SK Cheadle Hulme & Cheadle April 2024

Page 1

THE INDEPENDENT MAGAZINE FOR SK8 COMMUNITY Issue 81 April / May 2024 G A R DEN TA PAGE 16 SK Cheadle Hulme & Cheadle Local History Events Community News Local Businesses Features www.skmagazines.co.uk
estate agents and letting agents achieve the best rent navigate changing lettings legislation secure your lets with professional tenant referencing professional inventory on move-in and move-out letting with moore homes ...you’re in the pink! estate agents and letting agents 34 Bramhall Lane South Bramhall SK7 1AH 0161 440 8988 bramhall@moorehomes.co.uk

Welcome to the “Spring” issue of SK Cheadle Hulme & Cheadle. I know it’s still cold out there but with Spring officially sprung and the clocks going forward (Sunday 31st March) winter is finally over. Hopefully with the nights getting lighter we can all get out and about more and I can get on the golf course!!

This month issue has a wide range of article as usual. We have advice from Peter about those taxable “side hustles”. Page 30. Chris Heywood investigates the unsettling world of Vertigo. Page 28

Also, this month I’m delighted to introduce my sister Angela Burgess to the team. Having recently moved home from London, Angela with 19 years in publishing has agreed to take on the mantle as editor whilst I look after the sales and distribution. So, feel free to get in touch with her at angela@skmagazines.co.uk.

All the best.

Simon

Simon Hemsley

SK Magazines

T: 07952 005518 E: simon@skmagazines.co.uk www.skmagazines.co.uk

This month

Interior Design Page 18

Contents

Welcome - Page 3

Events / News - Pages 5,6 ,8, 10 & 36

Under the Hammer – Page 14

Garden Talk – Page 16

Interior Design - Page 18

Children’s Activities - Pages 21 & 24

Club News – Page 26

Health & Wellbeing – Page 28

Financial Matters – Page 30

Wellbeing Pilates – Page 32

Community Care – Page 34

Community Index – Page 38

Food & Drink – Page 40

Ad Index - Page 42

To advertise in any of the SK Magazines. please contact Simon Hemsley on 07952 005518 or e-mail simon@skmagazines.co.uk for further information. You can download our media pack from the website www.skmagazines.co.uk.

SKBramhall & Woodford and SKWilmslow & A

please allow two extra days for ad design),

Printed

SKCheadle Hulme & Cheadle - April/May 2024 3
Edga May / June issue – deadline 10th April 2024,
/ July issue – deadline 10th May 2024
lderley
SKCheadle Hulme & Cheadle: June
George Ltd ©SK Magazines. All rights reserved. No reproduction can be
by Stephens &
made without permission.
I’ve been reminded of how seasons change our outlook and feelings by clients recently. Coming out of the winter months we’re willing the warmer weather to arrive and with that we want brighter, fresher colours in our homes. It has a lot to do with the sunshine coming in, brightening our homes with a warmer glow. We’re thankful of the longer daylight hours and dressing our home to suit feels good. Start with a colour you keep thinking about, that you’ve seen somewhere. saw a bright yellow front door on a sunny day and it cheered me up so much adapted that in my own home. I’ve a white room that I love, with neutral layers of textiles to soften it, and now it has a fantastic Bright Yellow Door! Colour blocking like that can work in so many ways. Painting shapes on the walls is super effective. Use a pencil on a string to make circles or the tops of arcs, then a good painters masking tape for crisp lines between colours. There’s plenty of inspiration online or go freestyle if you’re feeling it. I’d say, as always, start with a mood board. A simple online collection of colours put together will show you if the shades and tones work with each other, before you commit to buying paint and slapping it on the wall. Go all bright, all muted colours, maybe pastels, and look at a colour chart to work out what colours go. It was Isaac Newton who created the first colour chart and we use the principles of this today still in design. Opposite colours on the wheel to each other are called a complimentary pairing, say green and red or blue and orange. Try any of the opposite colours and it will work! Colours that are next to each other, 2 or 3 colours together, are called harmonious. Red and orange are a gorgeous combination for instance as are blue and green. There are other ways to use the colour wheel, but stick with these plus add black and/or white as neutrals, and you‘re on your way. Facebook: Tigermoth Home www.tigermothhome.co.uk Sharon@tigermothhome.co.uk Instagram: @tigermothhomeinteriors COLOUR ADVICE IN YOUR HOME
4 | SKCheadle Hulme & Cheadle - April/May 2024 Minahan Hirst & Co Solicitors Minahan Hirst & Co 33 Station Road Cheadle Hulme Cheshire SK8 5AF Your long established high street firm CLIVE ROBERTS COMMERCIAL & RESIDENTIAL CONVEYANCING EQUITY RELEASE BUSINESS/COMPANY SALES/ PURCHASES/REFINANCING COMMERCIAL LANDLORD/ TENANT KAREN HOLMES WILLS AND PROBATE ELDERLEY CLIENT LASTING POWER OF ATTORNEY/ COURT OF PROTECTION ROBERT CHAMPIN BUYING /SELLING PROPERTY, REMORTGAGING, TRANSFER OF EQUITY AND FIRST REGISTRATIONS EQUITY RELEASE Telephone: 0161 485 8131 Email: clive@minahan-hirst.co.uk robert@minahan-hirst.co.uk karenh@minahan-hirst.co.uk Unlike many firms in the South Manchester area, we do not and never have paid referral fees to estate agents or conveyancing panels, we are instructed on the quality of the service we provide to clients. We pride ourselves on offering a high quality service and are always available to answer any queries. Please contact us for a no obligation, no hidden fee estimate.

EVERY MONDAY: THE LINDOW SINGERS

Wilmslow Academy Primary School, Handforth Road, Handforth 7:30pm. For more information

contact Ann Epton, on 0161 485 2231 or Email: Harry.Epton@ntlworld.com or visit https://www. lindowsingers.org.uk/

EVERY MONDAY: TUESDAY WEDNESDAY LINE DANCE CLASSES

Contact Hartland school of dance.co.uk Ring Liz 07902 882691

EVERY MONDAY: THE ROBINS SINGERS

All welcome, we are a sociable mixed voice choir and sing all genres of music. 7.30pm - 9pm Bramhall United Reformed Church, Robins Lane, SK7 2PE Contact sec.robinssingers@gmail.com Or Michelle on 07765238877

EVERY MONDAY: BRAMHALL PHOTOGRAPHIC SOCIETY

Presentations, Workshop’s, Competitions. 7.15pm. Bramhall Village Centre, Lumb Lane. New members welcome. Email: info.bramhallps@ gmail.com www.bramhallps.org

EVERY MONDAY, WEDNESDAY & FRIDAY: CHEADLE HULME FITNESS

Contact Penny on 0161 440 8059 or Email: mail@cheadlehulmefitness.org.uk

EVERY FOURTH MONDAY OF THE MONTH:

THE TREFOIL GUILD

Further details from Secretary. BramhallTG@gmail.com or 07887 950298

EVERY MONDAY & WEDNESDAY:

OVER 60’S MEN’S KEEP FIT

contact Graham on 0161 483 7631

EVERY FIRST TUESDAY OF THE MONTH: BRAMHALL & WOODFORD SEWING & CRAFT CIRCLE

For more information call Karen on 07860 458260

EVERY TUESDAY:

MACCLESFIELD LIGHT ORCHESTRA

Do you play a musical instrument? If you enjoy playing music and would like to join a friendly orchestra, please contact: Rosemary 01625 529313 or Lawrence 01625 572324. 7.45pm in the Salvation Army Rooms, Roe Street, Macclesfield SK11 6UT. www.macclesfieldlightorchestra.co.uk

EVERY TUESDAY:

HEALD GREEN COMMUNITY CHOIR

For fun and friendship at 10-11:30 am, term time St Catherine’s church, Outwood Road.

EVERY TUESDAY:

CHEADLE HULME LIBRARY STORYTIME

Tel: 0161 217 6009

Email: cheadlehulme.library@stockport.gov.uk

EVERY TUESDAY:

HEALD GREEN COMMUNITY CHOIR

For fun and friendship at 10-11:30 am, term time St Catherine’s church, Outwood Road. contact Kate 07794 050591www.cheshirecommunitychoirs.com

FIRST TUESDAY OF THE MONTH:

CHESHIRE LADIES LUNCHEON CLUB

Delicious lunch at The Pinewood Hotel, Handforth. Interesting speaker and friendly company. Contact Lesley Cox on 07534 471782

EVERY TUESDAY: BROOKDALE CLUB AND THEATRE FOUR GROUP MEETINGS

For further information

Email: BrookdaleYT@outlook.com

SKCheadle Hulme & Cheadle - April/May 2024 5

EVERY TUESDAY: THE BARNBY CHOIR

8pm til 9.45 at Wilmslow Methodist Church, Water Lane, Wilmslow SK9 5AR Contact Shan Bristow 01625 520194 or email shan@shanbristow.co.uk www.thebarnbychoir.co.uk

EVERY TUESDAY: MAGIC VOICES CHEADLE

Meet at 7.45pm Trinity Church Hall, Massie Street, Cheadle SK8 1DU We are a non-audition, open choir.

