Leadership au féminin
Ces femmes qui osent
Spécial Lévis
Le meilleur de deux mondes

PARTICIPER À LA SANTÉ GLOBALE DU PATIENT PAR LA MÉDECINE ESTHÉTIQUE
Dr Stéphane Maurice
![]()
Leadership au féminin
Ces femmes qui osent
Spécial Lévis
Le meilleur de deux mondes

PARTICIPER À LA SANTÉ GLOBALE DU PATIENT PAR LA MÉDECINE ESTHÉTIQUE
Dr Stéphane Maurice


Espaces de vie évolués
x Construction en béton armé avec gicleurs
x Ascenseurs, chutes à déchets et recyclage
x Stationnement intérieur avec bornes électriques
x Piscine intérieure avec spa et sauna
x Salle de golf virtuel
Salle d’entraînement
x Lounge et terrasse au toit
x Salon et salle multifonctionnelle
x Bureau d’administration sur place
x Au cœur du centre-ville de Lévis
x Service d’urgence 24/7





Chaque fois que je mets au programme un spécial sur le leadership au féminin dans le magazine Prestige, j’ai le bonheur de découvrir de nouveaux visages et d’en retrouver des familiers. Des femmes d’affaires audacieuses et des professionnelles dynamiques, toutes inspirantes, et surtout, engagées dans un parcours qui décoiffe bien souvent. Les deux dernières années ayant été particulièrement incertaines à bien des égards, je m’attendais toutefois à ce que mon invitation à participer à ce dossier biennal s’avère plutôt tiède. Ce fut tout le contraire…
Ce vent bien féminin qui souffle sur l’entrepreneuriat m’a d’ailleurs été confirmé dans un rapport datant de mars dernier, dont j’ai pris connaissance avec un certain étonnement, doisje l’avouer. Intitulé Indice 2021 : Le nouveau visage des entrepreneur(e)s québécois(es) , ce rapport de Réseau Mentorat, présenté par le ministère de l’Économie et de l’Innovation du Québec, révèle que les femmes (et les personnes immigrantes) sont deux fois plus présentes que les autres groupes parmi les nouveaux entrepreneurs. Un résultat qui confirme la place de plus en plus importante que les femmes occupent dans l’entrepreneuriat québécois et le rôle de premier plan qu’elles jouent dans le monde des affaires, et ce, alors même qu’il y a un recul général du taux global d’intentions d’entreprendre depuis 2019. Que doit-on en conclure ?

Je vous laisse à cette réflexion et je me contenterai simplement de vous présenter les 12 femmes formidables qui se racontent ce mois-ci dans Prestige avec tant de passion. De tous âges et de tous horizons, elles possèdent néanmoins un point en commun : elles ont choisi de foncer dans la tempête et elles témoignent de leur désir de réussir. Comment ne pas être fière d’être une femme quand j’observe leur ténacité ?
Bravo, Mesdames ! Vous êtes admirables !
Marie-Josée Turcotte
Éditrice
MAI 2022
Vol. 27, no 2, 228e parution
Publié par :
PRESTIGE Groupe Média
ÉDITRICE
Marie-Josée Turcotte
DÉVELOPPEMENT DES AFFAIRES
France Bégin
Stéphane Dionne
PRODUCTION, GRAPHISME Atelier 480
PHOTO PAGE COUVERTURE
Marjorie Roy, Optique Photo (Séance photo dans le foyer du théâtre Le Diamant)
PHOTOGRAPHIES
Daniel Abel
Marc-Éric Baillargeon
Marjorie Roy
COMPTABILITÉ
Focus TDL
IMPRESSION Solisco
DISTRIBUTION RÉSIDENTIELLE ET COMMERCIALE
Transcontinental Distribution
Distribution Serge Monico inc. Postes Canada
Dépôt légal Bibliothèque nationale du Canada ISSN-1205-6707
Dépôt légal Bibliothèque nationale du Québec
Magazine Prestige 4740, boul. Henri-Bourassa Québec (Québec) G1H 0B3
Téléphone : 418 683-5333 www.magazineprestige.com
Rédaction, production et ventes : redaction@magazineprestige.com
Pour abonnement et publicité : 418 683-5333
Cette édition est distribuée à 35 000 exemplaires.
Les opinions émises dans les articles publiés par le magazine Prestige n’engagent que leur auteur.
Une publication de











Développement des affaires




Atelier 480 Studio de design graphique

En février dernier, Francis Lessard, président de la plus importante agence tech-marketing pour l’immobilier dans l’est du Canada, a annoncé l’intégration de l’agence Idecom à Graph Synergie. Les expériences complémentaires des deux entreprises, qui cumulent 60 ans d’activité, leur permettront assurément de devenir une force incontournable dans le domaine niché de l’immobilier et de la construction.

Ce projet est celui du Centre national d’entraînement PierreHarvey, à Saint-Ferréol-les-Neiges, dont la mission est d’optimiser le potentiel des meilleurs skieurs de fond au Canada. Afin de financer ce projet, une œuvre d’art est créée chaque année, sur une période de six ans. Le 2 avril dernier, la seconde œuvre a été dévoilée et il s’agit de celle de Marjorie Roy, photographe bien connue des lecteurs du magazine Prestige, mais également une artiste dont les œuvres sont exposées à la Galerie d'art Beauchamp. Fait à mentionner, l’œuvre intitulée La Poursuite s’est vendue à peine 20 minutes après son dévoilement. Si vous aimez, il vous est possible d’acheter une reproduction en ligne : cneph.ca/store/p46/la_poursuite.html

Déserté depuis deux ans en raison de la pandémie, le port de Québec était bien triste. Mais voilà que les navires de croisière sont de retour depuis le 26 avril dernier, date qui marquait le début de la saison des croisières internationales. L’Administration portuaire de Québec a ainsi célébré l’arrivée du Viking Octantis , un navire élégant pouvant accueillir quelque 378 passagers. D’ici le 1er novembre prochain, 30 navires appartenant à 24 croisiéristes accosteront au port de Québec. Pour connaître l’horaire : portquebec.ca

DES MAX/IMM REMAX



Félicitations à Pierre-Olivier Vear de RE/MAX 1 ER CHOIX, Tom Donovan de RE/MAX ACCES et Étienne Lessard de RE/ MAX FORTIN, DELAGE, dont les équipes ont été couronnées championnes de la région de Québec. Tous trois font désormais partie du sélect Club Diamant. Par ailleurs, PO Vear a été honoré pour sa réussite de carrière exceptionnelle en moins de sept ans chez RE/MAX. Un exploit pour le jeune courtier immobilier dont le slogan est « Le WOW qui fait vendre ».
DEUX NOUVEAUX PRIX INTERNATIONAUX
POUR CASSIS MONNA
L’année 2022 a commencé en force pour l’entreprise familiale, cheffe de file en alcools fins du terroir québécois. En effet, Cassis Monna & filles a remporté deux nouvelles médailles d’or au prestigieux concours International Wine and Spirit Competition de Londres. La crème de Cassis ajoute ainsi une médaille d’or à sa collection déjà impressionnante, alors que la vodka artisanale, issue à 100 % des cassis du domaine, a remporté sa deuxième médaille d’or depuis son lancement récent, en mai 2021.
ET LE PREMIER PRIX ROCKDEMERS EST DÉCERNÉ À…
En février dernier, à l’occasion du Festival international du film pour enfants de Montréal, le premier Prix Rock-Demers a été décerné à Nancy Florence Savard, présidente et fondatrice du studio de création en animation 3D, 10 e Ave Productions. Situé à Saint-Augustinde-Desmaures, le studio a connu un immense succès avec La légende de Sarila , vendu dans plus de 40 pays. Félicitations à la lauréate, une véritable pionnière dans son domaine.



Luxe extrême

La Porsche Design Tower Miami compte 132 unités. Le gratte-ciel résidentiel est le dernier-né de plusieurs immeubles ultraluxueux construits en bord de mer à Miami.
PORSCHE DESIGN TOWER DE MIAMI
Au cœur de vues magnifiques sur l’océan Atlantique et de l’Intracoastal Waterway dans la communauté balnéaire de Sunny Isles se dresse un immeuble d’appartements de prestige dans une classe à part : la Porsche Design Tower. Dans cette tour de 60 étages, un système d’ascenseur à voitures conduit les résidents assis à leur volant jusqu’à la porte de leur luxueux appartement.
Ce chef-d’œuvre architectural et technique a été conçu par Porsche Design Group, en partenariat avec Dezer Development, pour étendre la propriété de la marque emblématique sur le marché de l’immobilier résidentiel.
/ Nathalie Clark

Le Dezervator permet aux propriétaires de garer leurs véhicules dans des garages aériens, juste à côté de leur unité.
Dans cette tour ultra-luxueuse se trouve une attraction unique et spectaculaire : le Dezervator. Ce système de stationnement robotisé breveté permet aux riches propriétaires de garer les bolides du constructeur automobile allemand directement par ascenseur transparent dans leur salon.
Cette technologie de stationnement innovante servira de catalyseur pour les futurs développements immobiliers prestigieux dans le monde et, en particulier, dans les villes urbaines où le stationnement est une priorité. Cette innovation technique et technologique d’avant-garde donne non seulement à la Porsche Design Tower Miami un nouveau visage à la skyline de Miami Beach, mais impose aussi de nouveaux critères sur le marché immobilier de luxe.
Les résidents bénéficient également des services de conciergerie automobile pour l’entretien des véhicules et ont un accès exclusif à un restaurant privé, des casiers à vin réfrigérés et un salon extérieur face à l’océan. Un cinéma privé ainsi qu’un simulateur de golf et de course complètent ce premier projet d’immeuble résidentiel de Porsche Design.


Bentley Motors aura également sa toute première tour résidentielle en 2026 dans le même secteur de Miami, à Sunny Isles Beach. Les travaux de la tour cylindrique de 60 étages doivent débuter en 2023. Elle regroupera plus de 200 résidences de luxe, des équipements ultramodernes, dont un restaurant, un cinéma, un bar à whisky, un gym, un spa, un salon à cigares et de magnifiques jardins paysagers.
Galerie de photos en ligne sur magazineprestige.com, section Luxe.

La forme cylindrique du bâtiment et les fenêtres s’étendant du plancher au plafond offrent aux résidents des vues spectaculaires sur l’océan. Chaque appartement comprend une piscine et une cuisine extérieure.
« L’un des constats que j’ai moi-même fait, c’est que L a médecine esthétique participe vraiment à L ’épanouissement et à L a santé g L oba L e des personnes. s i on se sent bien dans sa peau, ce mieux-être psychoLogique pourra contribuer au bien-être physique. »
Cette observation – qui est aussi devenue une mission –, le Dr Stéphane Maurice la met au profit de la grande famille de Medicart. Depuis peu, il a en effet intégré le réseau, un honneur exprime-t-il. « Nous avons des valeurs communes, notamment la recherche de l’excellence et le respect. Il est fondamental que l’expérience des patients qui me consultent soit positive du début à la fin. Je viens y poursuivre mon développement, proposer les meilleurs soins. »
Le parcours du D r Maurice s’amorce en 1982. Il entreprend alors des études en psychologie à l’Université McGill, puis s’engage dans un programme de maîtrise avant de bifurquer vers la médecine. Intuitivement, il savait qu’il voulait aider les gens; il s’agissait de sa source de motivation. Durant sa formation en médecine, il terminera sa maîtrise en psychologie, mais n’exercera pas. Il opte finalement pour la médecine familiale, souhaitant « toucher à tout ».
Nouvellement diplômé, le Dr Stéphane Maurice s’installe d’abord dans le Témiscouata, pour ensuite élire domicile, l’espace d’une décennie, dans la région de Charlevoix. Sa destination suivante sera Québec. Pendant une dizaine d’années, tout en continuant à effectuer du suivi de patients, il occupe un poste de professeur de clinique à l’Université Laval. Préalablement à la médecine esthétique, il fait de l’urgence, de l’obstétrique et de la médecine hospitalière.

Le Dr Stéphane Maurice fait désormais partie de la grande famille Medicart.

