites cadastrales, mais aussi un service dâexpertise en acquisition de donnĂ©es 3D et du service-conseil en dĂ©veloppement immobilier (voir lâencadrĂ© pour les dĂ©tails). Pourquoi les clients choisissent GĂ©omatexâ? La rĂ©ponse, ici aussi, est simpleâ: «âParce que nous sommes des professionnels passionnĂ©s, dĂ©vouĂ©s, ingĂ©nieux et animĂ©s par la recherche de solutions et par lâoptimisation, exprime Xavier Goulet. Nous sommes en mesure de bien cerner les besoins dâun client et de proposer les services les plus adaptĂ©s aux diffĂ©rentes contraintes quâil rencontre. Notre expĂ©rience, notre excellente connaissance du droit de la propriĂ©tĂ©, nos mĂ©thodes de travail rigoureuses et lâutilisation de technologies de pointe font de nous une Ă©quipe compĂ©tente et performante.â»
DES PROJETS MAJEURS
Bien que lâentreprise soit toute jeune, elle a dĂ©jĂ participĂ© Ă des projets majeurs, dont celui de lâimplantation des bĂątiments pour le projet QScale, le nouveau centre de traitement informatique Ă LĂ©vis. GĂ©omatex a Ă©galement rĂ©alisĂ© des relevĂ©s topographiques dâenvergure pour lâagrandissement dâhĂŽpitaux et dâusines ainsi que pour la protection du territoire.


RepĂšre dâarpentage identifiant les limites de propriĂ©tĂ©
EN MODE CROISSANCE
GĂ©omatex a vu le jour dans un contexte de surchauffe immobiliĂšre qui mettait de lâavant les services dâarpenteurs-gĂ©omĂštres. Le jeune entrepreneur a ainsi profitĂ© de cet Ă©lan pour se distinguer en offrant un service personnel, rapide et complet, ce qui lui a permis de faire sa place au sein du marchĂ© hautement concurrentiel de la grande rĂ©gion de QuĂ©bec. «âĂtant un gars dâĂ©quipe qui a fait du sport toute sa vie, jâai rapidement eu envie de crĂ©er ma propre Ă©quipe pour rĂ©pondre plus rapidement Ă la demande et pour participer Ă des projets plus importantsâ», confie le prĂ©sident de GĂ©omatex, qui travaille dĂ©sormais avec trois autres collĂšgues passionnĂ©s par le dĂ©veloppement cohĂ©rent et harmonieux du territoire. «âAvec cette Ă©quipe, je dĂ©sire dĂ©velopper davantage le service-conseil auprĂšs des promoteurs immobiliers et les accompagner dans les diffĂ©rentes Ă©tapes de lâurbanisme pour mener Ă bien leur projet. CrĂ©er des liens dâaffaires Ă long terme est lâune de mes prioritĂ©s.â»
Relevé laser (Scan 3D) pour une étude de déformation

Dans les bureaux de Madore arpenteurs-gĂ©omĂštres Ă Saint-Jean-sur-Richelieu, les arpenteurs-gĂ©omĂštresâ:
Charles Desgens, associé de Madore arpenteursgéomÚtres, Yves Madore, et Xavier Goulet, propriétaire de Géomatex arpenteurs-géomÚtres et associé de Madore arpenteurs-géomÚtres.
NOUVEAU BUREAU, NOUVEAU SECTEUR
DĂšs la fondation de son entreprise, Xavier Goulet avait un plan de croissance. «âEn plus des environs de QuĂ©bec, jâavais comme objectif dâoffrir mes services dans la grande rĂ©gion de MontrĂ©al et de me positionner dans les deux grands centres du QuĂ©bec, raconte M. Goulet. Jâai donc saisi lâoccasion dâacquĂ©rir la firme Yves Madore arpenteur-gĂ©omĂštre, un bureau reconnu Ă Saint-Jean-sur-Richelieu depuis 1970 et couvrant le territoire de la MontĂ©rĂ©gie, de la rive sud de MontrĂ©al et de lâEstrie. Cette acquisition, officialisĂ©e en aoĂ»t 2023, a Ă©tĂ© rĂ©alisĂ©e avec Charles Desgens, arpenteur-gĂ©omĂštre, un bon ami et un ancien partenaire de classe Ă lâuniversitĂ©.â» Lâacquisition de cette entreprise, dĂ©sormais connue sous le nom de Madore arpenteurs-gĂ©omĂštres et comptant prĂšs dâune quinzaine dâemployĂ©s qualifiĂ©s, permet dâĂ©quilibrer les ressources dans un contexte de raretĂ© de la maindâĆuvre et facilite Ă©galement la participation Ă des projets dâenvergure.
Ayant le vent dans les voiles, GĂ©omatex sâavĂšre, nul doute possible, un partenaire de premier plan pour les grands dĂ©veloppeurs de projets rĂ©sidentiels, commerciaux, industriels et institutionnels.
Services dâarpentage reliĂ©s aux limites cadastrales (limites de propriĂ©tĂ©)â:
/ Certificat de localisation pour une transaction immobiliĂšre
/ Implantation (positionnement) dâun nouveau bĂątiment
/ Identification (piquetage ou bornage) dâune limite de propriĂ©tĂ©
/ Création de nouvelles limites de propriété (lotissement)
Ăgalementâ:
/ Service dâexpertise en acquisition de donnĂ©es 3D
/ Service-conseil en développement immobilier
Pour en savoir davantageâ:
Bureau de QuĂ©becâ: 1020, rue Bouvier, local 400 Bureau de LĂ©visâ: 1190B, rue Courchevel, 4e étage 418 321-6101 | info@geomatex.ca | geomatex.ca
Nouveau bureau Ă Saint-Jean-sur-Richelieu (Madore arpenteurs-gĂ©omĂštres)â: 149, rue Jacques-Cartier Nord 450-347-6345 | info@madoreag.com | madoreag.com
Constructions Beaubois
LâEXPERTISE AU SERVICE DE VOS RĂVES

/ Réal Demers


dAns son bureAu de LA rue micHeL-frAgAsso Ă quĂ©bec, sA mue L b oite A u, propriĂ©tA ire de c onstructions beAubois, pAsse en revue LâĂ©ventAiL de ses projets rĂ©sidentie L s Ă L âĂ©c H e LL e de LA rĂ©gion. u n sourire Ă©c LA ire son vis A ge. «â n ous possĂ©dons p L us de 300 terrAins Ă mettre en vALeur dâici 2027 en rAison de cette import A nte b A nque de terr A ins, nous profitons dâun AvAntAge distinctif pAr rApport Ă LA concurrence.â» Lâexpertise de L âentreprise et LâexceLLente quALitĂ© de ses constructions Apportent Ă©g AL ement une vAL eur A joutĂ©e Ă L âensemb L e des ActivitĂ©s de LA compAgnie.
FondĂ©e en 1977 par AndrĂ© Boiteau et Gilles BeauprĂ©, Constructions Beaubois fait sa marque dans les secteurs de la construction rĂ©sidentielle, commerciale et de la rĂ©novation. «âMon pĂšre et mon grand-pĂšre travaillaient dans le domaine de la construction. Notre expĂ©rience repose ainsi sur le savoir-faire de trois gĂ©nĂ©rations. Cette synergie nous permet dâoffrir plus de 25 modĂšles de maisons unifamiliales ainsi que diffĂ©rents types de maisons jumelĂ©es ou en rangĂ©e, sans oublier la construction de rĂ©sidences sur mesure rĂ©pondant aux besoins spĂ©cifiques de chaque clientâ», explique Samuel Boiteau, qui sâest joint Ă la compagnie au dĂ©but des annĂ©es 2000.

Immeubles Ă bureaux, commerces de dĂ©tail, restaurants, agrandissements de maisons, ajout dâun garage et rĂ©novations de tous genres sâajoutent Ă lâoffre de services. Afin de marier lâutile Ă lâagrĂ©able, Constructions Beaubois dĂ©tient une compagnie de peintres en bĂątiment, Peinture JS Prestige, qui exerce ses activitĂ©s dans les secteurs rĂ©sidentiel, commercial et de la rĂ©novation. LâĂ©quipe, dirigĂ©e par DaphnĂ© Demers, compte une quinzaine dâemployĂ©s, dont prĂšs de la moitiĂ© est composĂ©e de femmes.
DOMAINE LEDUC Ă SAINT-ĂMILE
Ă lâĆuvre principalement dans le secteur rĂ©sidentiel, Constructions Beaubois mise sur diffĂ©rents projets afin de poursuivre sa croissance tout en «âconstruisant le bonheurâ» de nouveaux propriĂ©taires. Quelques-uns retiennent particuliĂšrement lâattention, dont celui du Domaine Leduc, amĂ©nagĂ© dans le secteur Saint-Ămile, Ă QuĂ©bec. ĂvaluĂ© Ă plus de 50 Mâ$, il comporte 181 maisons unifamiliales isolĂ©es ou jumelĂ©es, dont la livraison est prĂ©vue au cours des prochaines annĂ©es. «âOn parle de lâun des plus importants projets rĂ©sidentiels Ă QuĂ©bec. Il est situĂ© sur les terrains de lâancienne Scierie Leduc, prĂšs de lâavenue Lapierre. Ătant donnĂ© la proximitĂ© des services, il sâagit dâun quartier idĂ©al pour les famillesâ», affirme Samuel Boiteau.





Le projet rĂ©sidentiel Etna dans le secteur Val-BĂ©lair propose des maisons haut de gamme destinĂ©es aux familles. La livraison des propriĂ©tĂ©s entourĂ©es dâespaces naturels devrait se dĂ©rouler en 2024 et 2025.
ETNA Ă VAL-BĂLAIR
Constructions Beaubois est Ă©galement un partenaire de premier plan dans le cadre du projet rĂ©sidentiel Etna dans le secteur Val-BĂ©lair, Ă QuĂ©bec. Ă proximitĂ© des grands axes routiers et des services, Etna nĂ©cessitera un investissement de 21 Mâ$ liĂ© Ă la construction de maisons haut de gamme destinĂ©es aux familles. La superficie des terrains dâEtna permet un mode de vie quatre saisons Ă tous ses occupants. La livraison des propriĂ©tĂ©s entourĂ©es dâespaces naturels devrait se dĂ©rouler en 2024 et 2025.
FAUBOURG PETIT SAINT-JEAN Ă SAINT-ĂTIENNE
Parmi les projets rĂ©sidentiels clĂ©s en main, on note le Faubourg Petit Saint-Jean dans le secteur de la rue Courbet Ă Saint-Ătienne-de-Lauzon, Ă LĂ©vis. EstimĂ©e Ă 12 Mâ$ et en voie de construction, cette initiative propose 25 maisons unifamiliales situĂ©es Ă proximitĂ© de parcs et de services. Une nouvelle aire de vie Ă Saint-Ătienneâ! Constructions Beaubois est maĂźtre dâĆuvre de plusieurs autres projets rĂ©sidentiels, tels que lâĂlot Saint-Jacques Ă LâAncienneLorette (maisons de ville) et lâEsplanade des Trois Saults Ă Boischatel (maisons unifamiliales).
LE DĂFI DE LA MAIN-DâĆUVRE
Ă lâinstar de nombreuses entreprises, Constructions Beaubois doit relever le dĂ©fi relatif Ă la rĂ©tention et Ă la qualitĂ© de la main-dâĆuvre. De plus, lâĂ©tat du marchĂ© montre une raretĂ© de terrains et une offre plutĂŽt faible de maisons usagĂ©es. «âEn raison de lâinflation, du coĂ»t des matĂ©riaux et de la hausse des taux dâintĂ©rĂȘt, nous sommes dans un marchĂ© de deuxiĂšme acheteur, explique Samuel Boiteau. Toutefois, la demande reste bonne. Les trois quarts de nos clients achĂštent une maison sur mesure.â»
ARTISANE DE BONHEUR
Amateur de hockey, de golf et de voyages, Samuel Boiteau dĂ©sire poursuivre le dĂ©veloppement de lâentreprise et crĂ©er de nouveaux modĂšles de maisons. ĂgĂ© de 43 ans, il songe dĂ©jĂ Ă prĂ©parer la relĂšve. «âJâaimerais que mes deux adolescents soient la quatriĂšme gĂ©nĂ©ration de Boiteau Ă diriger la compagnie, mais je les laisse libres de leur choix de carriĂšre.â» Dans quelques annĂ©es, Constructions Beaubois cĂ©lĂšbrera le 50e anniversaire de sa fondation et elle entend plus que jamais ĂȘtre une artisane de bonheur pour les nouveaux propriĂ©taires de maisons dans la grande rĂ©gion de QuĂ©bec.

Pour en savoir davantageâ:
«â n ous possĂ©dons p L us de 300  terr A ins Ă mettre en vAL eur dâici 2027 en rAison de cette import A nte b A nque de terr A ins, nous profitons dâun AvAntAge distinctif pAr rApport Ă LA concurrence.â»
â Samuel Boiteau, propriĂ©taire.
545, rue Michel-Fragasso, Québec 418 871-8884 I constructionsbeaubois.com

Annie Fortin Focus TDL
Impartition tenue de livres/comptabilité 2.0
LA DISTANCE NâA PLUS DâIMPORTANCE
A H , L es ob L ig Ations fisc AL es en A ffA ires, on nây Ă©cHAppe pAsâ! peu dâentrepreneurs ApprĂ©cient ce pAssAge obLigĂ©, je LâAi Appris Ă LA dure.

Quand jâai bĂąti ma premiĂšre entreprise, ce volet peu attirant mâindiffĂ©rait, car ma fibre entrepreneuriale carburait surtout aux nouveaux clientsâ! JusquâĂ ce que je frappe un mur. Il mâa fallu rĂ©tablir la situation, ce qui mâa fait comprendre lâimportance dâune comptabilitĂ© Ă jour sauf peut-ĂȘtre si on appartient au monde des travailleurs autonomes. Cependant, sitĂŽt que le chiffre dâaffaires grimpe, une gestion comptable serrĂ©e sâimpose. Sinon, comment savoir ce qui se passe sur le plan financier afin de prendre des dĂ©cisions Ă©clairĂ©esâ? Outre le respect des obligations lĂ©gales, une tenue de livres digne de ce nom permet de mieux gĂ©rer son commerce, et dâavoir une vision claire et prĂ©cise de sa situation financiĂšre rĂ©elle, son chiffre d'affaires, ses dĂ©penses, sa rentabilitĂ© et surtout sa trĂ©sorerie, des donnĂ©es quâapprĂ©cient nos partenaires financiers, clients et fournisseurs. Notre esprit ainsi libĂ©rĂ© est synonyme de nuits plus rĂ©paratrices.
Nul nâayant la science infuse, Ă chacun ses compĂ©tencesâ! En matiĂšre de tenue de livres/comptabilitĂ©, deux solutions sâoffrent Ă lâentrepreneurâ: embaucher une ressource pour sâen occuper ou faire appel Ă un service externe en impartition. Dans les deux cas, il peut davantage se consacrer au dĂ©veloppement de ses affaires, de sorte que ce qui est souvent considĂ©rĂ© comme une dĂ©pense se mue en investissement. Lâimportant est de bien sâentourer, de choisir une Ă©quipe qui rĂ©pond Ă nos besoins et avec laquelle on se sent bien.
Cela dit, jusquâĂ ce que la Covid entre en scĂšne, lâimpartition en mode tĂ©lĂ©travail franchissait difficilement le prĂ©jugĂ© selon lequel ce service est plus efficace sur place. Toutefois, les restrictions pandĂ©miques auront dĂ©montrĂ© que ce concept profite aux entreprises, et pas juste les plus modestes. Parmi ma clientĂšle figurent des organisations dont le personnel varie de quelques employĂ©s Ă plusieurs centaines. Bref, la mĂ©thode a Ă©tĂ© testĂ©e, et son efficacitĂ© prouvĂ©e. Lâimpartition en ligne gagne donc en popularitĂ© avec la complicitĂ© des avancĂ©es technologiques. Rencontrer les clients nâest plus incontournable, la vidĂ©oconfĂ©rence une fois la semaine suffit. MĂȘme Ă distance, je fais partie de leur Ă©quipe de gestion. La taille de lâentreprise importe peu, car tout est dans la façon dâimplanter les choses. Le niveau de complicitĂ© nâa rien Ă voir avec le chiffre dâaffaires.
«âOui, mais nous avons dĂ©jĂ une ressource Ă lâinterne qui sâen chargeâ » , me dit-on rĂ©guliĂšrement, ce Ă quoi je rĂ©ponds que lâimpartition sâadapte Ă bien des situations et nâempĂȘche nullement la collaboration. En rĂ©alitĂ©, il mâest plusieurs fois arrivĂ© que des clients lâadoptent et rĂ©affectent leur ressource interne comptable Ă dâautres tĂąches, ce qui sâavĂšre finalement plus payant et productif pour lâentreprise. Nâest-ce pas ce que les entrepreneurs souhaitent avant toutâ?
Un but sans plan nâest quâun souhait : lâimportance dâavoir un plan financier
Lâun des conseiLs Les pLus souvent rĂ©pĂ©tĂ©s en gestion de pAtrimoine porte sur L âimportA nce dâ Avoir un pLAn finAncier. Les bĂ©nĂ©fices peuvent toutefois ne pAs ĂȘtre Ă©vidents pour tout L e monde. voici donc queLques rAisons pour LesqueLLes vous pouvez en tirer AvAntAge, queL que soit votre Ăąge ou votre niveAu de ricHesse.

DâABORD, EN QUOI CONSISTE LA PLANIFICATIONâ?
Essentiellement, la planification financiĂšre est un processus qui vise Ă vous permettre de profiter au maximum de votre patrimoine tout en naviguant avec confiance Ă travers les diffĂ©rents obstacles financiers. Pour ce faire, il est nĂ©cessaire de sâappuyer sur diverses disciplines qui ont des interactions entre elles, dont les finances, les placements et la retraite, mais aussi la fiscalitĂ©, lâassurance et la gestion des risques, ainsi que les aspects lĂ©gaux et successoraux.
DE NOMBREUX BĂNĂFICES
01 / VOUS DONNER UN APERĂU DE VOTRE SITUATION
En tant quâhumains, nous avons tendance Ă Ă©viter les questions inconfortables. Pourtant, il vaut gĂ©nĂ©ralement mieux prendre les problĂšmes potentiels de face pour Ă©viter des consĂ©quences possiblement pires. La planification financiĂšre vous permet dâavoir un bon aperçu de votre situation globale et de ses diffĂ©rentes facettes (personnelle et familiale, financiĂšre, fiscale, en matiĂšre de protection, Ă la retraite et au dĂ©cĂšs), et ainsi de prendre le contrĂŽle.
On voudra, bien sĂ»r, dĂ©terminer votre coĂ»t de vie et votre capacitĂ© dâĂ©pargne. Celle-ci est-elle suffisante, ou au contraire, vivez-vous au-dessus de vos moyensâ? Cela impliquera la prĂ©paration dâun budget, mĂȘme si cette tĂąche ne plaĂźt gĂ©nĂ©ralement pas⊠On analysera Ă©galement votre bilan, incluant votre endettement et votre capacitĂ© Ă pallier les imprĂ©vus grĂące Ă des liquiditĂ©s suffisantes, ainsi que dâautres questions non strictement financiĂšres, telles que votre situation matrimoniale et ses effets.
Câest aussi lâoccasion de dĂ©celer les risques auxquels vous faites face et de dĂ©terminer sâils sont correctement mitigĂ©s. Seriez-vous, par exemple, protĂ©gĂ©s, votre famille et vous, si vous dĂ©cĂ©diez subitement, si vous Ă©tiez malade ou si vous deveniez invalideâ? Qui hĂ©riterait et dans quelles proportionsâ? Qui assumerait la responsabilitĂ© de lâĂ©ducation de vos enfantsâ? Ceux-ci auraient-ils la capacitĂ© et la maturitĂ© de gĂ©rer un patrimoine importantâ?
02 / VOUS PERMETTRE DâĂTABLIR DES OBJECTIFS RĂALISTES ET FACILITER VOTRE PRISE DE DĂCISION
Nous avons tous de nombreux objectifs qui nous motivent Ă Ă©pargner â incluant notre style de vie dĂ©sirĂ© Ă la retraite â, mais pour maximiser la satisfaction quâils nous procurent, il est nĂ©cessaire de prendre le temps de les prioriser et dâeffectuer des projections afin de dĂ©terminer ceux qui sont rĂ©ellement rĂ©alisables, et lâeffet de la priorisation des uns sur le potentiel de rĂ©alisation des autres.
Attention, ici, le rĂŽle de votre planificateur nâest pas de juger votre mode de vie â ce que peuvent craindre certaines personnes â, mais seulement de vous informer et de vous aider Ă prendre des dĂ©cisions selon vos prĂ©fĂ©rences personnelles. Il faut dire quâil est facile dâoublier nos objectifs Ă long terme dans le courant de notre vie quotidienne; une planification aide Ă attĂ©nuer ce problĂšme.
Une fois vos objectifs dĂ©terminĂ©s et vos projections effectuĂ©es, vous aurez une meilleure comprĂ©hension dâoĂč vous vous dirigez, ce qui aura comme effet de faciliter votre prise de dĂ©cision lorsque des changements surviendront inĂ©vitablement dans votre vie.
03 / REPĂRER DES OPPORTUNITĂS DâOPTIMISATION
Le processus de planification permet Ă©galement de dĂ©celer des opportunitĂ©s dâoptimisation. On pensera notamment aux stratĂ©gies fiscales, qui utilisent les dĂ©ductions et crĂ©dits dâimpĂŽt, la progressivitĂ© de lâimpĂŽt et lâeffet des rendements composĂ©s afin de structurer vos affaires financiĂšres et votre patrimoine pour maximiser votre richesse individuelle ou familiale. Celles-ci pourraient inclure des stratĂ©gies plus gĂ©nĂ©rales, comme le choix des rĂ©gimes enregistrĂ©s auxquels cotiser, les stratĂ©gies de fractionnement de revenus, et lâoptimisation des dĂ©caissements, ou des stratĂ©gies spĂ©cifiques aux actionnaires de sociĂ©tĂ©s privĂ©es, dont la maximisation de la dĂ©duction pour gains en capital, les gels successoraux ou la stratĂ©gie du pipeline au dĂ©cĂšs.
Ăvidemment, le conseiller ou le planificateur ne remplace pas les fiscalistes et les juristes, mais il peut dĂ©celer ces opportunitĂ©s, ainsi que des Ă©lĂ©ments importants Ă discuter et analyser avec ces derniers, tels que des obstacles Ă dâĂ©ventuelles stratĂ©gies auxquels on devrait potentiellement remĂ©dier, et collaborer avec eux.
04 / VOUS AIDER Ă GARDER LE CAP
De nombreuses Ă©tudes indĂ©pendantes montrent que les investisseurs qui font affaire avec un conseiller sâenrichissent davantage que les autres, quel que soit leur

Olivier B . Ampleman
CFA, CAIA, M. Fisc., Pl. Fin., conseiller en gestion de patrimoine et gestionnaire de portefeuille
Ăquipe Ampleman
FinanciĂšre Banque Nationale Gestion de patrimoine
niveau de revenus, dĂ©montrant ainsi la valeur du conseil. De cette derniĂšre, une part non nĂ©gligeable provient de la discipline et de la perspective Ă long terme que la relation avec un conseiller permet de maintenir, tant en termes dâĂ©pargne rĂ©guliĂšre â pour garder en tĂȘte vos prioritĂ©s et ne pas succomber Ă des dĂ©sirs passagers âque dâinvestissement afin de conserver votre sang-froid lors des pĂ©riodes de volatilitĂ© des marchĂ©s financiers. Une bonne planification facilite cet aspect en vous permettant de visualiser les impacts bĂ©nĂ©fiques de votre discipline.
05
/ AUGMENTER VOTRE CONFIANCE ET VOTRE TRANQUILLITĂ DâESPRIT
Finalement, la planification financiĂšre a des bĂ©nĂ©fices psychologiques et Ă©motionnels en augmentant votre niveau de confiance quant Ă lâatteinte de vos objectifs et Ă votre capacitĂ© Ă faire face Ă des imprĂ©vus, ce qui permet de rĂ©duire le niveau de stress reliĂ© Ă vos finances. Une Ă©tude rĂ©cente du Financial Resilience Institute, commandĂ©e par FP Canada et lâInstitut quĂ©bĂ©cois de planification financiĂšre, a dâailleurs dĂ©montrĂ© que les mĂ©nages qui travaillent avec un planificateur financier ont un niveau de rĂ©silience financiĂšre significativement plus Ă©levĂ© que les autres Canadiens.
LA CRĂATION DâUN PLAN EST UN DĂBUT
Si vous pouvez tirer des bĂ©nĂ©fices de la planification financiĂšre, vous n'en prendrez pleinement avantage que si elle conduit Ă un vĂ©ritable plan dâaction et que vous y faites rĂ©guliĂšrement des ajustements au fil des changements dans votre vie. En dâautres mots, rappelez-vous que le processus est plus important que le morceau de papier, et bien sĂ»r, que plus vous commencerez tĂŽt, plus vous aurez de la latitude et il vous sera facile de conduire le bateau Ă bon port.
Pour en savoir davantageâ: fbngp.ca | equipeampleman.ca
CONDOS LOCATIFS DE LUXE TOUT INCLUS

EMMĂNAGEMENT IMMĂDIAT

Vue sur le chĂąteau




Impossible dâimaginer un panorama plus attrayant que celui-ci pour prendre son cafĂ© le matin, avec lâirrĂ©sistible ChĂąteau Frontenac en trame de fond ! Une vĂ©ritable carte postale ! Mais au-delĂ de la vue, cette Ă©lĂ©gante rĂ©sidence juchĂ©e sur la falaise de LĂ©vis possĂšde bien dâautres attraits : de spacieux espaces intĂ©rieurs dont un magnifique solarium trois saisons avec son foyer double face, un trĂšs bel amĂ©nagement extĂ©rieur constituĂ© dâune terrasse et dâun jardin avec piscine creusĂ©e et cascade (sur un terrain dâune superficie de 18 000 pi2), et enfin, un emplacement de choix au sein dâun quartier paisible, nĂ©anmoins situĂ© Ă cinq minutes des artĂšres commerciales du Vieux-LĂ©vis, du Quai Paquet, du traversier et de la piste cyclable longeant le fleuve Saint-Laurent. Une qualitĂ© de vie sans pareille !
Prix : 1 849 000 $




bureau privé : 2450, boul. Laurier, Québec (Place Ste-Foy)



Vie de rĂȘve dans Le BoisĂ© du Saint-Laurent

SituĂ©e dans le prestigieux et convoitĂ© quartier Le BoisĂ© du Saint-Laurent, Ă LĂ©vis, cette propriĂ©tĂ©, sans voisin arriĂšre et avec vue sur le fleuve Saint-Laurent, en met plein la vue, autant Ă lâintĂ©rieur quâĂ lâextĂ©rieur ! GrĂące Ă sa fenestration abondante, les piĂšces baignent dans une superbe lumiĂšre naturelle qui met en valeur la qualitĂ© irrĂ©prochable de cette construction haut de gamme datant de 2018. De style rustique chic, le design se veut Ă©galement audacieux, comme en tĂ©moigne la salle de bain avec douche italienne et bain en pierre rouge. Quant Ă la cuisine, elle sĂ©duira les plus exigeants avec ses grands comptoirs en granit et en quartz, son cellier Ă vin et Ă viande ainsi que son foyer au bois et son plancher chauffant. LâextĂ©rieur est Ă©videmment Ă la hauteur de lâintĂ©rieur oĂč vous attendent une piscine creusĂ©e et un four Ă pizza Ă bois : le lieu parfait pour recevoir famille et amis. Enfin, la terrasse permet dâadmirer les magnifiques couchers de soleil. Une visite vous permettra de dĂ©couvrir sous toutes ses coutures ce trĂ©sor situĂ© Ă seulement sept minutes des ponts.