Contact Mike at mike@magicvoices.co.uk

EVERY TUESDAY:

DEAN ROW SOCIAL BRIDGE CLUB

We are a small, friendly club playing duplicate bridge. Come and make new friends. 1st 3 sessions are free including refreshments. Meeting at Dean Row Village Hall 1.30pm -4.30pm. Contact, Carolyn at deanrowsocialbridgeclub@gmail.com or 0161 941 3686

FIRST AND THIRD TUESDAY EVERY MONTH:

KNIT AND KNATTER GROUP

For more details ring Jean on 0161 439 8241

2ND TUESDAY OF THE MONTH:

CHEADLE & GATLEY WOMEN’S INSTITUTE

Contact: 702604316437739 or Email: cazy88@ntlworld.com

EVERY 2ND & 4TH TUESDAY OF THE MONTH: STOCKPORT SYMPHONIC SOUNDS

Contact Liz Pennington on 0161 439 7484 or Diana Oldfield on 0161 439 9219 for more details

EVERY SECOND TUESDAY OF THE MONTH:

JAZZ AND SWING

The Morley Green Club, Mobberley Road, Wilmslow, SK9 5NT Details (01625) 528336 www.grahambrookjazz.co.uk

EVERY SECOND AND THIRD TUESDAY:

CHEADLE HULME TOWNS WOMEN GUILD

We have speakers, a book club, lunch club, coach trips etc throughout the year. Just pop in and see us at the Parish Rooms, Cheadle Hulme, at the back of the building. Contact Libby on 0161 485 8594 (from September - July)

2ND AND LAST TUESDAYS OF THE MONTH:

NIMBLE FINGERS CRAFT GROUP

For more details call Liz on 07967 182641

PLEASE CHECK MEETING IS ON BEFORE ATTENDING

EVERY TUESDAY AND THURSDAY:

THE DAY CENTRE - FOR OLDER PEOPLE

Provides activities and a freshly cooked 2 course lunch  .  Transport could  be provided.  Contact Jane on  07706796471. Grove Lane Baptist Church from 10.30 -2.30pm

EVERY WEDNESDAY: STOCKPORT BARBERSHOP HARMONY CLUB

We sing as Harmony Revival and rehearse at 7.30 each Wednesday evening at Wesley Street Methodist Church in Hazel Grove and can be contacted via our website - harmonyrevival. co.uk, or by email to info@harmonyrevival.co.uk.

EVERY WEDNESDAY:

LINE DANCING AT BROOKDALE CLUB

Bridge Lane, Bramhall at 1.45 pm.

Details Jean 0161 439 8241

EVERY WEDNESDAY & SATURDAY: LIVE ACOUSTIC MUSIC

From 7.30pm at the Jolly Sailor. 218 Bramhall Lane, Stockport. SK3 8TE.

EVERY WEDNESDAY EVENING:

Scottish Country dancing at Centrepoint Bramhall

Email: bramhallscottishdancing@gmail.com

EVERY WEDNESDAYS: (DURING TERM TIME) COMMUNITY CAFÉ

open 9am-1pm serving breakfast and lunches. All Hallows Church, allhallows.cheadle@gmail. com Tel: 0161 428 9121

www.allhallows-church.org.uk

EVERY WEDNESDAY EVENING: BALLROOM & LATIN AMERICAN DANCE CLASSES

Contact Adrian 07709 910256

EVERY WEDNESDAY: TODDLERS

Contact: 0161 485 1605 for details

EVERY WEDNESDAY: THE LAURENCE SINGERS call Cliff on 01625 527204

www.thelaurencesingers.org.uk

EVERY WEDNESDAY: STOCKPORT ART GUILD Art Session (varied) Stockport Quaker Meeting House 7pm www.stockportartguild.comcontact@stockportartguild.com

6 SKCheadle Hulme & Cheadle - April/May 2024

Nails and Toes Treatments

CND

Neal’s Yard Organic Facials

NYO Relax facial: all skin types (1hr)

NYO Frankincense intense age well facial. For mature skin types (1hr 30mins)

NYO Wild rose facial, for brightening the complexion and making you look radiant (1hr 30mins)

NYO Express facial (30mins)

Neal’s Yard Aromatherapy Massage Treatments

NYO Back, neck and shoulder massage (30mins)

NYO Back, neck, face & scalp massage (1hr)

NYO Full body massage (1hr 15mins)

NYO Back relax treatment, cleanse, ex-foliation, mask & massage (1hr)

Danielle Cornford: FE Quali ed Beauty Therapy Consultant. Over 14 years experience working with beauty and nails. Beauty Therapy Advance Skincare Treatments Danielle Cornford: SK8 6PW 07827 923 795
Advance Skincae Advice & Treatments
Gel polish
Gel toes
Manicure
Luxury manicure OPI Pedicure OPI Luixury pedicure Eye Treatments Eyebrow shape Eyebrow tint Eyelash tint Makeup Makeup application for wedding or celebration Makeup trial Makeup consultation Makeup lessons POA £20 £20 £20 £20 £20 £20 £25 £25 £30 £8 £8 £8 £30 £40 £35 £20 £23 £30 £30 £40 All 3 eye treatments £20
CND
OPI
OPI

EVERY WEDNESDAY MORNING, POWNALL PROBEX, CHEADLE

We meet at 9.30 am for coffee and biscuits before beginning the meeting at 10.00 am at the Cheshire Line Tavern, Cheadle, SK8 2NZ for a convivial gathering involving a different, lively speaker each week - plus excellent hospitality in the bar afterwards and a lunch at the end of every month. Please see pownallprobexclub.org.uk for further details and contacts.

SECOND WEDNESDAY OF EACH MONTH: THE ART SOCIETY NORTH EAST CHESHIRE

Talks start at 10.30am at Brookdale Club, Bridge Lane, Bramhall. Contact Maggie on 0161 427 9451 or email info@theartssocietynortheastcheshire.org. uk

EVERY OTHER WEDNESDAY: STOCKPORT LADIES SPEAKERS

For more information go to www.stockportladiesspeakers.co.uk or Email: sixdennett@aol.com

EVERY 1ST AND 3RD THURSDAY

PROBUS CLUB OF STOCKPORT SOUTH

contact Chris Ward 0161 483 5174 or e.mail: chrisward@vistech.plus.com

EVERY THURSDAY:

BRAMHALL COMMUNITY CHOIR+.

An advanced a cappella group. Thursday 11am-12pm term time, Bramhall URC.

EVERY THURSDAY: STOCKPORT ART GUILD

Life Drawing. Stockport Art Gallery 7pm www.stockportartguild.comcontact@stockportartguild.com

EVERY THURSDAY: CRYSTAL CHORDS

We are an award winning women’s 4-part Capella chorus based in Stockport. We rehearse at 7.30-10pm at the Stockport Guildhall, 169-171 Wellington Road South, Stockport. New members are always welcome. Contact Laura at enquiries@crystalchords.org.uk for more details or see us on Facebook or InstagramCrystal_Chords

PLEASE CHECK MEETING IS ON BEFORE ATTENDING

EVERY THURSDAY: LADYBROOK SINGERS

A friendly choir singing a varied upper voice repertoire. 7.30-9.45pm in the Narthex at Norbury Parish Church, SK7 4RF www.ladybrooksingers. com email: ladybrooksingers@gmail.com

EVERY 1ST THURSDAY OF THE MONTH: CHEADLE HULME U3A MONTHLY MEETING No longer working full time or raising a family? U3A gives you the chance to develop interests and make new friends in the local area. Find out more about the wide range of groups we offer on our website and attend your first monthly meeting and/or group at no cost. Start 2pm. Contact: Neil Rackham.  Email: admin@chu3a.org.uk

Website: www.chu3a.org.uk

SECOND THURSDAY OF EVERY MONTH (EXCEPT AUGUST): AMNESTY INTERNATIONAL STOCKPORT GROUP

Contact: Duncan 0161 485 7601

EVERY 1/2/3/4TH THURSDAY OF THE MONTH (EXCEPT DECEMBER) PHD PATCHERS PATCHWORK AND QUILTING CLUB

Contact: 07761 447063.

EVERY 4TH THURSDAY OF EACH MONTH (EXCEPT FOR DECEMBER): RETIRED TEACHERS CLUB

Contact: 0161 4398794

LAST THURSDAY OF THE MONTH: SOCIAL NIGHT AT ALL HALLOWS

Play pool, table tennis or just call in for a chat from 7.30pm until 9pm. All Hallows Church, Cheadle. www.allhollows-church.org.uk

FIRST FRIDAY OF THE MONTH: HEALD GREEN THEATRE COMPANY HOLD OPEN BARS

Contact: Jackie on 07896 600710

EVERY OTHER FRIDAY OF THE MONTH: BEST FOOT FORWARD WALKS

Contact: bestfootforward@breastcancercare.org. uk or phone 0345 0771893. For further details go to www.breastcancercare.org.uk/bestfootforward

8 | SKCheadle Hulme & Cheadle - April/May 2024
FOR A FOR A FITNESS FITNESS EXPERIENCE EXPERIENCE LIKE NEVER BEFORE LIKE NEVER BEFORE

RESULTS BASED TRAINING

RESULTS BASED TRAINING

SUITABLE FOR ALL ABILITIES

SUITABLE FOR ALL ABILITIES

COMMUNITY GROUP FITNESS

COMMUNITY GROUP FITNESS

YOGA & PILATES CLASSES

YOGA & PILATES CLASSES

HOLISTIC WORKSHOPS & EVENTS

HOLISTIC WORKSHOPS & EVENTS

NO CONTRACT MEMBERSHIPS NO CONTRACT MEMBERSHIPS

INDIVIDUAL BATHROOMS INDIVIDUAL BATHROOMS FREE CAR PARK FREE CAR PARK

S C A N M E risefitnesscheadle co uk/freetrial
@ R i s e F i t n e s s C h e a d l e @ R i s e F i t n e s s C h e a d l e w w w r i s e f i t n e s s c h e a d l e c o u k w w w r i s e f i t n e s s c h e a d l e c o u k 0 7 3 6 0 3 8 0 5 5 5 0 7 3 6 0 3 8 0 5 5 5 The Precinct, Cheadle Hulme SK8 The Precinct, Cheadle Hulme SK8 5BB 5BB

FIRST AND 3RD FRIDAY EACH MONTH: STOCKPORT AND DISTRICT SOCIETY OF MODEL ENGINEERS

Meet at 7:30pm, at St Catherine’s Church Hall, Outwood Road, Heald Green. SK8 3QJ, for talks and discussions. If you are interested in model engineering whether experienced or a beginner contact us at info@stockportmodelengineers.co.uk

EVERY FRIDAY: FRIENDLY FRIDAYS

Contact: Pam Robinson 07909 903864 or Email friendlyfridaysuk@gmail.com

EVERY THIRD FRIDAY OF THE MONTH: STOCKPORT HISTORICAL SOCIETY

7.45pm at Stockport Sunday School, Nangreave Road SK2 6DQ.