ÊTRE LA MEILLEURE VERSION DE SOI-MÊME
/ Johanne Martin
« Comment j’en suis venu à m’intéresser à la médecine esthétique ? En fait, les patients que je suivais m’ont confié qu’ils recevaient ce type de traitements et ça m’a intrigué, raconte le Dr Maurice. À l’époque, je pratiquais certaines techniques, notamment de la chirurgie mineure. J’ai réalisé qu’ils avaient bonne mine et je me suis même dit qu’ils avaient l’air plus jeunes que moi ! Eux-mêmes m’ont demandé pourquoi je n’offrais pas ces services ! »
Le médecin entreprend sa formation en médecine esthétique pour ensuite devenir formateur et conférencier. À la même époque, il confie avoir luimême bénéficié de traitements en médecine esthétique, notamment pour traiter la couperose, les taches de rousseur et les rides. Il constate qu'il peut avoir une emprise sur ces conditions et se rappelle aussi les bienfaits analogues de l'orthodontie lorsqu'il était plus jeune.
« J’avais réellement l’impression que ça contribuait à ma qualité de vie et à mon mieux-être, insiste le professionnel. J’ai pu expérimenter tous les avantages de la médecine esthétique sur le plan psychologique. Peu à peu, la médecine esthétique a occupé une plus grande place dans ma pratique de sorte qu'aujourd'hui, je m'y consacre entièrement. »
Celui qui assure maintenant la direction médicale de Medicart Québec avec D re Élizabeth Morency a toujours fait du lien de confiance qu’il tisse avec ses patients une priorité. Il fonde son approche sur le respect et l’honnêteté. Pour le Dr Stéphane Maurice, il est crucial d’accorder le temps nécessaire pour créer une relation, écouter les patients et respecter les objectifs qu’ils se sont fixés. Par ailleurs, il est impératif d’offrir des traitements efficaces et sécuritaires.
« En aucun temps on ne doit faire de compromis sur la sécurité, tient à répéter le nouvel arrivant dans le réseau Medicart. Je suis avant tout un médecin. Il faut savoir que le monde de l’esthétique est extrêmement vaste et qu’il existe quantité de traitements, certains étant plus efficaces que d’autres. Ma formation de scientifique me permet de déterminer ceux qui sont les plus sécuritaires et les plus appropriés pour une condition par rapport à une autre. »
En médecine esthétique, la relation médecin-patient en est une qui s’échelonne de manière générale sur plusieurs années puisqu’elle repose sur un programme de traitement. Il ne s’agit pas de tout faire en même temps, mais d’y aller progressivement afin d’obtenir des résultats qui soient les plus naturels possible. Si personne ne peut échapper au vieillissement, il est tout de même envisageable d’aspirer à présenter la meilleure version de soi-même, sans abus.
Merci au théâtre Le Diamant de nous avoir accueillis pour cette séance photos.

« Le monde de L ’esthétique est extrêmement vaste et i L existe quantité de traitements, certains étant pLus efficaces que d’autres. m a formation de scientifique me permet de déterminer ceux qui sont L es p Lus sécuritaires et L es p Lus appropriés pour une condition par rapport à une autre. »

DE NOUVEAUX TRAITEMENTS
« Les traitements sont souvent inconfortables; on essaie donc de réduire au minimum les désagréments en utilisant les meilleurs outils et techniques disponibles. C’est ce qui oriente ma pratique. Aujourd’hui, en médecine esthétique, on ne peut se passer de la technologie, et celle-ci évolue beaucoup. Medicart m’offre un plateau technique d’avant-garde et l’accès à tout un réseau de professionnels parmi les plus compétents » , rend compte le Dr Maurice.
Ce dernier note d’ailleurs qu’un traitement relativement nouveau, le rajeunissement vaginal, s’ajoutera à sa gamme de services au cours des prochains mois. En raison de la diminution des œstrogènes chez la femme à la ménopause, à la suite d’un accouchement ou encore de conditions médicales particulières, il peut survenir un relâchement vaginal, des relations sexuelles douloureuses et de l’incontinence. Le traitement pourra remédier à ces conditions.
Le D r Maurice est l'un des rares médecins au Québec à effectuer un nouveau traitement qui permet de traiter les varices complexes en collant les parois des veines. « Ça a toujours été une motivation d’apprendre, de comprendre, de m’améliorer. Chez Medicart, je vais pouvoir poursuivre dans cette voie et participer à l’essor et au rayonnement de l’organisation. C’est un honneur d’intégrer cette famille. Je veux enfin remercier mes patients, qui me permettent de continuer à faire un travail que j’aime », conclut-il.


En mai, obtenez une carte-cadeau de 50 $ à l’achat de tout traitement* chez Medicart Québec.
2954, boulevard Laurier, bureau 620, Québec
* Détails en clinique
Les services offerts par le Dr Stéphane Maurice chez Medicart Québec
VISAGE
Rehaussement global du visage, cernes, rides, taches pigmentaires, rosacée, raffermissement, rhinoplastie sans chirurgie, augmentation des lèvres, double menton, définition de la mâchoire, rehaussement du menton, masculinisation ou féminisation du visage et bruxisme.
CORPS
Rajeunissement du cou-décolleté, des mains, bras et cuisses, rehaussement et raffermissement fessier, remodelage corporel, vergetures, cicatrices, taches de vin, angiomes, varices et varicosités, transpiration excessive, dysfonction érectile et augmentation du pénis, rajeunissement vaginal et perte de cheveux.
TECHNOLOGIES
Neuromodulateurs, agents de comblement, acide polylactique, acide désoxycholique, plasma riche en plaquettes (PRP), cryolipolyse, laser CO2, Fraxel et VBeam.
Le Dr Maurice a acquis une expertise pour traiter les hommes qui ont longtemps été délaissés. Désormais, ils sont de plus en plus nombreux à profiter des bienfaits de la médecine esthétique.
Pour en savoir davantage sur Medicart ou prendre rendez-vous : medicart.com

KOCÏNA
par L eurs accomp L issements, par L e poste de responsabi L ités qu’e LL es occupent et par Le champ d’expertise au sein duqueL eLLes évoLuent, eLLes représentent un modè L e inspirant pour L es autres femmes et pour L a communauté en généra L à L a suite du succès remporté en novembre 2020 avec Le dossier femmes de défis, Prestige est de retour ce mois-ci avec son spécia L sur L e L eadership au féminin. pLace aux femmes qui osent !

MELANIE STONES

Valérie Rancourt-Grenier
LE GROUPE LG CLOUTIER

MAVUE MARIE TRUDEL OPTICIENNE 18


ÉQUIPE PO VEAR - RE/MAX 1 ER CHOIX


Lyne Blackburn
RESTAURANT-BAR LA BÊTE

Alyssan Prince SKYVISION OPTOMÉTRIE Mélanie
ÉQUIPE MELDEN - RE/MAX RÉFÉRENCE 2000 DRP


GENESIS DE QUÉBEC
Ces femmes qui osent / Gilles Levasseur
deux décennies de carrière, ça se fête en grand, surtout si ça coïncide avec un 40e anniversaire de naissance ! d epuis L e début des années
2000 , é mi L ie r oberge s’exprime en tant que designer-cuisiniste, d’abord comme travaiLLeuse autonome, puis à titre d’entrepreneure depuis huit ans. aujourd’hui, Kocïna — sa principaLe création — a désormais pignon sur rue dans un tout nouveL espace inspirant et davantage fidè L e à L a signature corporative avantgardiste et épurée, à L’angLe route de L’égLise et chemin saint-Louis. si on dit que La vie commence à 40 ans, La designer n’a pas fini de nous étonner et de nous faire profiter de son taLent…
La pomme ne tombe jamais loin de l’arbre, c’est bien connu. Émilie Roberge a grandi auprès d’un père entrepreneur, qui a fondé la vitrerie Univerre. « Je l’ai vu travailler sans relâche pour bâtir son entreprise, je savais ce que cela comportait quand, poussée par un grand désir de liberté d’action et de latitude créatrice, j’ai choisi de me lancer en affaires, raconte la designer. Je me suis demandé ce qui me faisait le plus vibrer. La réponse s’est imposée : réaliser le rêve des familles de faire de leur maison un endroit personnalisé où il fait bon vivre. »
Deux fois plus vaste que la précédente, la nouvelle salle de montre se prête davantage aux rencontres avec la clientèle et offre aux regards des exemples plus à jour de ce que propose l’équipe Kocïna. Émilie est secondée depuis les tout débuts par la technicienne Claudia Duplain, avec qui elle dit former un duo vraiment productif. L’agrandissement touche aussi l’équipe, qui verra deux postes s’ajouter cette année en plus de l’arrivée récente de la designer Maude Gagnon. Les cuisines et salles de bain constituent toujours l’essentiel de la création, mais celle-ci s’aventure également du côté du mobilier sur mesure et même au-delà, en incluant tout ce que comporte un projet de construction ou de rénovation. « Nos interventions clés en main respectent les choix des clients, car nous sommes surtout là pour les épauler et les conseiller, assure Mme Roberge, ce qui est encore plus vrai depuis que Kocïna fait partie du groupe Contraste Immobilier et Oïkos Construction, nous permettant ainsi de profiter de ressources que nous n’avions pas avant. Son président, Pierre-Yves Charest, l’un de mes clients, avait eu un coup de cœur pour une présentation que je lui avais faite; nous avons alors entrevu la belle synergie qui résulterait de notre association. Et que dire que notre affiliation avec le fabricant Miralis, de Saint-Anaclet-deLessard, grâce auquel nous pouvons offrir les meilleures qualité et durabilité qui soient. »
Émilie Roberge Designer-cuisiniste et propriétaire

À l’aube de cette nouvelle étape de vie, Émilie Roberge se dit fière du chemin parcouru. « L’entreprise est bien positionnée, et je m’épanouis au sein d’une dynamique équipe féminine dans un bel équilibre entre création et gestion. J’ai toujours eu un faible pour l’inspiration japonaise avec des lignes très épurées, des bois blonds, des réglettes de céramique blanche, bref, un décor où on se sent apaisé. L’ampleur de nos projets ne cesse de grandir, et l’avenir est prometteur étant donné que la cuisine est vraiment devenue le centre de nos demeures. »
Pour en savoir davantage sur Kocïna : kocina.ca
Mélanie Pilote
Fondatrice et designer

toute petite, méLanie piLote pressentait déjà qu’eLLe a LL ait réa L iser de grandes choses. s on destin L a conduira à une quête du bien-être et de La beauté… pour e LL e-même et pour L es autres. L’histoire de m e L anie s tones bri LL e comme L e p L us sub L ime des bijoux.
La trajectoire de la designer originaire de la région du Lac-Saint-Jean est pour le moins atypique. Après avoir obtenu deux baccalauréats – en génie mécanique et en actuariat –, puis fait carrière pendant près de 20 ans dans le domaine de la finance auprès de grandes firmes, Mélanie sent qu’elle n’est pas à « sa » place. Un peu par hasard –mais pas totalement –, elle apprendra à marcher sur un chemin pavé de pierres fines, de perles, de diamants, et à offrir du bonheur.
« Dès l’âge de 4 ans, j’ai commencé le ballet classique. Je garde aussi de très bons souvenirs de chacun des instants passés avec ma grand-mère maternelle, qui m’a initiée aux rudiments de la couture, du tricot, du macramé et de la cuisine. Les samedis matin, avec mes amies d’enfance, nous nous adonnions à des cours d’arts plastiques en compagnie d’un artiste et ami de mon père. J’ai donc eu bien des occasions de développer mon côté créatif » , raconte Mélanie.
L’aventure de Melanie Stones débute en 2014, alors que Mélanie découvre le monde de l’entrepreneuriat. À 42 ans, l’Almatoise sait qu’elle veut bâtir une marque. Admirative des œufs de Fabergé, elle se rappelle être assise devant son ordinateur et tomber « par hasard » sur un site de pierres fines. Un coup de cœur se produit alors : Mélanie concevra des bijoux.
/ Johanne Martin
TOUJOURS OFFRIR LA PERFECTION
« Une démarche que j’ai effectuée auprès d’un expert en branding m’a permis de déterminer l’essence de mon identité : savoir reconnaître la vraie beauté » , précise la designer. Elle a toujours à l’esprit une phrase lancée un jour par son père : « Mélanie, tu veux toujours offrir la perfection ! » . Le 8 janvier 2015, Melanie Stones naît officiellement. « Depuis, les clients me disent que mes bijoux leur transmettent une belle énergie, leur donnent confiance. »
Celle dont les créations haut de gamme sont imaginées et conçues à Montréal a fait de sa fille Estelle une véritable complice dans sa nouvelle vie. Bébé, installée dans sa chaise haute, elle enfilait ses propres perles, imitant sa maman. « Ma fille, c’est son quotidien. Estelle me suit même chez mes fournisseurs. C’est un très bel apprentissage pour elle, et bien qu’elle n’ait que 9 ans, elle me donne parfois des conseils sur la gestion de mon entreprise ! »
Mélanie mise enfin sur le maintien d’un équilibre, ce qui lui procure, croit-elle, sa force comme entrepreneure. Elle pratique ainsi la course à pied. Bientôt, elle amorcera un MBA. Tout en continuant à créer des bijoux, elle occupera un poste d’auxiliaire de recherche en entrepreneuriat en vue d’entrer au doctorat. « Je veux m’améliorer en tant que gestionnaire, comme cheffe d’entreprise, en plus de faire avancer l’entrepreneuriat féminin », conclut-elle.
Pour en savoir davantage sur Melanie Stones : melaniestones.com
Vice-présidente des ressources humaines et du marketing

