SK Bramhall & Woodford May 2024

Page 1

THE INDEPENDENT MAGAZINE FOR SK7 COMMUNITY Issue 86 May / June 2024 Local History Events Community News Local Businesses Features www.skmagazines.co.uk SK Bramhall & Woodford GARDEN LK PAG E 02

Welcome to the “Spring” issue of SKBramhall & Woodford. I know it’s still cold out there but with Spring officially sprung maybe Winter is finally over! Hopefully with the nights getting lighter we can all get out and about more and I can get on the golf course, if it ever stops raining!

This month’s issue has a wide range of articles as usual. Within our events pages there are plenty of great family days out. The Duck Race on Sunday 19th May is a highlight along with plays and concerts you can attend. Plus, we have many weekly or monthly clubs, choirs etc. Hopefully there is something for everyone.

Also, this month I’m delighted to introduce my sister Angela Burgess who is joining the team. Having recently moved home from London, Angela with 19 years in publishing has agreed to take on the mantle as editor, whilst I look after the sales and distribution. So, feel free to get in touch with her at angela@skmagazines.co.uk.

All the best.

Simon This month

Food & Drink page 36

Contents

Welcome - Page 3

Events - Pages 5, 6, 8 ,10, 18 & 30

Under the Hammer – Page 12

Financial Matters – Page 14

Club News – Page 16 & 32

Garden Talk – Page 20

Interior Design – Page 22

Children’s Activities = Page 25,28

Community Care – Page 34

Food & Drink – Page 36

Charity News – Page 38

Mind Matters – Page 40

Community News – Page 42

Health & Wellbeing – Page 44

Simon Hemsley SK Magazines

T: 07952 005518 E: simon@skmagazines.co.uk

W: www.skmagazines.co.uk

Community Index – Page 46

Wellbeing Pilates – Page 48

Ad Index - Page 50

To advertise in SKBramhall & Woodford please contact Simon Hemsley on 07952 005518 or e-mail simon@skmagazines.co.uk for further information.

SKCheadle Hulme & Cheadle: September Deadline: June / July 2024 issues is 10th May

SKBramhall & Woodford and SKWimslow & Alderley Edge July / August 2024 issues is 10th April (please allow two extra days for ad design). Printed by Stephens & George ©SK Magazines. All rights reserved. No reproduction can be made without permission.

SKBramhall & Woodford - May/June 2024 3
As the weather gets warmer (hopefully) start to think about picnics and general outdoor eating. The following recipe is very easy and a lovely addition to a picnic or just lunch in the garden. Serve it with a simple salad and a glass of cold white wine. Crab and tarragon tart Ready made short crust pastry know it’s cheating but it’s so much easier. 3 eggs 300ml double cream 2 tsp French mustard Heaped tablespoon of tarragon leaves 500g white crabmeat 2 tbsp grated parmesan First of all blind bake the tart base. Roll out the pastry and cover a 23in tart tin pressing it in and up the sides. Prick the base all over with a fork and put it into the freezer for 10 mins while the oven heats up to 200c. Put some greaseproof paper over the tart and cover it with baking beans (not baked beans!!) or if you haven’t got any use uncooked rice. (It just stops the pastry bubbling up) Into the oven for 10 mins then remove the beans/rice and greaseproof and put it back into the oven for a further 5 mins. Separate the eggs and mix the yolks with the cream add salt, pepper and the mustard then chop up the tarragon and add that too. Stir it all up before stirring in the crabmeat. In a separate bowl beat the egg whites until they stand in peaks then fold them gently into the crabby custard mix. Pour this mixture into the baked pastry case and sprinkle the parmesan over the top. Turn the oven down to 190c and bake the tart for 30 to 35 mins until it is golden but still slightly wobbly in the middle. Take it out of the oven to cool a little before serving it. I like it warm but it’s lovely cold too. Outdoor Cuisine Welcome to SK Bramhall & Woodford
4 | Is your conservatory in summer & too COLD in winter? too HOT light weight tiled roof or climate-control glass roof Enjoy it all year round with a or New conservatories & garden rooms full design & build service £55 Misted up glass units replaced from just Full repair service to all windows, doors and conservatories Unbeatable prices on new replacement windows and doors UNBEATABLE PRICES Composite doors at Buy with confidence Proud to support: www.windowrepaircentre.com 0800 118 2211 01614 010 415 Call us now for a FREE quotation:no-obligation

EVERY MONDAY: THE LINDOW SINGERS

Wilmslow Academy Primary School, Handforth Road, Handforth 7:30pm. For more information

contact Ann Epton, on 0161 485 2231 or Email Harry.Epton@ntlworld.com or visit https://www. lindowsingers.org.uk/

EVERY MONDAY: BRAMHALL PHOTOGRAPHIC SOCIETY

75th Anniversary Season. Presentations, Workshop’s, Competitions. 7.15pm. Bramhall Village Centre, Lumb Lane. New members welcome. Email: info.bramhallps@gmail.com www.bramhallps.org

EVERY MONDAY: THE ROBINS SINGERS

All welcome, we are a sociable mixed voice choir and sing all genres of music. 7.30pm - 9pm Bramhall United Reformed Church, Robins Lane, SK7 2PE Contact sec.robinssingers@gmail.com Or Michelle on 07765238877

EVERY MONDAY AFTERNOON AT 2 PM:  ART AND CRAFT GROUP AT BRAMHALL METHODIST CHURCH

Call the Church Office for information 0161 439 1204

LAST MONDAY OF THE MONTH: GATLEY & CHEADLE DIABETES GROUP

Contact Jean 0161 485 1628.

EVERY MONDAY & WEDNESDAY OVER 60’S MEN’S KEEP FIT

Contact John on 01625 877549 or Graham on 0161 483 7631

EVERY MONDAY, WEDNESDAY & FRIDAY: CHEADLE HULME FITNESS

Contact Penny on 0161 440 8059 or Email mail@cheadlehulmefitness.org.uk

EVERY FOURTH MONDAY OF THE MONTH: THE TREFOIL GUILD

Further details from Secretary.BramhallTG@gmail. com or 07887 950298.

EVERY TUESDAY (TERM TIME ONLY):

BROOKDALE YOUTH THEATRE

Email BrookdaleYT@outlook.com

EVERY TUESDAY: HEALD GREEN COMMUNITY CHOIR

For fun and friendship at 10-11:30 am, term time St Catherine’s church, Outwood Road. contact Kate 07794 050591www.cheshirecommunitychoirs.com

EVERY TUESDAY:

DEAN ROW SOCIAL BRIDGE CLUB

We are a small, friendly club playing duplicate bridge. Come and make new friends. 1st 3 sessions are free including refreshments. Meeting at Dean Row Village Hall 1.30pm -4.30pm. Contact, Carolyn at deanrowsocialbridgeclub@gmail.com or 0161 941 3686

EVERY TUESDAY: THE BARNBY CHOIR

8PM TIL 9.45PM AT WILMSLOW METHODIST

CHURCH, WATER LAND, WILMSLOW SK9 5AR

Contact Shan Bristow 01625 520194 or email

shan@shanbristow.co.uk www.thebarnbychoir.co.uk

SKBramhall & Woodford - May/June 2024 5

EVERY TUESDAY:

MACCLESFIELD LIGHT ORCHESTRA

Do you play a musical instrument? We always keen to attract new members, especially string and brass players. If you enjoy playing music and would like to join a friendly orchestra, please contact: Rosemary Jones 01625 529313 or Lawrence Beard 01625 572324. 7.45 pm in the Salvation Army Rooms, Roe Street, Macclesfield SK11 6UT. www.macclesfieldlightorchestra.co.uk

EVERY TUESDAY: MAGIC VOICES CHEADLE

Meet at 7.45pm Trinity Church Hall, Massie Street, Cheadle SK8 1DU We are a non-audition, open choir. Contact Mike at mike@magicvoices.co.uk

EVERY FIRST TUESDAY OF THE MONTH:

BRAMHALL & WOODFORD SEWING & CRAFT CIRCLE

Contact Karen on 07860 458260.

EVERY TUESDAY:

BRAMHALL WORLD CIRCLE DANCE GROUP

Contact us through web site www.bramhallcircledance.wordpress.com or ring 07713 681439. First session free with SK booklet.

EVERY SECOND TUESDAY OF THE MONTH:

JAZZ AND SWING

The Morley Green Club, Mobberley Road, Wilmslow, SK9 5NT Details (01625) 528336 www.grahambrookjazz.co.uk

EVERY TUESDAY: DEAN ROW SOCIAL BRIDGE CLUB

We are a small, friendly club playing duplicate bridge. Come and make new friends. 1st 3 sessions are free including refreshments. Meeting at Dean Row Village Hall 1.30pm -4.30pm. Contact, Carolyn at deanrowsocialbridgeclub@gmail.com or 0161 941 3686

EVERY TUESDAY AND THURSDAY: THE DAY CENTRE - FOR OLDER PEOPLE

Provides activities and a freshly cooked 2 course lunch.  Transport could  be provided.  Contact Jane on  07706796471. Grove Lane Baptist Church from 10.30 -2.30pm

FIRST TUESDAY OF THE MONTH: CHESHIRE LADIES LUNCHEON CLUB, Delicious lunch at The Pinewood Hotel, Handforth. Interesting speaker and friendly company. Contact Lesley Cox 07534471782

EVERY SECOND & FOURTH TUESDAY OF THE MONTH: STOCKPORT SYMPHONIC SOUNDS

Contact Liz Pennington on 0161 439 7484

FIRST AND THIRD TUESDAY EVERY MONTH: KNIT AND KNATTER GROUP

Contact Jean on 0161 439 8241.

EVERY WEDNESDAY: TODDLERS

Contact 0161 485 1605 for details.

EVERY WEDNESDAY: POWNALL PROBEX CLUB

Email pownallprobexclub.org.uk

EVERY WEDNESDAYS: (DURING TERM TIME) COMMUNITY CAFÉ

open 9am-2pm serving breakfast and lunches. All Hallows Church, allhallows.cheadle@gmail.com

Tel: 0161 428 9121   Mon, Wed, Fri 9.00-1.00 www.allhallows-church.org.uk

EVERY WEDNESDAY:

LINE DANCING AT BROOKDALE CLUB

Bridge Lane, Bramhall at 1.45pm. Details contact Jean 0161 439 8241

EVERY WEDNESDAY: STOCKPORT BARBERSHOP CHORUS

We sing as Harmony Revival and rehearse at 7.30 each Wednesday evening at Wesley Street Methodist Church in Hazel Grove and can be contacted via our website

- harmonyrevival.co.uk, or by email to info@harmonyrevival.co.uk.

6 SKBramhall & Woodford - May/June 2024
CHECK
IS ON BEFORE
PLEASE
MEETING
ATTENDING

Introducing Silver Swans® Ballet Classes

Tailor made for older adults, though open to all ages and No previous experience required.