Contact: Peter 0161 485 2415

EVERY FRIDAY:

MINDFULNESS FOR WELLBEING

All Saints Parish Rooms, Church Road, Cheadle Hulme. 12 - 1pm. More info from Katie Sheen  www.soulnutrition.org, katie@soulnutrition.org

Tel: 07703 342 781

EVERY FRIDAY:

BRAMHALL COMMUNITY CHOIR

For fun and friendship 2pm-3.30pm term time at Centrepoint, Bramhall Methodist, also Fridays 12pm-1pm term time at Bramhall URC. Bramhall Beginners’ Choir.  Learn how to sing and build your confidence.

EVERY FRIDAY:

CHEADLE HULME AL-ANON GROUP.

Run by and for the families of alcoholics. Please phone the Helpline 0800 0086 811 for a Group

contact number. Starts 8pm at Quaker Meeting House, 91 Station Road, Cheadle Hulme, SK8 7BG

EVERY SATURDAY:

HEALD GREEN LIBRARY STORYTIME.

Contact: 0161 217 6009

Email: healdgreen.library@stockport.gov.uk

PLEASE CHECK MEETING IS ON BEFORE ATTENDING

EVERY SATURDAY: STOCKPORT ART GUILD

Portraiture. Stockport Art Gallery 10.30am www.stockportartguild.comcontact@stockportartguild.com.

EVERY SUNDAY QUAKER MEETING

11am at the Quaker Meeting House, 91 Station Road, corner of Ramillies Avenue, Cheadle Hulme. Tel: 0161 439 6088

email: cheadlehulmeqm@gmail.com

All Welcome

FIRST SUNDAY OF THE MONTH: THE BROOKDALE CLUB QUIZ NIGHT

Contact: Roger Salt on 0161 439 0371

EVERY SUNDAY: “HUNGRY FOR HELP”

Contact: Suzi 07876 152 630. www.oagb.org.uk

EVERY SUNDAY: SELF-REALIZATION FELLOWSHIP

Contact: 07582 406147 for more information or visit www.srf-manchester.org.uk

SATURDAY 30 MARCH: CHURCHES TOGETHER IN CHEADLE HULME are holding their short open-air Easter service in Oak Meadow at 11am followed by hot drink and hot cross bun - ALL ARE WELCOME.

SATURDAY 6TH APRIL: CROWN GREEN BOWLINGE

All ages and abilities welcome, bowls provided just bring some flat shoes. Have some fun, make friends and enjoy a cuppa. Cheadle Sports Club, 225 Kingsway. SK8 1LA.

FRIDAY 12TH APRIL: CHEADLE HULME GARDEN SOCIETY

‘A Prospect of Arley’. Talk by Judith Popley, who has a keen interest in privately owned estates and private gardens. Members £3 and Non-members £4. Refreshments and Raffle. 7.30pm at All Saints Parish Rooms, Church Rd, Cheadle Hulme SK8 7JB www.cheadlehulmegardensoc.uk.org T- 0161 485 4322.

10 SKCheadle Hulme & Cheadle - April/May 2024
SKCheadle Hulme & Cheadle - April/May 2024 11

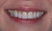
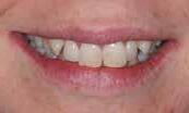
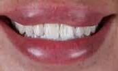
Invisalign

is a system of clear, removable aligners that are changed every few weeks in order to shift the teeth and move them to their final position over time. They are practical because they can be removed for cleaning and are discreet because they are clear. If you don’t want the traditional wires and brackets to straighten your teeth and would prefer an almost invisible option, then this is definitely the treatment for you.

See how amazing Invisalign transformations are in these before and after pictures from cases we have completed recently. The results speak for themselves.

With our current Invisalign offer you can save up to £1400 on this fantastic treatment, meaning there is no better time to get the straight smile of your dreams. Contact our friendly team on 0161-486-0743 to book in for our Invisalign offer, or if you require any further information.

Discreet Teeth Straightening Using Invisalign at Cheadle Hulme Dental

12 SKCheadle Hulme & Cheadle - April/May 2024 Cheadle Hulme Dental & Cosmetics, 20a Station Road, Cheadle Hulme, SK8 7AB
Cheadle Hulme Dental & Cosmetics, 20a Station Road, Cheadle Hulme, SK8 7AB SCAN HERE TO TAKE A FLYING TOUR OF OUR PRACTICE BEFORE BEFORE AFTER AFTER BEFORE AFTER BEFORE AFTER SCAN HERE TO WATCH A PATIENT’S REVIEW OF THIS TREATMENT
LET’S MAKE YOU GROOVY BABY! BOOK IN FOR OUR INVISALIGN OFFER DISCOUNT OF UP TO £600 OFF THE COST OF INVISALIGN TREATMENT FREE DENTIST CONSULTATION, SMILE SIMULATION, AND X RAYS WORTH £300 FREE PREMIUM PROFESSIONAL TEETH WHITENING BOUTIQUE WORTH £300 FREE LAB MADE RETAINERS WORTH £300 COSTS FROM AS LITTLE AS £50 P.C.M. 0% FINANCE AVAILABLE UP TO £1400 OFF TREATMENT COSTS YEAH, BABY! YEAH! SCAN HERE TO BOOK IN OR CALL 0161 486 0743 BOOK NOW LIMITED SPACES AVAILABLE

Golden inspiration - and motivationto do that spring clean!

If a spring clean beckons but you’re struggling for motivation let me inspire you.

As the sun throws light into dark corners people often rediscover forgotten items in drawers, cupboards or wardrobes. However, a recent find surpassed them all.

A secret stash of 331 gold sovereigns were found hidden in a linen boxinside pillow cases and even an old sock. Found during a routine house clearance, the astonishing haul of sovereigns spanned three centuries from Queen Victoria’s reign in the 1800s to the 21st century.

many years but no-one, aside from their late owner, knew they existed. They were in hot demand under the hammer because gold is sought after and prices strong.

They went under the hammer at Hansons in January (2024) and every lot sold. Each coin was valued at between £300-£500 and the collection achieved a total, with buyer’s premium, of £118,000 (hammer £90,768).

It was an amazing find. Our house clearance team are renowned for being thorough. They check every inch of a property. It’s not just about fine or fragile objects on display, it’s the hidden items that are often the most valuable.

These turn up in drawers, wardrobes, cupboards, bags and, as in this case, socks. People have a multitude of hiding places. Sometimes it’s a case of hide and seek.

You can imagine my team’s amazement when they saw a golden glint of one gold coin - followed by handfuls! The client was flabbergasted and delighted in equal measure. They had no idea the house contained a treasure trove of gold.

You hear about people stashing cash under the bed but this was extraordinary. Normally gold of this value would have been locked in a safe or bank vault. The coins were most probably amassed over

The earliest Queen Victoria sovereign was minted in 1846 while another was dated 1901, the year of her death. Other monarchs depicted through the centuries included King Edward VII, King George V and Queen Elizabeth II. It was like a walk through 300 years of royal lineage. They coins reminded us of the length of their reigns. Due to long periods on the throne, Victoria and Elizabeth’s coin profiles alter through the decades.

Free antique, coin, jewellery and toy valuations will be available on February 23 and March 22, 11am-1pm at St John’s Knutsford Church Centre, Church Hill, Knutsford, Cheshire WA16

6DH. Alternatively, email service@ hansonsauctioneers. co.uk

Twitter: HansonsUK

Facebook: HansonsAuctioneersUK

Instagram: hansons_auctioneers

14 SKCheadle Hulme & Cheadle - April/May 2024
Great Britain King George V 1911 gold sovereign. Charles Hanson with some of the gold coins which were found in a linen box. Great Britain Queen Elizabeth II 1974 gold sovereign. Decimalisation head Machin Portrait. Great Britain Queen Elizabeth II 2018 gold sovereign. Great Britain Queen Victoria 1901 veiled head gold sovereign
SKCheadle Hulme & Cheadle - April/May 2024 15 Imagine how your home would look with new shutters fitted! We pride ourselves on the exceptional quality of our shutter range, the amazing talent of our team and our attention to detail. Let us transform your home into the living space you have always dreamt about. Get in touch today! www.craftedshutters.co.uk 0161 920 7777 sales@craftedshutters.co.uk Discover beautiful, made-to-measure shutters Visit our new display at new at SALE NOW ON • Block Paving • Tarmacking • Imprinted Concrete • Resin Driveways • Gravelling • Slabbing • Landscaping • Patios • Fencing • Drop Kerbs • General Building • uPVC Products • Fascias • So ts & Guttering • New Roofs and Repairs 0800 747 1648 0161 532 7609 E: info@pavetarconstructionltd.co.uk W: www.pavetarconstructionltd.co.uk

GARDENING TIPS

By way of an introduction, I’m Kevin and I am here each month to talk about gardening. I can also try to answer you gardening questions on email info@kevinpratt.co.uk

April and May are great months to think about sprucing up your hanging baskets. As a former nursery owner we used to make eight hundred hanging baskets each year, and I would love to share three secrets.