« La confiance, j’ai ça en moi; je vais tout droit et j’aime identifier mon prochain défi. je viens d’une famiLLe qui a nagé dans L’entrepreneuriat et L’usinage. de mon côté, j’ai à cœur de continuer à faire avancer L’entreprise en matière de ressources humaines. »
Travailleuse sociale de formation, Valérie Rancourt-Grenier intègre Le Groupe LG Cloutier à l’âge de 22 ans. Régulièrement en visite dans la « shop de son père » durant sa jeunesse, elle connaît l’entreprise familiale. Celle-ci étant dépourvue d’échelle salariale, de stratégie de recrutement et de mesures d’équité, par exemple, elle y fait son entrée en proposant de mettre en place des outils afin d’assurer le mieux-être des employés. Elle réalise qu’ils ont certains besoins.
« Il n’y avait pas de département des ressources humaines, commente la représentante de la relève. J’ai dit à mon père que j’allais monter quelque chose et de me laisser faire; il n’était pas convaincu au début. J’ai parlé au personnel pour comprendre ses besoins. J’ai aussi lu des livres et regardé des vidéos; j’étais autodidacte dans mes nouvelles tâches. J’ai appris et mis en application ces compétences pour établir une structure et améliorer le quotidien. »
Occupant le poste de vice-présidente des ressources humaines et du marketing, Valérie se considère franche dans sa manière d’agir et humaine dans son approche. Pour la PME qui fait de la sous-traitance dans les domaines médical, du transport et de l’aéronautique, et qui compte des usines à Neuville ainsi qu’à L’Islet, une jeune femme à la haute direction de la compagnie dérange parfois. La gestionnaire a l’habitude d’entendre des propos sexistes.
« J’ai choisi de faire mon chemin », exprime celle qui rapporte être souvent « la fille de… » et qui doit composer avec des « tu ne connais pas ça, estce que je peux parler à ton père ou ton frère ? ». Valérie déplore d’ailleurs qu’il y ait encore trop peu de femmes entrepreneures, particulièrement dans le monde manufacturier. Membre d’EntreChefs PME, elle se forme aussi à l’École d’Entrepreneurship de Beauce et se qualifie de « relève en apprentissage »
« J’ai beaucoup travaillé sur la marque employeur en demandant aux employés ce qu’est, pour eux, LG Cloutier. Je suis fière d’être associée à l’obtention du Sceau Concilivi, qui met en lumière la volonté de la compagnie d’en faire davantage à l’égard de la conciliation famille-travail. La certification constitue un élément d’attraction et de rétention du personnel. Nous nous sommes donné les moyens de bâtir une belle entreprise », note la jeune femme.
Actionnaire depuis 2019, Valérie Rancourt-Grenier souhaite amener Le Groupe LG Cloutier encore plus loin sur le plan des ressources humaines.
« Le personnel est très conscient que l’employeur est là pour eux; c’est une réalisation dont je tire énormément de satisfaction. En ce qui a trait à mon chapeau d’entrepreneure, je cherche toujours à me démarquer dans un milieu d’hommes; le statu quo, ce n’est pas quelque chose que j’accepte », termine-t-elle.
Pour en savoir davantage sur Le Groupe LG Cloutier : lgcloutier.com

© Marc-Éric Baillargeon, Les Festifs
VOIR AVEC LES YEUX DU CŒUR
iL y a maintenant 12 ans, marie trudeL ouvrait sa cLinique dans Le quartier saint-sacrement. depuis ce jour, sa passion pour La profession d’opticienne n’a cessé de croître, nourrie par son sens de La rigueur, par son souci de La précision conjugué à son sens artistique, mais surtout, par La chance inouïe qu’eLLe a de côtoyer de fidèLes coLLaboratrices opticiennes qui partagent ses vaLeurs et une cLientèLe de quaLité qui est source de son inspiration.
La voie qu’a empruntée Marie Trudel est intrinsèquement liée à celle de son père Robert Trudel, jadis opticien, de qui elle a appris toutes les ficelles du métier. « Je considère que j’ai eu beaucoup de chance de pouvoir marcher sur les pas de mon père, exprime d’entrée de jeu la propriétaire de l’entreprise située sur le chemin Sainte-Foy. C’est lui qui m’a transmis son amour du travail, sa curiosité, son audace et sa persévérance. » Pendant trois décennies, l’opticien est intervenu dans les populations cries et inuites. Sachant les membres de ces communautés très éloignés des services, il souhaitait s’assurer que leurs lunettes soient confortables. Marie a poursuivi son œuvre durant une décennie auprès des Cris. C’est de cette expérience enrichissante que découle Opticonfort®, un protocole de dessins et de gestes qu’elle a perfectionné. Celui-ci permet de réaliser un moulage sur mesure et personnalisé pour chaque monture, toujours en lien avec la prescription et la physionomie unique de chaque personne. Ce service exclusif, offert par l’équipe de Marie Trudel, démontre toute l’importance accordée aux détails qui, à première vue, semblent anodins.
/ Johanne Martin
Opticienne-propriétaire, entourée de May Ann Giguère et Martine Girard, ses collaboratrices-opticiennes.
AU-DELÀ DU PROTOCOLE
Réputée pour son doigté hors-pair, Marie Trudel a aussi instauré dans sa clinique une atmosphère chaleureuse qui contribue à établir une relation conviviale avec ses clients. « À mes yeux, il est primordial de demeurer branchée sur soi-même et de respirer l’authenticité » , admet celle qui a fréquenté l’École d’Entrepreneurship de Beauce, ce qui lui a permis de mieux concrétiser sa vision dans sa réalité quotidienne. « J’ai notamment intégré que c’est d’abord en étant à l’écoute de soi qu’on devient sensible au bien-être des autres. Le lien de confiance que l’on crée avec notre équipe favorise ensuite une plus grande présence à l’égard de nos clients qui ressentent à leur tour notre sincérité à vouloir leur offrir le meilleur de nousmêmes. »
Ce que Marie Trudel souhaite par-dessus tout ? Redonner ses lettres de noblesse à ce métier qui exige autant de qualités techniques et artistiques qu’humaines. Ces qualités, elle les retrouve d’ailleurs dans son équipe qui lui ressemble et qui partage ses valeurs. Au service du bien-être visuel et à l’écoute de l’histoire de chaque personne, ses formidables collaboratrices participent à la réputation irréprochable de la clinique qui, grâce à son service hors-pair, bénéficie d’un excellent référencement. « Ensemble, nous sommes des opticiennes fières de réactualiser l’importance du savoir-faire dans notre domaine et riches des contacts que nous entretenons avec notre clientèle, qui nous pousse à devenir meilleures jour après jour », conclut Marie Trudel.
Pour en savoir davantage sur MAVUE Marie Trudel Opticienne : mavuemarietrudel.com
après 35 ans d’existence, La jeune chambre de commerce de québec ose pLus que jamais et fait preuve d’un regain de vitaLité, comme en fait foi Le nombre de membres — queLque 650 inscrits — doubLé en un an ! Les nouveLLes façons de faire associées à une présence féminine accrue et sans précédent au sein de L’organisme, autant à La direction et La permanence qu’au ca et à La présidence, ne sont probabLement pas étrangères à ce vent de renouveau. de pLus, La parité femmes-hommes nouveLLement acquise refLète Le profiL unique de La reLève d’affaires de québec.
Présidente depuis juin 2021, Isabelle Lechasseur est la toute première femme entrepreneure à occuper ce poste. Infirmière de formation, cette femme d’affaires « nouvelle génération » dirige de front depuis maintenant 10 ans deux entreprises : Infirmia, un réseau de six cliniques de soins de première ligne, et Harfang Santé, qui place du personnel en santé partout au Québec. Ayant découvert la JCCQ en 2016 après avoir été élue Jeune personnalité d’affaires dans la catégorie des services professionnels, Isabelle a, depuis, l’organisation tatouée sur le cœur. « Quand j’ai démarré en affaires, je me suis sentie isolée, se souvient-elle. En m’impliquant dans la JCCQ depuis près de six ans et en acceptant le défi de la présidence, j’ai voulu redonner à la jeune communauté d’affaires ce que j’avais reçu. »
Depuis l’an dernier, la JCCQ a une permanence toute féminine, formée d’Aurélie Bédard, Justine Cyr et Raphaëlle-Ann Samson, cette dernière étant directrice générale depuis mars 2021 après y avoir été bénévole pendant plusieurs années. « Représenter la relève d’affaires à Québec, c’est tout un privilège !, explique-t-elle. Je suis choyée de pouvoir côtoyer nos membres quotidiennement et de défendre leurs intérêts ! Nous avons également la chance de compter sur des partenaires fidèles qui nous suivent dans toutes nos aventures et qui n’ont jamais laissé tomber la JCCQ, même au pire de la pandémie. Et la parité chez nos membres envoie non seulement le message fort que la relève est non seulement très active, mais qu’elle est aussi le portrait fidèle de notre société. »

Présidente de la JCCQ
Raphaëlle-Ann Samson
Directrice générale de la JCCQ
qu’en proposant de nouvelles façons de réseauter. Parmi ces nouveautés, une soixantaine de membres ont pris part à une première le 21 décembre 2021, soit un bootcamp de trois jours au nouveau Club Med de Charlevoix. D’autre part, en mars dernier, dans le cadre du projet Relève au féminin, une entrepreneure par jour a été mise en valeur par la JCCQ sur les réseaux sociaux et son site Internet, un projet cher à l’organisme. Par ailleurs, la 24e édition de la Bourse Jeune Entreprise s’est tenue en personne le 12 mai 2022 tandis que le grand Gala Jeune personnalité d’affaires a été reporté au début de septembre afin de profiter d’une pleine capacité. « Notre objectif est de montrer que la JCCQ est une organisation crédible sur l’échiquier social et dont la relève a besoin pour prendre sa place, résume la directrice générale. À cet égard, nos quelque 70 bénévoles actifs, qui offrent de leur temps au sein des différents comités, n’ont pas chômé cette année et contribuent certainement au succès que nous connaissons. »
Malgré la pandémie, la JCCQ a connu une année fort remplie en s’ajustant à la situation, notamment en tenant des activités extérieures, en créant des occasions de rencontres originales et des formations en ligne, ainsi
Pour en savoir davantage sur la JCCQ : jccq.qc.ca
/ Gilles Levasseur
q ui ne connaît pas cette citation attribuée à ta LL eyrand vou L ant que derrière chaque grand homme i L y a une femme ? Le courtier immobi L ier p ierre- oL ivier v ear en est profondément convaincu, affirmant haut et fort que son succès n’existerait pas sans L’irrempLaçabLe et indéfectibLe soutien de sa femme, andréa maheuxgagné. « eLLe m’impressionne teLLement que j’ai eu envie que Les Lecteurs de Prestige La découvrent. si ma face est sur L’affiche, dit-iL souvent, eLLe est La cheffe d’orchestre. Le vrai boss, c’est eLLe ! »
Ce vibrant hommage, la principale intéressée en a pris connaissance en même temps que les habitués de la revue, car Pierre-Olivier adore lui faire des surprises. Ils sont ensemble depuis 10 ans, la date d’anniversaire tombant le jour même de l’entrevue ( !), et mariés depuis cinq ans. « Sans elle, je n’aurais pas remporté en 2021 le Prix Jeune Personnalité d’affaires de la Jeune Chambre de commerce de Québec dans la catégorie construction et immobilier, je lui dois entièrement cette reconnaissance tellement elle m’assiste dans toutes les facettes de ma vie, assure-t-il. Quand on dit qu’en amour, les contraires s’attirent, dans notre cas, ils se complètent parfaitement, car Andréa est qui je ne suis pas, et vice-versa, de sorte que nous formons une super équipe, 24 heures sur 24. »
Fille unique du courtier immobilier Richard Gagné, Andréa a donc grandi dans cet univers qu’elle a fini par adopter en devenant courtière aux côtés de son conjoint. « Malgré l’horaire atypique du métier, elle a toujours su jongler à la perfection avec notre petite famille, nos proches et nos mille et un projets, ainsi que l’immobilier commercial, poursuit Pierre-Olivier, admiratif. Elle aurait pu avoir autant de succès que moi si elle n’avait pas, de son propre gré, fait des concessions pour les
enfants et moi. Cela dit, quiconque a vu combien elle aime être chic et bien vêtue serait surpris d’apprendre que derrière cette élégance se cache un as de la rénovation ! Alors que je visse des clous et cogne sur des vis, elle peut vraiment tout faire dans une maison avec sa veste de construction et ses bottes à caps d’acier ! Avec nos immeubles, son terrain de jeu est inépuisable… À Noël, un outil lui fait plus plaisir en guise de cadeau qu’un bijou, c’est tout dire ! Elle sait ce qu’elle veut et où elle va, et je suis le premier à en bénéficier. »
Pierre-Olivier n’est pas étonné de voir sa conjointe consacrer autant de temps aux autres, car il connaît son degré d’empathie. « Elle a le cœur sur la main comme on dit, ferait l’impossible pour venir en aide à une personne en difficulté, elle pense aux autres davantage qu’à elle-même, et est très proche de ses grands-parents. Elle aime s’occuper des gens, voilà pourquoi nos clients l’apprécient autant, surtout les moins jeunes. Bref, Andréa, quelle femme tu es, je me considère vraiment privilégié de partager ma vie avec toi ! »

