L'hôtel

Passionnés de sourires restaurés



En page couverture : Jean-Sébastien Sirois et Andrée-Anne Beaudry, denturologistes et propriétaires des cliniques Sirois Denturologistes.


![]()
L'hôtel

Passionnés de sourires restaurés



En page couverture : Jean-Sébastien Sirois et Andrée-Anne Beaudry, denturologistes et propriétaires des cliniques Sirois Denturologistes.


C’est le C Œ ur emballé, habitée par une bonne dose de fébrilité, que je m’adresse à vous pour la toute première fois à titre de réda C tri C e en Chef.
J’ai grandi avec le magazine et je me souviens très bien d’un moment où, en lisant l’éditorial de Marie-Josée, m’être dit qu’elle en avait de la chance de travailler pour une publication comme Prestige. Tout du magazine me fait vibrer ! En commençant par son nom qui, à lui seul, évoque la réussite et impose le respect. Et que dire de son contenu ! Pour la femme que je suis, ayant travaillé pendant plusieurs années en politique, férue de relations publiques, gagner ma vie en mettant en valeur les gens, les entreprises et les institutions de ma ville chérie, c’est un rêve !
Ce sont de très grandes pointures à chausser, Marie-Josée a su bâtir ce magazine dont la réputation n’est plus à faire, et elle l’a fait, année après année, avec brio sans jamais baisser les standards et la qualité éditoriale.
Tout comme en entrepreneuriat, lorsqu’une entreprise arrive au moment de passer le flambeau, le temps investi dans l’accompagnement et la transmission des valeurs fait toute la différence. À cet égard, je suis réellement choyée et je tiens à te dire merci, chère Marie-Josée ! Ta bienveillance, ta patience et ta grande disponibilité ont été indispensables dans la concrétisation de cette première édition.
Sur une note plus personnelle, j’ai toujours cru que la vie nous amenait là où nous devions aller. Mon parcours étant plutôt atypique, c’est encore une fois un savoureux mélange de hasard et de chance qui m’a conduite dans ce nouveau rôle. Ayant vécu dans plusieurs pays tels que les États-Unis, la France et l’Allemagne, je suis rentrée au bercail depuis maintenant quatre ans. Lorsque je ressasse toutes mes expériences professionnelles, que j’y additionne mes traits de personnalité et mes forces, je crois que pour la première fois depuis longtemps, je suis à la bonne place au bon moment. Comme me dit si bien Marie-Josée, il n’y a aucun doute que je suis sur mon X ! Et c’est avec énormément d’humilité et d’excitation que j’entame officiellement ce nouveau pan de ma vie professionnelle. J’y mettrai du cœur et me ferai un devoir de faire rayonner tout le talent et le savoir-faire des gens de chez nous.
Bonne lecture et au plaisir de vous rencontrer !
Valérie Noël-Létourneau Rédactrice en chef
FÉVRIER 2024
Vol. 28, no 6, 239e parution
PUBLIÉ PAR : L'Antidote Médias
RÉDACTRICE EN CHEF
Valérie Noël-Létourneau redaction@magazineprestige.com
COORDONNATRICE DE PRODUCTION Christine Rivest info@magazineprestige.com
VICE-PRÉSIDENTE DES VENTES
Alexandra Leduc alexandra.leduc@lantidote.com 418 805-9692
COLLABORATEURS
Ariane Arpin-Delorme
Jean-Pierre Bouchard
Cendrine Chénel
Nathalie Clark
Réal Demers
Paméla Egan
Jean-Marie Lebel
Gilles Levasseur
Johanne Martin
Marie-Claude Savoie
Marie-Josée Turcotte
CORRECTION ET RÉVISION
Gilles Levasseur
PRODUCTION, GRAPHISME Atelier 480
PHOTO PAGE COUVERTURE Marjorie Roy, Optique Photo
PHOTOGRAPHIES
Jacques Fortin, L'Antidote Médias Marjorie Roy, Optique Photo
IMPRESSION Solisco
DISTRIBUTION RÉSIDENTIELLE ET COMMERCIALE Postes Canada
Dépôt légal Bibliothèque nationale du Canada ISSN-1205-6707
Dépôt légal Bibliothèque nationale du Québec
Magazine Prestige
6500, boul. Pierre-Bertrand, bureau 200 Québec (Québec) G2J 1R4
Téléphone : 581 981-9555 magazineprestige.com
Cette édition est distribuée à 20 000 exemplaires.
Les opinions émises dans les articles publiés par le magazine Prestige n’engagent que leur auteur.
Une publication de

Coordonnatrice de production du magazine Prestige
À son compte depuis près de dix ans, Christine a toujours été entrepreneure dans l’âme. Proactive et minutieuse, ses différentes expériences professionnelles font d’elle une référence en or pour les clients du magazine Prestige Sa passion pour le conseil client, son écoute bienveillante et son désir de voir les entreprises d'ici réussir en font la personne toute indiquée pour rendre l'expérience Prestige unique.

Coordonnatrice aux communications, magazine Prestige et L’Antidote Médias
ALEXANDRA LEDUC

Vice-présidente des ventes, magazine Prestige et L’Antidote Médias
Forte d’une dizaine d’années d’expérience dans le milieu des médias, Alexandra a toujours évolué dans le monde de la vente et du développement des affaires. Femme de tête et de cœur, elle rayonne et laisse sa marque partout où elle passe. Son approche en mode solution, son grand sens de l’écoute et son professionnalisme font d’elle une personne appréciée de tous. Après seulement deux semaines chez L’Antidote Médias, sa bonne humeur, son dynamisme et son optimisme étaient déjà contagieux au sein de l’équipe.
Élisabeth possède plusieurs cordes à son arc. Ayant œuvré dans les domaines de l'événementiel, de la restauration, des vins et spiritueux, elle est dynamique et reconnue pour son approche humaine. Bachelière en communications, c’est elle qui fera briller nos clients sur le Web. Responsable de la diffusion numérique, elle pilotera l’envoi de l’infolettre ainsi que la gestion de nos médias sociaux. C'est elle qui coordonnera les contenus des clients vers le site du magazine en ligne afin de leur offrir encore plus de visibilité.

Les deux références culinaires de Québec se sont démarquées en se classant en tête de liste du plus récent palmarès Travelers’ Choice Best of the Best de Tripadvisor. Le restaurant Tanière3 a été nommé meilleur restaurant gastronomique au Canada et le restaurant Arvi a mérité la troisième place. Ils figurent ainsi sur la liste des établissements ayant reçu le plus de notes et d’opinions d’excellence sur la plateforme Tripadvisor dans la dernière année.

L’Atlantis The Royal Dubaï est le résultat d’une spectaculaire conception architecturale moderne qui domine le quartier Palm Jumeirah. Le concept compte six tours reliées par un pont aérien de 90 mètres de long.

vous pensiez avoir tout vu en matière d’arChiteCture ? dans l’extravagante dubaï, surnommée « la Cité de l’or », au CŒur du quartier palm jumeirah, l’hôtel atlantis the royal vous fera éCarquiller les yeux ! sa silhouette époustouflante et sans préCédent, signée par les plus grands designers, arChiteCtes et artistes du monde, repousse aveC audaCe les limites de l’imagination.
La structure de l’Atlantis The Royal s’écarte résolument du concept traditionnel des tours sculpturales de cette ville-phare des Émirats arabes unis. Véritable mosaïque verticale, l’établissement, qui s’étend sur 500 mètres de longueur et culmine à 178 mètres, prend la forme d’un empilement de blocs individuels. Ici, la démesure règne en maître.
Cet emblématique palace comprend 795 chambres, suites et penthouses offrant des vues à couper le souffle sur le paysage urbain de Dubaï et la mer d’Oman. Quarante-quatre de ces unités disposent de leur propre piscine à débordement privée. Quant aux chambres, elles offrent le summum absolu de l’opulence contemporaine.

Le lobby de l’hôtel expose une sculpture en argent de 11,5 mètres de haut, Droplets, qui représente la première goutte de pluie dans l’aridité du désert.

Au rez-de-chaussée, des jets d’eau jaillissent de ces immenses boules en acier inoxydable qui reposent dans un bassin scintillant rétroéclairé.
/ Nathalie Clark
Considéré comme le plus luxueux de la planète, ce complexe hôtelier expérientiel propose des activités singulières et originales, comme l’accès à l’Aquaventure, le plus vaste parc aquatique du monde couvrant 22,5 hectares. Des attractions exclusives et des expériences aquatiques uniques sont proposées aux visiteurs telles qu’une piscine à vagues, de la plongée dans un tunnel transparent, des rivières avec rapides s’étendant sur plusieurs kilomètres, un bassin où vivent plus de 4000 méduses et des décors impressionnants inspirés de l’univers de l’Atlantide.

L’Horizon Penthouse offre une formule d’hébergement grand luxe qui inclut une piscine privée à débordement entièrement vitrée et la possibilité de privatiser tout le 41e étage.

La salle de bain du Manoir Royal fait partie d’un penthouse couvrant 1128 mètres carrés sur deux niveaux avec 4 chambres et une vaste terrasse.
Située au 22e étage, et offrant une vue panoramique sur le golfe Persique, Palm Island et la magnifique ligne d'horizon de Dubaï, Cloud 22 représente l'expérience ultime en matière de piscine à ciel ouvert.

À près de 100 mètres de hauteur, sur le toit du 22e étage, une piscine panoramique à débordement de 90 mètres de longueur offre une vue imprenable sur le golfe Persique. Les baigneurs ont l’impression de nager la tête dans les nuages ! Le complexe dispose également d’une multitude de fontaines qui guident les visiteurs vers le point culminant, un éblouissant spectacle jumelant l’eau et le feu. Une expérience à nulle autre pareille.
VOYAGE
CULINAIRE GASTRONOMIQUE
Et que dire de la gastronomie ! En cette matière, Atlantis The Royal est une destination incontournable à Dubaï puisqu’il propose pas moins de 17 restaurants renommés dont 8 sont exploités par des chefs célèbres. L’établissement présente des concepts culinaires exceptionnels créés de toutes pièces par des chefs étoilés Michelin à faire rêver tous les foodies du monde.
Construit au coût de 1,4 milliard de dollars, cet ensemble hôtelier a été inauguré en janvier 2023 par une soirée d’ouverture grandiose réunissant des célébrités hollywoodiennes, des personnalités éminentes du monde entier et un spectacle de la mégastar et icône de la pop, Beyoncé. Atlantis The Royal, une adresse à retenir si vous rêvez de luxe extrême et avez envie d’expérimenter ce qui se fait de plus chic.
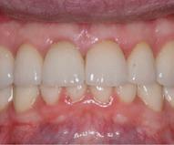
« l e plus gratifiant dans notre profession, C 'est de voir que le patient, en Constatant dans le miroir le résultat de notre travail, a les yeux humides d’émotion. n otre obje C tif est alors atteint. »
– Andrée-Anne Beaudry, denturologiste.

l a denturologie est un art qui requiert une très grande minutie tant pour réhabiliter la dentition que pour tenir C ompte de moult variables C onnexes. Ce sou C i du détail, andrée-anne beaudry et jean-sébastien sirois, denturologistes et Conjoints, propriétaires des Cliniques sirois denturologistes, l’appliquent partout afin de satisfaire — voire dépasser — les attentes de leurs patients. portrait d’une équipe de passionnés de sourires restaurés.
Vaste, moderne et fonctionnelle, la clinique principale des trois points de service Sirois Denturologistes, sur la rue Seigneuriale, dans le secteur Beauport, illustre fort bien ce désir de répondre à tous les besoins de la clientèle. Grand stationnement, accessibilité pour les personnes à mobilité réduite, équipement de pointe et laboratoire sur place. L’immeuble a remplacé la maison qui se trouvait à cet endroit, celle-ci n’offrant plus suffisamment d’espace; on l’avait même déplacée pendant les travaux tout en continuant à l’occuper pour minimiser l’impact sur les patients. C’est aussi pour régler un problème d’accessibilité qu’Andrée-Anne et Jean-Sébastien, associés depuis 2012, avaient quitté la clinique du boulevard Louis-XIV où ils exerçaient après avoir racheté la pratique d’un collègue parti à la retraite. Le réseau comporte également deux succursales sur rendez-vous seulement, l’une depuis 2015 sur le boulevard Chauveau, à L’Ancienne-Lorette, et la seconde ouverte en septembre 2023 à côté de Laurier Québec. « Les plages horaires pourront être allongées selon la demande », précise Jean-Sébastien.
Quatre denturologistes et le Dr Yoann Fournier, chirurgiendentiste, mettent en commun leur expérience pour résoudre avec succès tous les cas de remplacement de dents naturelles quels qu’ils soient, qu’il s’agisse de dents unitaires, prothèses partielles ou complètes, sur implants ou non, couronnes sur implants, ponts fixes sur implants, etc. En effet, avantage plutôt rare dans cette profession, Sirois Denturologistes propose à sa clinique de Beauport un service d’implantologie assuré par le Dr Fournier. Cela facilite de beaucoup les interventions, qui plus est avec le laboratoire sur place, qui accroît l’efficacité du travail et évite des déplacements inutiles. « Nous sommes donc en mesure d’offrir sous un même toit une gamme complète de solutions de denturologie, explique Andrée-Anne. Le haut de gamme est privilégié tant pour ce qui est des interventions personnalisées que des matériaux utilisés ainsi que dans les moindres détails afin d’assurer le bien-être du patient. Nous nous occupons également des réparations, des regarnissages réguliers et avec base molle, ainsi que des ajustements de prothèses existantes. »
Lorsque nous observons une prothèse dentaire en bouche, nous ne pouvons imaginer tout ce que ce résultat a pu comporter de détails, notamment parce que la pièce est en mouvement. Tout est mis en œuvre pour que le patient soit pleinement satisfait, autant sur le plan fonctionnel qu’en termes d’esthétique. D’entrée de jeu, la première rencontre dure une heure, le temps de faire le tour de toutes les possibilités et des attentes du patient, incluant le budget dont il dispose. Trois types de prothèses (voir site Internet) sont offertes : standard, équilibrée et biofonctionnelle, cette dernière, haut de gamme, comportant des dents de meilleure qualité et d’apparence plus naturelle.
Nouvelles technologies et sens artistique s'allient pour créer le résultat le plus naturel qui soit.


« Non seulement devons-nous répondre aux besoins présents, mais aussi voir à plus long terme pour tenir compte de l’évolution possible de la situation, chaque cas étant unique, explique M. Sirois. L’investissement en vaut le coût, car les dents servent à bien mastiquer et mieux digérer, à parler et à sourire sans compter leur impact indéniable sur l’estime de soi. Nous prenons donc très au sérieux notre rôle consistant à présenter d’une part l’éventail des solutions, mais surtout, d’autre part, à saisir le mieux possible ce que nos patients souhaitent, sans jugement de notre part, car l’établissement d’une relation de confiance est primordial. »
Chez Sirois Denturologistes, le processus de fabrication d’une prothèse complète requiert cinq rendez-vous permettant de personnaliser progressivement les empreintes qui conduiront au résultat final. Tout est pris en compte en consultation avec le patient : la forme et la couleur des dents, leur disposition, la ligne de sourire, la justesse de l’occlusion, l’angle temporo-mandibulaire ainsi que les déplacements latéraux et en protrusion afin de maximiser la succion et le confort de la prothèse amovible. L’étape de l’essayage en cire précédant la cuisson finale permet de répondre dans les moindres détails aux besoins et attentes de chacun des patients, qu’il souhaite un sourire naturel qui fait oublier qu’il s’agit d’une prothèse, ou un sourire droit et d’un blanc immaculé. « Grâce aux nouvelles technologies, nous fabriquons des pièces plus naturelles et réalistes, ce qui est très stimulant pour nous puisque ça fait ressortir notre sens artistique, se réjouit Andrée-Anne. Mieux encore, Jean-Sébastien et moi avons développé au fil du temps une très belle complicité, et si nous partageons la même formation, je préfère me retrouver au labo, de sorte que nous nous complétons vraiment bien. »
Ayant toujours été à l’affût des nouveautés pouvant contribuer à la qualité de leur travail, les deux professionnels participent à des formations en tous genres. « Au début de 2020, nous sommes donc montés avec enthousiasme dans le train du numérique et nous avons profité de la pause mondiale pandémique pour nous équiper, relate Jean-Sébastien. Notre équipement comprend aujourd’hui une chambre d’usinage, deux imprimantes 3D, un scanneur de table et deux scanneurs intraoraux, qui remplacent dans la plupart des cas, surtout pour les prothèses partielles, la traditionnelle empreinte de pâte ainsi que plusieurs étapes en plus d’accroître la précision pour un ajustement supérieur. C’est une véritable révolution. Nous utilisons encore la pâte pour certains cas, d’autres prothèses conjuguent traditionnel et numérique tandis qu’un nombre croissant seront fabriquées numériquement. Le seul inconvénient de la numérisation intraorale est le résultat statique qu’elle produit alors que la méthode conventionnelle tient davantage compte des mouvements et des particularités physionomiques. C’est pourquoi la prothèse 100 % numérique n’est pas encore adaptée à toute notre clientèle. »
Au cœur de cette évolution, c’est l’impression 3D qui s’avère la plus prometteuse, car cette technologie permet aujourd’hui d’imprimer non seulement les prothèses préliminaires, mais aussi les pièces définitives, avec la précision et la résistance voulues. « Ce procédé convient de façon générale, mentionne Andrée-Anne, mais ne satisfait pas encore exactement à nos critères de qualité concernant nos modèles haut de gamme. La situation pourrait cependant évoluer rapidement étant donné la vitesse à laquelle les changements surviennent. Les avantages sont toutefois nombreux en matière de réduction du nombre de rendez-vous, ce qui plaît énormément à notre clientèle plus âgée, notamment les patients en perte d’autonomie, ou encore les gens à l’emploi du temps chargé. »
Le couple mentionne des cas de personnes touchées par la maladie d’Alzheimer, dont une dame ayant égaré sa prothèse à cinq reprises en 18 mois ! « Comme ses données étaient mémorisées, il a suffi de réimprimer chaque fois et sans trop de désagrément pour la personne concernée, ajoute Jean-Sébastien. Cette technologie réglera donc bien des imprévus et facilitera le recours à nos services; nous prévoyons que dans un avenir rapproché, toutes les prothèses seront fabriquées grâce à ce procédé. » Fait à noter, le denturologiste agit même comme formateur auprès d’une entreprise, soucieux de transmettre au suivant ses connaissances et son expérience.
À la clinique principale de Beauport, tout a été pensé pour répondre aux besoins de la clientèle : grand stationnement, accessibilité pour les personnes à mobilité réduite, équipement de pointe et laboratoire sur place.


Complicité et complémentarité.