1177, RUE DES SAISONS, LĂVIS (SECTEUR SAINT-NICOLAS)
Prix : 1 449 000 $



bureau privé : 2450, boul. Laurier, Québec (Place Ste-Foy)



Un bijou au cĆur de Sillery

Voisine du splendide parc du Bois-de-Coulonge, cette rĂ©sidence de plain-pied minutieusement entretenue et rĂ©novĂ©e au fil des annĂ©es a tout pour plaire avec ses grands espaces lumineux au design Ă©purĂ©. Dâabord, elle est dotĂ©e de beaucoup de piĂšces : 6 chambres, dont 4 au rez-de-chaussĂ©e, 3 salles de bain, une salle d'eau et mĂȘme une cave Ă vin. Ensuite, elle possĂšde une superbe cour intime et bien amĂ©nagĂ©e. Enfin, elle se trouve Ă proximitĂ© de tous les services, y compris des Ă©coles. Une occasion unique Ă saisir !
1051, AVENUE CHAUMONT, QUĂBEC (SECTEUR SILLERY)
Prix : 1 225 000 $



Une équipe dévouée à votre service

DOSTIE
Courtier immobilier 418 956-8687

DURAND
Courtier immobilier* 418 932-2228
*Résidentiel | **Résidentiel et commercial

AFIRI
Courtier immobilier* 819 580-0125


Courtier immobilier** 418 580-8217
bureau privé : 2450, boul. Laurier, Québec (Place Ste-Foy)
418 956-8687 | mdostie@sothebysrealty.ca martindostie.ca

Courtier immobilier** 418 929-9416

Adjointe administrative 418 933-5510



Le Domaine de Sillery
Si vous ĂȘtes Ă la recherche dâun petit coin de paradis en ville, mais qui vous offre de nombreux avantages reliĂ©s Ă la vie dâun quartier tranquille, le Domaine de Sillery sâavĂšre le choix par excellence ! Au cĆur dâun grand terrain de six hectares se trouvent ces lumineuses et spacieuses copropriĂ©tĂ©s en rangĂ©e, amĂ©nagĂ©es sur trois niveaux, et bĂ©nĂ©ficiant dâaires communes exceptionnelles et exclusives au domaine : piscine, spa, gym, sentiers pĂ©destres, belvĂ©dĂšres dâobservation et jardins avec vue sur le fleuve. Et tout ceci Ă deux pas de tous les services, incluant les Ă©coles, les hĂŽpitaux, les centres commerciaux, etc. Chaque copropriĂ©tĂ© comprend 4 chambres, 2 salles de bain, une salle dâeau, un sous-sol amĂ©nagĂ©, une cour extĂ©rieure privĂ©e ainsi quâun stationnement intĂ©rieur et un casier de rangement. Une belle vie vous attend !
Les copropriétés sont disponibles immédiatement.






1471Â Ă 1493, AVENUE ROGER-LEMELIN, SAINTE-FOY Prix : Ă partir de 621 874 $ + taxes


bureau privé : 2450, boul. Laurier, Québec (Place Ste-Foy)



Votre chalet à proximité de la ville



SituĂ© en bordure du lac Morin, Ă Lac-Beauport, Ă seulement 25 minutes de QuĂ©bec, ce petit bijou sĂ©duira les amoureux de la nature. DisposĂ©s sur trois niveaux, les espaces de vie misent sur la vue spectaculaire sur le lac et les montagnes. Le rezde-chaussĂ©e propose une grande aire ouverte alors quâau niveau rez-de-jardin se trouvent un espace bureau et une salle familiale conviviale. Enfin, on trouvera deux chambres Ă lâĂ©tage; la principale offre la possibilitĂ© d'amĂ©nager une terrasse afin de profiter des magnifiques couchers de soleil. Une visite vous charmera Ă coup sĂ»r !
La belle Beauceronne



51, CHEMIN DU BORD-DE-L'EAU, LAC-BEAUPORT
Prix : 579 000 $



Majestueuse est assurĂ©ment le qualificatif qui convient le mieux Ă cette rĂ©sidence situĂ©e dans la ville de Saint-Georges. GrĂące Ă lâimposante fenestration et aux aires ouvertes, la lumiĂšre naturelle entre en abondance, crĂ©ant une connexion intime entre lâintĂ©rieur de la demeure et la nature foisonnante qui lâentoure. La propriĂ©tĂ© dispose de 3 chambres et 2 salles de bain; idĂ©al pour la famille, dâautant plus quâune garderie, des Ă©coles et un parc se trouvent Ă proximitĂ©.

bureau privé : 2450, boul. Laurier, Québec (Place Ste-Foy)


15295, 10e AVENUE, SAINT-GEORGES-DE-BEAUCE
Prix : 1 199 000 $







Cette construction rĂ©cente situĂ©e dans le secteur de Saint-Nicolas possĂšde un charme irrĂ©sistible qui sĂ©duit au premier regard. Son design contemporain rĂ©pond Ă toutes les tendances en matiĂšre dâĂ©lĂ©gance. PossĂ©dant 5 chambres, dont 3 Ă lâĂ©tage, 3 salles de bain et un espace bureau, cette maison conviviale et chaleureuse est idĂ©ale pour une grande famille. Le sous-sol vous surprendra avec son simulateur de golf et son coin-bar. Une occasion Ă ne pas rater !
203, RUE DU PĂLERIN, LĂVIS (SECTEUR SAINT-NICOLAS)
Prix : 1 198 000 $



bureau privé : 2450, boul. Laurier, Québec (Place Ste-Foy)



Une histoire Ă poursuivre dans LotbiniĂšre

Si vous ĂȘtes sensible au patrimoine bĂąti, cette Ă©lĂ©gante propriĂ©tĂ© connue sous le nom de « Maison Beaudet », situĂ©e dans LotbiniĂšre et datant de la fin du 18 e siĂšcle, vous tapera dans lâĆil. Ses murs de pierre dâesprit français et sa toiture en tĂŽle rappellent son Ă©poque. Jadis, les descendants de lâun des fondateurs de cette municipalitĂ© ont logĂ© dans cette maison qui possĂšde trois chambres, dont une immense chambre principale Ă lâĂ©tage avec salle de bain attenante, de magnifiques foyers en pierre, un solarium et un garage double. En prime, un immense terrain de 34 000 pi2 et une vue sur le fleuve. Faites partie de lâhistoire en y apportant votre touche personnelle !


7561, ROUTE MARIE-VICTORIN, LOTBINIĂRE
Prix : 524 900 $




bureau privé : 2450, boul. Laurier, Québec (Place Ste-Foy)





SituĂ©e Ă Saint-FĂ©rĂ©ol-les-Neiges, cette maison de style champĂȘtre possĂšde toutes les commoditĂ©s dâune rĂ©sidence principale, mais Ă©galement le cachet dâun lieu de villĂ©giature oĂč il fait bon aller relaxer en pleine nature. Quelle que soit votre prĂ©fĂ©rence, dans les deux cas, vous serez Ă©merveillĂ© par la chaleur enveloppante du dĂ©cor et la luminositĂ© qui inonde les grandes piĂšces grĂące aux nombreuses fenĂȘtres. La demeure dispose par ailleurs de deux spacieuses terrasses extĂ©rieures : une au niveau du rez-de-chaussĂ©e et la seconde juste en dessous, au niveau du rez-de-jardin, oĂč vous trouverez Ă©galement un sauna intĂ©grĂ© Ă la salle de bain. De beaux moments de dĂ©tente en perspective au cĆur dâun environnement paisible et verdoyant !
Ă noter que la propriĂ©tĂ© est vendue meublĂ©e. Le propriĂ©taire possĂšde Ă©galement deux terrains connexes Ă la rĂ©sidence, Ă vendre Ă lâĂ©ventuel acheteur.


61, RUE DU FLANC, SAINT-FERRĂOL-LES-NEIGES
Prix : 1 195 000 $



bureau privé : 2450, boul. Laurier, Québec (Place Ste-Foy)




ORLANDO, FLORIDE
Sunset Villaâ: soleil Ă volontĂ©


SituĂ©e Ă Davenport, soit Ă 15 minutes de Disney, en Floride, cette demeure est parfaite pour accueillir jusquâĂ 10 voyageurs. Elle comprend 5 chambres (7 lits), 4 salles de bain, un grand salon double et une salle de jeux pour le divertissement. L'arriĂšre-cour sans voisin comprend pour sa part une piscine privĂ©e avec spa, une terrasse couverte et⊠une vue splendide sur les couchers de soleil ! La maison Ă©tant situĂ©e dans la communautĂ© de Shire West Heaven, elle inclut aussi des espaces communs, tels que le Club-house, une piscine, une salle de gym, une plage de volley-ball et un terrain de tennis. Un endroit sĂ»r pour les enfants, la marche, la course Ă pied et le vĂ©lo. La « Villa Soleil » par excellence !



INFORMATION
bureau privé : 2450, boul. Laurier, Québec (Place Ste-Foy)




ESPACE DE LOCATION

SECTEUR DE QUĂBEC
La grande Ă©vasion sur une presquâĂźle


Parfois, il nâest pas nĂ©cessaire dâaller au bout du monde pour se sentir dĂ©paysĂ© ou pour « dĂ©crocher » du quotidien. SituĂ© au bord de la riviĂšre Montmorency, Ă Sainte-Brigitte-de-Laval, le Domaine Le Riverain vous offre cette chance grĂące Ă la location Ă court terme dâun lieu vĂ©ritablement paradisiaque. Ce chaleureux chalet peut accueillir jusquâĂ 6 voyageurs, Ă©tant Ă©quipĂ© de 3 chambres (4 lits) et autant de salles de bain. Quant Ă lâenvironnement extĂ©rieur, il est tout simplement incroyable et comprend un spa, une cuisine d'Ă©tĂ© avec BBQ et Kamado ainsi quâun coin feu avec des chaises Adirondak. La vue sur la riviĂšre (dâailleurs accessible Ă la baignade et Ă la descente en kayak et en tube) est dĂ©licieusement contemplative. Sachez quâil est aussi possible de pĂȘcher avec un permis. LâĂvasion avec un grand Ă !



INFORMATION
bureau privé : 2450, boul. Laurier, Québec (Place Ste-Foy)




Lâarchitectureâ: au cĆur de la qualitĂ© de vie

queLLes sont Les nouveLLes mAniĂšres de concevoir L es m A isons, L es immeub L es rĂ©sidentieL s et mĂȘme commerciAux Afin que Les gens qui y HAbitent ou y tr AvA i LL ent sây sentent bienâ? L A question est LAncĂ©e. dg3A ArcHitecture, LemAymicHAud et subLime ArcHitecture y rĂ©pondent.

Pour DG3A Architecture, lâenvironnement dans lequel le bĂątiment est construit joue un rĂŽle de premier plan dans la conceptionâ: lâorientation par rapport aux voisins, Ă quel endroit le soleil se lĂšve, dâoĂč provient le bruit sont autant de questions qui ont une grande importance.
En 2022, le gouvernement du QuĂ©bec a publiĂ© Pour une architecture humaine, durable et crĂ©ative . On y mentionne que lâarchitecture a pour finalitĂ© le mieux-ĂȘtre de la population ainsi que lâamĂ©lioration durable des milieux de vie et des collectivitĂ©s, de lâespace public et des paysages oĂč sâimplante un projet. Et lâInstitut national de santĂ© publique du QuĂ©bec ajoute que le lieu oĂč lâon habite est un dĂ©terminant majeur de notre santĂ©, tant physique que mentale, et de notre qualitĂ© de vie.
Pour lâarchitecte et associĂ©e chez DG3A Architecture, Danielle Godbout, lâenvironnement dans lequel le bĂątiment sera construit joue Ă©galement un rĂŽle de premier plan dans la conception. «âIl y a les besoins du client, câest certain, mais aussi le site, le terrain oĂč sera rĂ©alisĂ© le projetâ: lâorientation par rapport au contexte ainsi quâĂ lâintĂ©gration du bĂątiment dans son environnement. Ă quel endroit le soleil se lĂšve-t-ilâ? DâoĂč provient le bruitâ? Des questions dont les rĂ©ponses ont leur importance dans la conception.â»
LâAMĂNAGEMENT INTĂRIEUR
Le choix de couleurs apaisantes et de matĂ©riaux naturels, lâamĂ©nagement dâespaces fonctionnels, lâĂ©clairage naturelâ: autant dâĂ©lĂ©ments qui, une fois amalgamĂ©s, permettent de crĂ©er des expĂ©riences nouvelles. Ce nâest dâailleurs pas sans raison que de plus en plus de firmes dâarchitecture ont intĂ©grĂ© au sein de leurs Ă©quipes
/ Jean-Pierre Bouchard
des designers dâintĂ©rieur. «âLeur collaboration en amont des projets est essentielle pour assurer une continuitĂ© entre lâextĂ©rieur et lâintĂ©rieurâ» , explique Katrine Beaudry, associĂ©e principale et designer chez LemayMichaud. Et câest encore plus vrai depuis que le tĂ©lĂ©travail sâest imposĂ© au cours des deux derniĂšres annĂ©es. DĂ©sormais, les personnes passent de plus en plus de temps dans leur maison. Elles veulent sây sentir bien. Pour encourager les personnes Ă retourner au bureau, ou encore pour les attirer et en assurer la rĂ©tention, les entreprises doivent Ă©galement rendre les espaces propices au travail.
ENJEUX CLIMATIQUES
«âLes dĂ©fis liĂ©s Ă lâenvironnement, Ă la mobilitĂ©, Ă la transition Ă©nergĂ©tique nous amĂšnent Ă repenser la ville de demainâ» , affirme Tommy Simard, architecte et associĂ© chez Sublime Architecture. Faut-il revoir les pratiques traditionnelles de conceptionâ? «âOn ne peut pas fermer les yeux et penser que lâon peut continuer Ă travailler dans le domaine de la construction comme on le faisait il y a 20 ansâ» , pense Louise Dupont, designer et associĂ©e principale chez LemayMichaud.
Au QuĂ©bec, en 2020, quelque 1,4 million de tonnes de dĂ©chets issus du secteur de la construction, de la rĂ©novation et de la dĂ©molition ont pris le chemin des sites dâenfouissement, et 1,7 million de tonnes de rĂ©sidus de construction se sont retrouvĂ©s dans les centres de tri pour ĂȘtre recyclĂ©s ou rĂ©utilisĂ©s. Le modĂšle linĂ©aire (concevoir, construire, utiliser et dĂ©molir) doit Ă©voluer. Lâarchitecture doit amorcer le virage circulaire. Commentâ? En privilĂ©giant, par exemple, une rĂ©utilisation des matĂ©riaux et en donnant Ă des bĂątiments existants une nouvelle vocation.
«âFaire des choix judicieux de matĂ©riaux de qualitĂ© et porter une attention particuliĂšre Ă la conception des dĂ©tails de construction contribuent grandement Ă assurer cette pĂ©rennitĂ© des bĂątiments, renchĂ©rit Audrey Vaillancourt, architecte associĂ©e chez DG3A Architecture. Des matĂ©riaux qui se dĂ©gradent vite ou qui vieillissent mal rĂ©duisent beaucoup la durĂ©e de vie des bĂątiments. Mais les coĂ»ts actuels de construction, qui sont trĂšs Ă©levĂ©s, entrent en contradiction avec cette durabilitĂ© Ă long terme.â»

Dessinés par LemayMichaud, les nouveaux bureaux de la firme de droit Fasken misent sur la lumiÚre naturelle, un facteur important pour ce qui est de la qualité de vie en architecture et en design.
De nouveaux matĂ©riaux de construction, tels que les Ă©lĂ©ments composites avancĂ©s et les matĂ©riaux intelligents, sont de plus en plus utilisĂ©s pour crĂ©er des structures plus lĂ©gĂšres, plus solides et plus durables. Mais Ă quel prixâ? Pour Alexi Lemay, architecte et associĂ© principal chez LemayMichaud, construire vert ou consciencieusement ne coĂ»te pas tellement plus cher. «âIl faut juste prendre le temps dây rĂ©flĂ©chir, de penser Ă la pĂ©rennitĂ© du bĂątiment, puis Ă ce que ça reprĂ©sente Ă long terme.â»
Les normes plus strictes en matiĂšre dâisolation contribuent par ailleurs Ă rĂ©duire la consommation dâĂ©nergie. «âLa majoritĂ© de nos projets font aussi lâobjet de simulations Ă©nergĂ©tiques qui permettent de dĂ©velopper de meilleurs outils et de parvenir Ă des performances supĂ©rieures rĂ©pondant aux normes en vigueurâ» , ajoute Audrey Vaillancourt de DG3A Architecture.

Selon DG3A Architecture, faire des choix judicieux de matĂ©riaux de qualitĂ© et porter une attention particuliĂšre Ă la conception des dĂ©tails de construction contribuent grandement Ă assurer cette pĂ©rennitĂ© des bĂątiments. Sur la photoâ: la caisse Desjardins dâOrsainville


Selon Sublime Architecture, les dĂ©fis liĂ©s Ă lâenvironnement, Ă la mobilitĂ© et Ă la transition Ă©nergĂ©tique nous amĂšnent Ă repenser la ville de demain.
FLO Appartements est un bel exemple de projet immobilier conçu pour ĂȘtre au cĆur de tous les services.
DâAUTRES STRATĂGIES
ContrĂŽle automatisĂ© de lâĂ©clairage, des Ă©lectromĂ©nagers, des appareils de sĂ©curitĂ©, du chauffage ou de la climatisation⊠La domotique gagne en popularitĂ©, parce quâelle contribue Ă rendre la vie plus agrĂ©able et plus sĂ©curitaire. La conception dâespaces de vie ouverts et flexibles permet aux occupants de personnaliser leur environnement intĂ©rieur en fonction de leurs besoins et de leurs prĂ©fĂ©rences. Et lâintĂ©gration dâespaces verts procure dâimportants bĂ©nĂ©fices sur la qualitĂ© de vie, tout comme les jardins intĂ©rieurs et les terrasses couvertes de vĂ©gĂ©taux, qui peuvent favoriser le calme et purifier lâair.
Lâarchitecture et la qualitĂ© de vie sont Ă©troitement liĂ©es. Cela dit, bien que les mĂ©thodes de conception aient Ă©voluĂ©, les architectes et les promoteurs font nĂ©anmoins face Ă une rĂ©glementation qui les oblige Ă travailler avec des contraintes qui peuvent, dans certains cas, freiner le potentiel dâinnovation en matiĂšre dâhabitation. Pour François Dufaux, professeur agrĂ©gĂ© Ă lâĂcole dâarchitecture de lâUniversitĂ© Laval, celle-ci a peu Ă©voluĂ© depuis les annĂ©es 1950. «âComment en arriver Ă proposer quelque chose de diffĂ©rent sur le marchĂ© pour se distinguer, tout en offrant quelque chose de comparable pour ne pas ĂȘtre trop diffĂ©rentâ?â», demande-t-il. Câest le dĂ©fi quotidien des architectes. Mais comme lâaffirme Tommy Simard, de Sublime Architecture, les contraintes stimulent la crĂ©ativitĂ©.
Projet de dĂ©veloppement durable conçu par LemayMichaud, le Simons des Galeries de la Capitale a reçu la mention «âInnovationâ» Ă lâoccasion des Prix d'excellence en architecture 2019.
Spécial architecture / Profil / Jean-Pierre Bouchard
LemayMichaud
RENCONTRE ENTRE ARCHITECTURE ET DESIGN
c âest en 1979  quâA LA in Lem A y et v i A teur m ic HA ud fondent LemAymicHAud. dirigĂ©e AujourdâHui pAr 20 AssociĂ©s, principAux et de LA reLĂšve, Lâentreprise qui A pignon sur rue Ă quĂ©bec, montrĂ©AL et ottAwA rAssembLe une centAine dâempLoyĂ©s qui dĂ©pLoient toute L eur crĂ©AtivitĂ© et L eur s Avoir-fA ire A fin de crĂ©er des projets dâenvergure, rĂ©compensĂ©s Ă de muLtipLes reprises, rĂ©suLtAt dâune rencontre entre LâArcHitecture et Le design.
PrĂ©sente dans le domaine de lâarchitecture depuis prĂšs de 45 ans, LemayMichaud a Ă©tĂ© parmi les premiĂšres firmes Ă intĂ©grer le design dans ses projets. «âAu dĂ©part, câĂ©tait assez innovateur, explique dâentrĂ©e de jeu Marie-Christine Baillargeon, associĂ©e principale et architecte. Ă nos yeux, il allait de soi que nous poursuivions dans cette voie, car tout ce qui se construit Ă lâextĂ©rieur doit avoir un lien avec ce qui se passe Ă lâintĂ©rieur.â» Le Club Med QuĂ©bec Charlevoix, le siĂšge social de la CNESST (en consortium avec Coarchitecture), les magasins Simons, les StrĂžm spa Nordique, les hĂŽtels Germain, le MAA Condominiums & Penthouses⊠autant dâexemples de projets rĂ©alisĂ©s qui tĂ©moignent de la signature distinctive de LemayMichaud.

