Skip to main content

CU_26_1

Page 1


CZECH UROLOGY

Časopis České urologické společnosti ČLS JEP

Videa z roboticky asistovaných operací

Anderson-Hynesova pyeloplastika u dětí

Retrokavální ureter

Mikrovlnná ablace v terapii cT1 renálních karcinomů

30. ročník časopisu

Adéla Holčáková

Když guidelines nestačí 7

Tomáš Büchler

Verifikace ischemie ledviny při selektivním klampování větve renální tepny

při robotické resekci tumoru ledviny pomocí ICG a NIR zobrazení – video

Verification of renal ischemia during selective clamping of the renal artery branch during robot-assisted resection of a renal tumor using ICG and NIR imaging – video

Milan Hora, Adriana Bartoš Veselá, Ivan Trávníček, Petr Stránský jr., Dominika Šiková, Jitka Voráčková, Tomáš Ürge, Jiří Ferda, Jan Pernický, Marián Švajdler, Kristýna Pivovarčíková

Robotem asistovaná enukleace prostaty – alternativa transvezikální prostatektomie pro výrazně zvětšenou prostatu

Robot-assisted simple prostatectomy – an alternative to transvesical prostatectomy for significantly enlarged prostate

Miloš Broďák, Petra Koňaříková, Václav Krejčí

Roboticky asistovaná transvezikální prostatektomie – video

Robot-assisted transvesical prostatectomy – video

Martin Fila, Miroslav Záleský, Jiří Heráček

9

11

14

Roboticky asistovaná nefroureterektomie (RA-NUE) – video 16

Robot-assisted nephroureterectomy (RA-NUE) – video

Milan Hora, Tomáš Ürge, Adriena Bartoš Veselá, Petr Stránský jr., Dominika Šiková, Tomáš Pitra, Hana Sedláčková, Petr Stránský, Ivan Trávníček, Blanka Drápelová, Jitka Voráčková, Jiří Ferda, Jan Pernický, Kristýna Pivovarčíková, Ondřej Fiala

PŮVODNÍ PRÁCE

Retrospektivní unicentrická studie mikrovlnné ablace v terapii cT1 renálních karcinomů

Retrospective single centre study of microwave ablation in the treatment of cT1 renal cell carcinomas

Jan Hnátek, Jakub Horňák, Martin Mašek, Jan Hrbáček

Roboticky asistovaná Anderson-Hynesova pyeloplastika pro obstrukci pyeloureterální junkce u dětí

Robot-assisted Anderson-Hynes pyeloplasty for ureteropelvic junction obstruction in children

Zuzana Študentová, Vladimír Študent jr., Jan Šarapatka, Oldřich Šmakal

KAZUISTIKA

Kombinace systémové a chirurgické léčby u pacienta s primárně inoperabilním renálním karcinomem podkovovité ledviny: význam multioborové spolupráce – aktualizované výsledky 3letého sledování

Combination of systemic and surgical treatment in a patient with primarily inoperable renal cell carcinoma in a horseshoe kidney: the importance of multidisciplinary collaboration – updated results of 3-year follow-up

Jiří Herman, Vladimír Študent jr., Aleš Vidlář, Anežka Zemánková, Igor Hartmann

Z UROLOGICKÉ PRAXE V OBRAZECH

Retrokavální ureter

Retrocaval ureter

Alexandra Kucserová, Hynek Skoták, Milan Král, Daniela Tomášková, Zbyněk Tüdös

INFORMACE

Zpráva z 2. vinohradského kazuistického dne

Report from the 2nd Vinohrady case report day

Alexandra Gregušová

Zpráva z uroonkologické sekce konference PragueONCO 2026

Report from the urooncology section of the PragueONCO 2026 conference

Martin Matějů , Stanislav Hloušek , Viktor Soukup

19

24

30

35

37

39

Pokyny pro autory 43

30. ročník časopisu

Vážené čtenářky, vážení čtenáři, časopis Česká urologie, oficiální časopis České urologické společnosti ČLS JEP (ČUS), letos vstupuje do svého jubilejního 30. ročníku. Dovolte nám proto za redakci a nakladatelství Care Comm alespoň pár úvodních slov.

V průběhu uplynulých tří dekád prošel časopis několika změnami, které se týkaly nejen počtu vydaných čísel v ročníku, ale i postupné obměny redakční rady, šéfredaktora, nakladatele i samotného zaměření časopisu. Kromě původních a přehledových prací dnes redakčním systémem procházejí kazuistiky a příspěvky z urologické praxe v obrazech a nespornou výhodou našeho online periodika je možnost publikovat video. Mimo odborné texty jsou součástí téměř každého čísla také osobní zprávy a zprávy z konaných akcí, do redakce přijímáme mimo jiné dopisy redakci a recenze knih. Supplementa ve formě abstrakt z konferencí vycházejí jako trvalá součást periodika od roku 2011.

Od začátku spolupráce nakladatelství Care Comm a vydavatele ČUS, která se datuje od roku 2025, dostal časopis novou grafiku, kterou pro letošní ročník doplňujeme o symbolickou třicítku na obálce. S výkonnou redakční radou jsme zavedli novou formu sdělení – Lékový profil a zrealizovali jeho reprint. Dále proběhlo několik změn na webu www.czechurol.cz – do

levého sloupce byl přidán index autorů, který umožňuje vyhledávání článků podle publikujícího autora a možnost selektování nejnovějších článků dle kategorií. Natočili jsme dva rozhovory – v rámci 72. konference ČUS v Hradci Králové přímo se šéfredaktorem prof. Milanem Horou na téma současnosti a budoucnosti časopisu a s Mgr. Kateřinou Hejcmanovou z Národního screeningového centra na téma screeningu karcinomu prostaty. Jsme moc rádi, že jsme toho všeho mohli být součástí.

Časopisu přejeme hlavně hodně nadšených čtenářů, publikujících autorů, pečlivých recenzentů a v neposlední řadě spoustu kvalitních článků. Právě pro tyto účely nám slouží nově aktualizované Pokyny pro autory, které naleznete na webových stánkách časopisu i jako součást tohoto čísla.

Přejeme vám krásné jarní dny a těšíme se na spolupráci.

Za redakci časopisu Česká urologie

Mgr. Adéla Holčáková redaktorka www.czechurol.cz adela.holcakova@carecomm.cz www.carecomm.cz

72. České urologické společnosti

72. VÝROČNÍ KONFERENCE

České urologické

společnosti

ČLS JEP

Clarion Congress Hotel, Ostrava 14. – 16. ŘÍJNA 2026

Vážené kolegyně, vážení kolegové, dovolte mi, abych Vás jménem organizátorů pozval k účasti na 72. výroční konferenci České urologické společnosti ČLS JEP, která se uskuteční ve dnech 14.–16. října 2026 v Ostravě.