Improves muscle strength, mobility, balance, posture, coordination, cognitive ability and energy levels Develops creativity, expression and boosts

for

social

Contact Helen for more details and to reserve your Phone: 07800 721124 Email: info@aspireballet.co.uk

SKBramhall & Woodford - May/June 2024 | 7
Get in touch today! www.craftedshutters.co.uk 0161 920 7777 sales@craftedshutters.co.uk Discover beautiful, made-to-measure shutters Visit our new display at new at SALE NOW ON
An opportunity
improves wellbeing Widen your
circle Have fun dancing to music - ballet brings Thursdays at 11am (term Starting Thursday 2nd St. Michael and All Angels Church, Bramhall, SK7 Free 1st class £12 per class (reduction booking) Thursdays at 11am (term time) Starting Thursday 2nd May St. Michael and All Angels Parish Church, Bramhall, SK7 2PG Free 1st class £12 per class (reduction for block booking) Contact Helen for more details and to reserve your place Phone: 07800 721124 Email: info@aspireballet.co.uk Imagine how your home would look with new shutters fitted! We pride ourselves on the exceptional quality of our shutter range, the amazing talent of our team and our attention to detail. Let us transform your home into the living space you have always dreamt about.

EVERY WEDNESDAY: THE LAURENCE SINGERS

Email: enquiries@thelaurencesingers.org.uk or call Cliff on 01625 527204 or visit www.thelaurencesingers.org.uk

EVERY WEDNESDAY: STOCKPORT ART GUILD Art Session (varied) Stockport Quaker Meeting House 7pm www.stockportartguild.com - contact @stockportartguild.com

EVERY WEDNESDAY & SATURDAY: LIVE ACOUSTIC MUSIC

Email info@stockportcommunitychoir.org.uk or ring Phil on 07771 730 810.

EVERY WEDNESDAY OF THE MONTH –PARKINSON’S UK – STOCKPORT BRANCH

Check out our web page www.parkinsons.org.uk/local-support-groups/ regions/stockport-branch for a full list of our programme.

EVERY OTHER WEDNESDAY: STOCKPORT SPEAKERS CLUB

Do you have a fear of speaking in front of a crowd? Can’t put your point across in a group? Or maybe you’re already a confident speaker? Stockport Speakers Club can offer you an environment to practice and improve your speaking skills. We meet every fortnight at Hazel Grove Bowling and Tennis Club. Contact Tony Johnston 07809471402

FIRST WEDNESDAY OF THE MONTH: OPEN MIC NIGHT

Instrumentalists/vocalists it’s your time to shine! Hazel Grove Bowling and Tennis Club  Douglas Road Hazel Grove SK7 4JG. To book a slot contact Tony Johnston 07809471402

Email tjohnston218@gmail.com

EVERY WEDNESDAY MORNING, POWNALL PROBEX, CHEADLE

We meet at 9.30 am for coffee and biscuits before beginning the meeting at 10.00 am at the Cheshire Line Tavern, Cheadle, SK8 2NZ for a convivial gathering involving a different, lively speaker each week - plus excellent hospitality in the bar afterwards and a lunch at the end of every month. Please see pownallprobexclub.org. uk for further details and contacts.

SECOND WEDNESDAY OF EACH MONTH:

THE ART SOCIETY NORTH EAST CHESHIRE

Talks start at 10.30am at Brookdale Club, Bridge Lane, Bramhall. Contact Maggie on 0161 427 9451 or email info@theartssocietynortheastcheshire.org.uk

EVERY OTHER WEDNESDAY: STOCKPORT LADIES SPEAKERS

For more information go to www.stockportladiesspeakers.co.uk or email sixdennett@aol.com

EVERY THURSDAY (TERM TIME)

Aspire Ballet introducing RAD Silver Swans®

Adult Ballet Classes Starting Thursday 2nd May, 11am, St. Michael and All Angels Parish Church, Bramhall, SK7 2PG. Contact Helen 07800 721124 or email info@aspireballet.co.uk

EVERY THURSDAY:

BRAMHALL THURSDAY CLUB

Contact Carol Sargent

g.davidsargent@btinternet.com, 0161 439 1779 or Facebook page, Bramhall Thursday Club.

8 | SKBramhall & Woodford - May/June 2024
CHECK
ON
PLEASE
MEETING IS
BEFORE ATTENDING

RESULTS BASED TRAINING RESULTS BASED TRAINING SUITABLE FOR ALL ABILITIES

SUITABLE FOR ALL ABILITIES

COMMUNITY GROUP FITNESS COMMUNITY GROUP FITNESS

YOGA & PILATES CLASSES

YOGA & PILATES CLASSES

HOLISTIC WORKSHOPS & EVENTS

HOLISTIC WORKSHOPS & EVENTS

NO CONTRACT MEMBERSHIPS

NO CONTRACT MEMBERSHIPS

INDIVIDUAL BATHROOMS

INDIVIDUAL BATHROOMS

FREE CAR PARK FREE CAR PARK

S C A N M E risefitnesscheadle co uk/freetrial
FOR A FOR A FITNESS FITNESS EXPERIENCE EXPERIENCE LIKE NEVER BEFORE LIKE NEVER BEFORE
@ R i s e F i t n e s s C h e a d l e @ R i s e F i t n e s s C h e a d l e w w w r i s e f i t n e s s c h e a d l e c o u k w w w r i s e f i t n e s s c h e a d l e c o u k 0 7 3 6 0 3 8 0 5 5 5 0 7 3 6 0 3 8 0 5 5 5 The Precinct, Cheadle Hulme SK8 The Precinct, Cheadle Hulme SK8 5BB 5BB

EVERY THURSDAY: BRAMHALL COMMUNITY CHOIR+

An advanced a cappella group. Thursday 11am12pm term time, Bramhall URC. contact Kate 07794 050591www.cheshirecommunitychoirs.com

EVERY THURSDAY: QUIZ NIGHT AT THE JOLLY SAILOR

Free entry and prizes to be won from 9pm. 218 Bramhall Lane, Stockport. SK3 8TE.

EVERY THIRD THURSDAY: BRAMHALL U3A MONTHLY MEETING. Sharing Knowledge. Developing Interests. Making Friends.

We have around 50 stimulating groups for people no longer in full time employment. From arts and crafts, languages, music, walking, history, card and board games to social activities, discussions, theatre visits and more – there’s something for everyone. www.bramhallu3a.org. uk or email enquiries@bramhallu3a.org.uk  for more information. Come and join us.

EVERY 1ST AND 3RD THURSDAY: PROBUS CLUB OF STOCKPORT SOUTH

contact Chris Ward 0161 483 5174 or email: chrisward@vistech.plus.com.

Contact Elaine Noden 0161 355 1459.

FIRST THURSDAY OF THE MONTH: WOODFORD WI

Contact Cheshire Federation of WIs at www.cheshirewi.org.uk or call 01244 347462.

EVERY THURSDAY: MODERN LINE DANCE CLASS

1.30 to 3pm at Bramhall Methodist Church, £4 each, Everyone welcome, contact Ann Robinson 07855015365

EVERY THURSDAY: STOCKPORT ART GUILD

Life Drawing. Stockport Art Gallery 7pm www.stockportartguild.comcontact@stockportartguild.com

EVERY THURSDAY: CRYSTAL CHORDS

We are an award winning women’s 4-part Capella chorus based in Stockport. We rehearse at 7.30-10pm at the Stockport Guildhall, 169-171

Wellington Road South, Stockport. New members are always welcome. Contact Laura at enquiries@ crystalchords.org.uk for more details or see us on Facebook or Instagram - Crystal_Chords

EVERY SECOND AND FOURTH THURSDAYS

EACH MONTH LINK WOMEN’S FELLOWSHIP AT BRAMHALL METHODIST CHURCH AT 2.30 PM

Call the Church Office for information 0161 439 1204

THIRD THURSDAY OF THE MONTH (EX SEPTEMBER):

Contact Jean Tudge 0161 487 1324

EVERY THURSDAY: LADYBROOK SINGERS

A friendly choir singing a varied upper voice repertoire. Thursday 7.30-9.45 Norbury Parish Church, Narthex SK7 4RF

www.ladybrooksingers.com

email: ladybrooksingers@gmail.com

EVERY 1/2/3/4TH THURSDAY OF THE MONTH (EXCEPT DECEMBER): PHD PATCHERS

PATCHWORK AND QUILTING CLUB

Contact: 07761 447063.

EVERY 4TH THURSDAY OF EACH MONTH (EXCEPT FOR DECEMBER):

RETIRED TEACHERS CLUB

Contacted on 0161 4398794. SK8 7AA. Call 0161 486 9226

10 SKBramhall & Woodford - May/June 2024
CHECK
ON
PLEASE
MEETING IS
BEFORE ATTENDING

n Free adult and junior mix-in

n Mini tennis session

n Cardio tennis

n Fastest serve competition with prizes

n Enjoy BBQ food

n freshly made cakes

n a drink from the bar

Come Down and Visit Us for a Great Family Day Out and Take Advantage of our Great Membership Offers

And there’s more at BLLTC

v Social, box leagues, team & tournament tennis for all levels - Senior & Junior

v Full coaching programme provided by our team of coaches headed by an LTA Master Performance Coach

v Junior camps during school holidays

v 7 artificial grass and 3 clay courts, all floodlit with online court booking

v Other activities available in our Sports Hall including indoor bowls, yoga, pilates

WHY WAIT UNTIL MAY – JUST POP DOWN ANYTIME AND JOIN NOW

Bramhall Lane LTC Ramsdale Road, Bramhall, SK7 2PZ

clubspark.lta.org.uk/bramhallLaneLawnTennisClub

SKBramhall & Woodford - May/June 2024 11
OPEN DAY 18 MAY 2024 1:30-5:30pm

Shire horses gallop to glory at auction - even with a broken leg!

Britain is a nation of animal lovers and that passion for all creatures great and small is reflected in the world of collectables.

One company to thank for putting animals at their heart of their world is Beswickpronounced Bes-wick by the way, not Bes-ick! Their pottery animals are soaring to new heights at auction, even if they hobble into the saleroom with a crack, restoration - or even a broken leg!

A couple of Beswick Dapple Shire horses (model 818), one restored and one with a broken and detached rear leg, made £460 from a £100-£120 guide at Hansons. Another grazing example galloped to £800 from a £120-£150 estimate. As well as illustrating the strength of the Beswick collectors’ market, results like this honour the achievements of a pottery manufacturer born in Victorian England. John Beswick Ltd was founded in 1894 by James Wright Beswick and his sons John and Gilbert in Longton, Stoke-onTrent. It was chiefly known for producing highquality porcelain figurines such as farm animals and Beatrix Potter characters. These are now highly sought.

In 1947 Lucy Beswick suggested bringing to life the illustrations in the Beatrix Potter books. In 1948, John Beswick secured the rights to reproduce 10 Beatrix Potter earthenware characters.

Beswick on the mantelpiece? If so, you will be interested to know a rather quirky Beswick Fireside Old English Sheepdog advertising Dulux paint hammered at £160. In fact pottery dogs are a winner because two Fireside Golden Labradors (model 2314) made £90 and a Fireside Dalmatian

(2271) and Fireside Alsatian (model 2410) made £100, all from £30-£40 guides. In addition, two Beswick Fireside Foxes (model 2348) achieved £150 (£20-£30 guide) and a horse and jockey galloped to £110.