, architecte associé.
TISSER DES LIENS DE CONFIANCE
Cette façon de travailler a permis Ă lâentreprise de tisser de solides liens de confiance avec ses clients, dont certains font des affaires avec elle depuis les tout dĂ©buts. Restos Plaisirs, premier client de la firme, en est un bel exemple. Ensemble, ils ont rĂ©alisĂ© plus dâune centaine de restaurants Ă lâĂ©chelle du QuĂ©bec. LâexpĂ©rience vĂ©cue avec StrĂžm spa Nordique le dĂ©montre aussi puisque la succursale du Vieux-QuĂ©bec sâest vu dĂ©cerner cinq prestigieuses distinctions. «âNous avons Ă©tĂ© parmi les premiers bureaux dâarchitecture Ă concevoir des spas nordiques, relate Louise Dupont, associĂ©e principale et designer. Ă prĂ©sent, nous sommes conscients de tous les dĂ©fis liĂ©s aux aspects techniques, Ă lâamĂ©nagement et Ă lâexpĂ©rience sensorielle.â» LemayMichaud accompagne dĂ©sormais la jeune entreprise en plein essor.
Si lâĂ©quipe de LemayMichaud travaille sur des projets majeurs, elle accueille avec la mĂȘme approche les projets plus modestes, que ce soit un bureau de change dans un aĂ©roport ou une aire de restauration dâun centre commercial. Alexi Lemay, associĂ© principal et architecte, se souvient dâun mandat technique confiĂ© par les Galeries de la Capitale, et qui a amenĂ© la firme Ă travailler quelques annĂ©es plus tard sur la rĂ©novation intĂ©rieure des diffĂ©rents espaces du centre, dont le MĂ©ga Parc, puis sur un projet Ă Toronto confiĂ© par ce mĂȘme client. «âNous aimons grandir avec nos clients, câest ce qui nous animeâ», ajoute Marie-Christine Baillargeon. «âLâĂ©quipe que nous formons avec eux fait par ailleurs en sorte que nous faisons Ă©voluer leurs projetsâ » , renchĂ©rit Katrine Beaudry, associĂ©e principale et responsable du design dâintĂ©rieur au bureau de QuĂ©bec.
Rangée arriÚre : Katrine Beaudry, associée principale et B. Arch./designer; JérÎme Henné, associé principal et architecte; Marie-Christine Baillargeon, associée principale et architecte; Pierre-Alexandre Davignon, associé principal et architecte; Annie-Claude Gilbert, designer associée; Jonathan Pelletier, architecte associé; Alexi Lemay, associé principal et architecte; et Kevin McCandless, associé principal et architecte.
CRĂER DES EXPĂRIENCES
En architecture, lâexpĂ©rience vĂ©cue par lâutilisateur est un facteur essentiel dans la conception dâun bĂątiment. La rĂ©alisation de projets, notamment dans les domaines de la restauration, du commerce de dĂ©tail ou de lâhĂŽtellerie, a amenĂ© LemayMichaud Ă dĂ©velopper une sensibilitĂ© particuliĂšre Ă lâĂ©gard de la notion de confort, que ce soit dans la façon dâaccueillir les clients, dans la disposition des espaces, le choix des matĂ©riaux, etc. La combinaison de tous ces Ă©lĂ©ments permet de crĂ©er des expĂ©riences nouvelles.
Annie-Claude Gilbert, associĂ©e et designer, insiste sur lâimportance de se mettre Ă la place des gens qui visiteront lâespace. «âIl faut sâimprĂ©gner de la vocation du lieu et lui donner une identitĂ© forteâ » , indique celle qui sâest jointe Ă lâĂ©quipe en 2010, rappelant toutefois que la prĂ©misse dâun projet commence toujours par lâidĂ©e du client. «âNous sommes lĂ pour lâaccompagner et donner vie, dans des espaces Ă la fois esthĂ©tiques, fonctionnels, confortables et rĂ©glementaires, Ă ce quâil a en tĂȘte.â» Un point de vue que partage Louise Dupont, qui souligne aussi lâimportance de challenger les idĂ©es. «âLes clients viennent nous voir afin de concrĂ©tiser leur projet, mais je crois quâils sâattendent aussi Ă ce que nous aillions un peu plus loin, que nous les surprenions, que nous sortions des sentiers battus⊠ce que nous aimons faire.â»
En plus de lâarchitecture et du design dâintĂ©rieur, le graphisme fait partie de lâĂ©quation chez LemayMichaud. LâĂ©quipe qui sây consacre apporte son expertise dans la conception des Ă©lĂ©ments visuels qui repoussent les limites de la personnalisation et contribuent Ă optimiser lâexpĂ©rience Ă lâintĂ©rieur dâun bĂątiment.
«âTous ces dĂ©tails font partie dâun environnement bien pensé⻠, indique Marie-Christine Baillargeon.
DONNER DU SENS
Si tous les projets sont inspirants Ă leur maniĂšre, certains dâentre eux donnent tout leur sens au travail dâarchitecte. «âNotre expertise dans le domaine hĂŽtelier nous a conduits Ă crĂ©er une chambre de soins palliatifs pour les enfants au CHU SainteJustineâ», raconte Louise Dupont, encore Ă©mue par lâexpĂ©rience.

Le StrĂžm spa Nordique Vieux-QuĂ©bec, rĂ©cipiendaire de nombreuses distinctionsâ:
/ Grands Prix du Design 2020 â Projet de lâannĂ©e, Prix centre de bien-ĂȘtre, dâentraĂźnement et rĂ©crĂ©atif et Prix Ă©tablissement dâhĂ©bergement
/ Manuel de rĂ©fĂ©rence de lâAAPPQ 2020 âProjet coup de cĆur
/ APDC Space Wizards Awards 2020 â Prix platine â Projet de lâannĂ©e
/ Architizer A+Awards 2019 â LaurĂ©at â Prix du Jury â CatĂ©gorie «âHospitality-Health Care & Wellnessâ»
/ Hotel & Property Awards 2019 â LaurĂ©at âMeilleur design au monde â CatĂ©gorie «âSpa/ Spa Hotelâ»
/ Prix dâexcellence en architecture de lâOAQ 2019 â LaurĂ©at â Prix du Public


Fasken Québec
Grands Prix du Design 2023
- Certification OR - Design dâintĂ©rieur - CatĂ©gorie «âBureau / Bureau de firme de services professionnels & financiersâ», Certification OR - Design dâintĂ©rieur - CatĂ©gorie «âPrix spĂ©ciaux / IntĂ©rieur + Escalierâ»


Les associés au bureau de LemayMichaud à Montréal :
Valérie Soucy, architecte associée; Anne-Marie Bouliane, architecte associée; Olivier Dufour, architecte associé; Judi Farkas, associée principale et architecte; Pierre Mierski, associé principal et architecte; Louise Dupont, associée principale et designer; Laurent Dieval, architecte associé; Lucie Vaillancourt, associée principale et architecte; Sarah Lanoue, architecte associée; et Eve Morin, designer associée.
Le projet dâune Ă©cole de musique pour les enfants, rĂ©alisĂ© pro bono voilĂ six ans en collaboration avec Kent Nagano, qui a dirigĂ© lâOrchestre Symphonique de MontrĂ©al jusquâen 2021, en est un autre. Louise Dupont croit quâil y a de la place pour «âle beau, le bon et le bien pensé⻠dans le secteur institutionnel. Pour preuve, le projet du Nouveau Vic de lâUniversitĂ© McGill qui se construit sur le site de lâancien hĂŽpital Royal Victoria.
CENTRĂ SUR LâHUMAIN
MAA Condominiums & Penthouses (en construction)
Architizer A+Awards 2021 - Prix du Public - CatĂ©gorie «âResidential > Unbuilt - MultiUnit Housing (L>10 floors)â»
Lâimportance de lâhumain ressort des Ă©changes entre les associĂ©s rencontrĂ©s. «âCette philosophie nâa pas changĂ© au cours des 44 derniĂšres annĂ©es, affirme Alexi Lemay. Depuis le dĂ©but, nous crĂ©ons et nous innovons. Nous sommes rigoureux et nous livrons nos projets dans le respect des budgets et des Ă©chĂ©anciers. Mais nous voulons Ă©galement que notre cĂŽtĂ© humain se reflĂšte dans nos rĂ©alisations.â » LemayMichaud continue donc dâĂ©voluer, mais en maintenant les valeurs de ses fondateursâ: «âAccompagner le client et grandir avec lui, bĂątir les rĂȘves avec audace, crĂ©ativitĂ©, rigueur, intĂ©gritĂ© et humanisme. Câest dans notre ADNâ», conclut Marie-Christine Baillargeon.
Pour en savoir davantageâ:
111, rue Saint-Pierre, Québec 418 694-1010 I quebec@lemaymichaud.com lemaymichaud.com

Spécial architecture / Profil / Jean-Pierre Bouchard
Sublime Architecture

DONNER UNE ĂME AUX BĂTIMENTS

en 2013, trois AssociĂ©s unissent Leurs forces pour fonder subLime ArcHitectureâ: tommy simArd, jesse L.w bArrette et Hugo tessier. Longtemps un secret bien gArdĂ©, une puissAnce trAnqui LLe, LA firme du cHemin sAinte-foy Ă quĂ©bec, qui cĂ©LĂšbre cette AnnĂ©e son 10e AnniversAire, incLut AujourdâHui dAns son portefoLio des projets dâenvergure sur Les deux rives. pour LâĂ©quipe quâiLs ont bĂątie Au cours de LA derniĂšre dĂ©cennie, LâArcHitecture est une fAçon de rĂ©pondre Aux besoins de pLus en pLus grAnds des gens en mAtiĂšre dâespAces orientĂ©s vers Leur quALitĂ© de vie.

Sublimer les espacesâ: telle est la philosophie qui dĂ©finit lâapproche conceptuelle de la firme depuis ses tout dĂ©buts. Pour Tommy Simard, il sâagit de donner une Ăąme aux espaces, de transcender le matĂ©riel pour le rendre immatĂ©rielâ: «âNous cherchons toujours Ă personnifier nos Ćuvres. Un bĂątiment doit gĂ©nĂ©rer de la contemplation, susciter une interaction intellectuelle. Câest comme sâil Ă©tait apparu dans la nature par lui-mĂȘme. Ăa, câest la grande quĂȘte dâun projet sublimeâ!â» Jesse L. W. Barrette donne comme exemple le projet des appartements Focus sur lequel la firme a travaillĂ©. ImplantĂ© Ă LĂ©vis, dans le secteur en plein essor de Saint-Romuald, il comporte deux phases totalisant quelque 200 appartements.
«âCâest un bĂątiment avec un soupçon de resort, qui crĂ©e une connexion entre lâhumain et la vie qui lâentoureâ», explique lâarchitecte.

Le projet Sommet 3V, dans le secteur de SainteFoy, traduit la volontĂ© de la firme dâintĂ©grer dans le paysage urbain des espaces harmonieux.

Le projet Focus
Appartements Ă LĂ©vis, un bĂątiment avec un soupçon de resort, qui crĂ©e une connexion entre lâhumain et la vie qui lâentoure.

AU CĆUR DE LA CONCEPTIONâ: LâHUMAIN
LâĂȘtre humain, et les enjeux auxquels il est confrontĂ©, occupent une place dĂ©terminante en architecture. Ces enjeux liĂ©s Ă lâenvironnement, Ă la mobilitĂ© et Ă la transition Ă©nergĂ©tique ont amenĂ© lâĂ©quipe de Sublime Architecture Ă repenser la façon de concevoir la ville de demain. M. Simard imagine des mini-citĂ©s, comme CocitĂ© LĂ©vis, lâun des projets immobiliers privĂ©s les plus ambitieux sur la rive sud de QuĂ©bec auquel collabore la firme. «âIl sâagit ni plus ni moins dâune ville dans la villeâ», affirme-t-il.
Les associĂ©s croient en lâimportance de construire des bĂątiments facilement accessibles, qui rassemblent autour dâeux tous les services et qui limitent ainsi lâutilisation de lâautomobile. Le Sommet 3V, un important projet sur lequel lâĂ©quipe a travaillĂ©, illustre bien cette vision. Construit sur la rue Roland-Beaudin dans le secteur de Sainte-Foy, lâimmeuble de 14 étages, comptant quelque 590 appartements, traduit la volontĂ© de la firme dâintĂ©grer dans le paysage urbain des espaces harmonieux. Car la densification des villes nâest pas sans faire lâobjet de dĂ©bats. Plus que jamais, lâintĂ©gration des bĂątiments en adĂ©quation avec lâenvironnement est cruciale. «âNotre force, câest de pouvoir nous adapter, tout en demeurant Ă lâavant-gardeâ», indique Jesse L. W. Barrette.
OPTIMISATION ET RENTABILITĂ
«âLorsque les choix sont faits de façon optimale, le travail dâarchitecte se paie de lui-mĂȘmeâ», confie Tommy Simard. Pour se dĂ©marquer par des bĂątiments qui susciteront lâintĂ©rĂȘt des utilisateurs, les architectes doivent donc chercher Ă optimiser leurs projets pour en assurer la rentabilitĂ©. Pour les promoteurs, cette rentabilitĂ© est vitale. «âPersonne ne veut bĂątir un projet qui ne connaĂźt aucun succĂšs, rappelle Hugo Tessier, directeur gĂ©nĂ©ral de lâentreprise. On essaie du mieux possible de rĂ©pondre Ă la vision du promoteur. Notre travail consiste Ă la concrĂ©tiser, Ă effectuer les choix qui rĂ©pondront le mieux Ă ses besoins. Parce que lui, il rĂ©pond Ă un besoin de la populationâ: se loger.â»
Sublime Architecture planche ainsi sur des projets ayant la valeur ajoutĂ©e la plus Ă©levĂ©e possible, et ce, sur plusieurs plansâ: tant sur les coĂ»ts de construction pour les promoteurs que sur la qualitĂ© de vie et le coĂ»t du loyer pour les utilisateurs, sans oublier lâembellissement pour la ville. «âCe sont des aspects avec lesquels il faut jongler quotidiennement afin de rĂ©aliser des projets de qualitĂ©â», poursuit M. Tessier. «âLâexpĂ©rience que nous avons acquise dans ce genre de rĂ©alisations nous permet de gagner en efficacitĂ© et en rapiditĂ©. Plus tĂŽt nous apprĂ©hendons les problĂšmes, plus tĂŽt nous les rĂ©glons, et moins ça coĂ»te cherâ» , renchĂ©rit Tommy Simard. Et cette expĂ©rience permet Ă©galement aux concepteurs dâinnover. «âDans notre domaine, lâinnovation est trĂšs importante. Elle nous permet de garder une longueur dâavance. Les meilleures idĂ©es ne coĂ»tent pas nĂ©cessairement plus cherâ», ajoute lâarchitecte.
LA TECHNOLOGIE AU SERVICE DE LâEFFICACITĂ
Avant-gardiste, Sublime Architecture a Ă©tĂ© parmi les premiĂšres firmes dâarchitecture de QuĂ©bec Ă utiliser Revit pour tous ses projets. En gĂ©nĂ©rant des images en 3D, ce puissant logiciel permet au client de visualiser plus facilement son bĂątiment, et Ă lâĂ©quipe dâapporter des modifications en temps rĂ©el, jusquâĂ ce que tout le monde soit pleinement satisfait du rĂ©sultat. «âCette façon de travailler est trĂšs apprĂ©ciĂ©e. Elle facilite la communication et minimise les risques dâerreursâ» , explique Tommy Simard. De cette façon, lâĂ©quipe peut davantage se concentrer sur le processus de crĂ©ation. «âCâest dans la qualitĂ© du processus que les rĂ©sultats sont les meilleursâ», observe pour sa part Jesse L. W. Barrette.
JONGLER AVEC LES CONTRAINTES
Pour Sublime Architecture, câest Ă travers les contraintes â Ă©chĂ©ancier, budget, configuration du terrain, environnement, rĂšglementation â que la crĂ©ativitĂ© Ă©merge. LâĂ©quipe voit dans chaque demande de modification du client un dĂ©fi et une façon de repousser les limites du projet en faisant preuve dâinventivitĂ©. «âChacun dâeux possĂšde une personnalitĂ© qui lui est propre, affirme M. Barrette. Nous nâavons pas de recette gĂ©nĂ©rale. Câest lĂ que notre imagination et notre expĂ©rience entrent en ligne de compte.â»

Le Patelin , Ă Limoilou, est la porte dâentrĂ©e du quartier et reflĂšte autant le cĂŽtĂ© historique par la trame du bĂątiment que la vision dâavenir par sa matĂ©rialitĂ© Ă saveur contemporaine.
Le projet


La phase 1Â du projet FLO Appartements dans le secteur de Sainte-Foy.
Sublime Architecture insiste Ă©galement sur lâimportance de rĂ©aliser des projets durables, qui donnent envie aux locataires de demeurer au mĂȘme endroit pendant 20 ans, parce quâils offrent une qualitĂ© de vie. La grandeur des fenĂȘtres, lâĂ©clairage naturel, le quartier dans lequel ils vivent sont autant de critĂšres qui peuvent contribuer Ă leur rĂ©tention.
«âUn locataire qui dĂ©mĂ©nage tous les deux ans nâest pas souhaitable, exprime Tommy Simard. En fin de compte, la rentabilitĂ© dâun projet, c'est aussi crĂ©er des appartements qui se louent Ă 100â%.â»
DE LA PLACE POUR LA RELĂVE
Si le cĂŽtĂ© technique est essentiel, le cĂŽtĂ© humain lâest tout autant, que ce soit dans la relation avec les clients ou entre les membres de lâĂ©quipe. «âCe qui se cache derriĂšre notre rĂ©ussite, câest la force du groupeâ», indique Tommy Simard. Les trois associĂ©s croient en la relĂšve et lâinvitent dâailleurs Ă sâengager dans la mission de leur entreprise, qui est de sublimer lâarchitecture en rĂ©alisant des projets dans lesquels font corps lâhumain et son environnement. «âChaque employĂ© peut y trouver sa place et y crĂ©er son futurâ», conclut Hugo Tessier.
Pour en savoir davantageâ:
2105, chemin Sainte-Foy, Québec 581 300-6831 I info@sublimearchitecture.ca sublimearchitecture.ca
Habitation / Profil / Paméla Egan
Mieux vivre dehors grĂące aux pergolas bioclimatiques dâExosystĂšme

Marc-André Maheu, représentant des ventes pour la grande région de Québec.
UNE ĂQUIPE CHEVRONNĂE AU SAVOIR-FAIRE IRRĂPROCHABLE
En affaires depuis une dizaine dâannĂ©es, ExosystĂšme dessert la grande rĂ©gion de QuĂ©bec, de MontrĂ©al ainsi que de lâEstrie. Lâentreprise propose des produits clĂ©s en main et sur mesure Ă une clientĂšle rĂ©sidentielle, commerciale et institutionnelle. «âNos Ă©quipes de techniciens sâassurent que le produit corresponde aux attentes et exigences liĂ©es au projet, soutient Marc-AndrĂ© Maheu, reprĂ©sentant des ventes pour la grande rĂ©gion de QuĂ©bec. Rien nâest laissĂ© au hasard, de la conception au service aprĂšs-vente en passant par lâinstallation par des charpentiersmenuisiers.â » LâĂ©quipe dâExosystĂšme propose des produits performants, durables, faciles dâentretien, et sâassure de toujours offrir la solution la mieux adaptĂ©e aux besoins prĂ©cis de chaque client. Et comme les produits sont usinĂ©s localement, ils peuvent ĂȘtre personnalisĂ©s Ă la perfection.
UN PRODUIT HAUT DE GAMME
«âAvec une pergola, nous crĂ©ons littĂ©ralement un espace de vie additionnel Ă lâextĂ©rieur, axĂ© sur le confort et la protection contre les intempĂ©riesâ » , poursuit M. Maheu. Que ce soit pour obtenir davantage dâintimitĂ©, se protĂ©ger de la pluie et des insectes, se mettre Ă lâabri du soleil ou se couper du vent, les raisons de choisir un tel produit sont nombreuses lors dâun projet dâamĂ©nagement extĂ©rieur.
La structure et les lames de la pergola bioclimatique Azur sont fabriquĂ©es en aluminium pour assurer la longĂ©vitĂ© et la durabilitĂ© du produit. De plus, les lames orientables sont conçues pour procurer une Ă©tanchĂ©itĂ© complĂšte lorsquâelles sont fermĂ©es. Plusieurs couleurs sont offertes, ce qui permet une harmonie parfaite avec le dĂ©cor ambiant.
iL fA ut bien se L â Avouer, L es Ă©tĂ©s nous semb L ent toujours trop courts. et Au quĂ©bec, dAme nAture peut pA rfois ĂȘtre c A pricieuse⊠Heureusement, i L existe des soLutions pour proLonger LA beLLe sAison, et Lâune dâeLLes consiste Ă instALLer une pergoLA mAis Attention, toutes ne sont pAs Ă©gALesâ! pour profiter de LâextĂ©rieur pAr beAu temps comme mAuvAis temps, rien de mieux que LA pergoLA biocLimAtique dâexosystĂšme. ce produit HAut de gAmme, Avec son design rAffinĂ© et moderne, permet de tout simpLement mieux vivre deHors, et ce, durAnt trois sAisons.
DissimulĂ©es Ă mĂȘme la structure, les toiles Ă protection UV et les moustiquaires disparaissent en un tour de main dans les caissons. En plus dâĂȘtre trĂšs esthĂ©tique, cette façon de faire signifie quâil nâest donc pas nĂ©cessaire de les retirer pour lâhiver puisquâelles sont Ă lâabri des intempĂ©ries. Cette mĂȘme structure intĂšgre Ă©galement des gouttiĂšres qui permettent dâĂ©vacuer lâeau de pluie discrĂštement.
Pour encore plus de polyvalence, il est possible dâajouter un Ă©clairage DEL de mĂȘme quâun systĂšme de chauffe-terrasse Ă©lectrique infrarouge Infratech, qui procure une chaleur radiante pour les journĂ©es et les soirĂ©es plus fraĂźches. De style Ă©purĂ© et intemporel, les pergolas dâExosystĂšme se marient aussi bien Ă un bĂątiment patrimonial quâĂ un environnement contemporain.
VOICI TROIS PROJETS DâEXOSYSTĂME RĂALISĂS DANS LA RĂGION DE QUĂBECâ:
01/ CLUB DE GOLF ROYAL QUĂBEC
Sâadapter Ă chaque moment de la journĂ©e
En installant quatre pergolas sur la terrasse du club de golf, lâobjectif Ă©tait de redonner un espace de vie aux golfeurs qui dĂ©laissaient trop souvent cet endroit en raison du soleil cuisant et du vent. La taille de cette terrasse nĂ©cessitait de bien rĂ©flĂ©chir Ă la maniĂšre de positionner les colonnes afin quâil y en ait le moins possible. Mission accomplieâ! En prime, le mobilier est protĂ©gĂ© des intempĂ©ries, ce qui en facilite la logistique.


«âLA terrAsse est devenue trĂšs prisĂ©e pAr LâensembLe de nos membres depuis LâinstALLAtion Au printemps 2022. iLs en ApprĂ©cient LA quALitĂ© et LA beAutĂ©.â»
â Mario Bouchard, directeur gĂ©nĂ©ral du Club de golf Royal QuĂ©bec.

02/ CONDOS ORIGINE
BĂ©nĂ©ficier dâun produit de qualitĂ© plus abordable
Les copropriĂ©taires des Condos Origine cherchaient pour leur part une maniĂšre de couvrir les longues et Ă©troites terrasses. Lâenjeu au cĆur du projetâ: rĂ©duire les coĂ»ts sans pour autant compromettre la qualitĂ©. La solution a donc Ă©tĂ© de recourir Ă un mĂ©canisme manuel plutĂŽt que mĂ©canique. Le produit proposĂ© convient parfaitement Ă la facture moderne de lâimmeuble.