Tentokrát se sejdeme v hotelu Clarion, který poskytne kvalitní zázemí jak pro samotné jednání, tak pro doprovodnou výstavu. Jako každý rok se budeme snažit připravit především kvalitní odborný program zahrnující všechny segmenty našeho oboru. Vedle tradičních součástí konference, jako jsou bloky pódiových prezentací, edukační kurzy, vyzvané přednášky zahraničních hostů, přímé přenosy z operačních sálů a kurz Evropské školy urologie, bychom letos rádi věnovali větší prostor diskuzím ve formě kulatých stolů k aktuálním tématům. Nebudou chybět ani oblíbené „hands-on“ tréningy, umožňující zejména mladším kolegům zlepšit své praktické dovednosti v základech robotické operativy, laparoskopii a endoskopii. Těšíme se rovněž na setkání s významnými zahraničními hosty, jejichž přítomnost na našem kongresu odráží prestiž, jíž se česká urologie těší v mezinárodním měřítku. Obzvlášť milé bude určitě i tradiční setkání s kolegy a přáteli ze Slovenska.

72. výroční konference

Věřím, že si vedle odborných aktivit najdete během konference čas i na neformální výměnu zkušeností a přátelská setkání.

I o tom naše konference vždy byla a doufejme, že i vždy bude.

České urologické společnosti ČLS JEP

Těším se na viděnou na podzim v Ostravě

Clarion Congress Hotel, Ostrava

MUDr. Michal Grepl, Ph.D.

Prezident konference

Když guidelines nestačí

Vážené čtenářky, vážení čtenáři, uroonkologie se v posledních letech ocitla v paradoxní situaci. Nikdy jsme neměli k dispozici tolik doporučení, algoritmů a léčebných schémat – a přesto se v klinické praxi stále častěji setkáváme s pacienty, kteří do těchto schémat nezapadají. Guidelines se staly detailnějšími než samotný pacient.

Klinické studie, na nichž jsou doporučení postavena, pracují s ideálním modelem nemocného – relativně mladého, bez významných komorbidit, s dobře definovaným onemocněním a jasně měřitelnými cílovými parametry. Reálný pacient v ambulanci však bývá jiný – starší, polymorbidní, s limitovanou tolerancí léčby, s biologicky heterogenním nádorem a často s prioritami, které nejsou v guidelines vůbec zmíněny. Rozpor mezi „evidence-based“ medicínou a „patient-based“ realitou se tak prohlubuje.

Moderní uroonkologie navíc vstoupila do éry algoritmů. Rozhodování je stále častěji strukturováno do větví, linií a sekvencí léčby, které mají zajistit optimální postup pro většinu pacientů. Tento přístup je nepochybně v mnohém přínosný – chrání před nahodilým rozhodováním a přehnanou individualizací léčby (nadměrnou kreativitou, tzv. lidovou tvořivostí). Zároveň však nese riziko, že klinický úsudek bude nahrazen mechanickým následováním doporučení. V extrémním případě se lékař stává vykonavatelem algoritmu, nikoliv jeho kritickým interpretem.

Jedním z nejviditelnějších projevů krize klinického rozhodování je fenomén paralelních doporučení – situace, kdy pro jednu klinickou situaci existuje několik rovnocenných, často překrývajících se terapeutických možností. Typickým příkladem je léčba metastatického hormonálně senzitivního karcinomu prostaty (mHSPC – metastatic hormonal-sensitive prostate cancer). V aktuálních doporučeních se vedle sebe objevují kombinace androgen deprivační terapie (ADT)

s abirateronem, apalutamidem či enzalutamidem, tripletní terapie s docetaxelem a darolutamidem či abirateronem, samostatný docetaxel u vybraných pacientů, individuální přístup u oligometastatického onemocnění nebo samotná ADT u pacientů se zhoršeným výkonnostním stavem. Navíc jsou tato doporučení dále precizována a strukturována podle rizika a objemu metastatického postižení (existují dva typy hodnocení – high-volume a high-risk – více o nich níže), biologických charakteristik nádoru i klinického profilu pacienta, což vede k paradoxní situaci, v níž se algoritmus rozhodování stává komplexnější než realita klinické praxe. Novou vrstvou nejistoty v klinickém rozhodování je terminologický a konceptuální chaos kolem pojmů „high-risk“ a „high-volume“ u mHSPC. Tyto kategorie vznikly v různých klinických studiích, s odlišnými definicemi a odlišnými cíli, a přesto dnes slouží jako základ pro terapeutická doporučení a považují se často za vzájemně zaměnitelné (což může a nemusí být pravda). V praxi se ale setkáváme se situací, kdy pacient splňuje kritéria vysokého rizika, ale nikoliv vysokého objemu metastatického postižení – nebo naopak – a každý z těchto parametrů (teoreticky) vede k jinému léčebnému algoritmu. Výsledkem není jasnější stratifikace pacientů, ale fragmentace rozhodování. Pojmy, které měly zjednodušit klinickou realitu, ji paradoxně komplikují. Lékař je nucen interpretovat nejen biologii nádoru, ale i historický kontext studií, z nichž jednotlivé definice vycházejí.

Lékař tak nestojí před otázkou „jak léčit“, ale „podle kterého doporučení se rozhodnout“. V této pluralitě algoritmů se ztrácí jednoduchá logika léčby a roste význam klinického úsudku – schopnosti integrovat guidelines, biologii nádoru a individuální charakteristiky a preference pacienta do jednoho smysluplného rozhodnutí. Protože nakonec se musíme nějak rozhodnout.

Urologové a onkologové se dnes musí pohybovat na tenké hranici mezi respektováním guidelines a individuálním

přístupem k pacientovi. Každé rozhodnutí je kompromisem mezi statistickou pravděpodobností a konkrétním lidským příběhem. Zkušenost, intuice a schopnost interpretovat data v kontextu konkrétního nemocného tak nabývají na významu. Tedy čím více máme doporučení, tím více potřebujeme zkušeností.

Budoucnost uroonkologie jistě nebude spočívat v dokonalých algoritmech, ale v jejich moudrém používání. Pokud se nám nepodaří udržet klinické rozhodování jako tvůrčí, odpovědný a kritický proces, hrozí, že se moderní medicína promění v automatizovanou proceduru – přesnou, ale

slepou k individualitě pacienta. A tedy již ani nebude potřeba lékaře, pacient se s výpisem z umělé inteligence rovnou dostaví k aplikaci terapie.

prof. MUDr. Tomáš Büchler, Ph.D. Onkologická klinika

2. LF UK a FN Motol a Homolka V Úvalu 84 150 00 Praha 5 tomas.buchler@fnmotol.cz

Verifikace ischemie ledviny při selektivním klampování větve renální

tepny při

robotické resekci tumoru ledviny

pomocí ICG a NIR zobrazení –

video

Verification of renal ischemia during selective clamping of the renal artery branch during robot-assisted resection of a renal tumor using ICG and NIR imaging – video

