SK Wilmslow & Alderley Edge May 2024

Page 1

THE INDEPENDENT MAGAZINE FOR SK9 COMMUNITY Local History Events Community News Local Businesses Features www.skmagazines.co.uk INTERIO ESIGN P A EG 82 Issue 53 May / June 2024 SK Wilmslow & Alderley Edge

Welcome to the “Spring” issue of SKWilmslow & Alderley Edge. . I know it’s still cold out there but with Spring officially sprung maybe Winter is finally over! Hopefully with the nights getting lighter we can all get out and about more and I can get on the golf course, if it ever stops raining!

This month’s issue has a wide range of articles as usual. Within our events pages there are plenty of great family days out. The Alderley Music Festival on Saturday 29th June is a highlight along with plays and concerts you can attend. Plus, we have many weekly or monthly clubs, choirs etc. Hopefully there is something for everyone.

Also, this month I’m delighted to introduce my sister Angela Burgess who is joining the team. Having recently moved home from London, Angela with 19 years in publishing has agreed to take on the mantle as editor, whilst I look after the sales and distribution. So, feel free to get in touch with her at angela@skmagazines.co.uk.

All the best.

Simon

Simon Hemsley

SK Magazines

T: 07952 005518

E: simon@skmagazines.co.uk

W: www.skmagazines.co.uk

SKC

This month

Under the Hammer

Page 12

Contents

Welcome - Page 3

Events - Pages 5,6, 8 & 10

Under the Hammer – Page 12

Food & Drink - Page 14

Garden Talk – Page 16

Children’s Activities – Page 19 & 20

Community Care - Page 22

Mindset Advice – Page 24

Financial Advice – Page 26

Interior Design – Page 28

Community Index - Page 30

Wellbeing - Pilates – Page 32

Ad Index - Page 34

SKWilmslow & Alderley Edge - May/June 2024 3
advertise in SKW
Edge please contact Simon Hemsley on 07952 005518 or
To
ilmsow & Alderley
e-mail simon@skmagazines.co.uk for further information.
headle Hulme & Cheadle
2024 Deadline: 10th May
W
and SK
& Alderley Edge July / August 2024 Deadline: 10th June
Stephens
George ©SK Magazines.
: June / July
SKBramhall &
oodford
Wilmslow
(please allow two extra days for ad design). Printed by
&
All rights reserved. No reproduction can be made without permission.
Britain is a nation of animal lovers and that passion for all creatures great and small is reflected in the world of collectables. One company to thank for putting animals at their heart of their world is Beswick pronounced Bes-wick by the way, not Bes-ick! Their pottery animals are soaring to new heights at auction, even if they hobble into the saleroom with a crack, restoration - or even a broken leg! A couple of Beswick Dapple Shire horses (model 818), one restored and one with a broken and detached rear leg, made £460 from a £100-£120 guide at Hansons. Another grazing example galloped to £800 from a £120-£150 estimate. As well as illustrating the strength of the Beswick collectors’ market, results like this honour the achievements of a pottery manufacturer born in Victorian England. John Beswick Ltd was founded in 1894 by James Wright Beswick and his sons John and Gilbert in Longton, Stoke-onTrent. It was chiefly known for producing highquality porcelain figurines such as farm animals and Beatrix Potter characters. These are now highly sought. In 1947 Lucy Beswick suggested bringing to life the illustrations in the Beatrix Potter books. In 1948, John Beswick secured the rights to reproduce 10 Beatrix Potter earthenware characters. Beswick on the mantelpiece? If so, you will be interested to know a rather quirky Beswick Fireside Old English Sheepdog advertising Dulux paint hammered at £160. In fact pottery dogs are a winner because two Fireside Golden Labradors (model 2314) made £90 and a Fireside Dalmatian (2271) and Fireside Alsatian (model 2410) made £100, all from £30-£40 guides. In addition, two Beswick Fireside Foxes (model 2348) achieved £150 (£20-£30 guide) and a horse and jockey galloped to £110. But all manner of pottery is sought after. Bidding soared to £400 for a 19th century porcelain teapot decorated with boating and fisherman scenes, way above its £40-£50 guide. Another lot to excel was an early 20th century Royal Crown Derby plate paired with a 20th century Oriental vase, which achieved £290 (£40-£60 guide). Plus three early-to-mid 20th century Meissen porcelain plates hammered £460. Hansons will host free antiques, jewellery and toy valuation events at St John’s Knutsford Church Centre, Church Hill, Knutsford, Cheshire, WA16 6DH, on May 24, June 28 and July 26, 11am-1pm. To find out more or to book a home visit, email service@hansonsauctioneers.co.uk or call 01283 733988. Twitter: HansonsUK Facebook: HansonsAuctioneersUK Instagram: hansons_auctioneers Shire horses gallop to glory at auction - even with a broken leg! Rare Beswick Shire horst sold for £800 Beswick Fireside Foxes model number 2348 1 cracked and 1 restored. sold £150 from £20-30 est 20th century Royal Crown Derby plate and 20th century Oriental vase sold for £290 19th century porcelain teapot sold for £400 Welcome to Wilmslow & Alderley Edge

EVERY MONDAY: THE LINDOW SINGERS

A friendly mixed voice choir singing a range of music. No audition needed.  Wilmslow Academy Primary School, Handforth Road,  Handforth, SK9 2LX. For more information visit our website  www.lindowsingers.org.uk or email Harry.Epton@ ntlworld.com or call 0161 485 2231

EVERY MONDAY AFTERNOON

In Together Wilmslow activities group for people with dementia and their carers. Games, crafts, songs, chat plus tea and cakes. Wilmslow Methodist Church, Water Lane, 2pm to 4pm. Call Sally 07786 482048, email intogetherwilmslow@gmail.com

EVERY MONDAY: LEGO CLUB 3.30-4.30 ideal for 5+, free, no need to book so come and get creative. Wilmslow Library.

EVERY MONDAY: EXERCISE FOR SENIORS

Further details contact Angela 07790291648.

EVERY MONDAY: STORIES AND SONGS 11-11:30am ideal for 4 and under, Free, no need to book but telephone 01625 374 060 for further information. Wilmslow Library.

EVERY MONDAY: WILMSLOW CHESS CLUB

New members, from beginner to advanced are always welcomefor friendly or more competitive chess. Meeting are at King’s Arm hotel, Alderley Road, Wilmslow SK9 1PZ. 7.30pm –Juniors at 7pm. Contact: Colin Mills 07306 386789

EVERY MONDAY: ITALIAN CONVERSATION CLASSES

Call Raffaella 07900 184318 with any questions. www.italianclasses.co.uk

EVERY MONDAY: BALLROOM/LATIN AMERICAN DANCE CLASSES: Susan Young 07712 069627

EVERY MONDAY: OTAGO BASED STRENGTH AND BALANCE CLASS

Monday 2.00-3.00 p.m. Chapel Court, Hawthorn Street, Wilmslow. Followed by refreshments. £5.00 per class. (Contact Angela 07790291648)

EVERY MONDAY: TALBOT BADMINTON CLUB

Email: talbotshuttleclub@gmail.com for more information.

THIRD MONDAY OF THE MONTH: EAST CHESHIRE ALPINE GARDEN SOCIETY.

We are a sociable group of enthusiastic gardeners, many of whom have a wide knowledge of things alpine. Come and meet us at Wilmslow Preparatory School at 7pm for 7.30 start, September to April. Subscriptions are Single £10, Joint £18 plus £1 per meeting. Visitors £4.