03/ RĂSIDENCE DE CAP-ROUGE
Laisser entrer la lumiĂšre
En travaillant main dans la main avec lâarchitecte dans ce projet de rĂ©novation, lâĂ©quipe dâExosystĂšme est arrivĂ©e Ă un rĂ©sultat qui a de quoi faire rĂȘver. LâĂ©quipe a dĂ» plancher sur la complexitĂ© des dimensions irrĂ©guliĂšres de lâimmense galerie ainsi que du balcon Ă lâĂ©tage supĂ©rieur. Il fallait aussi conserver la magnifique vue sur le fleuve et le pont de QuĂ©bec tout en laissant entrer la lumiĂšre dans les piĂšces de vie de la maison.
«âDe concert avec lâarchitecte, il a donc Ă©tĂ© dĂ©cidĂ© de crĂ©er les pergolas en cinq modules distincts et de positionner les lattes de maniĂšre parallĂšle Ă la maison. De cette façon, nous avons obtenu un rĂ©sultat fonctionnel et Ă©lĂ©gantâ», explique M. Maheu. Pour maintenir la facilitĂ© dâaccĂšs Ă lâescalier qui mĂšne au parterre, une porte VistaviewTM a Ă©tĂ© installĂ©e. Enfin, des moustiquaires motorisĂ©es et un systĂšme de chauffe-terrasse Ă©lectrique infrarouge Infratech ont permis de complĂ©ter le projet.
«âLA fLexibiLitĂ© que nous procure LA pergo LA nous comb L e depuis environ cinq A ns. v ivre de H ors, d A ns LA n Ature, est un A spect essentie L pour nous. n ous p A rvenons A insi Ă Ă©tirer LA sAison de LA fin AvriL jusquâAu mois de novembre.â»
â Daniel Vermette, un client des plus satisfaits.

En conclusion, la pergola bioclimatique dâExosystĂšme vous assure une protection contre les Ă©lĂ©ments, un confort dans vos espaces extĂ©rieurs et une valeur ajoutĂ©e Ă votre rĂ©sidence. Lâapproche clĂ©s en main de lâentreprise, de la consultation initiale Ă la pose par les installateurs certifiĂ©s, vous garantit un produit final qui sera Ă la hauteur de vos attentes. Par ailleurs, ExosystĂšme propose non seulement des pergolas rattachĂ©es aux bĂątiments, mais Ă©galement des Ăźlots, câest-Ă -dire des espaces indĂ©pendants. Avec cette multitude de possibilitĂ©s, chacun y trouve son compte. Alors, pour prolonger votre belle saison lâan prochain, câest maintenant quâil faut y penserâ!
Pour en savoir davantage ou pour demander une soumissionâ: 450 361-0722 Â I info@exosysteme.com I exosysteme.com
Salles de bain & matériaux
b esoin dâinspir A tion pour tr A nsformer ou AmĂ©nAger votre sALLe de bAinâ? AteLier AvAntgA rde, g r A nit pLus et u n fAuteui L p our d eux vous prĂ©sentent que Lques projets qui vous Aideront Ă fAire L e p L ein dâidĂ©es. d e p Lus, Les ArtisAns du pAysAge vous invitent Ă dĂ©couvrir
Les mAtériAux tendAnce qui se tAiLLent une pLAce de cHoix dAns nos cours.
58

60


56
Salles de bain
56 ATELIER AVANT-GARDE
Trois salles de bain inspirantes
58 UN FAUTEUIL POUR DEUX
Le diable est dans les détails
60 GRANIT PLUS
Le nec plus ultra dans votre douche
62 LES ARTISANS DU PAYSAGE
Des projets d'aménagement extérieurs distinctifs Matériaux tendance
62

/ Marie-Josée Turcotte
Trois salles de bain inspirantes
c ontempor A ine, c LA ssique ou c HA mpĂȘtre,
c HA cune de ces s ALL es de b A in se déc L ine
Avec styLe Afin dâoffrir un espAce de dĂ©tente sur mesure.
/ Conception et rĂ©alisationâ: Atelier Avant-Garde

ESPACE Ă LâITALIENNE
LaurĂ©ate en 2023 dâun prix Nobilis dans la catĂ©gorie «âRĂ©novation et/ou agrandissement â 200 000â$ et moinsâ», cette salle de bain faisait partie dâun vaste projet de transformation visant Ă redonner ses airs de jeunesse Ă cette rĂ©sidence. Le bain podium qui sây trouvait a ainsi fait place Ă cette immense douche italienne contemporaine vitrĂ©e avec bain autoportant intĂ©grĂ©.

ESPACE DE ZĂNITUDE
Le raffinement est au rendez-vous dans cette spacieuse salle de bain qui combine Ă merveille le noir et le dorĂ©. Remarquez la robinetterie, les poignĂ©es et boutons ainsi que le sol de la douche en mosaĂŻqueâ: ils apportent de la brillance dans la piĂšce. Autre dĂ©tailâ: la douche double est sĂ©parĂ©e par un banc en granit noir alors que le bain trouve sa place prĂšs de la fenĂȘtre qui offre une vue sur le fleuve. Pour un supplĂ©ment de luxe, on a optĂ© pour un chic dosseret en marbre.
ESPACE DE DOUCEUR
Afin de respecter le style champĂȘtre de la demeure, cette salle de bain a Ă©tĂ© revampĂ©e en y intĂ©grant des Ă©lĂ©ments distinctifs, tels que les carreaux Ă motifs que lâon aperçoit en dosseret et sur le mur adjacent. La teinte bleue du meuble-lavabo contribue quant Ă elle Ă lâambiance reposante de la piĂšce.


Habitation / Marie-Josée Turcotte
Le diable est dans les détails
une muLtitude de détAiLs d Ans Le design
A insi que L e c H oix des m AtĂ©ri A ux et des tissus font de cette sALLe de bAin un Lieu unique oĂč se dĂ©poser en douceur.
/ Conception et rĂ©alisationâ: Un Fauteuil Pour Deux
Le but recherchĂ©â: crĂ©er un cocon intime Ă lâabri des regards. Pour ce faire, on accĂšde Ă cette piĂšce en traversant le walk-in adjacent Ă la chambre principale. Ce lieu de repos est dâautant plus lumineux grĂące Ă la porcelaine fini marbre qui enveloppe lâespace, rehaussĂ© par la robinetterie dorĂ©e en laiton brossĂ©. Touche finale pour une sĂ©ance de relaxation optimaleâ: la baignoire toute en courbes avec dossier surĂ©levĂ©.


La texture du bois de chĂȘne apporte ici une richesse indĂ©niable Ă lâespace lavabos et au coin maquilleuse, ce dernier brillant par son aspect fonctionnel grĂące aux miroirs autoportants et aux tiroirs de rangement conçus sur mesure par lâĂ©quipe dâUn Fauteuil Pour Deux. Parmi les dĂ©tails, remarquez les stores romains en lin et leur forme en chevrons identique Ă celle de la porcelaine autour de la baignoire. Encore une preuve que dans lâart du design, rien ne doit ĂȘtre laissĂ© au hasard.
Autre dĂ©tail intĂ©ressantâ: la porcelaine qui, avec sa pose en chevrons, dĂ©limite un espace rectangulaire autour de la baignoire, rappelant la forme dâun tapis. Remarquez aussi lâalcĂŽve au-dessus de la baignoire, aussi pratique quâesthĂ©tique.



Le nec plus ultra dans votre douche
LA tendAnce est Ă LA doucHe itALienne. dâun design Ă©purĂ© et contempor A in, e LL e re HA usse L âest H Ă©tisme de toute sALLe de bAin. et pour une toucHe suppLĂ©mentAire dâĂ©LĂ©gAnce, on opterA pour une b A se de douc H e signĂ©e roc - b A se mc , un produit de f A bric A tion quĂ©bĂ©coise excLusif Ă grAnit pLus.
Base de douche
ROC-BASEMC Linéa en quartz, collection Premiun, couleur Calacatta Extra.
Base de douche
ROC-BASEMC Linéa sur mesure en quartz, couleur Organic White Caesarstone.

Reconnue depuis 2011 pour sa qualitĂ© et sa facilitĂ© dâentretien, la base de douche ROC-BASEMC est la plus mince (30 mm) et la plus rĂ©sistante sur le marchĂ©. Il sâagit aussi du produit le plus polyvalent et personnalisable en AmĂ©rique du Nord. «âIl est possible de crĂ©er une base de douche sur mesure, explique Alex Lacroix, copropriĂ©taire de Granit Plus. On choisit la couleur, en granit ou en quartz, et on taille la base selon la dimension souhaitĂ©e, selon la position et la forme du drain, quâil soit central ou linĂ©aire. De plus, Granit Plus et ROC-BASEMC mettent un point dâhonneur Ă offrir des produits 100â% canadiens ayant une faible empreinte Ă©cologique, en provenance de lâOntario ou de Saint-Nazaire.â»

Base de douche ROC-BASEMC en granit, couleur Saint-Henri noir.

Base de douche ROC-BASEMC Linéa en granit, couleur Cambrian noir.
Il est Ă noter que la surface est antidĂ©rapante pour plus de sĂ©curitĂ© et, autre attrait de taille, lâattente pour ce type de produit n'est que de deux Ă trois semaines. Les produits ROC-BASEMC conviennent ainsi parfaitement aux projets multirĂ©sidentiels (condos), commerciaux (tels que les hĂŽtels) et mĂȘme institutionnels (comme les centres dâhĂ©bergement).
Pour en savoir davantageâ: rocbase.com | granitplus.com


MatĂ©riaux tendance pour projets dâamĂ©nagement extĂ©rieurs distinctifs
ALors que Le bĂ©ton continue dâembeLLir Les terrAsses et Les pourtours de LA piscine, LA porceLAine, que Lâon retrouve surtout Ă LâintĂ©rieur, fAit Aussi sA grAnde sortie, ApportAnt un cAcHet contemporAin indĂ©niAbLe Aux espAces de vie extĂ©rieurs.

Tout droit importĂ©e dâItalie, la porcelaine apporte de la noblesse et un grand raffinement de style europĂ©en aux projets dâamĂ©nagement, comme en tĂ©moigne cette terrasse avec cuisine extĂ©rieure. Ici encore, les tuiles de grand format volent la vedette. Qui plus est, ce matĂ©riau polyvalent et offert en de nombreux coloris est rĂ©sistant Ă lâusure et aux rayures de mĂȘme quâaux rayons ultraviolets et aux grands Ă©carts de tempĂ©rature; ce dernier facteur Ă©tant essentiel pour faire face Ă notre climat quĂ©bĂ©coisâ! Enfin, sachez que la porcelaine est beaucoup plus abordable quâelle nây paraĂźt.

Un bel exemple de grandes tuiles de bĂ©ton pour un look Ă©purĂ© et moderne. Les fabricants redoublent dâailleurs dâingĂ©niositĂ© afin de proposer des produits aux formats de plus en plus grands.
Un autre bel exemple de dalles de bĂ©ton classique. AssociĂ©es Ă la sobriĂ©tĂ© de la pierre et Ă la chaleur du bois, elles reprĂ©sentent le match parfaitâ!
/ Conception et rĂ©alisationâ:
Les Artisans du Paysage


Au quĂ©bec, beAucoup de propriĂ©tAires de mAisons possĂšdent un poĂȘ L e pour se rĂ©c HA uffer dur A nt L â H iver. pA rmi L es modĂš L es offerts, L e poĂȘ L e Ă gr A nu L es A be Aucoup fA it pA r L er de Lui Au cours des derniĂšres A nnĂ©es. q uâest-ce qui exp L ique s A popuLAritĂ© grAndissAnte dAns LA provinceâ? câest ce que nous ALLons dĂ©couvrir dAns cette cHronique.
UN COMBUSTIBLE ĂCOLOGIQUE
Le poĂȘle Ă granules, comme son nom lâindique, est conçu pour fonctionner grĂące Ă des granules. GĂ©nĂ©ralement, ceuxci sont fabriquĂ©s Ă partir de morceaux de bois recyclĂ©s, puis transformĂ©s avant dâĂȘtre vendus dans des sacs. MalgrĂ© cette mĂ©thode de fabrication, les granules restent abordables et permettent dâobtenir un bon retour sur investissement. Ils reprĂ©sentent une solution de rechange aux combustibles fossiles, renouvelables et neutres en carbone.
UNE CHALEUR UNIFORME
Opter pour un poĂȘle Ă granules, câest choisir le confort et le bien-ĂȘtre dâune chaleur uniforme qui sâadapte Ă vos besoins. Effectivement, avec ce type de chauffage, vous avez la possibilitĂ© de contrĂŽler sa puissance et Ă©galement, selon certains modĂšles, de programmer les heures de chauffage en gĂ©rant le poĂȘle grĂące Ă un thermostat dâambiance.
ENTRETIEN DE LâAPPAREIL
UtilisĂ©s rĂ©guliĂšrement, les poĂȘles Ă granules requiĂšrent gĂ©nĂ©ralement un entretien annuel et hebdomadaire. Chaque semaine, vous devez nettoyer le pot de combustion (lĂ oĂč sont brĂ»lĂ©s les granules) et balayer les cendres sur les composants internes pour Ă©viter toute obstruction de la circulation dâair qui pourrait diminuer la performance de lâappareil ou lâempĂȘcher de fonctionner.

Célina Fontaine
Copropriétaire
Les Cheminées Gamelin

PoĂȘle Ă granules Piazzetta, modĂšle Monia 2.0
Pour en savoir davantageâ:
leschemineesgamelin.com PoĂȘle Ă granulesâ: pourquoi opter pour ce type dâappareilâ?
Comme pour un poĂȘle Ă bois, vous devez Ă©galement nettoyer la vitre si vous voulez garder une vue dĂ©gagĂ©e sur le feu. Comme ces poĂȘles comportent plusieurs composants mĂ©caniques, ils nĂ©cessitent davantage dâentretien. Pour minimiser les coĂ»ts, entretenez rĂ©guliĂšrement votre appareil Ă granules selon les recommandations du manuel dâutilisation.
Lâachat dâun poĂȘle Ă granules vous intĂ©resseâ? Venez nous rencontrer et visiter notre salle dâexposition situĂ©e au 275, avenue Saint-Sacrement, local 120, Ă QuĂ©bec.
418Â 527-8906
info@leschemineesgamelin.com

NOUVEAU DĂCOR, MĂME AMBIANCE !
Au service de votre santĂ© oculaire depuis plus de 60 ans, lâĂ©quipe de Langlois opticien est heureuse de vous accueillir dans sa clinique fraichement agrandie et rĂ©novĂ©e.
Nos 2 optomĂ©tristes, 7 opticien.ne.s et 3 conseillĂšres continuent de vous offrir le mĂȘme service attentif et personnalisĂ©. Faites confiance Ă nos experts pour vous accompagner dans le choix de produits oculaires qui rĂ©pondent Ă vos besoins et Ă votre style.
LANGLOIS OPTICIEN
1113, route de lâĂglise, Sainte-Foy 418 659-3616
Pour planifier un rendez-vous, contactez-nous au 418 659-3616
Pourquoi consulter des dentistes spĂ©cialistesâ?
LA médecine dentAire, comme du cÎté de LA médecine générALe, possÚde ses spéciALités.
Lâordre des dentistes du quĂ©bec en reconnAĂźt neufâ: cHirurgie buccALe et mAxiLLo-fAciALe, mĂ©decine bucc AL e, pAt H o L ogie bucc AL e et m A xi LL o-f A ci AL e, r A dio L ogie bucc AL e et mAxiLLo-fAciALe, prostHodontie, endodontie, ort H odontie, p A rodontie et dentisterie pĂ©diAtrique. mĂȘme si un certAin nombre de pAtients sont dirigĂ©s vers Les spĂ©ciAListes
p A r L eur génér AL iste, toute personne peut L es consu Lter s A ns intermédi A ire. voyons ce qui peut justifier L e recours à Leur expertise.
Lâensemble des dentistes ont comme dĂ©nominateur commun le titre de docteur en mĂ©decine dentaire (ou chirurgien-dentiste) obtenu Ă la suite dâun doctorat de premier cycle (4-5 ans). Parmi eux, plusieurs poursuivent au second cycle afin dâexplorer â en raison dâaptitudes et dâintĂ©rĂȘts particuliers â lâune de ces spĂ©cialitĂ©s. Il apparaĂźt donc logique que spĂ©cialitĂ© soit synonyme de connaissances et dâexpĂ©rience plus Ă©tendues; dâailleurs, plusieurs de ces spĂ©cialistes vous diront que leurs annĂ©es dâĂ©tudes supplĂ©mentaires, qui vont souvent du simple au double, ont modifiĂ© leur perception de leur profession et leur façon de la pratiquer. Notons que nombre de dentistes gĂ©nĂ©ralistes, grĂące Ă la formation continue et lâexpĂ©rience, choisissent de dĂ©velopper des habiletĂ©s particuliĂšres, ce qui ne les empĂȘche pas de dĂ©lĂ©guer Ă des spĂ©cialistes des actes qui les sortent de leur zone de confort.
Câest dâailleurs de plus en plus le cas en implantologie, une discipline ne figurant pas dans la liste des spĂ©cialitĂ©s autorisĂ©es. Deux programmes universitaires â chirurgie buccale et maxillo-faciale ainsi que parodontie â lâincluent Ă leur cursus pour la partie chirurgicale, tandis qu'elle fait partie de la plupart des programmes de prosthodontie.
«âBien sĂ»r, nous ne prenons pas seulement en charge les cas les plus complexes, mais ce sont eux qui illustrent le mieux notre expertise particuliĂšre, acquise pendant nos annĂ©es supplĂ©mentaires dâĂ©tudes et notre rĂ©sidence, qui nous ont permis dâobserver un grand nombre de cas particuliersâ», prĂ©cise le Dr Adrien Pollini, prosthodontiste chez Prostho-QuĂ©bec.
Sa collĂšgue et propriĂ©taire de la clinique Prostho-QuĂ©bec, la Dre Nancy Dubois, abonde dans le mĂȘme sensâ: «âDe façon gĂ©nĂ©rale, si votre dentiste est Ă bout de ressources pour rĂ©gler votre problĂšme, câest lĂ que nous entrons en scĂšne, rĂ©sume-t-elle. Et câest ici quâintervient la notion de bouche compliquĂ©e.â»
De son cĂŽtĂ©, le propriĂ©taire de la Clinique spĂ©cialisĂ©e de QuĂ©bec, le Dr Jean El-Fata, insiste sur les 12 annĂ©es dâĂ©tudes requises pour lâobtention du titre de chirurgien maxillo-facial, la seconde partie Ă©tant extrĂȘmement contingentĂ©e. «âIl va de soi que plus nous voyons et traitons de cas dans notre spĂ©cialitĂ©, sans compter notre parcours universitaire, plus nous dĂ©veloppons un savoir qui sort des cadres habituels de pratique. Cela nous permet aussi de mieux gĂ©rer les cas les plus complexes. MĂȘme chose pour notre collĂšgue, D re  Catherine LalibertĂ©, lâune des rares spĂ©cialistes en mĂ©decine et pathologie buccale, qui voit davantage de cas particuliers en une annĂ©e que des dentistes en une carriĂšre. Lâexpertise est indĂ©niable.â»

/ Gilles Levasseur
Parmi les motifs les plus rĂ©pandus qui amĂšnent Ă consulter un dentiste spĂ©cialiste, mise Ă part la recommandation du dentiste traitant, on note le dĂ©sir dâobtenir une seconde opinion, la confirmation ou lâinfirmation dâun diagnostic grave, peu usuel ou douteux, la recherche dâune solution de rechange Ă un traitement ainsi que dâun traitement dont la complexitĂ© exige une ou des techniques spĂ©cialisĂ©es. Il faut dire que certaines spĂ©cialitĂ©s trĂšs pointues peuvent difficilement ĂȘtre pratiquĂ©es par des dentistes gĂ©nĂ©ralistes.
Spécialités
01/ CHIRURGIE BUCCALE ET MAXILLO-FACIALE
Extractions complexes, les dents de sagesse notamment, traitement de tumeurs cancéreuses, reconstruction des maxillaires, correction des malocclusions dento-squelettiques, traumatologie faciale, greffe osseuse et implantologie.
02/ MĂDECINE BUCCALE
Gestion de la santé buccale de patients présentant des conditions médicales complexes, diagnostic et traitement (principalement non chirurgical) des maladies de la cavité buccale et des troubles affectant la sphÚre orofaciale.
03/ PATHOLOGIE BUCCALE ET MAXILLO-FACIALE
Diagnostic et traitement des maladies de la bouche, notamment le cancer, par lâexamen dĂ©taillĂ© dâĂ©chantillons prĂ©levĂ©s lors de biopsies ainsi que par des analyses sanguines. De la dermatologie de la boucheâ!
04/ RADIOLOGIE BUCCALE ET MAXILLO-FACIALE
InterprĂ©tation de radiographies dentaires de cas plus complexes, notamment en prĂ©sence de tumeurs cancĂ©reuses. Utilisation de techniques dâimagerie plus avancĂ©es.

Statistiques
Au 31 mars 2022, plus de 4908 dentistes Ă©taient actifs dans lâensemble du QuĂ©bec, une diminution de 8â% par rapport aux donnĂ©es remontant Ă lâautomne 2018. De ce nombre, on estime Ă plus ou moins 10â% la proportion de dentistes spĂ©cialistes.
05/ PROSTHODONTIE
Indiquée dans les cas complexes de réhabilitation complÚte des arcades dentaires et de réparation de dents endommagées au moyen de ponts, couronnes, prothÚses et dentisterie cosmétique, ainsi que les restaurations sur implants.
06/ ENDODONTIE
Prévention, diagnostic et traitement des maladies et traumatismes affectant la pulpe et les tissus entourant les racines dentaires. Spécialité connue pour les traitements de canal plus complexes.
07/ ORTHODONTIE
Correction de lâalignement des dents et de leur malocclusion afin de prĂ©venir dâĂ©ventuels problĂšmes dentaires, gingivaux ou maxillaires. Ăvaluation de la pertinence de porter un appareil orthodontique ou une prothĂšse, ou de prescrire tout autre traitement.
08/ PARODONTIE
PrĂ©vention, diagnostic et traitement des maladies touchant les tissus de soutien de la dent, quâils soient osseux, gingivaux et microligamentaires.
09/ DENTISTERIE PĂDIATRIQUE
Soins dentaires des enfants jusquâĂ lâadolescence. Ces spĂ©cialistes en dentisterie pĂ©diatrique sont spĂ©cialement formĂ©s et leurs cabinets offrent souvent un environnement adaptĂ© pour rassurer la jeune clientĂšle.
PROSTHO-QUĂBEC
La prosthodontie démystifiée