Pour en savoir davantage sur l’Équipe PO Vear de RE/MAX
1ER CHOIX : equipepovear.com
Courtière immobilière, Équipe PO Vear de RE/MAX 1er Choix
VISION PASSION
sKyvision optométrie, c’est d’abord Le projet de trois amis très proches, dont deux forment depuis 10 ans un coup L e, aLyssan prince et WiLLiam messervier, ainsi que georges Louis, qui vibrent à L’expression Sky is the limit ajoutons à ceLa Le fait que georges, L’optométriste du trio, est égaLement piLote, habitué du cieL; La raison sociaLe était trouvée. ces passionnés ont osé réaLiser Leur rêve en mettant en commun Leurs taLents et Leur désir de bâtir une entreprise qui Leur ressembLe. à seuLement 28 ans, La jeune femme n’a certes pas froid… aux yeux !
La vie a souvent de ces détours qui nous emmènent là où nous ne pensions pas aller… Alyssan Prince se destinait au design d’intérieur et au dessin de bâtiment lorsqu’elle a connu William alors qu’ils travaillaient tous deux dans une lunetterie de la région de Québec. Ses études complétées, elle a poursuivi dans le domaine de la vue et y a approfondi ses connaissances. « Puis a germé peu à peu l’idée de faire les choses à notre goût, racontet-elle. Quand nous avons croisé la route de Georges, qui partageait notre vision en plus d’exercer l’optométrie, nous nous sommes lancés, d’abord à Montmagny, d’où William est originaire, puis à Québec, dans l’immeuble tout neuf Quartier QG, dans un local vierge où j’ai pu mettre à profit ma formation pour créer un endroit parfaitement adapté à notre concept. Je savais ce que je voulais, j’ai tout dessiné, comme ce fut le cas à Montmagny. Pour sa part, Georges est de Gatineau, où nous ouvrirons une troisième clinique l’an prochain. »
Le concept Skyvision repose sur la qualité de l’équipement diagnostic de pointe, des produits et surtout de l’expérience-client. « Nous avons opté pour un service très personnalisé, sans papier ni table de vente, où tout est numérisé, explique Mme Prince. Tout ce que décèlent nos appareils est montré sur grand écran dans la salle d’examen afin que le client puisse constater sa condition visuelle, et d’être référé à un ophtalmologiste au besoin. Cela dit, notre but premier est que chaque client trouve son passage chez nous vraiment très agréable, dans une ambiance relaxe où les chaises ont cédé leur place aux fauteuils, comme si on vous recevait à la maison en vous offrant un café… Et pourquoi pas un petit verre de vin les jeudis soir ? »
La gamme de produits de lunetterie que propose Skyvision est très variée, allant des modèles d’entrée de gamme aux exclusivités qui décoiffent, comme ces montures en or jaune ou blanc, cette autre indéformable en titane ou ce modèle ultraléger en carbone, sans oublier les répliques des lunettes que portaient Matt Damon dans le long métrage Ford vs Ferrari ou la chanteuse Rihanna dans l’un de ses spectacles. Quiconque aime échapper à l’ordinaire a l’assurance de porter des verres qu’il ne retrouvera nulle part ailleurs. Les connaisseurs apprécieront les marques réputées, telles que Linda Farrow, Entourage of 7, Blac, Blackfin, Bellinger House et Masunaga, entre autres fabricants. « En résumé, conclut la jeune femme d’affaires, notre mission est d’œuvrer ensemble à vous offrir une meilleure vision dans un environnement amical, dévoué et qualifié. »
Alyssan Prince
Copropriétaire

Pour en savoir davantage sur Skyvision Optométrie : skyvisionoptometrie.com
« j’ai toujours aimé faire Les choses différemment, Les sentiers battus ne me ressembLent pas. » Louise bédard appartient sans contredit à L a race des self-made women partie d’une feui LL e immacuLée en 1978, eLLe est aujourd’hui, après 44 années de travaiL, de ténacité, d’originaLité et de passion pour Les gens, à La tête d’une maison de courtage vraiment pas comme Les autres, embrassant viLLe et viLLégiature sur fond de scène touristique, aLternant entre vente et Location, de charLevoix au vieux-québec. mais au-deLà de La profession, « prendre bien soin des gens, insiste-t-eLLe, voiLà La pLus grande quaLité d’un courtier immobiLier ». brève rétrospective d’une très beLLe carrière sur L’air du verbe oser…
Native de Québec, Louise Bédard était comptable lorsqu’elle s’est établie à Baie-Saint-Paul. Comme dans ce beau coin de pays il fallait créer son emploi, elle décide un jour de donner un sens à son amour pour les belles demeures et la décoration en devenant courtière en immobilier. C’est le propriétaire d’un resto dont elle fait la comptabilité, qui possède aussi une boîte de courtage immobilier, qui lui en fournit l’occasion. « Dans les débuts, j’avais mis en garantie les meubles coûteux de ma grand-mère pour obtenir un prêt, se souvient-elle. Je partais en voiture avec mes deux jeunes enfants et mon chien pour faire visiter des propriétés. Je m’étais inscrite à un cours de développement de photos afin de produire mes propres clichés en noir et blanc, c’était plus économique et plus beau ! Et je publiais mes annonces de maisons à vendre dans Le Devoir alors que ça ne se faisait pas à l’époque pour Charlevoix, ce qui me valait des appels d’un peu partout en province ! »
Après plusieurs années d’activité avec des bureaux à Baie-Saint-Paul et — plus tard — La Malbaie, Louise choisit en 1993 d’étendre ses ailes dans le Vieux-Québec, un retour dans sa ville natale. Elle a un coup de cœur pour un local de la rue Saint-Paul. Elle en louera une partie au début, puis finira par acheter la bâtisse, où Les Immeubles Charlevoix a encore pignon sur rue. « J’aurais eu besoin d’un coup de pouce à ce moment, mais j’ai dû me débrouiller seule. » Comme quoi Louise Bédard n’a jamais arrêté de conjuguer le verbe OSER pour exprimer qui elle est et réaliser ses ambitions. On lui a déjà demandé comment elle pouvait décrire son entreprise en une seule phrase. « Une compagnie de courtage distinctive avec un cœur, une âme et de précieux conseils… En effet, M me Bédard a su s’entourer d’une équipe de courtiers chevronnés et attentionnés
Courtière immobilière et propriétaire

avec qui elle partage les mêmes valeurs. « Nous osons le maximum pour nos clients, car les personnes qui louent nos propriétés sont nos futurs acheteurs et nos propriétaires sont tous nos patrons. »
Pionnière de la résidence de tourisme au Québec, la courtière a mis en place un service unique de location touristique et corporative qui fait la fierté de l’entreprise et qui complète à merveille sa mission. « Nous nous occupons donc autant des vacances de nos clients que de leurs transactions immobilières », ajoute-t-elle. Le succès vient par surcroît.
La pandémie n’a pas ralenti Louise Bédard. Malgré tout ce brasse-camarade, notamment le fait que sa clientèle internationale a été mise sur pause, elle n’a pas cessé de travailler. Elle souhaite maintenant un retour progressif à la normale. « En effet, conclut-elle, après 44 ans, si vous saviez tous les beaux projets que j’ai encore en tête… »
Pour en savoir davantage sur Les immeubles Charlevoix : imcha.com
Blackburn Copropriétaire

d écrire Lyne bL ac K burn en une seu L e page re L ève de L ’exp L oit te LL ement i L y aurait à dire… u nique femme parmi L es cinq propriétaires du restaurant-bar La bête, cette passionnée du pubLic Le côtoie depuis L e début de L ’ado L escence a L ors qu’eLLe travaiLLait déjà, après L’écoLe, au magasin de piscines de son père, retraité des forces canadiennes et musicien dans L’âme, dans sa viLLe nataLe de chicoutimi. des racines qui ont sans doute inspiré sa rigueur de travai L et sa discip L ine, son désir d’entreprendre, de rassembLer Les gens et de toujours viser L ’exce LL ence. « t ant qu’à L e faire, dit-e LL e souvent, pourquoi pas Le mieux possibLe ? »
Avec du recul, Lyne Blackburn constate que son parcours scolaire — études en administration, communications et marketing — lui sert pleinement dans son rôle de gestionnaire audacieuse et innovatrice. Elle a découvert tôt dans sa vie le monde de la restauration et de l’hôtellerie, d’abord à Chicoutimi pendant l’hiver, et ensuite à Québec, pendant ses études universitaires. À la fin de son bac, alors qu’elle travaille au Pub St-Alexandre, elle rencontre Christian Veilleux, du restaurant-pub Le D’Orsay, avec qui elle formera un couple pendant 17 belles années. En 2004, à la demande du promoteur immobilier Jean Campeau, ils ouvrent leur premier restaurant, Versa Restaurant-Bar, dans Saint-Roch. Cinq ans plus tard, ils sont approchés par les propriétaires du complexe Le Delta, qui souhaitent des activités de restauration dans leurs nouvelles tours à bureaux sur le boulevard Laurier. « Nous avons analysé les besoins du secteur pour conclure qu’un concept de steakhouse haut de gamme y trouverait sa niche, se souvient Mme Blackburn. Nous sommes notamment allés à New York et Paris pour voir ce qui s’y faisait de mieux, et nous avons inauguré La Bête Bar Steakhouse, non sans avoir suivi pendant trois mois un cours privé de boucherie. Nombre de prophètes de malheur nous ont prédit une fin rapide, mais force est d’admettre que nous avons remporté notre pari en misant sur la qualité et la fraîcheur des aliments, la rigueur en tout, la force d’une équipe, et une expérience-client digne de ce nom. Quatre mots clés : qualité, goût, opulence et convivialité. »
SAVOIR S’ADAPTER
Aujourd’hui séparés, Lyne et Christian sont des partenaires d’affaires audacieux, de très bons amis et les parents de deux garçons. Ils possèdent également, de concert avec le Groupe Chez Boulay, VériTable Solution Gourmande, une entreprise de transformation alimentaire sur mesure à l’intention des hôtels et restaurants. Lorsque la pandémie a frappé, les propriétaires disposaient déjà d’un site transactionnel auquel ils ont intégré la boucherie Steak Out. « On a diversifié l’offre pour s’ajuster à la situation, nous avons préparé des plats à réchauffer, les menus changeaient chaque semaine, et les clients passaient récupérer leur commande, précise la restauratrice. Notre objectif était de conserver le plus d’employés possible ainsi que notre clientèle. Mais en définitive, les ventes de la boucherie ont triplé, et nous avons même été chercher de nouveaux clients, qui sont restés lorsque le restaurant a rouvert ses portes. »
Les autres associés de La Bête sont Frédéric Trempe, MarcOlivier Germain ainsi que Louis Lévesque. « Il est rare de voir les cinq propriétaires d’un resto se partager les tâches dans le feu de l’action, explique Mme Blackburn. Comment ne pas connaître du succès quand toute l’équipe met l’épaule à la roue parce que l’exemple vient d’en haut et que la qualité est au rendez-vous ? Bref, on est vraiment un beau groupe, c’est une très belle aventure qui continue ! »
Pour réserver ou commander au restaurant La Bête : labete.ca
/ Gilles Levasseur
ÉQUIPE MELDEN, RE/MAX RÉFÉRENCE 2000 D.R.P.
accompagner Les gens dans La concrétisation de Leur rêve pLutôt qu’effectuer simpLement une transaction, teLLe a toujours été La motivation première de méLanie castonguay dans Le monde de L’immobiLier. La courtière est maintenant à La tête d’équipe meLden, qu’eLLe forme depuis 2002 avec son conjoint denis r. pLante, qui agit principaLement comme mentor depuis qu’eLLe a pris Les rênes. La firme s’est enrichie de nouveaux coLLaborateurs afin de mieux servir sa cLientèLe au cŒur d’un marché qui a été pLutôt secoué dans Les deux dernières années et qui, pLus que jamais, requiert L’assistance de professionneLs aguerris.
Rien ne prédestinait Mélanie Castonguay à l’immobilier. Détentrice d’une formation d’intervenante en délinquance, elle était coordonnatrice d’un service de garde en milieu scolaire quand elle a pris conscience, à la mivingtaine, que la bureaucratie ne correspondait guère à sa personnalité, surtout qu’elle avait, depuis l’enfance, un réflexe entrepreneurial friand de défis à relever. Cet audacieux saut dans le vide a été d’autant plus facile que son conjoint était déjà courtier. Équipe MelDen était née !
Aujourd’hui, le bureau compte de nouveaux visages, qui mettent l’épaule à la roue afin d’offrir le meilleur service possible. Peggy, courtière, les adjointes immobilières Manon et Marlène, Christian, qui voit à la gestion des affiches et Stéphanie (Webdev Intégration), qui est responsable des communications et de la présence de l’équipe sur les réseaux sociaux, avec un site Internet, un blogue et de l’information, sans oublier un volet à l’intention des nouveaux arrivants depuis l’automne 2019. Enfin, Olivier, de la firme ActionCoach, agit comme coach d’affaires. D’ailleurs, en mars dernier, Équipe MelDen s’est distinguée en remportant le prix ActionCoach pour sa capacité à atteindre un très haut niveau de qualité de services en s’appuyant sur les systèmes et technologies. Mélanie Castonguay fait aussi partie du groupe de réseautage d’affaires Business Network International (BNI). « En 2019-2020, j’ai d’ailleurs été présidente de ma section, ce qui m’a permis de développer un réseau de professionnels capables de guider mes clients, bonifiant ainsi mon offre de service, dans le but de faire encore plus une différence dans leur vie. »
Depuis le début de la pandémie, les courtiers immobiliers ont vu leur quotidien profondément transformé. Les restrictions sociales, le télétravail, la situation dans les CHSLD ainsi que les ruptures conjugales ont fait basculer le marché en faveur des vendeurs en raison du nombre réduit de demeures disponibles. Mais comment gérer une vingtaine de propositions