Huit personnes forment l’équipe de Sirois Denturologistes. « Nous sommes vraiment choyés de leur contribution, car ils ont à cœur autant que nous le bien-être de nos patients, insiste Andrée-Anne. Cela dit, notre satisfaction professionnelle mise à part, le plus gratifiant dans notre profession, c'est de voir que le patient, en constatant dans le miroir le résultat de notre travail, a les yeux humides d’émotion, conclut-elle. Notre objectif est alors atteint. »
Pour en savoir davantage : 418 667-9434 | siroisdenturologistes.com
Succursale principale : Beauport 437, rue Seigneuriale
Autres succursales : L'Ancienne-Lorette 5121, boulevard Chauveau Ouest, local 102
Sainte-Foy 1200, avenue de Germain-des-Prés, local 105

le slogan de l’aCadémie saint-louis, La réussite, un sport d’équipe, ne pourrait mieux déCrire le parCours offert aux jeunes de 5 à 17 ans dans Cette institution fondée il y a 70 ans. et pour Cause, Car la réussite ne s’y C onjugue pas qu’au savoir, mais englobe également savoir-faire et savoir-être. q uant au sport, il oCCupe dans le développement des enfants et adolesCents une plaCe prépondérante sur l’air d’un esprit sain dans un Corps sain. Cette ambitieuse mission pédagogique serait utopique sans une équipe C ompétente, engagée, dévouée. « l ’in C omparable Contribution du personnel à promouvoir le nous, souligne la direCtriCe générale ann Webber, est à la base de la progression de nos jeunes vers leur plein potentiel afin de devenir de meilleurs Citoyens dans la soCiété de demain. »
Tandis que je traverse la cafétéria en compagnie de Mme Webber, trois jeunes adolescents attablés la saluent spontanément et cordialement. Devant mon air étonné, celle-ci confirme cette proximité empreinte de respect qui se joue un peu de la distance hiérarchique. « Les jeunes ouvrent même les portes aux adultes », ajoutet-elle en souriant. Effectivement, l’ambiance respire le bien-être, corollaire du savoir-être. Quoi de mieux que la réalité pour appuyer la théorie ? En parcourant le dépliant corporatif intitulé « L’ambition avec un grand A » ainsi que le site Internet de l’établissement (aslouis.qc.ca), force est d’admettre que le contenu est tellement riche d’informations que quelques pages de magazine ne peuvent lui rendre justice. Tirons-en donc les éléments les plus éloquents, à commencer par un peu d’histoire…
/ Gilles Levasseur
Rangée du haut :
Nicolas St-Pierre
Directeur en 2e et 3e secondaire
Jerry LeHouillier
Directeur en 4e et 5e secondaire
Mijanou Martel
Directrice du pavillon secondaire
Julie Boulet
Directrice adjointe – secteur des garçons
Vincent Cournoyer
Directeur des sports
Rangée du bas :
Geneviève Levesque
Directrice des services financiers
Julie Andréanne Bourget
Directrice des services pédagogiques
Catherine Martin
Directrice en 1re secondaire
Ann Webber
Directrice générale
Hélène Verret
Directrice du pavillon préscolaire et du primaire
Vanessa Déziel
Directrice des communications et du marketing
Anne Imbeau
Directrice adjointe – secteur des filles

Ann Webber, directrice générale
L’Académie Saint-Louis a vu le jour en 1953. Une brève incursion dans les archives révèle que Gabriel-Marie Gagnon en a été le fondateur et directeur général jusqu’en 1984, alors qu’il sera remplacé par Jocelyn Lee, qui y avait été embauché comme enseignant en 1975. Avec l’aide de partenaires, M. Gagnon loue des locaux sur la rue Sainte-Angèle, dans le Vieux-Québec, et y offre des cours du soir à ceux et celles qui souhaitent compléter leur secondaire. Deux ans plus tard, premier déménagement non loin de là, rue Elgin. En 1964, l’Académie Saint-Louis se transporte à l’intersection du chemin Sainte-Foy et de l’avenue des Érables afin d’y proposer un cours secondaire complet. Trois ans plus tard, l’établissement deviendra la seule école privée subventionnée à Québec n’étant pas issue d’une communauté religieuse. Les locaux seront agrandis en 1973, notamment par l’ajout d’un gymnase. L’institution y aura pignon sur rue pendant trois décennies jusqu’à sa relocalisation en 1995 dans un édifice tout neuf du secteur Lebourgneuf, qui sera agrandi à deux reprises en 2005 et 2006. Puis en 2008, la direction acquiert l’école Saint-Louis-de-Gonzague, sur la rue Richelieu, dirigée pendant un siècle par les Sœurs de la Charité, et fait construire sur ses terrains un nouveau pavillon, qui conservera l’appellation d’origine. On y accueille à partir de 2010 une clientèle mixte de niveaux préscolaire et primaire. Le pavillon secondaire sera une troisième fois agrandi en 2012. Finalement, en 2020, on procédera à la construction du Complexe sportif Desjardins, qui comprend un gymnase triple, le second en importance par sa superficie à Québec. Outre son utilisation par les élèves des deux pavillons, cette infrastructure moderne sert aussi pour des compétitions de niveau national en plus d’être accessible au public.
Selon Mme Webber, cette constante évolution témoigne de l’ambition de l’Académie Saint-Louis d’être innovante et à la recherche de l’excellence, en demeurant un leader dans sa communauté. « Cet engagement s’inscrit dans notre mission, qui consiste à cultiver chez nos jeunes le plaisir d’apprendre non seulement au moyen des langues et des sports, mais d’une expérience riche dans un milieu de vie dynamique et stimulant, empreint de valeurs humanistes qui leur sont transmises par les membres du personnel. »
La pratique sportive y occupe une place de choix. La moitié des élèves du primaire s’y adonnent au parascolaire (hockey, football, soccer, cheerleading, basketball, course et golf) et jusqu’à 80 % chez leurs aînés du secondaire. Ann Webber insiste cependant sur un détail important : « Il s’agit de programmes Étudessport et non l’inverse, comme on l’entend souvent. L’activité sportive sert donc de tremplin à la réussite scolaire — primordiale — en permettant au jeune de devenir un individu plus complet, notamment en expérimentant la notion d’équipe. En ce sens, études et sports sont interreliés. Non seulement nous comptons sur des entraîneurs qualifiés, mais aussi sur des coordonnateurs, qui chapeautent l’évolution sportive dans les deux pavillons, accompagnant et encadrant les jeunes athlètes de tous âges. Cette approche nous distingue. » D’ailleurs, les jeunes athlètes représentent l’école sur les scènes régionale, provinciale et internationale en portant fièrement les couleurs de l’Arsenal.


coordonnateur Études-sport


Tous les élèves y trouvent leur compte, car l’Académie Saint-Louis offre des programmes stimulants, notamment du côté de l’apprentissage des langues et du programme exclusif Explore. Par exemple, dès le primaire, l’anglais est enseigné au moyen d’une méthode intégrée accélérée, qui permet aux enfants, à travers gestes, musique et théâtre de s’apprivoiser concrètement, et de manière ludique, à la langue de Shakespeare. « Grâce à notre programme d’anglais enrichi, qui dépasse les exigences du ministère de l’Éducation, explique la directrice, nos élèves acquièrent une maîtrise supérieure de l’anglais oral et écrit, en plus d’une connaissance fonctionnelle de l’espagnol au secondaire. » De son côté, le programme Explore (niveau secondaire) comprend des cours axés sur les découvertes en tous genres, qui amènent les participants à identifier leurs passions et intérêts. Défi nature, découvertes scientifiques et technologiques, culture et communication, conversation anglaise, autant de volets qui favorisent leur développement.



Quelques membres de notre corps professoral :
Rangée du haut : Samuel Tremblay, Caroline Rosa, Marie-Elaine Lebel, Miguel A. Ruiz et Simon-Pierre Coulombe.
Rangée du bas : Chantale Lacroix, Mélodie Arsenault, Julie Pelletier, Nadine Lévesque et Stéphanie Cantin
Quelque 250 membres de l’équipe-école sont étroitement impliqués dans la réussite scolaire des élèves des deux pavillons, 800 au préscolaire et primaire, et un peu plus de 1200 au secondaire. À cet égard, la presque totalité des enfants inscrits poursuivent leur parcours jusqu’à la 5 e secondaire. Enseignants et membres du personnel professionnel et de soutien, tous mettent l’épaule à la roue dans une étroite collaboration. Celle-ci s’exprime également d’un pavillon à l’autre ainsi qu’avec la direction, permettant au personnel de voir évoluer les jeunes dès le préscolaire et tout au long de leurs études.

Les services aux élèves sont importants. Voici quelques-uns de nos intervenants :
Picard, éducateur spécialisé; Valérie Malenfant, intervenante
en
,
,
Malgré ses sept décennies, l’Académie Saint-Louis a toujours su évoluer avec son temps, notamment, de nos jours, en matière de technopédagogie. « Plus que jamais, les jeunes devront utiliser les outils numériques comme levier de changement, observe Ann Webber. Nous croyons que leur intégration en salle de classe est une des clés de la réussite. Cette dernière amène l’élève à se questionner sur une utilisation responsable de l’outil et à réaliser l’avantage pédagogique incontestable qu’il procure. » Les élèves peuvent aussi découvrir les possibilités de la robotique, la programmation et l’impression 3D (ce volet au secondaire).
Avec une longue histoire remontant aux années 1950, il n’est pas étonnant d’apprendre que plusieurs membres du personnel encore en poste — 55 ont plus de 15 ans d’ancienneté — ont connu l’époque de l’avenue des Érables, ou encore celle des Sœurs de la Charité dans le quartier Saint-Jean-Baptiste. Par ailleurs, le quart du personnel, soit un peu plus de 60 personnes, sont d’anciens élèves de l’école. Comme quoi l’alma mater , expression latine qui signifie le collège où l’on a étudié, exerce encore et toujours, après toutes ces années à l’Académie Saint-Louis, un attrait indéniable !
/ Ouverture et bienveillance
/ Engagement et responsabilisation
/ Effort et détermination
/ Collaboration et innovation
Pour en savoir davantage :
Pavillon préscolaire et primaire : 2200, de la Rive-Boisée Nord, G2C 0J1
418 767-2200
Pavillon secondaire : 1500, de la Rive-Boisée Sud, G2C 2B3
418 845-5121
aslouis.qc.ca

p our toute entreprise, la visibilité représente un atout inContournable. en Cette ère résolument numérique, une présen C e en ligne est devenue la norme pour faire Connaître votre image de marque. Cela dit, l’humain étant doté d’autres sens que Celui de la vue, pourquoi ne pas les solliCiter pour laisser dans l’esprit des gens « l’empreinte » de votre organisation ? à Cet égard, maCa marketing Corporatif possède 47 années d’expérienCe dans l’art C onsistant à propulser la notoriété par l’objet, un médium très ConCret dont l’effiCaCité n’est plus à démontrer.
Corporatif
Lorsqu’on pense à la publicité par l’objet, il nous vient invariablement à l’esprit les traditionnels stylos portant la griffe d’entreprises, ou encore des tasses à café, mais l'offre a bien évolué au fil du temps. L’entreprise de Québec a vu le jour en 1977, « tout comme Microsoft, dans un sous-sol de maison », déclare en riant sa présidente, Caroline, fille du fondateur Claude Fortin. Ce dernier a dirigé la compagnie avec sa conjointe Aline, leurs filles Nathalie et Caroline s’étant tour à tour jointes à eux. Les sœurs ont pris la relève en duo au moment de la retraite des fondateurs en 2009. MACA a poursuivi sa progression en 2016 en intégrant un concurrent, Publicité Cantin, qui comptait 40 ans d’expérience. Et en 2020, Caroline est devenue l’unique propriétaire lorsque Nathalie a emprunté un autre chemin professionnel. « À ce jour, le modèle familial est toujours présent puisque ma nièce Alison, entrée dans l’entreprise il y a sept ans, personnifie la troisième génération, explique Caroline. Celle-ci a vite eu le nom MACA imprimé sur le cœur. Notre équipe est presque essentiellement féminine — l’un des deux hommes du groupe étant mon conjoint — et constituée d’amis et de références, créant une ambiance très chaleureuse et empreinte de complicité. »

L’équipe de MACA se fait un devoir de toujours être à l’affût des nouvelles pratiques et technologies pour améliorer les communications internes et externes, ainsi que la gestion quotidienne des commandes pour une efficacité optimale. En 2010, l'entreprise possédait déjà un Intranet afin d’être en connexion avec ses multiples territoires, et quelques années plus tard, elle abandonnait le papier. « Aujourd'hui, tout notre système informatique est hébergé dans le cloud et notre gestion automatisée de systèmes nous permet d'offrir une meilleure qualité de vie, facilitant le travail de tous, se réjouit Mme Fortin. En effet, le bien-être de notre équipe est prioritaire à nos yeux. Nous offrons de la formation ainsi qu'un programme d'entrainement avec une coach spécialisée deux fois par semaine, ce qui ajoute à la synergie d'équipe et contribue à la santé physique et mentale du groupe. D'ailleurs, la philanthropie fait partie de nos préoccupations, et donner au suivant est une valeur fondamentale. Nous nous impliquons dans plusieurs causes, notamment la Société Alzheimer et la Fondation Cervo.
Slogan de MACA depuis quelques années, cette question résume parfaitement la mission de l’entreprise. « Nous priorisons l’émotionnel plutôt que le rationnel afin de créer des stratégies marketing qui renforcent l’image de marque des entreprises tout en provoquant un impact visuel fort, explique Alison Bolduc-Fortin. En tant que stratèges en communication par l'objet, nous accompagnons nos clients dans leur démarche publicitaire en leur proposant des articles adaptés à leur contexte de distribution ainsi qu’à leur public cible dans le but de créer une émotion, une occasion de partager et de remercier, ou encore un agréable souvenir mettant en valeur leur image corporative. Notre médium est unique et contribue à développer un engagement profond envers leur marque tout en communiquant clairement leurs valeurs. »
Qu’il s’agisse d’impression, de broderie, d’estampage à chaud, de gravure ou toute autre méthode d’identification de l’objet, MACA repousse les limites de la technologie afin de matérialiser l’image des entreprises sur l’article choisi, aussi inusité soit-il, afin d’en faire un véritable levier de communication. Bref, tout objet ou textile sur lequel un logo peut être transposé ! « Bien que le stylo et la traditionnelle tasse à café resteront toujours des incontournables, précise Caroline Fortin, notre équipe est à l’affût des nouvelles tendances afin de proposer des approches qui sont non seulement créatives et innovantes, mais qui sont surtout adaptées au message que nos clients souhaitent véhiculer et à l’émotion qu’ils veulent susciter, au contexte, au budget disponible ainsi qu’au mode de distribution. Tous les détails ont leur importance. Les possibilités sont infinies pour faire rayonner une marque, tant auprès des employés et des collaborateurs que des clients et fournisseurs. Un client peut passer des heures à feuilleter des yeux nos catalogues en ligne. Notre rôle consiste à le guider pour qu’il trouve l’article qui lui convient le mieux, selon ses objectifs et les moyens requis pour les atteindre. Nous disposons à Québec d’une salle d’exposition complète, ainsi qu’à notre succursale de Saint-Georges, en Beauce, pour présenter nos articles vedettes. »

Toutes les entreprises ont besoin d’afficher leurs couleurs lors d’événements. « Tentes, kiosques, tapis, nappes, bannières, balles et serviettes à l’occasion de tournois de golf, énumère Alison. Plats à fondue, cafetières et glacières comme cadeaux corporatifs. Vêtements corporatifs à l’intention du personnel pour toutes saisons, tels que casquettes, manteaux, tuques et mitaines. Les valises et sacs à main ont toujours la cote ! Dans le temps des fêtes, notre période la plus intense de l’année, nous vendons beaucoup de cadeaux et d’articles de remerciement. La liste est très longue, jusqu’à des objets auxquels nous n’aurions jamais pensé ! Nous nous adaptons constamment aux contextes, aux modes, aux croyances et aux joies. »
Dans l’inventaire de MACA, les vêtements corporatifs occupent une place de choix. Puisque les modes changent, ces articles portent de plus en plus deux griffes, celle de l’entreprise associée à une marque réputée et offrant une notoriété — comme Under Armour, Nike ou Adidas. Dans le but de faciliter la tâche des organisations dans la distribution des vêtements identifiés, articles et cadeaux, MACA a développé dans les dernières années un volet spécifique. « Laissez-nous le soin de créer votre propre boutique en ligne, où vos employés, partenaires ou franchisés pourront en tout temps passer directement leurs commandes, indique Alison Bolduc-Fortin. Il s’agit d’une solution clés en main, personnalisable et entièrement adaptée à votre image et à vos besoins. »
Afin de bien saisir les objectifs des entreprises, les stratèges de MACA, de concert avec leurs collaboratrices, remontent à la source même du processus publicitaire. « Nous mettons donc de l’avant le lien que nous entretenons avec nos clients afin d’effectuer une analyse approfondie de leurs intentions et du contexte autour desquels graviteront les objets promotionnels proposés, ajoute Alison. Nous privilégions des relations à long terme, cette proximité nous assurant une parfaite cohérence avec leurs stratégies ainsi qu’avec nos valeurs : Passion, Créativité, Plaisir, Amitié, Respect et Innovation. » Tel est d’ailleurs, selon la PDG, le tout premier critère d’embauche chez MACA : « Avez-vous envie d’entrer en relation avec des gens, de développer et d’entretenir ces liens ? » Cela dit, la clientèle a évolué au fil des décennies, les particuliers ayant progressivement cédé la place aux entreprises, aux écoles et aux associations. « Cette dimension humaine nous est aussi très chère à l’endroit de nos partenaires fournisseurs, poursuit M me Fortin. Nous sommes en contact étroit avec eux, car ils sont les intermédiaires par qui nous découvrons les nouvelles tendances dans notre industrie, que nous communiquons ensuite à nos clients. »
Saviez-vous que la publicité par l’objet, dans laquelle il se dépense des milliards par année au pays, ne figure même pas dans les cours de communication et n’est enseignée pratiquement nulle part ? « C’est ici que notre presque demi-siècle d’existence et de savoir-faire prend toute sa valeur », conclut Caroline Fortin.

Chez exosystème, des produits et un serviCe haut de gamme se Combinent pour Créer une expérienCe Client exCeptionnelle. du président aux installateurs, en passant par les représentants et le personnel affeCté aux opérations, on vise la satisfaCtion totale. u n projet C omplexe ? l es défis représentent l’un des moteurs d’une équipe hors pair !
Spécialisée dans la consultation et l’installation de systèmes de protection (soleil, vent, pluie et insectes) sophistiqués sur mesure, tels que des moustiquaires et toiles rétractables motorisées ou fixes, des pergolas bioclimatiques et des volets intimité, l’entreprise granbyenne célèbre ses dix ans d’existence en 2024. Desservant la majeure partie du Québec, Exosystème se veut un « marchand de bonheur » riche du souci du détail et de l’esprit de création d’une vingtaine de personnes.

Patrick Tremblay, président.

Chez Exosystème, votre satisfaction est une affaire d’équipe.

Tout commence lorsque Patrick Tremblay, fondateur et actuel président de la compagnie, sent la fibre entrepreneuriale vibrer en lui. Agroéconomiste de formation, mais employé dans une institution financière pendant une quinzaine d’années, il est quotidiennement en contact avec des gens d’affaires. Il se dit un jour « c’est à mon tour » et saisit l’occasion de reprendre les opérations de fabrication de moustiquaires rétractables qu’un client abandonne, et s’engage à amener cette entreprise à un tout autre niveau. Exosystème était née !
« J’étais entrepreneur, et c’est une chose qui n’est pas toujours identifiable à l’école, raconte le dirigeant. J’aimais aussi la nouveauté et l’architecture. Aujourd’hui, je veux, par exemple, que la pergola d’un client soit intégrée le mieux possible à son environnement, d’autant plus qu’habituellement, elle est attachée à une maison. Notre équipe se doit de bien comprendre la nature du projet et identifier lequel de nos produits répond le mieux aux besoins du client. Tout le monde chez EXO doit parfaitement comprendre et faire fonctionner chacun de nos produits. »
/ Johanne Martin
Le président rappelle que l’expertise d’Exosystème commence au moment de la vente. « On n’a pas un produit à promouvoir; on souhaite répondre au besoin de la meilleure façon. Je me souviens d’un client qui voulait des moustiquaires rétractables. Selon notre analyse, nous lui avons plutôt conseillé des moustiquaires fixes. Pour nous, cela représentait une vente beaucoup moins importante, mais c’est ce que nous lui avons recommandé pour sa situation. Chez nous, le bon conseil passe avant la vente d’un produit. »
Représentante des ventes, Caroline Rodrigue confirme. « Je suis récemment allée manger dans un restaurant où on a installé une pergola. Après cinq ans, le propriétaire est toujours aussi satisfait. Ce qui nous distingue, c’est vraiment le service du début à la fin et le cas par cas. Je n’hésite pas à revenir auprès de chaque client avec différentes propositions afin de savoir ce qu’il recherche; je ne ferme jamais la porte, j’essaie de voir toutes les possibilités. »
Cette volonté de trouver une solution à tout, Patrick Tremblay l’exprime à travers le cas d’un propriétaire résidentiel qui habitait à proximité d’une piste de ski. Celui-ci désirait faire entrer du soleil en été, tout en bloquant la vue des passants l’hiver. Son choix s’est arrêté sur des volets intimité avec lames orientables avec ceci de particulier : les panneaux des volets devaient s’emboîter les uns dans les autres, puis disparaître à l’intérieur du mur. Exosystème a comblé ses attentes.