Dr Adrien Pollini, prosthodontiste; Dre Nancy Dubois, prosthodontiste et présidente de Prostho-Québec; et Dre Elyse Grenier, parodontiste.
profession mĂ©connue de LA popuLAtion, LA prostHodontie est L â A rt de rĂ©p A rer L es dents n A ture LL es ou rempLAcer ceLLes qui mAnquent Afin de restAurer Ă LA fois L âest H Ă©tique et LA fonction. c es professionne L s interviennent gĂ©nĂ©rALement Lorsque LA dentition est Ă ce point compromise que LA position et LA forme des dents doivent ĂȘtre redĂ©finies, ce qui requiert une ApprocHe gLobALe qui Les AmĂšne Ă coLLAborer Avec un ou pLusieurs spĂ©ciAListes dentAires. en rĂ©ALitĂ©, Les prostHodontistes Agissent comme ArcHitectes, coordonnAteurs de soins et concepteurs de LA reconstruction en utiLisAnt Les outiLs â couronnes, ponts, impLAnts, protHĂšses compLĂštes ou pArtieLLes AmovibLes ou fixes, rAdiogrApHies/impression 3D et Logicie L s de p LA nific Ation â que LA tec H no Logie met Ă L eur disposition. cH ez p rost H o- q uĂ©bec, cette muLtidiscipLinAritĂ© se trAduit pAr un Heureux mAriAge, sous un mĂȘme toit, de LA prostHodontie et LA pArodontie, deux discipLines intimement LiĂ©es.
«âBien sĂ»r, nous ne prenons pas seulement en charge les cas les plus complexes, mais ce sont eux qui illustrent le mieux notre expertise particuliĂšreâ » , prĂ©cise dâentrĂ©e de jeu le Dr Adrien Pollini, prosthodontiste Ă la clinique Prostho-QuĂ©bec, ouverte en 2017 dans Lebourgneuf Ă la suite du dĂ©part Ă la retraite du Dr AndrĂ© Lebire, et dont la propriĂ©taire est la Dre Nancy Dubois, qui prĂ©sente un parcours de trois dĂ©cennies dans le domaine dentaire. Ce savoir-faire repose sur la formation postdoctorale avancĂ©e de trois ans que les candidats doivent rĂ©ussir en plus du doctorat de premier cycle de quatre annĂ©es en mĂ©decine dentaire. Ce programme de rĂ©sidence en prosthodontie constitue une vĂ©ritable immersion pendant laquelle le rĂ©sident fait face Ă un maximum de situations cliniques complexes, ce qui lui permet dâacquĂ©rir une expĂ©rience unique dans leur gestion.
«âNous vivions littĂ©ralement Ă lâhĂŽpital ou Ă lâĂ©cole dentaire, nos journĂ©es sâĂ©tendaient souvent de 8âh Ă 23âhâ», se souvient le Dr Pollini. De plus, cette formation associĂ©e Ă une maĂźtrise permet de former dâautres spĂ©cialistes ou des Ă©tudiants en dentisterie gĂ©nĂ©rale, notamment dans le milieu universitaire ou la communautĂ©. La rĂ©gion immĂ©diate de QuĂ©bec compte huit prosthodontistes, dĂ©montrant la relative raretĂ© qui caractĂ©rise cette spĂ©cialitĂ©.
Ă QUI LA PROSTHODONTIE SâADRESSE-T-ELLEâ?
Si le terme «âprosthodontisteâ » ne vous est pas familier, allons-y dâune image pour vous donner une juste idĂ©e de la clientĂšle type. «âDe façon gĂ©nĂ©rale, si votre dentiste est Ă bout de ressources pour rĂ©gler votre problĂšme, rĂ©sume la Dre Dubois, câest lĂ que nous entrons en scĂšne. Et câest ici quâintervient la notion de bouche compliquĂ©e.â» Par exemple, certains patients prĂ©sentant des troubles de serrement ou de grincement des dents rĂ©alisent aprĂšs plusieurs annĂ©es que toutes leurs dents sont devenues trĂšs minces et sensibles. Il faut alors les reconstruire avec des couronnes pour leur redonner une forme adĂ©quate afin de rectifier lâocclusion. «âSi ce travail est mal planifiĂ©, poursuit la Dre Dubois, le patient pourra souffrir de problĂšmes dentaires et de troubles articulatoires par la suite.â»
Autre exemple, celui dâun patient prĂ©sentant des dĂ©fauts de croissance des structures osseuses occasionnant des difficultĂ©s esthĂ©tiques et fonctionnelles en raison de problĂšmes gĂ©nĂ©tiques ayant entraĂźnĂ© lâabsence de plusieurs dents dĂšs lâenfance. Le prosthodontiste Ă©laborera un plan visant Ă remplacer les dents manquantes et reconstruire lâocclusion. «âNous voyons aussi plusieurs cas de personnes prĂ©sentant des rĂ©ductions considĂ©rables de la masse osseuse parce quâelles portent de longue date des prothĂšses amovibles (dentiers), ce qui rend souvent difficile la pose dâimplants standards, explique la Dre Dubois. Les implants zygomatiques reprĂ©sentent alors une solution intĂ©ressante puisque leur longueur (3 à 5 cm) permet de les ancrer dans lâos de la joue. Nous travaillons pour ce faire en Ă©troite collaboration avec un chirurgien maxillo-facial pour planifier et exĂ©cuter la chirurgie dâ implants afin de retenir une prothĂšse finale fixe vissĂ©e en place. Les patients ressortent avec une prothĂšse fixĂ©e le jour mĂȘme de la chirurgie.â»
DES OUTILS DE POINTE
Lâinformatique a complĂštement rĂ©volutionnĂ© la prosthodontie. Chez Prostho-QuĂ©bec, des outils numĂ©riques de pointe garantissent une prĂ©cision chirurgicale pour lâatteinte de rĂ©sultats optimaux. «âTout dâabord, une camĂ©ra intra-orale, qui remplace la pĂąte pour les empreintes, crĂ©e un modĂšle virtuel de la bouche complĂšte que lâon peut visualiser Ă lâĂ©cran avec le patient, ce qui est trĂšs utile pour lui faire comprendre lâĂ©tat de sa bouche, explique la Dre Dubois. Lâensemble des donnĂ©es ainsi recueillies est intĂ©grĂ© dans un logiciel de planification virtuelle grĂące auquel nous pouvons positionner prĂ©cisĂ©ment les implants en fonction de la position planifiĂ©e des dents. Notre imprimante 3D permet mĂȘme de produire un gabarit chirurgical qui guidera le foret dans lâangle parfait au moment de lâintervention, Ă©vitant ainsi toute mauvaise surprise. Lâappareil est aussi conçu pour fabriquer, entre autres outils de travail, des modĂšles dâĂ©tude et des plaques occlusales.â»

/ AprĂšs


/ AprĂšs

/ Avant / Avant / Avant

/ AprĂšs

MULTIDISCIPLINARITĂ
La multidisciplinaritĂ© qui caractĂ©rise la prosthodontie se traduit, sous un mĂȘme toit, par un fructueux mariage avec la parodontie. «âDans notre approche globale, explique Nancy Dubois, la dent â telle une maison â ne tiendrait pas longtemps sans ses fondations, de sorte quâon ne peut faire abstraction des tissus de soutien, les gencives, les ligaments et la masse osseuse. Ă cet Ă©gard, la prĂ©sence de la D re  Ălyse Grenier, Ă temps partiel, facilite la communication et accroĂźt de beaucoup notre efficacitĂ© pour certains cas.â» Le parodontiste se spĂ©cialise dans la prĂ©vention, le diagnostic et le traitement des maladies et des problĂšmes qui affectent ces tissus de soutien. «âIl est important de savoir que la maladie gingivale comporte peu de signes visibles et de douleur, sauf en cas dâinfections aiguĂ«sâ», rappelle Dre Grenier. Celle-ci ajoute que le pourtour des implants peut aussi ĂȘtre touchĂ© par une maladie infectieuse appelĂ©e pĂ©ri-implantite, qui entraĂźne un processus inflammatoire dans les tissu mous et durs, provoquant une perte dâos de soutien. «âDans tous les cas, conclut-elle, la prĂ©vention et la dĂ©tection rapide sont les clĂ©s permettant de dĂ©celer rapidement les maladies.â»
La clinique de la rue des Replats se distingue aussi par son laboratoire, oĂč la technologue en prothĂšses dentaires Anik StLouis coordonne la conception, la fabrication et la cuisson de prothĂšses dâacrylique en tous genres. Sa vaste expĂ©rience â plus de 20 ans â fait dâelle une ressource indispensable. Le fait quâelle soit sur place rĂ©duit au minimum le temps dâattente ainsi que les dĂ©placements, et accroĂźt la qualitĂ© des ajustements.
LâĂCOLE DES FORCES
Ces dĂ©fis complexes, la Dre Dubois les aborde avec le recul dâun parcours de prĂšs de 30 ans Ă titre dâofficier dentaire retraitĂ©e au rang de lieutenant-colonel dans les Forces armĂ©es canadiennes, un vĂ©cu trĂšs riche dâexpĂ©riences et de formations diverses, sans compter les postes de commandement quâelle a occupĂ©s, qui dĂ©veloppent sangfroid, rigueur et discipline. «âCâest lĂ que jâai appris Ă coordonner le travail multidisciplinaire dans des situations difficiles, raconte-t-elle, ce qui mâa attirĂ©e vers la prosthodontie. AprĂšs lâarmĂ©e, jâai rĂ©alisĂ© mon projet dâouvrir une petite clinique Ă Ă©chelle humaine rĂ©unissant des passionnĂ©s de la dentisterie. Notre profession nous accorde par ailleurs le privilĂšge dâaider des gens en dĂ©tresse avec compassion et de les accompagner au meilleur de nos connaissances et de notre expĂ©rience tout au long de notre intervention. Notre plus belle rĂ©compense Ă la fin est de voir leurs sourires Ă©panouis et leur qualitĂ© de vie amĂ©liorĂ©eâ!â» Fait Ă noter, la Dre Grenier a Ă©galement ĆuvrĂ© dans le monde militaire pendant deux dĂ©cennies.
Sans surprise, la prosthodontie a des effets positifs sur la santĂ©, comme en fait foi cette revue systĂ©matique (J Oral Biol Craniofac Res 2019 Oct-Dec;9(4)â:340-346 ) des articles de littĂ©rature portant sur des porteurs de doubles prothĂšses amovibles, qui a rĂ©vĂ©lĂ© une amĂ©lioration de leur qualitĂ© de vie quelques annĂ©es aprĂšs la mise en place dâimplants dentaires. Mieux encore, cette spĂ©cialitĂ© permet aux gens qui y ont recours, ravigotĂ©s par une estime de soi renouvelĂ©e, de mordre Ă nouveau Ă belles dents dans la vieâ!
CAS CLINIQUES

/ Avant

/ AprĂšs
/ Avant


/ AprĂšs
/ Avant

/ AprĂšs

Dre Nancy Dubois
/ Doctorat en médecine dentaire, Université Laval
/ Certificat en prosthodontie et maßtrise en sciences dentaires, Université du Connecticut, Connecticut
/ Fellow (et examinatrice depuis 2008) du CollĂšge royal des chirurgiens dentistes du Canada
/ Ex-prĂ©sidente (2014-2016) de lâAssociation des prosthodontistes du Canada
/ Membre du conseil d'administration de lâAssociation canadienne des spĂ©cialistes dentaires (2016-2018)
/ Diplomate de lâAmerican Board of Prosthodontics
/ ConseillÚre en chef en prosthodontie pour le Service dentaire des Forces armées canadiennes (2009-2016)

Dr Adrien Pollini
/ Doctorat en médecine dentaire, Université de Lyon
/ Certificat de spécialité en prosthodontie et maßtrise en sciences, Université de Louiseville, Kentucky
/ Fellow du CollĂšge royal des chirurgiens dentistes du Canada
/ Formation implantaire, Université de Louisville, Kentucky - Récipiendaire de la bourse International Team for Implantology
/ Co-auteur du livre Lâimplantologie Supra Crestale, Ăditions Quintessence (2016) ainsi que de nombreux articles de portĂ©e internationale
/ Professeur agrégé, Faculté de médecine dentaire, Université Laval
/ Directeur du programme de dentisterie multidisciplinaire, Faculté de médecine dentaire, Université Laval
Dre Ălyse Grenier
/ Doctorat en médecine dentaire, Université Laval
/ Certificat de spécialité en parodontie et maßtrise en sciences
/ Fellow du CollĂšge royal des chirurgiens dentistes du Canada
«âde fAçon gĂ©nĂ©rALe, si votre dentiste est Ă bout de ressources pour rĂ©gLer votre prob L Ăšme, câest L Ă que nous entrons en scĂšne. et câest ici quâintervient LA notion de boucHe compLiquĂ©e.â»
- Dre Nancy Dubois, prosthodontiste et présidente de Prostho-Québec.
Informations utiles :
/ Prostho-Quebecâ: prosthoquebec.ca
/ FĂ©dĂ©ration dentaire des spĂ©cialistes du QuĂ©becâ: fdsq.qc.ca
/ Association des prosthodontistes du Canadaâ: prosthodontics.ca
/ American College of Prosthodontistsâ: gotoapro.org
/ Association des parodontistes du Canadaâ: cap-acp.ca
/ American Academy of Periodontologyâ: perio.org
Pour en savoir davantage ou pour prendre rendez-vousâ:
4715, avenue des Replats, local 200, Québec 418 781-0465 | prosthoquebec.ca

Clinique Spécialisée de Québec
UNE RĂFĂRENCE EN MATIĂRE
DâIMPLANTS DEPUIS BIENTĂT 35Â ANS
fondĂ©e en 1989 pAr Le dr domenico morieLLi, cHirurgien mAxiLLo-fAciAL, LA cLinique spĂ©ciALisĂ©e de quĂ©bec A toujours fAit figure, dĂšs ses dĂ©buts, de pionniĂšre en impLAntoLogie, notAmment en mAtiĂšre de cHirurgie guidĂ©e pAr ordinAteur, quâon y prAtique depuis 20 Ans. LA pose dâimpLAnts fAit ses preuves depuis quAtre dĂ©cennies Au cAnAdA mĂȘme si son inventeur, Le dr per ingvAr brĂ„nemArk, AvAit dĂ©jĂ Ă LâĂ©poque 30 Ans de recuL en cette mAtiĂšre. AujourdâHui, LA cLinique du secteur sA inte- f oy propose son s Avoir-fA ire en cHirurgie mAxiLLo-fAciALe Ainsi quâen pAtHoLogie et mĂ©decine buccALe, en pLus dâoffrir des formAtions AvAncĂ©es en impLAntoLogie.
© Marc-Ăric Baillargeon, Les Festifs
D r  Alain Guimont , spécialiste en chirurgie buccale et maxillo-faciale;
D re  Catherine Laliberté , spécialiste en médecine et pathologie buccale; et D r  Jean El-Fata , spécialiste en chirurgie buccale et maxillo-faciale.
«âLe Dr Morielli Ă©tait mon professeur de chirurgie maxillofaciale Ă lâuniversitĂ©â», raconte le Dr Jean El-Fata, qui a joint la clinique en 2004 pour devenir lâassociĂ© du fondateur, maintenant retraitĂ©. Le chirurgien partage sa pratique avec son collĂšgue, le Dr Alain Guimont, Ă©galement spĂ©cialiste en chirurgie buccale et maxillo-faciale, tandis que la spĂ©cialiste en mĂ©decine et pathologie buccale, la Dre Catherine LalibertĂ©, complĂšte cette Ă©quipe multidisciplinaire, qui compte sur un personnel de soutien prĂ©sent de longue date, «âune belle et fidĂšle familleâ!â», tĂ©moigne le Dr El-Fata.
UN LONG PARCOURS
Dans le cheminement universitaire en mĂ©decine dentaire, seuls les programmes en chirurgie buccale et maxillofaciale ainsi quâen parodontie comportent une formation en implantologie. En rĂ©alitĂ©, un chirurgien maxillo-facial effectue un programme de rĂ©sidence de six annĂ©es supplĂ©mentaires en mĂ©decine et en chirurgie avant dâobtenir son diplĂŽme de spĂ©cialiste, soit plus que le double de ce qui est requis pour les chirurgiens-dentistes, la seconde partie Ă©tant trĂšs contingentĂ©e, Ă preuve les trois ou quatre finissants chaque annĂ©e dans la province.
EXPERTISE PARTICULIĂRE ET CENTRE DE FORMATION
Lâimplantologie occupe la majeure partie des interventions Ă la clinique en plus de la chirurgie, notamment lâextraction des dents de sagesse, qui demande beaucoup de savoir-faire et de minutie. «âNotre expertise en implantologie sâĂ©tend du traitement de la dent unitaire, tant en zones esthĂ©tique que postĂ©rieure, nĂ©cessitant ou non des interventions aux niveaux osseux ou gingival, prĂ©cise le Dr El-Fata. Nous prenons aussi en charge les cas de rĂ©sorption osseuse modĂ©rĂ©e Ă sĂ©vĂšre Ă la mandibule ou au maxillaire supĂ©rieur, qui exigent lâutilisation dâimplants spĂ©cifiques, tels que les implants zygomatiques, qui prennent ancrage au niveau de lâos de la joue.â»
La Clinique SpĂ©cialisĂ©e de QuĂ©bec collabore avec plusieurs dentistes gĂ©nĂ©ralistes et spĂ©cialistes, non seulement dans la rĂ©gion de QuĂ©bec, mais partout en province. «âNous revoyons aujourdâhui nos patients qui ont leurs implants 20 à 30 ans aprĂšs leur mise en place, confirmant que notre façon de procĂ©der est bien connue, prĂ©visible et basĂ©e sur une littĂ©rature scientifique trĂšs solide, indique le Dr El-Fata. VoilĂ pourquoi nous faisons confiance Ă Nobel Biocare, la plus ancienne compagnie fondĂ©e par lâinventeur de lâimplantologie, justement en raison de son plus long recul scientifique. Cette derniĂšre nous a dâailleurs reconnus en 2022 comme centre dâexcellence pour ce qui est de la qualitĂ© de nos traitements ainsi que pour les formations en implantologie que nous offrons depuis 2005 à nos collĂšgues provenant du QuĂ©bec et du Canada.â» La clinique dispose Ă©videmment des plus rĂ©centes technologies numĂ©riques pour planifier et exĂ©cuter les interventions avec la plus grande prĂ©cision et prĂ©visibilitĂ©. «âLe futur, dit-il, câest la navigation chirurgicale, que nous avons dĂ©jĂ commencĂ© Ă utiliser, qui nous permet dâexĂ©cuter la mise en place des implants en parfaite position tridimensionnelle et en temps rĂ©el sur Ă©cran selon la planification virtuelle effectuĂ©e par ordinateur.â»
MĂDECINE ET PATHOLOGIE BUCCALE
En plus du volet chirurgical, la clinique compte sur lâune des rares spĂ©cialistes en mĂ©decine et pathologie buccale, la Dre Catherine LalibertĂ©, qui investigue, conjointement avec les ORL et dâautres spĂ©cialistes du domaine mĂ©dical, tout ce que la bouche et lâos du visage peuvent comporter en termes de lĂ©sions, incluant celles associĂ©es au cancer, ainsi que les douleurs


«â n otre devise est c LA ireâ: on tr A ite nos pAtients comme on AimerAit LâĂȘtre nous-mĂȘmes.â»
Dr Jean El-Fata
ou sensations diverses. «âBeaucoup de maladies ont des Ă©chos dans la muqueuse buccale, confirme-t-elle; en fait, je suis en quelque sorte une dermatologue de la boucheâ! Ma spĂ©cialitĂ© complĂšte Ă merveille lâexpertise de mes collĂšgues.â»
Cette multidisciplinaritĂ© rejoint la mission de la clinique, qui promeut une vision globale des soins prodiguĂ©s au patient afin de mieux rĂ©pondre Ă ses besoins, en collaboration avec toutes les forces vives de la profession. «âNotre devise est claire, conclut le Dr El-Fataâ: on traite nos patients comme on aimerait lâĂȘtre nous-mĂȘmes.â»
Pour en savoir davantageâ:
2480, chemin Sainte-Foy, bureau 240, Québec
418Â 651-8900
cliniquespecialisee.ca
Automobile / Jean-Pierre Bouchard
VUS de luxe
UN MONDE DE POSSIBILITĂS
f ri A nds de L uxe, de confort et de perform A nces, L es consomm A teurs trouvent de pLus en pLus refuge derriÚre Le voLAnt des vus de Luxe. pLus que jAmAis, L es constructeurs L eur donnent AccÚs à un vAste éventAiL de possibiLités. Audi, genesis et porscHe en sont.
Genesis

GV60
Le GV60 a ouvert la marche dans la catĂ©gorie des vĂ©hicules Ă©lectriques de la marque sudcorĂ©enne. EnveloppĂ© dans un emballage aux allures dâun coupĂ©, le GV60 se dĂ©marque par des performances relevĂ©es, plus Ă©nergiques que plusieurs rivaux europĂ©ens, et qui peuvent lâĂȘtre davantage en utilisant le mode Boost. La puissance du moteur passe alors de 429 à 483 chevaux et le couple, de 446 à 516 lb-pi. Le vĂ©hicule Ă rouage intĂ©gral brille par son raffinement, son confort et sa douceur de roulement. Il figure parmi les vĂ©hicules les plus agrĂ©ables Ă conduire dans cette catĂ©gorie. La batterie procure suffisamment dâĂ©nergie pour atteindre 378 kilomĂštres.
/ Prixâ: 80Â 500â$ (2024)

GV70 (ESSENCE ET ĂLECTRIFIĂ)
Dans la catĂ©gorie des VUS compacts, le GV70 tire favorablement son Ă©pingle du jeu. Les concepteurs ont portĂ© une attention particuliĂšre aux dĂ©tails de finition, comme en tĂ©moignent certains Ă©lĂ©ments intĂ©rieurs inspirĂ©s de lâaviation. En livrĂ©e quatre cylindres turbo de 2,5 L de 300 chevaux, il assure des performances convaincantes. Genesis propose Ă©galement un puissant V6 biturbo de 3,5 L de 375 chevaux. De son cĂŽtĂ©, le GV70 électrifiĂ© partage les mĂȘmes qualitĂ©s que les modĂšles Ă essence sur le plan du confort et de lâagrĂ©ment de conduite. Ce VUS, qui peut rouler jusquâĂ 383 kilomĂštres avant dâĂȘtre rechargĂ©, impressionne par la vĂ©locitĂ© de sa motorisation, surpassant nombre de concurrents et de vĂ©hicules Ă moteur V6.
/ Prixâ: Ă partir de 57 500â$ (modĂšle Ă essence 2.T Advanced) et de 84 500â$ (Ă©lectrifiĂ©)
GV80
Le premier des utilitaires Genesis continue sur sa lancĂ©e avec la mĂȘme Ă©lĂ©gance. Tout comme le GV70, il profite dâun moteur quatre cylindres turbo de 2,5 L de 300 chevaux ou dâun V6 de 3,5 L de 375 chevaux. Si le premier effectue un excellent travail, le second permet de tirer profit du plein potentiel du vĂ©hicule sud-corĂ©en. Les deux moteurs font Ă©quipe avec une boĂźte automatique Ă huit rapports qui sâexĂ©cute avec une trĂšs grande douceur. Le raffinement demeure la carte de visite des produits du constructeur. Et le GV80 le prouve manifestement.
/ Prixâ: Ă partir de 76Â 000â$ et 83Â 000â$ (V6)

LA DIFFĂRENCE GENESIS
GV80 2.5T ADVANCED AWD Ă PARTIR DE
76â122 .50 $ â
LOCATION GV80 / 2024 GENESIS GV80
6.9 %
LOCATION Ă PARTIR DE JUSQUâĂ 36 MOIS PAIEMENT MENSUEL
1â222 .50â$

Chez Genesis, nous pensons quâil faut offrir lâincomparable tant sur la route que dans la vie quotidienne. LâexpĂ©rience dâachat et lâexpĂ©rience propriĂ©taire de Genesis surpassent les attentes Ă chaque instant afin de rendre lâarrivĂ©e de votre Genesis dans votre vie tout aussi agrĂ©able que sa conduite.
515 rue Clemenceau, Québec 1 844 999-0991 | 418 666-9000 genesisdequebec.ca
MC/MDLes noms, logos, noms de produits, noms des caractĂ©ristiques, images et slogans Genesis sont des marques de commerce appartenant Ă (ou accordĂ©es sous licence par) Genesis Motors Canada, une division de Hyundai Auto Canada Corp. Toutes les autres marques et tous les noms de commerce sont la propriĂ©tĂ© de leurs dĂ©tenteurs respectifs. â GV80 2.5T Advanced 2024 Ă traction intĂ©grale Ă un taux dâintĂ©rĂȘt annuel de location de 6,9 % jusquâĂ 36 mois. Paiement mensuel de 1 222.50 $ pour 36 mois sans obligation au terme du contrat de location. Acompte initial de 1 000 $ et premier versement exigĂ©s. La valeur du vĂ©hicule dâĂ©change, le cas Ă©chĂ©ant, pourra ĂȘtre appliquĂ©e au montant de lâacompte initial. Obligation totale de location de 44 010 $. Les offres de location comprennent le droit sur les pneus neufs et la taxe sur le climatiseur. Frais dâimmatriculation, assurances, PPSA/RDPRM, droits de permis de conduire et toutes les taxes applicables (TVH/TPS/TVP/TVQ) en sus. Aucun dĂ©pĂŽt de sĂ©curitĂ© (0 $) sur tous
Audi


