Pascal Pilote
Parcours d’un visionnaire

staR WaRs
Le désert de la Tunisie contre-attaque
De Beauport à Windsor
sHaNia tWaiN tecHNo
Les gadgets de l’été 2015
![]()
Parcours d’un visionnaire

staR WaRs
Le désert de la Tunisie contre-attaque
De Beauport à Windsor
sHaNia tWaiN tecHNo
Les gadgets de l’été 2015

• Régulateur de vitesse adaptatif (ACC) avec réglage à faible vitesse
• Les technologies d’aide à la conduite et de sécurité de pointe AcuraWatchM
• Boîte automatique à 9 rapports SportShiftMD séquentiels avec sélecteurs de vitesses sur le volant et contrôle logique de l’inclinaison • Démarreur à distance (bi-directionel).
Location à partir de 2,9 %





Abonnez-vous à notre
et restez branché sur la vie et les gens de Québec. magazineprestige.com

Publié par PRESTIGE Groupe Média prestigegm.ca
ÉDITEUR
Pierre Paul-Hus
RÉDACTRICE EN CHEF
Marie-Josée Turcotte
COLLABORATEURS
Jocelyn Bernier (Agence
PUBLICITÉ
France Bélanger
Joany
COORDONNATRICE PUBLICITAIRE
Véronique Pleau
PRODUCTION, GRAPHISME
Nancy Haince
PHOTOGRAPHIES
David Cannon

Francis Fontaine
Majorie Roy
PHOTO PAGE COUvERTURE
JM Decoste Photographe | jmdecoste.com
CORRECTRICES
Caroline Chabot, Hélène Demers
COMPTABILITÉ
Lise Huard
IMPRESSION
Solisco
DISTRIBUTION RÉSIDENTIELLE ET COMMERCIALE
Transcontinental Distribution
Distribution Serge Monico inc. Postes Canada

Dépôt légal Bibliothèque nationale du Canada ISSN-1205-6707
Dépôt légal Bibliothèque nationale du Québec
PRESTIGE Groupe Média 305, boul. René-Lévesque Ouest Québec (Québec) G1S 1S1
Téléphone : 418 683-5333
Télécopieur : 418 683-2899 www.magazineprestige.com
Correspondant en Europe Jean Chouzenoux 14, Joseph-Giordan 06200 NICE
Tél. : 06 44 10 09 71
Courriel : jeanchouzenoux@hotmail.com
Ventes : fbelanger@magazineprestige.com
Rédaction : redaction@magazineprestige.com
Production : graphisme@magazineprestige.com
Pour abonnement et publicité : 418 683-5333
Cette édition est distribuée à 45 000 exemplaires. Les opinions émises dans les articles publiés par le magazine Prestige n’engagent que leur auteur.
Tous ceux et celles qui brassent des affaires vous le diront : le service des ventes de toute entreprise, quelle qu’elle soit, est celui qui requiert le plus d’énergie, d’efforts constants et d’inventivité au quotidien. C’est aussi le service qui provoque le plus de stress et de maux de tête chez les entrepreneurs… Quand les objectifs ne sont pas atteints à la fin du mois, les patrons font de l’urticaire, dorment moins bien et redoublent d’efforts dans l’espoir d’atteindre leurs chiffres le mois suivant et, dans le meilleur des cas, de les dépasser. Et chaque mois, c’est à recommencer, comme une roue qui tourne de plus en plus vite. Pas étonnant que certains hommes et femmes d’affaires se sentent parfois un peu étourdis…

Si je vous parle de ventes ce mois-ci, c’est que nous traitons de ce sujet dans notre édition de juin. nous nous sommes penchés sur cette réalité, inéluctable et beaucoup plus complexe qu’il n’y paraît à première vue. Car si le but d’une entreprise demeure toujours le même – parvenir à vendre ses produits ou ses services –, le plus grand des défis demeure relié aux ressources humaines; autrement dit, comment faire pour trouver ces perles rares qui nous permettront d’atteindre nos objectifs de ventes tous les mois ? C’est très souvent à ce chapitre que se situe le nerf de la guerre; un petit nerf bien sensible et souvent coincé !
L’un des experts consultés pour rédiger ce dossier, Rodolphe Meynier de Celsius Solutions Ventes, met tout de suite la table : pour que les ventes soient au rendez-vous, il faut une équipe de vente performante. j usque-là, pas de grandes surprises. Mais pour former cette équipe de vente performante, il faut cibler les meilleurs vendeurs potentiels selon une longue liste de critères
très précis recherchés par l’employeur. Peu nombreuses sont les entreprises à s’être réellement penchées sur ces fameux critères. La plupart des employeurs y vont un peu au « pif » lorsque vient le moment de choisir un ou des vendeurs. i ls se fient beaucoup à la personnalité des candidats. Résultat : ils sont souvent à côté de la plaque et finissent par perdre beaucoup de temps et d’argent. Croyez-moi, c’est la pure vérité, je l’ai vécu à plusieurs reprises en 20 ans. Engager un vendeur, le former, lui donner le temps de s’intégrer à l’équipe et de se familiariser avec ce qu’il doit vendre… pour finalement me rendre compte que les résultats ne sont pas au rendez-vous. Recommencer encore et encore… jusqu’à épuisement des stocks ! Parfois, il vaut mieux investir auprès de spécialistes qui vous aideront à établir tous vos critères et à trouver cette perle rare parmi tous les candidats, au lieu de vous fier à votre instinct.
je vous invite donc à lire ce dossier passionnant en page 10, en gardant aussi à l’esprit à quel point le métier de vendeur requiert une dose d’énergie que nous ne pouvons même pas soupçonner lorsque notre travail n’a rien à voir avec les ventes. Expliquer, tenter de convaincre, contre-argumenter, se faire dire non à maintes reprises, revenir à la charge, réexpliquer… tout cela, en restant à l’écoute des besoins du futur client et en devant supporter au quotidien la pression générée par des objectifs à atteindre. Pensez-y deux minutes : je vous jure que vous ne verrez plus les vendeurs de la même manière. La prochaine fois que l’un d’entre eux communiquera avec vous pour vous vendre un service téléphonique ou… une publicité dans un magazine bien connu de Québec, vous ferez peut-être un effort supplémentaire pour l’écouter avec respect, et même avec compassion, peu importe la décision que vous prendrez à la fin.


originaire d'Alma au Lac-Saintjean, Pascal Pilote est diplômé d’un programme d’anglais intensif à l’université Saint john’s, à Terre-neuve. il a également obtenu un diplôme en gestion hôtelière du Collège Mérici en 1999. L’homme d’affaires a fait ses débuts en hôtellerie, à ottawa, auprès de mentors qui lui ont transmis les bases de ce qui constitue tout ce en quoi il croit aujourd’hui : le service à la clientèle, le souci du travail bien fait et le dépassement de soi. L’hôtellerie a ainsi forgé l’homme de passion travaillant qui le caractérise aujourd’hui.
En 2002, Pascal Pilote fait un retour dans sa ville natale afin d’occuper le poste de président-directeur général de la Plaza 1 Alma. Dès son entrée en fonction, il effectue un travail intensif de location en frappant à toutes les portes, d’Alma à Toronto, en passant par Québec et Montréal. il réussit à signer plus de 50 baux commerciaux avec les plus grandes sociétés canadiennes.
C’est sans relâche qu’il travaille, depuis près de 15 ans, à bâtir un commerce dont toute la région est fière. La satisfaction de la clientèle est toujours au premier
Alex Pilote, responsable médias sociaux et ventes; Dany Beaudoin, contremaître responsable de l'entretien; Vanessa jean, adjointe à la direction et responsable du volet administratif; et jeffrey Chénard, directeur marketing et événements spéciaux.
Pascal Pilote est un visionnaire doté d’un sens aigu de l’entrepreneuriat. il n’a pas encore atteint la barre des 40 ans, et pourtant, sa feuille de route est plus qu’impressionnante.
PAR MARC jEAn
plan dans ses actions. L'entrepreneur est également motivé par le développement économique régional et il s’assure de poser les actions nécessaires afin que les retombées locales soient au rendezvous. À titre d’exemple, l’achèvement des travaux de Plaza 1 Alma, qui ont nécessité un investissement de plus de trois quarts de millions de dollars, a été effectué par deux entreprises locales. « nous voulions offrir un centre commercial dynamique, innovant et moderne, explique M. Pilote. nous avons travaillé d’arrache-pied pour maintenir de bonnes affaires, pour conserver un taux d’occupation de 100 % et pour offrir des produits et des services de qualité pour notre distinguée
Voici les employés d’Alma. Ils représentent quelque 195 personnes qui travaillent de près ou de loin dans les Immeubles Pascal Pilote.
clientèle. » En excellente santé financière, la Plaza 1 Alma possède actuellement plus de 33 locataires et 156 emplois y sont occupés. La valeur du centre commercial et des immeubles de Pascal Pilote est de plus de 20 millions de dollars.
L’entrepreneur connaît bien son marché et est à l’écoute de ses clients; c’est dans cette optique que s’inscrivent les prochains projets d’amélioration du centre commercial. La prochaine étape consistera à élaborer une magnifique aire de détente moderne avec espace Wi-Fi gratuit, tablettes électroniques et bornes de recharge pour appareils mobiles. Le Web sera également de plus en plus



présent afin de bonifier et d’enrichir l’expérience client.
Ayant à cœur la satisfaction de ses locataires également, M. Pilote leur propose un service cinq étoiles afin de s’assurer qu’ils connaissent le succès. Avec l’aide d’une équipe solide – composée de son adjointe, Vanessa jean, et de son directeur du marketing, jeffrey Chénard –, il s’occupe de la publicité et organise des événements spéciaux et ViP très populaires. Rien n’est négligé afin que ses marchands réalisent de bonnes affaires.
une vie sous le signe de l’implication
Le succès n’arrive pas au hasard. M. Pilote est un grand travaillant, qui ne compte pas ses heures et multiplie ses implications. il a entre autres été président de la Chambre de commerce et d’industrie Lac-Saint-jean-Est en


« Les bonnes idées n’ont
pas d’heure ! Je
n’ai pas l’impression de travailler, je m’amuse ! Je suis un passionné et j’aime sortir des sentiers
battus. »
2004-2005. Depuis 2005, il occupe également un poste de conseiller municipal à Alma, est responsable du développement économique et de la gestion ainsi que du développement de l’aéroport de la ville. il a aussi mis sur pied le centre d’excellence sur les drones (civil et commercial), qui jouit aujourd’hui d’une notoriété internationale. D’autre part, M. Pilote est propriétaire franchisé du magasin Bell à Alma depuis 2002. Le magasin ne cesse de progresser et les ventes figurent parmi les meilleures au Québec.
Avec sa bannière Les immeubles Pascal Pilote, créée en 2013, l’homme d’affaires possède d'importants actifs immobiliers, tels que des condos résidentiels de luxe, des terrains et des locaux commerciaux loués, entre autres, à la Banque Royale d’Alma ainsi qu’à la pharmacie jean Coutu. Le leadership de cet homme est contagieux ! il n’est pas rare de le surprendre en train de discuter de stratégies avec ses acolytes jusqu’aux petites heures de la nuit. « Les bonnes idées n’ont pas d’heure !, lance M. Pilote. je n’ai pas l’impression de travailler, je m’amuse ! je suis un passionné et j’aime sortir des sentiers battus. »
Depuis une vingtaine d’années, Pascal Pilote raffine ses connaissances et développe son savoir-faire dans le domaine de l’immobilier, un milieu difficile et concurrentiel, mais aussi rempli de défis et d’occasions. C’est en
participant à un nombre incalculable d’événements immobiliers qu’il est parvenu à se tailler une place dans cette industrie, malgré son jeune âge.
Derrière chaque grand homme se trouve une femme, paraît-il. Pascal Pilote ne fait pas exception et il peut compter sur le soutien et l’amour de son épouse, Véronique Harvey. il est aussi le fier père de quatre enfants. Son fils aîné, Alex, commence d’ailleurs à travailler avec lui et se montre désireux de prendre sa relève un jour. En attendant, le jeune homme fait un baccalauréat en sciences
comptables. Pour le père de famille, c’est un réel bonheur de pouvoir partager sa passion avec son fils.
L’année 2015 est une année charnière pour Pascal Pilote, qui souhaite développer de nouveaux projets. Sous la bannière des immeubles Pascal Pilote, et avec l’aide de sa jeune équipe de Québec, il prévoit faire l’acquisition d’un centre commercial d’une dizaine de millions de dollars, situé dans la grande région.
Travaillant avec cinq bannières principales, l’équipe a pour objectif d’installer, aux endroits propices, un marché d’alimentation, une stationservice ainsi qu'une pharmacie. Le grand marché de Québec, avec ses infinies possibilités, les excite beaucoup. De plus, M. Pilote caresse l’idée de construire son propre hôtel d’une centaine de chambres à Québec. Et ce n’est là qu’une idée parmi tant d’autres pour l’homme d’affaires, qui entrevoit le futur avec positivisme.
inForMATion
Site Web : immeublespascalpilote.com

M. Pilote peut aussi compter sur le soutien de Marc Levasseur, un jeune courtier immobilier prometteur, de Frédéric Lavoie, responsable du volet Web, de même que de Catherine Tremblay, responsable des communications et du développement d’affaires.
Photo : Francis Fontaine
■ PAR joHAnnE MARTin
un métier calculé… où tout finit par compter !

Selon une étude menée par Small Business Administration, une agence indépendante du gouvernement américain, sur 100 clients que perd une entreprise : un est décédé, trois ont quitté la région, cinq ont confié leurs affaires à des proches, neuf ont trouvé de meilleurs prix ailleurs, 14 n’ont pas obtenu satisfaction à la suite d’une plainte… et 68 ont tout simplement été rebutés par l’attitude du personnel.
intuitive, la vente ? Tous les spécialistes s’entendent pour dire que le talent ne suffit pas pour être à la hauteur. Posséder certaines aptitudes ne nuit certes pas – quoique celles-ci peuvent se développer –, mais le succès d’un individu (ou, par extension, d’une entreprise) dépend d’une multitude de facteurs. Formateurconférencier en vente et service à la clientèle chez Vision Vente, Louis jolicœur distingue deux dimensions à cette activité trop souvent prise à la légère : « il y a évidemment la technique, qui consiste, entre autres, à bien connaître ses produits ou ses services et ceux de ses concurrents, et l’aspect relationnel Dans ce dernier cas, il s’agit du facteur le plus important. il faut savoir installer un climat de confiance, valider les besoins du client et suggérer des produits et services susceptibles d’y répondre », résume sommairement celui qui compte une quarantaine d’années d’expérience dans le domaine.
Enseignante au département de vente-conseil et représentation du Centre de formation professionnelle (CFP) Maurice-Barbeau depuis 15 ans, Gyna Poulin abonde dans le même sens. « Chez nos élèves, on travaille le lien de confiance. Pour être un excellent vendeur, on doit savoir que l’objectif n’est pas tant de vendre, mais d’être en mesure de revendre. on se doit de travailler à la fois le savoir-faire et le savoir-être, de considérer non seulement les aptitudes, mais l’attitude en général. »


« Dans la vente, toute personne a avantage à être consciente de la règle du 7-38-55. »
olicœur, formateurconférencier en vente et service à la clientèle chez Vision Vente.
« Pour que le client vous écoute, vous devez être crédible et capable ci, le non-verbal joue un rôle de premier plan. Dans la vente, toute personne a avantage à être consciente de la règle du olicoeur. L’influence que peut avoir un vendeur en présence d’un client, rapporte-t-il, s’établit de la façon suivante :
S’ils ont un impact sur la crédibilité, la réputation et la notoriété – le vocabulaire doit toujours être approprié et clair –, la manière dont le vendeur s’exprime demeure malgré tout plus importante que le choix des mots. « Ce qu’on ne dit pas
- 38 % concerne les intonations, le volume et le débit
La modulation du ton permet de créer de l’animation, de rendre le discours vivant, de susciter l’intérêt des personnes à qui l’on n se rappellera aussi qu’on a deux oreilles et une bouche; il faut donc tendre à écouter deux fois plus qu’on ne parle ! »
- 55 % relève du non-verbal. L’énergie, la passion, l’amour des gens, l’expression du visage, le sourire, le regard, la gestuelle : tout est soumis au jugement du client. « Même si le vendeur est concentré sur une tâche, il doit s’assurer d’avoir un contact visuel avec son interlocuteur toutes les 15 secondes environ. »
« Pour être un excellent vendeur, on se doit de travailler à la fois le savoir-faire et le savoir-être, de considérer non seulement les aptitudes, mais l’attitude en général. »
Gyna Poulin, enseignante au Centre de formation professionnelle (CFP) Maurice-Barbeau.
Questionner, écouter, reformuler1 : pour maximiser ses chances de réussite, le vendeur aguerri s’appuie sur une stratégie qui lui permet de cerner le plus précisément possible les besoins du client et, à terme, de minimiser les objections qui pourraient survenir.
1. Poser des questions ouvertes. Celles-ci amorcent la discussion, relancent une conversation et approfondissent la connaissance que l’on a de la personne devant soi. on privilégie les pourquoi, comment, où, quand, quel, que, etc. Pour valider les informations transmises et obtenir des précisions, on pose ensuite des questions fermées, qui apportent une réponse courte.
2. Écouter attentivement. Lorsque le client s’exprime, il doit sentir qu’il a l’attention du vendeur. il convient de manifester son écoute de façon discrète, mais évidente pour le client, par exemple en hochant la tête et en émettant quelques mots d’approbation.
3. reformuler. La reformulation confirme la compréhension du besoin par le vendeur tout en créant un sentiment de confiance chez le client. il ne s’agit pas de répéter tout ce que celui-ci verbalise, mais de résumer dans ses propres mots les principaux éléments de sa demande.