Le fondateur insiste sur les relations de proximité privilégiées par l’entreprise. S’il est crucial d’être près de la clientèle pour être en mesure bien cerner ses besoins, des liens étroits ont également été tissés avec les manufacturiers d’ici et d’ailleurs auprès desquels Exosystème s’approvisionne. Il arrive que la PME granbyenne modifie certains produits pour les adapter, mais les manufacturiers lui accordent leur confiance pour en assurer le bon fonctionnement.
« Le fait de comprendre les besoins du client nous permet de développer et d’aller chercher de nouveaux produits, ajoute l’entrepreneur. Il y a trois ans, on a introduit les volets Lumina parce que les gens demandaient plus d’intimité. Il s’agit d’un produit européen, que j’importe et transforme localement. En faisant affaire avec différents fournisseurs, je fais évoluer mon entreprise sans avoir à faire évoluer chaque produit, toujours en vue de satisfaire le client ! »
Cette capacité à adapter les produits par une équipe tissée serrée, ambitieuse, créative et qui mise sur une bonne communication entre toutes ses composantes a amené Exosystème à relever le défi de réaliser, tous les ans, quelques projets hors norme. « En temps normal, on dirait non au client parce que c’est trop compliqué, mais il nous faut ce genre de challenge pour sortir de notre zone de confort et rester en avant de la parade », expose M. Tremblay.


projet est traité en priorité.
UNE RELATION QUI SE POURSUIT
JUSQUE DANS L’INSTALLATION
L’excellence du service se déploie bien entendu jusqu’à l’étape de l’installation. Responsable de ce volet, le frère du président, Carl Tremblay, s’emploie à tout mettre en œuvre pour que le nouvel espace du client soit réalisé de façon impeccable. « Je suis toujours disponible pour répondre aux questions avant et durant l’installation. Que j’aie à exécuter un petit projet ou un plus gros, la même attention est accordée à chacun », commente l’entrepreneur général.
« La notion de relation, que ce soit dans l’expérience de l’installation ou plus en amont, dans le service-conseil, c’est beaucoup ce qui nous différencie. Chaque projet est unique et notre vision consiste à continuer à nous démarquer, à être les premiers, à rester près des besoins des clients. On est des marchands de bonheur, mais au départ, les gens ne le savent pas… et on souhaite s’assurer que ce bonheur-là demeure perpétuel ! », conclut Patrick Tremblay.
Pour en savoir davantage :
699, rue Moeller, Granby
450 361-0722 | exosysteme.com

sur la route, l’utilisation d’un gps s’avère ô Combien utile pour se rendre à destination et emprunter en temps réel l’itinéraire C omportant le moins d’obstaCles synonymes de ralentissement. saviezvous qu’on peut l’appliquer par analogie au monde des affaires ?
En effet, j’observe régulièrement des entrepreneurs qui « roulent » sans GPS, conduisant leur business sans trop savoir où ils vont, dans une sorte de brouillard entrepreneurial. Le risque est alors grand, sur l’autoroute de la prospérité, de se retrouver coincé dans des embouteillages ou des rues sans issue forçant à rebrousser chemin… Tiens donc, GPS… ça pourrait être l’acronyme de G ouvernance P rioritaire S ignificative … Je parle ici de l’importance pour tout entrepreneur d’élaborer un plan de gouvernance dans un monde où beaucoup — surtout les petites entreprises — négligent de se doter de cet outil crucial, qui constitue un facteur clé de réussite.
La gouvernance d’entreprise est en quelque sorte un plan de match détaillé établissant un code clair de responsabilités et de pouvoirs au sein de la direction. On y définit notamment les rôles des dirigeants, du conseil d'administration et des actionnaires pour une répartition équilibrée des pouvoirs. Un tel cadre évite les abus et crée un environnement propice à la transparence. Grâce à une gouvernance solide, on s'assure que les décisions stratégiques seront prises de façon réfléchie dans une perspective à long terme pour la viabilité de l'entreprise. La gouvernance sécurise aussi l’environnement juridique, fort complexe d’ailleurs, elle garantit la conformité et permet d’éviter litiges, sanctions, atteintes à la réputation et quoi d’autre encore…
Les conseillers stratégiques spécialisés dans l’élaboration de cadres de gouvernance s’entendent sur des principes généraux. D’abord, le plan doit être adapté à l’organisation, à sa mission, ses valeurs et sa planification stratégique, ainsi qu’au contexte dans lequel elle évolue. Et surtout, il importe de le réactualiser régulièrement. Ce plan de match permet également d’exercer un leadership empathique et d’affecter les bonnes personnes aux bons postes, ce qui motive les employés et attire de nouveaux talents.
Avoir recours à un regard externe est aussi recommandé pour apporter de nouvelles idées et stimuler l’innovation. Bref, une saine gouvernance instaure des valeurs de cohérence, de confiance et de responsabilisation de chacun au sein des organisations. Gouvernance et gouvernail... pour mieux maintenir le cap !
Un plan de gouvernance n’a rien d’un document statique. Non seulement faut-il le tenir à jour, mais il convient également de le vivre au quotidien, que tous y contribuent. Si son destin est de croupir au fond d’un tiroir, mieux vaut s’abstenir. Cette démarche peut concerner l’ensemble d’une entreprise ou certains services, à la pièce. Cela dit, plusieurs programmes d’aide gouvernementaux sont prévus pour soutenir les changements organisationnels. Il s’agit de s’informer. Je peux également à cet égard, à même mon coffre à outils destiné aux entrepreneurs, vous suggérer des ressources compétentes qui pourront vous renseigner.
Chose certaine, en cette ère de profondes et rapides fluctuations, la qualité de votre gouvernance est une condition essentielle à la croissance, voire la survie, de votre entreprise.


« l orsque je C hoisis une piè C e de vêtement C hez l’un de mes fournisseurs, C’est souvent en pensant à un C lient parti C ulier », C onfie le propriétaire de la boutique d enault h omme de marque, r oger tremblay. évoluant depuis presque 40 ans dans le domaine de la mode vestimentaire masCuline, l’homme d’affaires sait que pour perdurer, il doit Conjuguer une qualité irrépro C hable à une C onnaissan C e approfondie des préféren C es de ses C lients afin de les C onseiller judi C ieusement et leur offrir, au-delà des modes et tendanCes, Ce qui Convient le mieux à leur personnalité en matière d’éléganCe, de Confort et de distinCtion.
L’histoire débute le 19 août 1981 à Place Ste-Foy, alors que Bernard Denault ouvre sa boutique éponyme, étonnamment le même jour que l’inauguration des Galeries de la Capitale. Quatre ans plus tard, le jeune Roger Tremblay, étudiant en administration à l’Université Laval, qui recherche un
emploi d’été, répond à une offre de la mercerie et y est embauché comme conseiller. Qui sait quelle aurait pu être sa carrière sans cette annonce ? Rapidement, il ressent la piqûre pour le public et le vêtement, à tel point qu’il se retrouve bientôt à temps plein, reléguant sa formation universitaire au second plan. Il y travaillera jusqu’en 1997 « au sein d’une équipe tricotée serrée », se souvient-il. Par la suite, il connaîtra pendant trois ans la réalité d’un magasin de vêtements à grande surface, où il s’apprivoisera aussi à la gestion. « Grâce à cet épisode, j’ai compris qu’un service hautement personnalisé me correspondait davantage », raconte M. Tremblay. Cet apprentissage de la gestion lui a toutefois permis, en 2004, de s’associer avec le propriétaire de la boutique Herren Mode, de Place Ste-Foy, dans le but d’acquérir éventuellement le commerce, d’ailleurs cofondé en 1990 par Bernard Denault. « J’ai racheté l’entreprise six ans plus tard, et à l’été 2019, je me suis porté acquéreur de Denault pour fusionner les deux entités sous la nouvelle raison sociale Denault Homme de marque au moment où Bernard prenait sa retraite en tant que propriétaire. Il est resté comme employé avant de quitter définitivement à l’automne 2020. »
Les plus âgés se souviennent des merceries de l’époque, où l’on vendait presque exclusivement des complets ainsi que des vestons et manteaux. Ce modèle de magasin a progressivement évolué vers une plus grande diversification, de sorte que l’appellation « boutique » convient mieux à la variété de vêtements et d’accessoires destinés à la gent masculine. Chez Denault Homme de marque, la vitrine n’a rien perdu de son rôle à susciter l’intérêt. Les articles de saison sont présentés à l’avant, tandis que les éléments classiques, les vestons, complets et chemises « habillées », se retrouvent à l’arrière. « Même si la cravate n’est plus aussi incontournable qu’avant, notamment au travail, explique le propriétaire, beaucoup d’hommes apprécient encore et toujours l’élégance vestimentaire. » L’aménagement des lieux fait en sorte, grâce à la présence d’îlots, d’assurer une certaine intimité. « Comme l’achalandage est habituellement bien réparti, ajoute-t-il, nous avons le temps d’offrir toute l’attention voulue. Nous proposons également un service de confection de complets et vestons sur mesure, et notre tailleur procède sur place aux ajustements s’il y a lieu, car les hommes préfèrent généralement tout trouver au même endroit, beaucoup n’étant pas très enclins au magasinage. »
Cette attention portée à la clientèle est un privilège réservé aux commerces de superficie modeste. Selon Roger Tremblay, il faut beaucoup d’observation et d’interactions
avec les gens pour être en mesure de bien connaître leurs besoins et de les conseiller judicieusement. « Pour ce faire, même en tant qu’entrepreneur, je préfère être présent la plupart du temps sur le plancher, dit-il. Fidèle et loyale, notre équipe comprend six conseillères et conseillers, qui possèdent une vaste expérience en mode vestimentaire masculine. Le magasin ayant 42 ans d’existence, la base de notre clientèle remonte parfois aux débuts de l’entreprise. Ce genre de proximité est presque impossible à atteindre dans les commerces de plus grande taille. Contacter un client pour l’informer qu’on a trouvé une pièce qui pourrait lui plaire, voilà ce que j’appelle un service très personnalisé ! D’autres nous confient des demandes spéciales que nous recherchons chez nos fournisseurs. Bref, nous nous adaptons à eux plutôt que de les amener à se plier à notre inventaire, une philosophie qui est l’un des piliers de notre pérennité, nos collections ayant toujours suivi l’évolution et les besoins de nos habitués. C’est pourquoi nous privilégions une grande diversité d’articles, car si la mode est aux chemises ajustées, par exemple, je sais que ça ne conviendra pas à une partie de la clientèle. Et nous nous mettons depuis les tout débuts un point d’honneur à leur proposer des collections exclusives que nos concurrents n’offrent pas, du moins dans la région de Québec. »
À la boutique de Place Ste-Foy, on a soigneusement sélectionné des maisons parmi les plus réputées en matière de mode vestimentaire, une vingtaine en tout. « Nos collections se distinguent par le fait que la plupart de nos partenaires fournisseurs se spécialisent dans un seul domaine du vêtement, de sorte que leur savoirfaire a atteint un haut degré de sophistication dans la maîtrise de leur art, depuis un siècle dans certains cas,

précise M. Tremblay. Entre autres exemples, Milestone ne fabrique que des manteaux, Alberto, Atelier Gardeur et M.E.N.S. exclusivement des pantalons tandis que Casamoda et Eton sont renommées pour leurs chemises. Cette expertise pointue garantit une qualité, des coupes et des styles que recherche l’homme en quête d’élégance, de raffinement et de distinction. Notre site Internet (denault.co) illustre d’ailleurs chacun de ces grands noms en présentant leur parcours et leur vision dans l’univers de la mode. »
On peut s’étonner d’apprendre que Denault Homme de marque s’approvisionne principalement du côté des pays de l’est et du nord de l’Europe ainsi qu’en Scandinavie, les principales maisons étant situées en Allemagne, au Danemark et en Suède. « Nous les avons choisies non seulement en raison de leur longue expérience, mais aussi de leur constance et de leur fiabilité, mentionne M. Tremblay, car ils offrent une qualité qui ne se dément pas d’une saison à l’autre, faisant ainsi écho à notre mission d’excellence. Dans ce domaine, contrairement aux Italiens, qui donnent davantage dans la créativité, les Allemands brillent par leur perfectionnisme. Et depuis que j’évolue dans ce domaine, j’ai constaté que leurs produits conviennent mieux au gabarit et à la silhouette des Québécois. Nous tenons aussi en inventaire quelques collections italiennes et canadiennes, car plusieurs clients recherchent des confections d’ici. »
Les lourdes contraintes imposées par l’épisode pandémique n’ont pas épargné l’industrie vestimentaire. Pour M. Tremblay, la planète a appuyé sur pause quelques mois après la fusion des deux boutiques. « Si le mot adaptation revient souvent dans mon propos, confie-t-il, ce contexte a été sans précédent à cet égard. À lui seul, le télétravail a porté un dur coup aux ventes de vêtements, les gens ressentant moins le besoin de renouveler leur garde-robe. Plusieurs clients nous ont avoué n’avoir rien acheté… en trois ans ! J’ai vécu d’autres crises par le passé, mais jamais au point de voir une situation échapper autant à notre contrôle et à notre expérience. »
Tandis que le rythme normal reprend peu à peu après le creux de vague des dernières années, l’homme d’affaires demeure confiant en l’avenir. « On ne change pas une formule gagnante, conclut-il. Tant et aussi longtemps que nous resterons à l’écoute de notre clientèle et attentifs à ses besoins en matière d’élégance et de raffinement vestimentaires, celleci demeurera fidèle à Denault Homme de marque. Venez nous rencontrer ! Vous aussi direz probablement, comme bien d’autres, que vous trouvez ici ce que vous cherchiez ! »
Pour en savoir davantage :
2450, boul. Laurier, Québec | 418 659-3416 | denault.co
« on n’est jamais mieux servi que par soi-même », dit le proverbe. lorsqu’ils ont fondé atelier avant-garde en 1980 , l’arChiteCte jean-marC harvey et le teChnologue en arChiteCture et designer steve ross ont innové en Conjuguant les deux spéCialités qu’ils jugeaient indissoCiables. l’idée était géniale, mais pour traduire le plus fidèlement possible leurs ConCepts dans la réalité, les deux assoCiés se sont rendus à l’évidenCe en 1995 en Complétant au sein de leur équipe le triangle de la CohérenCe par la pièCe manquante « entrepreneur général ». aujourd’hui dirigée par la fille de m ross, judy-ann, qui y est présente depuis l’adolesCenCe, la firme Continue de porter fièrement son nom en étant plus que jamais à l’avant-garde en matière d’originalité, de qualité et de satisfaCtion de sa Clientèle.

Justin Boucher, vice-président et surintendant, et Judy-Ann Ross, présidente et directrice générale.
Pour remplir cette mission, Atelier Avant-Garde a sa propre équipe de menuisiers, réservant la sous-traitance aux corps de métier spécialisés, comme les plombiers, électriciens, carreleurs, etc. « Mais là encore, explique JudyAnn Ross, nous les considérons davantage comme des partenaires, car ils nous assistent depuis des années, ils connaissent notre vision et nos valeurs, de sorte que nous sommes certains qu’ils exécutent la qualité que nous garantissons à nos clients. » Vice-président et surintendant, Justin Boucher, son conjoint, avait été embauché en 2006 en tant que charpentier-menuisier. Il sera nommé plus tard contremaître de chantier, s’impliquant aujourd’hui activement dans les projets plus complexes, travaillant de pair avec Gérald Laprise, associé et directeur de construction.
Si Atelier Avant-Garde s’est bâti une enviable réputation de qualité d’exécution, c’est grâce à sa solide équipe multidisciplinaire (une trentaine de personnes) stable et bien rodée ainsi qu’en maîtrisant tous les aspects de la réalisation des projets de construction/rénovation résidentielle et commerciale. En 43 ans d’existence, l’entreprise a signé plus de 3000 concepts clés en main constituant sa marque de commerce. Grâce à cette expertise, elle offre maintenant un service de construction neuve haut de gamme, alors que le client est accompagné dans l’entièreté du projet, ce qui lui assure toute la tranquillité d’esprit voulue. En effet, sur les chantiers, agissant tel un chef d’orchestre, la firme se charge de la coordination, de l’embauche des sous-traitants, des commandes et des échéanciers.
Cette promesse de qualité sans compromis vaut pour le processus tout entier, du premier contact jusqu’à la livraison du projet, en passant par l’élaboration du concept (architecture et design), la confection des plans, le choix et l’agencement des matériaux ainsi que l’attitude des ouvriers durant les travaux, surtout lors d’une rénovation. « C'est la partie la plus importante, car nous côtoyons les gens dans leur intimité pendant une période qui peut se prolonger, précise Justin Boucher. Il faut à la fois de la bonne humeur sans trop envahir tout en assurant la propreté et la sécurité des lieux; bref, on doit s’ajuster aux personnes et situations, car chaque chantier est unique. »

Pierre Breton, architecte, Gérald Laprise, directeur construction, associé, Valérie Cameron, designer en chef, Judy-Ann Ross, présidente et directrice générale, et Justin Boucher, vice-président et surintendant.
Cette recherche de l’excellence trouve aussi son écho dans les nouvelles technologies. À cet égard, l’entreprise est en transformation numérique vers l’utilisation du logiciel Revit®, qui constitue un véritable pas en avant en matière de conception. Cet outil jumelle automatiquement 2D et 3D, et utilise le stockage infonuagique (cloud) des données, qui deviennent disponibles partout, y compris sur les chantiers. « Il s’agit d’un virage majeur qui demande du temps, mais toute l’équipe travaille là-dessus, indique Judy-Ann. Parallèlement, nous disposons maintenant d’un laser capable d’effectuer des relevés 3D complets des propriétés et de leur environnement immédiat, ce qui est très utile dans les projets d’agrandissement. Remplaçant les mesures à la main, l’appareil scanne la structure entière avec une grande précision, jusqu’à l’épaisseur des murs, des planchers et plafonds. Cette technologie permet une plus grande efficacité en moins de temps et maximise comme jamais auparavant la qualité d’exécution. »
Multidisciplinaire, l’équipe d’Atelier Avant-Garde compte un architecte chevronné, Pierre Breton, présent depuis trois décennies, un estimateur, une technicienne en architecture et deux dessinateurs en bâtiment. Les designers jouent un rôle crucial auprès de la clientèle en tant que chargés de projet, de la conception à la gestion du chantier. Afin d’offrir un service en ébénisterie de qualité, le fabricant québécois Miralis a été choisi comme partenaire en raison de sa renommée. Ayant pris la relève, Judy-Ann Ross possède une formation en administration, marketing, management et gestion d'entreprise qui complète bien les volets conception et construction. « Forte de plus de 40 ans de savoirfaire et d’expérience, conclut la PDG, notre équipe est en mesure de concrétiser les rêves des gens qui nous accordent leur confiance. »
Services
/ Agrandissement de résidence
/ Construction de résidence haut de gamme
/ Plans et devis
/ Design d’intérieur
/ Rénovation commerciale
/ Rénovation résidentielle
Pour en savoir davantage :
2625, ch. Ste-Foy, Québec
418 651-1616 | aag.qc.ca

le 1er novembre dernier, eye am soins oCulaires a étendu au-delà du regard sa gamme de serviCes en proposant, dans des loCaux Contigus à Ceux de sa Clinique de la rue bouvier, des traitements de la peau à l’aide d’outils te C hnologiques non C hirurgi C aux. fidèle à son souCi de qualité en matière de santé visuelle, l’équipe de eye am soins esthétiques offre une diversité d’appareils de pointe, des CompétenCes médiCales et Cette même attention toute spéCiale à l’égard de la Clientèle qui a fait la renommée de eye am depuis son ouverture.
L’aventure de Eye Am Soins esthétiques a commencé lorsque les appareils utilisés pour traiter des problèmes oculaires ont également démontré des effets positifs sur la santé de la peau en général. « Les débuts ont été timides, mais la réponse enthousiaste de notre clientèle nous a incités à poursuivre, surtout lorsqu’un local de 1500 pi2 est devenu vacant dans notre immeuble », explique le copropriétaire de Eye Am Soins oculaires, l’optométriste François Piuze. La clinique a recruté la D re Marie-Soleil Gonthier, omnipraticienne, pour diriger le nouveau volet médico-esthétique. La jeune médecin possède une formation dans ce domaine lui permettant de superviser les différents types de traitement, tels que les injectables (neuromodulateurs et agents de comblement), le plasma riche en plaquettes
Nikolina Tomic, infirmière
Nancy Burgey, infirmière
Sabrina Bouchard, esthéticienne
(PRP), les lasers, le microaiguillage et la radiofréquence. « Mon coup de cœur professionnel a été quasi instantané quand j’ai rencontré l’équipe de Eye Am, confie-telle, j’ai été impressionnée par l’accueil que ces passionnés réservent à leur clientèle, car ils accordent autant d’importance que moi à la qualité des soins. Cette occasion correspondait donc parfaitement à mon désir d’accroître ma pratique en médicoesthétique, leur avant-gardisme trouvant aussi écho en moi. » Dre Gonthier travaille en étroite collaboration avec Nikolina Tomic, infirmière, qui, en plus d’offrir un service impeccable à la clientèle, a développé plusieurs des protocoles de soins qui sont offerts par Eye Am depuis janvier 2022. L’équipe compte aussi sur une infirmière à temps partiel et une esthéticienne expérimentée en soins médico-esthétiques.
Cette dimension médicale qui sous-tend les services offerts par Eye Am Soins esthétiques représente un avantage indéniable pour la clientèle. « Nous pouvons proposer des soins plus poussés, assurer un suivi médical rigoureux et garantir des règles de sécurité irréprochables, précise Dre Gonthier. Nous nous distinguons par notre formation, grâce à laquelle nous comprenons bien l'anatomie, la peau et les problématiques de santé vécues par les patients, et dont il convient de tenir compte. Cette expertise va au-delà des soins esthétiques comme tels. »
Outre la lumière intense pulsée (IPL) et la radiofréquence, Eye Am Soins esthétiques utilise le plasma riche en plaquettes (PRP) pour traiter les cicatrices et les fines ridules, redonner un coup d’éclat au visage ou encore pour contrer la chute capillaire, une solution populaire chez la clientèle masculine. L’IPL traite la couperose et les taches pigmentaires tandis que la radiofréquence réduit les ridules et l’affaissement cutané, améliorant les conditions de la peau du cou et du visage.
Toutefois, en cours d’année, l’équipe ajoutera à son offre plusieurs traitements. C’est le cas de la technologie innovante combinant le microaiguillage et la radiofréquence fractionnée (Morpheus 8), peu utilisée dans la région de Québec. Elle raffermit la peau et gomme les défauts de l’épiderme en stimulant le collagène jusque dans le derme pour des résultats optimaux, non seulement pour le visage, mais pour l’ensemble du corps. « Nous voulons aussi insister sur l’importance de la prévention, car il n’est pas nécessaire d’attendre que le temps ait fait son œuvre pour s’occuper de reculer l’horloge, estime Dre Gonthier. De plus en plus de personnes plus jeunes optent pour des traitements préventifs, une approche qui comporte des avantages pour le futur et que nous encourageons. »
La nouveauté majeure qui sera également mise en place concerne la même technologie, mais adaptée aux problèmes typiquement féminins, qui s’amplifient habituellement avec la ménopause. « Ce projet répondra à un besoin criant chez les femmes, car à titre de médecin-omnipraticien, je reçois régulièrement des demandes d’information à ce sujet », indique Dre Gonthier. Combinant plusieurs énergies, cette plateforme appelée EmpowerRF , qui traite notamment l’incontinence urinaire, l’atrophie vaginale et l’affaiblissement des muscles du plancher pelvien, permet d’améliorer en toute sécurité la fonctionnalité et l’apparence de l’appareil reproducteur féminin. « Un autre bel exemple de l’avant-gardisme d’Eye Am pour offrir ce qu’il y a de mieux à sa clientèle. »