The bigger the better

My first tip is to buy your plants as big as possible, forget grow- yourown and plug plants - these will make a flowering basket, eventually, but the larger plants will show amazing growth much quicker. We used to use Sufinia, which is a trailing Petunia (pictured) but absolutely anything goes, from traditional Fuchsia and Geranium to modern Nemesia and Diasia, be imaginative and it’s like art, it’s in the hands of the beholder. The style of basket you can use is as diverse as the flowers, from steel hay baskets to willow wicker baskets. always used large black plastic baskets, and yes I hear that we should all be moving away from plastic but I’d argue that my two plastic baskets will be reused my entire life, and they are already 22 years old!

Use fresh compost

compost. Never blame yourself if the flowers fade during the summer - it’s usually the fault of the compost. An ideal addition to the compost would be a teaspoon of slow-release fertiliser and a teaspoon of water retaining gel granules. These are added at the same time as you add the plants. Remember to push the plants into the compost - the closer you plant the quicker they fill out and they soon begin to tumble down and look amazing

These days, during the summer, plants don’t really need much deheading as most plants are now repeat flowering, but if you have a few minutes free you could remove a few of the old spent flower heads. If during the summer time the flowers become fewer and fewer, any liquid feed will give the plants a summer boost.

Keep Watering

Now coming to my final tip, don’t let the hanging baskets dry out at all. Always keep the basket slightly on the damp side. If they dry out the basket will sit there and not grow until it has recovered from the shock of drying out.

Happy Gardening!

Kevin Kevin Pratt Home Garden Consultation.

My second tip is to use fresh, good quality compost. This will be obvious to many people but I can’t emphasize enough that there is good compost, poor compost and excellent

With 40 years’ experience, Kevin advises on planting, design and pruning with a visit to your garden. www.gardenconsultation.co.uk info@kevinpratt.co.uk

16 | SKCheadle Hulme & Cheadle - April/May 2024
Garden Talk

n Pharmacist aesthetic practitioner

n Specialising in subtle treatments

n Wrinkle reduction, filler and skin boosters

n Located in Olive & Taylor, Cheadle Hulme

Free consultation to discuss your requirements

FIND US ON

CALL HAYLEY ON 07809151745

www.hayleyberry.co.uk

Cheadle entrepreneur, author and podcaster

Penny Dee hosted an evening of positivity, empowerment and fun for forty females at The Crown & Conspirator in Bramhall last month.  From storytelling, anecdotes, an informative Q&A and inspiring advice, the all-female event was enjoyable, full of laughs and a real confidence boost.  Plus, Penny gave all guests an incredible goody bag with beautiful Penny Dee items and luxury products from her very own SKINGOAL beauty range.

EXCITING NEWS!

From Friday 12th April, Penny will be hosting her very own radio show –The Penny Dee Show on Cheshire’s Mix 56. Tune in!

Hulme & Cheadle - April/May 2024 17
SKCheadle

COLOUR ADVICE IN YOUR HOME

I’ve been reminded of how seasons change our outlook and feelings by clients recently. Coming out of the winter months we’re willing the warmer weather to arrive and with that we want brighter, fresher colours in our homes.

It has a lot to do with the sunshine coming in, brightening our homes with a warmer glow. We’re thankful of the longer daylight hours and dressing our home to suit feels good.

Start with a colour you keep thinking about, that you’ve seen somewhere. I saw a bright yellow front door on a sunny day and it cheered me up so much I adapted that in my own home. I’ve a white room that I love, with neutral layers of textiles to soften it, and now it has a fantastic Bright Yellow Door!

Colour blocking like that can work in so many ways. Painting shapes on the walls is super effective. Use a pencil on a string to make circles or the tops of arcs, then a good painters masking tape for crisp lines between colours. There’s plenty of inspiration online or go freestyle if you’re feeling it.

I’d say, as always, start with a mood board. A simple online collection of colours put together will show you if the shades and tones work with each other, before you commit to buying paint and slapping it on the wall. Go all bright,

all muted colours, maybe pastels, and look at a colour chart to work out what colours go. It was Isaac Newton who created the first colour chart and we use the principles of this today still in design.

Opposite colours on the wheel to each other are called a complimentary pairing, say green and red or blue and orange. Try any of the opposite colours and it will work! Colours that are next to each other, 2 or 3 colours together, are called harmonious.

Red and orange are a gorgeous combination for instance as are blue and green. There are other ways to use the colour wheel, but stick with these plus add black and/or white as neutrals, and you‘re on your way.

Facebook: Tigermoth Home

www.tigermothhome.co.uk

Sharon@tigermothhome.co.uk

18 SKCheadle Hulme & Cheadle - April/May 2024
Instagram: @tigermothhomeinteriors
SKCheadle Hulme & Cheadle - April/May 2024 19 62 & 64 Fountain sRoad Cheadle Hulme SK8 7PY Tel : 0161 439 6066 Email : martin@bathroomprojectltd. co.uk www.bathroomprojectl td.co.uk COME ANDVISIT OURBATHROOM SH OW RO OM ANDPLUMBING TRADE COUNTER Trade and Retail clients welcome Staffed by experienced local people Bathroom Design service available Underfloor Heating Design service available Specialist supplier of Designer Radiators Find us on BEST LOCAL PRICES ON PLUMBING, HEATING AND BATHROOMS Large range of Boilers & Radiators in stock 25% off ALL DESIGNER RADIATORS Valid till 30/4/24
20 SKCheadle Hulme & Cheadle - April/May 2024

K@STA (R to year 6)

Every Friday 5.30 to 7pm for primary school children. St Andrews Church, Cheadle Road, Cheadle Hulme SK8 5ET.  £1 per child. No need to book. Contact 0161 291 9134 or  children@standrewscheadlehulme.org.uk

Pre School Dance (from 20 months+)

Ballet, Tap, Modern and Jazz

Sophie Dee School of Dance, School Place School Street , Hazel Grove SK7 4RA

Monday - Saturday info@sophiedeeschoolofdance. co.uk 07799 750 575.

Pre-School Swimming

Monday 1.15-1.45pm and Friday 11.30-12pm. Hazel Grove Baths, Jackson Lane, Hazel Grove. Call 0161 439 5221.

Rhythm & Rhyme

Wednesday mornings at Cheadle Library & Friday mornings. St Michael’s Parish Hall, St Michael’s Avenue, Bramhall. Call Melanie on 0161 860 0911.

Rhythm Time

We offer multi-sensory, exciting, structured classes with Makaton signing. Join the fun! For babies & preschool children. Thursday mornings, Bramhall 4th Scout Hut, 67 St Michael’s Avenue SK7 2PG. chantelle.s@rhythmtime.org Call 07563 388111 or visit rhythmandrhyme.co.uk

Rhythmic Rascals Dance Classes 3-4yrs

Pre-school dance classes in ballet, tap and modern Sophie Dee School of Dance, 07799 750 575. info@ sophiedeeschoolofdance.co.uk

Trinity Toddler Group

Mondays 9.30-11.30am. Term time only. Becky 07773 865925. Trinity Church Holiday Club 18th–21st August 10am - 12 noon Tel: 0161 428 7463. Trinity Church, Massie Street, Cheadle, SK8 1BP.

Street Dance 4yrs +

Tuesdays, Scout hut, Oak Avenue, Cheadle Hulme. Sophie Dee School of Dance, 07799 750 575. info@ sophiedeeschoolofdance.co.uk

Toddler Group

Monday, Tuesday and Wednesday 9.15 – 11.45am Grove Lane Baptist Church, Pingate Lane South, Cheadle Hulme call Sandy on 0161 485 2354.

Toddlers

Wednesdays 10.30 - 11.45am, £2 per family (any pre school families welcome) at Cheadle Hulme Methodist Church. Contact church office on 0161 485 1605.

Theatre Tots

Monday AM. Cheadle Target Fitness, Shiers Drive, Cheadle call Natalie on 07825 370214.

YSBD Performing Arts Classes

for 2-18 year olds taught by industry professionals. Contact Principle Hannah 07738 16423.

CookieTots

The United Reform Church, Bramhall. Mornings during term time only. Call Nikki on 07976 619648.

Jo Jingles

Jo Jingles classes are carefully structured. Each week different educational themes are introduced using well-known nursery rhymes and action songs. Mondays 9.30am - Under 2s and 10.30Over 2s. Wednesdays 9.25am - Over 2s and 10.20 - Under 2s at Bramhall Methodist Church, Bramhall Lane South, Bramhall. Call Laura on 0161 431 0674/07983513491 to book yoru place.

Toddler Sense Classes

Adventure play and multi-sensory activities for children aged 13 months - 4 years. Classes are held at Cheadle Hulme United Reformed Church, Swann Lane on Tuesdays and Trinity Methodist Church, Davenport on Fridays. Free taster sessions are available.Contact Jill stockport@toddlersense.co.uk or on 07496 448747

www.babysensory.com/en/toddlerclassdetails/ Stockport

Wobblers

Fridays 10.30 - 11.45am £1.50 per family (mums/ dads/carers with cruising/crawling babies upto 24 months) at Cheadle Hulme Methodist Church. Contact church office on 0161 485 1605.

If you are interested in attending any of these activities please phone first to check the details.