1. Proposer des produits qui correspondent aux besoins formulés. Le client s’attend à se faire offrir différents choix de produits ou services en fonction des besoins communiqués.
2. Présenter les caractéristiques du produit. Pour se faire une idée, un client doit sentir que le vendeur connaît bien ce dont il parle et qu’il est en mesure d’effectuer des comparaisons.
3. Mettre à l’avant-plan les avantages du produit. À proprement parler, ce que le client souhaite surtout acheter, ce sont les bénéfices que le produit ou le service peut lui procurer; le vendeur doit donc insister sur ce type de considération.
4. Soumettre un ou des produits complémentaires. un vendeur habile sait profiter de chaque occasion pour faire de la vente complémentaire et prend soin de soumettre au client d’autres produits ou services pour compléter son achat.
5. utiliser la mise en scène. Les cinq sens du client doivent être sollicités pour mieux vendre. Expliquer le produit avec des gestes de la main, le montrer au client, l’étaler, le faire toucher, faire une démonstration ou offrir un essai s’avère souvent une bonne idée.
« L’expérience d’achat occupe plus que jamais une place importante dans le processus de vente, commente Gyna Poulin. Parmi les nouveaux défis que présente le secteur, on note celui des clients qui arrivent connaisseurs. Cette réalité oblige les vendeurs à se distinguer en étant hyperinformés. »

Individus et Entreprises

Séminaire Vente professionnelle (S.V.P.)
Séminaire Service à la clientèle (O.S.E.R.)
Séminaire Parler en public (P.E.P.)
Louis Jolicoeur
Coaching - Force de vente
Individus et Entreprises Formateur agréé par Emploi-Québec
Séminaire Partir en affaires (Intrapreneurship)
« La vente, c’est quelqu’un qui a du plaisir et qui aime le monde; ça transcende la paye et l’horaire, c’est de l’émotion ! Un vendeur doit constamment s’adapter et pour être bon, il doit se préparer adéquatement et s’exercer. La pire chose qui peut lui arriver, c’est de se faire dire non, mais ce non n’est souvent pas définitif, il est temporaire. »
– Louis Jolicœur,
« Dans la culture québécoise, on considère que tous les clients sont importants. C'est vrai... mais ils ont une importance relative qui dépend de leur contribution à la rentabilité actuelle et future. Si on se doit de toujours livrer un produit de qualité, le niveau de service, lui, doit être adapté à cette réalité. »
– Rodolphe Meynier, Celsius Solutions Ventes
« Si j’avais un vœu à formuler, ce serait que la profession de vendeur soit reconnue et qu’on valorise la formation. Il y a de très beaux exemples de réussite de gens qui sont passés par chez nous, des gens qui sont reconnus dans leur milieu pour faire preuve d’écoute, de respect, d’honnêteté professionnelle et d’empathie envers les clients. »

« Il faut savoir qu’en moyenne, de 20 à 25 % de l’énergie consacrée par l’équipe des ventes ne génère que 5 % du chiffre d’affaires de l’entreprise. »
odolphe Meynier, directeur général de Celsius Solutions Ventes.
n estime qu’il en coûte huit fois plus cher d’attirer un nouveau client que de garder celui qu’on a déjà. Par conséquent, tous les efforts nécessaires doivent être déployés dans le but de fidéliser sa clientèle.
« À nos yeux, pour qu’une entreprise ait du succès, il faut qu’elle s’emploie à mettre en place, de manière structurée, la bonne équipe de vente pour bien faire les bonnes actions au bon moment auprès n doit ultimement tendre à fidéliser tous à fort potentiel », soutient Rodolphe Meynier, directeur général de Celsius Solutions Ventes.
Afin de saisir toutes les occasions lucratives, un vendeur verra à la fois à optimiser ses actions, son emploi du temps et son territoire. l est impératif de faire converger les efforts là où ça rapporte, en s’appliquant à séduire le client, à lui vendre davantage et à le fidéliser. Dans les PME québécoises, par exemple, il faut savoir qu’en moyenne, de 20 à 25 % de l’énergie consacrée par l’équipe des ventes ne génère que 5 % du chiffre d’affaires de l’entreprise. Ce que l’on recherche, ce sont des vendeurs qui vont amener de la valeur ajoutée dans une organisation. »
– Gyna Poulin, CFP Maurice-Barbeau
« On a souvent entendu dire qu’un client satisfait en parle en moyenne à cinq personnes et qu’un client insatisfait en parle directement ou indirectement à 13 personnes. Aujourd’hui, avec les médias sociaux, ce sont plutôt des milliers de personnes qui sont au courant d’une bonne ou d’une mauvaise expérience de vente ! »
– Auteur inconnu

Une offre de formations pour augmenter vos ventes

Vente-conseil et Représentation*
Programme offert en alternance travail-études. Stages en entreprise.
Affichez vos offres d’emploi sur notre site web et recrutez les meilleurs.
Pépinière de finissants et de finissantes.
Lancement d’une entreprise thématique « Entreprendre à 50 ans »*
Après une carrière à succès dans la vente, lancez votre propre entreprise. Inscrivez-vous à notre thématique 50+ destinée aux gens d’expérience qui ont un savoir à transmettre.
24 rencontres. Coaching personnalisé inclus.
Formation sur mesure pour votre force de vente**
En période de pénurie de main-d’œuvre, votre solution: augmenter la productivité de votre force de vente.
En vente sur la route:
Augmentation du taux de succès (conclusion de vente).
Utilisation d’un CRM.
Maximisation des ventes à répétition.
En vente au détail:
Plus de ventes par transaction.
Meilleur suivi de la clientèle.
Transformer une réclamation en vente.
* Programmes de formation financés par le ministère de l’Éducation, de l’Enseignement supérieur et de la Recherche. Admissibles aux programmes d’aide financière et reconnus par Emploi-Québec
** Formations SAE, subventions disponibles. sae@csdecou.qc.ca
info.cfpmb@csdecou.qc.ca Consultez www.manouvellecarriere.com


Au Québec, les PME sont actives. Très actives même. Mais en ce qui a trait aux ventes, déploient-elles leurs efforts de la bonne façon ? Lorsque l’on sait qu’en moyenne, de 20 à 25 % de l’énergie consacrée par l’équipe des ventes ne génère que 5 % du chiffre d’affaires de l’entreprise, il y a de quoi faire réfléchir…
PAR joHAnnE MARTin
Respectivement président du Groupe Dancause et directeur général de Celsius Solutions Ventes, Réjean Dancause et Rodolphe Meynier ont leur point de vue sur la question… et des solutions aussi ! S’ils ont observé que la qualité de gestion des PME québécoises s’était grandement améliorée au cours des deux dernières décennies, ils ont également fait le constat que la fonction ventes semblait avoir été oubliée au passage.
« il s’agit assurément de la fonction la moins bien structurée dans l’organisation, confirme M. Dancause. Dans les faits, sa performance repose en très grande partie sur les individus qui la composent. Quand les objectifs ne sont pas atteints, au lieu de revoir les processus, on change de directeur des ventes ou de vendeur, car les entreprises ne connaissent bien souvent que cette solution. »

il fallait donc mettre en place une approche pour combler cette lacune. Comprendre d’abord les composantes de la fonction ventes. Puis mieux arrimer le lien qui existe entre le marketing (le choix des marchés porteurs) et les ventes (les clients potentiels dans les marchés porteurs). Et enfin, faire converger les efforts là où ça rapporte, en s’appliquant à séduire le client, à lui vendre davantage et à le fidéliser.
« En résumé, l’idée consiste à mettre en place, de façon structurée, la bonne équipe pour bien faire les bonnes actions au bon moment auprès des bonnes personnes. on doit ultimement tendre à fidéliser tous les clients payants et à viser les clients éventuels à fort potentiel », insiste en terminant Rodolphe Meynier.


« L’idée consiste à mettre en place, de façon structurée, la bonne équipe pour bien faire les bonnes actions au bon moment auprès des bonnes personnes. »




Grâce au partenariat établi avec une firme française, Celsius Solutions Ventes, fondée par le Groupe Dancause, propose :
10 actions clés pour créer une fonction ventes performante :
1. Définir les types de clients cibles. il s’agit de bien déterminer les clients et les clients potentiels sur lesquels l’entreprise doit concentrer ses énergies.
2. Se doter de processus de gestion des clients clairs. une fois les cibles bien définies, il faut s’employer à concevoir des processus performants pour les attirer, livrer ses promesses et les fidéliser.
3. Connaître le potentiel de vente. Pour générer de vraies prévisions de vente, il importe de connaître le potentiel de chacun de ses clients, des clients éventuels et du marché.
4. Créer un organigramme des ventes. Celui-ci sera basé sur les stratégies, sur les marchés cibles et leur dynamique, de même que sur les processus internes et le potentiel.
5. Miser sur une valeur ajoutée claire. il est primordial que les ventes travaillent en étroite collaboration avec le marketing pour définir et décliner les bénéfices que l’offre apporte au marché. Tout le monde n’est pas sensible aux mêmes arguments !
6. Augmenter la performance de l’équipe. Afin de saisir toutes les occasions payantes, l’équipe doit à la fois optimiser ses actions de ventes, son agenda et son territoire.
7. Préparer et documenter des protocoles d’intervention. Afin d’uniformiser l’ensemble de la performance de l’équipe, il faut documenter les grandes lignes de chaque situation client, et chaque vendeur doit les maîtriser.
8. Mettre la technologie à profit. La force de vente sera plus efficace si les ventes ont accès en direct à l’historique et à la fiche-client, aux protocoles d’intervention, de même qu’à l’information sur la situation à l’interne.
9. Définir des indicateurs. Sachant que ce sont les actions qui génèrent les résultats, toute organisation devrait mesurer leur performance et le respect des processus : sur la maîtrise des actions clients; sur la capacité à vendre la valeur ajoutée; sur la capacité à parler aux bons interlocuteurs; et sur l’optimisation des territoires et des agendas.
10. Compter sur une direction des ventes forte. La clé de voûte des neuf premiers points, c’est le gestionnaire des ventes. Pour assurer l’atteinte des objectifs, il doit mettre en place la meilleure structure, instaurer les bons processus et développer les bonnes habiletés de son équipe en jouant le rôle de coach.
: DAViD CAnnon
Réjean Dancause
■ PAR RoSE-LinE BRASSET
il est de la race de ceux qui ne travaillent pas pour vivre, mais qui vivent pour travailler. À
83 ans, le photographe Roland Lachance, celui que tous appellent familièrement « Roland de Québec », n’envisage pas de prendre sa retraite, bien au contraire. Plus que jamais, il a le vent dans les voiles !
Rencontrer Roland Lachance, c’est avoir l’immense privilège de bavarder avec une encyclopédie vivante de la vie artistique des 65 dernières années au Québec.



né en 1932 dans le quartier Saint-Roch, rue Saint-François, « Roland de Québec » a découvert sa vocation en fréquentant assidûment la salle à manger du cabaret Chez Gérard, à la fin des années 1940. Gérard Thibault s’était en effet pris d’affection pour ce jeune homme qui rêvait de photographier des vedettes, alors qu’il était simple coursier pour le studio Adélard Huot de Limoilou. e n’avais que 14 ans à l’époque, mais Gérard me permettait de m’asseoir dans la salle, en attendant que les artistes viennent se restaurer, entre deux prestations sur scène. Malheureusement, je ne possédais encore qu’un minuscule “Kodak”, un appareil destiné aux r, c’est avec cet appareil que Roland photographia, quelques années plus tard, en 1955, nulle autre que la grande Édith Piaf. une rencontre qui fut déterminante. « on m’avait avisé qu’Édith Piaf ne se laissait approcher par aucun photographe. j’ai tout de même tenté ma chance. » Contre toute attente, la chanteuse et star internationale de 40 ans, d’abord réticente, tomba sous le charme de ce timide apprenti photographe, qui n’en avait que 23. Elle ne sera pas la seule.
Dans la série documentaire Roland de , présentée en mai dernier sur les ondes de MATV, on souligne un aspect particulièrement attachant de la personnalité du photographe, une caractéristique qui le rend unique aux yeux des artistes qu’il a photographiés au fil des ans : « Avec autant de modestie que d’audace, Roland sait comment s’approcher des gens, icolas Léger, réalisateur


et coscénariste de la série. Généreux et passionné, le regard qu’il porte sur ses “modèles” est surtout celui d’un fan inconditionnel. il aime et respecte réellement les artistes. Mis en confiance, ceux-ci lui offrent sans peine un morceau de leur intimité. » Au fil des ans, Roland a d’ailleurs su nouer des relations d’amitié indéfectibles avec un nombre impressionnant de ces artistes.
C’est en 1959, après avoir photographié à peu près toutes les célébrités passées par Québec, que le jeune Roland fait le saut vers la métropole. « je suis arrivée à Montréal sans un sou en poche et sans la moindre lettre de recommandation. Ça n’a pas été facile au début, mais je ne m’en suis pas si mal tiré. » Celui qui a photographié des milliers d’artistes et de célébrités d’ici et d’ailleurs (voir ci-bas) demeure d’une humilité désarmante. Ce qui frappe chez ce petit homme (il mesure cinq pieds et 3 pouces), c’est sa grande simplicité et sa gentillesse. À l’entendre, le secret de sa réussite tient en deux mots : le respect et la bienveillance. on ne peut que le croire !
Tous les jours, en hiver comme en été, en semaine comme les week-ends, Roland sort de chez lui, à Québec, pour aller prendre des photos, qu’il s’agisse d’une conférence de presse de Georges St-Pierre ou de la visite de Céline Dion ou de Priscilla Presley. À tout coup, on lui donne un accès privilégié à la loge des artistes, accès refusé à la plupart des autres photographes. Souvent, il apporte un petit présent qu’il réserve à la vedette

du jour. Dans la plupart des cas, il s’agit de clichés pris il y a 10, 20 ou 30 ans. C’est ce qu’il a fait à l’été 2012, lorsqu’il a retrouvé johnny Hallyday, qu’il n’avait pas vu depuis 1975. Charmé, le chanteur n’en revenait pas de cette délicate attention.
Rencontrer Roland Lachance, c’est avoir l’immense privilège de bavarder avec une encyclopédie vivante de la vie artistique des 65 dernières années au Québec. Aujourd’hui, c’est à son tour d’être en vedette. Bravo, Roland de Québec

1- La légendaire Édith Piaf
2- Photo d’Elvis Presley prise par Roland de Québec, plus tard autographiée par Priscilla.
3- Céline Dion
4- johnny Hallyday
5- Roland en compagnie de Gilles Latulippe
6- jerry Lewis
7- Le salon des souvenirs chez Roland Lachance.