La toute nouvelle clinique Eye Am Soins esthétiques
Pour en savoir davantage :
1020, rue Bouvier, local 110, Québec
418 380-2734 | eye-am.ca
/ Jean-Pierre Bouchard

l e h ilton q uébe C s’ins C rit dans l’histoire de la Capitale depuis 50 ans. l ’établissement 4 étoiles ouvert en mars 1974 a réCemment a fait l’objet de rénovations totalisant quelque 80 millions de dollars et il a désigné la réputée Cheffe marie-Chantal lepage à la direCtion de toute l’expérienCe C ulinaire de l’établissement. e ntièrement repensé, l’hôtel du boulevard rené-lévesque est se veut un lieu de renContres autant pour les touristes internationaux que pour la population de québeC
Jean-François Lincourt, directeur général, Marie-Chantal Lepage, cheffe exécutive du CABU boire et manger et du Hilton Québec, et Gina Cuglietta, directrice des ventes et marketing.
« Nous avons entrepris des travaux de démolition pour reconstruire et créer un environnement parfaitement adapté aux besoins actuels des voyageurs » , lance d’emblée Jean-François Lincourt, directeur général. Tout en maintenant les valeurs qui font la renommée de la bannière Hilton, l’établissement porte la couleur locale recherchée par la clientèle. « Le nouveau design favorise les vues magnifiques sur le Vieux-Québec, le fleuve, les plaines et la ville. Lorsque les gens entrent dans l’hôtel, ils doivent se sentir à Québec, et pas ailleurs », mentionne Gina Cuglietta, directrice des ventes et du marketing.
VUE SPECTACULAIRE
Confiée à la firme d’architectes LemayMichaud, la présentation intérieure constitue le prolongement de l’habillage extérieur réalisé par BGLA Architecture et design urbain. Tirant profit de l’environnement exceptionnel dans lequel l’édifice de 569 chambres prend racine, l’aménagement permet d’apprécier la vue spectaculaire sur le fleuve, le Parlement, les plaines d’Abraham ou les montagnes selon l’emplacement de la chambre.
Chaque espace se veut un lieu de repos et d’apprentissage. Le 23e étage est occupé par le Club Exécutif. « C’est un hôtel dans l’hôtel » , précise Jean-François Lincourt. Élégant, ouvert et baigné de lumière, le vaste lobby regroupe, outre la réception, le restaurant, le bar, un comptoir pour emporter, ainsi que des espaces de travail, de détente et de rencontres. C’est un lieu connecté sur le monde, l’action, la technologie. Partout, des éléments rappellent le lien étroit qu’entretient Québec avec le Saint-Laurent.
Des papillons. C’est ce que Marie-Chantal Lepage, cheffe principale, a ressenti en visitant l’établissement à la suite de la transformation. Charmée par la beauté des lieux, elle y a vu l’occasion d’évoluer et de faire évoluer la table. Fidèle à ellemême, elle travaille avec les produits du Québec, tout en se permettant d’ajouter des touches inspirées de voyages au Japon ou au Liban. Elle veut émerveiller les gens, autant par la présentation de l’assiette que par les saveurs et les textures. Elle aime surprendre, faire durer le plaisir en bouche et rendre l’expérience agréable pour tous les sens.

Dès son arrivée au Hilton Québec, elle s’est donné le mandat de faire découvrir le restaurant CABU boire et manger aux gens de Québec. « Je veux qu’ils se disent, ce soir, est-ce qu’on va au CABU ? » À en juger par les nombreux avis favorables sur le Web, elle réalise ce mandat avec brio. Convivial, le restaurant propose une cuisine festive. En créant son burger de poulet pané mariné au babeurre, la cheffe s’est amusée. Et elle a aussi su inscrire au menu la longe d’agneau du Québec en croûte d’herbes, le tartare de bœuf ou l’os à moelle et ris de veau. « Il y en a vraiment pour tous les goûts », rappelle celle qui dirige une brigade composée de trois sous-chefs et de 22 cuisiniers à temps plein. Détail intéressant, le restaurant comporte également une loge privée pouvant accueillir de 40 à 50 personnes.
Stratégiquement positionné, l’hôtel est le lieu de rencontre idéal pour les gens de Québec, que ce soit pour un 5 à 7 après le travail, avant d’assister à un événement au Grand Théâtre, au Diamant ou au Palais Montcalm, ou après, ou encore pour profiter de l’expérience culinaire du CABU boire et manger et du CABU comptoir.
Pour les rencontres d’affaires, on propose de nombreuses possibilités pour tous les types d’événements. Deux espaces thématiques uniques pouvant accueillir une dizaine de personnes attirent l’attention. La salle L’artisan se démarque par sa magnifique table de réunion conçue par un ébéniste local avec des portes anciennes provenant du VieuxQuébec. Plus éclatée, la salle Pellan met en valeur des reproductions de l’artiste québécois et adopte un aménagement propice à la collaboration. Pour de petites réunions d’affaires, il est également possible de réserver l’une des magnifiques suites qui peuvent accueillir des groupes jusqu’à 12 personnes. Nous ne pouvons passer sous silence le fait que le Hilton possède aussi la plus grande salle de bal en ville, parfaite pour les événements d’envergure.
« Nous sommes très fiers d’être présents à Québec depuis 50 ans » , indique Jean-François Lincourt. Tout au long de l’année, le Hilton Québec soulignera la longévité de l’hôtel en proposant des activités qui seront annoncées sur les comptes Facebook et Instagram de l’établissement et du restaurant. Afin d’accompagner les célébrations, quatre bières ont également été créées pour le CABU boire et manger en collaboration avec une distillerie locale.
Le nom du restaurant a été inspiré du mot caboulot. Les caboulots étaient de petites buvettes éphémères installées sur les glaces du fleuve Saint-Laurent au 19e siècle pour y servir du bonheur comestible et de l’alcool.
Pour en savoir davantage : 1100, boul. René-Lévesque Est, Québec 418 647-2411 | restaurantcabu.ca | hilton.com
Affaires / Profil
Laurence Kim Petit
Infirmière - Vice-présidente et copropriétaire
Amélie Boulay
Infirmière - Vice-présidente et copropriétaire
Jessica M. Petit
Infirmière - Présidente et copropriétaire


la qualité est bien plus qu’un simple mot à la mode Chez alpha reCherChe Clinique. Cette CaraCtéristique fait en effet partie intégrante de la mission de l’entreprise et elle rassemble tous les employés dans l’exerCiCe de leurs fonCtions.
Créée en 2008 à Loretteville puis déménagée à Val-Bélair quelques années plus tard, Alpha Recherche Clinique concentre ses activités dans le développement de médicaments novateurs, notamment par l’ajout de nouvelles molécules ou par la modification de molécules existantes. « En fait, nous offrons à la population la possibilité de participer à des études cliniques de phases II, III et IV, et de bénéficier d’un suivi médical attentif et de haute qualité tout au long de l’étude », explique Jessica Petit, directrice de l’un des trois centres de l’entreprise, celui de Val-Bélair. En fait, Alpha Recherche Clinique recrute des volontaires en bonne santé ou souffrant de diverses maladies dans le cadre de protocoles de recherche approuvés par Santé Canada et par d’autres organismes réglementaires.
Jusqu’à maintenant, Alpha Recherche Clinique a réalisé plus de 200 études cliniques relatives à des problèmes de santé comme la maladie d’Alzheimer, la dyslipidémie (cholestérol), la dépression, le diabète de type 2, l’influenza, les maladies cardiaques et l’obésité ou surpoids avec arthrose du genou. « Notre entreprise agit comme soustraitant pour différentes compagnies pharmaceutiques qui recherchent qualité et fiabilité à la suite d’études cliniques réalisées par nos équipes, explique Amélie Boulay, directrice du centre de Lebourgneuf. Les compagnies pharmaceutiques font régulièrement appel à notre expertise et à nos services. D’ailleurs, les mandats que nous recevons sont largement attribuables à la qualité de notre travail. » D’autres recherches cliniques porteront prochainement sur le diabète et les problèmes dermatologiques et urologiques.
À la suite d’un examen de santé, les participants doivent répondre à certains critères afin de confirmer leur éligibilité. « Nous accordons la priorité à la santé et à la sécurité des gens ainsi qu’à la qualité de nos recherches. Chaque participant est au cœur de nos interventions, affirme Jessica Petit. Aucune rémunération n’est accordée, à l‘exception des frais de déplacement. Nos coordonnatrices de recherche, infirmières, médecins de famille et médecins spécialistes mettent toutes leurs ressources à la disposition des personnes faisant l’objet des études cliniques. »
Toujours à l’avant-garde dans sa sphère d’activité, Alpha Recherche Clinique vient d’ouvrir une succursale à Lévis afin de répondre aux besoins exprimés par le milieu. Outre un centre de recherche, le bâtiment comporte un centre de perfusions ainsi que la toute première clinique privée Alpha Soins infirmiers. La population aura la possibilité d’y obtenir plusieurs services en soins infirmiers, incluant la vaccination, les prélèvements sanguins, le dépistage de maladies neurodégénératives et le test PAP, sans oublier des conseils liés à la santé en voyage. « Tous nos centres sont situés à proximité d’une clinique médicale, des ressources avec lesquelles nous travaillons en étroite collaboration », souligne Laurence Petit, directrice du centre de Lévis.
Et puisque « Alpha », représente la première lettre de l’alphabet grec, les trois dirigeantes et leurs employés mettent leurs compétences et leur expérience au service de l’entreprise afin qu’Alpha Recherche Clinique demeure à la fois le numéro un dans son domaine et un gage de qualité.
Pour en savoir davantage :
Lévis
5801, boul. Wilfrid-Carrier, local 412, Lévis 418 380-1112 | infolevis@alpha-recherche.ca
Lebourgneuf
725, boul. Lebourgneuf, Québec 418 704-1112 | infolb9@alpha-recherche.ca
Val-Bélair
1147, boul. Pie-XI, local 207, Québec 418 847-1112 | info@alpha-recherche.ca
alpha-recherche.ca
Développement
i l ne suffit pas de C onnaître du su CC ès aveC ses produits ou serviCes au québeC pour qu’il en soit ainsi à l’international. en ontario et aux états-unis, par exemple, les lois, les règlements et le marChé peuvent présenter des différen C es importantes malgré la proximité géographique. quatre C onseils afin de maximiser ses C han C es de réussite.
Tout entrepreneur qui désire prendre de l’expansion hors des frontières du Québec devrait se doter d’un plan d’affaires ou mettre à jour celui avec lequel il s’est lancé en affaires. « Il y a une valeur ajoutée à le faire, car des
mondes séparent les territoires. Le danger, pour un entrepreneur ambitieux qui veut sortir de la province, c’est de penser que ça va se faire comme à la maison et qu’il n’a pas besoin d’une nouvelle stratégie », atteste d’entrée de jeu Audrey Charbonneau, associée en services-conseils chez Mallette.
« L’idée de faire évoluer son plan lorsqu’on est en expansion/ exportation, c’est beaucoup en ce qui a trait au modèle d’affaires : la structure de distribution est peut-être appelée à changer. Il pourrait être gagnant de repenser les ententes avec les nouveaux partenaires locaux. Notre expertise permet d’accompagner notre client dans cette importante réflexion, tient à ajouter Geneviève Coulombe, directrice principale en services-conseils chez Mallette. Au sein du cabinet, un éventail d’experts peut intervenir dans la démarche afin de faire avancer le client dans son projet. »

Geneviève Coulombe, Directrice principale Marketing, études et stratégie d’affaires.
Valider le potentiel commercial
Plus que de simples projections financières, le modèle mis de l’avant par Mallette s’appuie d’abord sur la validation du potentiel commercial. Y a-t-il de la place pour le produit proposé dans le marché visé ou non ? À cette étape, il se peut que ce soit un no go et que le client doive revoir sa stratégie de marché, notamment pour des raisons de prix ou de concurrence. Avant même d’en arriver aux projections, l’adéquation entre l’offre et le marché est évaluée.
Évaluer la faisabilité technique et opérationnelle
Encore une fois, chez Mallette, on déterminera si le modèle d’affaires tient la route ou s’il faut le faire évoluer. Des professionnels analysent le plan des ressources humaines. Quelles compétences clés sont requises ? Qu’est-il possible de sous-traiter ou d’automatiser comme processus pour contrer la rareté de la main-d’œuvre et offrir des emplois plus intéressants ? Bref, qu’est-ce qui est nécessaire à l’entreprise pour assurer la réussite de ses activités sur un nouveau territoire ? « Au fond, nous faisons rouler les affaires sur papier, résume Mme Coulombe. Nous examinons tout ce qui concerne les exigences logistiques et réglementaires. On opérationnalise l’idée, ce qui nous permet de définir l’ensemble des ressources humaines, financières et matérielles nécessaires à la mise en marche des activités. »
Élaborer les projections financières
Plusieurs questions doivent être abordées quand une entreprise souhaite faire des affaires à l’international. Par exemple, l’impact sur ses revenus si les ventes ne sont pas réalisées en devises canadiennes, les frais de transport, l’approvisionnement – incluant les délais de réception, de production et de livraison –, de même que les commissions aux distributeurs. Certaines considérations associées à la fiscalité peuvent aussi faire partie de l’équation.
« Chez Mallette, des plans d’affaires, on en voit passer des dizaines par année, mis à part ceux qu’on élabore en collaboration avec nos clients. Certains mènent à de véritables succès, d’autres à de tristes et coûteux échecs. Parce qu’un plan d’affaires développé par un cabinet de services professionnels, ça fait toute la différence auprès d’une institution financière et d’investisseurs potentiels. On ne doit pas hésiter à retenir les services d’une équipe multidisciplinaire pour franchir cette grande étape qu’est l’international avec un plan solide ! », conclut Audrey Charbonneau.

« d ans la préparation du plan d’affaires, nous intégrons des spé C ialistes en marketing, des C omptables, des stratèges, des éConomistes, des fisCalistes et des juristes. C’est là que nous nous positionnons différemment par rapport à nos C on C urrents, en mettant à profit notre équipe "360" et en agissant en tant que guiChet unique pour la pme québéCoise ! »
Pour en savoir davantage :
3075, chemin des Quatre-Bourgeois, bureau 200, Québec 418 653-4431 | mallette.ca
– Audrey Charbonneau, associée en services-conseils
/
Johanne Martin

f orte de ses 36 ans d’existen C e, bfl Canada Compte parmi les plus grandes so C iétés de gestion de risques, de Courtage d’assuranCe C ommer C iale et de servi C esC onseils en avantages so C iaux. e ntreprise québé C oise, elle est la seule, dans son se C teur d’a C tivité, à s’ins C rire dans le top 3 au Canada.
Partenaire des entreprises dans leurs objectifs de croissance, le cabinet veille à gérer leurs risques tout en appuyant leurs ambitions en misant sur une approche globale et intégrée.
Comptant 26 succursales au Canada dont son siège social au Québec, le bureau sis dans la Capitale-Nationale se distingue par son expertise et sa capacité à répondre aux plus grands enjeux.
Un partenaire 100 % québécois pour soutenir votre croissance et vos ambitions
Entièrement indépendante des assureurs, BFL CANADA représente l’intérêt ultime de ses clients. L’entreprise se démarque en outre par sa portée ici et à l’international tout en étant détenue et gérée par ses propres employés.
« BFL CANADA s’illustre également par ses valeurs, note la vice-présidentepositionnement stratégique et relations d’affaires pour l’Est du Québec, Julie Bédard. Nos actions sont ainsi guidées par six grands piliers : le respect et la reconnaissance de la diversité, l’excellence, l’intégrité, la collaboration, l’esprit entrepreneurial de même que le soutien à la communauté. » Le cabinet québécois s'implique activement dans plusieurs causes qui lui tiennent à cœur, dont le milieu de la santé, la culture, l’éducation, la jeunesse, l’entrepreneuriat et le leadership féminin.
En plus d'être une entreprise bienveillante envers sa communauté, BFL CANADA l'est tout autant envers ses clients et adopte une approche intégrée dans son offre de service personnalisée, proposant par le fait même une vision de services « 360 degrés ». La société pancanadienne accompagne d’ailleurs l’entrepreneur ambitieux tant au chapitre de la protection de son capital financier et de la gestion de ses risques qu’en ce qui a trait à ses ressources humaines afin d’assurer le recrutement et la rétention des employés en cette ère de rareté de la main-d’œuvre.
Beaulieu , conseiller en régimes d’assurance collective et vice-présidentassurances collectives.
Bédard, vice-présidentepositionnement stratégique et relations d’affaires pour l’Est du Québec, et Pascal
« Nous proposons une offre intégrée et notre approche est axée sur les services-conseils. À l’écoute des besoins de nos clients, nous analysons et recherchons les meilleurs produits offerts grâce aux relations que nous entretenons avec plus de 100 assureurs ici et à l’étranger. Le but : permettre à nos clients de faire des économies importantes tout en leur offrant la meilleure protection. Nous intervenons en amont afin d’évaluer à leur intention les différents risques, notamment en ce qui concerne la cybersécurité, l’ingénierie, les processus internes et les infrastructures », précise la vice-présidente.
Ultimement, l’entreprise pourra choisir la couverture dont elle a besoin selon sa capacité à gérer son niveau de risque. En raison de sa taille, BFL CANADA embrasse tous les secteurs d’activité. Du domaine maritime à celui de l’aéronautique en passant par le manufacturier exportateur, la société réunit des professionnels pancanadiens chevronnés possédant l’expertise nécessaire pour répondre aux besoins uniques et spécifiques de ces différentes activités. L’entreprise pourra également mandater BFL CANADA pour prendre en charge la gestion de ses réclamations en comptant sur une équipe de plus de 30 spécialistes veillant à ses intérêts.
En matière de recrutement et de rétention de personnel, le cabinet offre non seulement des services en assurance collective, mais également pour les régimes de retraite et l’assurance individuelle. Depuis peu, l’offre destinée à la clientèle s’est élargie. L’été dernier, une équipe en gestion de l’invalidité est venue s’ajouter chez BFL CANADA et, il y a quelques semaines, une nouvelle division a été créée pour la prise en charge du volet santé et sécurité du travail.
/ Une société privée gérée à 100 % par ses employés
/ 26 bureaux au Canada
/ Plus de 1300 employés à travers le pays
/ 98 % de taux de rétention de la clientèle
/ Plus de 2,4 milliards de dollars de volume de primes en assurance
/ Plus de 140 pays représentés grâce au partenariat conclu avec Lockton Global LLP
« Nous avons remarqué au fil des ans que beaucoup d’entreprises travaillaient en silo et faisaient affaire avec des consultants différents pour chaque aspect des avantages sociaux, communique Pascal Beaulieu, conseiller en régimes d’assurance collective et vice-président - assurances collectives chez BFL CANADA. Chez nous, le client bénéficie d’une vision globale pour maximiser sa contribution aux différents programmes d’avantages sociaux tout en s’assurant de la satisfaction des besoins réels et changeants de ses employés. »
Pour en savoir davantage :
2590, boul. Laurier, bureau TBC 600, Québec 418 658-6337 | bflcanada.ca