SKCheadle Hulme & Cheadle - April/May 2024 | 21
22 SKCheadle Hulme & Cheadle - April/May 2024 Fitted Kitchens By Newlook CALL 07900 588140 email: john@newlook-kitchens.com A FAMILY BUSINESS Fully Fitted Kitchens* Kitchen Makeovers* Replacement Doors* Visit us at: www.fkbn.co.uk Any Style - Any Colour - Any Finish
General Building & Home Improvements AVERY HOME IMPROVEMENTS SK LIMITED n Extensions n Knock Through Family Rooms n Open Plan Rooms n Loft Conversions n Bi-Folds 4 BUILDING REGS 4 BUILDING CONTROL 4 STRUCTURAL CALCS 4 PLANNING & ARCHITECTURAL SERVICES 0161 971 4624 – 07579 788547 averyhomeimprovementssk@gmail.com

Aqua Babies

Monday and Wednesday afternoons. Stanley Rd, Cheadle, call 0161 973 1931.

Acorn Gymnastics Walking - 4 years.  Preschool gymnastics sessions based in Cheadle Hulme. Check the website for available session times and to book.  www.acorngymnastics.co.uk 07942-356-589

Baby Massage & More, Meet & Massage and Mother & Baby Yoga - Lushtums

Classes in Poynton, Hazel Grove & Parrswood at local venues or in your own home. Baby Massage & More is a lovely way to enhance your bond with your baby, aid relaxation and sleep, relieve colic and constipation and meet new friends. Postnatal Yoga with your baby to regain your strength and shape one day at a time, whilst having yoga fun with your baby. Babies welcomed with all their moods and states. Pregnancy Yoga and birth preparation also available. Contact Suzanne.wild@ lushtums.co.uk or www.lushtums.co.uk

Baby Chat

Thursdays 10.30 - 11.45am £1.50 per family (mums/ dads with babies upto crawling/12 months) at Cheadle Hulme Methodist Church. Contact church office on 0161 485 1605.

Baby Massage

Learn to massage your baby at a time and place to suit you. 5 week 1:1 or group courses in your own home or in venues in and around Cheadle. Contact Suzanne for more information on 07738-564666. www.babymassagetime.com

Baby Sensory Development Classes

The award winning baby development classes run Monday – Friday at various times from their dedicated and bespoke centre in Cheadle Hulme precinct. For more information please contact Natalie on stockport@babysensory.co.uk or visit their website www.babysensory.com/stockport for class availability and times.

Baby Signing

The Babysign Teacher runs classes and free taster sessions at various venues. For details visit our website: www.thebabysignteacher.co.uk, email: carolyn@thebabysignteacher.co.uk or call: carolyn on 07528 262142. Be amazed by how much your baby could tell you before they can talk!”

Cheadle Library Storytime

Thursdays at 2.00pm to 2.30pm Sharing stories, sharing books. A wonderful opportunity for children and their parent/carers to meet together on a weekly basis to share stories and rhymes in a relaxed and friendly atmosphere. Suitable for pre school children E: cheadle.library@stockport.gov.uk.

Drama (5-7’s)

Saturdays 1.15pm-2pm.Starlight Performing Arts Academy CIC, Bramhall Moor Lane, (opp Stepping Hill Maternity Hospital) SK7 5AA. T 0161 439 8009 or 07515 397715. www.starlightperformingarts.t83.net

Jo Jingles

Jo Jingles classes are carefully structured. Each week different educational themes are introduced using well-known nursery rhymes and action songs. Mondays 9.30am - Under 2s and 10.30Over 2s. Wednesdays 9.25am - Over 2s and 10.20 - Under 2s at Bramhall Methodist Church, Bramhall Lane South, Bramhall. Call Laura on 0161 431 0674/07983513491 to book yoru place.

Little Fishes Toddler Group

Fridays 9.30-11.30 in Emmanuel Church Hall, Turves Road. Cost £1.50. contact 01614851154

Litte Superstars Sports Club

Trinity Gardens, Davenport. Mornings and afternoons. Louise 07904 311552.

Little Rews parents and toddlers (0-4year olds)

Thursdays 9-11 during term time in St Andrews Cheadle Hulme hall. Cost £1.50 per carer. Contact children@standrewscheadlehulmeorg.uk

My Sen Den

Inclusive Sensory Stay & Play – on the 1st Tuesday of the month 10.30-12 at Benja Fold, Bramhall. Different sensory toys each session for fine and gross motor fun. Email for more information and to book. E: info@mysenden.co.uk W: www.mysenden. co.uk

Kickstarters

SIntroducing a world of pre school football. Join the miniature recruits, enter the goaliverse, and earn the super power stickers. Classes MondayThursday mornings in Bramhall, Cheadle Hulme, Heald Green & Poynton. Please visit our website for further details 8by8football.co.uk or contact Alex Brown on 07853 273578.

24 SKCheadle Hulme & Cheadle - April/May 2024
SKCheadle Hulme & Cheadle - April/May 2024 | 25 Replace just the failed glass unit! Have Your Windows Steamed Up? Social distancing in operation Faulty locks, handles or hinges? Priority freephone www.cloudy2clear.co.uk Love Your Home - Protect YourWindows - Save Money All glazing backed by our Looking to upgrade your existing windows and doors? UPVC, composite or aluminium. Contact us NOW! Finance Options Available Get a FREE Quote

News

NEW PRESIDENT AND CAPTAINS FOR 2024 BRAMHALL GOLF CLUBS CHANGE OF THE GUARD

Early February see’s our present, President, Captain and Lady Captain pass on the baton to the new custodians for 2024.

Mr Roger Attwater, (President 2023)

Mr Paul Mizen (Captain 2023) and Mrs Kath Ince (Lady Captain 2023) did a superb job in 2023 a hard act to follow to be sure.

2024 will welcome

Mr Mike Jones (President)

Mr Jon Pacey (Captain) and Mrs Joanna Lingwood (Lady Captain).

The weekend follows the Annual General Meeting and the support from the members for the Captains Party and Captains Drive in is always excellent.

Saturday this year was hampered by the weather which forced a cancellation of the competition and a closure of the course; however, this didn’t stop the patrons of the Captains party putting on their glad rags and toasting in our new dignitaries. Once again, a sell-out event as always.

As is customary on Sunday afternoon the drive-in takes place. Mrs Lady Captain and Mr President hit

two great drives down the middle so there was a sense of tangible anticipation when this year’s Captain, a 2-handicapper, stood to address the ball. The crowd was silent awaiting the sound of a sweetly struck fairway finder. Unfortunately, the ball had other ideas and preferred the relative protective cover of the right-hand tree’s, we won’t mention the distance but safe to say there were not many correct guesses for the Captains overall yardage in the sweep this year. I will say however that our left-handed Captain then hit a shot in honour of our Junior Captain, who was away playing in Portugal, with a right-handed club and hit a beauty. Well done Captain, just need to pop a right handed driver in the bag this year!

The Diary is packed with plenty of golf and social events for the year ahead as the club looks to deliver another superb year for all our members and new dignitaries. We wish them all well and hope 2024 is a year to remember at Bramhall Golf Club.

26 | SKCheadle Hulme & Cheadle - April/May 2024
Club
ADVERTORIAL
Jo Lingwood (Lady Captain) Mike Jones (President) Jon Pacey (Captain)
SKCheadle Hulme & Cheadle - April/May 2024 27 Fast Response All Work Guaranteed Highly Experienced Clear Pricing Rightio Electricians We work in Cheadle Hulme, Cheadle and all surrounding areas. OAP Discount Speak to us today! OAP Discount Speak to us today! 1-2 Hour Response time! 1-2 Hour Response time! 12 Month guarantee on labour! 12 Month guarantee on labour! 0161 958 6793 OUR SERVICES Full / Part Rewires Sockets & Lighting Showers Installed Fully Qualified Electrician Fuse Board Changes Inspection & Testing Landlord safety Certs EICR MG JOINERY & ELECTRICAL All aspects of Joinery & Property Maintenance v Kitchens v Bathrooms v Loft Conversions All work carried out to Professional Standard Fully Insured with over 30 Years Experience. CALL MARK 0161 343 2504 or 07917 853513 Our mission is to provide the SK residents with a no hassle landscaping service where all work exceeds expectations, meets deadlines and offers excellent value for money. We work very closely with our clients to ensure complete customer satisfaction. v Driveways –Paving or Resin v Fencing Call Today For A Free Quotation Telephone: 0161 826 7472 • Mobile: 07799 748512 www.drivestyleukpaving.com Email: drivestyleukpaving@mail.com v Hard & Soft Landscaping v Tarmacadam

VERTIGO: A SPIN INTO THE UNKNOWN

Imagine a sudden, unsettling feeling of dizziness where the world around you spins and tilts, leaving you feeling off-balance and nauseous. This unsettling sensation is known as vertigo. In this article, we will delve into what vertigo feels like, its underlying causes, and how the Epley Maneuver can provide relief.

Understanding Vertigo

Vertigo is not just ordinary dizziness; it’s an overwhelming sensation of spinning or swaying, as if your surroundings have taken on a life of their own. This can make everyday activities, like walking or even standing, a daunting challenge.

Exploring the Causes

Vertigo can have various underlying causes. Inner ear issues, vestibular disorders, migraines, and even certain medications can trigger these dizzying spells. One common type is Benign Paroxysmal Positional Vertigo (BPPV), where tiny particles disrupt the inner ear’s balance system.

Springtime’s Promise

With spring approaching and the brighter days ahead, there’s an even greater desire to be active and enjoy the great outdoors. However, vertigo can stand in the way of fully embracing the season’s beauty and activities.

The Epley Maneuver: A Path to Stability

For those grappling with BPPV and longing for an active spring, there’s a ray of hope in the form of the Epley Maneuver. This well-established technique involves a sequence of precise head and body movements to reposition the displaced

particles within the inner ear. The outcome is often swift relief from vertigo symptoms in just a few sessions.