But all manner of pottery is sought after. Bidding soared to £400 for a 19th century porcelain teapot decorated with boating and fisherman scenes, way above its £40-£50 guide. Another lot to excel was an early 20th century Royal Crown Derby plate paired with a 20th century Oriental vase, which achieved £290 (£40-£60 guide). Plus three early-to-mid 20th century Meissen porcelain plates hammered t £460.

Hansons will host free antiques, jewellery and toy valuation events at St John’s Knutsford Church Centre, Church Hill, Knutsford, Cheshire, WA16 6DH, on May 24, June 28 and July 26, 11am-1pm. To find out more or to book a home visit, email service@hansonsauctioneers.co.uk or call 01283 733988.

Twitter: HansonsUK

Facebook: HansonsAuctioneersUK

Instagram: hansons_auctioneers

12 SKBramhall & Woodford - May/June 2024
Rare Beswick Shire horst sold for £800 Beswick Fireside Foxes , model number 2348 , 1 cracked and 1 restored. sold £150 from £20-30 est 20th century Royal Crown Derby plate and 20th century Oriental vase sold for £290 19th century porcelain teapot sold for £400
SKBramhall & Woodford - May/June 2024 13 Replace just the failed glass unit! Have Your Windows Steamed Up? Social distancing in operation Faulty locks, handles or hinges? Priority freephone www.cloudy2clear.co.uk Love Your Home - Protect YourWindows - Save Money All glazing backed by our Looking to upgrade your existing windows and doors? UPVC, composite or aluminium. Contact us NOW! Finance Options Available Get a FREE Quote

‘SIDE HUSTLE TAX’ – AND A REMINDER THAT TRADING PROFITS HAVE ALWAYS BEEN TAXABLE

A2022 survey by Aviva concluded that one in five Britons had taken up a ‘Side hustle’ since the start of the pandemic and therefore ‘side hustle tax’ has naturally become a hot topic. HMRC have new powers to collect sales data from online marketplaces such as eBay, Etsy, Depop and Vinted. It is important to stress that the tax rules haven’t changed – it is just HMRC’s information gathering powers that have been broadened.

eligible for certain tax allowances and reliefs such as the personal allowance, which allows you to earn a certain amount of income tax-free each year.

From 1 January 2024, the online platforms are now required to share information automatically rather than HMRC having to request it. The platforms are required to automatically report individuals with either sales of more than £1,740, or 30 or more sales transactions in a tax year.

If you have a side hustle or any additional income outside of your main employment, your requirement to report it to HMRC and pay tax on it will primarily depend on whether the activity counts as trading. Whether you are actually trading or not depends on various factors such as the frequency of transactions, how the goods were acquired and the length of ownership. So, for example, clearing the loft of the children’s old toys which are no longer used and having a one-off sale of these on eBay is unlikely to count as trading and so generally wouldn’t be subject to tax. However, regularly buying goods at car boot sales say, with the intention of selling them on shortly after for a profit would probably count as trading.

Even if your side hustle counts as trading, if your sales are less than £1,000, then it would be covered by the trading allowance and there wouldn’t be any tax to pay. If your sales are over £1,000 then you are required to register for Self-Assessment with HMRC as self-employed. You may still have no tax to pay as you may be

If you’re registered for SelfAssessment, you’ll need to complete a tax return each year, declaring your side hustle income and expenses. The deadline for filing your tax return and paying any tax owed is usually January 31st following the end of the tax year (April 5th). You can deduct certain expenses from your taxable income, thereby reducing your tax liability. Common allowable expenses include business travel, office supplies, equipment costs, marketing expenses and most importantly, the cost of the goods that you sell. It’s important to keep accurate records of all your income and expenses related to your side hustle. This includes invoices, receipts, bank statements, and any other relevant documents.

Failure to declare your side hustle income or pay the appropriate taxes can result in penalties and interest charges from HMRC. Tax can be complex, especially when you have income from multiple sources.

It is advisable to seek professional advice from an accountant or tax advisor to ensure that you are fulfilling your tax obligations correctly and making the most of any available tax reliefs.

14 SKBramhall & Woodford - May/June 2024

Advance Skincae Advice & Treatments

Nails and Toes Treatments

CND Gel polish

CND Gel toes

OPI Manicure

OPI Luxury manicure

OPI Pedicure

OPI Luixury pedicure

Eye Treatments

Eyebrow shape

Eyebrow tint

Eyelash tint

All 3 eye treatments

Danielle Cornford:

Neal’s Yard Organic Facials

NYO Relax facial: all skin types (1hr)

NYO Frankincense intense age well facial. For mature skin types (1hr 30mins)

NYO Wild rose facial, for brightening the complexion and making you look radiant (1hr 30mins)

NYO Express facial (30mins)

Neal’s Yard Aromatherapy Massage Treatments

NYO Back, neck and shoulder massage (30mins)

NYO Back, neck, face & scalp massage (1hr)

NYO Full body massage (1hr 15mins)

NYO Back relax treatment, cleanse, ex-foliation, mask & massage (1hr)

Makeup

Makeup application for wedding or celebration

Makeup trial

Makeup consultation

Makeup lessons

FE Quali ed Beauty Therapy Consultant. Over 14 years experience working with beauty and nails.

Danielle Cornford: SK8 6PW

07827 923 795

SKBramhall & Woodford - May/June 2024 15
Beauty Therapy Advance Skincare Treatments
POA £20 £20
£20 £20 £20 £25 £25 £30 £8 £8 £8 £30
£35 £20 £23 £30
£40
£20
£40
£30
£20

WHAT IS WALKING TENNIS?

Early February see’s our present, President, Captain and Lady Captain pass on the baton to the new custodians for 2024.

It’s a game that’s open to anyone - whether you’re a lifelong tennis player, a complete beginner or just need a bit more time to get into the swing of things, you can give the game a go in a supportive setting.

You can play tennis at any age and Walking Tennis offers an easy way for older people to keep their body and mind active – while also enjoying the social side of being part of a tennis community.

Who can play?

Walking Tennis is for anyone that wants to play tennis, but at their own pace. It’s ideal for those who:

n Are just starting out and want to build up their confidence

n Are returning from an injury

n Just need a bit more time getting to the ball

n Are suffering from arthritis or Parkinson’s Disease

How do I play?

Walking Tennis has been designed to be

accessible for all. It’s still tennis – but with a few tweaks:

n It’s played on a normal sized court with special balls

n You can let the ball bounce twice for extra time

n Players can’t run or jump

n Rackets will be provided if you don’t have one

n Membership of the club is not a requirement

n Coach-led 1 hour sessions

Free Taster Session

Walking Tennis sessions are being held at Bramhall Queensgate Tennis Club on Mondays from 11-12 am, so if you would like to come down for a free taster, please contact Darren O’Donnell – darren@wackit.net – 07789 905895.

If you enjoy it and would like to continue, then there will be a small charge for subsequent sessions. Tea and cake/biscuits will be available in the clubhouse following the sessions so you can get to know your fellow players.

Bramhall Queensgate Tennis Club, Oakfield Close, off Queensgate, Bramhall SK7 1JT –www.bramhalltennis.com

16 | SKBramhall & Woodford - May/June 2024
Club News
ADVERTORIAL

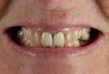
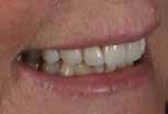
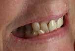
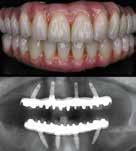
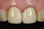
Dental implants available in Dr Oberai’s prestigious clinics in Wilmslow.

Consider dental implants if you have missing or loose teeth. All on 4 implants offer a permanent solution, especially for denture wearers or those with multiple failing teeth. This minimally invasive digitally planned procedure ensures comfort, confidence, and full arch restoration in a day. It involves using four to six implants surgically placed into the jawbone, followed by a temporary bridge for healing and a later permanent one.

To check suitability, book a free consultation with Dr. Nikhil Oberai through our friendly reception team.

‘Implant retained bridges and dentures can offer comfort and confidence’
REJUVENATE YOUR SMILE
64 Manchester Rd, Wilmslow SK9 2JY email: dentist@croftdental.co.uk • www.croftdental.co.uk Tel: 01625 523 524

LAST FRIDAY OF THE MONTH: SOCIAL NIGHT AT ALL HALLOWS

Play pool, table tennis or just call in for a chat from 7.30pm until 9pm. All Hallows Church, Cheadle. www.allhollows-church.org.uk

EVERY FRIDAY:  WOODFORD COMMUNITY CENTRE BRIDGE CLUB

Contact Judith Fletcher on 0161 439 5310.

EVERY FRIDAY: ST ANN’S HOSPICE FESTIVAL CHOIR

We are looking for new members. We rehearse on Fridays 7.15 – 9.30pm at Cheadle Hulme Methodist Church. We rehearse for 8 weeks prior to each concert. If you’d like to sing with our choir, send a message to hospicechoir@aol.co.uk

FIRST AND 3RD FRIDAY EACH MONTH: STOCKPORT AND DISTRICT SOCIETY OF MODEL ENGINEERS

Meet at 7:30pm, at St Catherine’s Church Hall, Outwood Road, Heald Green. SK8 3QJ, for talks and discussions. If you are interested in model engineering whether experienced or a beginner contact us at info@stockportmodelengineers.co.uk

EVERY FRIDAY: BRAMHALL COMMUNITY CHOIR

For fun and friendship 2pm-3.30pm term time at Centrepoint, Bramhall Methodist, also Fridays 12pm-1pm term time at Bramhall URC. Bramhall Beginners’ Choir.  Learn how to sing and build your confidence. contact Kate 07794 050591www.cheshirecommunitychoirs.com

EVERY FRIDAY: MINDFULNESS FOR WELLBEING

All Saints Parish Rooms, Church Road, Cheadle Hulme. 12 - 1pm.More info from Katie Sheen www.soulnutrition.org, katie@soulnutrition.org  Tel: 07703 342 781

EVERY SATURDAY: STOCKPORT ART GUILD

Portraiture. Stockport Art Gallery 10.30am www.stockportartguild.comcontact@stockportartguild.com

EVERY SUNDAY: BRAMHALL BAPTIST CHURCH MORNING SERVICE

For more details www.bramhallbaptist.co.uk or call 0161 440 9091.

EVERY SUNDAY: “HUNGRY FOR HELP”

Contact Suzi: 07876 152 630. www.oagb.org.uk

FIRST SUNDAY OF THE MONTH: THE BROOKDALE CLUB QUIZ NIGHT

Contact Roger Salt on 0161 439 0371.

SATURDAY 11TH MAY: BRAHM’S SECOND Stockport Symphony Orchestra conducted by Connor Lyster and Alec Frank-Gemmill play: Borodin Prince Igor - Strauss Suite in B-flat majorBrahms Symphony No 2. Starts 7.30pm at Stockport Town Hall - Tickets £15, Concessions £13, Full time students up to 21 £5, accompanied children under 16 free of charge www.ticketsource.co.uk/sso For more details see www.stockportsymphony.co.uk

SATURDAY 18TH MAY: CHESHIRE SINFONIA

Handel - Dixit Dominus. Finzi – Romance. Grieg –Holberg Suite. Duruflé - Four Motets on Gregorian Themes. 7.30pm at St Michael’s Parish Church, Bramhall SK7 2PG Tickets available on the door, or by phoning 01969 667033.