• joséphine Baker • jon Bon jovi • Carole Bouquet
• Marion Cotillard • Céline Dion • jane Fonda
• olivier Guimond • Angelina jolie • jerry Lewis
• Dean Martin • Roger Moore • Yves Montand
• Philippe noiret • Elvis Presley • Robert Redford
• Ginette Reno • Maurice Richard • Alys Robi
• Claudia Schiffer • Brooke Shields • nancy Sinatra.
L’arrivée – enfin, diront certains – de la saison estivale est synonyme de petits plaisirs : repas cuisinés sur le barbecue, retour à la pratique de sports extérieurs, soirées autour du feu à gratter la guitare et weekends entiers passés en famille, en camping ou à la plage. Mais pour les professionnels de la médecine dentaire, la saison de la crème solaire est aussi celle des traumatismes dentaires.
PAR FRÉDÉRiCK MASSon

Les traumatismes dentaires, ou traumatismes dento-alvéolaires, émanent bien souvent d’un geste accidentel ou d’une maladresse. Mauvaise chute à vélo, coup de bâton à la bouche, face-àface imprévu au soccer; tant de situations qui se transforment en source de maux et d’inquiétude pour les personnes concernées, mais aussi pour leurs proches.
L’endodontiste Marie Gosselin en sait quelque chose. Propriétaire de la Clinique d’Endodontie de la Capitale, elle dirige depuis 2008 une équipe de passionnés qui s’affaire régulièrement, et particulièrement durant la belle saison, à réparer les petits et grands malheurs du destin. Car, contrairement à la croyance populaire, l’endodontie, qui figure au nombre des spécialités reconnues par l’ordre des dentistes du Québec, ne se limite pas aux traitements endodontiques (de canal). À cette expertise se rattachent aussi les retraitements endodontiques, les apectomies et les traumatismes dento-alvéolaires.

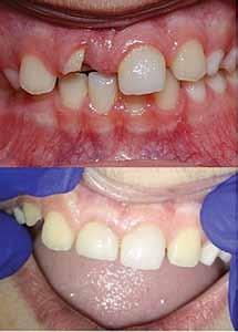
En médecine dentaire, chaque situation est unique et apporte son lot de défis. La Dre Gosselin se remémore d’ailleurs un cas complexe, celui d’un jeune garçon âgé de seulement 8 ans, qui lui est recommandé par un dentiste généraliste littéralement désemparé par la gravité des dommages buccaux subis par son client à la suite d’un coup de bâton de baseball accidentel. L’incisive supérieure de droite est cassée en trois morceaux, le nerf est exposé, puis celle de gauche, est également cassée, à quelques millimètres seulement de la gencive.
« À première vue, plusieurs auraient été tentés de conclure que l’extraction s’avérait inévitable. Toutefois, il faut toujours garder à l’esprit que le retrait d’une dent permanente a de lourdes conséquences chez un enfant en croissance. une atrophie de l’os au site d’extraction survient, de sorte que lorsque le recours à un implant est envisagé à l’âge adulte, l’os atrophié ne présente pas une épaisseur suffisante. Sans compter que l’espace édenté doit être comblé sans nuire à la croissance de l’enfant », explique-t-elle.
Heureusement, les techniques et technologies modernes comme la tomographie assistée par ordinateur (radiographie 3D) ont permis d’évaluer le niveau exact de la fracture de la dent du jeune homme et de mesurer précisément la longueur de la racine restante. Cette dernière étant d’une bonne longueur, un coup de chance dans la situation présente, la Dre Gosselin décide de tenter le traitement endodontique de la dent. Pour y arriver, elle a eu recours à une nouvelle technique appelée
revascularisation pour les dents immatures. Cette procédure permet d’éliminer la pulpe infectée et de stimuler les cellules souches dans la région apicale de la dent pour, en quelque sorte, « reformer un nerf dans la dent » et ainsi obtenir une dent avec des parois plus épaisses et un apex fermé; une condition assurant un meilleur pronostic à long terme. il s’en est suivi une visite chez l’orthodontiste qui a fait une traction sur la racine pour la faire descendre. Ainsi, la racine de la dent a été extrudée afin d’exposer une partie plus importante de celle-ci et favoriser sa restauration. Après quelques mois, la dent était suffisamment visible pour pouvoir y coller un composite (plombage blanc). Le dentiste du garçon a pu compléter le boulot. La dent présente aujourd’hui un pronostic favorable et le garçon devrait être en mesure de la conserver jusqu’à sa majorité, et bien plus longtemps. À condition qu’il évite dorénavant les bâtons de baseball…


« un cas d’une telle complexité nécessite bien souvent la collaboration de plusieurs intervenants qui assurent au patient les meilleurs soins pour un pronostic optimal. Dans ce cas-ci, les participations d’un orthodontiste (Dr Sylvain Chamberland) et d’un parodontiste (Dr Hugues Pelletier) furent primordiales, sans compter l’apport du dentiste généraliste », conclut la Dre Gosselin.

Que faire si une dent sort de son alvéole et tombe à la suite d’un coup en bouche ?
■ il faut la réimplanter le plus rapidement possible. Donc, une visite chez le dentiste s’impose, idéalement dans l’heure suivant le trauma. Entre-temps, il faut maintenir la dent dans un milieu humide. La compagnie Save a Tooth propose une petite boîte qui contient tout ce qu’il faut pour sauver une dent : la solution saline idéale et un petit panier pour le transport. Le tout pour quelques dollars via internet. La Dre Gosselin invite toutes les équipes sportives et les établissements d’enseignement à en avoir une dans leur trousse de premiers soins.
■ En l’absence de cet outil, la dent peut être placée dans du lait.
■ Entre 20 % et 25 % des enfants subiront un traumatisme dentoalvéolaire avant l’âge de 12 ans
■ Les garçons sont deux fois plus touchés que les filles
■ 80 % des cas touchent les dents centrales supérieures. Suivent les latérales supérieures et les centrales inférieures.
il en fut de même pour une autre patiente, une jeune fille de 7 ans dont une chute sur la glace entraîna la fracture de la racine de ses deux incisives antérieures supérieures. Elle est dirigée par son dentiste vers un chirurgien buccal et maxillo-facial qui rencontre très fréquemment ce genre de situation. Ce dernier stabilise les dents et recommande la patiente à la Dre Gosselin pour déterminer si le nerf est atteint. La fillette ne présente alors aucune douleur. Malgré les apparences, les tests endodontiques démontrent que la pulpe est bien en vie. La spécialiste conclut qu’aucun traitement n’est nécessaire et que seul un bon suivi est au programme afin de s’assurer que la situation se maintient. une conclusion aux antipodes

de celle anticipée au départ par le dentiste généraliste, qui voyait peu d’espoir pour ces dents.
« Trop souvent, des dents sont extraites alors qu’elles auraient pu être traitées et maintenues en bouche. Les dents traitées endodontiquement, lorsqu’elles sont bien restaurées, ont un aussi bon pronostic que les implants. L’implant dentaire est une excellente façon de remplacer les dents, mais il devrait être réservé aux situations où la ou les dents ne peuvent être traitées », rappelle la Dre Gosselin, qui entreprend la saison estivale avec un seul désir, celui de croiser les lecteurs de PRESTIGE sur la plage… plutôt que sur sa chaise d’endodontiste.

CLinique D’enDoDonTie De LA CAPiTALe – LeBourGneuF 1305, boul. Lebourgneuf, porte 306 | 418 614-enDo office@endodelacapitale.com Site Web : endodelacapitale.com
CLinique D’enDoDonTie De LA CAPiTALe – SAinTe-Foy 2600, boul. Laurier, porte 875 (Tour de la Cité) | 418 653-6377 info@rleclercendo.com
Site Web : rleclercendo.com
■ PAR GiLLES LEVASSEuR
À la recherche d’un local pour y établir un bureau ou un commerce ? Voici quelques suggestions de nos spécialistes pour aiguiller vos recherches selon le secteur désiré et le nombre de pieds carrés recherché.

■ Secteur : Lebourgneuf

Lebourgneuf.
D’ici 2017, impact Gestion immobilière ajoutera deux immeubles haut de gamme à son offre locative d’espaces pour bureaux et commerces dans le secteur Lebourgneuf, à proximité du boulevard des Galeries, au cœur d’une foule de services. De plus, les deux projets mettent l’accent sur une généreuse fenestration assurant aux occupants une excellente luminosité naturelle et un confort maximum à un prix très concurrentiel.
Prestigieux, le complexe Sodicor ii, qui verra le jour en 2017, couvrira une superficie locative de 85 000 pieds carrés sur cinq étages on y trouvera des commerces au rez-de-chaussée, un emplacement idéal pour une clinique de santé, une pharmacie ou un restaurant. Les futurs occupants profiteront d’un hall d’entrée luxueux, d’une grande salle de conférence commune, d’une terrasse extérieure accessible à tous, de douches ainsi que de nombreux espaces de stationnement intérieur et extérieur.
Quant à l’édifice rubis, qui sera livré l’an prochain, il comptera trois étages totalisant 40 000 pieds carrés de superficie locative, dont des espaces commerciaux au rez-de-chaussée, y compris notamment une garderie. ▲

En septembre 2014, SSQ Groupe financier s’est porté acquéreur du 2475, boulevard Laurier, un édifice situé tout juste à l’est des deux immeubles qu’il possède déjà à l’angle du boulevard Laurier et de l’autoroute RobertBourassa. D’une superficie totale de 62 000 pieds carrés répartis sur trois étages, le bâtiment construit en 1961 et
rénové à quelques reprises au cours des dernières années est occupé en grande partie par la compagnie d’assurances Royal & Sun Alliance (RSA). L’espace disponible pour la location est de 20 000 pieds carrés, soit un local de 5 000 pieds carrés ainsi qu’un étage complet de 15 000 pieds carrés Selon la vice-présidente immobilier
Les immeubles Roussin, c'est plus de 650 000 pieds carrés d'espace commercial dans la région de Québec, dont ces nouveaux projets. Profitant d’une visibilité exceptionnelle en bordure de l’autoroute Duplessis, entre les sorties Hochelaga et QuatreBourgeois, espace r, situé sur l'avenue Maricourt, propose des locaux tout neufs allant de 2 500 à 30 000 pieds carrés, dont certains sont disponibles dès maintenant. Modernité et confort appréciables, fenestration abondante, vaste stationnement et à proximité de tous les services.
Par ailleurs, trois espaces commerciaux de 500 à 3 500 pieds carrés sont intégrés au complexe La Garde, un ensemble de trois immeubles qui abritera, à terme, 265 condos locatifs haut de gamme. Stratégiquement situé sur le chemin Sainte-Foy, le complexe profite d’une excellente visibilité sur Henri-iV et profite du dynamisme naturel du quartier. il comprend des stationnements en façade, et les locaux commerciaux situés au rez-de-chaussée du premier édifice sont déjà disponibles pour la location. Le deuxième immeuble sera achevé en juin 2016.
Finalement, immeubles Roussin offre un local fort intéressant de 15 000 pieds carrés au sein de l’édifice situé au 3260, avenue Watt, dans le parc Colbert. Facilement accessible, ce secteur est situé près des grands axes routiers et exploite une visibilité enviable aux abords de l’autoroute Charest. De grandes dimensions et subdivisible, le local bénéficie d’une hauteur intérieure de près de 20 pieds, ce qui en fait un site des plus convoités pour son efficacité.
et ressources matérielles, Mme France Rodrigue, il s’agit d’un secteur très apprécié par le personnel en place. Avec sa localisation stratégique sur le boulevard Laurier, à proximité des ponts, l’édifice bénéficie d’une grande accessibilité et d’une importante visibilité. L’immeuble profite également d’un accès facile aux transports en commun ainsi que d’une station abribus chauffée. « L’excellence de notre service, la qualité de nos immeubles ainsi que de nos emplacements de choix ont contribué à notre excellente réputation en matière de gestion immobilière, résume Mme Rodrigue. notre rapidité d’intervention et le soin que nous apportons à bien répondre aux besoins de notre clientèle, voilà ce qui nous démarque. »

Espace R : 3035, avenue Maricourt, en bordure de l’autoroute Duplessis.


À deux minutes des ponts
Desservi par plusieurs parcours d’autobus
Stationnements disponibles
20 000 pi2 disponibles
Projet écoresponsable unique Au coeur du quartier
Saint-Sacrement
Fenestration abondante et grande luminosité
Stationnements disponibles 12 350 pi2 disponibles

■ Secteur : Lebourgneuf
Dans la région, la société immobilière Trimco gère, pour la Fiducie de Revenu BTB, près d’un million de pieds carrés de locaux pour bureaux et commerces répartis dans huit immeubles. Quelque 200 locataires y font des affaires, principalement dans le secteur Lebourgneuf. Entre autres édifices, les complexes Lebourgneuf 1 et 2 se démarquent par une architecture distinctive; même la passerelle panoramique qui les relie sert de lieu de réunion, sans oublier une salle de spectacle avant-gardiste, LaScène Lebourgneuf. La mission de Trimco
■ Secteur : Lévis
Le Groupe Transrapide offrira, à compter de la fin de l’automne 2015, quelque 26 000 pieds carrés d’espace disponible à même son futur centre de Lévis, dont la construction vient de débuter. Le bâtiment couvrant une superficie de 36 000 pieds carrés sera situé à seulement 150 mètres de la sortie de la route des Îles, en bordure de l’autoroute 20, soit à quelques minutes de la tête des ponts. Cet emplacement très

consiste à gérer et à réaliser des projets novateurs offrant non seulement un milieu de travail unique et raffiné, lumineux, agréable et convivial, mais un milieu de vie.
Selon le président de Trimco, Guy Boutin, cette recherche de dépassement et d’innovation atteindra de nouveaux sommets avec l’audacieux projet Vision, qui doit voir le jour en 2016 sur l’immense terrain situé juste à l’est des
complexes Lebourgneuf 1 et 2. Les trois édifices totaliseront plus de 200 000 pieds carrés d’espaces locatifs qui seront offerts selon une formule clés en main pour répondre aux besoins des futurs occupants. « Les locataires désireux de réserver un espace avant et pendant la construction pourront bénéficier d’avantageuses offres de location comprenant d’attrayants incitatifs », conclut M. Boutin.

stratégique au cœur d’un parc industriel comporte plusieurs avantages pour toute entreprise dont les activités sont connexes à celles du transporteur par camions. De plus, la bâtisse sera érigée sur un impressionnant terrain couvrant 330 000 pieds carrés, idéal pour stationner des flottes de véhicules. Par ailleurs, le fait que le projet n’en soit qu’à ses débuts permettrait à un locataire de la première heure de profiter d’un local personnalisé. Donc, premiers arrivés,
mieux servis ! Le parc industriel héberge déjà deux concessionnaires de camions, deux compagnies de construction et d’autres entreprises de transport. « il serait donc intéressant pour nous d’accueillir un ou des locataires évoluant dans des domaines reliés au nôtre, tels que d’autres transporteurs ou des entreprises de vente au détail pour de l’équipement lourd, ou de location de camions et remorques, explique le patron de Transrapide, M. Guy Montminy. nous pouvons offrir également des locaux pour de l’entreposage, sec ou réfrigéré. »