EVERY TUESDAY: DEAN ROW SOCIAL BRIDGE CLUB

We are a small, friendly club playing duplicate bridge. Come and make new friends. 1st 3 sessions are free including refreshments. Meeting at Dean Row Village Hall 1.30pm -4.30pm. Contact, Carolyn at deanrowsocialbridgeclub@gmail.com or 0161 941 3686

EVERY MONDAY AND TUESDAY: CLASSES FOR SEQUENCE DANCING

Contact Susan Young 07712  069627

EVERY TUESDAY: MAGIC VOICES

Wilmslow 7.30pm Wilmslow Parish Hall, Cliff Road, Wilmslow SK9 4AA

EVERY TUESDAYS (TERM TIME): ALDERLEY EDGE COMMUNITY CHOIR for fun and friendship. 2-3.30pm at Alderley Edge Methodist Church.

EVERY TUESDAY: ROTARY CLUB OF WILMSLOW DEAN

Contact 01625 535580. www.wilmslowdeanrotary.org.uk.

SKWilmslow & Alderley Edge - May/June 2024 5

FIRST TUESDAY OF THE MONTH: CHESHIRE LADIES LUNCHEON CLUB

Delicious lunch at The Pinewood Hotel, Handforth. Interesting speaker and friendly company. Contact Lesley Cox 079534 471782

EVERY TUESDAY: THE BARNBY CHOIR 8pm til 9.45pm AT WILMSLOW METHODIST CHURCH, WATER LANE, WILMSLOW, SK9 5AR CONTACT SHAN

BRISTOW 01625 520193 or email Shan@shanbristow.co.uk Or see Choir Website: www.thebarnbychoir.co.uk

EVERY TUESDAY: MEMORIES, WHATSITS & THINGMAJIGS

11am-12:  we will have a selection of photographs, town maps and other objects designed to evoke memories.  We will also have tea, coffee and biscuits so we can have a good old natter about how things have changed – telephone 01625 374 060 for further information. Wilmslow Library.

EVERY TUESDAY: WILMSLOW BADMINTON CLUB

Email mickpeel@btopenworld.com.

EVERY TUESDAY: LUNCH CLUB

Royal Voluntary Service run a lunch club every Tuesday for older people at the Methodist church, Chapel Road, Alderley Edge ,12pm to 1pm we offer a sandwich, cake and cups of tea ,it’s a great way to meet new people and have a natter. contact Julie Dickson 01625 536412

EVERY TUESDAY: MACCLESFIELD LIGHT ORCHESTRA

If you enjoy playing music and would like to join a friendly orchestra, please contact: Rosemary Jones 01625 529313 or Lawrence Beard 01625 572324. 7.45 pm in the Salvation Army Rooms, Roe Street, Macclesfield SK11 6UT. www.macclesfieldlightorchestra.co.uk

EVERY TUESDAY: JAZZ AND SWING

Contact 01625 528336.

EVERY SECOND TUESDAY OF THE MONTH: JAZZ AND SWING

The Morley Green Club, Mobberley Road, Wilmslow, SK9 5NT Details (01625) 528336  www.grahambrookjazz.co.uk

EVERY SECOND TUESDAY OF THE MONTH: THE ARTS SOCIETY WILMSLOW

Every second Thursday of the month: The Art Society Wilmslow. Meet at the United Reform Church Wilmslow and the contact details are : wilmslow@theartssociety.org

EVERY WEDNESDAY: WOW SINGERS (LADIES’ DAYTIME CHOIR)

Further details: cantata16@gmail.com, 01625 269721 or www.cantatamusic.org

FIRST WEDNESDAY OF THE MONTH:

BOOK LOVERS GROUP

2-3pm: free, no need to book.  We will have a different book theme each month so call 01625 374 060 for further information. Wilmslow Library.

EVERY WEDNESDAY: BACKBEAT A CAPPELLA

Call Chrissie on 07929 103990 for further information. www.backbeatacappella.com.

FIRST WEDNESDAY OF THE MONTH: DEAN ROW WI

Call Elizabeth on 01625 251126

EVERY WEDNESDAY: ALDERLEY EDGE BRIDGE CLUB.

Contact John Poole on 01625 584328 or DenisLangton on 01625 583720

EVERY WEDNESDAY: ADCS & SCOTTISH COUNTRY DANCING

Contact details 01260 253401.

EVERY WEDNESDAY: WILMSLOW KNIT AND NATTER GROUP

Suitable for knitters of any ability. 9.30 - 12.00pm at Coach and Four, Alderley Road, Wilmslow.

EVERY WEDNESDAY: RHYMETIME

10am to10.30 am at Alderley Edge Library, London Road, Sessions are free with no need to book.

EVERY SECOND WEDNESDAY OF THE MONTH: WILMSLOW HISTORICAL SOCIETY

Contact us on 01625 536909 or by email to wilmslowhistoricalsociety@gmail.com

SECOND WEDNESDAY OF EACH MONTH: THE ART SOCIETY NORTH EAST CHESHIRE

Contact Maggie on 0161 427 9451 or email info@ theartssocietynortheastcheshire.org.uk

EVERY THIRD WEDNESDAY OF THE MONTH: CONCERTS UNDER THE SPIRE:

Every Third Wednesday of the Month: Alderley

Edge Methodist Church Lunchtime Concert Light lunches served from 12 noon followed by 45-minute recital starting at 1.00 pm. Admission to the concert by programme £7 available at the door. www.alderleyedgemethodistchurch.com

6 SKWilmslow & Alderley Edge - May/June 2024

Dental implants available in Dr Oberai’s prestigious clinics in Wilmslow.

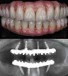
Consider dental implants if you have missing or loose teeth. All on 4 implants offer a permanent solution, especially for denture wearers or those with multiple failing teeth. This minimally invasive digitally planned procedure ensures comfort, confidence, and full arch restoration in a day. It involves using four to six implants surgically placed into the jawbone, followed by a temporary bridge for healing and a later permanent one.

To check suitability, book a free consultation with Dr. Nikhil Oberai through our friendly reception team.

‘Implant retained bridges and dentures can offer comfort and confidence’
REJUVENATE YOUR SMILE
64 Manchester Rd, Wilmslow SK9 2JY email: dentist@croftdental.co.uk • www.croftdental.co.uk Tel: 01625 523 524

LAST WEDNESDAY OF THE MONTH: IT&CHAT:

2-3pm: If you need help with getting online or using our online resources, drop in for advice.  Telephone 01625 374 060 for further information. Wilmslow Library.

EVERY FOURTH WEDNESDAY OF THE MONTH: WILMSLOW U3A

Meetings at 2.30pm with a different speaker each month New members are very welcome. Costs £1 each meeting after membership fee which includes a cup of tea and a biscuit. URC schoolrooms, Chapel Lane, Wilmslow. For more information check out www.wilmslowu3a.org.uk

EVERY SECOND THURSDAY OF EACH MONTH: ROW OF TREES CUM WIMSLOW W.I.

Contact Jean on 01625 475222.

EVERY THURSDAY: MOVEMENT TO MUSIC

Call Angela 0779029168.

EVERY THURSDAY: STORY & SONG. 10am to10.30 am at Alderley Edge Library, London Road, Sessions are free with no need to book.

EVERY THURSDAY: CLASSICAL YOGA

Contact Marion Duff on 01625 528650 www. marionduff.co.uk for details.

EVERY THURSDAY: THE THURSDAY GROUP A SOCIAL GROUP FOR MATURE UNATTACHED PEOPLE

07990 760886 www.thursdaygroup.co.uk

EVERY THURSDAY: KEEP FIT FOR SENIORS. Thursday 1.30-3.00 p.m. Chapel Court, Hawthorn Street. Wilmslow Standing and Seated Exercise to Music. Followed by refreshments £7.00 per class

(Contact Angela 07790291648)

EVERY THURSDAY: YOGA

For more information email: diana.j.davidson@btinternet.com or call 0161 929 1947.