AUDI Q8Â E-TRON 2024
Chez Audi, les vĂ©hicules Ă©lectriques prennent de plus en plus de place. La marque aux quatre anneaux entrelacĂ©s propose dĂ©sormais huit modĂšles Ă©lectriques, dont le Q8 e-tron. FraĂźchement redessinĂ© pour le millĂ©sime 2024, le VUS est apparu pour la premiĂšre fois sur lâĂ©chiquier de la mobilitĂ© Ă©lectrique dâAudi en 2018. Premier modĂšle entiĂšrement Ă©lectrique du constructeur, le VUS, nommĂ© Ă lâĂ©poque tout simplement e-tron, exprimait la volontĂ© du constructeur de proposer des vĂ©hicules plus propres, sans faire de compromis en matiĂšre de comportement routier, de performances, de confort et de raffinement.
Porsche
PORSCHE CAYENNE 2024
Ătant le premier VUS lancĂ© par la marque, le Cayenne entame en force lâannĂ©e 2024. RevisitĂ©, il se prĂ©sente toujours en versions conventionnelle et coupĂ©, toutes deux disponibles soit Ă essence soit en hybride rechargeable nommĂ©e E-Hybrid. Ces derniĂšres se dĂ©clinent en version ordinaire, S et Turbo. FidĂšle Ă sa rĂ©putation, Porsche prĂ©sente des vĂ©hicules aux performances exceptionnelles, comme en tĂ©moignent leurs fiches techniques. La puissance varie de 463 chevaux Ă rien de moins que 729 chevaux pour le Turbo E-Hybrid. La capacitĂ© de la batterie a Ă©tĂ© augmentĂ©e. Cela devrait permettre Ă lâutilitaire sport dâoffrir une autonomie supĂ©rieure Ă celle des modĂšles prĂ©cĂ©dents, qui variait entre
Celui qui porte aujourdâhui la signature Q8 e-tron se dĂ©cline en configurations VUS et Sportback. Lâautonomie du premier peut atteindre 459 kilomĂštres, et celle du second, 476 kilomĂštres. Des versions S complĂštent la gamme. Le SQ8 e-tron et le SQ8 Sportback e-tron, dotĂ©s de trois moteurs Ă©lectriques au lieu de deux, peuvent atteindre, selon les donnĂ©es du constructeur, le 0 à 100 km/h en 4,6 secondes. Le prix Ă payer en revanche sera une autonomie lĂ©gĂšrement infĂ©rieure aux modĂšles Ă deux moteurs, soit 409 kilomĂštres.
/ Prixâ: Ă partir de 93Â 050â$

24 et 27 kilomĂštres selon le modĂšle. Le modĂšle S E-Hybrid, dont les livraisons dĂ©buteront Ă lâĂ©tĂ© 2024, est Ă©quipĂ© d'un systĂšme hybride combinant un V6 turbo de 348 chevaux Ă un moteur Ă©lectrique de 174 chevaux. Ensemble, ils fournissent une puissance totale de 512 chevaux et un couple de 553 lb-pi. De sĂ©rie, il est dotĂ© d'une suspension pneumatique adaptative pour assurer un comportement dynamique supĂ©rieur et un confort accru.
/ Prixâ: Ă partir de 95Â 535â$

ESSAI
ROUTIER DE LA GENESIS G80Â ĂLECTRIQUE 2023
Le mariage du luxe et de lâĂ©lectricitĂ©

Cette G80 pose son enveloppe mĂ©tallique sur la mĂȘme architecture que la G80 à moteur Ă essence. Fort heureusement, celle-ci bĂ©nĂ©ficiait dĂ©jĂ dâassises solides. Lâajout des composants Ă©lectriques a cependant fait en sorte dâen augmenter le poids de 360 kilogrammes, de rĂ©duire le volume du coffre de 70 litres et de rehausser lĂ©gĂšrement la hauteur du plancher. Des irritants quâune plateforme dĂ©diĂ©e Ă un vĂ©hicule Ă©lectrique, comme câest le cas du petit utilitaire de la marque, le GV60, permet dâĂ©viter. Il nâen demeure pas moins que la berline sâaccommode bien de la motorisation Ă©lectrique.
CABINE FEUTRĂE
Chose certaine, les concepteurs de Genesis ont eu la main heureuse pour crĂ©er une cabine mettant en valeur des matĂ©riaux soignĂ©s, issus pour certains de matĂ©riaux recyclĂ©s. La chaleureuse garniture de bois qui ceinture la planche de bord, par exemple, provient de bois recyclĂ©s. Genesis a pourvu lâhabitacle des caractĂ©ristiques quâimpose une voiture de ce prix. RevĂȘtus de cuir nappa, les siĂšges matelassĂ©s procurent un grand confort, Ă lâavant comme Ă lâarriĂšre. Celui du conducteur comporte une fonction de massage. De nombreux autres Ă©lĂ©ments, tels quâun Ă©clairage dâambiance comportant 64 couleurs, sâajoutent au tableau. Le toit ouvrant brille toutefois par son absence, ce qui nâest pas le cas du modĂšle Ă essence.

«âLuxe, c AL me et vo L uptĂ©â». t irĂ© de Lâinvitation au voyage, ce vers de bAudeLAire tr A duit bien L es qu AL itĂ©s de LA ber L ine g 80  é L ectrique. d Ă©voi L Ă©e Ă L âĂ©c H e LL e mondiALe Au sALon de LâAuto de sHAngHAi en 2021 , LA voiture nommĂ©e eL ectrified g80 prĂ©sente des Attributs suffisAmment convAincAnts pour Ă©veiLLer LâAttention des personnes interpeLLĂ©es pAr Les voitures ALimentĂ©es pAr de LâĂ©nergie renouveLAbLe. Prestige en A fAit LâessAi.
/ Prixâ: 105Â 000â$
/ Concurrenceâ: BMW i5Â M60Â xDrive, Mercedes-Benz EQE 4Matic et Tesla S




/ Jean-Pierre Bouchard
Le conducteur peut se concocter une position confortable, car son siĂšge possĂšde 16 rĂ©glages. Pour les plus grands qui aiment conduire plus haut, la tĂȘte rencontre rapidement le plafond. La voiture peut, en considĂ©rant des paramĂštres comme la taille et le poids, proposer au conducteur une position optimale. Si les rĂ©glages effectuĂ©s peuvent ne pas convenir, lâidĂ©e nâen demeure pas moins heureuse. Du reste, lâinstrumentation est lisible et les commandes sont bien placĂ©es. LâĂ©cran tactile 3D de 12,3 po permet de naviguer facilement Ă travers les diffĂ©rentes fonctions de la voiture. Contrairement Ă dâautres, Genesis ne sombre pas dans lâutilisation Ă outrance de boutons et de commandes dont il faut user dâimagination pour en dĂ©couvrir lâutilitĂ©. Ă lâarriĂšre, les passagers sont reçus comme des dignitaires. Tous les occupants apprĂ©cieront la quiĂ©tude qui rĂšgne Ă bord. Si lâon fait fi des bruits Ă©oliens, que la motorisation ne peut couvrir tant son fonctionnement est imperceptible, lâinsonorisation reçoit une note presque parfaite.
PERFORMANCES REMARQUABLES
Afin de propulser sa berline, Genesis alimente les deux moteurs Ă©lectriques qui se partagent la puissance au moyen dâune batterie de 87,2 kWh. Ensemble, ces moteurs mettent Ă la disposition du pied droit 365 chevaux et un couple de 516 lb-pi, autorisant des performances qui dĂ©fient sans gĂȘne la concurrence. Avant de passer Ă la borne de recharge, la G80 électrique peut parcourir 454 kilomĂštres. En comparaison, la BMW i5 M60 xDrive (avec jantes de 19 po) peut en parcourir 412 et la Mercedes-Benz EQE 350 4MATIC, 418. Câest nĂ©anmoins la Tesla S qui lâemporte avec ses 652 kilomĂštres. Bien entendu, lâautonomie varie toujours en fonction des conditions de conduite et du temps.
ROULEMENT SILENCIEUX
Sur la route, la version Ă©lectrique offre une portĂ©e souple et confortable. Dans les virages plus prononcĂ©s, elle maintient le cap. La transmission intĂ©grale sâoccupe de gĂ©rer la puissance Ă©levĂ©e fournie par les moteurs Ă©lectriques avant et arriĂšre. Une fois activĂ©, le mode Sport rend la conduite plus dynamique, mais elle fait perdre un peu de souplesse Ă la suspension sur les inĂ©galitĂ©s de la chaussĂ©e. Autrement, la berline se veut une grande routiĂšre. Du reste, la voiture est trĂšs agrĂ©able Ă conduire. Les palettes montĂ©es sur le volant permettent de rĂ©gler la pression du freinage rĂ©gĂ©nĂ©ratif, jusquâĂ nâutiliser que la pĂ©dale dâaccĂ©lĂ©rateur pour freiner.
AgrĂ©able Ă conduire, confortable, Ă©lĂ©gante et performante, la berline Ă©lectrique de Genesis se veut une proposition dont lâaddition des qualitĂ©s permet facilement dâexcuser la plupart des Ă©cueils de conception.

La cuisine italienne à Québec
SĂ, SĂ, SĂâ: SI SAINE, SI GOĂTEUSE, SI IRRĂSISTIBLEâ!
AntipAsti, pizzAs, pĂątes, escALopes de veAu, tirAmisu⊠on dit de LA cuisine itALienne quâeLLe est LA pLus popuLAire Au monde. pourquoiâ? tout simpLement pArce quâiL sâAgit dâune cuisine sAine et sAvoureuse, créée Ă pArtir dâingrĂ©dients simpLes et nAtureLs, et dont Les recettes reposent sur Le sAvoir-fAire de pLusieurs gĂ©nĂ©rAtions de fAmiLLes itALiennes. Ajoutez Ă ceLA LA croyAnce que LA cuisine itALienne rend Heureux et vous muLtipLierez Les occAsions de LA dĂ©guster.
Tuscanos
LA CUISINE ITALIENNE MAISON
Demetre Triantafyllou, propriĂ©taire du restaurant italien Tuscanos, peut tĂ©moigner des particularitĂ©s de la cuisine italienne quâil propose Ă QuĂ©bec depuis maintenant 20 ans. «âCette cuisine offre une immense variĂ©tĂ© de plats reposant sur des saveurs apprĂ©ciĂ©es, explique le restaurateur, qui cĂ©lĂšbre aussi cette annĂ©e ses 55 ans dâexpĂ©rience en restauration. Au Tuscanos, nous offrons uniquement des plats maison inspirĂ©s de plusieurs gĂ©nĂ©rations italiennes. Rien nâest fait Ă la chaĂźne.â»



Les pĂątes, dont celles Ă pizzas, et les sauces sont prĂ©parĂ©es sur place. Toutes les portions sont offertes en format rĂ©gulier ou modĂ©rĂ©, et peuvent se partager entre amis et membres dâune mĂȘme famille⊠comme en Italieâ! Le menu du Tuscanos est trĂšs variĂ© et comprend une belle variĂ©tĂ© dâantipasti, des pastas et des pizzas, des fruits de mer et des spĂ©cialitĂ©s maison. Parmi les plats vedettes, on retrouve la lasagne maison, le festin Tuscanos (un spaghetti sauce Ă la viande maison Ă lâitalienne avec une boulette de viande, de la saucisse italienne et du pain Ă lâail) ainsi que lâescalope de veau Polignac servie avec des pĂątes fraĂźches du jour.
Si le restaurant de lâavenue Jules-Verne attire autant de visiteurs aprĂšs deux dĂ©cennies, câest aussi grĂące Ă la relation de confiance que lâĂ©quipe a su Ă©tablir avec les gens de la communautĂ© de QuĂ©bec. «âNous avons conservĂ© lâambiance amicale et familiale qui fait notre rĂ©putation, comme on le fait en Italie depuis des gĂ©nĂ©rations, et nous sommes fiers que les parents et les grands-parents reviennent avec leurs enfants et poursuivent cette traditionâ » , conclut le propriĂ©taire.






Le Graffiti
FRAĂCHEUR ET FINESSE
AU
MENU
Reconnu pour son approche à la fois authentique et innovatrice de la cuisine italienne (et aussi française), le restaurant
Le Graffiti occupe une place de choix Ă QuĂ©bec grĂące Ă lâapproche personnalisĂ©e quâoffrent le chef Alex Lehouillier et sa brigade passionnĂ©e. Henry CoindĂ©, propriĂ©taire de lâĂ©tablissement de lâavenue
Cartier, prĂ©cise quâun approvisionnement quotidien de produits frais auprĂšs de producteurs locaux permet notamment au chef de choisir ses lĂ©gumes et fruits, ce qui assure fraicheur et saveur au menu.


Au cĆur dâun dĂ©cor chic et chaleureux, intemporel et accueillant, les amateurs de fine cuisine italienne ont accĂšs Ă une carte des plus allĂ©chantes. Câest assurĂ©ment lâendroit de prĂ©dilection pour se dĂ©lecter de succulents plats, dont les linguine Graffiti ou encore le dĂ©licieux Risotto Graffiti aux tomates fraĂźches, poireaux au beurre, champignons et flanc de porc croustillant. Plusieurs classiques qui font la renommĂ©e du restaurant sont Ă©galement offerts; pensons Ă lâescalope de veau Graffiti et sa sauce crĂšme aux champignons. DĂ©tail intĂ©ressantâ: lâĂ©tablissement possĂšde une cave Ă vin diversifiĂ©e, qui fait honneur aux vins italiens qui accompagneront certainement Ă merveille votre repas.



Intimité et confort dans nos 2 salons privés
Grand salon (30 personnes)
Petit salon (7 personnes)
IdĂ©al pour vos rĂ©unions dâaffaires, vos partys de bureau ou vos soirĂ©es privĂ©es.

Pour vivre une expérience culinaire sur mesure à la hauteur de vos papilles
Cocktail dinatoire, Ă lâassiette ou en formule buffet, Ă la maison ou Ă lâendroit de votre choix.

Pacini
FESTIN Ă LâITALIENNE
«âContrairement Ă la plupart des chaĂźnes de restauration, chez Pacini, tous les mets sont prĂ©parĂ©s au fur et Ă mesure, rien nâest fait Ă lâavance pour ensuite ĂȘtre rĂ©chauffé⻠, explique dâentrĂ©e de jeu Jonathan Giroux, directeur du restaurant Pacini situĂ© dans le secteur Lebourgneuf. Reconnu pour son bar Ă pain Ă volontĂ©, lâĂ©tablissement du boulevard Lebourgneuf charme aussi ses convives grĂące Ă ses combinaisons de plats. Le festin pour deux, qui comprend un steak (9 oz) certifiĂ© Angus au sel de mer de Sicile, des saucisses italiennes piquantes, des crevettes Ă lâail, des lĂ©gumes grillĂ©s et des frites parmigiana, est particuliĂšrement

apprĂ©ciĂ©, tout comme le plateau de charcuteries Ă partager pour deux ou quatre personnes, qui permet de savourer prosciuttos, salamis, bruschettas⊠Et que dire du savoureux risotto aux crevettes qui fond dans la boucheâ!
«âNous avons conçu notre offre de restauration pour tous les types de clientĂšles de tous les Ăąges, autant pour les couples qui souhaitent passer un bon moment que pour les groupes dâamis et les jeunes famillesâ » , poursuit M. Giroux. Toujours en quĂȘte de nouveautĂ©s Ă proposer, le Pacini a rĂ©cemment intĂ©grĂ© Ă son menu la lasagna grandiosa, soit des tuiles de pĂątes fraĂźches enrobĂ©es dâune panure au parmesan et accompagnĂ©es dâune sauce napoletana, dâune sauce ragĂč aux tomates et Ă la viande braisĂ©e, ainsi que de sauce alfredo. La version vĂ©gĂ©tarienne propose quant Ă elle une sauce aux tomates rĂŽties, aux noix et aux shiitakes. Enfin, pour la premiĂšre fois au Pacini, un tout nouveau tartare de bĆuf et truffe italienne sâajoute au menu dĂšs novembre. De quoi satisfaire tous les palaisâ!





La Piazzetta
LE RENDEZ-VOUS DES FINS GOURMETS
Ouverte en 1989 sur la rue Saint-Jean Ă QuĂ©bec, la toute premiĂšre succursale de La Piazzetta a connu un tel succĂšs quâelle a fait des petits au fil des annĂ©es. Aujourdâhui, plus de 20 restaurants, dont dix Ă QuĂ©bec, proposent un menu des plus allĂ©chants de pizzas fines gourmets. Pour cette chaĂźne bien Ă©tablie, qui met en valeur toute la simplicitĂ© de la cuisine italienne en utilisant des ingrĂ©dients frais et variĂ©s au rythme des saisons, «âcâest surtout la passion et lâengagement de nos franchisĂ©s envers la cuisine, et surtout envers les clients qui sont devenus des amis, qui font la renommĂ©e de La Piazzettaâ», confie Ăric Duguay, prĂ©sident de la sociĂ©tĂ© de franchises Piazzetta.


Ăvidemment, la rĂ©putation des pizzas nâest plus Ă faire. Un menu appĂ©tissant propose une multitude de choix sur pĂąte mince ou pain focaccia. Parmi les incontournables, la pizza hawaĂŻenne au cochon braisĂ© vaut le dĂ©tour. Pour faire dâune pierre deux coups, la Generosa, avec sauce pomodoro, jambon braisĂ©, fromage suisse, fleur dâail, champignons, tomates raisins, olives vertes, oignon rouge et origan vous permettra de vous rĂ©galer tout en appuyant diffĂ©rents organismes qui viennent en aide Ă des personnes malades ou dĂ©favorisĂ©es. En effet, pour chaque Generosa vendue, les restaurants Piazzetta versent 2â$ dans un fonds qui est consacrĂ© Ă cette cause. Sachez enfin quâau-delĂ de la pizza, les amateurs de cuisine italienne pourront Ă©galement se rĂ©galer de dĂ©licieuses pĂątes, dont les Carbonara, et dâescalopes de veau.
«âUn menu pour tous les goĂ»ts, une ambiance des plus chaleureuses dans un dĂ©cor uniqueâ: voilĂ un accord gagnant que vous trouverez dans les restaurants La Piazzettaâ » , conclut M. Duguay.


DĂJEUNERS & DĂNERS DâAFFAIRES
La valeur ajoutĂ©e de lâhĂŽtel
Le Bonne Entente
q ue ce soit pour c A sser LA croĂ»te entre coLLĂšgues ou pour consoLider une re LAtion Avec un c L ient, i L est de pLus en pLus de mise de se rĂ©unir Autour dâun dĂ©jeuner ou dâun dĂźner. Ă q uĂ©bec, i L existe un endroit tout indiquĂ© pour vivre une expĂ©rience mĂ©morAbLe dAns un teL contexteâ: Le bonne entente.
«âNotre Ă©tablissement est rĂ©putĂ© pour accueillir une importante clientĂšle dâaffaires, qui nous frĂ©quente tant pour notre hĂŽtel cinq Ă©toiles que pour notre offre de restauration, expose Karine Rancourt, directrice du marketing et des relations publiques Ă lâhĂŽtel Le Bonne Entente. Les options de dĂ©jeuners et de dĂźners dâaffaires sont multiples et sâadaptent Ă toutes les circonstances, peu importe le nombre de personnes et le contexte dâaffaires.â» Il est ainsi possible de rĂ©server un salon privĂ© ou encore une alcĂŽve dans la salle Ă manger du MC Lounge pour un dĂ©jeuner plus intime, tout en Ă©tant dans lâambiance dâaffaires reconnue du Bonne Entente.
Le menu, qui met en valeur les produits du terroir, varie rĂ©guliĂšrement selon les arrivages, tant pour les dĂ©jeuners que pour les dĂźners. Qui plus est, «âle menu Ă la
carte des dĂ©jeuners a rĂ©cemment intĂ©grĂ© le concept dâĂźlot continental qui redore le traditionnel buffet continental, tant pour les gens qui sĂ©journent Ă lâhĂŽtel que pour les visiteurs, poursuit Mme Rancourt. Cet Ăźlot de fraĂźcheur offre une belle variĂ©tĂ© de fromages et de viennoiseries pour commencer la journĂ©e.â»
Enfin, les espaces de vie communs de lâĂ©tablissement du chemin Sainte-Foy sont Ă la disposition des visiteurs et se rĂ©vĂšlent une valeur ajoutĂ©e Ă lâexpĂ©rience dâaffaires.

LâĂźlot continental, soit une belle variĂ©tĂ© de fromages et de viennoiseries pour commencer la journĂ©e.
DĂ©jeunersâ: du lundi au vendredi de 7âh Ă 10âh
DĂźnersâ: du lundi au vendredi de 12âh Ă 13âh 30






LA COUPE MULET
Voici la magnifique coupe tendance Mulet, qui pourra ĂȘtre portĂ©e autant par les femmes que les hommes. La longueur de la coupe variera dans le but dâavantager la forme du visage. La maniĂšre de coiffer les cheveux aussi, ceci afin de laisser la personnalitĂ© de chacun et chacune sâexprimer. Lisse ou en mouvement, avec du volume ou au naturel, cette coupe sera facile Ă coiffer.
TENDANCES 2024Â EN COIFFURE
Osons lâaudace et la nouveautĂ©â!
Avec Le cHAngement dâAnnĂ©e qui sâAnnonce, pLusieurs souHAitent donner un nouveAu souffLe Ă Leur styLe cApiLLAire. çA tombe bien, puisque 2024 rAmĂšne un vent du pAssĂ©, version renouveLĂ©e, oĂč Les tendAnces seront frAncHes. pour LâoccAsion, Au sALon mAxime, nous Avons dĂ©veLoppĂ© et dĂ©pLoyĂ© une coLLection AyAnt pour tHĂšme «âoiseAux du quĂ©becâ», qui met en vALeur ces nouveLLes tendAnces et promet une envoLĂ©e coLorĂ©e, singuLiĂšre et Ă©nergique.
Certes audacieuse, la collection «âOiseaux du QuĂ©becâ» tient toujours compte de la morphologie de chaque personne. Nos professionnels ont ainsi adaptĂ© les couleurs et les plumages aux cheveux des modĂšles. Les colorations, les mĂšches et les balayages ont donnĂ© lieu Ă ces coiffures originales et texturisĂ©es. Premier constatâ: ces styles et ces couleurs assumĂ©s feront ressortir la personnalitĂ© et la chaleur de chaque personne.
LES COUPES DĂCONNECTĂES
Pour les Ă©ternels tĂ©mĂ©raires Ă la recherche dâoriginalitĂ©, voici un joli choix tendanceâ: les coupes dĂ©connectĂ©esâ! Pour les hommes, nous y allons avec un contour rasĂ© court en dĂ©gradĂ©, un dessus de tĂȘte «âdĂ©connecté⻠beaucoup plus long et bien souvent enjolivĂ© dâune permanente pour une belle texture bouclĂ©e. Du cĂŽtĂ© des femmes, on pourra opter pour une nuque longue et un dessus dĂ©gradĂ© court, pour un super volume sans compromis qui gardera la longueur grĂące Ă la dĂ©connexion.



QUESTION COULEURS
LA COUPE SHAGGY

Caroline Drolet
MaĂźtre coloriste
Salon Maxime


Célina Fontaine
Kasey St-Hilaire
Copropriétaire
Styliste-coiffeuse
Les Cheminées Gamelin
Salon Maxime
Cette coupe mi-longue en charmera plusieurs, car elle sâadapte Ă la plupart des formes de visage. IdĂ©alement, la longueur sâarrĂȘtera Ă la clavicule, mais elle pourra aussi varier selon les prĂ©fĂ©rences de chacune ou selon la morphologie. Par la suite, lâintĂ©gralitĂ© du dessus de la tĂȘte sera trĂšs dĂ©gradĂ©e afin de multiplier le volume en donnant une allure dense et fougueuse. Cette coupe est gĂ©nĂ©ralement portĂ©e avec une grosse frange Ă©paisse et texturĂ©e qui flattera les traits du visage de celle qui la porte.
Si vous optez pour ce style, nous vous recommandons un joli chignon ballet bien lisse pour votre mise en plis. Pour les cheveux Ă moitiĂ© attachĂ©s, on choisira une Ă©lĂ©gante pince sur une chevelure ondulĂ©e qui laisse Ă©chapper quelques mĂšches rebelles. Enfin, une autre solutionâ: un brushing dĂ©bordant de volume et de mouvement rappelant cette tendance Ă©chevelĂ©e des annĂ©es 1980-1990.
En 2024, nous assisterons au retour des belles chevelures flamboyantes. Le «âcuivré⻠est tendance et ces noms serviront Ă le dĂ©crireâ: le «âcuivrĂ© cowboyâ» et le «âbropperâ»
Le cuivrĂ© cowboy sâavĂšre un beau roux intense multitons que lâon obtient avec les techniques de mĂšches, soient les babylights fines et dĂ©licates, mais de deux ou trois teintes diffĂ©rentes; ceci afin dâapporter de la dimension et de la richesse Ă votre chevelure. Quant au «âbropper » , il se trouve Ă mi-chemin entre le marron et le cuivrĂ©. Dâune nuance trĂšs lumineuse, il redonnera de lâĂ©clat aux brunettes dĂ©fraichies par la baignade et le soleil dâĂ©tĂ©.
Les bordeaux et les rouges cerise seront également tendance. Vous les verrez de plus en plus, tant chez les fashionistas que chez monsieur et madame Toutle-Monde.
Mais la tendance de lâheure, toutes compagnies de coloration confondues, sera le Color blocking, qui consiste en des placements de couleurs bien dĂ©terminĂ©s. Ceuxci donneront un rĂ©sultat final plus que percutantâ! Cette technique rapide et efficace saura rehausser nâimporte quelle chevelureâ!