Place d’affaires Lebourgneuf 2

Édifice Centre d’affaires le Mesnil




Complexe Lebourgneuf 1

Complexe Lebourgneuf 2

Centre Ultramar Entrepôt du hockey


Au Samuel-holland, les entreprises qui recherchent des locaux pour bureaux et des espaces commerciaux de qualité profiteront de nombreux avantages en s’établissant dans ce complexe immobilier de prestige. Pour Capreit, le SamuelHolland, avec ses 1 000 résidents permanents, ses 300 travailleurs et la population du quartier Saint-Sacrement, offre un accès direct à un bassin de consommateurs. Sa localisation est stratégique, au cœur du triangle formé du centre-ville de Québec, du cœur de Sainte-Foy et du quartier Lebourgneuf. En plus de sa grande disponibilité de stationnements, la polyvalence du complexe permet d’accueillir des entreprises de presque tous les secteurs d’activité et offre des occasions d’affaires très intéressantes dans les domaines de la santé et du commerce de détail spécialisé. il ne reste plus que l’équivalent de 16 000 pieds carrés d’espaces commerciaux à combler (de 420 à 9 893 pieds carrés) sur ce site privilégié, ceinturé d’institutions gouvernementales, d’immeubles de bureaux et de condominiums de luxe. (Marc jean)

■ Secteurs : Haute-Ville – Sainte-Foy – Montcalm – Saint-Sacrement

Les experts-conseils en immobilier commercial de Colliers international ont des suggestions fort intéressantes à vous faire ! En plus du prestigieux complexe Samuel-holland (propriété de Capreit), l’édifice du 580, Grande Allée est, reconnu comme un bâtiment patrimonial, s’avère aussi une option intéressante, car il offre des superficies variant de 1 000 à 12 000 pieds carrés. Qui plus est, sa localisation exceptionnelle est à proximité de tout, notamment du VieuxQuébec, sans oublier qu’il dispose de 141 espaces de stationnement gérés par le propriétaire, dont le bureau d’administration se trouve dans l’immeuble. Les aires communes ont été remises au goût du jour.
De plus, au 1015, rue Wilfrid-Pelletier, à deux minutes du boulevard Laurier, de 4 000 à 12 000 pieds carrés sont libres au 5e et dernier étage d’un immeuble haut de gamme tout neuf. Accès direct aux ponts près des voies rapides et vue incroyable sur la ville.
Quand vous choisissez de faire affaire avec Colliers, vous savez que vous travaillez avec le meilleur fournisseur de services immobiliers. Nous proposons des solutions pour toutes les étapes d’une transaction immobilière. Notre connaissance du marché et notre service de renommée mondiale apportent à nos clients ce qu’ils attendent : des résultats.
Services liés à la propriété :
> Courtage en vente et location
- Représentation de locataires
- Représentation de propriétaires
> Services en investissement

> Gestion immobilière
> Solutions aux entreprises
> Évaluation et services-conseils
> Gestion de projet
Colliers International domine le secteur des services immobiliers commerciaux au Québec depuis plus de 25 ans.
À SOUS-LOUER > ESPACE DE BUREAU
Construction neuve
1015, RUE WILFRID-PELLETIER, QUÉBEC, QC
> Espaces de 4 000 à 15 000 pi2 disponibles
> Aménagement haut de gamme
> Accès direct au pont Pierre-Laporte et au pont de Québec

PATRICK SOUCY
Vice-président
Courtier immobilier agréé
Patrick.Soucy@colliers.com
collierscanada.com
2828, boulevard Laurier, bureau 700 Québec, QC G1V 0B9 +1 418 263-4800
1800, avenue McGill College, bureau 400 Montréal, QC H3A 3J6 +1 514 866-1900
Constitué de six immeubles locatifs, tous reliés entre eux par une galerie commerciale et des tunnels, le SamuelHolland offre un concept unique aux entreprises désireuses de s’établir dans le quartier Saint-Sacrement.
La situation géographique du SamuelHolland est enviable, celui-ci étant positionné au cœur d’un triangle formé par le centre-ville de Québec, le cœur de Sainte-Foy et le quartier Lebourgneuf. Avec une grande facilité d’accès aux autoroutes et au transport en commun, les entreprises établies au SamuelHolland bénéficient de près de 400 espaces de stationnement,
tant pour les consommateurs que pour les travailleurs. La proximité du centre hospitalier Saint-Sacrement et d’immeubles de bureaux de haut niveau dans le secteur offre aux locataires commerciaux un achalandage supplémentaire, qui s’ajoute aux 1 000 résidents et 300 travailleurs du complexe.
De superbes locaux pour bureaux destinés à des entreprises offrant des services d’affaires et médicaux sont disponibles dans ce complexe immobilier de choix. Sécurité et confort, dans un environnement qui respecte le caractère urbain du quartier, permettront à la clientèle et aux employés de ces entreprises de bénéficier d’une multitude de services.
Fièrement aménagé au cœur du quartier Saint-Sacrement, le complexe immobilier le SamuelHolland constitue la pièce maîtresse de l’offre commerciale pour la société CAPREiT à Québec, puisque les commerçants peuvent compter sur une clientèle déjà bien établie grâce à la mixité que propose son complexe.
PAR MARC jEAn

Présentement, deux restaurants, une épicerie, une pharmacie, une garderie, une clinique dentaire à la fine pointe de la technologie, un coiffeur, un centre de conditionnement physique, une clinique de chiropractie, une succursale bancaire, un centre de physiothérapie et plusieurs autres services ont élu domicile dans le complexe immobilier de CAPREiT. Cette mixité crée une synergie qui bénéficie tant aux résidents qu’aux employés des entreprises qui s’y sont installées.
« CAPREIT bonifie la qualité de ses espaces commerciaux en misant sur une équipe de gestion, de maintenance et de sécurité exceptionnelle. »


Constamment adapté aux normes, aux besoins et aux tendances du marché commercial, le site du Samuel-Holland a beaucoup évolué, au point d’en faire un point d’ancrage de choix pour les entreprises. « C’est un complexe immobilier qui a surtout fait sa marque avec la qualité de ses 819 appartements locatifs, mais la société CAPREiT y affiche également sa signature dans le domaine commercial depuis son acquisition en juillet 2012. nos espaces sont situés à des endroits stratégiques et offrent des occasions d’affaires très intéressantes aux entreprises », mentionne M. Steven Bouffard RPA®, directeur général des opérations commerciales chez CAPREiT.
« Le Samuel-Holland est un immeuble très polyvalent. Au travers de nos 170 000 pieds carrés d’espaces commerciaux, nous avons des options de location et des projets qui nous permettent d’accueillir des entreprises
de presque tous les domaines et de presque toutes les tailles », précise M. Bouffard.
Tous profitent de la qualité des espaces commerciaux avec de hauts plafonds, une grande fenestration de même qu’une équipe de sécurité et d’entretien assurant un service exceptionnel et disponible 24 heures par jour.
« Les taux de location sont très compétitifs et conviendront aux entreprises en quête d’espaces dans presque tous les domaines, dont les services médicaux ainsi et que les commerces de détail spécialisés », mentionne M. Bouffard.
« La recette de notre succès est simple : les besoins de nos locataires sont au centre de nos activités et influencent toutes nos actions. notre mission est d’offrir des espaces et des logements de la plus haute qualité au Canada. »

■ un des plus importants propriétaires immobiliers du Canada avec plus de 41 800 unités résidentielles et près d’un million de pieds carrés commerciaux à travers le pays;
■ Plus de 7 300 unités au Québec, soit presque 20 % du portefeuille de CAPREiT. Le Québec représente le deuxième plus gros marché pour CAPREiT;
■ Plus de 2 700 unités à Québec;
■ Quatrième meilleur employeur au Québec en 2015 et parmi les 50 meilleurs employeurs au Canada en 2014 et en 2015 (selon le classement Aon Hewitt).
LA SOCIÉTÉ CAPREIT se hisse au 4e rang des employeurs de choix au Québec en 2015.
Samuel-holland : 830, avenue ernest-Gagnon, québec
Tél. : 418 681-4601
Site Web : caprent.com/Commercial/


Lorsqu’il s’est lancé en 1989 dans la gestion immobilière, Yves Fiset privilégiait déjà la dimension humaine dans ses relations d’affaires. Qu’il s’agisse d’occupants d’immeubles résidentiels ou de clients commerciaux, impact Gestion immobilière se distingue par une grande flexibilité, l’ouverture et l’écoute manifestée par ses gestionnaires, leur présence soutenue dans leurs propriétés et le soin méticuleux qu’ils y apportent, ainsi qu’un service personnalisé et attentionné. Mieux encore, la relève est déjà bien en place !
PAR GiLLES LEVASSEuR
yves Fiset entouré de son fils Keven, directeur division résidentielle, et de Christine Auger, directrice location et gestion commerciale.
Trifluvien d’origine, Yves Fiset ne se serait jamais établi à Québec s’il n’y avait eu des amis qui lui ont un jour confié certains dossiers immobiliers. D’abord actif dans la gestion d’immeubles résidentiels à Trois-Rivières et à Québec, il a ajouté le secteur commercial à ses activités, qu’il a progressivement concentrées dans la capitale « pour respecter mes critères de proximité et de qualité de service », explique-t-il. Depuis 2005, impact Gestion immobilière agit aussi à titre de promoteur de nouvelles constructions résidentielles, commerciales et à bureaux, qui totalisent aujourd’hui plus de 400 logements et quelque 330 000 pieds carrés de superficie. La firme supervise également — en collaboration avec des partenaires-
investisseurs — le développement de plusieurs terrains en vue de la construction d’immeubles de bureaux d’envergure, principalement dans le secteur du boulevard Lebourgneuf.
D’ici les prochaines années, deux immeubles haut de gamme s’ajouteront au paysage dans la pointe sud-est de l’intersection des boulevards Lebourgneuf et des Galeries. il s’agit des projets complexe Sodicor ii (1285, Lebourgneuf), qui verra le jour en 2017, et édifice Rubis (1280, rue du Blizzard), qui sera livré l’an prochain.
immeuble de catégorie A à structure de béton, le complexe
Sodicor ii abritera 85 000 pieds carrés d’espaces locatifs répartis sur cinq étages. on y trouvera des commerces au rezde-chaussée, un emplacement idéal pour une clinique de santé, une pharmacie ou un restaurant. Les futurs occupants seront servis à souhait, ils bénéficieront d’une foule de services : hall d’entrée luxueux, deux ascenseurs, gicleurs et caméras de surveillance, vestiaires et douches, vastes salle de conférence et terrasse extérieure commune ainsi que 260 places de stationnement intérieur et extérieur.
Quant à l’édifice Rubis, qui sera érigé à côté de l’immeuble Le Saphir, il sera un autre « bijou » d’architecture. Doté d’une aussi généreuse fenestration, l’édifice comptera trois étages comportant 40 000 pieds carrés de superficie locative, dont des espaces commerciaux au rez-de-chaussée en plus d’une garderie.
impact Gestion immobilière songe en outre à compléter d’ici 2017 son complexe Des Chutes, dans le secteur Beauport, par la construction d’un immeuble de 16 appartements de quatre pièces et demie. « Ce projet est inédit, car nous avons opté pour des logements aménagés sur deux étages, une particularité très rare sur le marché, explique Yves Fiset. De plus, les matériaux sont d’une qualité comparable à ce qui est utilisé pour la construction de condominiums. »
Plusieurs atouts permettent à impact Gestion de se démarquer. Primo, ses gestionnaires veulent conserver leurs bâtisses et leur clientèle, et ils agissent en conséquence. Secundo, ils sont très présents dans leurs propriétés dont ils font régulièrement la tournée, et ont toujours tenu à ce que chaque immeuble résidentiel ait son concierge désigné. Tertio, ils forment une petite équipe capable d’une grande flexibilité et d’une prise de décision rapide étant donné l’absence d’intermédiaires. « un local, c’est comme un pantalon, image M. Fiset, on peut l’ajuster selon les besoins des clients, que je considère d’ailleurs comme nos partenaires. À coût égal, plusieurs nous ont choisis pour notre écoute et la flexibilité de notre offre. »


Quand Yves Fiset a su que son fils — initié à l’entreprise depuis l’adolescence — désirait se joindre à lui, il n’aurait jamais cru que la relève inclurait également Christine Auger ! Celle-ci, nouvellement diplômée en gestion urbaine et immobilière, a été embauchée à temps partiel en 2011 pendant que Keven, exfootballeur du Rouge et or, se permettait une immersion de six mois en Europe où il a joué pour un club d’Espagne.
« Quand mon fils est rentré au pays, je ne pouvais plus me passer de Christine, sa passion pour l’immobilier m’ayant convaincu de la garder dans l’entreprise. » Celle-ci est aujourd’hui directrice location et gestion commerciale tandis que Keven est directeur division résidentielle. « Monsieur Fiset est pour moi un mentor. Dès mon arrivée dans l’entreprise, il m’a laissé une grande liberté de décision, ce qui m’a permis d’acquérir rapidement des connaissances supplémentaires que l’on ne retrouve pas dans les livres », résume-t-elle. Ces jeunes gestionnaires assument de plus en plus de responsabilités tandis que le fondateur profite d’un horaire allégé.
« Ce serait facile de rester au bureau et d’attendre les appels, précise Keven Fiset, mais je préfère faire chaque semaine le tour de nos immeubles; cela me permet d’en constater l’état, et aussi de motiver nos concierges, car ils voient que la bonne marche de nos propriétés nous tient à cœur. » Le mot de la fin revient à son père : « Vous savez ce que j’aime le plus de ma profession ? Transformer le paysage d’un quartier positivement… pour très longtemps ! »
FiER MEMBRE DE L'AXE LEBouRGnEuF
REGRouPEMEnT DES GEnS D'AFFAiRES LEBouRGnEuF
inForMATion Pour LoCATion 1305, boulevard Lebourgneuf, bureau 307, québec 418 951-5871 | info@impactgestion.com | impactgestion.com

Depuis plus d’un demi-siècle, Les immeubles Roussin a toujours su prioriser un soutien rapide et approprié aux besoins de sa clientèle, qu’elle soit commerciale ou résidentielle. Cette solide réputation sur le marché de Québec lui vaut aujourd’hui l’envergure d’une entreprise qui gère plus de 650 000 pieds carrés d’espace commercial répartis dans 13 immeubles, quelque 1 100 appartements et une résidence pour personnes âgées.
PAR GiLLES LEVASSEuR
Tout a commencé avec le souci de toujours mieux servir sa clientèle, avec qui l’entreprise s’est continuellement assurée de préserver une proximité géographique. Suivant l’évolution de son parc immobilier, l’équipe des immeubles Roussin s’est tranquillement bonifiée, pour arriver aujourd’hui à un effectif total de 250 personnes, comprenant 70 spécialistes du secteur commercial qui s’affairent à répondre rapidement et efficacement aux besoins exprimés. « En plus de disposer de notre propre équipe sur le terrain – techniciens en climatisation, électriciens, plombiers, personnel d’entretien, préposés à l’entretien paysager, etc. – pour garantir le bon fonctionnement de nos propriétés, nous avons également mis sur pied une solide équipe de gestion, comptant une vingtaine d’experts, explique la présidente de l’entreprise, nathalie Roussin. Grâce à un personnel qualifié, nous entretenons de façon professionnelle nos immeubles, au bénéfice de nos clients et de leurs
employés. Bien au fait que la population active passe plus de temps au travail qu’à domicile, nous voyons à créer les milieux de vie les plus ergonomiques et conviviaux qui soient. Peu importe la taille des organisations que nous servons, du travailleur autonome aux grandes succursales de bannières internationales, nous appliquons les mêmes principes de qualité et de proximité associés à notre philosophie d’affaires. »
Cela dit, depuis la mi-mai, le personnel des immeubles Roussin est installé dans ses nouveaux locaux de l'avenue Maricourt. « nous avions d’abord besoin d’unir nos différents services afin d’en optimiser l’efficacité, précise Mme Roussin. Le caractère haut de gamme de notre nouveau siège social, à eSPACe r, nous permet désormais de recevoir nos clients de façon optimale et d’illustrer davantage ce que nous sommes en mesure de leur offrir. »
PARTENAIRE DE ESPACE R
GiLLES L. TREMBLAY ARCHiTECTE – unE SiGnATuRE DE PRESTiGE
Mille projets réalisés à la grandeur du Québec, depuis plus de 40 ans, font de Gilles L. Tremblay Architecte un partenaire intimement associé au développement de nombreuses municipalités et au succès de promoteurs actifs dans de multiples domaines. De la conception à la réalisation finale, l’équipe de professionnels chevronnés vise les plus hauts standards esthétiques et environnementaux, une qualité architecturale exceptionnelle et une intégration très soignée.