EVERY THURSDAY: RHYMETIME

11-11:30am: Ideal for aged 4 and under, free, no need to book – telephone 01625 374 060 for further details. Wilmslow Library.

EVERY FIRST THURSDAY OF THE MONTH: BOOK CHAT SOCIAL

5:45-6:45 - There is no set text, no specific genre just an opportunity to come and talk about what

books you have been enjoying and possibly be inspired to try something new.  Tea, coffee and a biscuit or two will be available. No need to book.  Telephone 01625 374 060 for further details. Wilmslow Library.

EVERY SECOND THURSDAY OF THE MONTH: ALDERLEY EDGE SPEAKERS

Call Mike on 07973 155651.

3RD THURSDAY OF EVERY MONTH: TRANSITION WILMSLOW MEETING

Do join us and help us make Wilmslow a greener place; we plant trees, grow vegetables, organise guided walks, bike rides and talks, help people save energy at home and lots more! Do join us and share your ideas. Everyone welcome. 7.30pm either at Quaker Meeting House or via Zoom. Contact transitionwilmslow@gmail.com for details.

EVERY 4TH THURSDAY OF EACH MONTH (EXCEPT FOR DECEMBER): RETIRED TEACHERS CLUB

Contact 0161 4398794.

EVERY THURSDAY AFTERNOON: MOBBERLEY BRIDGE CLUB

playing at Chorley Village Hall Contact Brian 01625 533797 or Angela 01625 528826

EVERY THURSDAY LEGO CLUB:

5-6:30pm: ideal for 5+, free, no need to book so come and get creative - telephone 01625 374 060 for further details. Wilmslow Library.

EVERY THURSDAY AFTERNOON: MOBBERLEY BRIDGE CLUB

1.15pm-4pm at Chorley Village Hall. Contact  Bernard 01625 524679 or Jean 01625 526687

FIRST FRIDAY OF THE MONTH: WILMSLOW WORDSMITHS WRITING GROUP:

10:30-11:45: write poetry, short stories or scripts in an informal setting, no experience necessary. Free, no need to book.  Telephone 01625 374 060 for further details. Wilmslow Library.

FIRST AND 3RD FRIDAY EACH MONTH: STOCKPORT AND DISTRICT SOCIETY OF MODEL ENGINEERS

Meet at 7:30pm, at St Catherine’s Church Hall, Outwood Road, Heald Green. SK8 3QJ, for talks and discussions. If you are interested in model engineering whether experienced or a beginner contact us at info@stockportmodelengineers.co.uk

8 | SKWilmslow & Alderley Edge - May/June 2024

RESULTS BASED TRAINING RESULTS BASED TRAINING SUITABLE FOR ALL ABILITIES

SUITABLE FOR ALL ABILITIES

COMMUNITY GROUP FITNESS COMMUNITY GROUP FITNESS

YOGA & PILATES CLASSES

YOGA & PILATES CLASSES

HOLISTIC WORKSHOPS & EVENTS

HOLISTIC WORKSHOPS & EVENTS

NO CONTRACT MEMBERSHIPS

NO CONTRACT MEMBERSHIPS

INDIVIDUAL BATHROOMS

INDIVIDUAL BATHROOMS

FREE CAR PARK FREE CAR PARK

S C A N M E risefitnesscheadle co uk/freetrial
FOR A FOR A FITNESS FITNESS EXPERIENCE EXPERIENCE LIKE NEVER BEFORE LIKE NEVER BEFORE
@ R i s e F i t n e s s C h e a d l e @ R i s e F i t n e s s C h e a d l e w w w r i s e f i t n e s s c h e a d l e c o u k w w w r i s e f i t n e s s c h e a d l e c o u k 0 7 3 6 0 3 8 0 5 5 5 0 7 3 6 0 3 8 0 5 5 5 The Precinct, Cheadle Hulme SK8 The Precinct, Cheadle Hulme SK8 5BB 5BB

EVERY SATURDAY MORNING: COFFEE – CONCERT – COMPANIONSHIP

Coffee Morning 10 am – 12 noon every Saturday (except August). Come and meet your friends, have a natter, browse the stalls for home-made goodies, books, Traidcraft items and much more. Informal Piano Recitals from 11 am on the first Saturday of the month. Admission free. Alderley Edge Methodist Church www.alderleyedgemethodistchurch.com

EVERY SUNDAY MORNING: THE ALDERLEY EDGE, WILMSLOW AND DISTRICT FOOTPATHS PRESERVATION SOCIETY

Visit www.footpaths.org.uk

EVERY SUNDAY: “HUNGRY FOR HELP”

Contact Suzi 07876 152 630 www.oagb.org.uk

EVERY SUNDAY: TAI CHI

All year round, every Sunday morning at 10.30am @ the Leisure Centre Cricket ground.  No tuition. No charge and free parking!

SATURDAY 18TH MAY: THE MANCHESTER CHORALE CONCERT.

A concert of Simply Sublime Choral Music from around the world and through the centuries, in a wide variety of styles including includes early and sacred music, folk songs, part songs, spirituals and contemporary music, as well as music by aspiring composers. 3:00-4:15pm, Wilmslow United Reformed Church, Chapel Lane, Wilmslow. www.manchesterchorale.org.uk

SATURDAY 18TH MAY: MACCMVC & THE CARAVANETTES

After a hugely successful concert with local star Gemma Sutton, Macclesfield Male Voice Choir (MaccMVC) will next be be joined in concert by The Caravanettes - a ladies choir, who are also Macclesfield based. The concert is on at Macclesfield United Reformed Church, Park Green SK11 7NA, starting at 19.30.  All are welcome and tickets are £12 per person with under 18s at just £5. These can be obtained via their website at www.maccmvc.co.uk or in person from one of the choir’s singers. Tickets are also available at the Tourist Information Centres in Macclesfield and Congleton, Bollington Library and Knutsford Heritage Centre. The choir can also be contacted by email at mmvc.secretariat@gmail.com or phone 07471 230513.

MONDAY 20TH MAY:

MONTHLY COFFEE MORNING

Handforth and Altrincham Oddfellows are hosting a monthly coffee morning at 11.00am on 20th May and 17th June at Wilmslow Garden Centre, Manchester Road, Wilmslow, SK9 2JN.  Contact Sharon on 01925 758117 or email sharon. hulsecottle@oddfellows.co.uk

SATURDAY 8TH JUNE: THE BARNBY CHOIR CONCERT

7.30 pm at United Reformed Church, Chapel Lane, Wilmslow, SK9 1PR. Tickets £12 (£5 students, children free). From Shan Bristow, 01625 520193 www.thebarnbychoir.co.uk

SATURDAY 29TH JUNE THE WWFA ANNUAL 2024 GARDENS DAY

As usual we will have a wide range of beautiful gardens open to visit across the area illustrating different type of horticulture. Some gardens will also serve refreshments or offer plants for sale. The gardens or open from 10.30 to 16.30. Advance tickets at £12 are available in early May from the following outlets: Chelsea Flowers, Chapel Lane, Wilmslow. The Potting Shed, London Road, Alderley Edge. Primrose Cottage, Altrincham Road, Styal. Shan - 01625 520193 and Donald - 01625 590339 Tickets £15 on the day.  Children welcome for free.  No dogs allowed.

SATURDAY 29TH JUNE: ALDERLEY MUSIC FESTIVAL – PARTY IN THE PARK

Starting at 3pm at Alderley Park you can see the UK’s Top Tribute acks all in one place. Check out page 13 for the full line up. www.alderleymusicfestival.co.uk

SATURDAY 29 JUNE:

THE MANCHESTER CHORALE CONCERT

A concert of Simply Sublime Choral Music from around the world and through the centuries, in a wide variety of styles including includes early and sacred music, folk songs, part songs, spirituals and contemporary music, as well as music by aspiring composers. 7:30pm, Emmanuel Church, Didsbury. www. manchesterchorale.org.uk

10 SKWilmslow & Alderley Edge - May/June 2024
SKWilmslow & Alderley Edge - May/June 2024 11

Shire horses gallop to glory at auction - even with a broken leg!