SUNDAY 19TH MAY: BRAMHALL AND WOODFORD ROTARY CLUB DUCK RACE & FAMILY FUN DAY

Get ready for a day of good fun! We are hosting our annual Duck Race and Family Fun Day on Sunday May 19 from 11am to 4pm at Bramhall Park. This exciting event promises a day filled with entertainment, activities, and of course, the thrilling duck races! Full details on page 38.

18 SKBramhall & Woodford - May/June 2024
CHECK MEETING IS ON BEFORE ATTENDING
PLEASE

DISCOVER THE HIDDEN VALUE IN YOUR HOME

I value pieces for probate, insurance, and resale including art, jewellery, gold, and other antiques. After a period of illness I’m thrilled to be back!

20 + years experience Local Bramhall based No obligation Specialist in fine art

Immediate funds for gold, jewellery & other pieces.

Enquiries@carolineamlane.com

07745 346845

carolineamlane.com

SKBramhall & Woodford - May/June 2024 19
Caroline Lane Valuation Services
www.mr-soot.com Contact David 01617061217 Stoves&FireplacesSwept FluesTested&Inspected ChimneyLinersInstalled Professional&Reliable Bookonline 24/7 PAYBY CARD SHOWROOM: Hor ton Street, Higher Hillgate, Stockpor t SK 3LR Open: Monday-Friday 9am - 4.30pm
by appointment SPECIALOFFERS onstandardsizes (askfordetailswhencalling) + Freesurveyand freefitting
Saturday

GARDENING TIPS Garden Talk

By way of an introduction, I’m Kevin and I am here each month to talk about gardening. I can also try to answer you gardening questions on email info@kevinpratt.co.uk

April and May are great months to think about sprucing up your hanging baskets. As a former nursery owner we used to make eight hundred hanging baskets each year, and I would love to share three secrets.

The bigger the better

My first tip is to buy your plants as big as possible, forget grow- yourown and plug plants - these will make a flowering basket, eventually, but the larger plants will show amazing growth much quicker. We used to use Sufinia, which is a trailing Petunia (pictured) but absolutely anything goes, from traditional Fuchsia and Geranium to modern Nemesia and Diasia, be imaginative and it’s like art, it’s in the hands of the beholder. The style of basket you can use is as diverse as the flowers, from steel hay baskets to willow wicker baskets. always used large black plastic baskets, and yes I hear that we should all be moving away from plastic but I’d argue that my two plastic baskets will be reused my entire life, and they are already 22 years old!

Use fresh compost

compost. Never blame yourself if the flowers fade during the summer - it’s usually the fault of the compost. An ideal addition to the compost would be a teaspoon of slow-release fertiliser and a teaspoon of water retaining gel granules. These are added at the same time as you add the plants. Remember to push the plants into the compost - the closer you plant the quicker they fill out and they soon begin to tumble down and look amazing

These days, during the summer, plants don’t really need much deheading as most plants are now repeat flowering, but if you have a few minutes free you could remove a few of the old spent flower heads. If during the summer time the flowers become fewer and fewer, any liquid feed will give the plants a summer boost.

Keep Watering

Now coming to my final tip, don’t let the hanging baskets dry out at all. Always keep the basket slightly on the damp side. If they dry out the basket will sit there and not grow until it has recovered from the shock of drying out.

Happy Gardening!

Kevin Kevin Pratt Home Garden Consultation.

My second tip is to use fresh, good quality compost. This will be obvious to many people but I can’t emphasize enough that there is good compost, poor compost and excellent

With 40 years’ experience, Kevin advises on planting, design and pruning with a visit to your garden. www.gardenconsultation.co.uk info@kevinpratt.co.uk

20 SKBramhall & Woodford - May/June 2024

Open now inside Woodford Park Garden Centre | www.wardsshoes.com

Open now inside Woodford Park Garden Centre | www.wardsshoes.com

Open now inside Woodford Park Garden Centre | www.wardsshoes.com

Woodford Park Garden Centre, SK7 1QS

Woodford Park Garden Centre, SK7 1QS

Recruiting for sales team members now!

Woodford Park Garden Centre, SK7 1QS

Recruiting for sales team members now!

Various positions available, 10-25 hours per week.

Various positions available, 10-25 hours per week.

Recruiting for sales team members now!

SKBramhall & Woodford - May/June 2024 | 21
Contact us at web@wardsshoes.com for more information today.
us at
for more information today.
Contact
web@wardsshoes.com

3 WAYS TO BRING SUMMER INTO YOUR HOME

I’m happy hunkering down in the winter months. Cosy, dark nights in front of a flickering fire with the Northern weather doing it’s thing outside is.. comforting. However, I’m more than ready to go out and physically cajole that Summer in, demand it enter our green land, stay and behave for the foreseeable. Here are few ways to prepare your home to make the most of it.

some colourful petals and grasses. Jam jars and jugs have as much impact as vases. Gathering a ‘gaggle’ of different sized jars filled with flowers is so pretty.

Re-style your space. Move things around,

Clear away the clutter. The start of Summer is lighter and brighter, it’s the time of year I start to venture out in the evenings (I may have been an alleycat in my last life!). Winter is my hibernation season, hiding from friends past dark behind closed curtains to devour a good series. But with that comes the hoarding. Starting with a warm throw, some knitted cushions, lamps and new shiny receptacles for that extra glass of wine of an evening. All gorgeously comforting until now.

Clear them away and reclaim a fresher feel. I’m not saying NO cushions (I need cushions in my life), just cooler versions, lighter in colour, softer and definitely ditch blanket. Lounge and bedrooms are the key areas for this approach. Bring in the flowers. Those summery displays are the epitome of heady, warmer days. A quick cut of even the wildflowers you find on a walk will transform a space. Pop them everywhere and use anything as a vessel for showing off

remove the heavy looking, darker or stronger objects. Taking things away draws the eye to further corners, then pop some beach pebbles and little driftwood pieces on a side table or any interesting find, it will give a whole new feeling to the space. A larger branch find can be used for plants to happily grow and hang from, or for hanging pots and pans with the help of a few hooks.

For tips and tricks, follow me on Instagram. For more practical help, please do get in touch. Sharon.

Facebook: Tigermoth Home

www.tigermothhome.co.uk

Sharon@tigermothhome.co.uk

Instagram: @tigermothhomeinteriors

22 SKBramhall & Woodford - May/June 2024
SKBramhall & Woodford - May/June 2024 | 23 62 & 64 Fountain sRoad Cheadle Hulme SK8 7PY Tel : 0161 439 6066 Email : martin@bathroomprojectltd. co.uk www.bathroomprojectl td.co.uk COME ANDVISIT OURBATHROOM SH OW RO OM ANDPLUMBING TRADE COUNTER Trade and Retail clients welcome Staffed by experienced local people Bathroom Design service available Underfloor Heating Design service available Specialist supplier of Designer Radiators Find us on BEST LOCAL PRICES ON PLUMBING, HEATING AND BATHROOMS Large range of Boilers & Radiators in stock 25% off ALL DESIGNER RADIATORS Valid till 31/5/24
24 SKBramhall & Woodford - May/June 2024

Aqua Babies

Wednesday and Thursday afternoons. Valley School, Whitehaven Road, SK7 1EN. 0161 973 1931.

Active Angels

Tuesday 10 – 11.30am (term time only) – drop in; 0 – 5 years old. Babies 50p, 1-2yrs £1 & 2+ £1.50. Provide a variety of toys and activities to suit all ages, along with healthy snacks and drinks. St Michael & All Angels Church, St Michael’s Avenue, Bramhall, SK7 2PG..

Babyballet Bramhall

Our magical classes run throughout the week for ages 6months - 5years. Babyballet is a fun and engaging way to help children of all abilities develop, co-ordination, musicality, posture and rhythm. Please email Miss Betty on bramhall@ babyballet.co.uk or call 07399 472449.

Baby Loves Massage

Tuesday mornings. Harper Studios, Newby Road, SK7 5DA (near Stepping Hill Hospital). Call Kate 07866 468245.

Email babylovesmassage@live.co.uk. www.thebabymassagecompany.co.uk.

Bramhall Library Storytime

Mondays 11 – 11:30am. Sharing stories, sharing books. Age - Under 5’s Cost - Free Bramhall Library Bramhall Lane South, Bramhall. T: 0845 644 4307.

E: bramhall.library@stockport.gov.uk.

Bumps and Bashes First Aid classes:

Classes take place in and around the Stockport area and can also be conducted in your own home. Please contact Jaime on 07909 005129 or email stockport@bumpsandbashes.com.

Baby Sensory Development Classes

The award winning baby development classes run Monday – Friday at various times from their dedicated and bespoke centre in Cheadle Hulme precinct. For more information please contact Natalie on stockport@babysensory.co.uk or visit their website www.babysensory.com/ stockport for class availability and times.

Drama (5-7’s)

Saturdays 1.15pm-2pm.Starlight Performing Arts Academy CIC, Bramhall Moor Lane, (opp Stepping Hill Maternity Hospital) SK7 5AA. T 0161 439 8009 or 07515 397715. www.starlightperformingarts.t83.net

Enjoy A Ball

Tuesdays at Bramhall Scout Hut, St Michael’s Avenue, Bramhall. Call Sam to pre book on 07973 886783. 1.45pm: 2 5-3.5 years & 2.45pm: 3.5- school age & 3.45pm: Reception & 4.45pm: Years 1 & 2.

Fun in French

For 4-11 year olds, on a Wednesday afternoon at 4pm (term time only) at the United Reformed Church, Robins Lane, Bramhall. A “La Jolie Ronde” licensed teacher, who uses songs, stories, role plays & games to teach French to children. Call Claire 07866 852859.

Jabberjacks

Wednesday mornings @ United Reform Church, Robins Lane, off Bramhall Lane South, Bramhall SK7 2PE. Call Sue on 01625 540999

Jo Jingles

Jo Jingles classes are carefully structured. Each week different educational themes are introduced using well-known nursery rhymes and action songs. Mondays 9.30am - Under 2s and 10.30 - Over 2s. Wednesdays 9.25am - Over 2s and 10.20 - Under 2s at Bramhall Methodist Church, Bramhall Lane South, Bramhall. Call Laura on 0161 431 0674/07983513491 to book

Little Lambs Baby & Toddler Group 10-11.30am. Thursdays (term time only) at Bramhall Baptist Church, Woodford Road. SK7 1PB. Toys, refreshments and song time. Suggested donation of £2 per adult, pre-booking is now required.  Check bramhallbaptist.org or email bramhallbaptist.church@gmail.com  for more details.