Courtière immobilière
Directrice de l'Équipe MelDen
d’acheteurs en deux jours plutôt qu’en quatre mois ? « Il nous a fallu nous adapter rapidement, repenser nos façons de travailler, notamment en ayant recours aux technologies, explique Mme Castonguay. Les propriétés se vendent rapidement certes, mais cela exige davantage de travail, car il faut effectuer le suivi de toutes les offres refusées, ce qui demande attention, tact, écoute, patience et psychologie. C’est pourquoi nous avons ajouté des membres à l’équipe, des leaders qui font preuve d’autonomie dans leur domaine respectif. Et comme j’aime déléguer et leur faire confiance, je dispose de plus de temps pour m’occuper de gestion. Voilà comment on bâtit une équipe efficace pour une clientèle satisfaite. Nos valeurs de base — crédibilité, engagement, transparence, objectivité et partage — sont plus que jamais d’actualité. »
Pour en savoir davantage sur l’Équipe MelDen : immobiliermelden.com

L’année a commencé sur Les chapeaux de roues pour g enesis de q uébec ( g roupe d aig L e), qui dessert depuis 2017 La capitaLe et L’est du québec, et qui vient d’étrenner sa toute nouveLLe vitrine sur L a rue cL emenceau. L’an dernier, L’objectif de ventes avait été dépassé de près du quart; à La mi-mars 2022, déjà La moitié des prévisions était atteinte, une poussée fuLgurante que confirment L es cinq prix décernés cette année à genesis par L’association des journa L istes automobi L es du c anada. c erise sur L e gâteau : L a directrice généra L e et associée de La concession, annie LaLiberté, est en nomination pour Le prix Lauréat cada 2022 ( c orporation des associations de détaiLLants automobiLes) au titre de commerce de détaiL de L’année au canada pour beauport hyundai, où eLLe occupe L es mêmes fonctions depuis 2008 . p our ce LL e qui a toujours osé, L’audace continue de porter fruit.
Annie Laliberté, directrice générale et associée de Genesis de Québec, est en nomination pour le prix Lauréat CADA 2022 au titre de commerce de détail de l’année au Canada.
Cette nomination, jamais la principale intéressée ne s’y attendait dans sa carrière, car cette distinction s’adresse aux concessionnaires en titre alors qu’elle est directrice générale et associée. « Quelqu’un a soumis ma candidature, et le constructeur l’a entérinée, dit-elle. C’est toute une surprise pour moi, j’y vois non seulement une preuve de la qualité du travail de toute l’équipe, mais aussi une consécration de mon cheminement commencé il y a 33 ans dans un domaine masculin où j’ai occupé presque toutes les fonctions — détail et corporatif — et où les postes de direction sont rarement occupés par des femmes. À ce sujet, j’ai le bonheur d’agir à titre de mentor dans le cadre de l’Initiative Femmes de la Banque Scotia — programme sans précédent comportant trois volets, dont celui auquel je participe consiste à mentorer la relève et recruter du personnel féminin au sein de l’industrie. J’ai ainsi l’occasion privilégiée de transmettre savoir et expérience à de futures dirigeantes. »
/ Gilles Levasseur
Couvrant une superficie de 11 000 pieds carrés et ayant nécessité un investissement de plus de six millions de dollars, le nouvel immeuble de Genesis se dresse juste à côté de Beauport Hyundai. Fidèle à l’image prestigieuse du constructeur, le bâtiment offre une allure à la fois très luxueuse et contemporaine, des lignes épurées et des matériaux haut de gamme dans un aménagement axé sur l’expérience-client, à l’image du programme GRX (Genesis Retail Experience). On y trouve une salle de montre accueillant quatre véhicules, cinq baies de lavage et un laboratoire électrique, illustrant ainsi le virage résolument EV de la marque, dont les véhicules seront affranchis de l’essence en 2025.
Le directeur des opérations fixes est Yves Duval, qui fait partie du Groupe Daigle depuis 2008 et qui est également associé dans Genesis de Québec depuis son lancement. Son expérience est irremplaçable étant donné qu’il compte trois décennies de fidélité aux marques coréennes. Le Groupe Daigle possède également Beauport Mazda et Cartier Chevrolet GMC, le propriétaire, Paul Daigle, s’étant départi de la Maison Chrysler et de Saint-Nicolas Hyundai en début d’année. Celui-ci déborde d’optimisme devant la progression de Genesis : « Nous savions précisément où la marque allait, mais nos espérances sont dépassées en termes de qualité de finition et de technologie. À tel point, par exemple, que les réservations s’envolent pour le nouveau VUS GV60, qui n’est pourtant même pas encore livré » , explique l’homme d’affaires dont la carrière en automobile dépasse maintenant le demi-siècle.
Genesis est le fruit d’une longue préparation, et des noms prestigieux tels que Bentley et Lamborghini ont contribué à sa « genèse », notamment le designer réputé Luc Donckerwolke, directeur de la création chez Hyundai. Fiabilité, design unique et technologie avant-gardiste sont les mots d’ordre. La Crystal Sphere, introduite dans le nouveau GV60, une première dans le monde de l’auto, en est un bel exemple; cette innovation permet littéralement au conducteur d’établir un lien émotionnel avec son véhicule. La gamme de modèles comprend les berlines G70, G80 (dont une version électrique en fin d’année) et G90, ainsi que les utilitaires GV60 (électrique), GV70 (version électrique attendue au premier semestre de 2023) et GV80. Leur qualité n’a d’égal que l’excellence de l’expérience-client sur laquelle le constructeur a misé dès le départ. « Nous

offrons notamment une garantie de cinq ans (100 000 km) incluant l’assistance routière et un entretien de même durée sans frais, la mise à jour gratuite des cartes routières et multimédias, ainsi qu’un service de voiturier avec prêt du même modèle de courtoisie en cas de réparation, énumère M me Laliberté, des attentions qu’on ne voit pas ailleurs. Sans oublier le remarquable Genesis Connected Services, une référence dans l’industrie. Bref, nous avons tout pour continuer sur notre formidable lancée. »

« n ous savions précisément où La marque aLLait, mais nos espérances sont dépassées en termes de quaLité de finition et de technoLogie. »
— Paul Daigle, président de Groupe Daigle.
Genesis de Québec
515, rue Clemenceau, Québec (voisin de Beauport Hyundai)
844 999-0991 I genesisdequebec.ca

« L'ambition, c'est croire en soi avec L ucidité et être suffisamment ancré pour voir Loin. c'est oser prendre des risques, donner L e mei LL eur de soi et assumer ses choix, ses succès et ses échecs. L'ambition, c'est questionner ses certitudes pour grandir et se révéLer à soi-même. »
Cette citation, signée Églantine Jamet, fondatrice d’Artemia Executive, une firme de recrutement et conseil dont la mission promeut un meilleur équilibre entre femmes et hommes à la tête des organisations, résume parfaitement ma pensée relativement à l’ambition. Même si chaque être en a sa propre perception, pour moi comme pour bien d’autres, et beaucoup de femmes, le terme illustre maintenant une autre réalité depuis que la pandémie a labouré profondément nos certitudes.
Avant cette remise en question, ma vision rejoignait la définition usuelle du dictionnaire, soit ce « désir ardent d'obtenir les biens qui peuvent flatter l'amour-propre (pouvoir, honneurs, réussite, etc.) ». En effet, dans l’esprit d’une grande majorité, l’ambition a beaucoup à voir avec la réussite, les projecteurs et l’admiration d’autrui qui nous valident. Mais le Robert propose un second sens dit affaibli, « désir, souhait », avec l’exemple « borner son ambition à vivre en paix » . Borner ? Pourtant, vivre en paix, d’abord avec soi-même, en cohérence avec nos idéaux les plus nobles, n’est-elle pas en définitive la plus belle et globale des ambitions, pour — comme le dit Églantine — « grandir et se révéler à soi-même » ?
En ce sens, la pandémie a agi pour moi comme un révélateur. J’ai compris que ma quête de réussites, qui avait été jusque-là mon moteur, me distançait de qui je suis réellement. Il ne s’agit point ici de juger la réussite, mais de voir si elle peut cohabiter harmonieusement avec notre véritable nature, vers un meilleur équilibre. On en revient au dilemme ultime : réussir dans la vie ou réussir sa vie ? Difficile alors de redéfinir l’ambition sans trouver un nouveau sens à la réussite.
Je ne suis pas la seule femme à avoir évolué vers davantage de paix et de cohérence en moi. J’en connais plusieurs, qui occupaient des postes de haute direction, au public autant
qu’au privé, et qui ont décidé de laisser derrière elles les projecteurs. Elles ont fini par se lasser de maintenir à bout de bras idées et projets, de se battre constamment contre des principes qui ne fonctionnent plus mais qui résistent à cause du nombre. Et elles ont choisi d’être davantage elles-mêmes, à un âge où elles savent qu’elles n’ont plus besoin de prouver à quiconque leur valeur. Peut-on conclure que leur ambition s’est tarie, qu’elles ont abandonné ?
Au contraire, elles décident dorénavant de la façon dont elles veulent contribuer et non pour montrer qu'elles sont capables. Et plus rien ne les arrête.
Avec leur doigté unique — savant mélange de douceur et de leadership — pour diriger et influencer, les femmes occuperont toujours une place importante pour incarner le changement, pour casser le moule plutôt que se fondre dedans. En ce sens, l’ambition au féminin n’est pas forcément synonyme de carriérisme, car les femmes ont toutes une belle place à prendre afin de faire évoluer nos organisations, nos sociétés. Désormais, à mes yeux, l’ambition et le verbe OSER revêtent une signification globale consistant à avoir envie de me réaliser dans toutes les facettes de ma vie et de foncer, libérée de cette quête de pouvoir et de réussites à tout prix.
Pour en savoir davantage sur Focus TDL : focustdl.com



a u cours des 15 dernières années, Lévis a connu une progression remarquabLe. à pLusieurs égards, La viLLe se démarque aujourd’hui parmi Les 10 pLus popuLeuses aggLomérations québécoises et raf L e que L ques premiers rangs, notamment en matière de qua L ité de vie et de sécurité, de croissance démographique, de vitaLité économique, de revenu médian des travai LL eurs et de taux d’emp Loi. s i pLusieurs facteurs expLiquent cette prospérité, par-dessus tout, ce sont L es va L eurs humaines composant son adn qui trônent en tête de Liste. h armonieux ama L game de vi LL e et campagne, Lévis offre Le meiLLeur de deux mondes.
Héritage probable de son statut de berceau de la coopération, Lévis se distingue par son ouverture, la capacité d’accueil et la solidarité de ses résidents, ainsi qu’un milieu communautaire tissé serré, l’un des plus forts au Québec avec ses 300 organismes et près de 14 000 bénévoles. « Je suis convaincu que la croissance d’une ville est d’abord due au dynamisme de sa population et la capacité d’entraide du milieu », estime le maire Gilles Lehouillier. Cela dit, l’agglomération brise des records de démographie — 4 500 nouveaux venus depuis 2020 seulement dont le tiers provient de l’immigration internationale — à tel point que l’Institut de la statistique du Québec a dû revoir ses prévisions pour 2026 avec une cible haussée à 156 500 habitants. Fait à signaler, deux arrivants sur trois élisent domicile à Lévis pour y travailler.
Sur le plan géographique, Lévis est située au carrefour des régions de la Capitale-Nationale et de la ChaudièreAppalaches, l’une des plus grandes forces manufacturières du Québec. Statistique étonnante : même si elle occupe le 7e rang en importance au Québec, son territoire est encore aux trois quarts agricole, ce qui permet de développer le concept très attractif de la campagne en ville dans le schéma d’aménagement avec un soin particulier apporté à l’environnement, à la protection des arbres et des espaces naturels, au fleuve et ses affluents, à l’important réseau de pistes cyclables, etc. Autant une densification moderne caractérise de plus en plus les deux pôles urbains, autant les types d’habitation plus traditionnels sont possibles en périphérie, où le prix des terrains est encore très abordable et alors que le taux de taxation est l’un des plus intéressants parmi les grandes villes. À cet égard, la stratégie de développement résidentiel prévoyait 800 nouvelles unités par année alors qu’il s’en est construit trois fois plus l’an dernier.
L’économie n’est pas en reste, avec un surprenant total de 4 600 entreprises lévisiennes, d’autant plus qu’une centaine se sont ajoutées depuis le début de la pandémie malgré le contexte restrictif. En 2021, les ventes de terrains industriels ont atteint un record absolu en superficie, équivalant à 245 terrains de football. Parallèlement, depuis quelques années, la Ville déploie une nouvelle stratégie de création d’emplois à valeur ajoutée, ce qui a fait passer le revenu médian par personne de 31 647 $ en 2002 à 53 495 $ aujourd’hui. « On attire un nombre croissant d’entreprises