Britain is a nation of animal lovers and that passion for all creatures great and small is reflected in the world of collectables.

One company to thank for putting animals at their heart of their world is Beswickpronounced Bes-wick by the way, not Bes-ick! Their pottery animals are soaring to new heights at auction, even if they hobble into the saleroom with a crack, restoration - or even a broken leg!

A couple of Beswick Dapple Shire horses (model 818), one restored and one with a broken and detached rear leg, made £460 from a £100-£120 guide at Hansons. Another grazing example galloped to £800 from a £120-£150 estimate. As well as illustrating the strength of the Beswick collectors’ market, results like this honour the achievements of a pottery manufacturer born in Victorian England. John Beswick Ltd was founded in 1894 by James Wright Beswick and his sons John and Gilbert in Longton, Stoke-onTrent. It was chiefly known for producing highquality porcelain figurines such as farm animals and Beatrix Potter characters. These are now highly sought.

In 1947 Lucy Beswick suggested bringing to life the illustrations in the Beatrix Potter books. In 1948, John Beswick secured the rights to reproduce 10 Beatrix Potter earthenware characters.

Beswick on the mantelpiece? If so, you will be interested to know a rather quirky Beswick Fireside Old English Sheepdog advertising Dulux paint hammered at £160. In fact pottery dogs are a winner because two Fireside Golden Labradors (model 2314) made £90 and a Fireside Dalmatian

(2271) and Fireside Alsatian (model 2410) made £100, all from £30-£40 guides. In addition, two Beswick Fireside Foxes (model 2348) achieved £150 (£20-£30 guide) and a horse and jockey galloped to £110.

But all manner of pottery is sought after. Bidding soared to £400 for a 19th century porcelain teapot decorated with boating and fisherman scenes, way above its £40-£50 guide. Another lot to excel was an early 20th century Royal Crown Derby plate paired with a 20th century Oriental vase, which achieved £290 (£40-£60 guide). Plus three early-to-mid 20th century Meissen porcelain plates hammered t £460.

Hansons will host free antiques, jewellery and toy valuation events at St John’s Knutsford Church Centre, Church Hill, Knutsford, Cheshire, WA16 6DH, on May 24, June 28 and July 26, 11am-1pm. To find out more or to book a home visit, email service@hansonsauctioneers.co.uk or call 01283 733988.

Twitter: HansonsUK

Facebook: HansonsAuctioneersUK

Instagram: hansons_auctioneers

12 SKWilmslow & Alderley Edge - May/June 2024
Rare Beswick Shire horst sold for £800 Beswick Fireside Foxes , model number 2348 , 1 cracked and 1 restored. sold £150 from £20-30 est 20th century Royal Crown Derby plate and 20th century Oriental vase sold for £290 19th century porcelain teapot sold for £400

ALDERLEYMUSICFESTIVAL.CO.UK

UK’S TOP TRIBUTE TO

SKWilmslow & Alderley Edge - May/June 2024 13

Outdoor Cuisine

As the weather gets warmer (hopefully) I start to think about picnics and general outdoor eating. The following recipe is very easy and a lovely addition to a picnic or just lunch in the garden. Serve it with a simple salad and a glass of cold white wine.

Crab and tarragon tart

Ready made short crust pastry – I know it’s cheating but it’s so much easier.

3 eggs

300ml double cream

2 tsp French mustard

Heaped tablespoon of tarragon leaves

500g white crabmeat

2 tbsp grated parmesan

First of all blind bake the tart base. Roll out the pastry and cover a 23in tart tin pressing it in and up the sides. Prick the base all over with a fork and put it into the freezer for 10 mins while the oven heats up to 200c.

Put some greaseproof paper over the tart and cover it with baking beans (not baked beans!!) or if you haven’t got any use uncooked rice. (It just stops the pastry bubbling up) Into the oven for 10 mins then remove the beans/rice and greaseproof and put it back into the oven for a further 5 mins.

Separate the eggs and mix the yolks with the cream add salt, pepper and the mustard then chop up the tarragon and add that too. Stir it all up before stirring in the crabmeat. In a separate bowl beat the egg whites until they stand in peaks then fold them gently into the crabby custard mix. Pour this mixture into the baked pastry case and sprinkle the parmesan over the top.

Turn the oven down to 190c and bake the tart for 30 to 35 mins until it is golden but still slightly wobbly in the middle. Take it out of the oven to cool a little before serving it. I like it warm but it’s lovely cold too.

14 SKWilmslow & Alderley Edge - May/June 2024
SKWilmslow & Alderley Edge - May/June 2024 15 Imagine how your home would look with new shutters fitted! We pride ourselves on the exceptional quality of our shutter range, the amazing talent of our team and our attention to detail. Let us transform your home into the living space you have always dreamt about. Get in touch today! www.craftedshutters.co.uk 0161 920 7777 sales@craftedshutters.co.uk Discover beautiful, made-to-measure shutters Visit our new display at new at SALE NOW ON LOCAL COMMERCIAL AND DOMESTIC ELECTRICIAN Cheadle Hulme & surrounding areas NIC-EIC approved contractor City & Guilds qualified JIB Approved n EV charging points n Full/part property rewires n Electrical installation condition reports n Consumer unit upgrades NO JOB TOO SMALL Fully insured and all works guaranteed Free estimates christian@baselineelectrical.com 07900892681

GARDENING TIPS Garden Talk

By way of an introduction, I’m Kevin and I am here each month to talk about gardening. I can also try to answer you gardening questions on email info@kevinpratt.co.uk

April and May are great months to think about sprucing up your hanging baskets. As a former nursery owner we used to make eight hundred hanging baskets each year, and I would love to share three secrets.

The bigger the better

My first tip is to buy your plants as big as possible, forget grow- yourown and plug plants - these will make a flowering basket, eventually, but the larger plants will show amazing growth much quicker. We used to use Sufinia, which is a trailing Petunia (pictured) but absolutely anything goes, from traditional Fuchsia and Geranium to modern Nemesia and Diasia, be imaginative and it’s like art, it’s in the hands of the beholder. The style of basket you can use is as diverse as the flowers, from steel hay baskets to willow wicker baskets. always used large black plastic baskets, and yes I hear that we should all be moving away from plastic but I’d argue that my two plastic baskets will be reused my entire life, and they are already 22 years old!

Use fresh compost

compost. Never blame yourself if the flowers fade during the summer - it’s usually the fault of the compost. An ideal addition to the compost would be a teaspoon of slow-release fertiliser and a teaspoon of water retaining gel granules. These are added at the same time as you add the plants. Remember to push the plants into the compost - the closer you plant the quicker they fill out and they soon begin to tumble down and look amazing

These days, during the summer, plants don’t really need much deheading as most plants are now repeat flowering, but if you have a few minutes free you could remove a few of the old spent flower heads.

If during the summer time the flowers become fewer and fewer, any liquid feed will give the plants a summer boost.

Keep Watering

Now coming to my final tip, don’t let the hanging baskets dry out at all. Always keep the basket slightly on the damp side. If they dry out the basket will sit there and not grow until it has recovered from the shock of drying out.

Happy Gardening!

Kevin Kevin Pratt Home Garden Consultation.