SKBramhall & Woodford - May/June 2024 | 25
26 | SKBramhall & Woodford - May/June 2024 Fitted Kitchens By Newlook CALL 07900 588140 email: john@newlook-kitchens.com A FAMILY BUSINESS Fully Fitted Kitchens* Kitchen Makeovers* Replacement Doors* Visit us at: www.fkbn.co.uk Any Style - Any Colour - Any Finish
SKBramhall & Woodford - May/June 2024 27 General Building & Home Improvements AVERY HOME IMPROVEMENTS SK LIMITED n Extensions n Knock Through Family Rooms n Open Plan Rooms n Loft Conversions n Bi-Folds 4 BUILDING REGS 4 BUILDING CONTROL 4 STRUCTURAL CALCS 4 PLANNING & ARCHITECTURAL SERVICES 0161 971 4624 – 07579 788547 averyhomeimprovementssk@gmail.com

Little Superstars Sports Club

Trinity Gardens, Davenport. Mornings & afternoons. Call Louise 07904 311552.

The Mill Youth Centre

Free Admission for 10-18 year olds. please visit our website for opening times and further information about session. www.themillbramhall.com. 0161 440 8022

My Sen Den

Inclusive Sensory Stay & Play – on the 1st Tuesday of the month 10.30-12 at Benja Fold, Bramhall. Different sensory toys each session for fine and gross motor fun. Email for more information and to book. E: infomysenden.co.uk W: www.mysenden.co.uk

Messy Play Classes

at Fir Road Scout Hut in Bramhall on Mondays, Tuesdays and Thursdays. The classes are for children from 5 months to 5 years and are messy play and mark making classes with an emphasis on early writing skills. I can be contacted via this email address:katie@littlelearnersuk.com.

Mucky Pups Arts & Crafts

St Michael’s Scout Hut, St Michael’s Avenue, Bramhall. Mornings. Call Nikki on 07511 622445.

Mini Movers

Tuesday 9am- 12pm at Bramhall Lawn Tennis Club. Call Abi on 0161 474 4471

Pre-School Ballet

Mondays and Saturdays. Bramhall School of Dancing. 0161 440 8093.

Pre-School Swimming

Monday 1.15-1.45pm and Friday 11.30-12pm. Hazel Grove Baths, Jackson Lane, Hazel Grove. Call 0161 439 5221.

Pre-School Tap Dancing

RJL Dance Studios, St Peter’s Parish Centre, Hazel Grove. Tuesdays at 3.454.15pm. Call 07739 695603 for places.

Pyjama Drama

Tuesday mornings 2- 5 year olds. United Reformed Church, Bramhall. Call Alison 0844 504 5119 or alison@pyjamadrama.com.

Rhythm & Rhyme

We offer multi-sensory, exciting, structured classes with Makaton signing. Join the fun! For babies & preschool children. Thursday mornings, Bramhall 4th Scout Hut, 67 St Michael’s Avenue SK7 2PG. Call Laura  07795 484494 or visit rhythmandrhyme.co.uk

Rhythm Time

Friday mornings. chantelle.s@rhythmtime. org 07563 388111 The Bramley Centre, Scout Hut, Bramley Close, SK7 2DT.

Tiny Talk Baby Singing

Friday mornings at Benjafold Guide Hut, Ack Lane East, Bramhall. Call Julie on 07914 088845.

Tumble Tots, Gym Babes & Gym Bobs

Mondays, first class at 9.45am, last one at 3.50pm (7 classes). Bramhall Village Club, Lumb Lane. Wednesdays, first class at 9.30am, last class at 3.55pm. Fridays, first class at 9.30am, last class at 2.25pm. Saturdays between 12.15pm-3pm. Bramhall Lane Lawn Tennis Club, Ramsdale Road, Bramhall SK7 2PZ. Classes last approx 45 minutes. Please pre-book with Sue on 0161 456 6166 or tumbletots.bramhall@ntlworld.com.

YSBD Performing Arts Classes

for 2-18 year olds taught by industry professionals. Contact Principle Hannah 07738 16423.

If you are interested in attending any of these activities please phone first to check the details.

28 SKBramhall & Woodford - May/June 2024

The AccounTAncy PeoPle

LIMITED COMPANY OR A SOLE TRADE, WHAT TO DO WITH THE NEW TAX RATES

Choosing between a limited company and being a sole trader involves considering various factors, especially in terms of tax implications. While partnerships, limited liability partnerships, and sole traders share a similar tax structure— Income Tax and National Insurance—limited companies follow a different taxation path, involving Corporation Tax and Dividend Tax. Business owners, however, are keen on understanding their overall tax burden.

In recent years, Corporation Tax and Dividend Tax rates have risen, altering the landscape where companies once enjoyed lower tax rates. The complexity of the tax system further intensifies with three different Corporation Tax rates: 19% for profits under £50,000, 26.5% for profits between £50,000 and £250,000, and 25% for profits exceeding £250,000. Co-owned businesses see reduced allowances, dividing the allowances by the number of co-owners.

Higher rate tax begins for individuals at £50,270, leading to a lower tax rate on income below this threshold than on income surpassing it. The comparative tax rates, combining all taxes from April ‘24, reveal that higher-rate taxpayers may pay more tax within a company.

Nevertheless, additional factors complicate this decision. Dividends are paid after Corporation Tax, allowing more money to be withdrawn before reaching higher-rate tax. Retained profits

in a company avoid higher-rate tax until withdrawal. Building reserves for business growth becomes challenging for sole traders or partnerships, where retained profits are taxed as earned.

The choice between a company and sole trader/partnership is further influenced by company cars. In a company, ordinary fossil fuel cars face heavy benefit-in-kind taxation, while electric cars are taxed lightly. In contrast, sole traders/partnerships experience a different tax treatment, with the disallowance of private use costs.

Considering limited liability is crucial, as the structure can protect shareholders from business creditors in the event of failure. Limited liability partnerships offer similar protection, while partnerships hold personal liability for partners.

In conclusion, the decision to incorporate involves navigating various factors, with smaller differentials between structures making it more nuanced and complex. While tax considerations are essential, other factors like limited liability also play a significant role.

You may need help to navigate your way though this area. I am more than happy to spend an hour working out how you can choose the right structure for you and your business. This would be free of charge and I will make sure you understand what is right for you before we consider any paid for service.

SKBramhall & Woodford - May/June 2024 29
ADVERTORIAL

SATURDAY 25TH MAYCHEADLE HULME GARDENING SOCIETY

Coffee Morning & Plant Sale. Admission £1.50 includes refreshments. Also Books, Cakes, Cards, Jigsaws and a Raffle. 10am – 12pm at the Parish Rooms, Church Rd, Cheadle Hulme SK8 7JB For further details  www.cheadlehulmegardensoc.org.uk T:- Kate 0161 485 4322

TUESDAY 28TH MAY - SATURDAY 1ST JUNE: JOSEPH AND THE AMAZING TECHNICOLOR DREAMCOAT

AWMTC are bringing Joseph and the Amazing Technicolor Dreamcoat to Cheadle Hulme, after months of uncertainty and upheaval. Finally, they’ve found Holden Hall at Cheadle Hulme School, and Joseph will be performed at 7pm, with a matinee on Saturday at 2:30pm. The cast and creatives are over the moon that the show will finally be on, and everyone will get their time in the spotlight. The uncertainty and stress will be over! Tickets: AWMTC.ORG.

SUNDAY 9TH JUNE:

ST ANN’S HOSPICE FESTIVAL CHOIR

Our Summer concert is at Stockport Town Hall at 7pm. John Pomphrey will be our Conductor with Christopher Ellis on Piano. Tickets £16, Children (16 and under) £5 Available from: Choir members, On the night subject to availability. Online tickets £17.50 (Eventbrite) available through www.hospicechoir.org

FRIDAY 14TH JUNE:

CHEADLE HULME GARDEN SOCIETY

Talk on ‘Foraging’ by David Winnard, who is a forager and naturalist in the North of England, and North Wales. Starts 7.30pm at Parish Rooms,

Church Road, Cheadle Hulme SK8 7JB

Raffle and Refreshments. Admission members £3, non members £4. Come and join us for what promises to be a fascinating talk. www. cheadlehulmegardensoc.org.uk T:- 0161 485 4322.

SATURDAY 15TH JUNE: CHESHIRE SINFONIA

Schumann - Overture, Scherzo and Finale. Vaughan Williams - Symphony No. 5 in D major. Starts 7.30pm at St Michael’s Parish Church, Bramhall SK7 2PG. Tickets available on the door, or by phoning 07967 852986.

SATURDAY 22ND JUNE: GRIEG AND ELGAR

Stockport Symphony Orchestra’s season closes with some well-loved pieces, conducted by Philip Ellis Bach Fantasia and Fugue in C minorGrieg Piano Concerto - Elgar Symphony No 1. Starts 7.30pm at Stockport Town Hall - Tickets £15, Concessions £13, Full time students up to 21 £5, accompanied children under 16 free of charge www.ticketsource.co.uk/sso For more details see www.stockportsymphony.co.uk

SATURDAY 29TH JUNE: BRAMHALL FESTIVAL

As we are going to print the Bramhall Together Trust were just putting the final bit together for this years festival. For more information check out their website www.bramhalltogethertrust.com or the “We Love Bramhall” Facebook page.

SATURDAY 6TH JULY: LADYBROOK SINGERS: AFTERNOON TEA CONCERT.

An afternoon of light choral music, with refreshments incl. tea/coffee and cake.

From 2.30pm at the United Reformed Church, Short Street, Hazel Grove, SK7 4AD

Tickets £10 incl. refreshments.

Contact: 0161 485 6642

30 SKBramhall & Woodford - May/June 2024
CHECK MEETING IS ON BEFORE ATTENDING
PLEASE
SKBramhall & Woodford - May/June 2024 31
lifestyle
to you
to care Abney Court, Cheadle Ladybrook Manor,
A
tailored
Residents’ quality of life is at the heart of everything we do, enabling each individual to lead independent, fulfilling lives. If you’re considering a care home, call 0333 305 9161 or visit careuk.com/cheshire Trusted
Bramhall

FUNCTIONS AND MEETING ROOMS FOR HIRE

Are you looking for a venue for an upcoming celebration or perhaps a cosy intermit space for a small meeting. Bramhall Golf Club can offer that perfect space. Our Rowbotham suite, with outdoor balcony looking out over the course, can cater for up to 120 guests. With our small meeting room able to cater for up to 12 delegates in comfort (fully air conditioned). With modern facilities and a friendly modern feel to the bar this could be your perfect venue. We offer various packages and menu options with the option to custom your choices to your preference. We would love to help make your occasion one to remember. For further information or booking enquiries please call us on 0161 4396092 or email Officeadmin@bramhallgolfclub.com

32 SKBramhall & Woodford - May/June 2024
Club News
ADVERTORIAL Committee Room

Telephone: 0161 485 8131

Email: clive@minahan-hirst.co.uk

robert@minahan-hirst.co.uk

karenh@minahan-hirst.co.uk

Unlike many firms in the South Manchester area, we do not and never have paid referral fees to estate agents or conveyancing panels, we are instructed on the quality of the service we provide to clients.

We pride ourselves on offering a high quality service and are always available to answer any queries.