Bramhall Osteopathic Practice: Your Partner in Recovery

At Bramhall

Osteopathic Practice, we understand the challenges of vertigo and the desire to make the most of spring. Our dedicated practitioners take a thorough case history to understand your unique symptoms and circumstances. If appropriate, we offer the Epley Maneuver as part of a comprehensive approach to your vertigo management.

Conclusion

Vertigo can be a dizzying journey into the unknown, but it doesn’t have to hold you back from enjoying the brighter days of spring. The Epley Maneuver, offered at Bramhall Osteopathic Practice, provides a pathway to relief, allowing you to embrace the season and regain your balance and quality of life. Reach out to us today and let us help you spring into action.

28 SKCheadle Hulme & Cheadle - April/May 2024 HealtH & Wellbeing

Join us for our next event

Abney Court care home, Cheadle

Friendship cafe

Every Wednesday, 10am - 12 noon

Come along to our friendship cafe! Join like-minded members of the community, make new friends and enjoy a selection of home-baked treats in our warm cafe. Experience a tour of our beautiful care home, whilst our friendly team are always on-hand to provide help and guidance.

Trusted to care.

To attend please call 0161 516 6218 or email erminia.anglesea@careuk.com

‘SIDE HUSTLE TAX’ – AND A REMINDER THAT TRADING PROFITS HAVE ALWAYS BEEN TAXABLE

A2022 survey by Aviva concluded that one in five Britons had taken up a ‘Side hustle’ since the start of the pandemic and therefore ‘side hustle tax’ has naturally become a hot topic. HMRC have new powers to collect sales data from online marketplaces such as eBay, Etsy, Depop and Vinted. It is important to stress that the tax rules haven’t changed – it is just HMRC’s information gathering powers that have been broadened.

eligible for certain tax allowances and reliefs such as the personal allowance, which allows you to earn a certain amount of income tax-free each year.

From 1 January 2024, the online platforms are now required to share information automatically rather than HMRC having to request it. The platforms are required to automatically report individuals with either sales of more than £1,740, or 30 or more sales transactions in a tax year.

If you have a side hustle or any additional income outside of your main employment, your requirement to report it to HMRC and pay tax on it will primarily depend on whether the activity counts as trading. Whether you are actually trading or not depends on various factors such as the frequency of transactions, how the goods were acquired and the length of ownership. So, for example, clearing the loft of the children’s old toys which are no longer used and having a one-off sale of these on eBay is unlikely to count as trading and so generally wouldn’t be subject to tax. However, regularly buying goods at car boot sales say, with the intention of selling them on shortly after for a profit would probably count as trading.

Even if your side hustle counts as trading, if your sales are less than £1,000, then it would be covered by the trading allowance and there wouldn’t be any tax to pay. If your sales are over £1,000 then you are required to register for Self-Assessment with HMRC as self-employed. You may still have no tax to pay as you may be

If you’re registered for SelfAssessment, you’ll need to complete a tax return each year, declaring your side hustle income and expenses. The deadline for filing your tax return and paying any tax owed is usually January 31st following the end of the tax year (April 5th). You can deduct certain expenses from your taxable income, thereby reducing your tax liability. Common allowable expenses include business travel, office supplies, equipment costs, marketing expenses and most importantly, the cost of the goods that you sell. It’s important to keep accurate records of all your income and expenses related to your side hustle. This includes invoices, receipts, bank statements, and any other relevant documents.

Failure to declare your side hustle income or pay the appropriate taxes can result in penalties and interest charges from HMRC. Tax can be complex, especially when you have income from multiple sources.

It is advisable to seek professional advice from an accountant or tax advisor to ensure that you are fulfilling your tax obligations correctly and making the most of any available tax reliefs.

30 SKCheadle Hulme & Cheadle - April/May 2024
SKCheadle Hulme & Cheadle - April/May 2024 31 LOCAL COMMERCIAL AND DOMESTIC ELECTRICIAN Cheadle Hulme & surrounding areas NIC-EIC approved contractor City & Guilds qualified JIB Approved n EV charging points n Full/part property rewires n Electrical installation condition reports n Consumer unit upgrades NO JOB TOO SMALL Fully insured and all works guaranteed Free estimates christian@baselineelectrical.com 07900892681 STEVEN CLARKE SK8 LEGAL Please contact Steven for a quotation: 0161 486 6817 or 07548384941 steven.clarke@SK8Legal.co.uk Steven offers a highly professional service and home visits can be readily arranged He is a full member of The Institute of Professional Willwriters (IPW) Your local specialist in :  Wills  Administration of estates  Lasting Powers of Attorney  Court of Protection Specialists in Replacement Double Glazed Units Ring with Sizes for a FREE Estimate 0161 858 0075 0800 328 8573 8am to 8pm 7 days www.steamywindows.net Established Local Family Company

PILATES FOR FLEXIBILITY

Pilates is a low-impact form of exercise that combines deep breathing with gentle stretching to boost strength, balance, and mobility. Workouts target your “powerhouse” your abs, lower back, pelvic floor, hips, and glutes.

In Pilates the quality of movement is more important than the quantity of repetitions. Correct breathing is essential, and helps you execute movements with maximum power and efficiency, learning to breathe properly can reduce stress.

Pilates exercises will help you develop a strong “core,” or center of the body. The core consists of the deep abdominal muscles along with the muscles closest to the spine.

Pilates improves flexibility and increases muscle strength and tone, it also improves concentration, body awareness and stress management. Arguably the most important health benefit received from Pilates is all about good posture and the calming self-confidence boost that comes with it.

you will be working against gravity in different planes of movement (on your back, side and front) which will challenge your strength, coordination, mobility and efficiency of movement.

High Intensity Power Pilates

HIP Pilates is a more dynamic form of Pilates that combines the precision and focus of a traditional Pilates session with the dynamic energy of a high intensity workout.

Combining core strength, balance and coordination with an energetic cardiovascular element HIP Pilates is the answer to many people’s search for a functional ‘feel good’ workout.

The class is fast paced, but importantly LOW impact. Therefore, you will increase your heart rate safely whilst burning fat and building lean muscle mass. The class also uses light hand weights, which improve bone health.

So rather than saying you can’t do Pilates because you are not flexible enough, you should actually participate in Pilates exercises to improve your flexibility.

What Pilates classes are there?

Pilates Matwork Classes

Matwork is a more traditional form of Pilates, which as it has been developed has incorporated the use of equipment such as balls, stretch bands, foam rollers or magic circles. One of the benefits to a Matwork class is that there are multiple variations, progressions for all exercises, meaning anyone can do Matwork.

Matwork works your core in a way that is very hard to replicate with any other form of exercise, including on the Reformer! During a mat class

Pilates is for life and can be life changing, so join a Pilates class now!

To find a qualified teacher, visit the Body Control Pilates website

Jules Hardman Body Control Pilates Teacher

www.jules-pilates-alderleyedge.co.uk

32 SKCheadle Hulme & Cheadle - April/May 2024

Your Local Solicitors

Out of Hours Appointments

Lockdowns have really proven how flexible we can be Whilst our staff are working from home and juggling responsibilities, we recognise that you may be doing this too and the usual 9-5 does not work for you. If you would prefer an out of hours telephone or video appointment, please do get in touch with us.

Face to Face Appointments

As restrictions begin to be lifted, we are now able to welcome you back to our offices for face to face appointments. These appointments do need to be pre-booked so that we can manage numbers within the office and keep everyone safe.

What we do

We provide advice and assistance in the following areas:

Residential Property

Commercial Property

Corporate & Commercial Dispute Resolution

Family Law

Personal Injury

Medical Negligence

Wills and Probate

10% Discount for Keyworkers

We are offering a 10% discount on all legal fees for keyworkers. This offer is open to new and existing clients on all new instructions.

SKCheadle Hulme & Cheadle - April/May 2024 33
House 1 Pepper Road Hazel Grove SK7 5DP Next to Let Loose!
Pepper

PHARMACY FIRST SCHEME

Did you know that patients can now get treatment for seven common conditions directly from their local pharmacy, without the need for a GP appointment or prescription?

The Pharmacy First scheme was launched by the government and is now available to give patients quick and accessible care to ease pressure on GP services.

The service will enable community pharmacists to supply prescription-only medicines, including antibiotics and antivirals where clinically appropriate, to treat seven common health conditions without the need to visit a GP.

What are the seven common conditions?

n Sinusitis

n Sore throat

n Earache

n Infected insect bite

n Impetigo (a bacterial skin infection)

n Shingles

cent of all those in England.

Will I have to pay for my medication?  Usual prescription charges will apply for the seven common conditions. Patients that were already exempt from prescription charges will still be exempt.

Will pharmacies be able to cope with the increased demand?

The government has invested £645 million over two years to help community pharmacies, including providing improved IT and a wide range of guidance and support.

n Uncomplicated urinary tract infections in women.

How can I access treatment from my pharmacy?

You can get treatment for these conditions by walking into the pharmacy or contacting them virtually. GP receptionists, NHS 111 and providers of emergency care will also be able to direct patients to pharmacies.

What will happen when I arrive at the pharmacy?

The pharmacist will be able to speak to you privately in a separate consultation room. They may perform an examination or ask to access your medical records. The pharmacist will be able to recommend the best course of action on an individual patient basis, including by issuing prescriptions for antibiotics or antivirals where necessary.

How do I know if my local pharmacy is offering the service?

More than 10,000 pharmacies have already signed up to Pharmacy First – that’s over 95 per

Patients can still choose to visit a GP if they wish to. The service offers an alternative access for these seven conditions, people are being encouraged to make the most of this service and to consult the highly trained professions in their local pharmacy.