My second tip is to use fresh, good quality compost. This will be obvious to many people but I can’t emphasize enough that there is good compost, poor compost and excellent

With 40 years’ experience, Kevin advises on planting, design and pruning with a visit to your garden. www.gardenconsultation.co.uk info@kevinpratt.co.uk

16 | SKWilmslow & Alderley Edge - May/June 2024

Open now inside Woodford Park Garden Centre | www.wardsshoes.com

Open now inside Woodford Park Garden Centre | www.wardsshoes.com

Open now inside Woodford Park Garden Centre | www.wardsshoes.com

Woodford Park Garden Centre, SK7 1QS

Woodford Park Garden Centre, SK7 1QS

Recruiting for sales team members now!

Recruiting for sales team members now! Various positions available, 10-25 hours per week.

Woodford Park Garden Centre, SK7 1QS Recruiting for sales team members now!

SKWilmslow & Alderley Edge - May/June 2024 17
Various positions available, 10-25 hours per week. Contact us at web@wardsshoes.com for more information today.
Contact us at
for more information today.
web@wardsshoes.com
18 SKWilmslow & Alderley Edge - May/June 2024 Replace just the failed glass unit! Have Your Windows Steamed Up? Social distancing in operation Faulty locks, handles or hinges? Priority freephone www.cloudy2clear.co.uk Love Your Home - Protect YourWindows - Save Money All glazing backed by our Looking to upgrade your existing windows and doors? UPVC, composite or aluminium. Contact us NOW! Finance Options Available Get a FREE Quote

Baby Ballet

Tuesday afternoon at Handforth & Prestbury School of Dance, Dean Row Community Hall, Dean Row. Call Michelle on 0161 483 6678.

Baby Bounce

suitable for 12 months and under - Tuesdays 9.4510.15. Wilmslow Library. Pleas book in advance by calling 01625 374 060

Baby Reflexology

Thursday morning at Moor Lane, Wilmslow. Call Gabby on 07817 597288.

Bon Bons

Wednesday morning at Wilmslow Parish Hall, Cliff Road, Wilmslow. Call Bonnie on 07739 359948.

Baby bounce

on Fridays afternoons 2.30 – 3.00pm Alderley Edge Library, 44a London Road, Alderley Edge, SK9 7GP.

Caterpillar Music

Monday morning at Wilmslow Leisure Centre, Rectory Fields, Wilmslow. Call Jan on 01925 860459.

The Creation Station

Wednesday morning at Dean Row Village Hall, Brown Lane, Wilmslow. Call Sarah on 0844 854 5065.

Friday Tots

Friday 10 – 11.30am at Alderley Edge Methodist Church. Call Susan on 01625 585166.

Little Footprints

Wednesday & Friday 9.15 – 11am at Dean Row Community Centre, Dean Row. Call Brenda on 01625 251097.

Little Strikers Pre-School Football

Monday morning at Parish Hall, The Corrs, Cliff Road, Wilmslow. Wednesday morning at The Scout Hut, Talbot Road, Alderley Edge. Call 07792 791382

Lego Club

Thursdays 3.30-4.30. Wilmslow Library. Pleas book in advance by calling 01625 374 060

Little Superstars Sports Club

Friday morning & afternoon at Wilmslow Leisure Centre, Rectory Fields, Wilmslow. Call Louise on 07904 311552.

Mums, Dads & Tots

Wednesday 1.30 – 3pm at St. Benedict’s Church, Hall Road, Handforth. Call Jacquie on 01625 250471.

Music Bugs

Friday morning at Wilmslow Parish Hall, Cliff Road, Wilmslow. Call Stacey on 0844 822 1175.

Praise & Play

Tuesday at 1.30 – 3pm at St Chad’s Church, Wilmslow Road, Handforth. Call Chris on 01625 530228

Puddle Ducks Baby & Pre-School Swimming

Friday afternoon at The Hallmark Hotel, Stanley Road, Handforth. Call 01477 410080.

Pregnancy yoga

Sundays 9:30 - 11:00 at the Dean Row Village Hall, Wilmslow. Call Anna on 07801 058379 or email anna@yoga4pregnancy.co.uk

SKWilmslow & Alderley Edge - May/June 2024 19

Postnatal yoga

Thursdays 10:00 - 11:30 at the Dean Row Village Hall, Wilmslow. Call Anna on 07801 058379 or email anna@yoga4pregnancy.co.uk. Little ones welcome.

Raindrops Tots

Tuesday 10am – 12pm (term time only) at Wilmslow Parish Hall, Cliff Road, Wilmslow.

Rhymetime

on Wednesdays 10 – 10.30 am Alderley Edge Library, 44a London Road, Alderley Edge, SK9 7GP.

Rhyme Time

Thursdays 11.00-11.30. Wilmslow Library. Pleas book in advance by calling 01625 374 060

Sally Williams Baby Ballet

Monday, Tuesday & Wednesday afternoons at Wilmslow Leisure Centre, Rectory Fields, Wilmslow. Call Sally on 01625 585070.

Songs & Rhymes

Mondays during term time at 10 am at Wilmslow Methodist Church. Please contact the church office on 01625 528892 for more info or to book a place.

Story & Song

on Tuesday 10 – 10.30 am Alderley Edge Library, 44a London Road, Alderley Edge, SK9 7GP.

Story Time for Under 5’s

Mondays 9.45-10.15. Wilmslow Library. Pleas book in advance by calling 01625 374 060

Talking Tots

Wednesday morning at Wilmslow Parish Hall, Cliff Road, Wilmslow. Call Beccy on 07947 735373.

Tennis Tykes

Monday & Friday afternoon (term time only) at St John’s Church Centre, Lindow. Call Caroline on 07843 342662.

Tiddlywinks Mini Church (activities, play & stories)

Story, song and craft activity session on Wednesdays during term time 10.30 am - 12 pm at Wilmslow Methodist Church. Please contact the church office on 01625 528892 for more info.

Tiny Hands

Friday 10 – 12pm at St Mary’s Methodist Church, Wilmslow Road, Handforth. Call Margaret on 01625 526591.

Tiny Toes

Wednesday morning at Wilmslow Leisure Centre, Rectory Fields, Wilmslow. Call Sally on 01625 585070.

Tumble Tots

Tuesday and Wednesday at Wilmslow Leisure Centre, Rectory Fields, Wilmslow. Contact Megan on 07814 020095.

Water Babies Swimming

Monday afternoon / Tuesday morning at The Hallmark Hotel, Stanley Road, Handforth. Call Chris on 01270 611111. Also Monday & Wednesday afternoon at The Holiday Inn, Altrincham Road, Wilmslow. Call 01270 781239.

If you are interested in attending any of these activities please phone first to check the details.

20 SKWilmslow & Alderley Edge - May/June 2024
you
A lifestyle tailored to
Residents’ quality of life is at the heart of everything we do, enabling each individual to lead independent, fulfilling lives. If you’re considering a care home, call 0330 822 4611 or visit careuk.com/cheshire Trusted to care Abney Court, Cheadle Ladybrook Manor, Bramhall

BENEFITS & ENTITLEMENTS FOR OLDER PEOPLE

According to Age UK there are billions of benefits that go unclaimed every year, some of these benefits and entitlements are specifically for older people. Before we look at what is available let’s remind ourselves that the default retirement age (formerly 65) was abolished - most people can now work for as long as they want. Retirement age is not the same as State Pension age, State Pension

age is currently 66 for both men and women and anyone can continue to work past State Pension age.

Benefits and entitlements start at age 60, a relatively young age I would say. Anyone over 60 is eligible for free NHS prescriptions. The 60’s and over can have a free NHS eyesight test, so it is worth contacting your optician to make an appointment if you have not had one recently. NHS dental check-ups and treatments are also available for free.

There are travel perks too, those 60 plus can get a third off train travel in Britain with a Senior Railcard and buy a 3-year Senior Railcard for just £70. There will be restrictions as to when you can travel, such as off peak, but well worth it given the cost of train travel. As they used to say ‘let the train take the strain’ perfect for days out, weekends away to visit family and friends.