Chez les entrepreneurs et professionnels in C orporés, une question revient régulièrement : est-il préférable de détenir son assuran C e vie personnellement ou à travers sa Compagnie ? même lorsque le but n’est pas de Combler des besoins d’affaires, il est souvent intéressant de le faire par l’entremise de sa soCiété, notamment pour des raisons fisCales. la déCision ne devrait Cependant pas être prise à la légère, Car elle pourrait entraîner des ConséquenCes inattendues. Chaque Cas est unique et divers faCteurs doivent être Considérés avant d’agir.
L’un des attraits de souscrire l’assurance vie dans une société par actions réside dans le fait que les fonds nets d’impôt requis pour payer les primes seront généralement moindres pour la compagnie que pour son actionnaire. En effet, bien que les primes ne soient que rarement déductibles, moins de revenus auront habituellement été nécessaires pour générer les liquidités servant à les payer en raison de différences marquées dans les taux d’imposition.
À titre illustratif, le taux d’imposition marginal s’établit au minimum à 31,53 % pour un particulier québécois gagnant plus de 51 780 $ en 2024, alors que le « petit taux » (bénéficiant de la déduction pour petite entreprise) et le « gros taux » d’imposition corporatifs sur les revenus d’entreprise, eux, sont respectivement fixés à 12,2 % et 26,5 %.
Comme pour un particulier, après le décès, la société recevra la prestation libre d’impôt. De plus, la différence entre ce montant et le coût de base rajusté (CBR) de la police s’ajoutera au compte de dividende en capital (CDC), qui permet de verser des dividendes également libres d’impôt. En général, cela rendra la détention corporative plus rentable pour l’actionnaire. La prudence s’impose toutefois : étant donné l’importance du crédit au CDC sur cette rentabilité, cela signifie que des pertes en capital latentes ou déjà réalisées – qui réduiraient le montant pouvant être versé sans impôt – pourraient limiter l’attractivité de cette stratégie.
D’autre part, le fait de payer les primes dans la société permettra sans doute d’y réduire les revenus passifs; des revenus non seulement surimposés – pour la plupart d’entre eux – par rapport aux mêmes revenus s’ils étaient gagnés personnellement, mais entraînant aussi la réduction progressive du montant de revenu annuel admissible au petit taux lorsqu’ils excèdent 50 000 $ dans une année. Un coût, sous la forme de la perte partielle ou totale de l’avantage du report d’impôt sur les premiers 500 000 $ de revenus d'entreprise exploitée activement, pourrait donc être évité ou minimisé. D’ailleurs, même le revenu tiré du placement dans une police d'assurance vie permanente n’est pas considéré comme un revenu passif dans la mesure où la police est exonérée.
ATTENTION DE PROTÉGER VOTRE ÉLIGIBILITÉ
À LA DÉDUCTION POUR GAINS EN CAPITAL !
La vigilance est toutefois de mise lorsqu’il y a possibilité que la société soit vendue, particulièrement puisque la détention corporative pourrait compromettre le droit à l’exonération cumulative des gains en capital, qui permet d’éviter l’impôt sur 1 016 836 $ de gains en capital en 2024, lorsque les actions sont des « actions admissibles de petite entreprise ». Or, les assurances vie – et leurs valeurs de rachat – ne sont pas considérées comme des actifs qui sont principalement utilisés dans une entreprise canadienne exploitée activement, ce qui pourrait entraîner le non-respect de certains critères, et la perte d’un avantage pouvant valoir jusqu’à 271 038 $ par particulier québécois.
Lorsque l’on constate que ces critères ne sont pas respectés, il est normalement possible de « purifier » la société en transférant la police à son actionnaire, que ce dernier soit une société de gestion ou le propriétaire, par le biais d’un dividende en nature. Il faut toutefois savoir que cela peut avoir des conséquences fiscales importantes, spécialement lorsqu’il s’est écoulé beaucoup de temps depuis le moment de la souscription ou que l’état de santé de l’assuré s’est détérioré, entraînant ainsi une hausse de la valeur de la police.
Gardez en tête que souscrire une assurance vie permanente dans une société opérante, tout comme dans une société de gestion qu’on envisage de liquider du vivant de l’assuré, est rarement recommandé.
QUI VOULEZ-VOUS AVANTAGER ?
La détention corporative peut complexifier la planification successorale de l’actionnaire dans la mesure où le bénéficiaire de la prestation doit être la société titulaire du contrat pour ne pas entraîner de conséquences fiscales immédiates. Il est crucial que vos documents légaux (testament, convention entre actionnaires, etc.) et la

Olivier B . Ampleman
CFA, CAIA, M. Fisc., Pl. Fin., conseiller en gestion de patrimoine et gestionnaire de portefeuille
Équipe Ampleman
Financière Banque Nationale Gestion de patrimoine
structure de l’actionnariat soient coordonnés pour que les bénéficiaires ultimes que vous souhaitez avantager reçoivent bel et bien les sommes attendues, et ce, sous la forme de dividende désirée, selon votre planification. Aussi, le règlement d’une succession exigeant fréquemment de 12 à 36 mois, ces personnes devront posséder suffisamment de liquidités afin de combler leurs besoins au cours de cette période.
Le fait que la police soit la propriété de la société l’expose aux créanciers de celle-ci, contrairement à la détention personnelle. Dans ce dernier cas, si la désignation de bénéficiaire appropriée est faite, la police et son éventuel capital-décès peuvent même être insaisissables pour les créanciers personnels. Cela peut constituer une considération non négligeable pour des entrepreneurs et professionnels plus à risque.
L’ASPECT LE PLUS IMPORTANT : CONSULTEZ VOS PROFESSIONNELS
Si la rentabilité d’une détention corporative peut, à première vue, paraître plus élevée que celle d’une détention personnelle, et permettre des possibilités de planification supplémentaires, elle pourrait également entraîner différentes complications. Pour identifier celles qui pourraient faire dérailler la mise en œuvre du plan, et prendre une décision éclairée, il demeure donc primordial de consulter votre conseiller, votre comptable ou fiscaliste, et vos juristes. Leur expertise s’avère nécessaire pour tenir compte de tous les éléments qui composent votre situation et pour être en mesure d’optimiser votre patrimoine, cela, sans tomber dans les divers pièges de la fiscalité et du droit des sociétés.
Pour en savoir davantage : fbngp.ca | equipeampleman.ca



Marc Turgeon Courtier immobilier résidentiel et commercial marc.turgeon@engelvoelkers.com 418-569-8578

Samuel Labrecque Courtier immobilier résidentiel et conseiller
samuel.labrecque@engelvoelkers.com 418-572-3034




Benoit Raymond, président, ACERO Groupe Immobilier inc.
président d’aCero générateur immobilier et entrepreneur dans l’âme, benoît raymond est sans C ontredit un leader dans le développement immobilier de q uébe C . s on se C ret ? b âtir des immeubles qui se distinguent tant par leur arChiteCture raffinée et leur design re C her C hé que leur fenestration abondante. d es parti C ularités qui font le bonheur de ses Clients !
« La distinction, c’est notre marque de commerce, et ce, depuis le début de nos activités en 2010. Notre modèle d’affaires consiste à développer avec audace, tout en portant une attention rigoureuse aux moindres détails et en ne faisant aucune concession dans l’atteinte des résultats », explique Benoit Raymond, qui est également président de Hochelaga Construction. Compagnie intégrée d’investissements, de développement et de construction dans les secteurs multirésidentiel, commercial et industriel, Acero produit des rendements financiers attrayants pour ses partenaires.
Au fil des ans, Acero s’est illustrée par la mise en œuvre de différents projets immobiliers. Nous n’avons qu’à penser au Jac, un immeuble de 99 condos locatifs situé au cœur du quartier Limoilou à Québec, ou encore au complexe DCM, un bâtiment de 85 000 pieds carrés destiné à des usages industriels dans le nouvel Écoparc de Saint-Bruno-de-Montarville. « Depuis 2010, nous avons livré une quinzaine de projets dont la valeur se chiffre à près de 200 millions de dollars », affirme M. Raymond. Mais le plus beau est en voie de réalisation…
La construction du projet multirésidentiel SWL incarne parfaitement toute l’expertise d’Acero. Inspiré du nom de Sir Wilfrid Laurier, l’édifice de 90 millions de dollars situé à l’angle du boulevard Laurier et de l’avenue de Germain-des-Prés, dans le secteur Sainte-Foy, regroupera 172 condos et penthouses répartis sur 23 étages. Un projet fabuleux qui dessinera de nouveaux horizons pour les futurs propriétaires dès 2025. « Nous voulions bâtir quelque chose d’unique et de distinctif dans la région. Il s’agira de la plus haute tour à vocation strictement résidentielle à Québec » , affirme Benoit Raymond. Après seulement un an de mise en marché et malgré une conjoncture économique plus difficile, 60 % des unités sont déjà vendues. « Dès le lancement du projet, l’engouement a été instantané, mentionne Jessica Johnson, directrice des ventes et de la location. C’est un produit recherché à Québec. Les gens sont prêts à vendre leur maison, mais ils ne veulent pas diminuer leur qualité de vie. Les condos du SWL, grâce à leur localisation, ont une valeur inestimable. »


Le SWL propose des studios, de magnifiques condos avec une, deux ou trois chambres, ainsi que de luxueux penthouses offrant une vue imprenable sur la région. Ceux-ci représentent d’ailleurs une offre exclusive et rare sur le marché immobilier de Québec puisqu’il en existe très peu. Chaque penthouse dispose d’une vue à 180 degrés sur le fleuve Saint-Laurent ou les Laurentides. Avec leurs plafonds d’une hauteur de 10 pieds et leur fenestration du plancher au plafond, le luxe est au rendezvous. Enfin, les propriétaires de ces unités bénéficieront d’une superficie moyenne de 2300 pieds carrés, ce qui leur laissera tout l’espace souhaité afin d’aménager leur aire de vie selon leurs goûts et leurs besoins.
Aire de vie, penthouse côté sud.

Le bureau des ventes du SWL ouvrira ses portes le 22 février 2024, tout près du site du projet, et sera situé au 1200, avenue de Germain-des-Prés. Une belle occasion d’admirer votre nouveau milieu de vie !
Stratégiquement situé à proximité de nombreux services commerciaux, d’éducation, de santé et de transport, le SWL offrira aussi de prestigieuses aires de vie communes à ses occupants. Le luxueux complexe disposera d’une piscine intérieure avec expérience thermale complète, un gymnase, un salon de type lounge, une cuisine de chef, sans oublier la terrasse et la piscine sur le toit du 20e étage, qui offrira une vue panoramique exceptionnelle sur la ville. « Il existe très peu de condos neufs à vendre dans la région et le SWL constitue une occasion en or pour les personnes qui souhaitent conjuguer qualité de vie, environnement confortable, services pratiques et espaces luxueux », résume le président d’Acero.

Par ailleurs, Acero a récemment complété d’autres projets de construction, dont le complexe Novi, situé au 1440, rue Cyrille-Duquet, à Québec. Le complexe Novi accueille différents professionnels de la santé, et le siège social d’Acero et de Hochelaga Construction y a été intégré. « Le bâtiment a été construit selon les normes de qualité les plus élevées, offrant un environnement propice pour des professionnels de la santé, explique Benoit Raymond. De plus, l’emplacement stratégique du complexe en fait un choix idéal pour la clientèle et les employés. » Le bâtiment dispose d’un vaste stationnement comprenant 180 cases extérieures et 53 à l’intérieur. Enfin, le complexe est esthétiquement magnifique, avec des plafonds de 10 à 14 pieds de hauteur et de grandes fenêtres offrant une luminosité naturelle abondante. « Ces caractéristiques créeront une expérience exceptionnelle pour les futurs locataires » , résume M. Raymond. Plus de 60 % de l’immeuble est déjà occupé par des professionnels de la santé et des espaces sont toujours disponibles.
Enfin, à Saint-Augustin-de-Desmaures, le parc industriel François-Leclerc vient d’accueillir le tout nouveau bâtiment Le Singapour situé en bordure de l’autoroute 40, une autre réalisation signée Acero Générateur immobilier. Ce nouveau campus industriel locatif s’adresse aux entreprises qui recherchent des espaces à usage industriel accessibles, neufs et sur mesure. Le projet comprend deux bâtiments dont la superficie couvre 95 000 pieds carrés. La phase 2 débutera en avril 2024.
D’autres projets sont en cours de développement et se concrétiseront en 2024. « Chose certaine, Acero Générateur immobilier continuera d’afficher ses couleurs et sa distinction aux quatre coins de la grande région de Québec » , conclut Benoit Raymond.

Pour en savoir davantage : 1800, rue Semple, local 201, Québec 418 255-1790 | aceroimmobilier.com
Vente et location : Jessica Johnson 418 455-0778 | jjohnson@aceroimmobilier.com
EN LOCATION DÈS MAINTENANT OCCUPATION PRINTEMPS 2024

PAVILLON DE LOCATION
7985, rue des Métis, Québec
418 929 3888
LB9PHASE3.CA
CONDOS LOCATIFS TOUT INCLUS
Habiter LB9 Phase 3, c’est profiter de toutes les occasions. Installez-vous dans un quartier connecté sur votre réalité !
• 288 unités de 545 à 2 573 pi 2
• 3 ascenseurs haute vitesse
• Piscine intérieure chauffée
• Salle d’entraînement de pointe
• Espaces lounge multifonctionnels
• Terrasse extérieure avec BBQ et vue sur la ville
• Wi-Fi partout !
• Et plus encore…






e ntreprise réputée depuis plus de 45 ans, notamment dans le domaine de la ConstruCtion de maisons neuves, ConstruCtion beaubois dresse aveC nous un profil de la demeure tendanCe en 2024
En 2024 et 2025, de nouveaux projets résidentiels transformeront le paysage dans plusieurs secteurs de la grande région de Québec. Et ces projets auront ceci de particulier qu’ils proposeront des styles de maisons qui répondent à certaines normes imposées par les villes ou les promoteurs. L'effet recherché : créer des quartiers harmonieux et agencés.
Participant de manière active à l’élaboration de ces nouveaux projets, Samuel Boiteau, propriétaire de Construction Beaubois, confirme que les styles contemporain, scandinave et farmhouse continueront de s’imposer. « Nous proposons plus de 25 modèles de maisons unifamiliales qui définissent ces trois styles » , confirme-t-il. Dans tous les cas, le revêtement extérieur est un heureux agencement de matériaux nobles, tels que le bois et la pierre, et de panneaux de fibrociment, pour un look des plus distingués qui joue sur les contrastes de couleurs sobres (blanc, noir, gris, brun et beige).



Le spécialiste précise par ailleurs qu’une tendance se dessine tranquillement : les maisons avec un toit plat. Alors que les villes et les promoteurs les boudaient, elles regagnent lentement du terrain.
Enfin, il semble que l’aire ouverte, conjuguée à de grandes fenêtres qui laissent pénétrer la lumière naturelle à profusion, se trouve toujours en haut de la liste des demandes des occupants. « Les gens veulent une grande cuisine aérée, avec le plus gros îlot possible et un espace lunch qui leur permettra d’y prendre leurs repas en famille. La salle à manger sera quelque peu délaissée », conclut Samuel Boiteau.
Pour en savoir davantage : constructionsbeaubois.com





e st-il préférable de vendre votre maison ou de la rénover ? une grande question à laquelle sont Confrontés plusieurs propriétaires. entreprise multidis C iplinaire spé C ialisée en arChiteCture, design et ConstruCtion, atelier avant-garde nous révèle une tendanCe qui se profile à l’horizon.
Designer en chef chez Atelier AvantGarde, Valérie Cameron note une recrudescence des projets de rénovation, voire d’agrandissement de maisons. « Les gens préfèrent de plus en plus demeurer dans leur résidence actuelle, mais en procédant à des changements qui leur permettront d’en profiter le plus longtemps possible », explique la professionnelle. Et c’est particulièrement le cas des personnes qui sont ou seront bientôt à la retraite.


Répondant au courant écologique, les types de revêtements extérieurs s’inscrivent dans une optique de longévité.
« Lorsqu’on possède une maison située dans un beau secteur, avec un bon voisinage ou tout près des services, le meilleur investissement qu’on puisse faire, c’est de rénover au lieu de vendre », poursuit-elle, ajoutant que la valeur sentimentale d’une demeure joue aussi dans la décision de continuer d’y vivre.
© Atelier Avant-Garde
Dans la cuisine tendance, on trouvera un immense îlot et des électroménagers camouflés derrière les panneaux.


Tant qu’à rénover, autant miser sur des valeurs sûres. La designer en chef recommande ainsi l’utilisation de matériaux durables et faciles d’entretien. Répondant au courant écologique, les types de revêtements extérieurs s’inscrivent également dans une optique de longévité, qu’ils soient en acier ou en aluminium. Qui plus est, le choix est varié et intéressant. Autre option fabuleuse : les produits de maçonnerie alternative qui s’installent aisément et apportent de la noblesse aux revêtements extérieurs.
Autre tendance qui continue de briller : les aires de vie principales aérées et lumineuses. « Les gens veulent une généreuse fenestration et des portesfenêtres surdimensionnées, témoigne Valérie Cameron. Dans la cuisine, on trouvera également un immense îlot et des électroménagers camouflés derrière les panneaux. » Enfin, l’art de l’éclairage, autant à l’intérieur qu’à l’extérieur, permettra de créer des zones d’ambiance et de mettre en valeur la beauté du design et des matériaux à l’aide de la domotique.
Finalement, la majorité des projets de rénovation et d’agrandissement incluent un volet consacré à l’aménagement extérieur. « Les résidents souhaitent vivre dehors le plus longtemps possible en investissant dans une terrasse, une pergola, une cuisine et un salon extérieurs. Toiles motorisées, fauteuils confortables, foyer… tout est pensé dans le but de créer une zone de tranquillité au cœur d’une vie qui va souvent trop vite », conclut la designer en chef d’Atelier Avant-Garde.
Pour en savoir davantage : aag.qc.ca
l'année 2024 s'annonCe Comme une période C harnière pour le design d'intérieur, mariant aveC brio innovation et héritage. explorez aveC les designers-Cuisinistes de ma Cuisiniste les évolutions Clés qui donneront forme à nos espaCes de vie Cette année.

RÉMINISCENCE DES ANNÉES 1990, FORMES GÉOMÉTRIQUES ET RETOUR DU VINTAGE
L'essence des années 1990 revit à travers des touches de couleurs néon vibrantes et des éléments aux allures plastifiées, ajoutant une esthétique rétro et ludique.
Les formes géométriques audacieuses et les éléments rétro réinventés évoquent une dimension artistique et contemporaine, créant des espaces où le passé et le présent se conjuguent parfaitement.
En 2024, l'avancée fulgurante de la technologie se fond harmonieusement avec le minimalisme fonctionnel, créant une synergie parfaite dans le design d'intérieur. L'intégration de dispositifs intelligents et de systèmes d’automatisation, tels que l’ajout de luminosité dans des tiroirs ou des placards dès l’activation de la porte, s'aligne sur la quête d'espaces pratiques, bien organisés et multifonctionnels. Un besoin et une nécessité grandissants, particulièrement en contexte de télétravail.
Une riche palette d'influences culturelles sert de toile de fond à des espaces uniques, mettant en avant l'artisanat local et les éléments culturels dans toute leur splendeur. Parallèlement, l'utilisation judicieuse de matériaux luxueux comme le velours, le satin et le corduroy ajoute une touche de sophistication, créant des ambiances chaleureuses et accueillantes.
Une palette organique, puisée dans les tons terreux, les verts apaisants et les nuances de bleu inspirées de la nature, prend vie cette année. Les textures brutes, telles que le bambou, le rotin et le lin naturel, confèrent une dimension organique aux espaces. De plus, le retour des tons de bois plus foncés apporte une élégance intemporelle et sophistiquée.
L'éthique environnementale guide les choix de design en 2024. Des pratiques écoresponsables comme la réutilisation de mobilier existant s'inscrivent inévitablement dans une vision pérenne de l'aménagement intérieur. Dans cette perspective s’inscrit également l’avènement de nouveaux matériaux durables, tels que les comptoirs de pierre sintérisée.