Please contact us for a no obligation, no hidden fee estimate.

SKBramhall & Woodford - May/June 2024 33
Solicitors
Minahan Hirst & Co
Minahan Hirst & Co 33 Station Road Cheadle Hulme Cheshire SK8 5AF
Your long established high street firm CLIVE ROBERTS COMMERCIAL & RESIDENTIAL CONVEYANCING EQUITY RELEASE BUSINESS/COMPANY SALES/ PURCHASES/REFINANCING COMMERCIAL LANDLORD/ TENANT KAREN HOLMES WILLS AND PROBATE ELDERLEY CLIENT LASTING POWER OF ATTORNEY/ COURT OF PROTECTION ROBERT CHAMPIN BUYING /SELLING PROPERTY, REMORTGAGING, TRANSFER OF EQUITY AND FIRST REGISTRATIONS EQUITY RELEASE

BENEFITS & ENTITLEMENTS FOR OLDER PEOPLE

According to Age UK there are billions of benefits that go unclaimed every year, some of these benefits and entitlements are specifically for older people. Before we look at what is available let’s remind ourselves that the default retirement age (formerly 65) was abolished - most people can now work for as long as they want. Retirement age is not the same as State Pension age, State Pension

age is currently 66 for both men and women and anyone can continue to work past State Pension age.

Benefits and entitlements start at age 60, a relatively young age I would say. Anyone over 60 is eligible for free NHS prescriptions. The 60’s and over can have a free NHS eyesight test, so it is worth contacting your optician to make an appointment if you have not had one recently. NHS dental check-ups and treatments are also available for free.

There are travel perks too, those 60 plus can get a third off train travel in Britain with a Senior Railcard and buy a 3-year Senior Railcard for just £70. There will be restrictions as to when you can travel, such as off peak, but well worth it given the cost of train travel. As they used to say ‘let the train take the strain’ perfect for days out, weekends away to visit family and friends.

For those around or above retirement age, there are several benefits that could be claimed. Extra money to help with heating in winter, free transport passes, and council tax reductions.

TV licence concessions are also available, for some the TV licence will be free and what is not commonly known is that for those living in a care home or sheltered housing could be eligible for an Accommodation for Residential Care (ARC) licence, which costs £7.50. You will only need a licence if you watch TV in your own separate accommodation, rather than in a communal space such as a residents’ lounge.

Right now, the winter may seem far away, but it is the perfect time to start planning and investigating insulation and heating schemes. A number of companies have signed up to schemes that allow you to claim free insulation and heating improvements, such as a new boiler, to make sure your home is energy efficient.

Considering most older people have contributed to the National Insurance pot and society, it is only right they claim their share of the benefits and entitlements – don’t let them go to waste.

For eligibility and up to date information visit www.ageuk.org.uk & www.gov.uk

alicechiltoncleaning.co.uk

34 SKBramhall & Woodford - May/June 2024
www.alicechilton.com www.
SKBramhall & Woodford - May/June 2024 35 JOHNSTON JOINERY joinery work undertAken 40 Years Expereince, No job too small CALL 07732 117510 0161 439 1646 UPVC Windows & Doors n All Handyman work undertaken with rubbish removed from site. S O A N F U R E A P M P R B U R E U P C R I T W W W S R C O M P U T E R S C O U K C O N T A C T D A M I A N : 0 7 5 7 2 0 1 1 1 8 4 D A M I A N @ S R C O M P U T E R S . C O . U K S R C O M P U T E R S . C O . U K @ S R C O M P U T E R S U K • Block Paving • Tarmacking • Imprinted Concrete • Resin Driveways • Gravelling • Slabbing • Landscaping • Patios • Fencing • Drop Kerbs • General Building • uPVC Products • Fascias • So ts & Guttering • New Roofs and Repairs 0800 747 1648 0161 532 7609 E: info@pavetarconstructionltd.co.uk W: www.pavetarconstructionltd.co.uk

Outdoor Cuisine

As the weather gets warmer (hopefully) I start to think about picnics and general outdoor eating. The following recipe is very easy and a lovely addition to a picnic or just lunch in the garden. Serve it with a simple salad and a glass of cold white wine.

Crab and tarragon tart

Ready made short crust pastry – I know it’s cheating but it’s so much easier.

3 eggs

300ml double cream

2 tsp French mustard

Heaped tablespoon of tarragon leaves

500g white crabmeat

2 tbsp grated parmesan

First of all blind bake the tart base. Roll out the pastry and cover a 23in tart tin pressing it in and up the sides. Prick the base all over with a fork and put it into the freezer for 10 mins while the oven heats up to 200c.

Put some greaseproof paper over the tart and cover it with baking beans (not baked beans!!) or if you haven’t got any use uncooked rice. (It just stops the pastry bubbling up) Into the oven for 10 mins then remove the beans/rice and greaseproof and put it back into the oven for a further 5 mins.

Separate the eggs and mix the yolks with the cream add salt, pepper and the mustard then chop up the tarragon and add that too. Stir it all up before stirring in the crabmeat. In a separate bowl beat the egg whites until they stand in peaks then fold them gently into the crabby custard mix. Pour this mixture into the baked pastry case and sprinkle the parmesan over the top.

Turn the oven down to 190c and bake the tart for 30 to 35 mins until it is golden but still slightly wobbly in the middle. Take it out of the oven to cool a little before serving it. I like it warm but it’s lovely cold too.

36 | SKBramhall & Woodford - May/June 2024
SKBramhall & Woodford - May/June 2024 37
0161 480 1100 R8 servicing & repair

DUCK RACE AND FAMILY FUN DAY

Bramhall and Woodford Rotary Club Quacks Up

Some Fun with the Duck Race and Family Fun Day on May 19.

Get ready for a day of good fun! We are hosting our annual Duck Race and Family Fun Day on Sunday May 19 from 11am to 4pm at Bramhall Park. This exciting event promises a day filled with entertainment, activities, and of course, the thrilling duck races! Special thanks to our sponsorsLeighton Snow Estate agents, The Vernon Building Society and Lynx Taxis.

Getting there: Last year we had hundreds of families turn up on the day, many of whom used our popular DUCK BUS Park & Ride service. Again, we will have three free buses running throughout the day

To and from the park (big roundabout) to Woodford Garden Village via Bramhall, Hazel Grove High School. Church Road, Cheadle Hulme with parking available at the two local high schools.

Look out for the yellow DUCK BUSSES. Please use them if you can but, if you have to come in a vehicle, please park carefully and respectfully.

The Ducky Details: Starting at 11.00am, there will be a variety of small duck races to watch and there will be speciality races with local celebrities and businesses getting involved by decorating giant racing ducks that will then go beak to beak in the river. Purchase small duck tickets for £1 each (online at bwrotary.org) and cheer your duck on as it races down the river to the finish line. The winning duck’s owner will get £100

and proceeds from the day will benefit Rotary supported charities.

Fun for All Ages:

The Family Fun Day offers something for everyone! Enjoy a variety of activities, including The funfair, Bouncy castles and games for the kids, Live music and entertainment including Walthew Steel Band in the Courtyard, Rock Choir on the Croquet Lawn and Local dance schools on the main Strawberry Radio stage.

Delicious food and beverages from local vendors, Face painting and crafts, Many artisan stalls and The Worker Bee Market in the walled garden.

Our main charity is Stockport Without Abuse with lesser amounts for other Rotary supported causes. SWA is the largest domestic abuse organisation in Stockport. They offer a range of services to help and support women, men and children who are affected by domestic abuse. Everyone has the right to live their life free from fear, violence and abuse.

Join the Quacking Fun!

This event is a fantastic opportunity to spend quality time with family and friends while supporting a worthy cause. We encourage everyone to come out and enjoy a day of fun, laughter, and community spirit. Entry to the event is still free but please buy some tickets for a duck in one of the little duck races for just £1 each. They are available on the day, online at www.bwrotary.org or from our sales points around Bramhall. You could be a winner of £100! But you have to be in it to win it!!

38 SKBramhall & Woodford - May/June 2024
Charity News
SKBramhall & Woodford - May/June 2024 39 Specialists in Replacement Double Glazed Units Ring with Sizes for a FREE Estimate 0161 858 0075 0800 328 8573 8am to 8pm 7 days www.steamywindows.net Established Local Family Company 57 Woodford Road, Bramhall, SK7 1JR Telephone: 0161 440 0298 www.bramhallosteopaths.co.uk BRAMHALL OSTEOPATHIC PRACTICE Celebrates 30 years in Bramhall Offering: n Osteopathy n Acupuncture n Pilates and Women’s Health Physiotherapy n Chiropody/Podiatry n Massage Therapies and Reflexology SENIOR CITIZENS 20% DISCOUNT AVAILABLE IN MARCH Dear SK reader, My name is
a
I have
experience within
If you
your
FREE QUOTATION
NOW IS THE TIME YOUR GARDEN NEEDS MAINTAINING BEFORE THE BIRDS START NESTIN n TREE PRUNING & SHAPING
TREE REDUCTION
HEIGHT LOWERING
CROWN THINNING / LIFTING
TOPPING
FELLING / REMOVAL
HEDGES & SHURBS TRIMMED n IVY TRIMMED OR REMOVED
STUMPS REMOVED
FRUIT TREE PRUNING
For
0161 464 3738 Holly Lane, Styal, Wilmslow SK9 4JL
Dave, I run
local company called Green – Bank Tree care.
over 30 years’
tree surgery, including tree pruning, tree removal and hedge trimming.
are looking to have your trees, shrubs or hedges maintained then please call me. I can visit
property and provide you with a
without obligation.
n
n
n
n
n
n
n
n
If a neighbouring tree is overhanging your property, we can help by pruning it back to your boundary.
a free Quote or Advice please call

WHY CAN’T YOU CONCENTRATE ANYMORE?

There is little doubt among researchers that human concentration and focus is rapidly on the decline.

The evidence of this is pretty clear in our own lives.

How many of us see the eyes of our children anymore when we interact with them? Instead becoming over familiar with the tops of their heads as they grunt basic responses whilst locked on devices.

Of course as parents we try to regulate this, but we can’t single handedly fight a fight that is also consuming our own attention.

We have constant emails, texts, notifications, voicemails, and there are so many apps vying for our attention. At last check I have 201 apps on my phone…

Research shows that we no longer spend prolonged time concentrating on things, because we are distracted so often.

Children today are estimated to send a text message every 3 minutes in their waking hours. How can they concentrate on anything given this?They’re also reading far more texts than they send as they are often in (so many!) groups… no wonder homework is a challenge.

For adults, it is every bit as bad. It has been shown that, when focussed on a task, after a distraction such as a text or email it takes 23 minutes to return to the same level of focus.

Given the frequency of our disturbances it is feasible that we may spend days, if not weeks or months, NEVER achieving prolonged focus.

It’s not just technology and distractions robbing us of our attention however, it is certain biological factors too such as how we eat and how we sleep as a society.

Human brains can only develop and function properly if they get the necessary biological building blocks and adequate rest. We can take supplements and sleeping pills but ultimately the diet itself should be natural, fresh and healthy, and it mostly isn’t, and we need effective rest.