For those around or above retirement age, there are several benefits that could be claimed. Extra money to help with heating in winter, free transport passes, and council tax reductions.

TV licence concessions are also available, for some the TV licence will be free and what is not commonly known is that for those living in a care home or sheltered housing could be eligible for an Accommodation for Residential Care (ARC) licence, which costs £7.50. You will only need a licence if you watch TV in your own separate accommodation, rather than in a communal space such as a residents’ lounge.

Right now, the winter may seem far away, but it is the perfect time to start planning and investigating insulation and heating schemes. A number of companies have signed up to schemes that allow you to claim free insulation and heating improvements, such as a new boiler, to make sure your home is energy efficient.

Considering most older people have contributed to the National Insurance pot and society, it is only right they claim their share of the benefits and entitlements – don’t let them go to waste.

For eligibility and up to date information visit www.ageuk.org.uk & www.gov.uk

22 SKWilmslow & Alderley Edge - May/June 2024

FROM GRAPE TO GLASS

A relaxed and traditional wine bar offering an extensive and carefully selected wine list with an eclectic mixture of Old & New World wines.

We have over 40 wines available by the glass and over 150 wines by the bottle, selected from all around the world.

Paired with a selection of cured meats and cheeses to compliment our wines. For more information please join our mailing list.

Opening Times: Wednesday & Thursday 3pm -11pm • Friday, Saturday & Sunday - 12pm-11pm Monday & Tuesday Closed info@winecellarwilmslow.co.uk 01625 529 773 2d Hawthorn Lane, Wilmslow, Cheshire SK9 1AA Call or email to book but walk ins always welcome

Mindset Advice

WHY CAN’T YOU CONCENTRATE ANYMORE?

There is little doubt among researchers that human concentration and focus is rapidly on the decline.

The evidence of this is pretty clear in our own lives.

How many of us see the eyes of our children anymore when we interact with them? Instead becoming over familiar with the tops of their heads as they grunt basic responses whilst locked on devices.

Of course as parents we try to regulate this, but we can’t single handedly fight a fight that is also consuming our own attention.

We have constant emails, texts, notifications, voicemails, and there are so many apps vying for our attention. At last check I have 201 apps on my phone…

Research shows that we no longer spend prolonged time concentrating on things, because we are distracted so often.

Children today are estimated to send a text message every 3 minutes in their waking hours. How can they concentrate on anything given this?They’re also reading far more texts than they send as they are often in (so many!) groups… no wonder homework is a challenge.

For adults, it is every bit as bad. It has been shown that, when focussed on a task, after a distraction such as a text or email it takes 23 minutes to return to the same level of focus.

Given the frequency of our disturbances it is feasible that we may spend days, if not weeks or months, NEVER achieving prolonged focus.

It’s not just technology and distractions robbing us of our attention however, it is certain biological factors too such as how we eat and how we sleep as a society.

Human brains can only develop and function properly if they get the necessary biological building blocks and adequate rest. We can take supplements and sleeping pills but ultimately the diet itself should be natural, fresh and healthy, and it mostly isn’t, and we need effective rest.

Modern “food” increasingly looks like processed junk and even health foods are often not healthy, and are overloaded with unnecessary

chemicals and dyes. There has even been a proven link between poor food quality and ADHD in children.

Sleep is in decline, and humans sleep far less now than we did 50 years ago. The farther back you go the more we slept compared to today. It is no coincidence this sleep reduction runs parallel with the attention crisis.

In some studies humans were shown to react up to 10 times slower to stimulus after poor sleep, and 18 hours of sustained wakefulness has been shown to put the brain in the same performance state as being over the drink driving limit.

We cannot forget exercise either. When we exercise we sleep better and we learn and remember more. Children especially benefit from daily morning exercise in terms of their learning and focus but where is the implementation of this research?

Children and adults are doing less exercise than ever before and the effect of this is devastating, both physically and mentally.

the final key factor in the attention crisis is the sheer volume of information we face in the modern world. Unimaginably huge compared to years past and we simply cannot give due attention to everything we know is happening.  As a therapist, I know that this over saturation of information causes stress and overwhelm.

There are more factors I could talk about in this very important battle to “stop the rot” in human attention, but I do not have the word count in this edition.

So, your homework is to do a little of your own research into the above (using concentration and focus!) and then next time, I will share my findings on what we can do about it.

It is a difficult path ahead, but it is a fight worth fighting, and one I am very passionate about.

24 SKWilmslow & Alderley Edge - May/June 2024
SKWilmslow & Alderley Edge - May/June 2024 | 25

‘SIDE HUSTLE TAX’ – AND A REMINDER THAT TRADING PROFITS HAVE ALWAYS BEEN TAXABLE

A2022 survey by Aviva concluded that one in five Britons had taken up a ‘Side hustle’ since the start of the pandemic and therefore ‘side hustle tax’ has naturally become a hot topic. HMRC have new powers to collect sales data from online marketplaces such as eBay, Etsy, Depop and Vinted. It is important to stress that the tax rules haven’t changed – it is just HMRC’s information gathering powers that have been broadened.

eligible for certain tax allowances and reliefs such as the personal allowance, which allows you to earn a certain amount of income tax-free each year.

From 1 January 2024, the online platforms are now required to share information automatically rather than HMRC having to request it. The platforms are required to automatically report individuals with either sales of more than £1,740, or 30 or more sales transactions in a tax year.

If you have a side hustle or any additional income outside of your main employment, your requirement to report it to HMRC and pay tax on it will primarily depend on whether the activity counts as trading. Whether you are actually trading or not depends on various factors such as the frequency of transactions, how the goods were acquired and the length of ownership. So, for example, clearing the loft of the children’s old toys which are no longer used and having a one-off sale of these on eBay is unlikely to count as trading and so generally wouldn’t be subject to tax. However, regularly buying goods at car boot sales say, with the intention of selling them on shortly after for a profit would probably count as trading.

Even if your side hustle counts as trading, if your sales are less than £1,000, then it would be covered by the trading allowance and there wouldn’t be any tax to pay. If your sales are over £1,000 then you are required to register for Self-Assessment with HMRC as self-employed. You may still have no tax to pay as you may be

If you’re registered for SelfAssessment, you’ll need to complete a tax return each year, declaring your side hustle income and expenses. The deadline for filing your tax return and paying any tax owed is usually January 31st following the end of the tax year (April 5th). You can deduct certain expenses from your taxable income, thereby reducing your tax liability. Common allowable expenses include business travel, office supplies, equipment costs, marketing expenses and most importantly, the cost of the goods that you sell. It’s important to keep accurate records of all your income and expenses related to your side hustle. This includes invoices, receipts, bank statements, and any other relevant documents.

Failure to declare your side hustle income or pay the appropriate taxes can result in penalties and interest charges from HMRC. Tax can be complex, especially when you have income from multiple sources.

It is advisable to seek professional advice from an accountant or tax advisor to ensure that you are fulfilling your tax obligations correctly and making the most of any available tax reliefs.