Cette année, le design d'intérieur s'affirme comme un terrain d'exploration où s’entremêlent différents courants. Ces tendances promettent de créer des espaces à la fois exclusifs, fonctionnels et esthétiques dont chaque détail raconte une histoire unique.
Pour en savoir davantage : macuisiniste.com

Ma Cuisiniste, c’est une équipe de designers-cuisinistes et d’ébénistes qualifiée, créative et audacieuse, prête à sublimer la rénovation de votre cuisine, de salle de bain ou de tout autre espace sur mesure.
Forts de plus de 10 ans d'expérience, les fondateurs, Jessie Fréchette et Jeff Boivin, ont insufflé à Ma Cuisiniste une élégance inégalée qui a élevé l’entreprise au rang de référence incontournable dans le domaine des armoires de cuisine et de salle de bain à Québec.
Au fil des saisons, notre équipe a évolué et intégré des professionnels passionnés par le design d'intérieur, chacun partageant la vision chaleureuse, dynamique et méticuleuse qui caractérise notre approche unique.
De ces alliances est né un précieux partenariat avec Miralis, qui nous ouvre les portes d’une usine de fabrication des plus performantes. Cette expertise nous permet de concevoir des armoires de cuisine et de salle de bain entièrement sur mesure et d’une qualité exceptionnelle. Grâce à cette synergie hors du commun, nous transformons chaque projet, chaque pièce en oeuvre d’art.
Quelle que soit l'envergure de votre projet ou de vos préférences esthétiques, Ma Cuisiniste s'engage à concrétiser vos rêves avec une expertise raffinée et un dévouement sincère. Nous sommes là pour vous permettre d’évoluer, de vous épanouir et de vous rassembler dans des espaces habitables qui reflètent votre mode de vie et votre style.

RÉSIDENCE P&T
Le charme et le luxe des chambres d’hôtel

RÉSIDENCE L&M
Quand le cachet d’autrefois rencontre le design moderne

RÉSIDENCE P&L
Lumière naturelle et ambiance intemporelle
q uelles seront les grandes tendan C es dans nos C uisines en 2024 ? s pé C ialisée dans la C on C eption, la fabri C ation et l'installation d'armoires sur mesure depuis maintenant 30 ans, a rmoires ad + se pronon C e sur la question. Tendances 2024 / Habitation / Marie-Josée

« En 2024, on s’éloigne de la cuisine au style prévisible et on invite le client à sortir de sa zone de confort, à explorer de nouvelles idées », exprime Maude Fortin, designercuisiniste pour l’entreprise, qui rappelle toutefois que les grands courants classiques et intemporels auront toujours leur place à côté des tendances qui, elles, sont en constante évolution.

En 2024, on assiste au retour des couleurs terre telles que le crème et le beige. « On veut plus que jamais intégrer la nature au cœur de nos cuisines en utilisant des matériaux nobles », poursuit Maude. Les céramiques artisanales aux lignes imparfaites, les comptoirs au fini texturé, mat ou martelé, les motifs assumés, ou encore les essences de bois avec des grains marqués ont la cote.
Alors que la cuisine deux tons est de moins en moins recherchée, la cuisine monochrome gagne en popularité. « Certains osent même la cuisine tout en bois; un clin d’œil aux années 1980, mais bien dosé, précise la professionnelle. On cherche à renouer avec nos racines en intégrant des éléments qui suscitent une émotion. Certains voudront, par exemple, mettre en valeur un petit bahut hérité de leur mère ou conserver et utiliser des éléments architecturaux existants dans leur nouveau décor, au lieu de tout raser et repartir à zéro. »
Enfin, il semble que les poignées d’armoires blanches soient une tendance en évolution. On assiste également au retour des poignées en inox, alors que les sections d’armoires sans poignées sont toujours d’actualité. « Mais tout ce qui est accessoire, comme les poignées et les luminaires, se fera plus discret, ceci afin de laisser toute la place aux détails de conceptualisation de la cuisine », conclut Maude Fortin.





q u'ont en C ommun C es deux modèles d'es C aliers réalisés par esCaliers de la Chaudière malgré leur style très différent ? ils répondent aux dernières tendanCes qui misent sur les teintes et les essenCes de bois pâles ainsi que le verre pour alléger le déCor.
Les spécialistes de l’entreprise située en Beauce le confirment : pas de retour à l’horizon des bois plus foncés, autrefois synonymes d’élégance. De nos jours, le chêne blanc vole la vedette, d’autant plus que son rapport qualitéprix est quasi imbattable. On l’utilisera pour des marches ouvertes toutes en légèreté, combinées à un limon central ou latéral de couleur pâle ou très contrastante. Le chêne blanc se mariera également très bien avec des contremarches blanches pour un look épuré. Dans les deux cas, l’escalier respire, même au sein d’espaces de vie parfois plus étroits.


Les deux solutions demeurent tendance; c’est plutôt le style de la demeure (contemporaine, classique, scandinave, farmhouse…) qui conduira au choix du garde-corps approprié. Ici encore, on prendra soin d’éviter d’alourdir le décor en utilisant une main courante de teinte pâle ainsi que de fins barreaux. Le garde-corps en verre sera le choix tout indiqué dans une demeure de style contemporain.
L’IMPERFECTION A LA COTE !
Tendance observée l’an dernier et qui s’avère encore dominante en 2024 : le choix d’un bois qui laisse transparaître son veinage et ses nœuds; bref, ses jolies imperfections. C’est ce qui ajoute du caractère à l’escalier, contrairement à un bois trop lisse privé de son cachet naturel.
Pour en savoir davantage : escaliersdelachaudiere.com
Astuce lumineuse
Pour rehausser la beauté et la richesse de votre escalier une fois la nuit tombée, rien de tel qu’un éclairage bien dosé qui contribuera à créer une ambiance chaleureuse. Demandez les conseils avisés d’un expert chez Escaliers de la Chaudière pour quelques idées… lumineuses !

Chaque année, un vent de renouveau souffle sur l’univers du design intérieur. r estant à l’avant-garde des styles et des tendan C es qui font leur apparition dans les salles d’exposition, sanfaçon design prône néanmoins une approChe axée sur le design intemporel, Celui qui traverse les années en beauté.
Il y eut une année où les cuisines et les salles de bain tendance étaient rouge ou orangé. Une autre où elles étaient bleu marine ou sarcelle. Quelques années plus tard, cette tendance avait disparu pour laisser place à une autre. « Les tendances sont par définition éphémères, expose Alain Sanfaçon, propriétaire de l’entreprise qui existe depuis plus de 50 ans. Chez Sanfaçon Design, notre mission est de créer un environnement qui ne se réduira pas à la tendance de l’heure, mais qui deviendra un décor intemporel. »
Les matériaux nobles comme le bois et les teintes neutres comme le blanc, les tons de gris et le noir sont parmi les valeurs sûres à intégrer dans tout décor qui se veut d’une élégance permanente. Pour ajouter une touche actuelle, l’expert conseille plutôt de choisir des accessoires qui répondent aux couleurs tendance et de simplement les remplacer une fois que celles-ci auront évolué.
Au-delà d’un plaidoyer en faveur de l’intemporalité, certaines tendances ont retenu l’attention des spécialistes de Sanfaçon Design. La maison de style farmhouse étant encore très prisée par la clientèle, le design intérieur y trouve son écho avec des touches de bois naturel qui apportent beaucoup de chaleur dans l’espace de vie. « Le hickory et le noyer sont deux essences de bois exotiques qui se marient très bien dans ce style de demeure que j’appelle le "nouveau classique" » , explique M. Sanfaçon.
Autre matériau intéressant : la mélamine italienne de la collection Nature Plus qui, grâce à sa texture, ressemble à s’y méprendre au bois naturel. Enfin, la salle de bain se veut très lumineuse en 2024 et l’éclairage est d’une grande importance : les dégradés de lumière et les miroirs rétroéclairés font partie des « must » de l’année.
Pour en savoir davantage : sanfacondesign.ca



Découvrez votre future salle de bain en 3D et en réalité virtuelle avant le début des travaux.

RBQ : 2549-0129-03




info@sanfacondesign.com https://sanfacondesign.ca/
l a saison froide est déjà bien entamée et un poêle ou un foyer devient souvent le point
Central de la pièCe et même de la maison. il agit à titre d’élément rassembleur puisque C’est souvent autour de lui que l’on se retrouve pour C réer de beaux souvenirs. i l est don C primordial qu’il Corresponde non seulement au déCor, mais aussi aux besoins des oCCupants et de leur style de vie.

Encore méconnus, mais de plus en plus populaires, les foyers électriques feront certainement leur apparition dans de nombreuses maisons en 2024. Ces appareils offrent un réalisme, une profondeur inégalée et des flammes si vraies que vous ne croirez pas que c’est électrique. Avec plusieurs choix de décor et de finition, que votre décor soit plus traditionnel ou contemporain, ils s’adaptent parfaitement à n’importe quel style.


Le poêle à bois restera toujours un classique indémodable, qui a su se renouveler pour s’adapter aux tendances au fil du temps. Les innovations technologiques des dernières années rendent les poêles à bois plus performants, la gamme d’appareils disponibles sur le marché est plus diversifiée. L’aménagement d’un poêle permet de créer un point focal, rendant votre pièce douce, accueillante et confortable. L’ajout d’accessoires autour du poêle vient aussi donner du caractère et personnaliser votre décor en plus de définir l’espace dédié à l’appareil.
Tous les produits présentés et plusieurs autres sont disponibles chez Les Cheminées Gamelin : 275, avenue Saint-Sacrement, local 120 | 418-527-8906 | info@leschemineesgamelin.com | leschemineesgamelin.com


Tendances 2024 / Habitation
spéCialiste en éleCtroménagers de qualité supérieure, karl desbiens, propriétaire de lévesque éleCtroménagers, nous révèle trois tendanCes où le design et l’effiCaCité environnementale redéfinissent nos espaC es et nos habitudes de vie en 2024.
Tendance marquée depuis la pandémie : les gens reçoivent davantage à la maison et investissent dans une cuisine plus fonctionnelle et efficace. C’est ainsi que la cuisinière ou la plaque de cuisson de 36 pouces (au lieu du format conventionnel de 30 pouces) a gagné en popularité, allant de pair avec un four plus large dans le cas d’une cuisinière. « Le coup d’œil est par ailleurs plus beau », renchérit le propriétaire de Lévesque Électroménagers, ajoutant que les fabricants prêtent de plus en plus attention au design dans la conception de leurs électroménagers.

Les surfaces de cuisson de 30, 36 et même 48 pouces sont offertes dans la marque italienne Bertazzoni et démontrées en succursale, mais également dans d’autres marques de prestige proposées en magasin.
Aussi design que discrète, cette hotte s’installe directement au plafond, à l’intérieur d’une retombée pouvant atteindre une hauteur de 10 pieds. Autre avantage appréciable : elle permet de dégager la vue, en particulier lorsqu’elle est installée au-dessus d’un îlot de cuisine. « Et, précise M. Desbiens, elle ne perd en rien de son efficacité. »


Cette sécheuse avec pompe à chaleur de marque Asko ne nécessite aucune sortie extérieure. « Une innovation on ne peut plus adaptée à notre climat nordique ! », lance M. Desbiens. En plus de réduire les coûts énergétiques de moitié grâce à l’absence d’éléments chauffants, son processus de séchage est plus doux et minimise également le risque de rétrécissement du linge, pouvant même sécher des tissus très sensibles. Enfin, ce type de sécheuse peut être installé dans des espaces confinés, avec peu d’air entrant.
L’ART de répondre à tous vos besoins en électroménagers depuis plus de 50 ans.

Toutes les marques de renom, tous les produits avant-gardistes sur une même surface et un service après-vente inégalé.

Visitez nos deux succursales :



l’inContournable à adopter en matière d’éle C troménagers haut de gamme C ette année est sans C ontredit la Cuisine intégrée. Ce type de ConCeption s’avère populaire pour C réer des espa C es de C uisine modernes et élégants, en mettant l’a CC ent sur la fon C tionnalité tout en C réant un aspe C t visuel soigné. v oi C i les tendanCes à observer selon françois l éveillé, dire C teur des a C hats des éleCtroménagers Chez tanguay.
« Tanguay vient d’effectuer un important virage dans son offre d’électroménagers pour la cuisine haut de gamme, explique M. Léveillé. Nous proposons désormais une quinzaine de marques distinctives à notre clientèle, dont Jennair et Fisher & Paykel. » Ce changement est très apparent dans les commerces de la bannière à la grandeur de la province. L’inspiration et le choix sont au rendez-vous pour quiconque foule le plancher des salles de montre.
Avec les cuisines intégrées qui gagnent le cœur de nombreux Québécois, une bonne analyse des besoins s’impose. Le choix des électros devient en effet la pierre angulaire du projet. Et pour cause ! Dans une cuisine intégrée, les appareils tels que le réfrigérateur, le lave-vaisselle, le four et la hotte disparaissent littéralement derrière les panneaux d’armoires, ceux-ci servant de finition aux électroménagers.

« Les colonnes de réfrigération sont ainsi modulables pratiquement à l’infini. On peut choisir la largeur, la hauteur et la profondeur. Il suffit de demander pour l’obtenir ! » , précise M. Léveillé. Les petits appareils peuvent également se dissimuler à merveille dans ce type de cuisine.
Les fours à cuisson rapide ou à vapeur font également une apparition remarquée dans les nouvelles cuisines. De même, les classiques cuisinières et fours au gaz font place aux plaques à induction. Meilleurs pour l’environnement et plus rapides, ces produits sont très recherchés.
Les nouvelles technologies sont aussi de plus en plus présentes. Connectivité et appareils intelligents viennent ainsi faciliter la vie au quotidien.
Pour une cuisine dernier cri, c’est chez Tanguay qu’il faut aller ! Une visite en magasin vous permettra de constater la qualité et la variété de produits qui se sont ajoutés au catalogue du commerçant.


Tendances 2024 / Habitation



d e l’espaC e et du rangement dans un C adre harmonieux, C’est Ce que nous reCherChons tous ! rangement spaCer, une entreprise familiale spéCialisée en serviCes et produits, est assurément la bonne adresse pour optimiser les espaCes de votre vie. Cette firme de q uébe C offre à ses C lients un aCC ompagnement professionnel personnalisé afin de déterminer les produits de rangement les mieux adaptés à leurs besoins !
Qu’il s’agisse de mobilier et de systèmes de rangement pratiques et esthétiques dont vous avez besoin pour utiliser au mieux l’espace de votre chambre à coucher ou de votre walk-in, de votre cuisine, d’une salle de bain ou de toute autre pièce de votre maison, les spécialistes du rangement et de l’optimisation de Rangement Spacer vous étonneront par la variété, l'élégance et la qualité des solutions qu’ils proposeront.
Ces spécialistes sont à la fine pointe des tendances et des mobiliers offerts sur le marché, des matériaux esthétiques, pratiques et résistants, de même que des concepts de rangement modulaires adaptables à vos besoins et se prêtant à de multiples configurations. Fabricant de produits de rangement, Rangement Spacer conçoit, en consultation avec ses clients, les solutions les mieux adaptées à leur réalité et à leurs préférences.
Que vous cherchiez à aménager de façon intelligente et efficace votre garde-robe d’entrée ou votre garde-manger, ou que vous souhaitiez enfin ranger toutes vos chaussures pour les retrouver en un clin d’œil, Rangement Spacer vous suggèrera les meilleures solutions existantes. Tablettes, portes d’intérieur, mobilier d’atelier mécanique et de bureau, lits escamotables, systèmes de rangement modulables sur lattes pour outils, articles de sport ou de jardin, rien ne leur échappe. À l’affût des nouvelles tendances apparaissant notamment en Europe en matière de design, ils pourront même vous initier aux murs et aux portes verrières de même qu’aux matériaux les plus avant-gardistes. Fonctionnalité, luxe, raffinement et qualité sont les mots d’ordre de cette entreprise.
L’équipe de Rangement Spacer accueille sa clientèle en semaine ainsi que les jeudis soir au 625, boulevard Lebourgneuf, tout en restant disponible pour une rencontre à distance au besoin.



Tendances 2024 / Habitation

a lors que les styles d’aménagement paysager maintiennent le Cap vers la modernité, Conjuguée aux C harmes irrésistibles de la C ampagne, une nouvelle tendanCe s’impose. spéCialiste en ConCeption Chez les artisans du paysage, pierre-françois therrien nous livre le fruit de ses observations.

« De plus en plus, les gens accordent de l’importance au panorama extérieur qui pourra être admiré à partir de l’intérieur de leur demeure, alors qu’ils se trouvent dans leur cuisine, leur salon ou leur salle à manger, explique Pierre-François. Il faut que ce soit beau et harmonieux, et ce, durant les quatre saisons. » Pour ce faire, l’aménagement misera sur la verticalité, soit la présence d’arbres et d’arbustes, ou encore sur l’intégration d’un mur végétalisé ou de panneaux décoratifs; le but étant de créer des volumes qui donnent du relief et du caractère au décor. Plus que jamais, la connexion entre l’intérieur et l’extérieur fait donc partie des musts en 2024.
Très prisé au début des années 2000, puis quelque peu délaissé par la suite, le spa déversant juxtaposé à une piscine creusée connaît un regain de popularité en 2024, tout comme l’installation d’un sauna dans la cour arrière.

Les grands formats de dallage demeurent omniprésents dans les aménagements paysagers en 2024, mais ils se combinent de plus en plus avec des pavés de formes spéciales : triangulaires ou octogonales, avec des imprimés de fleurs ou autres motifs. Le résultat est aussi esthétique que dynamique.
Un agencement tendance de grands formats de dallage combiné à un pavé de forme spéciale.
Côté matériaux, la porcelaine continue de gagner en popularité grâce, justement, à ses tuiles de grands formats et à ses choix de couleurs uniformes qui recréent la richesse de la pierre naturelle. Qui plus est, ce produit non poreux et d’une grande résistance nécessite peu d’entretien. « On l’utilise même de plus en plus dans les entrées de cour et les espaces de stationnement », ajoute l’expert des Artisans du Paysage.
/ Marie-Josée Turcotte
Toujours tendance, le style campagnard continue de s’imposer avec ses massifs et ses agencements de plantes indigènes, qui apportent de la couleur et un brin de folie au cœur d’un aménagement paysager bien structuré. Quant aux potagers, leur popularité a quelque peu décliné après la pandémie.
Conscience environnementale oblige, plusieurs propriétaires souhaitent désormais récupérer et réutiliser les matériaux dans leur nouvel aménagement paysager, du moins en partie. Autre bonne raison de recycler : le coût actuel des matériaux.
Enfin, au-delà des tendances, la gestion des eaux est devenue une préoccupation pour plusieurs propriétaires qui, afin de respecter la réglementation imposée par leur ville, doivent mettre en place un puits de drainage au lieu de rejeter leurs eaux dans le système d’aqueduc. Les terrains étant plus petits, cette gestion devient un enjeu d’avenir.