Et si on allait jouer dehorsâ?
dA ns que L ques sem A ines, LA neige recouvrir A L e so L et, A vec un peu de cHAnce, eLLe sâAccumuLerA suffisAmment pour crĂ©er rApidement un vAste terrAin propice Aux jeux HivernAux. Prestige vous propose queLques idĂ©es de Lieux féériques et dâ A ctivitĂ©s qui s A uront A grĂ©menter LA s A ison froide, mĂȘme AuprĂšs des p L us friLeux.

93


96 96
Sommaire
93 CARTE BLANCHE POUR UN HIVER INOUBLIABLE GRĂCE Ă LA FORFAITERIE
96 STATION TOURISTIQUE LE MASSIF DU SUDâ: LA MONTAGNE DE LâOUEST DANS LâEST
98 CLUB MED QUĂBEC CHARLEVOIX OU LA FĂĂRIE DE LâHIVER FAĂON TOUT INCLUS
100 LâHIVERNOTHĂRAPIE SELON LE STRĂM SPA NORDIQUE
102 Ă LâASSAUT DES FROIDS EXTRĂMES AVEC AVALANCHE
100

Carte blanche pour un hiver inoubliable

LâHiver, câest fAit pour vivre des expĂ©riences et des esc A p A des impossibLes Ă rĂ©ALiser durAnt Les trois Autres sAisons. spĂ©ciALisĂ©s en forfAits-cAdeAux Ă offrir ou Ă sâoffrir A insi quâen voyA ges p A rtout d A ns L e monde, L es spĂ©ci AL istes de L A f orf A iterie vous font trois suggestions qui sont tout sAuf bAnALesâ!
Ă LâASSAUT DES SENTIERS BORDĂS DE NEIGE
Voici une activitĂ© excitante Ă faire, qui plus est Ă proximitĂ© de QuĂ©bec. Que diriez-vous dâune balade en traĂźneau Ă chiens dans le dĂ©cor féérique du parc national de la Jacques-Cartierâ? Câest ce quâoffre Aventure Inukshuk et sa jeune Ă©quipe de passionnĂ©s de nature, de plein air et bien sĂ»r, dâanimaux. En couple, en famille ou en groupe, cette balade dâenviron 50 minutes sur les sentiers bordĂ©s de neige plaira Ă tous. Vous aurez mĂȘme la chance de conduire vous-mĂȘme le traĂźneau si vous le souhaitez.
Le forfait Aventure Inukshuk est valide du 15 décembre au 20 mars.

DODOS SOUS UN DĂME EN MAURICIE
Ă environ une heure trente de QuĂ©bec se trouve Sainte-ThĂšcle, lâun des villages les plus bucoliques de la Mauricie. Câest Ă cet endroit que vous trouverez le vignoble Clos Sainte-ThĂšcle qui, une fois lâhiver venu, vous invite Ă vivre une expĂ©rience d'hĂ©bergement irrĂ©sistible au pied des vignes. Le forfait comprend deux nuitĂ©es en dĂŽme, salle de bain avec douche, poĂȘle
/ Marie-Josée Turcotte

Le forfait CAMPagne au Clos Sainte-ThĂšcle est valide du 7 janvier au 31 mars. Ă bois et, bien sĂ»r, cafĂ© inclus. Et comme câest le lieu de prĂ©dilection pour aller jouer dehors, on vous fournira Ă©galement des raquettes, des skis Hok et deux fatbikes Ă©lectriques avec casques. Apportez vos skis de fond si vous ĂȘtes amateurâ! Enfin, sur le site, vous aurez aussi accĂšs Ă un sauna finlandais et un bain scandinave extĂ©rieur.
Ă VOUS LâANTARCTIQUEâ!
Cette mystĂ©rieuse contrĂ©e glacĂ©e quâest lâAntarctique vous attireâ? Voici une occasion unique de vivre une aventure que vous nâĂȘtes pas prĂšs dâoublierâ! En effet, G Adventures organise cinq trajets de croisiĂšres qui vous permettront non seulement dâadmirer des paysages Ă couper le souffle, mais Ă©galement de dĂ©couvrir la vie sauvage en Antarctique grĂące Ă des excursions extraordinaires oĂč des guides expĂ©rimentĂ©s vous accompagneront. Attendez-vous Ă voir des glaciers impressionnants, des colonies de manchots ainsi que des visons, et peut-ĂȘtre mĂȘme des baleines Ă bosse qui transpercent lâeau cristalline. Lâexcursion dâune vieâ!


Rendez-vous sur laforfaiterie.com ou en boutique pour mille et une suggestions de forfaits et de voyages.
Les Galeries de la Capitale | Laurier Québec | Les Galeries Chagnon
Plusieurs autres boutiques au Québec.


Plaisirs d'hiver & ski / Profil

Station touristique Massif du Sud
UN JOYAU Ă POLIR
Ă sAint-pHiLĂ©mon, dAns beLLecHAsse, LA stAtion touristique mA ssif du s ud se conjugue A ux quAtre points cArdinAuxâ! dâAbord Le sud pour sA LocALisAtion, puis son sLogAn «âLA montAgne de Lâouest dAns Lâestâ». LA rose des vents ne perd pAs Le nord pour AutAnt, cAr Le fLAnc skiAbLe cĂŽtĂ© fLeuve protĂšge du soLeiL LâĂ©pAis mAnteAu de neige pour LA gr A nde joie des mordus, notAmment de ski Hors-piste. Le propriĂ©tAire, contrAste immobiLier, prĂ©voit investir 85 mâ$ dâici 2030 pour Augmenter LâAttrActivitĂ© du site pAr une utiLisAtion Ă Longueur dâAnnĂ©e Ă Lâintention dâune c L ientĂš L e Ă© LA rgie. u n projet «âcoup de cĆurâ» pour Le promoteur, qui entend Agir en symbiose Avec LA nAture et en synergie Avec Les Autres AttrAits touristiques rĂ©gionAux.
En raison de son microclimat, le secteur de SaintPhilémon se fait bon an mal an ensevelir sous environ sept mÚtres de neige, parfois davantage, ce qui lui a valu en 2022-23 la premiÚre place parmi les 74 stations de ski du Québec, et sa réputation
de plus belle poudreuse Ă lâest des Rocheusesâ! Les conditions y sont incomparables pour cinq raisonsâ: lâaltitude (plus de 900 mĂštres, le plus haut domaine skiable dans le centre et lâest du pays), la quantitĂ© de prĂ©cipitations hivernales, lâorientation franc nord des pistes, les quelque 40 km sĂ©parant lâendroit de lâhumiditĂ© fluviale et lâabondance de sous-bois. Pareils atouts Ă©liminent un irritant majeur pour les skieursâ: la glaceâ! Un tel joyau mĂ©ritait dâĂȘtre poli. Pour ce faire, le PDG de Contraste Immobilier, Pierre-Yves Charest, et trois membres de son Ă©quipe de dĂ©veloppement, ont visitĂ© 27 stations en un an aux Ătats-Unis et dans lâOuest canadien pour observer ce qui sây fait de mieux. Pourquoi la station touristique Massif du Sudâ? «âJâavais dĂ©couvert ce site exceptionnel en bĂątissant dans cette rĂ©gion un parc Ă©olien, raconte M. Charest. Câest lĂ que jâai connu les intervenants de Bellechasse. Lâex-propriĂ©taire de la station mâavait proposĂ© dâacheter des terrains pour de lâhabitation, mais comme leur valeur dĂ©pend de la qualitĂ© de la montagne, jâai offert dâacquĂ©rir lâensemble de lâĆuvreâ! Et je suis toujours subjuguĂ© par sa grande beautĂ©.â»

/ Gilles Levasseur
UN HĂBERGEMENT VARIĂ
Lâune des piĂšces importantes du projet est lâĂ©dification dâun condo-hĂŽtel de 120 chambres, qui nâaura rien de «âmassifâ» puisque son architecture Ă©pousera le flanc opposĂ© au domaine skiable sur un dĂ©nivelĂ© de 27 mĂštres (lâĂ©quivalent de 9 étages), le relief Ă©tant celui dâune vallĂ©e. Le nouveau bĂątiment sera progressivement Ă©rigĂ© derriĂšre la bĂątisse actuelle, quâon dĂ©molira Ă la fin des travaux, dâici environ trois ans. La nouvelle construction abritera Ă©galement les installations nĂ©cessaires Ă lâadministration et Ă la bonne marche des activitĂ©s hivernales et estivales. Lâoffre dâhĂ©bergement comprendra aussi de petites cabines montĂ©es sur pilotis, dont le coĂ»t de location sera davantage abordable que les chalets dĂ©jĂ disponibles. «âCet hiver, on espĂšre pouvoir en offrir quatre, et une vingtaine Ă terme dâici quelques annĂ©es, une solution parfaite pour les couples et petites familles, prĂ©cise M. Charest. Actuellement, 200 chalets se trouvent au pied des pentes, et 400 autres sâajouteront au fil des ans. ParallĂšlement, le stationnement a Ă©tĂ© rĂ©amĂ©nagĂ©, sa capacitĂ© et sa fluiditĂ© ayant Ă©tĂ© augmentĂ©es. Quant Ă lâespace rĂ©servĂ© aux vĂ©hicules rĂ©crĂ©atifs, on sâaffaire Ă en accroĂźtre la superficie en plus de prĂ©voir des commoditĂ©s supplĂ©mentaires.â»

© p.marceau

OUVERTURE SEPT JOURS ET SYNERGIE RĂGIONALE
Lâouverture du condo-hĂŽtel permettra Ă©ventuellement dâouvrir la station sept jours par semaine. La qualitĂ© des pistes qui font sa renommĂ©e auprĂšs des skieurs experts nâen sera pas affectĂ©e, car on ajoutera 120 acres de ski hors-piste en remontĂ©e alpine aux 320 que comprend le domaine skiable pour ajouter des pistes de niveaux facile-intermĂ©diaire. «âTous y trouveront leur compte, assure le propriĂ©taire, et mĂȘme les tout-petits, pour qui une piste sera amĂ©nagĂ©e dĂšs cette saison pour des remontĂ©es en tapis magique. Lâobjectif est de doubler lâachalandage dans les prochaines annĂ©es, et rendre les installations plus familiales. Nous rĂ©flĂ©chissons par ailleurs Ă une solution visant Ă rĂ©duire le temps que met notre seule remontĂ©e mĂ©canique non dĂ©brayable Ă joindre le sommet.â»
Rapidement, lâamĂ©nagement permettra une utilisation quatre saisons afin dây pratiquer des activitĂ©s estivales, telles que la randonnĂ©e pĂ©destre et le vĂ©lo de montagne. «âNous avons commencĂ© en septembre Ă amĂ©nager nos premiĂšres pistes Ă cet effet, et nous en prĂ©voyons sur une cinquantaine de kilomĂštres en trois ans, spĂ©cifie M. Charest. Cela dit, Bellechasse est le paradis des moteurs, et tous les sentiers mĂšnent Ă Saint-PhilĂ©mon, de sorte que nous pourrions servir de relais motoneige important.â» Il rappelle que la station touristique est limitrophe du Parc rĂ©gional du Massif du Sud, un territoire de 120 km2 grouillant dâactivitĂ©s quatre saisons que la capacitĂ© dâhĂ©bergement que nous envisageons desservira. «âEn effet, conclut lâhomme dâaffaires, voilĂ le fondement de notre prĂ©sence iciâ: contribuer Ă notre façon au rayonnement des attraits naturels de cette magnifique rĂ©gionâ!â»
Pour en savoir davantageâ:
989, route du Massif, Saint-Philémon 418 469-3676 | info@massifdusud.net
massifdusud.net
Plaisirs d'hiver & ski
/ Marie-Claude Savoie
Club Med Québec Charlevoix
LA FĂĂRIE DE LâHIVER FAĂON TOUT INCLUS
situĂ© d Ans LA pittoresque municipAL itĂ© de p etiteriviĂšre-sAint-frAnçois, Le cLub med quĂ©bec cHArLevoix offre, Ă seuLement une Heure trente de route de q uĂ©bec, une expĂ©rience de ski Abso Lument unique et Hors du commun en AmĂ©rique du nord. dĂ©couvrez comment Lâexpert mondiAL du tout incLus sâest AdAptĂ© Ă notre beLLe sAison froide.
AU CĆUR DE CHARLEVOIX
SituĂ© au pied du Massif de Charlevoix, le Club Med permet de vous Ă©vader de la vie urbaine et de profiter dâune expĂ©rience en nature avec ses magnifiques chambres avec vue sur la montagne ou le fleuve. Un spectacle Ă couper le souffle, et ce, toutes saisons confonduesâ!
Pour les amateurs de bonne chĂšre, les restaurants compris dans lâoffre tout inclus mettent en valeur les saveurs charlevoisiennes. Charcuteries, produits fins, fromagesâ: tout ce qui fait la renommĂ©e culinaire de la rĂ©gion se retrouve Ă table. Puis, grĂące au menu renouvelĂ© chaque jour, vous aurez la chance de (re)dĂ©couvrir ces produits grĂące Ă la crĂ©ativitĂ© des chefs cuisiniers, qui sâinspirent autant des saveurs locales quâinternationales.
Quant aux aventuriers, ils apprĂ©cieront lâoffre dâexcursions et de randonnĂ©es guidĂ©es, qui vous amĂšneront dans les plus beaux endroits de Charlevoix.



UNE EXPĂRIENCE POUR TOUTE LA FAMILLE
Peu importe lâĂąge, les intĂ©rĂȘts ou les habiletĂ©s sur les pentes enneigĂ©es, le Club Med QuĂ©bec Charlevoix propose une vaste gamme dâactivitĂ©s pour toute la famille. Dâabord, le Club enfants, pour les 4 à 17 ans, comprend un horaire dâactivitĂ©s Ă©clatĂ©es qui permet aux jeunes dâexplorer leur crĂ©ativitĂ© ou de dĂ©penser leur Ă©nergie avec, par exemple, les ateliers de cirque intĂ©rieur. Des cours de ski ou de planche Ă neige adaptĂ©s Ă tous les niveaux et les Ăąges sont Ă©galement offerts chaque jour. Puis, au-delĂ du ski, le Village du Club Med QuĂ©bec Charlevoix comprend non seulement des espaces pour le patin Ă glace et la raquette, mais aussi pour la dĂ©tente. En effet, lâendroit propose un spa oĂč soins, massages, sauna ainsi que bains froids et chauds vous attendent.
LA TRANQUILLITĂ DâESPRIT
Que ce soit pour une semaine ou un long weekend, lâexpĂ©rience Club Med QuĂ©bec Charlevoix vous garantit de vivre un bon moment sans soucis. La proximitĂ© du Village avec les pentes du Massif, la remontĂ©e mĂ©canique incluse dans chaque forfait, la possibilitĂ© de louer de lâĂ©quipement, les services offerts aux enfants et lâexpertise de lâĂ©quipe permettent de dĂ©crocher pleinement du quotidien et de simplement profiter du grand air.

Psst ! LâĂ©quipe du Club Med propose rĂ©guliĂšrement des rabais avantageux pour les rĂ©servations de derniĂšre minute. Gardez lâĆil ouvertâ!





LâhivernothĂ©rapieâ: un remĂšde naturel contre le stress

pour pLusieurs dâentre nous, LâHiver est une s A ison Ă subir. p ourtA nt, outre LA prAtique dâun sport dâHiver comme Le ski, iL existe pLus dâune mAniĂšre de trAnsformer notre Aversion pour LA neige et Le froid mordAnt en doux pLAisirs et en bienfAits pour Le corps et Lâesprit.
QUâEST-CE QUE LâHIVERNOTHĂRAPIEâ?
InventĂ© il y a quelques annĂ©es par le StrĂžm spa nordique, le mot «âhivernothĂ©rapieâ », soit la thĂ©rapie par lâhiver, mĂ©riterait certes sa place dans le dictionnaire des expressions et rĂ©alitĂ©s quĂ©bĂ©coises, au mĂȘme titre que le mot «âcocooningâ». Alors que le cocooning se concentre essentiellement sur la recherche du confort douillet, lâhivernothĂ©rapie invite pour sa part Ă apprivoiser cette saison de toutes les maniĂšres possibles avec lâaide des cinq sens. Parmi les plaisirs associĂ©s Ă lâhiver, on retrouve Ă©videmment lâexpĂ©rience thermale offerte par le spa nordique situĂ© dans le Vieux-QuĂ©bec.
LES BIENFAITS DE LA THERMOTHĂRAPIE
Les bienfaits de ce rituel de dĂ©tente basĂ© sur lâalternance du chaud et du froid, suivi dâune pĂ©riode de relaxation profonde, sont bien connus. En plus dâamĂ©liorer la circulation sanguine, dâĂ©liminer les toxines et de renforcer le systĂšme
immunitaire, ce rituel que lâon peut pratiquer 12 mois par annĂ©e amĂ©liore le bien-ĂȘtre en gĂ©nĂ©ral. «âLes Ă©tudes dĂ©montrent par ailleurs que passer au moins deux heures par semaine en plein air, soit moins de 20 minutes par jour, rĂ©duit le stress et lâanxiĂ©tĂ©â», renchĂ©rit Christine Mailloux, directrice des ventes, dĂ©veloppement des affaires et partenariats chez StrĂžm spa nordique. DâoĂč lâimportance de continuer de mettre le nez dehors mĂȘme lorsque le froid nous mord la peau. Et si lâon peut le faire en ayant le corps immergĂ© dans un grand bassin dâeau chaude, voilĂ un heureux compromisâ!
UNE JOURNĂE ĂQUILIBRE
Ayant notamment pour mission dâaider les employeurs Ă guider leurs employĂ©s dans leur quĂȘte dâĂ©quilibre pour une meilleure santĂ© mentale et physique au travail, le StrĂžm a créé diverses offres corporatives. PrĂȘchant par lâexemple, lâentreprise a dâailleurs lancĂ© la «âJournĂ©e Ă©quilibreâ » auprĂšs de ses propres employĂ©s. «âIl sâagit dâune journĂ©e supplĂ©mentaire de congĂ© payĂ©e afin que chaque employĂ© puisse profiter des installations de lâune ou lâautre des succursales du StrĂžmâ», explique Mme Mailloux, ajoutant que cette journĂ©e doit obligatoirement ĂȘtre consacrĂ©e Ă la dĂ©tente et au bien-ĂȘtre. Une maniĂšre on ne peut plus attrayante de fidĂ©liser ses ressources humainesâŠ
douce maniĂšre dâapprivoiser lâhiver au StrĂžm spa nordique du Vieux-QuĂ©bec, tout en contemplant le fleuve gelĂ©.
Une

































Ă lâassaut des froids extrĂȘmes
dAns peu de temps, vous pourrez Ă nouveAu enfiLer vos skis et dĂ©vAL er L es pentes enneigĂ©es. s i vous ĂȘtes du genre Ă ApprĂ©Hender Le froid gLAciAL Au point de pAsser directement Ă LâAprĂšs-ski, AvALAncHe A ce quâiL fAut pour vous gArder Au cHAud.
«âQUEL EST VOTRE MANTEAU LE PLUS CHAUDâ?â»
«âC'est la question la plus frĂ©quemment posĂ©e par nos clients, et c'est bien comprĂ©hensible, admet VĂ©ronique Dufour, viceprĂ©sidente marketing, vente au dĂ©tail et dĂ©veloppement chez Avalanche. NĂ©anmoins, la rĂ©ponse Ă cette question dĂ©pend de chaque personne, de sa tolĂ©rance envers le froid, le vent et lâhumiditĂ©, ainsi que de la capacitĂ© de son mĂ©tabolisme Ă gĂ©nĂ©rer de la chaleur.â» Pour les passionnĂ©s de ski frileux, il existe des manteaux dotĂ©s dâun isolant performant qui protĂšge contre les tempĂ©ratures les plus hostiles.
PLACE Ă LâISOLANT THINSULATEâą
ĂquipĂ©s de lâisolant Thinsulateâą, les manteaux permettent de conserver toute la chaleur du corps. Dâailleurs, Avalanche vient tout juste de lancer, il y a quelques mois, le manteau Denver pour homme, qui a Ă©tĂ© dessinĂ© avec soin et fabriquĂ© Ă lâaide des techniques les plus rĂ©centes. DoublĂ© dâun isolant Thinsulateâą de 200 grammes au niveau du corps et de 120 grammes au niveau des manches, il dispose Ă©galement dâune capuche fixe conçue pour recouvrir le casque de ski, d'un col suffisamment haut pour protĂ©ger le cou, le menton et la bouche, de coutures scellĂ©es et de fermetures Ă©clair bien protĂ©gĂ©es du froid. Les poignets sont munis de velcro Ă l'extĂ©rieur et de lycra Ă l'intĂ©rieur pour empĂȘcher toute intrusion d'air froid. De plus, une jupe pareneige maintient la poudreuse Ă l'extĂ©rieur. «âCe modĂšle haut de gamme vaut chaque centime, affirme Mme Dufour. Nous avons mis tout notre savoir-faire dans ce manteau.â»
Bien sĂ»r, il existe aussi des manteaux de ski pour femmes frileuses. TrĂšs apprĂ©ciĂ©, le modĂšle JadeMat offre le confort et le style du fini matelassĂ© ainsi que la lĂ©gĂšretĂ© de lâisolant Thinsulateâą Featherless. Un manteau technique idĂ©al pour les activitĂ©s hivernales sous un ciel glacial. Plaisirs
Pour en savoir davantage ou pour magasiner votre manteau, rendez-vous en boutique ou sur le site Web avalancheskiwear.com
Le tout nouveau modĂšle de manteau de ski pour homme Denver.



/ Ariane Arpin-Delorme
NouvelleZélande
DESTINATION AUX MILLE FACETTES

La rĂ©gion du Canterburyâ: le paradis des surfers.

La région du Canterbury et son fleuve turquoise Waimakariri.
LA nouveLLe-zĂ©LAnde ne cesse dâĂ©bLouir
L e voyA geur, quâi L soit r A ndonneur, g A stronome, Ć no L ogue, A m A teur de rugby ou de voi L e, p A ssionnĂ© de cuLture et fortes trAditions mAories⊠c ette «âterre du Long nuAge b LA ncâ»
â A ux deux Ăź L es bien distinctes â offre certA inement L es p L us be A ux pAnorAmAs que vous Aurez LA cHAnce de dĂ©couvrirâ: de LA forĂȘt p Luvieuse
A ux pics enneigĂ©s; des dr A m Atiques fjords A ux forĂȘts de gr A nds conifĂšres; des vo L c A ns et geysers mu Ltico L ores A ux LA cs turquoise⊠notre coLLAborAtrice A voyAgĂ© Ă cinq reprises Au pAys Aotearoaâ: son endroit de prĂ©di L ection pour LA r A ndonnĂ©e. eLLe vous Livre queLques suggestions dâendroits grAndioses pour un voyAge de Luxe tout en styLe.