26 | SKWilmslow & Alderley Edge - May/June 2024
SKWilmslow & Alderley Edge - May/June 2024 27 ghtio ectricians -2 Hour esponse time! -2 Hour esponse 61 958 6793 OUR SERVICES Full / Part Rewires Sockets & Lighting Showers Installed Fully Qualified Electrician Fuse Board Changes Inspection & Testing Landlord safety Certs EICR • Block Paving • Tarmacking • Imprinted Concrete • Resin Driveways • Gravelling • Slabbing • Landscaping • Patios • Fencing • Drop Kerbs • General Building • uPVC Products • Fascias • So ts & Guttering • New Roofs and Repairs 0800 747 1648 0161 532 7609 E: info@pavetarconstructionltd.co.uk W: www.pavetarconstructionltd.co.uk OAP Discount 1-2 Hour 12 Month Speak to us today! Response time! guarantee on labour! OAP Discount 1-2 Hour Rightio Plumbers 650921 Fast Response All Work Guaranteed Highly Experienced Clear Pricing We work in Wilmslow, Alderley Edge and all surrounding areas. 12 Month Speak to us today! Response time! guarantee on labour! 0161 958 6792 OUR SERVICES Boiler Breakdowns Radiators & Pipes Tanks & Cylinders Boiler Servicing Toilets & Taps Leaks & Bursts Showers Clearing Blockages Pipework Replacement Gas Safe Certified

3 WAYS TO BRING SUMMER INTO YOUR HOME

I’m happy hunkering down in the winter months. Cosy, dark nights in front of a flickering fire with the Northern weather doing it’s thing outside is.. comforting. However, I’m more than ready to go out and physically cajole that Summer in, demand it enter our green land, stay and behave for the foreseeable. Here are few ways to prepare your home to make the most of it.

some colourful petals and grasses. Jam jars and jugs have as much impact as vases. Gathering a ‘gaggle’ of different sized jars filled with flowers is so pretty.

Re-style your space. Move things around,

Clear away the clutter. The start of Summer is lighter and brighter, it’s the time of year I start to venture out in the evenings (I may have been an alleycat in my last life!). Winter is my hibernation season, hiding from friends past dark behind closed curtains to devour a good series. But with that comes the hoarding. Starting with a warm throw, some knitted cushions, lamps and new shiny receptacles for that extra glass of wine of an evening. All gorgeously comforting until now.

Clear them away and reclaim a fresher feel. I’m not saying NO cushions (I need cushions in my life), just cooler versions, lighter in colour, softer and definitely ditch blanket. Lounge and bedrooms are the key areas for this approach. Bring in the flowers. Those summery displays are the epitome of heady, warmer days. A quick cut of even the wildflowers you find on a walk will transform a space. Pop them everywhere and use anything as a vessel for showing off

remove the heavy looking, darker or stronger objects. Taking things away draws the eye to further corners, then pop some beach pebbles and little driftwood pieces on a side table or any interesting find, it will give a whole new feeling to the space. A larger branch find can be used for plants to happily grow and hang from, or for hanging pots and pans with the help of a few hooks.

For tips and tricks, follow me on Instagram. For more practical help, please do get in touch. Sharon.

Facebook: Tigermoth Home

www.tigermothhome.co.uk

Sharon@tigermothhome.co.uk

Instagram: @tigermothhomeinteriors

28 SKWilmslow & Alderley Edge - May/June 2024
SKWilmslow & Alderley Edge - May/June 2024 29 WE’VE GOT YOU COVERED. Your Local Roofing Specialists Roof Repairs Dry Ridge System Flat Roof Replacement Roof Dry Verge Systems Chimney Works Soffits, Fascias & Gutters Roof Inspection We offer a wide range of roofing services, no matter the job size we are able to undertake all roofing projects from a slipped tile to a full roof replacement. Telephone: 01625 315064 • 07871085867 Email: office@wilmslowroofing.co.uk • www.wilmslowroofing.co.uk

Useful Contacts

Cheshire East Council

Tel: 0300 123 5500 www.cheshireeast.gov.uk

Cheshire East Council, Westfield, Middlewich Road, Sandbach, CW11 1HZ

Cheshire Police

For non-emergency calls please 101 or 0845 4580000 (only call 999 in emergencies)

Stockport NHS Foundation Trust’s Stepping Hill

Tel 0161 483 1010 www.stockport.nhs.uk

Stepping Hill Hospital, Poplar Grove, Hazel Grove, Stockport SK2 7JE.

Wilmslow Town Council

01625 402907

townclerk@wilmslow-tc.org.uk

Community Groups

Rotary Club of Wilmslow Dean 01625 535580 or 530535

www.wilmslowdeanrotary.org.uk

Wilmslow Royal British Legion Club

01625 523715

Email: info@wilmslowlegionclub.co.uk

The Green Room Theatre Wilmslow

Ticket-Line 01625 540993

email: mail@greenroomwilmslow.org.uk

https://greenroomwilmslow.org.uk

Independent Community Website

www.wilmslow.co.uk

www.wilmslow.org.uk

www.whatsin-wilmslow.co.uk

Local MP

Esther McVey MP (Conservative)

01625 529922

officeofesthermcveyMP@parliament.uk

Local Councillors

Alderley Edge

Craig Browne (Ind. Group)

01625 865627

craig.browne@cheshireeast.gov.uk

Wilmslow Dean Row

Lata Anderson (Ind. Group)

07359 413301

Lata.Anderson@cheshireeast.gov.uk

Wilmslow East

David Jefferay (Ind. Group)

07729 707215

david.jefferay@cheshireeast.gov.uk

Wilmslow Lacey Green

Chris Hilliard (Green. Ind)

Chris.Hilliard@cheshireeast.gov.uk

Wilmslow West and Chorley

Mark Goldsmith (Ind. Group)

07711 230223

mark.goldsmith@cheshireeast.gov.uk

Michael Gorman (Ind. Group)

Michael.Gorman@cheshireeast.gov.uk

Around Wilmslow

Wilmslow Library

South Drive, Wilmslow, Cheshire. SK9 1NW

Tel: 01625 374060

email: wilmslow.library@cheshireeast.gov.uk

Opening Hours: Monday – 10am - 5pm, Tuesday – 10am - 5pm, Wednesday - 10am - 5pm, Thursday – 10am - 7pm, Friday 10am - 1pm, Saturday – 9am - 1pm. Sunday closed

Wilmslow Post Office

Tesco, Green Lane, Wilmslow, Cheshire SK9 1LD

T: 01625 524036

Opening Hours: Monday – Sunday 8am – 8pm

Wilmslow Health Centre

Chapel Lane, Wilmslow, Cheshire. SK9 5HX

T: 01625 548 555

Opening Hours: Monday, Wednesday & Thursday

8am – 6pm, Tuesday 8am – 8pm, Friday 7.30am – 6.30pm, Saturday 8.45am – Noon (pre booked appointments only on Saturday)

Wilmslow Dental Practice

26 Chapel Lane, Wilmslow, Cheshire, SK9 5HZ

T: 01625 441763

Opening Hours: Monday – Friday 9am – 5pm

(closed for lunch 1-2pm)

Closed Saturday & Sunday

Citizens Advice

Admin phone number is 01625 432847

30 SKWilmslow & Alderley Edge - May/June 2024

SHOWROOM: Hor ton Street, Higher Hillgate, Stockpor t SK 3LR

Open: Monday-Friday 9am - 4.30pm

Saturday by appointment

Dear SK reader,

My name is Dave, I run a local company called Green – Bank Tree care. I have over 30 years’ experience within tree surgery, including tree pruning, tree removal and hedge trimming.

If you are looking to have your trees, shrubs or hedges maintained then please call me. I can visit your property and provide you with a FREE QUOTATION without obligation.

NOW IS THE TIME YOUR GARDEN NEEDS MAINTAINING BEFORE THE BIRDS START NESTIN

n TREE PRUNING & SHAPING

n TREE REDUCTION

n HEIGHT LOWERING

n CROWN THINNING / LIFTING

n TOPPING

n FELLING / REMOVAL

n HEDGES & SHURBS TRIMMED

n IVY TRIMMED OR REMOVED

n STUMPS REMOVED

n FRUIT TREE PRUNING

If a neighbouring tree is overhanging your property, we can help by pruning it back to your boundary.