Souhrn: Cíl: Verifikace efektivity ischemie ledviny při klampování renální arterie při miniinvazivní resekci tumoru ledviny je možná, dle vzhledu ledviny, pomocí dopplerovské ultrasonografie a pomocí podání indocyaninové zeleně (ICG – indocyanine green) s aplikací úzkého světelného spektra – NIR (near infrared) zobrazení/fluorescence. U většiny případů si vystačíme s prvními dvěma metodami, ICG užíváme velmi limitovaně jen při selektování klampování mnohočetných tepen či větví renální tepny. Video ukazuje využití ICG při robotické resekci (RR) tumoru ledviny při duplexní renální arterii. Soubor: Technologii ICG s NIR zobrazením máme k dispozici od července 2018. V období od července 2018 do května 2020 byla použita u 19 (15,2 %) ze 125 laparoskopických resekcí – vybavení Olympus Visera Elite CLV-S200-IR. U RR byla využita v období od června 2020 do října 2025 u 9 (2,4 %) z 340 případů. Při RR užíváme technologii FireFly™ systému da Vinci Xi. Technika: Po zaklampování renální arterie (většinou selektivní klampování jen některé z větví) je intravenózně aplikováno 1,25 mg ICG (Verdye®) a zobrazení je přepnuto z klasického módu do fluorescenčního zobrazení NIR (FireFly™). Video zobrazuje popsanou metodiku při selektivním klampování duplexní renální arterie při RR. Výsledky: U všech 28 případů metodika jasně zobrazila ischemickou část ledviny. Závěr: K verifikaci efektivity ischemie při klampování renální arterie či jejích větví užíváme většinou dopplerovské zobrazení. Ve vysoce selektovaných případech (zejména mnohočetné tepny či klampování jen větve arterie) je možno využít podání ICG s NIR zobrazením. Klíčová slova: tumor ledviny – resekce – laparoskopie – robot – ICG

Summary: Objective: Verification of renal ischemia during renal artery clamping in minimally invasive renal tumor resection is possible based on the appearance of the kidney, using Doppler ultrasonography and indocyanine green (ICG) administration with narrow light spectrum application (NIR (near infrared) imaging/fluorescence). In most cases, the first two methods are sufficient; we use ICG very sparingly, only when selecting clamping of multiple arteries or branches of the renal artery. The video shows the use of ICG in robotic resection (RR) of a kidney tumor with a duplex renal artery. Abstract: ICG with NIR imaging technology has been available since July 2018. Between July 2018 and May 2020, it was used in 19 (15.2%) of 125 laparoscopic resections – Olympus Visera Elite CLV-S200-IR equipment. For RR, it was used in 9 (2.4%) out of 340 cases between June 2020 and October 2025. For RR, we use the

Milan Hora1

Adriana Bartoš Veselá1

Ivan Trávníček1

Petr Stránský jr.1

Dominika Šiková1

Jitka Voráčková1

Tomáš Ürge1

Jiří Ferda2

Jan Pernický2

Marián Švajdler3

Kristýna Pivovarčíková3

1 Urologická klinika

LF UK a FN Plzeň

2 Klinika zobrazovacích metod

LF UK a FN Plzeň

3 Šiklův ústav patologie,

LF UK a FN Plzeň

prof. MUDr. Milan Hora, PhD., MBA

Urologická klinika

LF UK a FN Plzeň

Edvarda Beneše 1128/13

301 00 Plzeň horam@fnplzen.cz

Doručeno: 2. 11. 2025

Přijato: 18. 11. 2025

FireFly™ technology of the da Vinci Xi system. Technique: After clamping the renal artery (usually selective clamping of only some of the branches), 1.25 mg of ICG (Verdye®) is administered intravenously and the display is switched from classic mode to NIR fluorescence imaging (FireFly™). The video shows the described methodology for selective clamping of the duplex renal artery during RR. Results: In all 28 cases, the methodology clearly showed the ischemic part of the kidney. Conclusion: We usually use Doppler imaging to verify the effectiveness of ischemia during clamping of the renal artery or its branches. In highly selected cases (especially multiple arteries or clamping of only one branch of the artery), ICG administration with NIR imaging can be used.

Key words: kidney tumor – resection – laparoscopy – robot – ICG

Střet zájmů: Autoři prohlašují, že nemají žádný konflikt zájmů.

Prohlášení o podpoře: Karlova univerzita Praha, Lékařská fakulta Plzeň (Cooperatio Program, SURG), Institucionální výzkum Fakultní nemocnice Plzeň (FNPl 00669806).

Literatura

1. Kočárek J, Chmelík F, Heráček J et al. Selektivní klamping při roboticky asistované resekci ledviny. Ces Urol 2016; 20(4): 257–258.

2. Pacigová D, Gaduš L, Heráček J et al. Využití indocyaninové zeleně při robotických výkonech v urologii. Ces Urol 2018; 22(2): 99–105. doi: 10.48095/ cccu2018015.

3. Hora M, Trávníček I, Stránský P et al. Roboticky asistovaná resekce tumoru ledviny – naše současná nejčastější technika – video. Ces Urol 2025; 29(1): 9–11. doi: 10.48095/cccu2025004.

4. Panunzio A, Orlando R, Greco F et al. The role of near-infrared fluorescence with indocyanine green in robot-assisted partial nephrectomy: results from an updated systematic review and meta-analyses of controlled studies. Medicina (Kaunas) 2025; 61(10): 1735. doi: 10.3390/medicina61101735.

Robotem asistovaná enukleace prostaty – alternativa transvezikální prostatektomie pro výrazně zvětšenou prostatu

Robot-assisted simple prostatectomy – an alternative to transvesical prostatectomy for significantly enlarged prostate

Souhrn: Úvod: Prezentujeme inovovaný postup operační léčby výrazně zvětšené prostaty způsobující retenci moči. Velmi dobré dlouhodobé výsledky transvezikální prostatektomie nás vedly k hledání méně invazivní alternativy. V řadě zemí s vyspělými zdravotnickými systémy se stále více prosazuje robotem asistovaná prostá prostatektomie pro benigní hyperplazii prostaty. K osvojení této metody nás vedl přehledný operační postup a výrazně zkrácená pooperační rekonvalescence. Prezentujeme provedení robotické enukleace na přístroji da Vinci Xi multiport, který jsme převzali ze zahraničí. Kazuistika: Muž, 61 let, ve výborném výkonnostním stavu, bez závažnějších komorbidit, měl výrazně zvětšenou prostatu o velikosti 7 × 6 × 5,5 cm s endovezikální prominencí, měl refrakterní retenci moči, a to i přes podávanou kombinovanou farmakoterapii v maximální dávce. Před operací byla provedena magnetická rezonance, která prokázala zvětšenou benigní hyperplazii prostaty bez suspekce na karcinom prostaty. Podobně i vyšetření per rectum i opakovaný odběr prostatického specifického antigenu byl bez podezření na přítomnost karcinomu. Pacientovi byla navržena operační léčba –robotem asistovaná enukleace zvětšené prostaty, se kterou souhlasil. Operace byla provedena na robotickém operačním systému da Vinci Xi multiport. Porty byly umístěny nad pupkem podobně jako u radikální prostatektomie. Pacient byl v Trendelendburgově poloze a operační přístup byl intraperitoneální. Močový měchýř byl otevřen ve vrcholu podélným řezem. Na okraje incize byly nasazeny dočasné fixační stehy pro dostatečný přístup pro robotické nástroje a kameru. Byla lokalizována ureterální ústí, která jsou často blízko ke zvětšené prostatě, a pak byla zahájena enukleace. Nejprve se nůžkami odstřihne celá vrstva sliznice močového měchýře a pak se provede enukleace bělavé hyperplazie prostaty od chirurgického pouzdra. Krvácení je promptně stavěno koagulací. U části operací je možné odstranit celou zvětšenou prostatu najednou, někdy je nezbytné odstranění po lalocích. Dalším krokem je stažení sliznice přes lůžko enukleace a její fixace pokračujícím stehem. Vhodné je použít ostnatý steh (například V-Loc nebo podobné). Nakonec se zavádí cévka a ta se ponechává na 5–7 dnů. Od června 2024 do září 2026 bylo provedeno 24 operací. Medián délky operace byl 145 (90–220) min a odhadované krevní ztráty byly 220 (100–800) ml. Medián hmotnosti enukleované prostaty byl 89 (57–142) g. Nezaznamenali jsme žádnou závažnou perioperační nebo ranou komplikaci.