The aim is to free up 10 million GP appointments a year by next winter for more complex diagnosis. Four in five people in England can reach a community pharmacy within a 20-minute walk and there are twice as many pharmacies in the most deprived communities, making access to care quicker and more convenient.

Source: Department of Health & Social Care

34 SKCheadle Hulme & Cheadle - April/May 2024
SKCheadle Hulme & Cheadle - April/May 2024 35 www.mr-soot.com Contact David 01617061217 Stoves&FireplacesSwept FluesTested&Inspected ChimneyLinersInstalled Professional&Reliable Bookonline 24/7 PAYBY CARD JOHNSTON JOINERY All joinery work undertAken 40 Years Expereince, No job too small CALL 07732 117510 0161 439 1646 n Roofwork n Gutters n UPVC Windows & Doors n All Handyman work undertaken with rubbish removed from site. SHOWROOM: Hor ton Street, Higher Hillgate, Stockpor t SK 3LR Open: Monday-Friday 9am - 4.30pm Saturday by appointment SPECIALOFFERS onstandardsizes (askfordetailswhencalling) + Freesurveyand freefitting

FRIDAY 12TH – 14TH APRIL: BRAMHALL ART SOCIETY

55th Annual Art Exhibition at Bramhall Village Club, Lumb Lane, Bramhall, SK7 1LR. Open 10-6

Friday12th April and Sat 13th April ,10-5 Sun 14th April, 2024. For more information visit www.bramhallartsociety.com or follow at www.facebook.com/bramhallartsociety

SUNDAY 21ST APRIL: SPRING OPEN GARDENS

Some of Cheadle Hulme Gardening Society members are opening their gardens If you are interested in visiting, please contact Kate on 01614854322 or Gill on 01614852269 www.cheadlehulmegardensoc.org.uk

MONDAY 22ND - SAT 27TH APRIL (INCLUDING MATINEE): ANYTHING GOES! music and lyrics by Cole Porter presented by Brookdale Theatre. Set sail on the showstopping musical filled with showstopping tunes.  www.thebrookdaleclub.com

SATURDAY 27TH APRIL: CHESHIRE SINFONIA

Mozart - Marriage of Figaro Overture / Beethoven - Symphony No.8 in F major. Tickets available on the door, or by phoning 07967 852986. 7.30pmSt Michael’s Parish Church, Bramhall SK7 2PG.

RIGHTWAY CARPET & FLOORING

Just a quick “hello” to Graham & Mark at Rightway Carpet & Flooring. The guys are the latest business to take premises in Cheadle Hulme Shopping Centre. We at SK magazines wish you all the best in your new venture. www.rightwaycarpetsandflooring.co.uk

PLEASE CHECK MEETING IS ON BEFORE ATTENDING

SATURDAY 27TH APRIL: CHESHIRE SINFONIA

Mozart - Marriage of Figaro Overture / Beethoven - Symphony No.8 in F major. Tickets available on the door, or by phoning 07967 852986. 7.30pmSt Michael’s Parish Church, Bramhall SK7 2PG.

SATURDAY 25TH MAYCHEADLE HULME GARDENING SOCIETY

Coffee Morning & Plant Sale. Admission £1.50 includes refreshments. Also Books, Cakes, Cards, Jigsaws and a Raffle. 1 0am – 12pm at the Parish Rooms, Church Rd, Cheadle Hulme SK8 7JBFor further details  www.cheadlehulmegardensoc.org.uk

T:- Kate 0161 485 4322

TUESDAY 28TH MAY - SATURDAY 1ST JUNE: JOSEPH AND THE AMAZING TECHNICOLOR DREAMCOAT

AWMTC are bringing Joseph and the Amazing Technicolor Dreamcoat to Cheadle Hulme, after months of uncertainty and upheaval. Finally, they’ve found Holden Hall at Cheadle Hulme School, and Joseph will be performed at 7pm, with a matinee on Saturday at 2:30pm. The cast and creatives are over the moon that the show will finally be on, and everyone will get their time in the spotlight. The uncertainty and stress will be over! Tickets: AWMTC.ORG.

36 | SKCheadle Hulme & Cheadle - April/May 2024

Free

All

Boiler

Boiler

Radiators

Tanks

Clean

Toilets

Leaks

Clearing

Ring

at a time that suits you (evenings & weekends available)

enquiries@bramhallcarpetcleaners.co.uk

bramhallcarpetcleaners.co.uk

enquiries@bramhallcarpetcleaners.co.uk

textile cleaning

bramhallcarpetcleaners.co.uk enquiries@bramhallcarpetcleaners.co.uk

www.bramhallcarpetcleaners.co.uk

Breathe Life

Free & honest appraisals

All carpets deodorized

Tel: 0161 440 7955

Tel: 0161 440 7955 Mob: 07769

Breathe Life Back into Your

Free & honest appraisals

Superfast drying times

Tel: 0161 440 7955 Mob: 07769

All carpets deodorized

Free & honest appraisals

Superfast drying times

Free & honest appraisals

All carpets deodorized

Superfast drying times

Breathe Life Back into Your

Tel: 0161 440 7955 Mob: 07769

Ring Jason Pagnam (formally of Bramhall Dry Cleaners) Your Local & Reliable Carpet Cleaner

All carpets deodorized

Free & honest appraisals

Clean carpets at a time that suits you (evenings & weekends available)

Superfast drying times

All carpets deodorized

All

Clean carpets at a time that suits you (evenings & weekends available

Clean carpets at a time that suits you (evenings & weekends available)

Superfast drying times

Superfast

Clean carpets at a time that suits you (evenings & weekends available)

Ring Jason Pagnam (formally of Your Local & Reliable Carpet Cleaner textile

Clean carpets at a time that suits you (evenings & weekends

Ring Jason Pagnam (formerly of Bramhall Dry Cleaners) Your Local & Reliable Carpet Cleaner

Ring Jason Pagnam Your Local &

Ring Jason Pagnam (formally of Your Local & Reliable Carpet Cleaner

Ring Jason Pagnam (formally of Bramhall Dry Your Local & Reliable Carpet Cleaner

OAP Discount 1-2 Hour 12 Month Speak to us today! Response time! guarantee on labour! OAP Discount 1-2 Hour Rightio Plumbers 650921 Fast Response All Work Guaranteed Highly Experienced Clear Pricing We work in Cheadle Hulme, Cheadle and all surrounding areas. 12 Month Speak to us today! Response time! guarantee on labour!
958 6792
SERVICES
0161
OUR
Breakdowns
& Pipes
& Cylinders
Servicing
& Taps
& Bursts Showers
Blockages
Replacement
Safe Certified
Clean Carpets for your Beautiful Home Mob: 07769
cleaning business
Pipework
Gas
Beautifully
687 462 textile
Jason
of Bramhall Dry Cleaners)
enquiries@bramhallcarpetcleaners.co.uk
Life Back into Your Carpets
0161 440 7955 Mob: 07769
& honest appraisals
Pagnam (formally
bramhallcarpetcleaners.co.uk
Breathe
Tel:
687 462 Free
carpets deodorized
drying
carpets
suits you
times Clean
at a time that
(evenings & weekends available)
Bramhall
Your Local & Reliable Carpet Cleaner
Life Back into Your Carpets
0161
Mob:
Ring Jason Pagnam (formally of
Dry Cleaners)
Breathe
Tel:
440 7955
07769 687 462
& honest appraisals
carpets
deodorized Superfast drying times
carpets
Breathe Life Back into Your
cleaning

Useful Contacts

Stockport NHS Foundation

Trust’s Stepping Hill

Tel 0161 483 1010

www.stockport.nhs.uk

Stepping Hill Hospital, Poplar Grove, Hazel Grove, Stockport SK2 7JE.

Stockport Council

Tel 0161 480 4949

www.stockport.gov.uk

Stockport Council, Town Hall, Edward Street, Stockport, SK1 3XE.

Greater Manchester Police

For non-emergency calls please contact

Stockport West on 0161 856 9770 stockport. westnpt@gmp.police.uk.

Local MP

Mary Robinson (Conservative)

www.mary-robinson.org.uk

Local Councillors

Cheadle East & Cheadle Hulme North

Yvonne Guariento (Lab) 07704 446043

Jilly Julian (Lib. Dem) 07537 874318

David Mellor (Lab) 07881586811

Cheadle Hulme South

Helen Foster-Grime (Lib. Dem) 0161 439 4010

Keith Holloway (Lib. Dem) 07881 386347

Mark Hunter (Lib. Dem) 0161 486 0334

Cheadle & Gatley

Graham Greenhaigh (Lib. Dem) 07925 989168

Ian Hunter (Lib. Dem)

07939 501557

Tom Morrison (Lib. Dem) 07398 676809

AROUND CHEADLE HULME

Cheadle Hulme Library

Mellor Road Cheadle Hulme SK8 5AU

E: cheadlehulme.library@ stockport.gov.uk

T: 0161 217 6009

F: 0161 482 0796

Opening Hours

Monday 10am – 6pm.