For a free Quote or Advice please call 0161 464

SKWilmslow & Alderley Edge - May/June 2024 31
IN MARCH
SPECIALOFFERS onstandardsizes (askfordetailswhencalling) + Freesurveyand freefitting SENIOR CITIZENS 20% DISCOUNT AVAILABLE
3738 Holly
Styal, Wilmslow
Lane,
SK9 4JL

KNEE PAIN AND HOW PILATES CAN HELP

Your knee joints are one of the most important joints in your body. They help you to carry out simple day to day activities, such as walking, going up and down the stairs and physical exercise. Knee pain is one of the most common musculoskeletal complaints and can have an big impact on your quality of life if it’s left untreated. A number of muscle groups help to keep the knees working well, but when one muscle gets injured, or it loses strength, it can throw the whole system around your knees out of balance meaning you’re more likely to suffer pain or injury.

This is why Pilates exercises for knee pain are ideal. They are low impact meaning they are easy on your joints and you are less likely to aggravate an injury or cause more pain. Pilates, can help to improve and correct alignment to strengthen the core to relieve pressure on the knee joints.

What are the causes of knee pain?

n Helps with muscle control and strength of lower limb muscles to stabilise the knee joint

n The smooth movements helps to improve range of movement in stiff joints and can help with pain relief

n Improves core control to aid whole body position

n Promotes balance and joint awareness

n Offloads the area by activating other muscles No matter the knee injury sustained, it is common to lose glute and quad strength as your body attempts to protect the area around the knee. Therefore, Pilates is great for rehabilitation as most exercises have a focus on glute and quad activation and strength.

Knee pain can happen for lots of reasons and can often be a symptom of tendon problems, muscle problems or the result of a traumatic injury. However, it may also be a sign of an underlying condition such as osteoarthritis if there is no clear injury.

If you are unsure why you have pain in your knee, always speak to your GP who can determine what is causing the discomfort.

Is Pilates good for knee pain?

The simple answer is yes, Pilates is good for knee pain! There are many benefits to Pilates for knee pain, the main being the fact it is low impact meaning it’s much gentler on your joints so should not aggravate your pain.

Benefits of Pilates for knee pain:

n Works on posture and alignment

n Strengthens muscles and increases joint movement

Whether you have knee problems or not, everyone should be mindful during any workout that the knees should aim to stay roughly in line with the second and third toes.

Once you have a diagnosis and reason for your pain, rather than saying you can’t do Pilates because of knee pain, you should actually participate in Pilates exercises to correct your movements and offload the joint.

Pilates is for life and can be life changing, so join a Body Control Pilates class now!

To find a qualified teacher, visit the Body Control Pilates website Jules Hardman Body Control Pilates Teacher www.jules-pilatesalderleyedge.co.uk

32 SKWilmslow & Alderley Edge - May/June 2024
Is your conservatory in summer & too COLD in winter? too HOT too light weight tiled roof or climate-control glass roof Enjoy it all year round with a glass roof New conservatories & garden rooms full design & build service £55 Misted up glass units replaced from just Full repair service to all windows, doors and conservatories Unbeatable prices on new replacement windows and doors UNBEATABLE PRICES Composite doors at Buy with confidence Proud to support: www.windowrepaircentre.com 0800 118 2211 01625 300 102 Call us now for a FREE quotation:no-obligation

Ad Index

If you would like to advertise your business in SKWilmslow & Alderley Edge, please contact Simon Hemsley on 07952 005518 or e-mail simon@skmagazines.co.uk.

34 SKWilmslow & Alderley Edge - May/June 2024 Specialists in Replacement Double Glazed Units Ring with Sizes for a FREE Estimate 0161 858 0075 0800 328 8573 8am to 8pm 7 days www.steamywindows.net Established Local Family Company Abney Court Care Home 21 Adlington Memorial Park & Funeral back Alderley Music Festival 13 Baseline Electrical 15 Build IT 11 Carrington Doors – Garages 31 CDT Car Valeting 25 Cheadle Hulme Dental & Cosmetic 35 Cloudy 2 Clear Windows 18 Crafted Shutters 15 Croft Dental & Implants 7 Electrician – Rightio 27 Green Bank Tree Care 31 House of Hearing 2 Jaxon Rose Kitchens 25 JR Tree Services 15 Pave & Tar – Driveways 27 Plumber – Rightio 27 Probus Club – Alderley 11 Rise Gym & Classes 9 Steamy Windows 34 The Wine BarSuburban Green 23 Walfinch Home Care 4 Wards Shoe Shop 17 Wilmslow Roofing 29 Window Repair Centre 33
Next issue: July / August 2024 Deadline: 10th June THE INDEPENDENT MAGAZINE FOR SK9 COMMUNITY Local History Events Community News Local Businesses Features www.skmagazines.co.uk IN S I G N P GA Issue 53 May / June 2024 SK Wilmslow & Alderley Edge

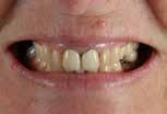
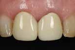
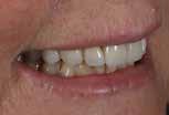
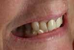
Porcelain veneers are ultra-thin, shell-like layers of dental porcelain that are placed directly on the outside of the existing teeth. In order to apply the veneer, a tiny amount of the tooth’s surface is removed (usually less than 1mm) so that the veneer sits flush with the rest of the teeth. This not only allows for better aesthetics but also helps the natural function of the tooth.

Minimal preparation veneers are a great treatment for anyone who is discontent with their smile, and looking for a long-term solution that requires very little maintenance. It is also a great treatment for someone who wants a straighter and more even smile without having to wear braces. As the treatment requires very minimal preparation, there is virtually no damage to the patient’s natural teeth unlike you see in the renowned ‘Turkey Teeth’ smile makeovers.

In this particular smile makeover, the patient was unhappy with her old, discoloured veneers and wanted to replace them with fresh ones. We fitted twelve veneers on her upper arch, which has given her a beautifully balanced, brighter natural looking smile.

If you would like to know more about minimal prep porcelain veneers, or if you would like to explore other treatments we offer, then call us on 0161-486-0743 and book in for your complementary consultation at our multi-award winning, state of the art dental clinic today.

Smile Makeover Using Minimal Prep Porcelain Veneers

Cheadle Hulme Dental & Cosmetics, 20a Station Road, Cheadle Hulme, SK8 7AB
& Cosmetics, 20a Station Road, Cheadle Hulme, SK8 7AB SCAN HERE TO TAKE A FLYING TOUR OF OUR PRACTICE BEFORE BEFORE AFTER AFTER SCAN HERE TO WATCH A PATIENT’S REVIEW OF THIS TREATMENT BEFORE AFTER BEFORE AFTER
Cheadle Hulme Dental

Funeral Plans from £23.50 per month

Changing the colour of funerals

Funeral Director

We can organise the funeral of a loved one that has passed away. Whether this is a cremation at a local crematorium, a burial at our own private natural burial ground or somewhere else where you may already have a plot reserved.

We can also organise a reception/wake or a celebration of life at a venue of your choice.

Memorial Park

A private natural burial ground where you can have the ashes of a loved one scattered or interred or a loved one buried with or without a service.

Planning for the Future

Pre-purchase a burial or ashes plot or take out a funeral plan to cover the cost of us conducting your funeral.

Please call 01625 578496 or email enquiries@adlingtonmemorialpark.co.uk and we’ll post or email you further information. We promise not to contact you again unless you ask us to.

We are located opposite the Legh Arms on Mill Lane, Adlington, SK10 4LF

www.adlingtonmemorialpark.co.uk

Free Funerals and Plots for under 18’s

Turn static files into dynamic content formats.

Create a flipbook
Issuu converts static files into: digital portfolios, online yearbooks, online catalogs, digital photo albums and more. Sign up and create your flipbook.