U tří pacientů bylo nutné pro vysoké postmikční reziduum dočasně zavést permanentní katetr. Po opětovném vytažení katetru se pouze u jednoho pacienta retence moči opakovala. U tří pacientů se společně s enukleací benigní hyperplazie prostaty resekoval také divertikl močového měchýře. Závěr: Robotická enukleace je vhodná alternativa otevřené operace pro

Miloš Broďák

Petra Koňaříková Václav Krejčí

Urologická klinika

LF UK a FN Hradec Králové

prof. MUDr. Miloš Broďák, Ph.D.

Urologická klinika

LF UK a FN Hradec Králové

Sokolská 581

500 05 Hradec Králové milos.brodak@fnhk.cz

Doručeno: 26. 11. 2025

Přijato: 5. 1. 2026

silně zvětšenou prostatu, zejména s velkým středním lalokem. Nevýhodou je vyšší cena operace. Výhodami jsou enukleace pod kontrolou zraku, možnost rychlé koagulace a zakrytí lůžka zdravou sliznicí, která vede ke snížení urgencí. Dalšími pozitivy jsou nižší krevní ztráty, bez nutnosti JIP v pooperačním průběhu, kratší hospitalizace a snazší ošetřovatelská péče pro zdravotní personál.

Klíčová slova: benigní hyperplazie prostaty – robotická transvezikální prostatektomie – enukleace prostaty

Summary: Introduction: We present an innovative procedure for the surgical treatment of a significantly enlarged prostate causing urinary retention. The very good long-term results of transvesical prostatectomy led us to search for a less invasive surgical alternative. Robot-assisted simple prostatectomy for benign prostatic hyperplasia is increasingly promoted in many countries with advanced healthcare systems. The clear surgical procedure and significantly shortened postoperative recovery led us to adopt this method. We present the performance of robotic enucleation on the da Vinci Xi – multiport device, which we adopted from abroad. Case report: A 61-year-old man, with excellent performance status, without serious comorbidities, had a significantly enlarged prostate measuring 7 × 6 × 5.5 cm with endovesical prominence and had refractory urinary retention, despite the administered combination pharmacotherapy at maximum dose. A magnetic resonance imaging was performed before the operation, which demonstrated enlarged benign prostatic hyperplasia without suspicion of prostate cancer. Similarly, the rectal examination and repeated prostatic specific antigen collection were without suspicion of the presence of carcinoma. The patient was offered robot-assisted enucleation of the enlarged prostate, which he agreed to. The operation was performed with the da Vinci Xi multiport robotic operating system. The ports were placed above the umbilicus similarly to radical prostatectomy. The patient was in the Trendelenburg position and the surgical approach was intraperitoneal. The bladder was opened at the apex with a longitudinal incision and temporary fixation sutures were placed on the edges of the incision for sufficient access for robotic instruments and a camera. The ureteral orifices, which are often close to the enlarged prostate, were localized and then enucleation was initiated. First, the entire layer of the bladder mucosa is cut with scissors and then the whitish hyperplasia of the prostate is enucleated from the surgical capsule. Bleeding is promptly stopped by coagulation. In some operations, it is possible to remove the entire enlarged prostate at once, sometimes removal in lobes is necessary. The next step is to pull the mucosa over the enucleation site and fix it with a continuous suture. It is appropriate to use a barbed suture (for example, V-Loc or similar). Finally, a catheter is inserted and left in place for 5–7 days. From June 2024 to September 2026, 24 operations have been performed. The median duration of the operation was 145 (90–220) minutes and the estimated blood loss was 220 (100–800) mL. The median weight of enucleated prostate was 89 (57–142) g. We did not experience any serious perioperative or early complications. In three patients, a temporary indwelling catheter was required due to high post-void residual. After repeated catheter removal, urinary retention recurred in only one patient. In three patients, a bladder diverticulum was also resected together with the enucleation of the benign prostatic hyperplasia. Conclusion: Robotic enucleation is a suitable alternative to open surgery for a severely enlarged prostate, especially with a large middle lobe. The disadvantage is the higher cost of the operation. The advantages are enucleation under visual control, the possibility of rapid coagulation and covering the site with

healthy mucosa, which leads to a decrease inurinary urgency. Other positives are lower blood loss, no need for Intensive Care Unit in the postoperative course, shorter hospitalization and easier nursing care for medical personnel.

Key words: benign prostatic hyperplasia – robotic simple prostatectomy – prostate enucleation

Střet zájmů: Autoři prohlašují, že nemají žádný konflikt zájmů.

Prohlášení o podpoře: Zpracování tohoto článku nebylo podpořeno žádnou společností.

Literatura

1. Shah AA, Gahan JC, Sorokin I. Comparison of robot-assisted versus open simple prostatectomy for benign prostatic hyperplasia. Curr Urol Rep 2018; 19(9): 71. doi: 10.1007/s11934-018-0820-1.

2. Morozov A, Bogatova S, Bezrukov E et al. A systematic review of robot-assisted simple prostatectomy outcomes by prostate volume. World J Urol 2024; 42(1): 565. doi: 10.1007/s00345-024-05264-y.

3. Khalil MI, Chase A, Joseph JV et al. Standard multiport vs single-port robot-assisted simple prostatectomy: a single-center initial experience. J Endourol 2022; 36(8): 1057–1062. doi: 10.1089/end.2021.0510.