■ PAR MARiE-joSÉE TuRCoTTE
Ça y est : la première pelletée de terre a été soulevée,
informer, encourager et récompenser les entrepreneurs : telle est la mission de la Foire des entrepreneurs, qui en était cette année à sa troisième édition. Plus de 1 800 participants sont ainsi allés à la rencontre de 130 exposants et d’une quarantaine de conférenciers experts le 30 avril dernier au Centre de foires d’ExpoCité. L’événement, organisé par la Chambre de commerce et d’industrie de Québec (CCiQ), a par ailleurs été l’occasion de décerner la Bourse Créateurs d’entreprise à GoSoumissions.com, une jeune entreprise qui se spécialise dans le référencement en ligne pour les projets de rénovation résidentielle ou commerciale.

Adjudant-chef Pierre Alain; Alain roy, v.-p., Pomerleau; adjudantchef Steve Manny; Denis Lebel, ministre de l’infrastructure, des Collectivités et des Affaires intergouvernementales et ministre de l’Agence de développement économique du Canada pour les régions du Québec; colonel Denis Thébault, commandant du 35e Groupe-brigade du Canada; et lieutenant-colonel jonathan Chouinard, commandant des Voltigeurs de Québec.


Luc Tremblay, cofondateur de GoSoumissions.com; Éric Lavoie, président du C.A. de la CCiQ; et Sam hamad, ministre du Travail, de l’Emploi et de la Solidarité sociale et ministre responsable de la région de la Capitale-nationale.
Quand on se compare, on se console…
Voilà quelques semaines, québec international a dévoilé les résultats de son étude Bilan et perspectives 2014-2015 pour la région métropolitaine de Québec. Le portrait de la situation, comparativement à celui de sept autres régions métropolitaines du Canada (Montréal, Toronto, ottawa, Winnipeg, Calgary, Edmonton et Vancouver) est-il positif ou décevant ? Voici quelques données récentes du Conference Board du Canada :
• 1,7 % d’augmentation du PiB réel en 2014;
• 5 200 emplois créés, soit la plus importante hausse observée au Québec;
• 5,3 % de taux de chômage, soit le plus faible taux observé;
• 65,2 % de taux d’emploi, soit le taux le plus élevé observé.
une autre bonne nouvelle : Québec international prévoit que la région devrait également très bien s’en sortir en 2015. Bilan complet en ligne sur quebecinternational.ca/bilan-2014-2015
La Fondation Québec Philanthrope présente
Philanthropie
■ Chronique de nATALY RAE, directrice générale, Fondation Québec Philanthrope Affaires

Les fondations et organismes caritatifs restent toujours estomaqués, bien que très heureux, de recevoir un legs important leur étant totalement destiné. Ces legs proviennent très souvent de donateurs récurrents ou alors, de bénévoles investis, ayant toujours eu à cœur la mission poursuivie par leurs œuvres de bienfaisance, mais qui préfèrent, dans la plupart des cas, rester loin des feux de la rampe.
La Fondation Québec Philanthrope a eu le bonheur de recevoir un legs très important de cinq millions de dollars de la part d’un ingénieur d’ici, M. Paul Bégin. Même si son départ, en mai 2014, nous a bien attristés, ce don ultime fait à son fonds philanthropique nous a vraiment remplis de gratitude; gratitude pour la confiance que cet homme d’affaires aguerri nous a témoignée. De savoir que nous ferions fructifier son investissement et réaliserions ses désirs philanthropiques l’avait vraiment rassuré.
Créé il y a 15 ans, le fonds perpétuel Ethel-Mooney-et-Paul-Bégin se consacre à aider des organismes jeunesse de notre région. La beauté de la chose, c’est qu’à travers ce grand philanthrope, toujours très discret, cette mission se poursuivra pour toujours. En effet, c’est en son nom que la Fondation Québec Philanthrope remettra annuellement de l’aide financière provenant des rendements du fonds, ce qui permettra, ultimement, de continuer de réaliser des impacts majeurs, et surtout positifs, dans notre communauté. M. Paul Bégin restera vivant à tout jamais dans le cœur de ces organismes bénéficiaires et, bien sûr, dans le nôtre !

La philanthropie a plusieurs visages. Les dons annuels ou bien planifiés, comme un legs de bienfaisance, en sont un aspect. Le don de son temps, de son expertise ou de ses talents, en tant que bénévole sur le terrain ou membre d’un conseil d’administration, en est une autre facette. or, rares sont les occasions de mettre en valeur le soutien indéfectible de ces bénévoles, de reconnaître leur apport inestimable aux œuvres que soutient la Fondation. Leur engagement est la preuve des belles valeurs qu’ils partagent. Certains d’entre eux vous confieront l’immense satisfaction qu’ils ressentent à donner, alors que d’autres vous parleront du côté foncièrement humain et contagieux de la philanthropie. L’avez-vous déjà ressenti ? Sinon, voici un conseil d’amie : mettez à profit vos talents et vos richesses personnelles ou financières, et ce sera un beau cadeau que vous vous ferez à vous-même, mais surtout à votre collectivité.

Depuis plus de 20 ans, la Fondation Québec Philanthrope offre aux individus, aux familles et aux entreprises de créer pour toujours leur fonds philanthropique pour les causes qui leur tiennent à cœur. une solution simple et facilitante pour ceux qui aimeraient créer leur propre fondation, mais sans soucis administratifs et légaux. Près de 600 fonds ont déjà été créés dans notre grande région.
Site Web : quebecphilanthrope.org
Première rangée : nataly rae, directrice générale, le cardinal Gérald Cyprien Lacroix, l’honorable Pierre Duchesne, Diane Bélanger, v.-p., Linda Gagné, Clément roberge et hélène C. Scherrer
Deuxième rangée : Fernand Paradis, Pierre Millette, Sylvie Beaulieu, Marc-André Verville, André Fortin, brigadier-général Stéphane Lafaut, André Bouchard, trésorier.
Troisième rangée : Dre Marie Damestoy et Éric Brassard
Samedi 20 juin, dès 20 h
MNBAQ FACTORIE
Organisé par le Cercle 179, au profit de la Fondation du Musée national des beaux-arts du Québec (MNBAQ)
Pavillon beaux-arts

Gérard-Morisset - MnBAq
Au ProGrAMMe : D.j., bouchées festives et bar ouvert, art urbain et encan.
Prix : 100 $ par billet
inForMATion eT rÉSerVATion :
Anne-Laurence Roussel au 418 682-2228, poste 229, ou rsvp@fmnbaq.org

20 juin
29 juin
Lundi 29 juin, dès 11 h

11e TOURNOI DE GOLF DE LA FONDATION ACADÉMIE SAINT-LOUIS
Club de golf Le Grand Portneuf
Départ simultané à 12 h 30
ForMuLe : Continuous Mulligan
PrÉSiDenCe D’honneur : M. Pierre
Labbé, vice-président et chef de la direction financière du Port de Québec
CoûT : 150 $ par personne ou 50 $ (cocktail dînatoire seulement)
inForMATion eT rÉSerVATion :
Mme Annie-jade Bergeron au 418 845-5121 ou fondat@aslouis.qc.ca
AChAT en LiGne : cercle179.com 23 septembre
25 août
de l’événement.

Mardi 25 août, dès 10 h (brunch)
LASSIQUE DE GOLF L’ÉLAN DES CHAMPIONS
Au profit de la Fondation de l’Institut de réadaptation en déficience physique de Québec
Club de golf de Cap-rouge
Départ simultané à 11 h
T : 225 $ par personne ou 900 $ par quatuor orMATion eT rÉSerVATion : 418 529-9141, poste 4366 e WeB : fondationelan.com
Mercredi 23 septembre, dès 17 h 30
OIRÉE DES LEADERS MICHEL-SARRAzIN
Au profit de la Maison Michel-Sarrazin, qui célèbre avec fierté ses 30 ans Complexe Capitale hélicoptère
PrÉSiDenCe D’honneur : M. David Laflamme, président de Généralys assurance
AMBASSADeurS : M. Charles Auger, M. Dominique Brown, M. Vincent Lafortune, Dre julie Lessard, M. Pierre-Yves Lord, Mme Francine Lortie, M. Patrice Plante et M. Gabriel Savard.
Au ProGrAMMe : Cocktail du président (17 h 30), souper (18 h 30), animation et encan silencieux.
CoûT : 250 $ par personne ou 2 500 $ pour une table de 10.
inForMATion eT rÉSerVATion : 418 687-6084 ou michel-sarrazin.ca
17 octobre
Samedi 17 octobre, dès 18 h

26e BAL DE L’ÉMERAUDE
Organisé par l’Ordre militaire et hospitalier de Saint-Lazare de Jérusalem, au profit des militaires blessés, Région de Québec Wounded Warriors Canada
Fairmont le Château Frontenac (salle de bal)
PrÉSiDenCe D’honneur : M. Serge Poulin, opticien propriétaire de Poulin opticiens
CoûT : 300 $ par personne, 3 000 $ pour une table d’affaires ou 5 000 $ pour une table de prestige (entre 8 et 10 personnes)
nForMATion eT rÉSerVATion : M. Yves McGee au 581 983-3733 ou mcgy62@gmail.com
ForMuLAire ou inSCriPTion en LiGne : baldelemeraude.com

Vous entrez à l’instant dans la section


PLAISIR D'êtRe bIen chez SoI
PLAISIR De conDuIRe
PLAISIR De bIen boIRe
PLAISIR De S'évADeR
PLAISIR De Se SouvenIR

Vous connaissez l’expression qui affirme qu’on est ce que l’on mange ? je me demande si c’est aussi vrai pour l’alcool. Les amoureux du nectar des dieux sontils différents de ceux qui marcheraient des kilomètres à genoux pour une bonne bière bien froide ? Qui d’entre vous ne peut conclure un bon repas ou une soirée sans faire rouler deux glaçons (pas un ni trois) au fond d’un verre et les recouvrir de son digestif préféré ?
D’autre part, êtes-vous du genre à déguster votre verre à très petites gorgées ou alors, à le « caler » littéralement avant de vous en servir un autre et un autre… jusqu’à ce que la bouteille soit à sec ? Car il existe aussi des types de buveurs. une recherche effectuée en GrandeBretagne en 2008 aurait établi neuf catégories de buveurs dits « excessifs », soit ceux qui savent rarement où s’arrêter et dépassent très souvent les limites permises. Heureusement, ils sont plus nombreux à se classer dans les catégories « buveur occasionnel » ou « buveur régulier ». Pour ma part, je dirais que je me classe dans la catégorie des « buveurs saisonniers ».
je ne sais pas pour vous, mais moi, à l’approche de l’été, mon taux d’alcoolémie monte en flèche, alors que durant l’hiver, je me désintéresse presque totalement de l’alcool. Durant la belle saison, on dirait que toutes les raisons sont prétextes à me verser un verre. une fois que le bain à remous extérieur est remis en marche, il me faut des bulles lorsque je m’y prélasse. Lorsque je reviens du boulot, pendant que je prépare le souper, j’entends l’appel du gin tonic, avec beaucoup de glaçons et un extra lime, s’il vous plaît. Ma collègue de travail m’a initiée à cette boisson, aussi rafraîchissante que délicieuse, lors d’un party de bureau voilà quelques années. Depuis, tous les étés, je m’assure d’avoir un bon approvisionnement d’eau tonique. Si vous ouvrez mon frigo, vous y trouverez également de la sangria, du vin rosé et du vin blanc, légers de préférence, pas trop sucrés, ainsi que quelques bouteilles de rouge et du vin de glace pour les occasions spéciales (celles-ci sont aussi nombreuses que les jours de beau temps durant l’été… donc pas si nombreuses que ça, finalement !). je suis également une amatrice de Cosmopolitain et de mojitos, mais pour les déguster, il me faut une jolie terrasse ensoleillée avec de l’ambiance… ou un bord de mer, peu importe ! Bien sûr, de temps à autre, je ne dis pas non à une bière. j’adore la Red Stripe, une jamaïcaine, ainsi que la Corona… avec une lime, bien entendu ! Mais le houblon arrive loin sur ma liste des boissons festives de l’été.
Enfin, je vous avouerai que, côté digestif, j’adore la crème de menthe. La blanche, pas la verte. Lorsque j’en commande, on me regarde parfois avec l’air de trouver que je suis démodée. Certains endroits n’en tiennent tout simplement pas, c’est tout dire. il y a tant d’apéritifs et de digestifs incroyables de nos jours, créés sur mesure par des « mixologues » inventifs, mais que voulez-vous… on a tous nos petites habitudes et nos goûts particuliers. Mais si vous êtes un tant soit peu ouvert et aventurier, tout un monde de possibilités « alcoolisées » s'offre à vous... en autant que vous gardiez à l'esprit, tout comme moi, que la consommation d'alcool se conjuge toujours avec une conduite responsable.
Tchin-tchin, tout le monde !
Marie-josée Turcotte Rédactrice en chef

D'êTRE BiEn CHEz Soi
■ PAR MARiE-joSÉE TuRCoTTE

Construite en 2013, aux abords du club de golf Royal Québec à Boischatel, cette somptueuse résidence est semblable à une grande bouffée d’air pur vitaminée.

Troisième construction des propriétaires, un couple sans enfant très actif, cette maison se voulait une combinaison des meilleurs éléments extraits des deux premières résidences. Aucun compromis n’a donc été fait lors de l’idéation de celle-ci, du choix des matériaux, tous de qualité supérieure, et de l’aménagement des pièces, qui suit une ligne directrice cohérente. Au rez-de-chaussée, les propriétaires souhaitaient se déplacer au sein d’un vaste espace à aire ouverte, aussi convivial que pratique. Du vestibule, il est donc possible d’embrasser du regard la cuisine, la salle à manger et le salon, ces trois zones étant liées harmonieusement par le choix des couleurs, de l’ameublement design et des objets décoratifs, sobres et de bon goût. Pour ajouter un soupçon de caractère, on a choisi des suspensions dont les formes et la brillance ne manquent pas d’attirer l’œil.
Avez-vous remarqué ? Les toiles Extenso, qui habillent les nombreuses fenêtres, mettent en valeur les deux tableaux zébrés, situés de chaque côté du salon. ▲

Portez attention au foyer au gaz de forme rectangulaire ainsi qu’à son contour blanc, recouvert d’un enduit en acrylique (de Dryvit) qui apporte non seulement une texture riche et intéressante à cette surface, mais qui résiste à la saleté et préserve la couleur.
ZooM Sur : Le plafond tendu décoratif (plus communément appelé « Extenso ») d’un gris anthracite chaud. Son effet miroir donne l’impression que le plafond, déjà situé à une hauteur de 12 pieds, se trouve beaucoup plus haut.

La brillance est également au rendezvous dans cette cuisine lustrée à souhait grâce aux comptoirs de quartz et aux armoires en polyester blancs. Ces dernières sont rehaussées par des panneaux de verre givré, des électroménagers en acier inoxydable et un dosseret en pâte de verre. Ajoutez trois jolies suspensions scintillantes qui descendent vers l’îlot central et vous obtenez un espace aussi attrayant que fonctionnel.
ZooM Sur : Le bois de zebrano qui joue de contraste avec le polyester blanc, apportant un fini rustique chic au décor.
TTriBuTS SPÉCiAux : La cuisine comprend non seulement un gardemanger de type walk-in, mais également un plancher chauffant, tout comme celui du vestibule et de la salle de bains principale. Les propriétaires n’ont pas lésiné non plus sur le confort !