Ăle du Sud
CHRISTCHURCH
Christchurch, lĂ oĂč la rĂ©gĂ©nĂ©ration urbaine et le patrimoine prospĂšrent, est en constante Ă©volution. Le centre-ville regorge d'architecture de pointe aux cĂŽtĂ©s de certains des bĂątiments les plus anciens du pays, traversĂ© par la superbe riviĂšre Avon Ă dĂ©couvrir Ă bord dâune embarcation traditionnelle waka (canoĂ«). Si le temps vous ne permet pas de vous rendre Ă lâĂźle de Steward, tout au sud, faites une pause instructive au sanctuaire Willowbank afin dây observer lâemblĂšme du paysâ: lâadorable kiwi.
CANTERBURY
Des vignobles luxuriants aux cĂŽtes sauvages en passant par les montagnes vertigineuses et les lacs glaciaires immaculĂ©sâ: Canterbury est une rĂ©gion aux contrastes remarquables. Parcourez les Alpes du Sud Ă bord du train TranzAlpine, explorez le ciel nocturne dans la plus grande rĂ©serve internationale de ciel Ă©toilĂ© au monde de Tekapo ou approchez-vous des baleines Ă KaikĆura, Ă observer dâun petit Cessna. DĂ©tendez-vous dans les piscines chaudes
naturelles de Hanmer Springs et explorez les baies cachĂ©es d'Akaroa. Ou encore, randonnez vers lâimmense glacier Tasman ou dans les environs du parc national Aoraki, oĂč se trouve le fameux mont Cook.
FIORDLAND
Un coin chĂ©ri du monde oĂč les montagnes et les vallĂ©es rivalisent entre elles, oĂč la majestĂ© est presque au-delĂ de la comprĂ©hension et les paysages amĂšnent des Ă©motions dĂ©mesurĂ©es. Câest ce que dĂ©crit en dâautres mots l'auteur du livre Mountains of WaterThe Story of Fiordland National Park. Depuis les airs, les montagnes spectaculaires, les cascades et les lacs alpins du Fiordland sont Ă couper le souffle. Il est prĂ©fĂ©rable de dĂ©couvrir de prĂšs la faune rare de Milford Sound et de Doubtful Sound en joignant une croisiĂšre incluant une nuit Ă bord, afin de se retrouver seul (ou presque) au milieu des profonds fjords noirs sculptĂ©s par les glaciers depuis 100 000 ans.

La région du Fiordland et son arbre résilient, symbole de la ville et du lac Wanaka.

La région du Marlborough et sa végétation tropicale des Sounds.
MARLBOROUGH
La rĂ©gion de Marlborough, c'est du Sauvignon blanc de renommĂ©e mondiale, de dĂ©licieux fruits de mer frais cuisinĂ©s par les meilleurs chefs du monde et des paysages variĂ©s, tels que les baies des Marlborough Sounds. Partez Ă vĂ©lo et choisissez parmi plus de 30 caves Ă vin. Longeant les crĂȘtes bordant les majestueux fjords, le sentier de randonnĂ©e du Queen Charlotte traverse une vĂ©gĂ©tation dâimmenses arbres fougĂšres (emblĂšme du pays) aux forĂȘts mixtes. De l'historique Ship Cove jusqu'Ă Anakiwa dans le bras du dĂ©troit de la Reine-Charlotteâ: Ă visiter aussi en croisiĂšre gastronomique pour apprendre sur la culture des huĂźtres.
SOUTHLAND
Southland est une terre de cĂŽtes accidentĂ©es et de plaines vallonnĂ©es, d'huĂźtres Bluff de renommĂ©e mondiale et le point de dĂ©part pour la rencontre avec la faune indigĂšne de l'Ăźle Stewart. Ornithologue amateur, vous avez de bonnes chances dâapercevoir sur lâĂźle des kiwis dans leur habitat d'origine. Ne manquez pas de randonner au milieu des Catlins et de faire une pause au phare de Nugget Point. Explorez Invercargill, une ville pleine de caractĂšre, oĂč lâon retrouve une histoire automobile et des produits locaux remarquables.


La région de Southland et ses agneaux, plus nombreux que les habitants.

Ăle du Nord
WELLINGTON
Wellington a Ă©tĂ© qualifiĂ©e de «ârĂȘve du locavoreâ» par Vogue pour une bonne raison. CĂ©lĂ©brĂ©e aussi pour sa crĂ©ativitĂ©, au cĆur de l'industrie cinĂ©matographique nĂ©o-zĂ©landaise, la citĂ© abrite plus de 55 galeries et musĂ©es, dont Te Papa, un centre interactif. Promenez-vous parmi les ruelles cachĂ©es pour dĂ©couvrir lâart de rue et suivez les promenades de sculptures le long du front de mer de Wellington. Puis, montez Ă bord de l'emblĂ©matique tĂ©lĂ©phĂ©rique de Wellington pour une vue imprenable sur la ville.
BAY OF ISLANDS
Roulez le long de la Twin Coast Discovery Highway jusqu'Ă l'emblĂ©matique Bay of Islands. SĂ©journez Ă Paihia ou Kerikeri afin dâexplorer la Bay of Islands. Ou bien Ă Tutukaka pour y pratiquer dâincroyables plongĂ©es et observer des dauphins, au sein de la rĂ©serve marine des Ăźles Poor Knights. Connu comme «âle berceau de la Nouvelle-ZĂ©landeâ», le Northland offre des expĂ©riences culturelles maories fascinantes, comme le site du traitĂ© de Waitangi, et abrite le plus grand arbre Kauri du monde, le TÄne-Mahuta. Toute premiĂšre visite du pays devrait inclure la visite de ce site afin de mieux comprendre la culture maorie.
Vue de lâĂźle privĂ©e The Landing ainsi que la piscine infinie de lâune de ses propriĂ©tĂ©s de grand luxe.

COROMANDEL
RĂ©putĂ©e pour ses plages immaculĂ©es, ses forĂȘts brumeuses, son ambiance dĂ©contractĂ©e, une histoire ancrĂ©e dans la ruĂ©e vers lâor, la rĂ©gion reprĂ©sente la Mecque des vacances auprĂšs des Kiwis. Avec environ 400 kilomĂštres de cĂŽtes et 100 ßles au large, Coromandel, câest aussi l'un des terrains de jeu de pĂȘche prĂ©fĂ©rĂ©s. Whitianga et Whangamata sont deux charmantes bourgades Ă visiter, habitĂ©es par une foule dâartistes.
AUCKLAND
TÄmaki Makaurau Auckland est une oasis urbaine multiculturelle de gastronomie, de musique et d'arts. Le Far West dâAuckland est rĂ©putĂ© pour sa beautĂ© sauvage; c'est ici que les puissantes vagues de la mer de Tasmanie s'Ă©crasent sur de vastes plages de sable noir, dont Karekare, Piha, Te Henga et Muriwai. Explorez en kayak ou en croisiĂšre gastronomique les Ăźles Ă©meraude du golfe de Hauraki ou les eaux claires de TÄwharanui et Pakiri. Mais ne manquez surtout pas de rejoindre l'Ăźle de Waiheke avec style, en hĂ©licoptĂšre, afin de dĂ©guster du vin local de classe mondiale. Enfin, si vous nâavez pas lâoccasion dâassister Ă un match de rugby, testez la nouvelle expĂ©rience interactive All Blacks et pratiquez votre haka.

Gastronomie raffinée au fameux restaurant Sage à Paroa Bay, dans la région de Bay of Islands.

Tout prĂšs dâAuckland, un vignoble rĂ©putĂ© de lâĂźle de Waiheke.
La culture maorie
La majorité des Maoris s'impliquent activement dans le maintien de leur culture et de leur langue. Ces derniÚres années, l'introduction du kohanga reo (linguistique maorie) dans les institutions scolaires a fait revivre cette derniÚre. Au sein de toute communauté maorie, le marae (place commune) constitue un centre de vie sociale, culturelle et spirituelle. Les Maoris se définissent par leur iwi (tribu), la maunga (montagne) et la awa (riviÚre). Leurs croyances ancestrales sont aujourd'hui reconnues par les dirigeants néo-zélandais. Par exemple, récemment, un projet routier de l'ßle du Nord a été modifié pour éviter de déranger un taniwha (monstre aquatique).


Lâespace et la multitude de salles modulables font dâExpoCitĂ© un endroit de choix pour crĂ©er un Ă©vĂ©nement de petite ou de grande envergure 100â% Ă votre image.
En cette pĂ©riode de lâannĂ©e qui est plus colorĂ©e et rassembleuse, notre Ă©quipe dâexperts ne mĂ©nagera aucun effort pour rĂ©pondre Ă vos attentes les plus Ă©levĂ©es.
250 A, boul. Wilfrid-Hamel, QuĂ©bec 418 691-7110, poste 2410 expocite@cage.ca â expocite.com â





on ne souLignerA jAmAis trop que câest L e site exceptionne L de q uĂ©bec qui fAit en grAnde pArtie son cHArme et Attire tA nt de touristes. u ne vi LL e sur un cApâ!
Ses citoyens anglophones la surnommaient au 19e siĂšcle «âthe Rock Cityâ». En visite en 1842, lâĂ©crivain britannique Charles Dickens en parla comme du «âGibraltar de lâAmĂ©riqueâ». Oui, le site est pittoresque, toutefois ses rĂ©sidents sont parfois contrariĂ©s de devoir gravir tant de cĂŽtes et monter tant dâescaliers. Et les services dâaqueduc et dâĂ©gout ont bien des dĂ©fis Ă relever.
Câest Samuel de Champlain lui-mĂȘme qui a choisi le site de QuĂ©bec pour y Ă©tablir son habitation en 1608. Il prĂ©voyait que lâĂ©tablissement serait facilement dĂ©fendable, car on pourrait y installer une forteresse sur le cap.
Ă QuĂ©bec, les beaux points de vue ne manquent donc point. Voici nos dix prĂ©fĂ©rĂ©s. De quoi faire tourner bien des tĂȘtes.
Québec, une ville à couper le souffle
01/ ConnaĂźtre le vertige que Jacques Cartier a vĂ©cuâ! Il faut absolument marcher sur la nouvelle passerelle dâobservation du site archĂ©ologique Cartier-Roberval (ouverte de mai Ă octobre). On y domine le fleuve et lâembouchure de la riviĂšre du Cap-Rouge. Sur ce promontoire du cap rouge, lâexplorateur Jacques Cartier fit construire un fort en 1541 pour le roi François 1er
02/ Le nom de la terrasse Pierre-Dugua-De Mons ne vous dit peut-ĂȘtre rienâ? Rappelons dâabord que le sieur de Mons Ă©tait le patron de Champlain lorsque celui-ci fonda QuĂ©bec en 1608, et que son nom fut donnĂ© Ă une terrasse dominant le fleuve, Ă lâextrĂ©mitĂ© de lâavenue Saint-Denis. On y est Ă 200 pieds audessus de la terrasse Dufferin. Le ChĂąteau Frontenac est Ă nos pieds. Par temps clair, on y voit jusquâĂ la chute Montmorency et bien au-delĂ .
03/ Dominant la cĂŽte de Sillery, la promenade devant lâĂ©glise Saint-Michel de Sillery offre de beaux points de vue sur le fleuve et est chargĂ©e dâhistoire. Le groupe statuaire des saints Martyrs canadiens nous rappelle que câest de la mission de Sillery que le pĂšre Jean de BrĂ©beuf et ses collĂšgues partirent pour lâIroquoisie et lâHuronie.
04/ Depuis 1958, on peut parcourir la promenade des Gouverneurs, accrochĂ©e au cap Diamant, au-dessous de la Citadelle. Beaucoup dâescaliers Ă gravir, toutefois des bancs nous permettent des pauses. Lorsque le coup de canon de la Citadelle retentit Ă midi, instinctivement, nos yeux cherchent des ennemis sur le fleuveâ!
05/ Bien peu de gens connaissent la rue SaintRĂ©al. Pourtant cette rue du faubourg SaintJean-Baptiste est un long belvĂ©dĂšre dominant le jardin Jean-Paul-LâAllier et le quartier SaintRoch. Vous ĂȘtes-vous dĂ©jĂ assis sur les bancs publics qui surplombent «âlâescalier du Soleilâ»â?
06/ Bien entendu, les grands escaliers qui relient la basse-ville Ă la haute-ville sont de beaux postes dâobservation. Lâ escalier des Franciscains nous rappelle Roger Lemelin et la patrie de la famille Plouffe. Lâescalier des Glacis me fait peur. Chaque fois que je le descends, le vertige me prend.
07/ Marcher rue des Remparts, comme le fit si souvent FĂ©lix-Antoine Savard (qui y avait son logement), passant devant la maison oĂč vĂ©cut le gĂ©nĂ©ral de Montcalm, Ă©veille bien des souvenirs et permet dâavoir de beaux points de vue sur les Laurentides. Nâoublions pas que celles-ci doivent leur nom Ă un citoyen qui vivait Ă une centaine de pas de notre rue des Rempartsâ: lâhistorien François-Xavier Garneau.
08/ Lorsque lâon arrive du boulevard RenĂ©LĂ©vesque et que lâon tourne pour prendre lâavenue HonorĂ©-Mercier (en haut de lâautoroute Dufferin-Montmorency ), le panorama qui sâoffre devant nous est impressionnant. On y prend pleinement conscience que la «âcolline parlementaireâ » mĂ©rite amplement son nom. Le coup dâĆil sâapparente Ă celui que lâon a sur la rue King Ă Sherbrooke.
/ Jean-Marie Lebel

Le belvédÚre de la cÎte de Sillery.
09/ Dans le secteur de Courville, la terrasse Cadieux domine le secteur de Saint-GrĂ©goire-de-Montmorency. Câest Ă voirâ! Et le site nous rappelle une glorieuse page de notre histoire. Dans cette falaise et au pied de celle-ci se dĂ©roula la bataille de la Montmorency du 31 juillet 1759 oĂč les troupes de LĂ©vis mirent en fuite celles de Wolfe.
10/ La cĂŽte de Salaberry â! Il est vrai quâelle fournit dâextraordinaires points de vue, mais il est aussi Ă©prouvant de la descendre que de la monter. Des gens se rappellent encore lâĂ©poque oĂč on la fermait Ă la circulation en hiver. Et ils y ont vu des enfants enjouĂ©s y glisser dans leurs toboggans. Câest la cĂŽte Gilmour qui fut la derniĂšre de QuĂ©bec Ă ĂȘtre fermĂ©e en saison hivernale.

La passerelle dâobservation du site archĂ©ologique Cartier-Roberval.
Vins
/ Jean Chouzenoux
Jean-Charles Boisset
VIGNERON SUPERSTAR
jeAn-cHArLes boisset est Ă LA tĂȘte de Lâentreprise vitivinicoLe fAmiLiALe fondĂ©e pAr ses pArents en 1961 outre Le domAine, ceux-ci Lui ont trAnsmis des vALeurs entrepreneuriALes fortes Ainsi quâun sens innĂ© de visionnAire. câest dAns sA bourgogne nAtALe que Le vigneron A dĂ©veLoppĂ© LâArsenAL qui LâA propuLsĂ© Ă LA direction dâune vĂ©ritAbLe institution qui Ă©tend AujourdâHui ses rAmificAtions des deux cĂŽtĂ©s de LâAtLAntique.
UN RĂVE Ă RĂALISER
Ayant dâabord dĂ©butĂ© Ă Vougeot, les activitĂ©s bourguignonnes sâĂ©tendent ensuite Ă Nuits-Saint-Georges, Ă Chambertin, puis Ă Morey Saint-Denis, regroupĂ©es sous le Domaine de la Vougeraie. Puis les acquisitions se poursuivent dans le Beaujolais, la VallĂ©e du RhĂŽne, le Jura et la Provence. Mais notre Bourguignon a le goĂ»t de lâaventure et veut Ă tout prix rĂ©aliser son rĂȘve amĂ©ricain. Câest ainsi quâĂ la pure tradition française de cet ancien monde, JeanCharles allie lâinnovation du nouveau monde, issue notamment de la Californie. Ce sont donc 28 propriĂ©tĂ©s qui constituent Ă ce jour le portfolio franco-amĂ©ricain du groupe Boisset. Quant aux vignobles des Ătats-Unis, ils se retrouvent dans les vallĂ©es fertiles de Sonoma, Napa ou Russian River. En route vers son rĂȘve, Jean-Charles a rencontrĂ© une grande dame, elle aussi issue dâun empire vinicole, Gina Gallo, du groupe Ă©ponyme. De leur union sont nĂ©es deux charmantes jumelles Ă qui lâon souhaite de poursuivre lâaventure.
LA NAISSANCE DE LA MARQUE JCB
Son engagement passionnĂ© pour les vins fins a menĂ© JeanCharles Boisset Ă crĂ©er sa propre marque, JCB, en tout respect de lâenvironnement et des normes agrobiologiques. JCB se dĂ©cline ainsi en une sĂ©rie de vins chiffrĂ©s (comme Chanel No5), chaque numĂ©ro rĂ©fĂ©rant Ă une date marquante pour la famille. Outre la filiĂšre vinicole, Jean-Charles a souhaitĂ© diversifier son entreprise en dĂ©ployant un rĂ©seau de salons dĂ©diĂ©s Ă la formation et Ă la tenue dâĂ©vĂ©nements gastronomiques de prestige, en lançant une ligne dâaccessoires de parfumerie et en dĂ©veloppant sa propre gamme de carafes et verres en collaboration avec la cristallerie Baccarat. Dâailleurs, on ne peut trouver un meilleur porte-parole de ses marques Ă lâĂ©chelle planĂ©taire que lui-mĂȘme. Il nâest pas rare de trouver cet homme Ă la personnalitĂ© flamboyante et dotĂ© dâun dynamisme remarquable prenant la pose pour promouvoir les produits du groupe quâil dirige.

UN ENGAGEMENT RECONNU ET RĂCOMPENSĂ
Faisant flĂšche de tout bois, excellant dans des sphĂšres variĂ©es, Jean-Charles Boisset a vu ses efforts rĂ©compensĂ©s de brillante façon. Ainsi, il a fait partie de la liste des 50 personnalitĂ©s les plus influentes du monde du vin recensĂ©e par la prestigieuse revue spĂ©cialisĂ©e Decanter Il a reçu le prix Meininger Ă titre dâentrepreneur de lâannĂ©e, puis le titre dâinnovateur de lâannĂ©e par Wine Enthusiast . Parmi tant dâautres hommages, retenons que Jean-Charles et son Ă©pouse Gina ont Ă©galement obtenu la distinction Entrepreneurs de lâannĂ©e, dĂ©cernĂ©e par la prestigieuse UniversitĂ© JFK de Concord, ainsi que le Mondavi Food & Wine Award pour leur contribution Ă lâavancement de lâindustrie du vin. Si la vie est une fĂȘte, JeanCharles Boisset en a mesurĂ© tout le sens en joignant un sens innĂ© des affaires au plaisir dâun certain art de vivre, motivĂ© par le dĂ©sir des accomplissements Ă venir et dotĂ© dâun charisme Ă toute Ă©preuve.
Jean-Charles Boisset sera de passage Ă QuĂ©bec le vendredi 1er dĂ©cembre prochain au Fairmont Le ChĂąteau Frontenac Ă lâoccasion du 12e Bal du maire de QuĂ©bec de la Fondation Jeunes en TĂȘte. Lors de cette prestigieuse soirĂ©e caritative, il prĂ©sentera les vins de la cĂ©lĂšbre maison JCB Collection qui seront servis aux convives.
ENSEMBLE POUR LE BIEN-ĂTRE
PSYCHOLOGIQUE
DES JEUNES
Depuis bientĂŽt 45 ans, la Fondation Jeunes en TĂȘte Ćuvre auprĂšs des jeunes de 11 Ă 18 ans afin de prĂ©venir la dĂ©tresse psychologique
PrĂšs de 1,3 million dâadolescents ont Ă©tĂ© sensibilisĂ©s au fil des annĂ©es par nos initiatives qui visent Ă prendre soin de leur santĂ© mentale.

EN DONNANT, VOUS LES AIDEZ !
Il existe plusieurs moyens de soutenir la Fondation. En faisant un don planifiĂ© maintenant, vous participez Ă un grand mouvement philanthropique et vous faites un geste pour lâavenir de nos jeunes.
Peu importe votre Ăąge ou votre situation personnelle, vous pouvez poser dĂšs aujourdâhui des gestes concrets pour le bien-ĂȘtre des gĂ©nĂ©rations futures.
DEVENEZ UN ACTEUR DE CHANGEMENT EN FAISANT UN DON PLANIFIĂ
Nul besoin dâĂȘtre fortunĂ© pour devenir philanthrope. En fait, faire un don planifiĂ© est un geste trĂšs avantageux sur le plan financier. En faisant un don par legs testamentaire ou don dâassurance vie, vous confiez votre argent Ă un organisme de confiance qui sâengage Ă investir chaque dollar dans des programmes concrets pour amĂ©liorer la santĂ© mentale des adolescents.
Vous assurez ainsi aux jeunes du Québec de recevoir des outils gratuits, validés par des experts reconnus, pour les aider à faire face à la détresse psychologique. Vous contribuez aussi à fournir à leurs parents et au personnel scolaire des ressources simples et pratiques. Merci de votre solidarité !
UN IMPACT CONSIDĂRABLE POUR LES JEUNES DE LA CAPITALE-NATIONALE ET DE LâEST DU QUĂBEC
Par le biais du Bal du maire, nous avons investi prĂšs de dans des programmes innovateurs pour soutenir les jeunes.
5 M $
Ă travers les annĂ©es, nous avons dĂ©veloppĂ© plus de partenariats et appuyĂ© prĂšs de adolescents dans la Capitale-Nationale et dans lâest du QuĂ©bec. 60
60 000

DĂFI PĂRE-FILS RELEVĂ
POUR LA FONDATION
MICHEL-SARRAZIN
Imaginez parcourir 450 km en cinq jours en bravant des montĂ©es totalisant 14 500 mĂštres de dĂ©nivelĂ©â! Câest ce quâa rĂ©alisĂ© le gestionnaire de portefeuille Steve Buisson de Buisson Gestion de patrimoine, affiliĂ© Ă iA Gestion privĂ©e de patrimoine. Pour lâoccasion, son fils Charles, ĂągĂ© de 25 ans, et qui travaille Ă©galement en finance chez AGF, a pris dâassaut la lĂ©gendaire et spectaculaire Haute Route Dolomites en Italie en sa compagnie. Ce dĂ©fi sportif pĂšre-fils a Ă©galement servi Ă amasser la somme de 10 985â$ au profit de la Fondation Michel-Sarrazin.

Nicolas Duvernois (au centre), prĂ©sident dâhonneur du Bal philanthropique, en compagnie de Jessika DĂ©nommĂ©e (Ă gauche), ambassadrice de lâĂ©vĂ©nement, et de plusieurs jeunes philanthropes

UN BAL AU PROFIT DE MOISSON QUĂBEC
Le 7 septembre dernier a eu lieu le Bal philanthropique des Jeunes philanthropes de QuĂ©bec au théùtre Le Diamant, sous la prĂ©sidence dâhonneur de Nicolas Duvernois, fondateur et PDG de Duvernois Esprits CrĂ©atifs. Cette activitĂ©, ainsi que le Banquet philanthropique qui a eu lieu au printemps 2023, ont permis de rĂ©colter 35 000â$ au profit de Moisson QuĂ©bec. Les dons collectĂ©s contribueront Ă rĂ©duire l'insĂ©curitĂ© alimentaire, amĂ©liorant ainsi la qualitĂ© de vie des personnes vivant des conditions socioĂ©conomiques prĂ©caires.
ĂDITION RECORD POUR LE 14E CYCLO-DĂFI IUCPQ
Le 14e Cyclo-DĂ©fi IUCPQ qui sâest dĂ©roulĂ© le 10 septembre dernier a Ă©tabli un nouveau record en rĂ©ussissant Ă amasser l'impressionnante somme de 356 779 $ en profits nets. Le succĂšs de cette Ă©dition historique, prĂ©sentĂ©e par Le Miel d'Ămilie et RBC Banque Royale, est non seulement attribuable Ă lâexploit relevĂ© par les quelque 600 cyclistes qui ont roulĂ© sous la pluie (en gardant le sourire) au profit de la Fondation IUPCQ, mais aussi Ă lâimplication essentielle des partenaires, des bĂ©nĂ©voles et du comitĂ© organisateur. Les dons serviront Ă soutenir les projets prioritaires de l'Institut universitaire de cardiologie et de pneumologie de QuĂ©bec-UL.

Nicolas Audet-Renoux, coprĂ©sident dâhonneur du Cyclo-DĂ©fi IUPCQ et v.-p. rĂ©gional QuĂ©bec/Beauce/Centre du QuĂ©bec/Mauricie pour RBC Banque Royale; JosĂ©e Arsenault, prĂ©sidente du C. A. de la Fondation IUCPQ; JosĂ©e GiguĂšre, directrice gĂ©nĂ©rale de la Fondation IUCPQ; Jean-François Doyon, coprĂ©sident dâhonneur du Cyclo-DĂ©fi IUPCQ et prĂ©sident de Distributions D. J. F. inc.; et Pierre Gagnon, prĂ©sident du comitĂ© organisateur du Cyclo-DĂ©fi IUCPQ.


Des solutions FONCTIONNELLES, ESTHĂTIQUES, NOVATRICES et adaptĂ©es Ă vos besoins.
Repousser les limites de LâART DENTAIRE en sâinspirant de la NATURE .





R JASON BATTAH
D.M.D