30(1): 11–13

Roboticky asistovaná transvezikální prostatektomie – video

Robot-assisted transvesical prostatectomy – video

Souhrn: Úvod: Benigní hyperplazie prostaty je častou příčinou symptomů dolních močových cest. Při selhání konzervativní léčby je indikována léčba chirurgická. Roboticky asistovaná transvezikální prostatektomie představuje minimálně invazivní alternativu k otevřenému výkonu. Na našem pracovišti jsou objemné adenomy (> 100 ml) indikovány k holmiové laserové enukleaci prostaty (HoLEP – holmium laser enucleation of the prostate) nebo k robotické transvezikální prostatektomii. Transvezikální prostatektomii provádíme s využitím multi-port systému, perspektivní alternativou se v recentních odborných publikacích jeví využití single-port systému. Potenciální výhodou roboticky asistované transvezikální prostatektomie je, ve srovnání s HoLEP, absence nutnosti zavádění instrumentária přes uretru, což by mohlo vést k nižšímu riziku vzniku uretrálních striktur a k lepším výsledkům časné kontinence. Materiál a metody: Prezentujeme kazuistiku 76letého pacienta s objemnou adenomatózní hyperplazií prostaty (142 ml) a chronickou retencí moči. Pacient měl předoperačně elevaci prostatického specifického antigenu (PSA) 14,3 ng/ml, pro PSA denzitu 0,10 nebyla indikována biopsie prostaty. Výkon jsme provedli v prosinci 2024. Video zahrnuje všechny klíčové fáze operace – otevření močového měchýře, disekci a odstranění adenomu, zajištění hemostázy a rekonstrukci. Operace trvala 85 min, enukleovali jsme 66 g tkáně, histologicky byla potvrzena benigní hyperplazie. Pacienta jsme propustili 3. pooperační den, cévku jsme extrahovali 9 dnů po výkonu. Pacient je po výkonu kontinentní a dle sonografické kontroly bez postmikčního

Martin Fila

Miroslav Záleský Jiří Heráček

Urologická klinika 1. LF UK a ÚVN – VFN Praha

MUDr. Martin Fila

Urologická klinika 1. LF UK a ÚVN – VFN U vojenské nemocnice 1200 162 00 Praha 6 fila.martin@uvn.cz

Doručeno: 7. 12. 2025 Přijato: 3. 2. 2026

rezidua. Hodnota PSA po výkonu byla 2,09 ng/ml. Závěr: Roboticky asistovaná transvezikální prostatektomie je proveditelná a bezpečná metoda léčby komplikované benigní hyperplazie prostaty. U pacientů s výrazně objemnými adenomy může představovat vhodnou alternativu k jiným chirurgickým technikám. Pro přesnější stanovení jejího místa v terapii, zejména ve srovnání s HoLEP, je však zapotřebí další klinické zhodnocení.

Klíčová slova: benigní hyperplazie prostaty – robot – transvezikální prostatektomie

Summary: Introduction: Benign prostatic hyperplasia (BPH) is a common cause of lower urinary tract symptoms. When conservative treatment fails, surgical management is indicated. Robot-assisted transvesical prostatectomy represents a minimally invasive alternative to open surgery. At our department, patients with large adenomas (> 100 mL) are indicated for either HoLEP or robot-assisted transvesical prostatectomy. The procedure is performed using a multi-port system, although recent publications suggest that a single-port approach may represent a promising alternative. A potential advantage of this procedure compared to HoLEP is the avoidance of transurethral instrumentation, which may reduce the risk of urethral strictures and improve early postoperative continence. Material and methods: We present a case of a 76-year-old male with massive benign prostatic enlargement (142 mL) and chronic urinary retention. Preoperative prostatic specific antigen (PSA) level was 14.3 ng/mL; due to a PSA density of 0.10, prostate biopsy wasn’t indicated. The procedure was performed in December 2024. The surgical video demonstrates all key steps of the surgery – bladder incision, adenoma enucleation, hemostasis, and bladder reconstruction. Operative time was 85 minutes, and 66 g of prostatic tissue was removed. Histopathology confirmed benign hyperplasia. The patient was discharged on postoperative day three, and the catheter was removed 9 days after surgery. The patient is fully continent, with no postvoid residual urine on ultrasound. Postoperative PSA was 2.09 ng/mL. Conclusion: Robot-assisted transvesical prostatectomy is a feasible and safe option for the treatment of BPH. In patients with large adenomas, it may represent an effective alternative to other surgical techniques. Further clinical evaluation is required to better define its role, particularly in comparison with HoLEP.

Key words: benign prostatic hyperplasia – robot – transvesical prostatectomy

Literatura

1. European Association of Urology. EAU Guidelines on management of non-neurogenic male LUTS: Disease management. [online]. Arnhem: EAU Guidelines Office 2024. Available from: https://uroweb.org/guidelines/management-of-non-neurogenic-male-luts/chapter/disease-management.

2. Kordan Y, Canda AE, Köseoğlu E et al. Robotic-assisted simple prostatectomy: a systematic review. J Clin Med 2020; 9(6): 1798. doi: 10.3390/ jcm9061798.

3. Hartung FO, Egen L, Breuer L et al. Holmium laser enucleation of the prostate (HoLEP) compared to robot-assisted simple prostatectomy (RASP): a propensity score matched analysis. Aktuelle Urol 2025; 56(5): 464–469. doi: 10.1055/a-2577-3748.

4. Khalil MI, Chase A, Joseph JV et al. Standard multiport vs single-port robot-assisted simple prostatectomy: a single-center initial experience. J Endourol 2022; 36(8): 1057–1062. doi: 10.1089/end.2021.0510.

Soutěž

Soutěž ČUS o nejlepší video publikované v časopise Česká urologie 2026

Všechna videa publikovaná v časopise Česká urologie v roce 2026 budou do soutěže zařazena automaticky.

Podmínkou pro zařazení je skutečnost, že první autor je urologem.

Vítězné práce budou vyhlášeny na Výroční konferenci ČUS 2027.

Výsledky budou následně zveřejněny v časopise Česká urologie a na webových stránkách ČUS