Gracieux, presque aérien, cet escalier avec marches ouvertes et limon central est le prolongement parfait du plancher de bois d’érable qui recouvre presque tout le rezde-chaussée. Remarquez le garde-corps en verre et ses poteaux en acier inoxydable : ils s’inscrivent dans une volonté de dégager la vue au maximum.
À l’étage se trouvent trois pièces, dont la chambre principale, qui se déploie tout en douceur sur son plancher de bois d’érable. impossible de ne pas remarquer le papier peint à l’effet capitonné qui accentue la beauté du lit en cuir blanc et son grand tapis carré duveteux.
ZooM Sur : La porte avec traverses horizontales, qui complète avec distinction

Cette petite salle d’eau n’a rien de banal ! Pour cause, son lavabo sculpté dans une roche naturelle est d’une originalité sans conteste.
Aussi spacieuse que raffinée, cette salle de bains principale se distingue sur plusieurs points : sa grande douche vitrée à deux stations ainsi que sa dalle en marbre, ses deux larges lavabos taillés dans la pierre naturelle et sa baignoire de forme angulaire.
ATTriBuT SPÉCiAL : Prendre une douche se transforme en expérience sous l’éclairage DEL, qui s’active en même temps que l’eau.

Plutôt accueillante, cette chambre d’invité aux couleurs tropicales et à l’esprit vacancier, n’est-ce pas ? il ne manque que le doux son des vagues venant caresser le bord… du lit.
SeCreT DÉVoiLÉ : Cette murale, comme celle que l’on trouve dans la salle de gym, a été commandée sur le site mamurale.com
Même pitou a droit à sa pièce personnelle avec murale, laquelle sert aussi d’espace bureau au besoin.


On descend au sous-sol pour quelques bonnes raisons : pour relaxer, sur le divan ou dans le bain à remous intérieur (porte vitrée à gauche), ou pour s’entraîner (porte vitrée à droite).
ZooM Sur : Le plafond tendu laqué de couleur violet, qui fait écho au tapis.


prend sa place au sein d’un quartier haut de gamme homogène encerclé par la nature. un site idéal pour quiconque apprécie un environnement calme et élégant, tout en restant à proximité de la ville.
Cette résidence hors du commun est nouvellement en vente. Renseignez-vous auprès d’un agent.
À moins qu’on ne descende au sous-sol pour regarder un film dans le cinéma maison ?
Six bancs électriques ultraconfortables avec éclairage DEL intégré attendent les amateurs… avec ou sans maïs soufflé !

De forme rectangulaire, la piscine au sel, creusée et chauffée, est encadrée d’une terrasse en bois synthétique. Le duo parfait pour profiter de nos (trop) courts étés en évitant de gaspiller du temps en entretien.
ZooM Sur : L’horizon, qui s’étale sous nos yeux, sans voisin arrière pour obstruer la vue. une plus-value indéniable !






■ PAR MARiE-joSÉE TuRCoTTE

Ces deux escaliers, signés par Ébénisterie de la Chaudière, répondent aux nouvelles tendances qui prônent la légèreté et la transparence. Effet WoW garanti !

Voici un bel exemple d’escalier cintré qui semble littéralement flotter dans l’espace, accoté contre un mur de béton qui suit également la courbe. Dans les faits, les marches, tout comme les poteaux, sont solidement fixées à l’aide d’ancrages invisibles. Résultat : aucune vis, aucune attache ne vient « polluer » l’esthétisme épuré de cette œuvre architecturale faite de bois d’érable et d’acier inoxydable. Malgré leur allure métallique, le limon et la main courante sont en bois peint.


Avec ses marches ouvertes et son palier intermédiaire en noyer ainsi que son limon légèrement décentré, en bois également, cet escalier s’intègre parfaitement au sein d’un décor de style contemporain. Qui plus est, portez attention à sa main courante et à son garde-corps composé de tiges, tous les deux en acier inoxydable : pour un supplément de caractère, on a opté pour des formes carrées plutôt qu’arrondies.

BiEn CHEz Soi
■ PAR MARiE-joSÉE TuRCoTTE
Parfaitement intégré dans cette cuisine très chic en noyer, ce cellier, pouvant accueillir jusqu’à 200 bouteilles, se déploie jusqu’au plafond sur quatre surfaces vitrées. Afin de préserver le vin du soleil, le verre trempé est teinté, alors que le cellier comprend un système de climatisation permettant de conserver les bouteilles à la bonne température.
• Réalisé par Cuisines Bernier
une demeure sans cave à vin ou sans cellier n’est jamais tout à fait complète. Voici quelques spécimens qui vous mettront… le vin à la bouche !


Cette cave à vin en placage de merisier est l’antre des plaisirs épicuriens. Remarquez le plafond et le plancher en ardoise procurant à la pièce une chaleur invitant au partage. un coin dégustation a d’ailleurs été prévu à cet effet. Combien de bouteilles peut accueillir cette cave à vin, selon vous ? Plus de 1 000 !
• Réalisé par Cuisines Bernier

Fabriqué en France, ce cellier Ermitage fait partie de la gamme de prestige de la compagnie Transtherm, synonyme de fiabilité et de qualité. il propose le meilleur des innovations technologiques et les conditions optimales pour la conservation et le vieillissement des vins. Pour doubler l’espace de rangement, pourquoi ne pas vous procurer deux celliers, comme dans ce cas-ci ? En les positionnant côte à côte, avec les portes inversées, vous créerez ainsi l’illusion qu’il s’agit d’un seul et même grand cellier. De cette façon, vous passez d’une capacité de 184 à 368 bouteilles.
• En vente chez Vinum | vinumdesign.com


Fortement demandé, cet espace cellier avec meuble-bar et tablettes décoratives crée une ambiance propice aux festivités, laquelle est rehaussée par l’ajout de l’éclairage DEL. D’une capacité de 80 bouteilles, le cellier en tant que tel, conçu avec l’aide du propriétaire, propose un heureux alliage de noyer massif, d’acier inoxydable et de verre trempé. Pour accentuer l’effet de profondeur, on a installé un miroir au fond de la structure. Avez-vous remarqué la pompe pour bière en fût ? une belle idée pour satisfaire toutes les soifs !
• Réalisé par Cuisines Bernier

Voici un bel exemple des différents modèles de systèmes de rangement pour bouteilles qui s’offrent à vous pour une cave à vin spectaculaire : modulaire ou sur mesure, en bois ou en métal… ne reste qu’à refroidir l’espace de manière appropriée ! il existe d’ailleurs une gamme exhaustive de climatiseurs de caves à vin, adaptés selon les espaces.
• En vente chez Vinum | vinumdesign.com


■ Chronique de PHiLiPPE LAPEYRiE, sommelier, enseignant en sommellerie et chroniqueur en vin
« Est-ce que je serais mieux d’acheter un aérateur à vin ou une carafe ? » Cette question m’est fréquemment posée et je vais utiliser les prochaines lignes de cette chronique « vino » mensuelle pour candidement y répondre.
Donc, est-ce que la carafe est de meilleur usage qu’un aérateur ?
Le rôle premier de l’utilisation de ces deux instruments est de donner de l’air au vin; le faire respirer, l’aérer ou l’oxygéner, pour l’« ouvrir ». En lui offrant de l’oxygène, vous briserez les molécules, rendrez les alcools volatiles, libérerez les arômes et donnerez surtout un bon coup de main au produit pour qu’il s’exprime mieux par la suite. il sera plus ouvert sur le plan olfactif et plus agréable en dégustation.
L’avantage de l’aérateur par rapport à la carafe est certes son côté pratique. il facilite le service, permet d’aérer les vins (qui en ont besoin) un verre à la fois, pour ainsi conserver le reste de la bouteille. il peut aussi remplacer l’utilisation d’une carafe lors d’un manque de temps avant le service ou lorsqu’une deuxième bouteille s’amène durant le repas. il est pratique en voyage, en plein air ou au restaurant ! L’aérateur n’est surtout pas un produit miracle qui améliore le goût du vin. Et surtout, en aucun cas, l’aérateur ne fait « vieillir le vin » ! D’où l’importance d’une petite visite en boutique spécialisée si l’achat d’un aérateur vous intéresse.
je ne crois pas, car autant l’un que l’autre oxygène bien le vin. Si je remue mon verre de façon circulaire (ce que l’on appelle « briser le disque »), j’aère également le vin, mais de façon moindre qu’en passant le vin en carafe ou dans l’aérateur.
Est-ce que le fait d’aérer un vin réduit
le soufre ?
Distribution Vinearius a mandaté Les Laboratoires Maska de Saint-Hyacinthe pour effectuer des tests d’analyses chimiques avec le fameux aérateur Décantus. Les résultats ont été très convaincants, car la moyenne de réduction de sulfites libres sur les neuf vins testés était de 56 %.
j’affectionne cependant beaucoup la carafe, car on garde un bon contrôle sur le temps d’aération et surtout, sur la température du vin. on peut la mettre par terre sur la céramique, au frigo, sur la galerie, et ainsi mieux contrôler les températures de service. il existe même des carafes avec des insertions telles qu’un bâtonnet que l’on range au congélateur et qui s’installe à l’intérieur de la carafe pour rafraîchir le vin !

Aérateur Decantus
Alors, n’ayez pas peur de « dégourdir » vos blancs et vos rouges, surtout ceux qui sont jeunes, fougueux et pimpants, pour bien leur rendre honneur. Méfiezvous par contre des vins un peu plus évolués (les vins plus âgés), car ils sont plus fragiles et si vous les brusquez en les mettant en carafe, ils pourront devenir assez timides et bien peu bavards au nez...
Pour l’achat d’un aérateur, je vous recommande Vinturi, Décantus ou le bec verseur nuance. En ce qui concerne la carafe, on croit souvent à tort que c’est très dispendieux, mais en fouillant, vous trouverez une carafe efficace pour une vingtaine de dollars.
■ CHRoniQuE DE LuC PâQuET, expert en technologie

jeunes et moins jeunes, nous aimons tous explorer la nature. Et si la technologie facilitait cette exploration ?
C’est l’idée qui se trouve derrière les lunettes d’approche (jumelles) exmor r de Sony. En plus de proposer une fonction d’enregistrement Full HD et 3D sur carte mémoire, elles peuvent stabiliser l’image. Grâce à la mise au point automatique, vous pourrez suivre les déplacements d’un animal au loin. Enfin, le branchement HDMi vous servira à visionner vos enregistrements sur votre téléviseur. Sans parler que ces images sont d’une grande qualité, soutenue par un mini-ordinateur caché à l’intérieur des

L’été, au Québec, c’est fait pour sortir dehors et pour explorer. Voici quelques accessoires technos qui vous aideront à profiter à fond de la belle saison, tout en restant branché.
Grâce à cette enceinte acoustique Bluetooth eCoxBT d’eCoxGear, vous pourrez écouter votre musique préférée n’importe où… même à ces endroits où, en général, les appareils électroniques n’apprécient pas le contact de l’eau : piscine, plage, bateau… non seulement cette enceinte est étanche à l’eau, mais elle flotte ! En plus de servir de haut-parleur, elle permet d’utiliser votre téléphone en mains libres.


Quelle bonne idée que cette source d’énergie portative pour les amants du plein air !
L’utilité première du BioLite CampStove est de faire cuire de la nourriture et bouillir de l’eau à l’aide d’un combustible, le bois. Mais l’appareil produit aussi suffisamment d’électricité pour, par exemple, recharger une lampe frontale, un téléphone intelligent ou un GPS. il devient donc un ajout intéressant, tant pour son côté pratique que sécuritaire, à glisser dans votre sac à dos lors de vos prochaines excursions.
Lors des grands déplacements en voiture, il n’est pas rare d’avoir besoin de brancher plusieurs périphériques (tablette, téléphone, console de jeu portative, liseuse) afin de pouvoir les utiliser de façon prolongée durant le trajet. Dieu merci, tous ces produits utilisent la technologie uSB comme moyen de recharge. L’adaptateur Bolse vous sera fort utile à cette fin. Branché directement dans l'allume-cigarette, il offre deux sorties uSB femelles ainsi qu’un câble muni d’un connecteur Apple Ligthning (iPhone 5 et plus), lequel se transforme aisément en connecteur.



Land Rover vient probablement de frapper un grand coup de circuit avec son nouveau modèle Discovery Sport, le remplaçant officiel du LR2.
Pas que ce modèle soit le plus compétent dans la catégorie, mais au prix qu’il est offert, tout en étant plus pratique que l’Evoque, il fournira aux amateurs de la marque ce qu’ils attendent : un véhicule juste assez luxueux, juste assez abordable et, avouons-le, avec un charisme bien à lui. « Ça va se vendre comme des hot dogs », comme le disait un monsieur bien connu dans le monde de l’automobile.
Pour l’instant, on ne croise pas des Land Rover à tous les coins de rue. on rencontre parfois un LR4 par ici, un Range Rover par là et, le plus souvent, un Evoque, mais les produits de la marque demeurent assez exclusifs, même si les ventes ont explosé depuis le rachat de la compagnie par Tata Motors. Ça, c’était avant l’arrivée du Discovery Sport… Ce petit chenapan vient troubler le jeu en proposant plus d’espace, une troisième banquette (petite et optionnelle, certes, mais tout de même là) et une capacité à affronter les routes les plus terribles. Bref, il se veut un véhicule parfait pour notre climat… et nos routes défoncées ! Ce sera encore plus vrai lorsqu’il sera offert avec un moteur diesel d’ici la fin de l’année.
Même si le Discovery n’est pas parfait, il saura répondre à la majorité des besoins des consommateurs. Parmi ses défauts : une transmission, à neuf rapports, soit ! mais qui aime trop jouer. Qu’on demande une trop forte accélération ou le contraire, elle ne sait pas toujours sur quel pied danser. Sa mécanique aussi, un quatre cylindres de deux litres turbo de 240 chevaux et 250 livres-pieds de couple, émet des sons qui manquent un peu de noblesse sous forte accélération, comme pour l’Evoque. Comparativement à la BMW X3 et à l’Audi Q5, qui demeurent des références dans la catégorie, il manque de souplesse et de puissance. À quel point ? Pas tant que ça. Pas assez, en tout cas, pour que ça devienne un talon d’Achille. De bonnes reprises et une accélération de 0-100 km/h en environ 8,5 secondes ne sont tout de même pas un problème. Dommage que le turbo prenne tant de temps à se mettre en marche. il se peut, de toute manière, que ce moteur soit bientôt chose du passé, car le Discovery (et probablement l’Evoque) puisera dans la technologie jaguar et son nouveau quatre cylindres conçu pour la future XE.
Là où le Land Rover se démarque le plus de la concurrence, c’est sur la route. En dehors de la route, pour être plus précis. Sa garde au sol, son débattement de suspension, son génial système

Response (qui permet de sélectionner la bonne motricité entre sable, boue, neige, gazon et ornières) et sa capacité de remorquage jusqu’à 2 000 kilos le placent même dans une catégorie à part. il pourrait traverser de petites rivières, grimper de grandes montagnes et fouler des bancs de neige sans grande difficulté. Pour les amateurs du genre qui, par exemple, aiment se rendre à leur chalet situé dans le « fin fond » du bois en tout confort, il n’y a pas mieux que le Discovery Sport.
À l’intérieur du véhicule, on plonge dans l’expérience Land Rover. Matériaux nobles pratiquement partout (à l’exception d’une console centrale en plastique vraiment décevante), technologie de pointe, sièges de bonne qualité, espace à revendre, banquette arrière confortable et coulissante… Bref, pratiquement tout est fidèle à l’image de Land Rover. Peut-être même un peu trop, à vrai dire. je n’aime toujours pas le système de contrôles

des interactions. Même s’il s’agit de la dernière version, son interface, quoique plus belle, est toujours très moyenne et pas si facile à manipuler. Ce n’est pas désastreux, mais loin d’être parfait. n’eût été le plastique et ce système, la note aurait été très élevée.
En résumé, le Discovery Sport, du moins en version HSE (mon essai routier), a peu de « bébittes ». De plus, il a une belle gueule et son charme anglais lui confère une aura que ses concurrents ne peuvent qu’envier. Est-il meilleur que la BMW X3 ou l’Audi Q5, les deux références de la catégorie ? non, mais ni l’une ni l’autre ne parviendrait à offrir autant de capacité hors route et d’espace pour sept passagers à un si bas prix. Qui plus est, si vous êtes à la recherche d’une voiture pas trop gourmande et offrant beaucoup de rangement dans le coffre, ne cherchez plus, la voilà ! En étant un peu patient, vous pourrez même l’avoir en version diesel. on ne connaît pas encore la fiabilité du produit à long terme, mais les Land Rover ont fait de tels bonds de géant depuis le rachat par Tata qu’on peut prévoir que le Discovery suivra la même tendance.
Modèle : Land Rover Discovery Sport HSE Luxury Prix de base : 41 490 $ Prix de base du modèle essayé : (HSE Luxury) : 49 990 $
Moteur et transmission : Moteur 4 cylindres de 2 litres turbo, transmission automatique à 9 rapports de 240 chevaux et 250 livres-pieds de couple.