Modern “food” increasingly looks like processed junk and even health foods are often not healthy, and are overloaded with unnecessary

chemicals and dyes. There has even been a proven link between poor food quality and ADHD in children.

Sleep is in decline, and humans sleep far less now than we did 50 years ago. The farther back you go the more we slept compared to today. It is no coincidence this sleep reduction runs parallel with the attention crisis.

In some studies humans were shown to react up to 10 times slower to stimulus after poor sleep, and 18 hours of sustained wakefulness has been shown to put the brain in the same performance state as being over the drink driving limit.

We cannot forget exercise either. When we exercise we sleep better and we learn and remember more. Children especially benefit from daily morning exercise in terms of their learning and focus but where is the implementation of this research?

Children and adults are doing less exercise than ever before and the effect of this is devastating, both physically and mentally.

the final key factor in the attention crisis is the sheer volume of information we face in the modern world. Unimaginably huge compared to years past and we simply cannot give due attention to everything we know is happening.  As a therapist, I know that this over saturation of information causes stress and overwhelm.

There are more factors I could talk about in this very important battle to “stop the rot” in human attention, but I do not have the word count in this edition.

So, your homework is to do a little of your own research into the above (using concentration and focus!) and then next time, I will share my findings on what we can do about it.

It is a difficult path ahead, but it is a fight worth fighting, and one I am very passionate about.

40 SKBramhall & Woodford - May/June 2024
Mindset Advice

Bankswood Treecare is a friendly run business based in the SK area.

We have £5 million public liability insurance and all our work is carried in accordance with guidelines set out in the British Standards for tree works (BS3998).

We follow strict guidelines in relation to birds nesting and roosting or hibernating bats as well as other wildlife, we will liaise with the appropriate authorities if the need arises.

You can be sure that we will not harm or damage the surroundings as we work with complete respect for the environment and the trees themselves. Contact an experienced tree surgeon if you want a quotation, consultation or even advice.

We have the expertise you need. We have extensive knowledge about how to care for trees. If you want a reliable tree surgeon we are ready to help you. We have excellent service at affordable prices.

For a free quote or consultation, or even if you are just looking for some advice on any aspect of our tree surgery services: n Tree Felling - Free Estimates n Small & Large Conifers n

SKBramhall & Woodford - May/June 2024 41 GUTTER, SOFFIT & FASCIA Attention to Detail Guaranteed ROOF REPLACEMENTS Efficient. Reliable. Exceptional Service FELT, EPDM & FIBRE GLASS ROOFS LONG WARRANTIES Guaranteed peace of mind exCellenCe Tel: 0161 459 9676
www.sk8roofing.co.uk
Email: sk8roofing@outlook.com
Thinning
Stump
Hedge Trimming
Shaping
All
Removed n Tree Assessments and Reports Rhodeswood Cottage,
Glossop Derbyshire, SK13 1HT Call
on 01457 863 587 or 07823 337053
gareth.treecare@yahoo.com • www.bankswood-treecare.co.uk Office Hours: Mon-Sun 7:00AM - 19:00PM Fast Response All Work Guaranteed Highly Experienced Clear Pricing Rightio Electricians We work in Bramhall, Woodford and all surrounding areas. OAP Discount Speak to us today! OAP Discount Speak to us today! 1-2 Hour Response time! 1-2 Hour Response time! 12 Month guarantee on labour! 12 Month guarantee on labour! 0161 958 6793 OUR SERVICES Full / Part Rewires Sockets & Lighting Showers Installed Fully Qualified Electrician Fuse Board Changes Inspection & Testing Landlord safety Certs EICR
Crown Reduction &
n
Grinding n
&
n
Waste
Tintwistle,
us
Email:

SPRING IS HERE!

Spring has arrived, the blossom is out, birds are singing, trees are bursting with bright fresh Green of new leaves. Early butterflies like the Peacock and Comma are out sunning themselves .Bees are buzzing amongst the early nectar rich flowers like bluebells and dandelions.Wildlife is busy thinking about new life. Beautiful and fascinating.

Yet all is not well in the natural world. Nature around us has been degraded by human activities.(1)

Bramhalls Green Network (BGN) is determined to do all we can to support and restore nature. BGN wants to encourage local groups,schools and residents to prioritise 30% of their land or gardens to nature. This mirrors the Biodiversity COP 2023 where governments agreed to restore 30% of land and sea to nature.

Uk Urban and suburban areas with their green spaces and 24 million gardens have such an important role to play in helping to provide corridors of safe spaces for wildlife and nature. Where no pesticides are used, habitats and plants that support wildlife are allowed to flourish.

We know many gardeners are beginning to garden with wildlife in mind. Sustainable Bramhall, part of BGN, has produced a leaflet with lots of ideas on how to garden for wildlife,see the QR link to the leaflet. Or look on RSPB, Cheshire Wildlife Trust or RHS website about how to garden for wildlife.

We would like people to spark conversations about what’s going on by displaying the ‘Bramhalls 30% for Nature’ logo in their porch window.

Ladybrook Primary School, and 2nd Bramhall Scout group have already agreed to to be part of ‘Bramhall’s 30% for nature’

We have this wonderful opportunity to make a difference for our futures and nature. We hope many of you will join in with your gardens, to help protect the nature we love for the people we love.

1.https://stateofnature.org.uk/ Facebook: Bramhall’s Green Network, or Sustainable Bramhall. Email: ecobramhall@gmail.com

42 SKBramhall & Woodford - May/June 2024
Community news

Out of Hours Appointments

Lockdowns have really proven how flexible we can be Whilst our staff are working from home and juggling responsibilities, we recognise that you may be doing this too and the usual 9-5 does not work for you. If you would prefer an out of hours telephone or video appointment, please do get in touch with us.

Face to Face Appointments

As restrictions begin to be lifted, we are now able to welcome you back to our offices for face to face appointments. These appointments do need to be pre-booked so that we can manage numbers within the office and keep everyone safe.

What we do

We provide advice and assistance in the following areas:

Residential Property

Commercial Property

Corporate & Commercial

Dispute Resolution

Family Law

Personal Injury

Medical Negligence

Wills and Probate

10% Discount for Keyworkers

We are offering a 10% discount on all legal fees for keyworkers. This offer is open to new and existing clients on all new instructions.

SKBramhall & Woodford - May/June 2024 43
Pepper House 1 Pepper Road Hazel Grove SK7 5DP Next to Let Loose!
Your Local Solicitors

NATURAL BUG REPELLENTS WITH ESSENTIAL OILS

With the arrival of the warmer weather, it’s great to get outside and take part in outdoor activities, whether it’s Gardening, Hiking, Golf, Padel and with more sunshine even outdoor Yoga.

We all know that citronella is used in candles and other burners to keep the bugs at bay when we are outside BBQing but lots of us still get bitten. But did you know there are a wealth of other essential oils that work well at keeping those biting insects away, as an alternative to Deet products we can use natural, wonderful smelling essential oils blended together in a body spray to help stop those bites.

As a clinical aromatherapist I make bespoke products with essential oils and ensure the blend is effective and with a divine aroma.

My favourite insect repellent blend uses Geranium and Tea Tree hydrosols as the base with a vegetable dispersant as essential oils are hydrophobic (don’t like water) and I add a Lemon Eucalyptus, Peppermint, of course Lemongrass with a hint of Cedarwood and some extra Geranium oil too. It’s a beautiful scent to wear on holiday for the evening as well.

Essential oils that are effective for repelling mosquitoes, ticks and other pests, include the Eucalyptuses, Peppermint, Lavender, Lemon, Lemongrass, Geranium, Cedarwood, Clove and Thyme.

You could choose a few of these oils (ones you love the smell of) and add them to a burner outside or in your conservatory if the doors are open and insects are incoming. One of the best ways to use essential oils during the summer months as an insect repellent is in a spray, these can be made to order for you by myself Justine Jackson.

Do remember it’s always important when using essential oils not to use them neat on the skin, never to use them internally and to keep them away from children and pets.

Any questions do get in touch, take care

Justine Jackson

44 SKBramhall & Woodford - May/June 2024 HealtH & Wellbeing
BA(Hons) MIFPA
Clinical Aromatherapist

enquiries@bramhallcarpetcleaners.co.uk

bramhallcarpetcleaners.co.uk

enquiries@bramhallcarpetcleaners.co.uk

Breathe Life

Breathe Life Back into Your

Free & honest appraisals

All carpets deodorized

Tel: 0161 440 7955 Mob: 07769

Ring Jason Pagnam (formally of Bramhall Dry Cleaners)

Your Local & Reliable Carpet Cleaner

Free & honest appraisals

All carpets deodorized

Jason

Superfast drying times

Clean carpets at a time that suits you (evenings & weekends available

Cleaner

SKBramhall & Woodford - May/June 2024 45 OAP Discount 1-2 Hour 12 Month Speak to us today! Response time! guarantee on labour! OAP Discount 1-2 Hour Rightio Plumbers 650921 Fast Response All Work Guaranteed Highly Experienced Clear Pricing We work in Bramhall, Woodford and all surrounding areas. 12 Month Speak to us today! Response time! guarantee on labour! 0161 958 6792 OUR SERVICES Boiler Breakdowns Radiators & Pipes Tanks & Cylinders Boiler Servicing Toilets & Taps Leaks & Bursts Showers Clearing Blockages Pipework Replacement Gas Safe Certified Beautifully Clean Carpets for your Beautiful Home Mob: 07769 687 462 textile cleaning business Ring Jason Pagnam (formally of Bramhall Dry Cleaners) bramhallcarpetcleaners.co.uk enquiries@bramhallcarpetcleaners.co.uk Breathe Life Back into Your Carpets Tel: 0161 440 7955 Mob: 07769 687 462 Free & honest
All carpets
Superfast drying times Clean carpets at a time
you (evenings & weekends available)
Bramhall
Life Back into
Carpets
Mob: 07769 687 462
& honest
carpets
Superfast
appraisals
deodorized
that suits
Ring Jason Pagnam (formally of
Dry Cleaners) Your Local & Reliable Carpet Cleaner Breathe
Your
Tel: 0161 440 7955
Free
appraisals All
deodorized
drying times Clean carpets at a time that suits you (evenings & weekends available)
Back into Your Tel: 0161 440 7955 Mob: 07769 Free & honest appraisals
drying
All carpets deodorized Superfast
times Clean carpets at a time that suits you (evenings & weekends available)
textile cleaning
Ring
Pagnam (formally of Your Local & Reliable Carpet
drying times
carpets at a time that suits you (evenings & weekends available)
of Your Local & Reliable Carpet Cleaner textile cleaning bramhallcarpetcleaners.co.uk enquiries@bramhallcarpetcleaners.co.uk Breathe Life Back into Your Tel: 0161 440 7955 Mob: 07769 Free & honest appraisals All carpets deodorized Superfast drying times Clean carpets at a time that suits you (evenings & weekends available) Ring Jason Pagnam (formally of Bramhall Dry Your Local & Reliable Carpet Cleaner Breathe Life Tel: 0161 440 7955 Free & honest appraisals All carpets deodorized Superfast drying times Clean carpets at a time suits you (evenings & weekends
Jason Pagnam Your Local Ring Jason Pagnam (formerly of Bramhall Dry Cleaners) Your Local & Reliable Carpet Cleaner www.bramhallcarpetcleaners.co.uk t: 0161 612 5782 m: 07740 396358 • FREE Estimates • Domestic & Commercial • Fully Insured & Qualified • Dust Free Sanding • Hand Painted Kitchens & Furniture • Over 30 Years Experience INTERIOR WORK UNDERTAKEN e: jasonredwood@ntlworld.com Your local SK decorator www.jasonredwood.co.uk
Superfast
Clean
Ring Jason Pagnam (formally
Ring

Useful Contacts

Stockport NHS Foundation Trust’s Stepping Hill

Tel 0161 483 1010

www.stockport.nhs.uk

Stepping Hill Hospital, Poplar Grove, Hazel Grove, Stockport SK2 7JE.