14–15

Roboticky asistovaná nefroureterektomie (RA-NUE) – video

Robot-assisted nephroureterectomy (RA-NUE) – video

Souhrn: Úvod: Indikace nefroureterektomie (NUE) pro uroteliální tumory horních cest močových (UTUC – upper tract urothelial carcinoma) jsou poměrně jasné, otázkou zůstává technika provedení NUE a též indikace lymfadenektomie (LAE) během NUE. Metod provedení NUE je široké spektrum (otevřený výkon, laparoskopie, endoskopie), v zásadě máme fázi nefrektomie a fázi ureterektomie a event. ještě LAE, přičemž se jednotlivé metodiky kombinují. Otevřená NUE zůstává dominantou pro pokročilé nádory, jinak se již široce využívají miniinvazivní techniky. Po dlouhých letech provádění postupně tří metod laparoskopické NUE jsme se zakoupením robotického systému da Vinci Xi mohli přejít na metodiku kompletní miniinvazivní roboticky asistované NUE (RA-NUE), bez změny polohy, bez nutnosti endoskopie. Naši techniku prezentujeme na videu. Soubor: Od července 2021 do prosince 2025 jsme u 109 případů UTUC provedli NUE u 93 (85,3 %) a ledvinu šetřící výkon u 16 (14,7 %). RA-NUE z NUE u 43 (46,2 %) vybraných nemocných, u 5 z nich s LAE (high-risk cT2–3 či high-grade a cN0). Dvakrát byla provedena ještě RA-NUE pro finálně jinou histologii než uroteliální karcinom – světlobuněčný renální karcinom a xantogranulomatózní pyelonefritidu. U dalších 5 (4,6 %) byla provedena RA-NUE s následnou RA radikální cystektomií. Laparoskopická NUE u 11 (10,1 %), při nedostupnosti robotického systému. K otevřenému výkonu (34; 31,2 %) byli indikováni nemocní s pokročilými nálezy, výrazně obézní, s předchozí rozsáhlejší nitrobřišní operací. Technika operace prezentovaná na videu: RA-NUE vlevo s horní LAE: je užit čtyřramenný systém da Vinci Xi, močový katetr, poloha na boku 60°. Nejkaudálnější port je 12mm pro možnost aplikace stapleru, ostatní jsou 8mm. Asistentský port je mediálněji, 15mm pro finální zavedení extrakčního sáčku Endocatch™ bag II. Kamera 30°, ProGrasp™, bipolární grasper Maryland™, monopolární nůžky či pečeticí nástroj SynchroSeal™. Výkon se začíná standardní nefrektomií, jen se časně klipuje ureter k minimalizaci diseminace z horních cest močových do měchýře. Následuje paraaortální, resp. parakavální LAE pomocí nůžek či pečeticího nástroje. Bez redokování systému je pokračováno excizí močovodu kraniokaudálně in toto až do pánve. Testikulární žíla je většinou šetřena, u žen bývá šetřena ovarická žíla a celá adnexa se odklápí mediálně. Na videu je žena po panhysterektomii. Ureter je excidován z močového měchýře s terčíkem a defekt měchýře zašit s V-Loc® 90 3-0. Steh se na měchýř nasazuje ještě před kompletním odstřižením ureteru užitým pro trakci. Horní LAE je možno doplnit i na závěr výkonu. Extrakce močového katetru 6. pooperační den po elektivní cystoradiografii (CRG). Intravezikální jednorázové podání cytostatika neužíváme. Výsledky: Celkem 45 RA-NUE u 29 mužů a 16 žen, průměrný věk 71,4 ± 9,3 (47,7–86,1) roku, body mass index 28,0 ± 3,77 (20,2–35,7) kg/m 2, u 38 popsanou descendentní technikou, 7× s redockingem na pánevní část v Trendelenburgově poloze. Z těchto sedmi bylo celkem 2× pro tumor distálního ureteru zahájeno pánevní fází, 1× excidován i divertikl měchýře a 4× vynucená změna ve druhé fázi na Trendelenburg (2× větší tumor distálního ureteru, 1× přetržen ureter juxtavezikálně a intramurální část excidována TURem a 1× z preparátu RA nefrektomie vysloveno podezření na UTUC a doplněna ureterektomie). Průměrný čas operace u všech 153 ± 29 (99–240) min; u descendentní RA-NUE 143 ± 21 (99–199) min, s LAE 189 ± 35(164–240) min. U posledních 17 výkonů byl užit SynchroSeal™. Krevní ztráta byla 55,8 (0–400) ml. U 5 pacientů (4 ženy, 1 muž) byla provedena LAE – 4× LAE

Milan Hora1

Tomáš Ürge1

Adriena Bartoš Veselá1

Petr Stránský jr.1

Dominika Šiková1

Tomáš Pitra1

Hana Sedláčková1

Petr Stránský1

Ivan Trávníček1

Blanka Drápelová1

Jitka Voráčková1

Jiří Ferda2

Jan Pernický2

Kristýna Pivovarčíková3

Ondřej Fiala4

1 Urologická klinika

LF UK a FN Plzeň

2 Klinika zobrazovacích metod

LF UK a FN Plzeň

3 Šiklův ústav patologie,

LF UK a FN Plzeň

4 Onkologická a radioterapeutická klinika

LF UK a FN Plzeň

prof. MUDr. Milan Hora, PhD., MBA

Urologická klinika

LF UK a FN Plzeň

Edvarda Beneše 1128/13

301 00 Plzeň horam@fnplzen.cz

Doručeno: 6. 1. 2026

Přijato: 11. 2. 2026

horní u tumorů pánvičky, 1× LAE pánevní u tumoru distálního ureteru – zde byla provedena zmíněná změna polohy na záda a excize distálního ureteru a LAE. Průměrný počet uzlin byl 6 (2–10). Hilové renální cévy byly přerušeny robotickým staplerem 25× en bloc a 2× separovaně, 1× separovaně externím staplerem a 17× separovaně pomocí uzamykatelných klipů asistentem. Drén byl použit 15×. Hmotnost preparátu byla 496 (128–1 045) g. Histologicky byl popsán 43× UC pTa–pT3 (1× pN1), 1× světlobuněčný renální karcinom pT2aG3, 1× xantogranulomatozní pyelonefritida. Doba hospitalizace byla 7,2 (3–18) dní. Cévka byla odstraněna v průměru za 12,8 ± 11,4 (5–58) dne (9× byla ponechána déle než 14 dní pro únik kontrastní látky při CRG). Komplikace (krom úniku ze sutury měchýře) dle Clavien-Dindo 1× typ 2 (prolongovaný chylózní ascites řešený konzervativně, trvání 2 měsíce). Dlouhodobé sledování zatím není dostupné, 1× lokální recidiva tumoru G3 řešena cystektomií. Závěr: RA-NUE se stala na našem pracovišti standardní metodou NUE a nahradila laparoskopický přístup. Zatím optimálně u nálezu, kde není indikována LAE. Hlavní relativní komplikací je prolongovaný urinózní únik ze sutury měchýře. Otevřená NUE stále zůstává v armamentáriu pro vybrané případy nevhodné k RA-NUE (pokročilé tumory, výrazná obezita, anamnéza extenzivní intraabdominální chirurgie).