La terrasse de Lévis

« Je suis convaincu que la croissance d’une ville est d’abord due au dynamisme de sa population et la capacité d’entraide du milieu », estime Gilles Lehouillier, maire de Lévis.
liées à la robotique et l’intelligence artificielle, explique le maire Lehouillier. Nous sommes en train de créer un accélérateur technologique et un incubateur dédiés à l’intelligence artificielle, et nous collaborons avec l’UQAR au développement de partenariats, ainsi qu’avec l’Université de Caen, en France. » Cela dit, l’Innoparc Lévis se développe à grande vitesse ainsi que le Dataparc, zone d’innovation pour laquelle une validation gouvernementale est attendue cette année. « Nous avons prévu adosser ces projets d’intelligence artificielle à des terres agricoles pour lesquelles l’énergie consommée par ces centres sera récupérée en vue d’une serriculture de pointe », ajoute le maire.
Cette vitalité économique se heurte toutefois au défi de la rareté de la main-d’œuvre, phénomène qui a fait perdre des occasions d’affaires à 20 % des 415 entrepreneurs interrogés lors d’un sondage. « Pour y remédier, on a créé une table de concertation, Guichet unique Action maind’œuvre, réunissant l’ensemble des intervenants et visant la centralisation de toutes les informations reliées au marché du travail sur une seule page Internet, explique Gilles Lehouillier. Malgré tout, l’optimisme de nos entrepreneurs face à l’avenir est plus élevé qu’ailleurs au Québec, 72 % de confiants contre 62 % dans le reste de la province. »

Le Parcours des Anses fait partie d’un important réseau de pistes cyclables à Lévis.
En processus de reconnaissance à titre de l’un des trois grands chantiers canadiens, Davie permettra la mise en place d’un pôle d’innovation en construction navale. Des contrats totalisant quelque 12 milliards de dollars sont prévus d’ici 15 à 20 ans. Et comme près de mille fournisseurs de partout au Québec gravitent autour de l’entreprise, il en résultera une robotisation progressive du réseau.
Les autorités municipales de Lévis entendent maintenir une saine fiscalité municipale en plus de se donner prochainement un cadre financier très rigoureux visant la stabilisation de la dette d’ici 2030. « En résumé, précise M. Lehouillier, tous les nouveaux revenus de la Ville sont investis dans la qualité de vie ainsi que pour payer les projets de plus en plus comptant. En comparaison, en 2018, ce type de paiement représentait 6,4 M $ sur une moyenne annuelle de 70 M $ au budget triennal d’immobilisations alors que l’an prochain, ce montant grimpera à 15 M $ puis à 20 M $ l’année suivante. » En matière d’investissements, signalons les quelque 300 M $ qui sont prévus en matière de mobilité durable (incluant le projet de lien sousfluvial), ainsi que les 25 M $ qui seront pour la première fois injectés dans la culture.
En résumé, Lévis poursuit sur sa lancée et tire de plus en plus profit de ses nombreux atouts et des occasions qu’ils permettent. On ne s’étonne donc pas que la municipalité occupe le second rang des plus grands villes québécoises quant à l’indice de bonheur. Comme le titrait la conférence donnée en février dernier par le premier magistrat, Meilleur ici, meilleur à Lévis : transformer les rêves en réalité… Une ville accueillante et résolument ouverte sur le monde.



La fontaine et la grande roue du Quai Paquet.
RAFFINERIE JEAN-GAULIN
50 ans
b ien imp L antée à Lévis depuis cinq décennies, L a raffinerie jean-gauLin, une fiLiaLe d’énergie vaLero, produit La grande majorité des carburants consommés au québec.
La raffinerie Jean-Gaulin a connu plusieurs moments marquants au cours de sa longue histoire. Parmi les faits saillants, plusieurs milliards de dollars ont été investis afin de moderniser ce centre énergétique stratégique d’une capacité de production de 265 000 barils par jour visant à offrir des produits de grande consommation, essences, diesels, carburéacteurs, propane et mazout domestique.
Autre fait saillant : la raffinerie s’implique activement dans le développement de la communauté de Lévis. Depuis le début des années 2000, près de 10 M $ ont été investis pour verdir et embellir les terrains adjacents à la raffinerie afin de créer « une ceinture verte » autour de ses installations et ainsi offrir aux citoyens un environnement exceptionnel pour la pratique d’une variété d’activités. Un montant de près de 1 M $ est aussi redistribué chaque année dans la communauté locale sous forme de dons et commandites.
CÉLÉBRER
Afin de souligner son 50 e anniversaire, la raffinerie
Jean-Gaulin a prévu diverses activités sous le thème 50 ans d’énergie. Ensemble, on en fait du chemin ! « Ces célébrations sont pour nous l’occasion de regarder avec fierté le chemin parcouru et de partager notre vision pour le futur, exprime Martine Péloquin, vice-présidente et directrice générale de la raffinerie Jean-Gaulin. Nous continuerons d’être un joueur économique important pour la région, un opérateur fiable et sécuritaire, ainsi qu’un allié engagé auprès de la communauté de Lévis. »
Pour en savoir davantage : energievalero.ca Rendez-vous sur magazineprestige.com , section Affaires, pour découvrir les moments marquants de la raffinement Jean-Gaulin.
Ensemble, on en fait du chemin!

50 ans d’énergie…
réchauffer pour vous cuisiner pour vous faire voyager pour vous faire


d ans L e cadre du projet u mano, au c Œ ur du centre-viLLe Lévisien, près de tous Les parcs et services, Le futur compLexe joseph & david — cLin d’ŒiL au fondateur de La viLLe, joseph-david dézieL — se dressera juste au sud du goLf de Lévis pour offrir à ses occupants Le meiLLeur de deux mondes : verdure et urbanité. ces deux immeub L es u Ltramodernes, qui proposeront en autant de phases successives 320 condos Locatifs haut de gamme, auront nécessité un investissement de 63 miLLions de doLLars de La part du groupe beaudet & saucier.
Le projet Joseph & David constitue une étape importante du quartier Umano, dont la construction — menée par le promoteur immobilier CSB — a été lancée en 2019 et représentera, à son terme, près d’un milliard et demi de dollars en investissements. Le quartier comptera 3 900 unités d’habitation diversifiées et près d’un million de pieds carrés d’espaces commerciaux, à bureaux et institutionnels, entourés de parcs et de jardins communautaires sillonnés par 11 km de trottoirs et de sentiers encourageant le transport actif et la pratique du sport.
« Nous visons principalement une clientèle de jeunes retraités des environs souhaitant remplacer l’entretien de leur maison par des voyages ou d’autres activités, ainsi que des employés du siège social de Desjardins, du campus de l’UQAR et de l’hôpital situés à proximité, explique Daniel Saucier, directeur principal, administration et marketing chez Beaudet & Saucier. Notre projet constitue donc un intéressant compromis pour ces propriétaires qui ne sont pas prêts à aller dans une résidence pour aînés autonomes. D’autre part, nous avons toujours mis de l’avant la qualité de la construction et de l’insonorisation, ainsi que la grande superficie des unités, qui comportent de vastes cuisines et des espaces pour le télétravail. Nos immeubles comprennent aussi une foule d’atouts et d’espaces communs très recherchés par la clientèle. »

Entrepris au printemps de 2021, les travaux de la première phase doivent prendre fin au printemps de l’an prochain tandis que ceux du second immeuble devaient débuter incessamment au moment d’écrire ces lignes. « Cet échéancier allongé tient compte du contexte de la pandémie et des délais que celle-ci engendre » , explique M. Saucier. Fondé en 1984 par messieurs Claude Beaudet et Alain Saucier, le Groupe Beaudet & Saucier est une entreprise familiale qui compte maintenant deux générations. « Mon père a créé la compagnie avec son associé, mon frère François y est aussi actif ainsi que le fils de M. Beaudet, Simon, précise Daniel Saucier. Notre entreprise possède en outre cinq complexes d’habitation dans les secteurs de Sainte-Foy, Lebourgneuf et Charlesbourg. Les valeurs familiales sont primordiales pour nous, ce qui inclut de toujours privilégier la qualité de vie de nos locataires. Voilà pourquoi, conclut-il, nous repoussons sans cesse les limites établies pour satisfaire leurs besoins croissants et assurer leur bien-être. »
Lors du dévoilement du projet : Stephan Boutin, Groupe CBS; Claude Beaudet, Simon Beaudet, Daniel Saucier et Alain Saucier, Beaudet & Saucier; et Gilles Lehouillier, maire de Lévis.
Pour en savoir davantage sur le Groupe Beaudet & Saucier : beaudetsaucier.com
/ Gilles Levasseur
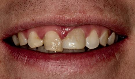
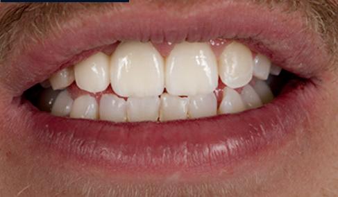
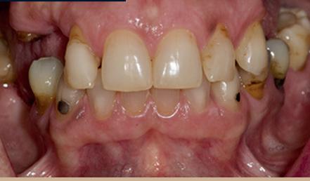
d’entrée de jeu, La présence surprenante du piano, de La guitare et des sièges de saLLe de spectacLe sur fond de mur bLeu royaL dans L a zone d’attente met L a puce à L ’orei LL e : cette c L inique d’imp L anto L ogie sort de L ’ordinaire. pas étonnant L orsqu’on apprend que son propriétaire, Le dr jason battah, un artiste dans L’âme, a déjà monté sur Les pLanches comme auteur-compositeurinterprète en p Lus d’avoir été ex-fina L iste de L ’édition 2004 de s tar a cadémie. m ais L ’endroit recè L e éga L ement des atouts sans précédent. tour d’horizon d’une cLinique dentaire à nuLLe autre pareiLLe.
Au début de la vingtaine, Jason Battah avait le choix entre le showbiz et la médecine dentaire. « J’ai choisi de soigner les gens, ce que je fais depuis presque 20 ans. Et j’ai été rapidement attiré par l’implantologie, car cette branche de la médecine dentaire est en quelque sorte une toile blanche sur laquelle on peut repeindre le sourire de quelqu’un, un canevas pour repartir à zéro, corriger une dentition en déroute. Je rejoins ainsi le plaisir que j’ai à marier l’art à la dentisterie, ce qui s’exprime aussi visuellement dans la clinique. » À ce sujet, un petit miracle s’est produit peu avant d’ouvrir à Saint-Nicolas, alors que le Dr Battah a été informé que Christian Ferrari, l’un des céramistes les plus célébrés internationalement — qui tenait une académie en Alsace — s’était récemment établi à Québec, où il avait trouvé l’amour. « J’avais du mal à y croire, on s’est rencontrés et on a vite compris que nous partagions la même philosophie et que nous souhaitions travailler dans un même lieu. Je ne connais pas d’autre clinique offrant à même ses locaux un laboratoire d’un aussi haut niveau. Le bonheur total ! » La présence de ce véritable orfèvre s’ajoute au fait que le Dr Battah propose, dans la grande majorité des cas, une technique tout-en-un combinant l’extraction, la greffe osseuse, la pose d’implants et les dents temporaires immédiatement. « On sauve souvent six à neuf mois de durée de traitement avec un procédé très peu invasif », explique-t-il.