Récipiendaire de plus de 20 prix au concours LES PLUS BEAUX JARDINS DU QUÉBEC

Gestion des eaux grâce au puits de drainage




d ans le C adre d’un projet de ConstruCtion ou de rénovation, l’une des étapes les plus stressantes est souvent Celle du suivi de Chantier. s’assurer du bon déroulement exige temps, rigueur et savoir-faire. et si vous déCidiez de C onfier C ette tâ C he à des spéCialistes en design d’intérieur qui vous a CC ompagneront de l’analyse de votre projet jusqu’à la ConCrétisation ultime de votre rêve ? p our une paix d’esprit assurée, pla C e à l’équipe d’ u n fauteuil pour deux !
SAUVER TEMPS ET ARGENT
Les designers d’intérieur et copropriétaires d’Un Fauteuil Pour Deux Nancy Ricard (à droite) et Charlie Gaudreau (à gauche), en compagnie de la designer d’intérieur senior Gabrielle Neiderer (au centre).
Qui ne connait pas encore la boutique de mobilier haut de gamme Un Fauteuil Pour Deux située sur le boulevard Laurier et en affaire depuis 25 ans ? « Malgré notre quart de siècle d’existence, plusieurs personnes ignorent encore qu’Un Fauteuil Pour Deux, c’est aussi une firme de design d’intérieur créatif, qui peut prendre en charge la totalité de vos travaux de construction et de rénovation dans une formule clés en main, lance la dynamique fondatrice, Nancy Ricard. L’avantage de faire affaire avec nous, c’est que nous sommes là à toutes les étapes, incluant celle des soumissions. Nous coordonnons aussi le travail des sous-traitants (électriciens, plombiers, poseurs de céramique ou de papiers peints…) avec qui nous collaborons, dans certains cas, depuis une vingtaine d’années. Ce sont des valeurs ajoutées indéniables pour le client, qui peut non seulement vaquer à d’autres occupations l’esprit tranquille, mais également compter sur nous pour trouver les meilleurs produits aux meilleurs prix. Nous travaillons toujours dans son intérêt. »
La gestion d’un chantier est rarement de tout repos. Plusieurs imprévus peuvent survenir et entraîner des dépassements de coûts. Toutefois, il est possible d’éviter certains écueils désagréables en engageant l’équipe d’Un Fauteuil Pour Deux afin de superviser toutes les étapes essentielles conduisant à la livraison du projet. « Nous nous rendons d’abord chez le client afin d’analyser son projet, explique Nancy Ricard. Veut-il refaire sa cuisine ? Ses trois salles de bain ? Réaménager tout le rez-de-chaussée, le premier étage ou encore procéder à un agrandissement ? Nous prenons des mesures et des photos, puis nous retournons à la boutique pour préparer notre offre de service détaillée qui inclut les plans, les choix des matériaux, les luminaires, le mobilier intégré, l’habillage des fenêtres, etc. Nous créons un visuel 3D en couleur à l’aide d’un outil de modélisation qui permettra au client d’avoir une idée précise du résultat final. Par la suite, nous réalisons les plans techniques pour effectuer nos soumissions, nous lançons le chantier et nous nous assurons à chaque étape que tout se déroule selon les plans. Bref, nous sommes là du début à la fin ! Et parce que nous nous sommes entendus au préalable avec le client sur un montant forfaitaire, aucun extra ne s’ajoutera en cours de route. »
La modélisation 3D a permis au client de voir le résultat final de sa cuisine avant la mise en chantier.

Le plan technique permet de suivre l’évolution du chantier étape par étape.
Parmi les projets en cours de réalisation d’Un Fauteuil Pour Deux, notons celui de cette résidence sur la rive-sud de Québec. Afin de se conformer aux règlements de la Ville de Lévis, la fondation a dû être conservée lors de la démolition du chalet, pour ensuite ériger la nouvelle construction qui sera résolument chaleureuse et lumineuse, étant pourvue d’une grande fenestration. Restez à l’affût, car Prestige vous présentera le résultat final lorsque le chantier sera achevé. Pour en savoir davantage : unfauteuilpourdeux.com

en novembre dernier, fidèle à ses habitudes, la designer d’intérieur nanCy riCard, Copropriétaire de la boutique un fauteuil pour deux, s’est rendue au salon d’automne de high point, en Caroline du nord, l’un des lieux par exCellenCe pour y déCouvrir les nouvelles ColleCtions dans le monde du meuble et de l’aménagement intérieur. Ce n’est pas sans raison que high point est reConnue Comme étant la Capitale mondiale du meuble.

« On néglige trop souvent l’importance du tapis dans un décor, observe Nancy Ricard. En plus d’embellir et de délimiter les espaces, il contribue grandement à augmenter le niveau d’insonorisation. »
Au salon de High Point, la designer a eu l’occasion d’admirer et d’acquérir pour sa boutique des tapis en provenance de plusieurs pays, tissés ou noués à la main. « De véritables œuvres d’art qui mettent en valeur l’ensemble d’un mobilier ! »

High Point.
Dans une ère où l’être humain doit respecter et apprécier ce que la nature lui offre, les fibres naturelles refont leur apparition pour le plus grand plaisir de la copropriétaire d’Un Fauteuil Pour Deux. Ces matières, si elles sont bien intégrées, assurent un cachet, une chaleur et une certaine simplicité à l’espace intérieur.
En 2024, le rotin, une matière tout aussi naturelle, se réinvite dans nos décors et s’impose comme tendance assumée et singulière.

a lors que le pantalon et la C hemise extensibles font partie intégrante du pla C ard de C es messieurs depuis déjà quelques années, voilà que le veston malléable vient Compléter une tenue axée sur le C onfort; une qualité de plus en plus reCherChée par l’homme aCtif, dans la vie de tous les jours Comme lors des grands événements.

Propriétaire de la boutique Denault Homme de marque située à Place Ste-Foy, Roger Tremblay confirme la tendance printemps-été 2024 : « Le veston extensible sera très présent et se portera avec un pantalon léger, un polo, un t-shirt… Alors que peu de marques offraient ce type de veston auparavant, maintenant, on le retrouve partout. C’est une tendance qui est là pour rester. »
Couleur incontournable, le bleu, en particulier le marine, continue de séduire l’homme, qui le portera agencé avec d’autres accents de couleur, comme le rouge, le jaune ou l’ocre. Les teintes naturelles plus neutres et polyvalentes comme le beige ou le ton sable resteront néanmoins de judicieux choix pour alléger la tenue durant la belle saison.

Enfin, saviez-vous que le complet en tissu « stretch » naturel est de nos jours privilégié par le futur marié ? En effet, le smoking n’est plus l’incontournable qu’il a déjà été. « Les hommes choisiront plutôt un beau complet noir ou marine qu’ils porteront avec une chemise à col cassé, un nœud papillon et parfois même un ceinturon; bref tous les accessoires associés à une tenue de marié, avec l’avantage supplémentaire que le complet pourra se porter de nouveau par la suite », conclut M. Tremblay.
Pour en savoir davantage ou pour magasiner en ligne : denault.co


l’établissement qui se spéCialise dans les saveurs du terroir vous partage iCi les proChaines tendanCes qui vous permettront de profiter au maximum de Ce qui se fait de mieux dans la grande région de québeC.
01 / MOINS DE SORTIES, PLUS DE MOMENTS DE QUALITÉ
Selon Jamais 2 sans 3, le budget des consommateurs alloué aux sorties sera, cette année, réservé à des moments spéciaux, comme des anniversaires ou des célébrations. Ainsi, les locations de salles privées auront la cote afin de permettre aux convives de se retrouver de façon intime et significative.
/ Marie-Claude Savoie

02 / EXIT LES TABLES D’HÔTE, VIVE LE PARTAGE !
Si la formule tapas est populaire depuis déjà plusieurs années, on prévoit en 2024 une nouvelle vague d’engouement pour les repas à partager. Chez Jamais 2 sans 3, réputé pour ses cocktails dinatoires, on observe donc une envie prononcée de se régaler d’une multitude de petits plats. Le choix parfait pour partager en groupe un large éventail de saveurs !
Plus que jamais, les gourmands souhaitent offrir à leurs papilles des produits de qualité. L’équipe du bistro observe cette tendance par l’intérêt de leurs clients pour la provenance de leurs produits et la certification bio des ingrédients. Un souci qui se fait aussi sentir du côté des alcools. Voilà pourquoi vous retrouverez encore plus de bières et de spiritueux issus de productions locales, voire microlocales.


/ Marie-Claude Savoie

réputée pour ses Copieux banquets, la Cage traiteur événementiel CommenCe 2024 plus inspirée que jamais grâCe aux dernières tendan C es gourmandes que son équipe Compte bien vous faire déCouvrir !
Afin de respecter la qualité, la fraicheur et les saveurs des produits d’ici, en 2024, les cuisines de La Cage traiteur événementiel poursuivront leurs efforts afin de vous servir des produits dans leur forme la plus naturelle possible. Voilà pourquoi le menu s’adapte à toutes les saisons, au rythme du marché. Puis, pour faire durer le plaisir, cette équipe de passionnés n’hésite pas à faire des réserves qui bonifieront les plats pendant toute l’année.

Plus que jamais, les gourmands ont pris conscience de l’importance de diversifier leur alimentation et de donner plus de place aux protéines végétales. Ne reculant pas devant le défi, La Cage traiteur événementiel compte bien s’amuser à créer des plats innovants qui sauront rivaliser avec ceux à base de viande, et ce, en créant des mets végés délicieusement attrayants.


L’une des grandes fiertés de La Cage traiteur événementiel est sans aucun doute le talent des membres de sa brigade. Pour valoriser leur savoir-faire, l’établissement met un point d’honneur à laisser aux cuisiniers tout l’espace pour créer et s’exprimer dans l’élaboration des plats. Chaque personne a donc la liberté d’expérimenter et de laisser sa signature dans l’assiette. Une belle façon de stimuler le talent de ces as de la saveur… et de demeurer à l’avant-garde des tendances !


/ Marie-Claude Savoie
sans Cesse à l’affût de nouveautés afin de ChouChouter sa C lientèle, s trøm spa nordique s’inspire des plus réCentes tendanCes pour donner un vent de fraîCheur à son offre.
Pour répondre à tous les besoins, des produits plus spécifiques seront ajoutés à la collection Strøm. On parle ici de produits adaptés à chaque type de peau ou à l’ajout d’ingrédients actifs qui permettent de bonifier les soins recherchés. Ainsi, du côté des produits pour le corps, par exemple, on promet l’ajout de composantes qui sauront hydrater encore plus en profondeur afin d’accentuer la douceur de la peau, et ce, de façon durable.


Le gua sha , pratiqué à l’aide d’un outil fait de quartz ou de jade, fait partie de la médecine traditionnelle chinoise depuis des millénaires. Le rituel vise à éliminer les toxines et raffermir, illuminer et lisser la peau du visage grâce à des mouvements de pression répétitifs. En 2024, il se glisse dans tous les soins du visage offerts chez Strøm, et ce, sans frais supplémentaires. Il fera également son entrée dans la gamme de produits en vente à la boutique de la prestigieuse famille de spas nordiques.

Pour élever votre détente à un niveau supérieur, l’équipe du Strøm bonifie gracieusement son expérience en massothérapie. Utilisation de serviettes et d’huiles chaudes durant le massage, et recours au son unique, puissant et pur du bol de cristal font partie des nouveautés en phase avec la tendance de mettre l’expérience client au centre des priorités.


/ Paméla Egan
À l’hôtel
le développement durable est une valeur de plus en plus re C her C hée par les invités des hôtels. afin de s’insCrire dans Cette tendanCe et d’être un Citoyen Corporatif responsable, l’hôtel boutique monsieur jean a entamé un virage vert qui s’insCrit parfaitement dans la philosophie du regroupement Small Luxury Hotels of the World ( slh ) duquel il est membre.
« Nous avons implanté diverses mesures écoresponsables à nos tout débuts en 2019 (comme la mise en place de pommeaux de douche à débit réduit, l’installation de luminaires DEL écoénergétiques et plus encore) et nous souhaitions en faire davantage », mentionne Mme EmmaJeanne Bouchard, directrice générale de Monsieur Jean, Hôtel Particulier. Dans le but de réduire les plastiques à usage unique, l’hôtel a installé un système de distribution à trois bouteilles pour le shampoing, le revitalisant et le gel douche. Il va sans dire que tous ces produits de qualité de la marque Jo Loves, par Jo Malone, sont végétaliens, sans cruauté animale et durables (emballage certifié FSC). Quant aux bouteilles d’eau en plastique, elles feront place à des bouteilles réutilisables en verre. La réduction du papier passe pour sa part par l’usage de serviettes à main en coton lavable dans les chambres et les aires publiques.
L’écomobilité joue également un rôle important. Dès l’été 2024, des vélos et des trottinettes électriques viendront bonifier les déplacements des visiteurs. De plus, les clients ont la possibilité de recharger leur véhicule électrique dans le stationnement de l’établissement. De plus, depuis 2022, Monsieur Jean participe à un programme de transport en commun qui permet d’offrir un laissez-passer d’autobus trois jours consécutifs illimités (carte CPO du Réseau de transport de la Capitale) pour les visiteurs qui séjournent deux nuitées et plus.
Encourager la consommation locale et donner au suivant représentent deux valeurs fort importantes pour les propriétaires de l’établissement. Les surplus alimentaires sont généreusement mis à la disposition des employés, témoignant de leur engagement envers la durabilité et le partage équitable des ressources. Enfin, l’hôtelier a remis la somme significative de 10 000 $ à Lauberivière à la suite de son initiative « Vous séjournez, nous donnons »

Toutes ces mesures ne sont qu’un début. Pour un séjour toujours plus distinctif dans le VieuxQuébec, rendez-vous sur monsieurjean.ca




situé au CŒur de la splendide région de la mauriCie, l'hôtel saCaComie s’avère un lieu d'ex C eption pour C élébrer votre mariage. Cette institution renommée offre toutes les C onditions pour rendre inoubliable Ce jour si important ! niChé sur la rive du laC saCaComie, au milieu d’une forêt majestueuse, Cet hôtel unique à l'atmosphère magique est parfait pour Célébrer l'amour et émerveiller vos Convives.
L'Hôtel Sacacomie propose une gamme de forfaits conçus pour répondre à toutes les attentes dans le respect de votre budget : ses diverses formules allient hébergement à tarif préférentiel pour les invités, ainsi que restauration raffinée et services personnalisés. Que vous rêviez d'une cérémonie intime sur une plage, d’un cocktail flamboyant sur une terrasse panoramique ou d'un grand banquet dans une salle magnifique pouvant accueillir 350 invités, l'équipe de l'hôtel s’emploiera à réaliser vos souhaits. De la planification à la coordination du jour J, chaque membre du personnel et les partenaires de l’établissement œuvreront avec vos fournisseurs éventuels afin que tout se déroule sans accroc et que les mariés profitent pleinement de chaque moment, l’esprit et le cœur légers.
Été comme hiver, les convives bénéficient d’une kyrielle d’activités et de services gratuits : sentiers pédestres, kayak, pédalo, planche à pagaie, raquette, ski de fond, patin à glace, glissades sur tube, etc. La veille ou le lendemain de cette journée forte en émotion, pourquoi ne pas profiter également du superbe Geos spa ou de la piscine intérieure ?
Pour une touche vraiment inattendue, voire spectaculaire, des scénarios inoubliables sont également suggérés, par exemple l’échange des vœux sur la plage ou l’arrivée de la mariée en hydravion, rien de moins ! Du rêve à la réalité à l’Hôtel Sacacomie, et des photos souvenirs exceptionnelles !
Pour en savoir davantage : 819 265-4444 | ventes@sacacomie.com




/ Cendrine Chénel
en 2024, les Célébrations et les fêtes de mariage se dérouleront avant tout dans un dé C or et des C ouleurs auda C ieuses et vibrantes C omme le bleu royal et le rose bourgogne. des éléments naturels pourront être intégrés aux C entres de table, tels que du feuillage et quelques bran C hages, reflétant ainsi de belle façon la pla C e que tiennent désormais l’environnement et la nature dans nos vies.




Selon Pierrette Poudrier, depuis 16 ans propriétaire de la boutique La Haye Fleuriste, située à Place L’Ormière, il s’agit là de tendances ou de coloris en vogue qui seront en demande au cours des prochains mois. Les teintes de lavande, les feuilles et la verdure, les bouquets déstructurés et les matières brutes seront au rendez-vous en 2024. La simplicité prend également place dans les nouvelles propositions florales et décoratives.
Avec son équipe de conseillères, Mme Poudrier répond avec créativité et professionnalisme aux souhaits et aux attentes de ses clients qui préparent leur mariage, bien décidée à en faire le plus beau jour de leur vie ! Pour ce faire, elle met à leur service ses recommandations en matière de bouquets, d’agencement de couleurs, de fleurs et de décorations de mobilier en tenant compte des tendances de l’heure. Au cours du premier rendezvous avec une conseillère de La Haye Fleuriste, les clients peuvent d’ailleurs apporter quelques photos afin d’illustrer leurs souhaits. Bien sûr, on tiendra compte de leur budget et on s’efforcera de satisfaire tous leurs besoins et leurs attentes, voire d’aller au-delà ! Un accompagnement personnalisé et professionnel allant de la conception jusqu’au jour du mariage, tel est l’engagement de cette entreprise créée il y a 55 ans.
Professionnelle jusqu’au bout des doigts, Pierrette Poudrier rappelle que les fleurs sont souvent importées d’Europe ou d’Amérique du Sud, et qu’un délai de six semaines est souvent nécessaire pour les obtenir au moment voulu. Son équipe dévouée et passionnée attend les futurs mariés à Place L’Ormière pour leur concocter les plus beaux ornements floraux dernières tendances !

q ui a dit que la C oiffure, C ’était simplement une question de beauté ? au-delà de la Coupe de Cheveux et de la mise en plis ou de la Coloration et des mèChes, les Choix que vous faites doivent être réfléChis afin d’obtenir le meilleur résultat possible et refléter qui vous êtes. C’est là que les professionnels de la Coiffure interviennent.
Avant d’être des professionnels de la coiffure, nous sommes d’abord et avant tout des gens bienveillants, axés sur les relations humaines, notre but est de faire plaisir et faire du bien. Saviez-vous que pour beaucoup de personnes seules et isolées, le coiffeur représente l’unique contact humain qu’elles ont au cours du mois ? Il s’agit donc d’une forme de relation d’aide; nous offrons une oreille attentive en même temps que nous analysons les besoins et les désirs de chacun.
Première étape pour choisir la structure de la coupe qui convient le mieux : déterminer la forme de votre visage en le dégageant totalement. Pour vous donner un aperçu, celui-ci peut être rond ou carré, en forme de losange ou de triangle, etc. Une fois la forme identifiée, nous cherchons toujours à ovaliser le visage avec le bon encadrement au pourtour, ceci afin d’arrondir et d’adoucir une mâchoire trop carrée ou encore pour réduire l’apparence d’un front trop large. Voilà le secret pour accentuer vos traits les plus flatteurs et camoufler les moins gracieux.