Klíčová slova: nefroureterektomie – laparoskopie – robot

Summary: Introduction: The indications for nephroureterectomy (NUE) for upper tract urothelial carcinoma (UTUC) are relatively clear, but questions remain regarding the technique used to perform NUE and the indications for lymphadenectomy (LND – lymph node dissection) during NUE. There is a wide range of NUE techniques (open surgery, laparoscopy, endoscopy). Basically, there is a nephrectomy phase and an ureterectomy phase, and possibly also LND, with individual techniques being combined. Open NUE remains the dominant technique for advanced tumors, otherwise minimally invasive techniques are widely used. After many years of gradually performing three methods of laparoscopic NUE, we were able to switch to the complete minimally invasive RA-NUE technique with the purchase of the da Vinci Xi robotic system. No change of position, no need for endoscopy. We present our technique in a video. Method: From July 2021 to December 2025, we performed NUE in 93 (85.3%) of 109 UTUC cases and kidney-sparing surgery in 16 (14.7%). RA-NUE from NUE in 43 (46.2%) selected patients, 5 of whom had LND (high-risk cT2–3 or high-grade and cN0). RA-NUE was performed twice for a final histology other than UC – clear cell renal carcinoma and xanthogranulomatous pyelonephritis. In another 5 (4.6%) patients, RA-NUE was performed followed by RA radical cystectomy. Laparoscopic NUE was performed in 11 (10.1%) cases when the robotic system was unavailable. Open surgery (34; 31.2%) was indicated for patients with advanced findings, who were significantly obese, or who had undergone previous extensive intraabdominal surgery. The surgical technique presented in the video: RA-NUE on the left with upper lymphadenectomy: A 4-arm da Vinci Xi system, urinary catheter, and 60° lateral position are used. The most caudal port is 12 mm for stapler application, the others are 8 mm. The assistant port is more medial, 15 mm for final insertion of the Endocatch™ bag II extraction bag. Camera 30°, ProGrasp™, Maryland™ bipolar grasper, monopolar scissors, or SynchroSeal™ sealing tool. The procedure begins with a standard nephrectomy, but the ureter is clipped early to minimize UC dissemination into the bladder. This is followed by paraaortic or paracaval LND using scissors or a sealing device. Without re-docking the system, the ureter is excised craniocaudally in this direction up to the pelvis. The testicular vein is usually preserved,

Ces Urol 2026; 30(1): 16–18

and in women, the ovarian vein is preserved and the entire adnexa is folded medially. The video shows a woman after a panhysterectomy. The ureter is excised from the bladder with the bladder cuff and the bladder defect is sutured with V-Loc® 90 3-0. The suture is applied to the bladder before complete transection of the ureter, which is used for traction. The upper LND can also be performed at the end of the procedure. Extraction of the urinary catheter on the 6th postoperative day after elective cystoradiography (CRG). We do not use intravesical single-dose cytostatics. Results: A total of 45 RA-NUE in 29 men and 16 women. Average age 71.4 ± 9.3 (47.7–86.1) years. Body mass index 28.0 ± 3.77 (20.2–35.7) kg/sqm. In 38 cases, the described descending technique was used, 7 times with redocking to the pelvic part in the Trendelenburg position. Of these 7 cases, 2 were for distal ureteral tumors started in the pelvic phase, 1 was excised with a bladder diverticulum, and 4 were forced to change to the Trendelenburg position in the second phase (twice for larger distal ureteral tumors, once for a ruptured ureter juxtavesically and intramural part excised by TUR, and once for suspected UTUC based on RA nephrectomy preparation and supplemented by ureterectomy). The average duration of surgery for all 153 ± 29 (99–240) min – for descending RA-NUE 143 ± 21 (99–199) min, with LND 189±35 (164–240) min. SynchroSeal™ was used in the last 17 procedures. Blood loss was 55.8 (0–400) mL. LND was performed in 5 patients (4 women, 1 man) – 4 upper LNDs for pelvic tumors, 1 pelvic LND for a distal ureter tumor – here, the aforementioned change to the supine position was performed, along with excision of the distal ureter and LND. Average number of nodes was 6 (2–10). Hilum renal vessels interrupted by robotic stapler 25× en bloc and 2× separately, 1× separately by external stapler and 17× separately by lockable clips by assistant. Drain used 15×. The weight of the specimen was 496 (128–1,045) g. Histologically, as mentioned, 43× urothelial carcinoma (UC) pTa–pT3 (1× pN1), 1× clear cell renal carcinoma pT2aG3, and 1× xanthogranulomatous pyelonephritis were confirmed. The length of hospitalisation was 7.2 (3–18) days. The catheter was removed on average after 12.8±11.4 (5–58) days (9× left in place for longer than 14 days due to contrast agent leakage during CRG). Complications (except for leakage from the bladder suture) according to Clavien-Dindo – 1× type 2 (prolonged chylous ascites treated conservatively, duration 2 months). Long-term follow-up is not yet available, 1× local recurrence of G3 tumor treated with cystectomy. Conclusion: RA-NUE has become the standard NUE method at our facility, replacing the laparoscopic approach. So far, it has been optimal for findings where LND is not indicated. The main relative complication is prolonged urinary leakage from the bladder suture. Open NUE remains in the armamentarium for selected cases unsuitable for RA-NUE (advanced tumors, severe obesity, history of extensive intra-abdominal surgery).

Key words: nephroureterectomy – laparoscopy – robot

Střet zájmů: Autoři prohlašují, že nemají žádný konflikt zájmů

Prohlášení o podpoře: Podpořeno MZ ČR – RVO (Fakultní nemocnice Plzeň – FNPl, 00669806) a programem Cooperatio, vědní oblasti SURG.

Literatura

1. Hora M, Stránský P, Eret V et al. Complete laparoscopic nephroureterectomy with thermo-sealing system. Cent European J Urol 2010; 63(2): 77–81. doi: 10.5173/ceju.2010.02.art4.

2. Hora M, Eret V, Ürge T et al. Antegrade mini-invasive nephroureterectomy: laparoscopic nephrectomy, transurethral excision of ureterovesical junction and lower abdominal incision. Urol Int 2009; 83(3): 264–270. doi: 10.1159/000241664.

3. Plincelnerová L, Čermák M, Fišer L et al. Poranění dolní duté žíly jako komplikace laparoskopické radikální nefroureterektomie s retroperitoneální lymfadenektomií. Ces Urol 2021; 25(2): 90–93.

4. Hora M, Stránský P jr., Šiková D et al. Roboticky asistovaná nefroureterektomie s lymfadenektomií (RA-NUE s LAE) – video. Ces Urol 2025; 29(Suppl. B): 75.

5. Hora M, Šiková D, Pitra T et al. Roboticky asistovaná nefroureterektomie (RA-NUE) – video. Ces Urol 2024; 28(Suppl. A): 38.

6. Hora M, Eret V, Ürge T et al. Complete laparoscopic nephroureterectomy with intravesical lockable clip. Cent European J Urol 2012; 65(2): 75–79. doi: 10.5173/ceju.2012.02.art4.

7. Masson-Lecomte A, Birtle A, Pradere B et al. European Association of Urology guidelines on upper urinary tract urothelial carcinoma: summary of the 2025 update. Eur Urol 2025; 87(6): 697–716. doi: 10.1016/j.eururo.2025.02.023.

10.48095/cccu2026002

Retrospektivní unicentrická studie mikrovlnné ablace v terapii cT1

renálních karcinomů

Retrospective single centre study of microwave ablation in the treatment of cT1 renal cell carcinomas

Hlavní stanovisko práce: Mikrovlnná ablace představuje miniinvazivní metodu léčby cT1 renálních karcinomů. Cílem práce je prezentace onkologických výsledků a výskytu pooperačních komplikací této metody na našem pracovišti.

Major statement: Microwave ablation is a miniinvasive method of cT1 renal cell carcinomas treatment. The aim of the study is to present the oncological results and the occurrence of postoperative complications of this method at our institution.