■ Collaboration spéciale de jACQuES PLAnTE
Amateurs de Star Wars, si vous voulez fouler le sol de la planète Tatooine et marcher sur les pas de Luke Skywalker, faites vite ! En Tunisie, les dunes gagnent du terrain sur les décors et les lieux de tournage.


Le réalisateur George Lucas y a tourné ses deux trilogies dans les années 1970 et 2000. Les décors survivent, mais à mesure que le temps passe et que les vents soufflent, le désert s’agrandit. Des scientifiques américains ont déterminé que les dunes en forme de « barkhane », c’est-à-dire de croissant, s’agrandissent de 15 mètres par année. Des bâtiments sont menacés. En bordure de certaines routes, on plante des arbustes afin de ralentir la progression du désert.
Ainsi, pour éviter qu’un lieu de tournage ne soit transformé en ruines, comme celui de Mos Eisley en 2003, on pense déplacer le village de Mos espa ailleurs. une grande partie du « Mos Espa » de La Guerre des étoiles, épisode un, est très exposé aux vents et facile d’accès. Le décor construit pour le
tournage du film est situé à quelques kilomètres de Tozeur, au sud du pays.
Dans ses premiers tournages, Lucas a reproduit le concept de maison de style troglodytique où vivent des Tunisiens. il a aussi modifié le nom de la ville de Tataouine pour en faire « Tatooine ». Les touristes peuvent visiter les lieux de tournage près des villes de Tataouine, Tozeur et dans l’île de Djerba. À Matmata, on peut entrer dans des habitations troglodytiques, même si des familles y vivent. on accède à ces habitats souterrains par un trou creusé dans le roc, à flanc de montagne. une fois dans ce tunnel, il faut se rendre jusqu’au bout pour entrer dans la pièce principale et, enfin, prendre la position debout. À défaut de quoi, on doit revenir à reculons.
Et pourquoi ne pas faire un petit détour pour épier le site du tournage des Aventuriers de l’arche perdue, de Steven Spielberg, film aussi produit par Lucasfilm, toujours dans la région de Tozeur ? À moins que vous ne souhaitiez vous détendre au pied de la chute de l’oasis de Chebika, là où l’infirmière canadienne, Hana, soigne Le Patient anglais, dans le film du même nom.
En plus de 30 ans, George Lucas a donné à la République de Tunisie une dizaine de sites et lieux de tournage, équipements et décors inclus. Tous les ans, des milliers de visiteurs se rendent dans cette partie du Sahara il y a quelques années, des fans belges ont collecté plus de 10 000 dollars sur internet afin de restaurer l’igloo, la petite maison de
l’oncle de Luke Skywalker. on comprend qu’en période de transition, en Tunisie, ce dossier ne soit pas prioritaire. Aussi l’État a-t-il demandé l’aide financière de tous ceux qui souhaitent participer à la sauvegarde de ces lieux et, du même coup, soutenir l’industrie touristique de Tunisie. C’est le gouvernement qui a obtenu que Lucas ne démonte pas ces sites qui rapportent énormément d’argent, en plus de créer beaucoup d’emplois. L’idéal, c’est de visiter ces sites en 4 x 4, de préférence avec un guide pour éviter de se perdre.
L’un des avantages de se glisser dans les décors de La Guerre des étoiles, c’est de découvrir une autre culture, largement francophone, et de bénéficier d’un climat exceptionnel, surtout durant l’hiver. Vous
y verrez peut-être des adultes redevenir des enfants, voire de grands bébés qui jouent à la guerre ou dans le sable, déguisés en personnages de film !
Et ce n’est peut-être pas terminé… Les studios Disney ont acheté Lucasfilm pour la bagatelle somme de quatre milliards de dollars américains et vont lancer le septième épisode de Star Wars, The Force Awakens (Le Réveil de la Force), réalisé par j. j. Abrams, en décembre 2015. Deux autres seraient en gestation. C’est un enjeu colossal. L’épisode sept a été tourné notamment en Angleterre, dans l’île sauvage de Skellig Michael, classée au patrimoine mondial de l’unESCo, et dans le désert d’Abu Dhabi, dans les Émirats arabes unis.

Accès à une maison troglodytique dans le roc

Entrée principale d’une maison sous la terre

Pièce principale d’une maison troglodytique

Principal moyen de transport dans le désert

photographe David Cannon
directeur artistique Vincent Bussières styliste Caroline Jarry maquilleuse Joany L. Boivin
codirecteur artistique / coiffeur Marcus Villeneuve
modèle Joly-Ann Laporte (agence Focus 1)




■ Par MARiE-joSÉE TuRCoTTE
Photos : MATHiEu GREniER

Ce défilé de lingerie et de maillots a fait fureur et a été présenté à guichets fermés.
Des designers de talent, de très beaux défilés, un concours de mannequins et de photographies de mode, ainsi que des activités originales, dont l’exposition Images de Mode du photographe David Cannon : tous les ingrédients étaient réunis afin que cet événement glamour, qui en était à sa quatrième année, soit un succès incontesté !


L’originalité était au rendez-vous lors de la Grande virée shopping, avec ce concept inspiré de l’Europe, qui a accueilli 53 adeptes du vélo venus nous prouver qu'il est possible d’être à la mode, même lorsqu’on se déplace à vélo.
La designer de Québec a ouvert les festivités en présentant un défilé spécial 20e anniversaire qui n’est pas passé inaperçu.
Collection printemps-été 2015 « Welcome to paradise ».




• Présenté pour la première fois à l’Espace 400e, du 29 avril au 2 mai derniers;
• Environ 20 000 participants accueillis à travers toutes les activités proposées, allant du casting de mannequins à la Grande virée shopping, en passant par les grands défilés;
• Présentation d’un nombre record de 60 griffes et collections de boutiques;
• Plus de la moitié des défilés présentés à guichets fermés.
Galerie de photos en ligne sur magazineprestige.com (section nouvelles) Site Web : festivalquebecmode.com

Durant toute la durée du FQM, les visiteurs ont eu la chance d’admirer la magnifique exposition de David Cannon. Le photographe (à gauche) est ici photographié en compagnie de son producteur, Bertrand Weissgerber.


CHRoniQuE DE jACQuES noëL
Fille de Clarence edwards et de Sharon Morrison (1945-1987), eilleen regina edwards (Shania Twain) a vu le jour dans une salle d'accouchement enfumée (le « doc » a offert une cigarette à Sharon après l'accouchement !) le 28 août 1965, à Windsor. Ses parents avaient quitté le nord de l'ontario pour une vie meilleure dans la ville canadienne de l'automobile.
La mère de Clarence, Marie-régina Benson (1910-1997), qui a donné son prénom à la chanteuse, est d'origine canadienne-française. Elle est la fille de joseph Benson (Anthony Benson et Angélique Mondoux) et d'emma Bray (olivier Bray et Adèle Denis). Les Bray venaient de Saint-Polycarpe, et les Mondoux, de Coteau-du-Lac au Québec.
Eilleen a failli avoir un père francoontarien comme sa sœur aînée.
Ceci est le cinquième volet d’une série de reportages consacrés à la diaspora québécoise, soit la découverte des origines québécoises souvent méconnues de plusieurs personnalités connues mondialement. À travers le parcours de leur famille, c'est l'empreinte de notre peuple en Amérique qu'on peut tracer.
À 17 ans, Sharon était tombée enceinte de Gilbert, un francophone de Sturgeon Falls. un accident d'auto l'a fauché quelques semaines avant le mariage. jill, nommée en mémoire de son père, naîtra au printemps 1963. À l'automne de 1964, Sharon rencontre Clarence dans un bar de Sudbury. Clarence l'amène à Windsor où il bosse pour Chrysler. Mais le mariage ne tient pas longtemps. Sharon le quitte en catastrophe avec jill, Eilleen et Carrie Ann (née en 1967) sous les bras; elle se réfugie chez sa mère, eileen PearceMorisson (1911-1972) à Timmins.
Mère de trois jeunes enfants, à 22 ans seulement, Sharon se remarie avec jerry Twain, un ojibwé de 20 ans. Eilleen Regina Edwards devient Eilleen Twain. Les temps sont durs pour la jeune famille recomposée. on manque de nourriture et de vêtements chauds pendant les hivers glaciaux, dans un logement trop petit ou une maison sans chauffage. Les Twain galèrent de ville en ville. À Sudbury, une ville minière à moitié francophone comme Timmins, les voisins canadiensfrançais suscitent l'envie de la jeune
Eilleen, qui souffre énormément dans sa famille violente et dysfonctionnelle. « je trouvais que leur mère prenait bien soin de sa famille. j'étais en mesure de dire qu'elle était une bonne cuisinière uniquement aux délicieux arômes des plats qu'elle préparait et qui voyageaient de leur petite maison jusqu'à notre appartement. » Pour subvenir aux besoins de la famille qui compte maintenant cinq enfants, Eilleen commence à chanter à huit ans dans les bars enfumés, de minuit à deux heures du matin (pas encore de DPj dans le nord de l'ontario...). « Ma mère vivait pour ma carrière. Quand je chantais, elle devenait émotive et, souvent, les larmes lui montaient aux yeux. Elle savait que j'avais du talent et elle vivait avec l'espoir que mes capacités seraient pour moi une chance de m'en sortir mieux. »
À 17 ans, de retour à Timmins, elle fonde le groupe Longshot avec quatre musiciens : Rick Dion, Guy Martin, Mike Mitchell et Mike Chabot. Elle joue toutes les fins de semaine au club de j.P. Aubé. Sa carrière émerge autour
Gagnante de cinq Grammy Awards, neuf Billboard Awards et 12 prix juno, la reine de la country music canadienne ne l'a vraiment pas eu facile.

de Franco-ontariens. Mais le malheur frappe brutalement : le 1er novembre 1987, le Québec perd René Lévesque, et Eilleen Twain, ses deux parents dans un accident d'auto. La tragédie lui inspirera la chanson God Bless the Child
À 22 ans, Eilleen doit interrompre sa carrière pour élever sa fratrie. Son chum, Paul Bolduc, un menuisier de Timmins, l'aide un peu à aménager la maison. « Quand ils [ses frères et sœurs] sont partis, je me suis sentie comme une femme de 45 ans dont les enfants sont partis à l'université. j'avais ma vie entière à vivre maintenant. je n'avais plus à cuisiner et faire le ménage pour tout le monde. je n'avais plus de factures à payer à part les miennes. j'ai décidé que je voulais me lancer. »
Et pour la gloire, elle se lance. Elle part seule pour nashville en 1992, où on lui a offert la possibilité de faire un premier album. Eilleen Twain devient Shania Twain : « je suis ma route » en ojibwé. En 1997, Come on Over, son troisième album, est vendu à 40 millions d'exemplaires, un record mondial pour une chanteuse, record qui tient toujours et qui ne sera sans doute jamais battu en cette ère numérique. En 1999, l'Academy of Country lui décerne le titre de l'artiste de l'année, une première pour une nonAméricaine.
Marquée profondément par son enfance difficile qu'elle n'a jamais oubliée, la « p'tite fille » de Timmins, qui vit maintenant sur les rives dorées du lac Léman avec son nouveau mari (Frédéric Thiebaud, un Suisse roman), a mis sur pied une fondation (Shania Kids Can) qui vient en aide aux élèves qui ont des problèmes à la maison. « je me suis juré très tôt dans la vie qu'un jour, j'aiderais les enfants comme moi à faire face aux difficultés et à s'en sortir en dépit de tous ces inconvénients. »
originaire de Poitiers, rené Dubois dit Brisebois (1639-1699) débarque à Beauport en 1658 : le seigneur Giffard lui a concédé une terre dans le Bourg-deFargy. Permutation des deux syllabes de Giffard, le petit bourg, qui donne sur le fleuve, s'étend entre la rivière Beauport et la rue Pie-Xii. C'est le cœur du VieuxBeauport actuel. Giffard avait fait construire un imposant manoir ainsi que deux moulins le long de la rivière.
En 1665, René épouse Anne-julienne Dumont (1646-1704), une Fille du roi qui lui donnera 10 enfants. La famille déménage à Cap-de-la-Madeleine en 1681; René mourra à Batiscan en 1699. Son fils jean-François (1668-) s'établit à Pointe-Claire. il fera deux voyages dans l'ouest en 1701 et 1702, croisant certainement de nombreux ojibwés (les Français les appelaient les Saulteux) qui occupaient, et occupent toujours, toute la région autour du lac Supérieur.
La virée en canots d'écorce, de Montréal à la Rivière-Rouge (Saint-Boniface), aller-retour, le même été, relevait de l'ultratriathlon quotidien ! Quarante coups de rames à la minute, huit à dix heures par jour, sous la pluie, le vent, le froid, le soleil brûlant. Des nuits à dormir à la belle étoile, à se faire dévorer par les moustiques. Des portages à n'en plus finir avec 30 kilos sur le dos. Fallait être fait vraiment fort ! Mais la paie était bonne : trois fois celle d'un chirurgien, 10 fois celle d'un soldat.
Les Brisebois prospéreront dans l'ouest de l'île de Montréal pendant un siècle et demi jusqu'au départ de Moïse (1852-1929) pour l'ontario. Sa fille Élizabeth est l'arrière-grand-mère de la reine de la musique country canadienne.
■ Shania Twain sera en concert au Centre Bell le 28 juin 2015 et au Centre Vidéotron le 9 octobre 2015.
EDWARDS, Clarence MoRRiSon, Sharon (1945-1987) m. 1964
MORRISON, George Bertram (1906-) PEARCE, Eileen (1911-1972) m. ?
MORRISON, James Bertram (1874-) BRiSEBoiS, Elizabeth m. 28 mars 1900, nipissing, ontario
BRISEBOIS, Moïse (1852-1929) FiRMin, Ester-Anne (1856-1926) m. 16 juillet 1882, Peterborough, ontario
BRISEBOIS, Eusèbe (1828-) CHARBonnEAu, zoé (1826-1861) m. le 11 novembre 1851, Saint-Timothée, Beauharnois
BRISEBOIS, François-Xavier (1800?) RoBiLLARD, Euphrosine (1803-) m. le 5 octobre 1824, Sainte-Anne-deBellevue
BRISEBOIS, Augustin (1765-) ST-AMAnD, Agnès (1772-) m. 10 novembre 1788, Sainte-Geneviève, Pierrefonds
BRISEBOIS, Jean-Baptiste (1727-) BEAuLME, Agathe (1736-1777) m. 19 février 1753, Pointe-Claire
BRISEBOIS-DUBOIS, René (1699-1786) LAnTHiER, Angélique (1704-1764) m. 28 mai 1725, Pointe-Claire
DUBOIS dit BRISEBOIS, François (1668-1710?) VinET, Cunegonde (1674-1760) m. 31 août 1693, Montréal
DUBOIS dit BRISEBOIS, René (1639-1699) DuMonT, Anne-julienne (1646-1704) m. 25 novembre 1665, Québec

L’arbre
de la rue Saint-Louis aurait-il enfin révélé son secret ?