Stockport Council

Tel 0161 480 4949

www.stockport.gov.uk

Stockport Council, Town Hall, Edward Street, Stockport, SK1 3XE

Greater Manchester Police

For non-emergency calls please contact Stockport West on 0161 856 9770 stockport.westnpt@gmp. police.uk.

Community Groups

Bramhall Rotary

www.bwrotary.org

Woodford & Bramhall Branch Royal British Legion

WoodfordBramhall.Chairman@RBL.Community

Bramhall Golf Club

www.bramhallgolfclub.co.uk

0161 439 6092

Bramhall University of the Third Age (U3A)

www.bramhallu3a.org.uk

0161 440 0447

Community Website

www.bramhallweb.co.uk

www.ilovebramhall.com

Local MP

Mary Robinson MP

www.mary-robinson.org.uk

Local Councillors

Bramhall North

Mark Jones (Lib. Dem)

07917 022349

cllr.mark.jones@stockport.gov.uk

Suzanne Wyatt

0161 485 5313

cllr.suzanne.wyatt@stockport.gov.uk

Alex Wynne (Lib. Dem) 07467 627648

cllr.alex.wynne@stockport.gov.uk

Bramhall South & Woodford

Dallas Jones (Lib. Dem)

07840 470838

cllr.dallas.jones@stockport.gov.uk

Jeremy Meal (Lib. Dem)

07503 580767

cllr.jeremy.meal@stockport.gov.uk

Ian Powney (Lib. Dem)

07715 278202

cllr.ian.powney@stockport.gov.uk

Around Bramhall

Bramhall Library

Bramhall Lane South, Bramhall SK7 2DU

Tel: 0845 644 4307

email: mailto: Bram.library@stockport.gov.uk

Opening Hours

Monday - 10am - 5pm, Tuesday - 9am - 6pm

Wednesday - CLOSED, Thursday - 9am - 7pm

Friday 9am - 5pm, Saturday - 9am - 4pm

Bramhall Post Office

Maple Road, Bramhall

T: 016 439 4100

Opening Hours

Monday - 9.00-5.30pm, Tuesday - 9.00-5.30pm

Wednesday - 9.00-5.30pm, Thursday - 9.00-5.30pm

Friday - 9.00-5.30pm, Saturday - 9.00-12.00pm

Bramhall Health Centre

66 Bramhall Lane South, Bramhall, SK7 2DY

Telephone: 0161 983 5850

Surgery Opening Hours

The surgery is open during the following times (except Bank Holidays):

Monday-Friday 8.30am - 6pm

46 | SKBramhall & Woodford - May/June 2024

Making our home your home

Situated close to the village centre and benefiting from excellent public transport links, Hillbrook Grange

Residential Care Home is a place where you can enjoy full and independent living with the benefit of care and companionship all around you. Our ethos is about creating a compassionate caring and supportive environment, and a fresh lively atmosphere.

We have recently refurbished 5 rooms for respite care which we offer on a weekly basis.

Founded in 1952, Hillbrook Grange is run as a not-for-profit registered charity and is managed by a small team. The team has two key objectives: delivering high quality, long stay, holiday, and respite care in a friendly and homely environment, and provision of this care at cost effective, competitive rates.

To discuss your care needs with a senior member of the Hillbrook team please contact us:

SKBramhall & Woodford - May/June 2024 47
Ack Lane East, Bramhall, Cheshire SK7 2BY Tel: 0161 439 7377 administration@hillbrookgrange.co.uk
NEW ROOMS AVAILABLE

KNEE PAIN AND HOW PILATES CAN HELP

Your knee joints are one of the most important joints in your body. They help you to carry out simple day to day activities, such as walking, going up and down the stairs and physical exercise. Knee pain is one of the most common musculoskeletal complaints and can have an big impact on your quality of life if it’s left untreated. A number of muscle groups help to keep the knees working well, but when one muscle gets injured, or it loses strength, it can throw the whole system around your knees out of balance meaning you’re more likely to suffer pain or injury.

This is why Pilates exercises for knee pain are ideal. They are low impact meaning they are easy on your joints and you are less likely to aggravate an injury or cause more pain. Pilates, can help to improve and correct alignment to strengthen the core to relieve pressure on the knee joints.

What are the causes of knee pain?

n Helps with muscle control and strength of lower limb muscles to stabilise the knee joint

n The smooth movements helps to improve range of movement in stiff joints and can help with pain relief

n Improves core control to aid whole body position

n Promotes balance and joint awareness

n Offloads the area by activating other muscles No matter the knee injury sustained, it is common to lose glute and quad strength as your body attempts to protect the area around the knee. Therefore, Pilates is great for rehabilitation as most exercises have a focus on glute and quad activation and strength.

Knee pain can happen for lots of reasons and can often be a symptom of tendon problems, muscle problems or the result of a traumatic injury. However, it may also be a sign of an underlying condition such as osteoarthritis if there is no clear injury.

If you are unsure why you have pain in your knee, always speak to your GP who can determine what is causing the discomfort.

Is Pilates good for knee pain?

The simple answer is yes, Pilates is good for knee pain! There are many benefits to Pilates for knee pain, the main being the fact it is low impact meaning it’s much gentler on your joints so should not aggravate your pain.

Benefits of Pilates for knee pain:

n Works on posture and alignment

n Strengthens muscles and increases joint movement

Whether you have knee problems or not, everyone should be mindful during any workout that the knees should aim to stay roughly in line with the second and third toes.

Once you have a diagnosis and reason for your pain, rather than saying you can’t do Pilates because of knee pain, you should actually participate in Pilates exercises to correct your movements and offload the joint.

Pilates is for life and can be life changing, so join a Body Control Pilates class now!

To find a qualified teacher, visit the Body Control Pilates website Jules Hardman Body Control Pilates Teacher www.jules-pilatesalderleyedge.co.uk

48 SKBramhall & Woodford - May/June 2024
SKBramhall & Woodford - May/June 2024 49
50 SKBramhall & Woodford - May/June 2024 SKBramhall & Woodford enjoys fantastic support from local businesses. If you do contact someone as result of reading about them in SKBramhall & Woodford, please mention this. Thank you. If you would like to advertise your business in SKBramhall & Woodford, please contact Simon Hemsley on 07952 005518 or e-mail simon@skmagazines.co.uk. Next issue: July / August 2024 Deadline: 10th June THE INDEPENDENT MAGAZINE FOR SK7 COMMUNITY Issue 86 May / June 2024 Local History Events Community News Local Businesses Features www.skmagazines.co.uk SK Bramhall & Woodford GA K P A G E Accountancy People 29 Aspire Ballet Lessons 7 Audi Doctor – Garage 37 Avery Home Improvements 27 Bankswood Tree Care 41 Bathroom Projects 23 Bevan & Co Accountants 49 Bramhall Carpet Cleaners 45 Bramhall Osteopathic Practice 39 Bramhall Lane Lawn Tennis Club 11 Care UK Care Homes 31 Caroline Lane Valuation Services 19 Carrington Garage Doors 19 Cheadle Hulme Dental & Cosmetic 51 Cloudy 2 Clear Windows 13 Connect Care Services 11 Crafted Shutters 7 Croft Dental & Implants 17 Danielle Cornford Beauty Therapy 15 Electrician – Rightio 41 Green Bank Tree Care 39 Harold Stock & Co 43 Hillbrook Grange 47 House of Hearing 2 Jason Redwood Decorator 45 Jaxon Rose Kitchens 24 Johnston Joinery 35 JR Tree Services 7 Minahan Hirst & Co 33 Moore Homes back Mounteney Solicitors 24 Mr Soot Chimney Sweeper 19 New Look Kitchen Makeover 26 Pave & Tar – Driveways 35 Plumber – Rightio 45 Prydderch Financial Planning 47 Rise Gym & Classes 9 SK8 Roofing 41 SMC Property Improvements 50 SR Computers 35 Steamy Windows 39 Wards Shoe Shop 21 Window Repair Centre 4

Porcelain veneers are ultra-thin, shell-like layers of dental porcelain that are placed directly on the outside of the existing teeth. In order to apply the veneer, a tiny amount of the tooth’s surface is removed (usually less than 1mm) so that the veneer sits flush with the rest of the teeth. This not only allows for better aesthetics but also helps the natural function of the tooth.

Minimal preparation veneers are a great treatment for anyone who is discontent with their smile, and looking for a long-term solution that requires very little maintenance. It is also a great treatment for someone who wants a straighter and more even smile without having to wear braces. As the treatment requires very minimal preparation, there is virtually no damage to the patient’s natural teeth unlike you see in the renowned ‘Turkey Teeth’ smile makeovers.

In this particular smile makeover, the patient was unhappy with her old, discoloured veneers and wanted to replace them with fresh ones. We fitted twelve veneers on her upper arch, which has given her a beautifully balanced, brighter natural looking smile.

If you would like to know more about minimal prep porcelain veneers, or if you would like to explore other treatments we offer, then call us on 0161-486-0743 and book in for your complementary consultation at our multi-award winning, state of the art dental clinic today.

Smile Makeover Using Minimal Prep Porcelain Veneers

Cheadle Hulme Dental & Cosmetics, 20a Station Road, Cheadle Hulme, SK8 7AB
& Cosmetics, 20a Station Road, Cheadle Hulme, SK8 7AB SCAN HERE TO TAKE A FLYING TOUR OF OUR PRACTICE BEFORE BEFORE AFTER AFTER SCAN HERE TO WATCH A PATIENT’S REVIEW OF THIS TREATMENT BEFORE AFTER BEFORE AFTER
Cheadle Hulme Dental
estate agents and letting agents achieve the best rent navigate changing lettings legislation secure your lets with professional tenant referencing professional inventory on move-in and move-out letting with moore homes ...you’re in the pink! estate agents and letting agents 34 Bramhall Lane South Bramhall SK7 1AH 0161 440 8988 bramhall@moorehomes.co.uk

Turn static files into dynamic content formats.

Create a flipbook
Issuu converts static files into: digital portfolios, online yearbooks, online catalogs, digital photo albums and more. Sign up and create your flipbook.
SK Bramhall & Woodford May 2024 by SE Magazines - Issuu