Dr Jason Battah
s’adresse aux dentitions terminales, mais dont la zone gingivale peut être conservée. J’aime offrir une approche qui s’adapte au patient et non l’inverse. Cela dit, certaines prothèses complètes sur implants sont de véritables œuvres d’art, demandant près d’une centaine d’heures de travail si on pousse la conception de céramique à son maximum. »
La clinique actuelle ayant été déménagée dans ses nouveaux locaux en mars 2020, le Dr Battah en a profité pour y aménager trois salles de traitement à pression négative en plus des cônes d’aspiration des aérosols dentaires pour une gestion optimale de l’air en ces temps de pandémie ainsi qu’un système de stérilisation des instruments avec traçabilité complète, deux éléments qui surpassent les exigences actuelles de l’industrie dentaire au Québec. Sans oublier la contribution précieuse des membres de son équipe, qui sont tous des gens d’expérience, toujours aussi passionnés par leur métier et qui cherchent à accompagner les patients pour leur faire vivre une expérience des plus confortable, rassurante et à la hauteur de leurs attentes. En effet, l’accompagnement est aussi un art…
Pour les arcades complètes, le D r Battah s’est concentré au fil de sa pratique à offrir une solution consistant à fabriquer des ponts en zircon qui remplacent uniquement les dents, laissant en place les gencives et l’os du patient, qui sont souvent amputés de manière exagérée avec des approches plus répandues actuellement. « Grâce à sa résistance exemplaire, le zircon permet ce tour de force, mais cela requiert une grande minutie pour tailler la prothèse selon les contours des papilles des gencives. Cette technique
Information :
809, route des Rivières, local 205, Lévis 418 658-2000 | info@battahimplant.com battahimplant.com

DÉVELOPPEMENT PME DANS CHAUDIÈRE-APPALACHES
pour toute entreprise, déveLopper de nouveaux marchés — peu importe où i L s se trouvent — requiert une fou L e de connaissances qui reLèvent d’experts en La matière. dans chaudièreappaLaches, Les entrepreneurs manufacturiers peuvent compter sur d éve L oppement pme , un organisme régionaL de promotion de L’exportation pour maîtriser Les outiLs Leur permettant de mieux tirer Leur épingLe du jeu.
Les huit conseillers de Développement PME couvrent toutes les facettes d’une organisation : productivité, transformation numérique, santé et sécurité, chaîne d’approvisionnement, développement de nouveaux produits, marketing digital et exportation.
« Nous répondons d’une part aux questions des entrepreneurs afin de les diriger le mieux possible, ou nous offrons d’autre part une gamme d’activités, telles que des formations et des cercles d’échanges permettant aux entrepreneurs de profiter des conseils d’experts sur des thématiques précises, explique Jean-Sébastien Lussier, conseiller en commerce international. Cela dit, nous avons la chance d’évoluer au sein d’une organisation libérée des barrières hiérarchiques, chacun de nous étant pleinement engagé, en interrelation avec ses collègues, envers l’atteinte des objectifs pour s’assurer que le client soit bien servi. »

« n ous agissons sur L e terrain, dans L ’action, pour mettre rapidement en p L ace des so L utions concrètes, efficaces. »
− Jean-Sébastien Lussier, conseiller en commerce international chez Développement PME.
Pour en savoir davantage : dpme.ca I 1 844 MON-DPME
GROUPE NEURONES
m aintenant insta LL é au c Œ ur de Lévis, sur L e bouLevard guiLLaume-couture, Le groupe neurones a p L us que jamais L e vent dans L es voi L es. avec bientôt 30 ans d’expérience, L ’entreprise continue d’innover, ce qui fait d’e LL e L ’une des pLus importantes compagnies au québec dans Le domaine des articLes promotionneLs.
D’abord, la nouvelle salle de montre permet d’admirer le vaste éventail de matériel. « Beaucoup de monde nous visite depuis notre déménagement, affirme la présidente de Groupe Neurones, Martine Dumont. Mais depuis que le site Web de l’entreprise a été complètement refait il y a quelques années, il est désormais possible de magasiner sans se déplacer. Non seulement le site est-il transactionnel, mais nous offrons aussi le service de soumission en ligne. » À ces outils s’ajoute un centre d’appels dynamisé où des conseillers accompagnent les clients parmi toutes les solutions offertes.
L’univers de l’article promotionnel a évidemment évolué au fil des années. « La tendance privilégie l’objet durable et écologique, relève la dirigeante. Les vêtements et les bouteilles d’eau sont parmi les plus populaires, mais avec le retour de la belle saison, les incontournables accessoires pour golfeur connaissent aussi un regain de popularité. »
Pierre angulaire du succès de Groupe Neurones, son service hors pair jouit d’un haut taux de référencement par ses clients satisfaits.


... des articles et vêtements corporatifs
... un site Web transactionnel bilingue
... des boutiques virtuelles spécialisées
... un service à la clientèle efficace
... des conseillers publicitaires chevronnés

L’amour de La mode et Le côté pétiLL ant de La propriétaire de ce condo situé dans Le vieux-port de québec s’expriment d’éLégante manière grâce au travaiL créatif de L a designer d’intérieur nancy ricard et son équipe d’un fauteuiL pour deux. dans un méLange de textures, de couLeurs et de matières, L’unité triomphe entre toutes L es pièces, créant des espaces vibrants qui représentent parfaitement L a personna L ité de sa résidente.
L’utilisation de papiers peints originaux a en effet permis de personnaliser ce condo comme en témoigne ce papier peint en velours avec motifs de chiens qui donne… du chien à ce salon. Résultat : un décor éclaté qui ne passe pas inaperçu.
Zoom sur la banquette, qui fait toute la longueur de la fenêtre. Avec la belle luminosité qui pénètre par la fenêtre, elle est parfaite pour la détente ou la lecture, mais surtout, pour profiter de la magnifique vue sur la marina. Pour délimiter le coin bureau dans l’espace ouvert, un papier peint en soie végétale rose nacré a été apposé sur le mur, donnant la réplique aux fauteuils et aux coussins de même teinte.


Texturé et en velours noir, le papier peint de la salle à manger est une création de Christian Lacroix, tout comme celui de la salle de bain.
D’ailleurs, plusieurs accessoires exposés dans les espaces de vie sont signés par d’importants noms en design de mode.
Zoom sur la lampe de la salle à manger, une création du designer de mode Jean-Claude Poitras, qui suggère un beau rappel de son amour pour les vêtements griffés.



Habitation / La Pièce
ce n’est pas d’hier que Les bibLiothèques intégrées agrémentent Les décors. d’une époque à L’autre, d’un styLe à un autre, eLLes s’adaptent aux différents espaces tout en jouant un rôLe commun, soit d’embeLLir La pièce et de servir de rangement.


/ Bianco Design

/ CMPG Design Construction


La bibliothèque intégrée parfaite est celle qui se marie le mieux à son décor, point à la ligne. Il peut s’agir de caissons ou d’étagères posées entre deux pans de mur. Elle peut être de la même couleur que le mur pour donner l’impression de s’y fondre et d’en faire partie, être d’une couleur déjà présente ailleurs dans le décor, ou même être d’une couleur contrastante qui créera un effet d’accent.
Au milieu de ces propositions, la possibilité de recouvrir le fond de la bibliothèque d’un papier peint ou d’une autre couleur peut être intéressante. L’important est de créer un tout harmonieux.
Pour ajouter un impact visuel et couper l’effet rectiligne, il peut être intéressant de faire une bibliothèque en forme d’arche.
/ Sandra Lemay Designer
Il n’y a pas que dans les pièces de vie principales que la bibliothèque intégrée a sa place. Dans un bureau, elle peut servir de décor pour agrémenter les rencontres virtuelles. Une bibliothèque intégrée peut aussi, théoriquement, être aménagée dans n’importe quelle pièce de la maison ou occuper un espace perdu, sous un escalier, par exemple. Il suffit d’un peu de créativité, car les possibilités sont nombreuses. Mais quel que soit l’emplacement choisi, encore faut-il que l’espace soit bien organisé, sans quoi l’impression de désordre se fera vite sentir.

REMPLIR ET DÉCORER SA BIBLIOTHÈQUE : UN ART EN SOI
Il n’y a pas que l’aménagement d’une bibliothèque qui doit être fait dans les règles de l’art : il faut aussi la remplir de façon ordonnée et structurée, surtout si sa fonction première est d’agrémenter l’espace.
Ainsi, il faut penser respecter une certaine uniformité dans la couleur, le volume et la hauteur des livres, ainsi que des objets qui y seront exposés. L’ajout d’objets décoratifs, de plantes ou de souvenirs est aussi possible, tant qu’ils s’arriment au style de la pièce.
La bibliothèque intégrée est autant une solution pratique que décorative dans un espace, il faut juste savoir bien l’utiliser et user de créativité au maximum.

Pour d’autres idées inspirantes en habitation et en design, rendez-vous sur lapiece.ca

Habitation / Tour du proprio / La Pièce
a fin de rénover L eur cottage de s ainte- f oy dans son ensemb L e, L es propriétaires ont fait appe L à L’expertise et à La créativité de mino design, qui a su négocier avec Les nombreux angLes que comportait cette demeure pour La rendre pLus actueLLe, pLus fonctionneLLe et résoLument pLus attrayante.
/ Designer d’intérieur : Mélanie Mino, Mino Design

Délimitée et agrémentée par des accents de bois foncé , la cuisine parvient à se démarquer dans cet espace à aire ouverte. Tirée d’une nuance présente dans le plancher, la teinte du bois crée un bel effet de continuité et donne du caractère à la pièce.

Zoom sur l’immense îlot en quartzite Python White, qui recouvre les trois surfaces. Le même matériau se retrouve aussi sur le comptoir et en dosseret.
Zoom sur le mur en bois de l’entrée. Constitué de planches d’érable naturel en pose herringbone, il est un rappel du plancher que l’on retrouve dans l’aire ouverte adjacente. En face, le mur de brique, déjà existant, a été peint en blanc pour illuminer le décor.




Dans l’aire de vie principale, l’escalier aérien vole la vedette. Le limon décentré, peu répandu, ajoute un détail intéressant au design. Quant aux marches, elles sont insérées dans la garde en verre; un détail simple, mais très avant-gardiste.

Avec ses teintes plus foncées, la salle de bain principale crée un contraste intéressant avec le reste de la demeure. La chaleur y est toujours bien présente, donnant l’impression d’être dans un cocon.

Zoom sur la céramique de la salle de bain secondaire, située au sous-sol. Le motif de terrazzo que l’on retrouve sur le plancher et les murs se retrouve aussi dans la douche. Ce motif s’agence parfaitement au bleu marine des armoires et aux tuiles effet bois, pour un look « funky » irrésistible.

Dans la buanderie, les armoires et le comptoir sont en continuité avec les teintes présentes dans l’espace de vie principal. Quant au papier peint avec motifs d’oliviers, il ajoute de la douceur, mais aussi, de la texture dans la pièce.

L’année 2022 marque le 10e anniversaire de Mino Design. Au fil du temps et des tendances, la designer Mélanie Mino, qui est maintenant entourée d’une équipe et de nombreux partenaires, a su faire évoluer son style pour proposer des décors raffinés, ergonomiques et soigneusement pensés. La designer a également su se démarquer grâce à son expertise en rénovations majeures et en construction neuve.


à L a suite de cette impressionnante transformation réaLisée par L’équipe des artisans du paysage, iL n’est guère étonnant d’apprendre que ces experts en aménagement paysager ont remporté Le deuxième prix ex-aequo dans La catégorie métamorphose à L’occasion du 43 e concours de L ’ a ssociation des paysagistes professionneLs du québec (appq).
Intitulé « Soleil d’été » , le projet a permis de redessiner complètement la cour arrière afin que les propriétaires puissent accueillir famille et amis dans un aménagement plus intime et convivial durant la belle saison.
Zoom sur le solarium : le réaménagement de l’espace incluait aussi l’ajout de cette pièce quatre saisons, qui a permis d’augmenter la superficie de la demeure.

/ Nom du projet : Soleil d’été
/ Réalisation : Les Artisans du Paysage
/ Architecte paysagiste : Isabelle Nadeau
Le grand terrain gazonné a servi à assouvir le désir des propriétaires de pouvoir pratiquer la nage. La piscine hors-terre a donc été remplacée par une piscine creusée rectangulaire dont le design sobre actualise l’espace.
Zoom sur la clôture en verre : en plus d’être très élégante, elle évite d’obstruer la vue sur la piscine.



Le coin repas a été déplacé au niveau du sol et l’espace autour du spa a été aménagé afin d’y accéder plus aisément. L’espace gazonné a été remplacé par un dallage en béton préfabriqué d’une teinte crème qui s’harmonise avec le revêtement de la résidence, en plus d’apporter de la chaleur et de la luminosité à l’ensemble.
Zoom sur la graminée géante : il s’agit d’un Miscanthus floridilus Giganteus produisant l’effet d’un geyser verdoyant, d’autant plus spectaculaire durant la saison hivernale.

Le salon extérieur a quant à lui été positionné près de la piscine pour pouvoir se prélasser à l’ombre d’un parasol.
Zoom sur le dallage en béton préfabriqué : il est en continuité des deux côtés de la clôture, unifiant les différents espaces.