Tuesday 10am - 2pm, Wednesday 1pm - 4pm

Thursday CLOSED

Friday 10am – 5pm, Saturday 10am – 2pm

Sunday CLOSED

Cheadle Hulme Post Office 28 Mellor Road

Cheadle Hulme SK8 5AU

0161 485 1357

Opening Hours

9–5.30pm Monday to Friday, 9–12.30pm Saturday

Church Road Post Office

25 Church Road

Cheadle Hulme SK8 7JD

0161 485 3463

Opening Hours

7-7pm Mon – Friday, 7-1pm

Sat & Sun

Cheadle Hulme Health Centre

Smithy Green Hulme Hall Road, Cheadle Hulme SK8 6LU

Tel: 0161 426 5844

Cheadle Hulme Medical Group

Bridge House Medical Centre

11 Ladybridge Road

Cheadle Hulme

Cheadle SK8 5LL

Tel: 0161 983 5300

AROUND CHEADLE

Cheadle Library

Ashfield Road

Cheadle SK8 1BB

E: cheadle.library@stockport. gov.uk

T: 0161 217 6009

Opening Hours

Monday 10 – 5pm. Tuesday & Thursday 10 - 7pm, WEDNESDAY

CLOSED, Friday 10 – 5pm Saturday 10 – 4 pm

Cheadle Post Office

2 Old Rectory Gardens

Cheadle SK8 1BY 0161 428 3040

Opening Hours

8.30–5.30pm Monday to Saturday

Stockport Road Post Office

130 Stockport Road

Cheadle SK8 2DP 0161 428 2990

Opening Hours

9–5.30pm Monday to Friday 9–12.30pm Saturday

Cheadle Medical Practice

1 -5 Ashfield Crescent, Cheadle. SK8 1BH

Tel: 0161 426 9090 –0161 476 2299 (out of hours)

Adshall Road Medical Practice 97 Adshall Road, Cheadle. SK8 2JN

Tel: 0161 491 2292

Dentist

Cheadle High Street Dental Practice

9a High Street, Cheadle, Cheshire, SK8 1AX

Tel: 0161 491 1936

38 SKCheadle Hulme & Cheadle - April/May 2024

Making our home your home

Situated close to the village centre and benefiting from excellent public transport links, Hillbrook Grange Residential Care Home is a place where you can enjoy full and independent living with the benefit of care and companionship all around you. Our ethos is about creating a compassionate caring and supportive environment, and a fresh lively atmosphere.

We have recently refurbished 5 rooms for respite care which we offer on a weekly basis.

Founded in 1952, Hillbrook Grange is run as a not-for-profit registered charity and is managed by a small team. The team has two key objectives: delivering high quality, long stay, holiday, and respite care in a friendly and homely environment, and provision of this care at cost effective, competitive rates.

To discuss your care needs with a senior member of the Hillbrook team please contact us:

SKCheadle Hulme & Cheadle - April/May 2024 39
Ack Lane East, Bramhall, Cheshire SK7 2BY Tel: 0161 439 7377 administration@hillbrookgrange.co.uk
NEW ROOMS AVAILABLE

Recipe from the South East Asia

I made this the other day. It’s from one of my ‘go to’ cookery books by Diana Henry. It may sound a bit fiddly but it really isn’t. It is utterly delicious. If you don’t like things too spicy halve the quantity of chilli in the salad. If you can’t find shrimp paste use miso paste (but times two) I found the sambal olek in Sainsbury’s.

Indonesian roast chicken with Mango salad

1.5kg chicken

6tbsp soy sauce

Juice of 2 limes

2 small onions roughly chopped

8 garlic cloves chopped

4 tsp sambal olek

1/2 tsp dried shrimp paste

1/2 tsp ground black pepper

400ml can coconut milk

Cut the chicken in half lengthways (I cut both sides of the spine which gets rid of the parson’s nose and looks tidier) Put all the other ingredients (bar the coconut milk) into a blender/food processor and blend until you have a smooth runny paste. (you may need to add a bit of water)

and roast for 20 mins before turning over and roasting again for another 20 mins. Check for doneness by cutting into the area between the leg and breast – there should be no pink.

Salad

Make the salad just before the end of cooking time – it’ll take about 10 mins.

1 large green mango (ripe)

1 tbsp fish sauce

1 tbsp caster sugar

Juice of 2 limes

250 g cherry tomatoes

1 red and 1 green chilli finely sliced

Freshly ground black pepper

Small bunch of coriander roughly chopped.

Put the fish sauce and sugar into a bowl and stir until dissolved. Cut up the mango into cubes by cutting along the stone on either side then creating a cross pattern on each ‘cheek’ pressing inside out and chopping the cubes off the skin. Get as much flesh off the stone as you can. Put the mango, halved tomatoes, chillies and pepper into the fish sauce dressing and then toss in the coriander.

Put the two halves of the chicken into a large flat serving dish and pour over the sauce and leave to marinate for 4 hours or overnight.

Pre – heat the oven to 190C/ gas 5. Put the coconut milk into a large frying or saute pan and bring to a gentle simmer. Put the chicken halves in skin side down and simmer for 10 mins – baste half way through – then do it again with the skin side up.

Set a rack over a roasting tin and pour about an inch of water into it. Put the chicken halves –drained of sauce – onto the rack skin side down

Chop each half of the chicken in half again and serve with the salad, boiled rice and the coconut sauce over the top.

Enjoy.

40 SKCheadle Hulme & Cheadle - April/May 2024

n GUTTER, SOFFIT & FASCIA INSTALLATIONS

Attention to Detail Guaranteed

n ROOF REPLACEMENTS

Efficient. Reliable. Exceptional Service

n FELT, EPDM & FIBRE GLASS ROOFS

n LONG WARRANTIES

Guaranteed peace of mind Committed

Tel: 0161 459 9676

Email: sk8roofing@outlook.com

www.sk8roofing.co.uk

Bankswood Treecare is a friendly run business based in the SK area.

We have £5 million public liability insurance and all our work is carried in accordance with guidelines set out in the British Standards for tree works (BS3998).

We follow strict guidelines in relation to birds nesting and roosting or hibernating bats as well as other wildlife, we will liaise with the appropriate authorities if the need arises.

You can be sure that we will not harm or damage the surroundings as we work with complete respect for the environment and the trees themselves. Contact an experienced tree surgeon if you want a quotation, consultation or even advice.

Rhodeswood Cottage, Tintwistle, Glossop Derbyshire, SK13 1HT Call us on 01457 863 587 or

Email: gareth.treecare@yahoo.com • www.bankswood-treecare.co.uk

Office Hours: Mon-Sun 7:00AM - 19:00PM

We have the expertise you need. We have extensive knowledge about how to care for trees. If you want a reliable tree surgeon we are ready to help you. We have excellent service at affordable prices.

For a free quote or consultation, or even if you are just looking for some advice on any aspect of our tree surgery services:

n Tree Felling - Free Estimates

n Small & Large Conifers

n Crown Reduction & Thinning

n Stump Grinding

n Hedge Trimming & Shaping

n All Waste Removed

n Tree Assessments and Reports

SKCheadle Hulme & Cheadle - April/May 2024 41
to exCellenCe
S O A N F U R E A P M P R B U R E U P C R I T W W W S R C O M P U T E R S C O U K C O N T A C T D A M I A N : 0 7 5 7 2 0 1 1 1 8 4 D A M I A N @ S R C O M P U T E R S . C O . U K S R C O M P U T E R S . C O . U K @ S R C O M P U T E R S U K
07823 337053

SKCheadleHulme & Cheadle enjoys fantastic support from local businesses. If you do contact someone as result of reading about them in SKCheadleHulme & Cheadle, please mention this.

Thank you.

If you would like to advertise your business in SKCheadleHulme & Cheadle, please contact Simon Hemsley on 07952 005518 or e-mail simon@skmagazines.co.uk.

42 SKCheadle Hulme & Cheadle - April/May 2024
Abney Court Care Home 29 Avery Home Improvements 23 Bankswood Tree Care 41 Baseline Electrical 31 Bathroom Projects 19 Bevan & Co Accountants 37 Bramhall Carpet Cleaners 37 Bramhall Golf Club 26 Cake Box 11 Carrington Garage Doors 35 Cheadle Hulme Dental & Cosmetic 12,13 Cloudy 2 Clear 25 Crafted Shutters 15 Drivestyle UK 27 Danielle Cornford Beauty Therapy 7 Electrician - Rightio 27 Harold Stock & Co 33 Hayley Berry Aesthetics 17 Hillbrook Grange 39 Iain Campbell Garden Maintenance 17 Jaxon Rose Kitchens 20 Johnston Joinery 35 MG joinery 27 Minahan Hirst & Co 4 Moore Homes 2 Mounteney Solicitors 20 Mr.Soot Chimney Sweep 35 New Look Kitchen Makeover 22 Penny Dee 17 Pave & Tar – Driveways 15 Plumbing - Rightio 37 Rise Fitness 9 SK8 Roofing 41 SMC Property Improvements 42 Snowden Wilkinson back SR Computers 41 Steamy Windows 31 Steven Clarke Will Writing 31 Window Repair Centre 43 THE INDEPENDENT MAGAZINE FOR SK8 COMMUNITY Issue 81 April / May 2024 G ARD PAGE 16 SK Cheadle Hulme & Cheadle Local History Events Community News Local Businesses Features www.skmagazines.co.uk Next issueJune / July Copy deadline10th May 2024
Registered in England and Wales - Company No. 5481160 - VAT No. 874274594 www.windowrepaircentre.com We will BEAT ANY WINDOW PRICES UNBEATABLE PRICES Massive range of composite doors at Buy with confidence Call now for a FREE quote From this To this SAVE with our A-rated UPVC windows in a huge range of colours & designs Misted up glass units replaced from just £55 * Window Repair Centre Ltd Energy saving window E n ergySavingGl a s s *Offer only applies to products and services of a comparable quality windowrepaircentre 0800 0436 744 0161 4010 415
It’s your move. We help people in our area to upsize, downsize, relocate or develop. If you are planning a move and would like an initial chat, please get in touch now on 0161 488 1813 or go to snowdenwilkinson.com

Turn static files into dynamic content formats.

Create a flipbook
Issuu converts static files into: digital portfolios, online yearbooks, online catalogs, digital photo albums and more. Sign up and create your flipbook.