La maison Péan et le boulet, photographie réalisée au tournant des années 1900 pour le Guide Carrel.


Dans le Vieux-Québec, il y a longtemps qu’un grand arbre de la rue Saint-Louis attire l’attention des passants et suscite bien des interrogations. Et il y a de quoi : cet arbre enserre de façon possessive un imposant boulet entre ses costaudes racines.
En descendant la rue Saint-Louis, les caléchiers modèrent le trot de leur cheval pour le montrer à leurs voyageurs. Mais comment donc un boulet a-t-il pu se retrouver ainsi prisonnier d’un arbre ? Que s’est-il donc passé ? Comme nous le verrons, nous avons enfin des éléments pour résoudre l’énigme.
notre grand arbre est un orme d’Amérique. il y en avait un bon nombre sur la colline de Québec quand Champlain fonda la ville, en 1608. Et, depuis lors, des ormes devinrent célèbres. il y eut l’orme des Récollets, sur les terrains actuels de la cathédrale anglicane, qui vécut fort vieux avant d’être terrassé par une tempête de vent dans les années 1850. on raconte que Champlain a fumé le calumet de la paix avec les Amérindiens à l’ombre de cet arbre. il y eut l’orme de la cour des petits du Séminaire. Planté en 1860 pour souligner la visite du prince de Galles, il vit de nombreuses générations d’élèves courir et s’amuser autour de lui. Malade, il dut être abattu en 1941.
notre arbre au boulet, devenu célèbre à son tour, n’a point eu la vie facile. Ses branches n’ont pas pu se déployer sur tout son pourtour, car il est trop proche d’une imposante maison de pierre, connue sous le nom de « maison de madame Péan ». En effet, celle qui fut la maîtresse de l’intendant Bigot y résida durant les dernières années de la nouvelleFrance. Restaurée après un incendie en 1791, la maison appartient aux autorités militaires depuis 1811. Les racines de l’orme sont sous le béton du trottoir et de l’asphalte de la rue Saint-Louis et de la rue du Corps-de-Garde, qui ont
été creusés pour l’installation de tuyaux d’aqueduc et d’égout. Bien des espèces d’arbres n’auraient pas survécu à de tels traitements. Louis Parrot, qui fut longtemps professeur de foresterie à l’université Laval, trouve admirable que notre orme survive, mais n’est pas tout à fait étonné. il rappelle que les ormes sont des arbres très résistants, qui peuvent s’adapter aux dures conditions urbaines. L’isolement de notre orme lui a peut-être permis d’échapper à la graphiose (« maladie hollandaise ») qui a tué les beaux grands ormes du boulevard René-Lévesque.
il importe de préciser que ce que l’orme maintient captif n’est pas un boulet. En effet, les boulets de plomb sont plus petits que cela. il s’agit plutôt d’une bombe. C’est un projectile métallique creux que l’on chargeait d’une matière incendiaire, qui pouvait être un chiffon de tissu, et que l’on allumait à l’aide d’une mèche. Lors de la guerre de la Conquête, en 1759, les artilleurs britanniques en tirèrent une bonne quantité sur la ville. Par coutume et par commodité, même si nous savons que notre boulet est une bombe, nous continuerons à l’appeler boulet.
Bien des théories ont été avancées afin d’élucider le mystère du boulet dans l’arbre. Des gens ont prétendu que le boulet était tombé à cet endroit lors des bombardements de 1759. Le boulet se trouvant entre les racines, l’arbre le fit prisonnier en grandissant. D’autres ont affirmé que le boulet fut placé entre les racines par des militaires habitant la maison Péan, ou d’autres encore, par
CHRoniQuE DE jEAn-MARiE LEBEL, historien

des chauffeurs de taxi de la station de la place d’Armes. Tous ont convenu d’un point : l’arbre est apparu avant le boulet. Et pourtant, l’examen d’une photographie, que Frank Carrel publia dans son guide touristique au début des années 1900, nous permet de nous rendre compte que, près de la maison Péan, c’est le boulet qui s’y trouva avant l’arbre.
Le boulet est donc apparu avant l’arbre. Comment expliquer qu’un boulet s’est retrouvé à cet endroit et s’y trouve toujours ? L’historien jean-François Caron, de Parcs Canada, avance une intéressante hypothèse. Selon lui, ce boulet a été soudé à une tige de fer plantée au sol, afin que personne ne puisse le déplacer. Selon cet historien, ce boulet fut appelé à jouer la fonction de chasse-roue. C’était une coutume, au temps des voitures attelées, de placer des bornes pour protéger les roues des voitures qui tournaient les murs d’angles des maisons. Ces bornes pouvaient prendre diverses formes.
on ignore en quelle année le boulet qui nous intéresse devint chasse-roue, mais on sait qu’il y était au tournant des années 1900. Puis, un jour, dans les années 1910 ou 1920, une minuscule samare d’orme virevoltante se déposa à un pied ou deux du boulet. Peutêtre provenait-elle d’un orme du parc du Cavalier-du-Moulin, situé au bout de la rue du Corps-de-Garde. L’ormeau émergea et grandit à travers les mauvaises herbes. Devenu orme, il s’empara du boulet qui n’avait pas bougé depuis son installation. Et l’orme, bientôt centenaire, ne semble pas prêt à desserrer son emprise sur le boulet, son trésor. Si jean de La Fontaine eût connu cette histoire, elle lui aurait certes inspiré une fable.
Photo : Marc Pelletier
■ PAR MARiE-joSÉE TuRCoTTE
Vin, escarpins... et générosité
organisé par le Groupe Filles open, le 4e cocktail-bénéfice et escarpins a ravi ses 240 convives, le 22 avril dernier, en plus de recueillir 56 000 $ pour deux causes d’importance : celle de la YWCA Québec et celle des soins palliatifs pédiatriques du Centre mère-enfant du CHu de Québec. Les deux organisations se partageront les profits du cocktail, de même que ceux du tournoi de golf Filles open qui aura lieu en août prochain.


Louise Saint-onge, propriétaire d’un jean Coutu; Katia de Pokomandy-Morin, YWCA Québec; Louise Petit, pharmacie Matte et Petit, coprésidente d’honneur; Suzy Baronet, BBM Services Conseils, coprésidente d’honneur; Dominique Dufour, Clinique Chiro-Solutions, coprésidente d’honneur; josée Cheikha, Groupe Cheïkha, instigatrice et présidente du comité organisateur; et les Dres hélène roy et julie Laflamme, pédiatres aux soins palliatifs pédiatriques, Centre mère-enfant du CHu de Québec.

Picard, présidente, AFEQ, Annik De Celles, jacqueline Giguère, Danielle Déry, Annie Laliberté, Fleur Paradis, conseillère municipale, Ville de Lévis, et Sylvie Larouche, Desjardins Entreprises et présidente d’honneur.
Sylvain Gingras-Demers
d’affaires 2015 à l’occasion d’un cocktail qui s’est déroulé au Centre des congrès de Québec. Félicitations à Annick De Celles, fondatrice et propriétaire de Créations Les Gumes (volet innovation); jacqueline Giguère, copropriétaire d’iGA Extra, Marché Giguère Lévis (volet Accomplissement RiveSud); Danielle Déry, cofondatrice et présidente de Perlimpinpin (volet international); et Annie Laliberté, directrice générale et copropriétaire de Beauport Hyundai (volet Accomplissement Rive-nord).
C’est le 6 mai dernier qu’a eu lieu l’ouverture officielle de la toute première brasserie asiatique Sésame à Québec, sur le boulevard des Galeries. il s’agit de la sixième succursale du Groupe Sésame, une chaîne québécoise. Le menu, comme on peut s’y attendre, sera garni des grands classiques asiatiques. Les cocktails Signature, les bières asiatiques, les sakés et les vins d’importation privée se dégusteront dans l’ambiance feutrée de l’établissement ou sur la terrasse, laquelle ouvrira vers la miSite Web : sesamerestaurant.ca

Lors de l’ouverture officielle : ève Desmarais, Vincent Borgeat et Amélie Villeneuve, copropriétaires du Sésame Québec; Camille Dufour, adjointe à la direction; et Vallier Dufour, président du Groupe Sésame.
■ PAR MARiE-joSÉE TuRCoTTE
C’est dans une ambiance festive que s’est déroulée, le 21 mai dernier au Musée national des beaux-arts du Québec, la 2e soirée-bénéfice Créateurs de richesse, organisée par SAGE-Mentorat d’affaires.
L’activité, qui s’est tenue en présence de plus de 200 convives, et sous la présidence d’honneur de M. jean Roy, directeur général des Fonds régionaux de solidarité FTQ, régions de Québec et de Chaudière-Appalaches, a généré un profit de plus de 20 800 $. La somme recueillie servira à soutenir les entrepreneurs de la grande région de la Capitale-nationale par l’entremise du mentorat d’affaires offert chez SAGE, contribuant ainsi à accélérer le succès de nos créateurs de richesse.
Pour en savoir davantage sur SAGe-Mentorat d’affaires : sagementorat.com


Frédéric Bernard, représentant du président d’honneur, conseiller principal aux investissements, Fonds régional de solidarité FTQ région de Québec; hélène Bhérer, directrice de l’administration pour SAGE; Claude racine, président du C.A. de SAGE; ainsi qu’isabelle robitaille, coordonnatrice des services aux membres et de la communication, et André Beauchesne, directeur du développement des affaires pour SAGE, tous deux organisateurs de la soirée.

■ PAR MARiE-joSÉE TuRCoTTE
Le 7 mai dernier a eu lieu la 7e journée Michel-Sarrazin à Laurier Québec ainsi qu’à plusieurs endroits dans la ville de Québec. Résultat : grâce à une cinquantaine d’activités de financement organisées par des particuliers et des entreprises, et grâce aux dons, aux commandites financières et aux commandites en biens et en services, l’activité a permis de récolter 303 000 $ au profit de la Maison Michel-Sarrazin qui célèbre avec fierté ses 30 ans d’existence en 2015. il s’agit d’une augmentation par rapport à l’an dernier, alors que l’activité avait récolté 276 600 $. L’argent permettra ainsi à la première maison de soins palliatifs du monde francophone de poursuivre son œuvre en maintenant la gratuité des soins et des services offerts aux personnes en phase terminale de cancer et à leur famille.


Première rangée : Dr Michel L’heureux, Maison Michel-Sarrazin; Martin Lachance, président du C.A., Fondation de la Maison; François Pépin-Poulet, organisateur d’une activité au profit de la Maison; jocelyne Guay, présidente du C.A., Maison MichelSarrazin; Alain Guay, président d’honneur de la journée et président, Caron & Guay; et Carl julien, Fondation de la Maison.
La Marche pour la dignité sur la promenade Samuel-De Champlain. Photos : Louise Leblanc
Plus de 9 000 personnes ont jusqu’à ce jour bénéficié des services gratuits de la Maison Michel-Sarrazin.
Le 11 mai dernier, la Fondation québec Philanthrope a convié les représentants des médias à une conférence de presse à l’hôtel de ville de Québec, afin d’annoncer la tenue d’une nouvelle activité originale qui a eu lieu le 2 juin dernier : le rendez-vous québec Philanthrope il s’agissait du tout premier événement philanthropique où le but n’était pas d’amasser des fonds, mais de célébrer l’acte de donner sous toutes ses formes.
régis Labeaume, maire de Québec et coparrain de l’activité; Diane Bélanger, vice-présidente de la Fondation Québec Philanthrope; Margaret F. Delisle, présidente de la Fondation; Gilles Lehouillier, maire de Lévis et coparrain; nataly rae, directrice générale de la Fondation; et yvon Charest, président et chef de la direction de l’industrielle Alliance et président d’honneur de l’activité.
Galerie de photos en ligne sur magazineprestige.com (section nouvelles)
Pour faire un don : michel-sarrazin.ca/journee-michel-sarrazin


Louise Bédard COURTIER IMMOBILIER AGRÉÉ louise.bedard@imcha.com

Élégant penthouse aménagé sur 2 niveaux proposant foyer au gaz, climatisation centrale, généreuse fenestration et stationnement intérieur. Cette unité de 1 686 pi2 offre également un balcon et une terrasse privée sur le toit bénéficiant d’une vue sur la marina . Allouant la possibilité d’une seconde





Séduisante propriété, minutieusement construite, offrant 3 chambres dont une suite des maîtres, de grandes pièces de séjour et une vue époustouflante sur le fleuve Saint-Laurent. Certifiée Novoclimat, cette maison comprend également un système géothermique. Possibilité de revenu de location touristique. Confort, élégance et distinction sont au rendez-vous. Un havre de paix.
■ PAR MARiE-joSÉE TuRCoTTE

La photographe Caroline Grégoire a pour sa part reçu le prix du public 2015 à l’occasion du concours de photographies de mode organisé par Festival québec Mode
Son projet intitulé Dear Rose mettait en vedette une jeune fille de 15 ans, Émilie-Rose Couture, atteinte d’une tumeur au cerveau. un bel exemple de photo de mode qui va bien au-delà de l’image !
Photo gagnante d’Émilie-Rose Couture


Pour une troisième fois en carrière, la photographe de Lac-Beauport, France Bouchard, a reçu, en mars dernier, le titre de Photographe portraitiste de l’année 2015 au québec décerné par l’association Photographes professionnels du Québec.
Photo gagnante prise au restaurant Cosmos LB9

Trois lauréats régionaux ont été honorés, le 7 mai dernier, parmi 28 candidatures soumises. M. réal Lemieux s’est ainsi distingué dans la catégorie Conservation et préservation pour la restauration du bâtiment situé au 199, rue Saint-joseph Est, alors que M. Louis-Simon Lemieux a été nommé lauréat dans la catégorie Porteurs de tradition pour sa contribution à la préservation de la musique traditionnelle québécoise. Enfin, la Corporation du 350e anniversaire de notre-Dame de québec a remporté le prix dans la catégorie interprétation et diffusion pour les deux expositions offertes au Musée de notre-Dame de Québec.
julie Lemieux, v.-p. du comité exécutif, responsable de la culture, du patrimoine et de l’aménagement du territoire à la Ville de Québec, en compagnie de l’abbé julien Guillot de la Corporation du 350e anniversaire de notre-Dame de Québec, également lauréat du titre de Personnalité de l’année lors des Fidéides 2015.

Le chemin vers l’extraordinaire est souvent pavé d’obstacles, mais il peut mener à des créations d’exception, comme la toute nouvelle Classe C 2015. Découvrez-la sur TouteNouvelleC.ca
Soyez parmi les premiers à vivre l’expérience panoramique en 3D de la Classe C ! Téléchargez dès maintenant notre application de réalité augmentée gratuite en recherchant « all-new Mercedes-Benz C-Class » à partir de la boutique Apple iTunes ou de Google Play.

Mercedes-Benz Canada Inc., 2015.
www.stnicolas.mercedes-benz.ca

TOTALE 35 200 PI 2
COMPLEXE GROUPE TRANSRAPIDE 228, chemin des Îles, Lévis (Québec) Sortie 321 de l’autoroute 20, à 7 km de la tête des ponts.
QUAIS DE CHARGEMENT
200 ESPACES CLÔTURÉS CTPAT POUR CAMIONS ET REMORQUES
ESPACES DE BUREAUX