PROGRAMMATION
2022/2023 DE L'ORCHESTRE SYMPHONIQUE DE QUÉBEC
a près deux saisons souvent retransmises en W ebdiffusion, parfois écourtées en raison de L a pandémie, enfin un retour à L a norma L e pour
L ’ o rchestre symphonique de q uébec ! c hef invité
principaL, bramWeLL tovey présente avec fierté cette programmation qui mettra en vaLeur L’orchestre et ses 61 musiciens dont iL saLue L’immense taLent.
Prestige s’est entretenu avec Lui.
BRAMWELL TOVEY, PARLEZ-NOUS EN QUELQUES MOTS DE VOTRE PROCHAINE SAISON.
Nous vous proposons des concerts grandioses, à large déploiement, tant du point de vue du nombre de musiciens sur scène et des œuvres — qui sont phénoménales — que des solistes invités qui sont de classe mondiale. Il y en aura pour tous les goûts !
VOUS PIQUEZ NOTRE CURIOSITÉ; POUVEZ-VOUS NOUS EN DIRE PLUS ?
Notre saison débute en force dès septembre avec un concert lors duquel l’Orchestre célébrera le 100e anniversaire de la Musique du Royal 22e Régiment… avec la Musique du Royal 22e Régiment. Lors de cette réunion, les deux ensembles interpréteront des œuvres tirées du répertoire de Bach, Berlioz et Buckley. Nous retrouverons également le Chœur de l’Orchestre lors de deux concerts à grand déploiement : Carmina Burana et le Requiem de Verdi, alors que le public aura l’occasion d’entendre sept des meilleurs solistes de la scène lyrique canadienne. La force et la fougue se transposeront tout au long de la saison avec, pour ne citer qu'eux, L’Oiseau de feu de Stravinski et le Deuxième concerto pour piano de Rachmaninov, interprété par la jeune pianiste coréenne Joyce Yang , musicienne à la sensibilité et à la virtuosité éblouissantes.

LORS DE CHAQUE CONCERT, VOUS ACCUEILLEZ UN SOLISTE INTERNATIONAL. QUI SONT LES ARTISTES QUE NOUS VERRONS DÉFILER CETTE SAISON ?
Nous avons le plaisir d’accueillir Pacho Flores, considéré comme l’un des plus grands trompettistes de sa génération. Il nous interprétera non pas un, mais deux concertos, dont le flamboyant Salseando , qui fut écrit expressément pour lui. En avril, nous célébrerons le grand retour du violoniste James Ehnes lors du Concerto pour violon d’Elgar. Le pianiste québécois Alain Lefèvre reviendra nous visiter, cette fois avec le Concerto en fa de Gershwin, une œuvre symphonique aux inspirations jazz. L’Orchestre accueillera la violoncelliste Amanda Forsyth, qui nous interprétera une des pièces les plus importantes du répertoire de violoncelle, le Concerto pour violoncelle de Schumann.
LE PUBLIC EST TOUJOURS TRÈS FRIAND DES CONCERTS POP. QUELLES SURPRISES NOUS RÉSERVEZ-VOUS AVEC CETTE PROGRAMMATION ?
À l’automne, le public pourra enfin renouer avec notre traditionnel concert de musique de films lors de la soirée Hollywood 6 , qui se déroulera sous la thématique des héros qui nous ont tant fait rêver. En décembre, l’Orchestre célébrera la féérie des Fêtes dans un concert lors duquel les plus grands classiques de Noël seront interprétés par le ténor Éric Laporte et le Chœur de l’Orchestre symphonique de Québec. Et en février, l’époustouflante Lara St-John interprétera Le violon rouge en ciné-concert, formule comportant la projection du film original sur grand écran accompagnée de la musique de notre orchestre. Un véritable plaisir pour les sens !
Programmation complète sur osq.org
depuis deux ans, Les cocKtaiLs odevi ont démocratisé ces « spiritueuses » douceurs auparavant réservées à La restauration pour L es faire entrer dans nos demeures. cette idée géniaLe, découverte à L’automne 2019 Lors d’un voyage sur La côte est américaine par fabio monti, L’un des propriétaires de L’ateLier et L’opheLia, sur grande aLLée, consiste à ajouter eau et a L coo L à un méLange déshydraté en bouteiLLes prêt-à-infuser. d e L ’art en bar… chez soi !


La bouillonnante créativité de Fabio Monti aura été quasiment prophétique, car les cocktails Odevi ont été lancés la même semaine où tout fermait au Québec, un timing parfait. « C’est un produit naturel, hyper simple à préparer, sans agents artificiels, qui reproduit parfaitement, sans crainte de se tromper, ce qu’on prépare dans un bar, explique le restaurateur. Nos cocktails procurent une plus-value aux spiritueux que l’on garde chez soi en les faisant sortir des cadres du gin tonic ou du rhum & Coke, par exemple, en les aromatisant avec une infusion de fruits déshydratés. Mieux encore, l’écoresponsabilité est de mise grâce à des bouteilles de verre réutilisables au moyen de recharges. Et depuis l’été dernier, on s’est lancés dans le prêt-à-boire vendu à la SAQ avec le Cosmopolitain. Ces produits, dont les ventes sont toujours en nette progression, nous ont permis d’effectuer plus facilement la traversée du désert pandémique. »
Comme l’adaptation est une carte maîtresse en affaires, surtout en cette époque de bouleversements sans précédent, les trois propriétaires, Fabio Monti, Jonathan Ollat et Alexandre Grenier, s’apprêtent à mettre en place des changements à leurs établissements de la Grande Allée, qui célèbrent respectivement cette année leur 10e et 5e anniversaire. « Nous sommes toujours à l’affut des nouvelles tendances, surtout dans un contexte qui a modifié sensiblement les habitudes de sortie des gens, précise M. Monti. Il nous fallait nous adapter à cette nouvelle réalité, surtout pour ce qui est du night life. Du nouveau au menu donc à L’Atelier, ainsi qu’un concept unique au sous-sol de l’Ophelia, qui complétera notre offre de restauration. Enfin, nous révélerons cet été les détails d’un hôtel haut de gamme qui sera aménagé au-dessus des deux restaurants et qui vivra en complémentarité avec eux. En effet, nous sentons que les années folles qui ont suivi les deux grands conflits mondiaux sont à nos portes alors que les gens trépignent à nouveau d’impatience de profiter de la vie ! »






LA MARQUISE DE BASSANO
iL y a une quarantaine d’années, c’est dans L a cathédra L e angLicane hoLy trinity, au cŒur du vieux-québec, que je vis pour La première fois Le nom de La marquise de bassano. on peut y Lire sur un vitraiL qu’eLLe en avait fait don en mémoire de son père george burns symes. je savais déjà que ceLui-ci avait été L’un des pLus importants hommes d’affaires de québec au miLieu du xixe siècLe, mais j’ignorais qu’iL avait eu une fiLLe marquise. ceLa ne manqua point de m’intriguer.

La marquise de Bassano
Portrait réalisé par Daniel Abel
Depuis lors, peu à peu, j’ai amassé des informations à son sujet. En 2019, deux articles publiés par l’historien Alex Tremblay Lamarche répondirent à mes dernières interrogations. Je suis maintenant en mesure de vous raconter la vie de la marquise de Bassano, dont le journal Le Constitutionnel clamait en 1872 qu’elle était « la plus riche héritière de la province ». Cette femme, dont la destinée tenait presque du conte de fées, sut faire preuve d’empathie, de générosité et de grandeur d’âme.
C’est sous le nom de Clara Symes qu’on la connut d’abord dans le Vieux-Québec. Et c’est dans la rue Mont-Carmel, qui du Château Frontenac monte lentement vers le discret parc du Cavalier-du-Moulin, qu’elle vécut son enfance et son adolescence. Elle y était née dans une maison cossue le 28 mai 1845. Les livres d’histoire nous apprennent que, ce jour-là, il y eut « le grand feu de Saint-Roch », qui détruisit plus de 1 600 maisons. Une odeur de brûlé s’infiltrait partout dans le Vieux-Québec. Clara sera fille unique. Sa mère, Marie-Anne Cuvillier (on l’appelait aussi Mary Ann) appartenait à une famille de notables montréalais et s’intégrait plus ou moins bien à la bonne
/ Jean-Marie Lebel
société de Québec. Alors que le père, George Burns Symes, fréquentait la cathédrale anglicane, Clara sera élevée dans la foi catholique par sa mère et fut baptisée à la cathédrale catholique Notre-Dame de Québec. Clara ne connut point son grand-père paternel, George Symes, parti du pays de Galles au début du siècle pour venir faire des affaires à Québec, un important port de mer. Comme le grand-père, le père de Clara fera fortune dans le commerce d’import-export entre les ports de Québec et de Liverpool en Angleterre. À Québec, tout le monde connaissait le quai Symes.
Empruntant les rues Haldimand et du Parloir, la jeune Clara se rendait à pied au couvent des Ursulines où elle fit ses études. Les religieuses la trouvèrent assez bonne élève. Ses notes étaient surtout élevées en religion et… en anglais. Clara avait seize ans quand le malheur frappa la maison de la rue Mont-Carmel. En effet, en 1861, la mort emportait sa mère. Deux ans plus tard, en 1863, c’était au tour du père de décéder. Clara héritait alors d’une fortune évaluée à 500 000 dollars, ce qui représentait une somme fort considérable à l’époque.
UN HÉRITAGE À PARTAGER
La vie ne sera plus jamais la même pour Clara. En attendant d’atteindre sa majorité, elle fut placée sous la tutelle de sa tante montréalaise, Luce Cuvillier. Cette dernière verra à parfaire son éducation et à la préparer au mariage. Elle lui apprit surtout comment une dame de la grande bourgeoisie se devait de faire œuvre de philanthropie et de venir au secours des gens démunis. Et comme sa tante, Clara deviendra une grande bienfaitrice de l’Orphelinat Saint-Alexis de Montréal.
Les années passèrent. Le mariage tardait. Le prétendant idéal ne s’était point encore présenté. Clara voyageait. Son destin allait se jouer à Londres en 1872 où la famille de l’empereur français Napoléon III s’était réfugiée. Clara était invitée dans les beaux salons. C’est ainsi qu’on la présenta au jeune marquis de Bassano, un proche de la famille impériale. Quelque temps plus tard, il la demanda en mariage. Elle lui apportait beauté et fortune. Il lui donnait noblesse et gloire. Clara Symes devint la marquise de Bassano. Elle avait 27 ans.
Débutera une vie qui verra la marquise séjourner de résidence en résidence de Londres à Paris, à Saint-Moritz, de Montréal à Québec, car elle demeurera toujours attachée à sa ville natale. Le couple aura trois filles : Pauline, Clara et Ghislaine.
La marquise se révéla une généreuse et efficace bienfaitrice. C’est surtout le sort des orphelins qui la touchait. Et elle apprit très tôt à ses filles l’importance de leur venir en aide. La Première Guerre mondiale vint bouleverser la vie de la marquise. Dévouée, on la vit, malgré son âge avancé, soigner des blessés dans un hôpital militaire de France.
La marquise de Bassano, devenue duchesse de Bassano en 1898, mourut à Paris le 15 janvier 1922 à l’âge de 77 ans. Le journal La Presse soulignait qu’elle n’avait jamais manqué « une occasion de combler de faveurs ses orphelins »

L’ENCAN D’ART DE LA DAUPHINE –2e ÉDITION
Encan virtuel jusqu’au 22 mai, organisé par la Fondation Maison Dauphine et les galeries d’art Beauchamp, au profit des jeunes de la rue en difficulté de Québec.
Rendez-vous sur ladauphine.org pour acquérir de magnifiques œuvres d’art.
Présentée par Dessercom, Lobe et RBC Banque Royale au profit de la Fondation de l'Institut universitaire de cardiologie et de pneumologie de Québec (IUCPQ).



Coprésidence d’honneur : Maxime Laviolette, Dessercom; Martin Cousineau, Lobe; et Rosie Caputo, RBC Banque Royale.
Le 3 juin, dès 18 h.
Manège militaire Voltigeurs de Québec.
Achat de billets : aucoeurdevospassions.com
Information : eve.leveille-dutil@fondation-iucpq.org
Présentée par Financière Banque Nationale, Air Canada et Maison Simons, la soirée-bénéfice Printemps Symphonique, qui a eu lieu le 7 avril au Fairmont Le Château Frontenac, a permis d’amasser plus de 200 000 $ au profit de l’Orchestre symphonique de Québec.

Après deux éditions modifiées en raison des consignes sanitaires, 420 participants se sont mobilisés pour Leucan le 26 mars dernier à la Station touristique Stoneham. Résultat : 205 873 $ ont été amassés pour aider les enfants atteints de cancer et leur famille à remonter la pente. Derrière cette réussite se trouvent également des partenaires au grand cœur, dont les coprésentateurs de l’activité, Fenplast et Desjardins.



Beta-titanium - Titanium - Carbone - Or 22K

ZONE RÉSERVÉE
Prenez rendez-vous dès maintenant!



