Il restera à mettre en valeur la répartition des volumes de votre mise en forme en suivant le même principe; de là l’importance de travailler avec les bons outils de coiffure.
Du côté de la technique de coloration, le travail sera tout aussi important. Afin d’affiner un visage trop rond, le pourtour du visage sera plus foncé afin de dissimuler des pommettes trop saillantes. Pour un visage carré, ce sera le contraire : un effet plus clair, avec quelques mèches devant le visage (contouring) permettront d’adoucir et de retrouver l’ovale tant recherché.
ÂGE, TYPE ET HISTORIQUE
Deux autres critères auront un impact sur le résultat de votre coiffure : votre âge et votre type de cheveux. À un certain stade, lorsque la peau se « détend », il est primordial de remonter la coiffure. Les longueurs qui excèdent les aisselles seront alors déconseillées, de même que les cheveux trop plats. Il importe de miser sur un choix qui reflète votre âge en beauté.
Le type de cheveux (fins, normaux, gros ou crépus) ainsi que la densité totale de la chevelure (clairsemée, moyenne ou épaisse) auront aussi un impact sur les possibilités de coupes. Vous devrez demeurer réalistes selon ces critères énumérés. À titre d’exemple, un cheveu fin donnera difficilement l’allure d’une crinière de lion.
Il est également bon de connaître votre historique capillaire avant votre rendez-vous chez le coiffeur. Autre exemple : même si vous n’avez utilisé aucune coloration dans vos cheveux au cours de la dernière année, celle-ci demeure dans la fibre capillaire.
Un conseil de pro
Avant toute transformation importante, prenez rendez-vous pour une consultation. La plupart des salons offrent ce service sans frais, il s’agit d’un petit quinze minutes bien investi, qui sauvera beaucoup de temps à votre coiffeur et beaucoup d’argent de votre côté. Le professionnel de la coiffure établira un diagnostic et vous soumettra un plan pour l’atteinte de votre look final.
TROUVER VOTRE STYLE PERSONNEL

Caroline Drolet
Maître coloriste
Salon Maxime


Célina Fontaine
Kasey St-Hilaire
Copropriétaire
Styliste-coiffeuse
Les Cheminées Gamelin
Salon Maxime
Densité de la chevelure
En résumé, le choix de votre coupe et la façon dont vous vous coiffez sont le reflet de votre identité. Lorsque vous croisez une personne dans la rue, vous la détaillez. C’est son physique qui vous donne un aperçu de qui elle est. Dites-vous que les gens font la même chose lorsqu’ils vous voient. Quelle image voulez-vous leur refléter ? Nos choix capillaires ne sont pas négligeables. Notre image doit être à la hauteur de qui nous sommes.
Pour terminer cette chronique en beauté, voici l’une de nos citations préférées; elle provient de Coco Chanel : « La plus belle couleur au monde est celle qui vous va bien. »
Pour en savoir davantage ou pour prendre rendez-vous : salonmaxime.ca
appelé bruxisme, Ce réflexe involontaire se traduit par des mouvements rythmiques, spasmodiques et non fonCtionnels, en frottant, grinçant ou serrant les dents pour des raisons autres que la mastiCation. Cette habitude se produit autant le jour que la nuit, et en général, une personne qui vit Ce phénomène à l’état d’éveil le fait aussi en dormant; le bruxisme est d’ailleurs l’un des 80 troubles du sommeil répertoriés. on estime qu'environ 20 % des enfants, 8 % des adultes et 3 % des aînés sont ConCernés. saviez-vous qu’en temps normal, nos dents ne devraient entrer en ContaCt qu’environ 10 minutes par jour ? d’abord légèrement Chaque fois que nous avalons, et ensuite lorsqu’en mangeant, le bol alimentaire devient plus minCe. voilà pourquoi l’habitude de la gomme à mâCher peut user prématurément les dents, Car elle les forCe à se touCher. et à plus forte raison si elles ont subi beauCoup de réparations au fil des ans.
Le bruxisme nocturne est très néfaste, car même si les épisodes sont de courte durée, ils atteignent des forces de serrement d’une grande intensité. Comme le montre la première photo, l’usure progressive est importante avec destruction de la couronne. Les dents deviennent sensibles au froid et au chaud ainsi qu’au sucré chez certains sujets. D’autres symptômes incluent des tensions musculaires ou des maux de tête au réveil, des douleurs à l’articulation temporo-mandibulaire ou aux oreilles ainsi que de la mobilité dentaire. En général, les problèmes de fonction se font sentir vers la cinquantaine si rien n’a été fait jusque-là. Dans les cas extrêmes, il faut extraire toutes les dents pour reconstruire une fonction efficace et esthétique. Cependant, la plupart du temps, les gens s’en rendent compte avant qu’il ne soit trop tard, et des mesures appropriées peuvent être prises.
Informations utiles :
/ Prostho-Québec : prosthoquebec.ca
/ Fédération dentaire des spécialistes du Québec : fdsq.qc.ca
/ Association des prosthodontistes du Canada : prosthodontics.ca
/ American College of Prosthodontists : gotoapro.org


D re Nancy Dubois
Prosthodontiste
DMD, Cert (prostho), MScD, FRCDC, Dip ABP
Présidente Prostho-Québec

Malheureusement, il n’existe pas de traitement pour éradiquer cette affection. On note dans la littérature qu’elle est associée à des facteurs tels que le stress, la détresse psychologique, l’anxiété et la dépression. La consommation d’alcool, de caféine et de drogues ainsi que le tabagisme peuvent y contribuer. Le seul moyen d’agir est de prévenir la destruction dentaire en portant une plaque occlusale sur les dents pendant la nuit. Certains patients y ont même recours le jour pendant des périodes de pointe. Des techniques pour réduire le stress peuvent s’avérer avantageuses, tout comme des injections de Botox dans les muscles de la mastication, mais il faut les répéter deux fois l’an. Certains médicaments ont montré leur utilité, mais la littérature n’est pas concluante à ce sujet.
Comme une reconstruction dentaire implique des frais élevés, il est impératif de protéger le travail exécuté au moyen d’une plaque occlusale portée la nuit, et pour toute la vie. Celle-ci devra être remplacée tous les trois ans environ selon son usure. En cas de doute, n'hésitez pas à consulter votre dentiste. Si une reconstruction dentaire extensive complexe était nécessaire, un prosthodontiste saura vous présenter les solutions possibles.
Pour en savoir davantage sur Prostho-Québec ou pour prendre rendez-vous :
4715, avenue des Replats, local 200, Québec
418 781-0465 | reception@prosthoquebec.ca
VINO, RANDO, COSMO & BAINS THERMAUX

isolé du reste du monde entre l’oCéan paCifique et la Cordillère des andes, le Chili CaChe de nombreux trésors : entre le désert d’ ata C ama, le plus aride du monde, le C iel étoilé de la vallée del elqui, les baleines au large des Côtes, les laCs, volCans et thermes du C entre, les mystères de l’ î le de p âques, la mythique p atagonie au sud et ses gla C iers… s ans oublier l'a CC ueil C haleureux des Chiliens !
notre CollaboratriCe vous brosse un portrait du nord au sud du Chili afin de vous mettre l’eau à la bouChe et de vous faire bouger !
En bref
Quoiqu’un peu plus coûteuse, la destination demeure quand même accessible puisqu’elle se conduit bien par soi-même, en incluant des vols intérieurs entre les grandes régions. Il est idéal de parcourir le Chili presque à longueur d’année selon la région, mais la meilleure période s'étend de novembre à avril. Les mois de décembre, janvier et février, soit pendant l’été austral, sont à prioriser pour le sud du pays.
Découvrez le magnifique désert d’Atacama avec ses lagunes, salars (dépôts salins), la vallée de la Lune et les geysers du Tatio. Optez pour une randonnée à cheval ou une descente des dunes en surf. Le charmant village de San Pedro de Atacama, situé sur le plateau central à 2400 mètres d'altitude, serait occupé depuis l'ère inca. Vous en apprendrez davantage en visitant le musée du Père Le Paige.
À La Serena, deuxième ville historique du Chili et haut lieu de villégiature, vous prendrez connaissance de l’activité arboricole et vinicole, qui fonde sa réputation sur la fameuse boisson pisco. Puis partez à l’observation des étoiles dans la vallée de l'Elqui sous l’un des cieux les plus purs de la planète. Le climat exceptionnellement sec, l’absence de pollution et la grande stabilité atmosphérique en font un lieu parfait pour l’observation à l’aide de puissants télescopes et au sein d’observatoires astronomiques comme ceux de La Silla, Tololo et Las Campanas.
Apercevez aussi une faune incroyable (vigognes, flamants, viscaches…) autour des magnifiques lagunes de Cejar et de Miscantis-Miñiques. Saviez-vous qu’il existe un phénomène naturel rarissime, la floraison du désert d´Atacama, qui apparaît tous les quatre ans ?
Santiago du Chili

La capitale se laisse facilement découvrir et ne correspond nullement à l’image chaotique qu’on se fait généralement des grandes zones urbaines d’Amérique latine. Métropole nichée au pied des Andes et aux charmes inégalés de certains vieux quartiers au charme romanesque, Santiago est devenue au fil des années une ville moderne et très active. Plus facilement accessible à partir de grandes capitales du monde depuis environ 2018, Santiago du Chili est maintenant considérée comme une capitale des plus branchées. Laissez-vous séduire par la visite du centre historique de la cité avec sa Plaza de Armas et son église San Francisco dans le quartier de Bellavista, ainsi que par la vue depuis le Cerro San Cristobal ou le Cajón del Maipo.
Que dire de l’attachant Valparaiso, un vieux port commercial des plus pittoresques ? Devenue au fil du temps la capitale mondiale de l’art de la rue, la ville a aussi su préserver d’intéressantes infrastructures remontant au début de l’ère industrielle. Perchées en amphithéâtre épousant les contours de la baie, ses 42 collines parsemées de maisons colorées ont même été classées au patrimoine mondial de l’UNESCO en 2003. Avec ses rues étroites escarpées, ses funiculaires à flanc de colline et ses chanteurs de rue, Valparaiso possède une identité bien distincte. Profitez de l’occasion pour faire un saut à La Sebastiana, l’une des maisons du poète Pablo Neruda.
Direction l’Isla Negra, qui représente, en fait, la maisonmusée de Pablo Neruda. En chemin, visite du domaine Casa marin, fondé en 2000, d’appellation San Antonio. Celui-ci se distingue par le fait que Maria Luz Marin est la seule femme chilienne propriétaire, fondatrice de vignoble et œnologue.
Pour les œnologues passionnés, les vins chiliens de grand calibre sont reconnus pour leurs corps et saveurs. Le pays exporte avec fierté dans le monde entier ses grands crus représentant un excellent rapport qualité-prix, et parce qu’il conserve son attachement aux méthodes de viticulture durables. La région vinicole du Chili s’étend sur environ quinze vallées, chacune avec leurs caractéristiques particulières. Les conditions climatiques et géographiques ont permis au vin de figurer parmi les meilleurs du monde !
Voici nos vallées préférées :
/ Vallée de Maipo : l'une des régions vinicoles les plus anciennes et traditionnelles du Chili, ainsi que la plus célèbre. Le « Bordelais de l'Amérique du Sud » est connu pour sa culture du cabernet sauvignon, mais aussi du merlot, du carmenère et du sauvignon blanc.
/ Vallée de Colchagua : la nouvelle destination vinicole du Chili est le berceau de quelques-uns des vins rouges parmi les plus corsés. Dans cette vallée profonde lovée entre la cordillère des Andes et la chaîne côtière, les vignobles sont irrigués par le fleuve Rapel. Ici, le cépage de prédilection est le carmenère.
/ Vallée de Cachapoal : cette vallée est le chouchou des amateurs de productions indépendantes. Protégée par la fraîcheur des brises océaniques, Cachapoal bénéficie d'une longue et chaude saison de croissance. Elle est connue pour ses assemblages de style bordelais et ses cabernets affirmés.
/ Vallée de Maule : cette région, qui compte parmi les plus anciennes et vastes du pays, est devenue un chef de file en matière de viticulture biologique. Étant donné la longue histoire du coin, les producteurs y découvrent aujourd’hui des vignes plantées il y cent ans.
/ Vallée de Casablanca : étoile du vin chilien, cette vallée viticole est l’une des plus récentes. Grâce à la fraîcheur de son climat océanique, la région produit des sauvignons blancs et des chardonnays remarquables, ainsi que des pinots noirs complexes.
La Patagonie, littéralement « Terre des grands pieds », se définit par cet immense territoire au sud du continent et qui fut longtemps le théâtre de discorde entre l’Argentine et le Chili. Punta Arenas, centre administratif de la région de Magellan, et qui compte aussi un aéroport, demeure surtout un important port de pêche. Le tourisme y est récent puisqu’il s’agit d’un point de passage obligé. Donc, l’occasion est belle pour profiter de l’offre hôtelière du centre-ville et aller observer les réserves de pingouins.
Puerto Natales est la porte d'entrée. du célèbre parc national Torres del Paine.
Puis tout au sud, vous retrouverez la « Terre de Feu » et Puerto Williams, la localité la plus australe du monde (et Ushuaia du côté argentin). En été, il est possible d’y randonner. Mais ces deux villes sont principalement occupées comme points de départ de croisières en direction du cap Horn et de l’Antarctique.
Percez les mystères de l’Île de Pâques ( Rapa Nui en langue maorie) et de son ancien peuple à l'histoire unique. Complètement isolée dans le sud-est pacifique, elle est particulièrement connue pour ses statues monumentales, les Moaïs, ainsi que pour son unique écriture océanienne (le rongorongo).


Le Chili est aussi réputé pour son activité volcanique. Prélassez-vous aux thermes et grimpez au sommet des volcans. Plusieurs hébergements de qualité supérieure offrent la possibilité de relaxer dans des bains thermaux naturels. Le complexe des Termas Geometricas fait partie des plus beaux thermes dans la région des volcans au sud de Santiago du Chili. L’architecture magnifique s’intègre parfaitement à l’environnement de cette vallée perdue au milieu de nulle part. Les bassins vous offrent différentes températures d’eau selon vos besoins du moment. Chaleur assurée !



C’est de nos jours un flot inCessant de véhiCules qui traverse la porte saint-louis et se dirige vers le Château frontenaC la rue saint-louis est devenue la prinCipale voie d’entrée dans le vieux-québeC on y défile pour se rendre ailleurs, ne faisant qu’y passer, ne portant guère attention à son arChiteCture et à son patrimoine. et pourtant, Cette rue a beauCoup à nous révéler et à nous raConter sur l’histoire de notre ville.
Depuis au-delà d’un siècle et demi, l’apparence de notre rue Saint-Louis a bien peu changé. Les façades de ses maisons remontent pour la plupart aux années 1820 à 1860.
C’est comme si la rue avait figé à l’époque de la Confédération alors qu’elle était la plus prestigieuse rue résidentielle à Québec.
Des juges et des ministres y résidaient avec leurs familles et leurs domestiques. Leurs filles fréquentaient le couvent des Ursulines et leurs fils se rendaient au Petit Séminaire. Preuve s’il en faut de l’importance de la rue Saint-Louis : elle fut la première, en 1898, à être asphaltée à Québec. Et le tramway électrique y circulait depuis 1897.
C’est afin de rendre hommage à son roi Louis XIII que Samuel de Champlain avait baptisé « fort SaintLouis » le fort qu’il avait fait construire sur le cap en 1620 (près de notre actuel Château Champlain), où il décéda en 1635. C’est que saint Louis était le patron du roi de France. Durant toute l’époque de la NouvelleFrance, on célébrera en grande pompe chaque année la Saint Louis (le 25 août). Encore aujourd’hui, on peut voir dans notre basilique-cathédrale, à la place d’honneur près du maître-autel, une grande statue dorée de saint Louis.
Le gouverneur Montmagny, qui succéda à Champlain en 1636, fit tracer le sentier qui allait devenir la rue Saint-Louis. Sur une carte réalisée par l’arpenteur Jean Bourdon en 1663, on voit qu’il y avait déjà une quinzaine de maisons le long de ce sentier. Grâce à un plan de lotissement qui nous est parvenu, on sait avec certitude qu’en 1674 cette rue était déjà connue sous son nom actuel de « rue Saint-Louis ». L’origine de son nom vient du fait qu’elle débutait au fort Saint-Louis.
/ Jean-Marie Lebel

Quelle allure pouvaient bien avoir les premières maisons de la rue Saint-Louis ? On peut en avoir une bonne idée en s’arrêtant devant la maison Jacquet. Cette vieille demeure, au toit rouge fort pentu, remonte à 1675, au temps du gouverneur Frontenac et de Mgr de Laval. Pas très loin résida avant la Conquête la belle Angélique Renaud d’Avène des Méloizes Péan, qui tenait salon. Elle dut fuir à l’été de 1759 avant que l’armée britannique commence à bombarder Québec. Et le 13 septembre en fin d’avant-midi, venant des plaines d’Abraham, on amena le marquis de Montcalm gravement blessé dans la maison du chirurgien Arnoux de la rue Saint-Louis. Il y mourut dans la nuit qui suivit. Et on raconte que c’est dans une autre maison de la rue Saint-Louis, celle du sieur de Ramezay, que fut signée la capitulation de la ville de Québec le 18 septembre. Lorsqu’en 1775, l’armée britannique fit obstacle aux troupes révolutionnaires américaines, le cadavre du général américain Montgomery fut transporté rue Saint-Louis à la maison du menuisier Gaubert, qui lui fabriqua un cercueil pour l’inhumer aux abords de la porte Saint-Louis. N’acceptant point l’indépendance des États-Unis obtenue en 1783, le loyaliste Jonathan Sewell veut s’établir à Québec où il se fit construire une grande maison dans la rue SaintLouis à l’angle sud-ouest de la rue D’Auteuil. Tandis que, dans les années 1790, ce n’était nul autre que l’un des fils du roi d’Angleterre, George III, duc de Kent, qui résidait dans la grande maison à l’angle sud-est de la rue Haldimand avec sa maîtresse, Julie de Saint-Laurent. Ce qui ne manquait pas d’impressionner et de faire jaser.
Lorsqu’en 1833 la ville de Québec fut dotée d’un gouvernement municipal, il parut naturel que peu de temps après, l’hôtel de ville fut installé rue Saint-Louis, dans une grande maison au coin nord-ouest de la rue Sainte-Ursule. Et, parmi les premiers maires, plusieurs furent des citoyens de cette rue. On peut encore voir les maisons des maires René-Édouard Caron, Narcisse-Fortunat Belleau, UlricJoseph Tessier et Hector-Louis Langevin. Ce dernier fut aussi l’un des Pères de la Confédération, qui célébrèrent en 1864 à l’hôtel Saint-Louis, situé à l’angle sud-ouest de la rue Haldimand, et qui fut longtemps le plus grand hôtel de Québec avant la construction du Château Frontenac. On racontait que John A. Macdonald avait pris plusieurs repas bien arrosés au vieil hôtel de la rue Saint-Louis. De vieux Québécois se rappellent encore que le premier ministre Maurice Duplessis parcourait à pied la rue Saint-Louis pour se rendre de son petit appartement du Château Frontenac jusqu’à son bureau de l’Hôtel du Parlement.
Il y eut des heures graves rue Saint-Louis. Les cortèges funèbres des premiers ministres Félix-Gabriel Marchand, Daniel Johnson et René Lévesque, quittant l’Hôtel du Parlement, empruntèrent la rue Saint-Louis pour se rendre à la basilique-cathédrale. Il y eut aussi des heures de joie, où retentirent musiques et fanfares lors des défilés de la Saint-Jean-Baptiste, du Carnaval, des Médiévales et des Fêtes de la Nouvelle-France. Dans les chagrins comme dans les bonheurs, rue Saint-Louis on entend battre le cœur de la ville.
Une présentation de Québecor, en partenariat avec Lobe et Volvo de Québec, au profit de la Fondation Sourdine
Mercredi 8 mai 2024 à 18 h
Théâtre Capitole
Achat de billets en ligne et information : jedonneenligne.org/fondationsourdine/ SDT24


principal, finances et opérations, PMT Roy.

L'équipe de L’Antidote Médias sur le terrain.
C’est le 7 décembre dernier qu’a eu lieu la grande Guignolée des médias, collecte essentielle qui permet de nourrir quelque 80 000 personnes par mois souffrant d’insécurité alimentaire. La somme de 600 000 $ a ainsi été récoltée à Québec. Depuis ses débuts en 2001, la Guignolée a amassé plus de 5,8 millions de dollars et 1,1 million de kilos de denrées dans la région de Québec.
2 e ÉDITION DU TRIADON MICHEL-SARRAZIN
Au profit de la Maison Michel-Sarrazin
Dimanche 24 mars 2024
Centre de glaces Intact Assurance
Défi individuel, en famille ou en équipe : marcher, courir ou patiner en soutien aux personnes atteintes de cancer incurable et leurs proches.
Pour inscription : triadon.ca


MONTANT RECORD POUR LE 12 e BAL DU MAIRE
Grâce à la générosité des 665 convives ainsi que la complicité des précieux collaborateurs, la Fondation Jeunes en Tête est parvenue à amasser le bénéfice net de 800 000 $ à l’occasion de la 12e édition du Bal du maire qui a eu lieu au Fairmont Le Château Frontenac le 1er décembre dernier, sous la présidence d'honneur de M. Guy Cormier, président et chef de la direction du Mouvement Desjardins. L’argent servira à prévenir la détresse psychologique des jeunes de la Capitale-Nationale et de l’Est du Québec.

Lefrançois, Groupe VRSB; Donald Larose, JLL; Carole Gherlenda, RBC; Natacha Jean, Micro Logic; Guy Cormier, Desjardins; Bruno Marchand, maire de Québec; Marina Binotto, Valero; Pascale Côté, Beneva; Jean Queneville, Rio Tinto; Éric Bujold, Fondation Jeunes en Tête; Hugo Côté, Kaleido; Alex Harvey, BCF; Serge LeBel, BCF; Myriam Robitaille, Mon Beat; Mélanie Boucher, Fondation Jeunes en Tête; Olivier Rochette, QSL; Britta Krõger, Simons; François Santerre, Englobe; Suzie Labbé, Sun Life; Marc Villeneuve, Desjardins; Julie Bédard, BFL; Martine Dessureault, Banque Nationale; et Marc-André Gravel, GBV.
Absents sur la photo : Jean Gagnon, Banque Nationale Gestion Privée; Jérôme Marcoux, Pomerleau; et Claude Tessier, iA.
Acquisition et intégration de talents
Finance corporative
Gestion stratégique des ressources humaines
Groupe d’intervention comptable
Immigration
Insolvabilité
Intelligence d’affaires
Juricomptabilité
Marketing, études et stratégies d’affaires
Processus, systèmes d’information, risques et contrôles
Redressement d’entreprises
Réseau Mallette