Souhrn: Cíl: Mikrovlnná ablace představuje v léčbě cT1 renálních karcinomů alternativu k resekčním výkonům. Cílem naší studie bylo retrospektivně zhodnotit onkologické výsledky a pooperační komplikace této metody. Soubor pacientů: Retrospektivní unicentrická studie obsahuje 63 pacientů, kteří podstoupili celkem 78 mikrovlnných ablací na našem pracovišti mezi lety 2012 a 2023. Výsledky: Studie prokázala výraznou vazbu onkologických výsledků na velikost tumoru. U pacientů s tumorem < 3 cm zůstalo po dobu sledování bez recidivy 86 % pacientů, v případě tumorů > 3 cm nemělo recidivu 68 % pacientů. Pooperační komplikace se vyskytly u 18 % pacientů, přičemž u 6 % pacientů se jednalo o komplikace závažné (stupeň ≥ 3 dle Clavien-Dinda). Závěr: Mikrovlnná ablace v léčbě lokalizovaných nádorů ledvin (cT1) představuje moderní a bezpečnou miniinvazivní techniku. Terapeutický výsledek je výrazně závislý na velikosti tumoru. U tumorů do 3 cm dosahuje metoda srovnatelných onkologických výsledků s podobnou frekvencí výskytu pooperačních komplikací jako resekční výkony.

Klíčová slova: mikrovlnná ablace – renální karcinom – velikost tumoru – pooperační komplikace – mikroinvazivní metody

Summary: Aim: Microwave ablation is an alternative to partial nephrectomy in the treatment of cT1 renal carcinomas. This retrospective study aims to evaluate the oncological results and postoperative complications of this method. Patient population: The retrospective, single institution study included 63 patients who underwent a total of 78 microwave ablations at our institution, between 2012 and 2023. Results: The study demonstrated a close relationship between oncological results and tumor size. In patients with tumors < 3 cm, 86% of patients remained recurrence-free during the follow-up, while in the group with tumors over 3 cm in the largest dimension, 68% of patients did not have a recurrence. Postoperative complications occurred in 18% of patients in general and 6% were serious (Clavien-Dindo score ≥ 3).

Conclusion: Microwave ablation in the treatment of localized renal tumors (cT1) represents a modern and safe miniinvasive technique. The therapeutic outcome is closely dependent on

Jan Hnátek1,2

Jakub Horňák1,3

Martin Mašek4

Jan Hrbáček1,2

1 Urologické oddělení, FN Bulovka, Praha

2 3. LF UK, Praha

3 1. LF UK, Praha

4 Radiodiagnostické oddělení, FN Bulovka, Praha

doc. MUDr. Jan Hrbáček, Ph.D., FEBU

Urologické oddělení

FN Bulovka

Budínova 67/2

180 81 Praha 8 jan.hrbacek@bulovka.cz

Doručeno: 6. 10. 2025 Přijato: 19. 1. 2026

the tumor size. For tumors up to 3 cm, the method achieves comparable oncological results with a similar frequency of postoperative complications as partial nephrectomy.

Key words: microwave ablation – renal carcinoma – tumor size – postoperative complications – miniinvasive methods

Úvod

Renální karcinom (RCC – renal cell carcinoma) je v České republice časté onkologické onemocnění dosahující incidence 3 100 případů za rok. Onemocnění je diagnostikováno nejčastěji mezi 65. a 74. rokem věku, přičemž u mužů je 1,7× častější. Ročně na RCC umírá přibližně 650 mužů a 390 žen [1]. Diagnostika RCC se zakládá především na zobrazovacích metodách (sonografie, CT vyšetření, výjimečně magnetická rezonance). Vzhledem k často asymptomatickému průběhu onemocnění v počátečních stadiích se často jedná o incidentalomy. V případě lokalizovaných tumorů ve stadiu cT1, tedy tumorů do 7 cm v největším rozměru, které jsou předmětem naší studie, je upřednostňovanou metodou léčby resekční výkon [2]. Optimální volbou je resekce ložiska, popřípadě nefrektomie u případů, u kterých uložení tumorózního ložiska resekci neumožňuje. Nicméně u polymorbidních pacientů, pro něž by byla celková anestezie vysoce riziková, či u pacientů se sníženou funkcí ledvin, u nichž by radikální výkon mohl vést k významné renální insuficienci, existují alternativy v podobě aktivního sledování, pozorného vyčkávání či miniinvazivních ablačních metod. Tyto varianty mohou zvolit i pacienti, kteří si velký chirurgický zákrok nepřejí [3–5]. Ablační metody lze na základě mechanizmu destrukce nádorové tkáně rozdělit na radiofrekvenční ablaci (RFA), kryoablaci a mikrovlnnou ablaci (MWA – microwave ablation).

Cílem studie je prezentace dlouhodobých výsledků MWA v terapii lokalizovaných tumorů ledvin (cT1) se zaměřením na

Obr. 1. Perioperační CT snímek během MWA.

Fig. 1. Perioperative CT scan during microwave ablation.

Tab. 1. Charakter provedených MWA a počty zákroků. Tab. 1. Features of MWAs performed and the number of procedures.

primární MWA bez předchozí léčby 62

Ablace nádorového ložiska ledviny

1. opakovaná MWA 13

2. opakovaná MWA 1

MWA recidivy po předchozí resekci 2

MWA – mikrovlnná ablace

dlouhodobé onkologické výsledky a četnost pooperačních komplikací.

Soubor pacientů a metody Objektem studie je soubor pacientů, kteří mezi lety 2012 a 2023 podstoupili ve FN Bulovka perkutánní MWA pod CT kontrolou pro základní diagnózu RCC. Data byla sebrána retrospektivně.

Soubor tvoří 63 pacientů, u nichž bylo provedeno 78 MWA zákroků. Kromě primárních ablací RCC jsou zahrnuty i re-ablace, ať už pro nekompletnost v první době, či pozdní recidivu, a MWA zákroky v rámci terapie recidiv po předchozích resekčních výkonech (tab. 1).

Výkon byl prováděn mikrovlnným systémem Solero Microwave Tissue Ablation System (AngioDynamics, Inc., USA). Během ablačních výkonů byla používána frekvence 2,45 GHz a výkon v rozsahu 100–140 W. Jako aplikátor byla používána nerezová ocelová jehla s keramickým hrotem o průměru 15 G a délce 14, 19 nebo 29 cm. Jedna ablační sekvence po zavedení jehly do tumoru trvá 4–6 min podle velikosti nádoru, v průběhu jednoho výkonu jsou standardně prováděny 1–2 ablační sekvence. Maximální velikost ablační zóny udávaná výrobcem je 54 × 39 mm na jednu sekvenci. Po skončení ablace tumoru se během vytahování jehly provádí ablace-koagulace punkčního kanálu (track ablace). Výkon je prováděn v analgosedaci za přítomnosti anesteziologa, pacienti snášejí výkon dobře. Celková doba výkonu vč. polohování pacienta a přípravy CT pracoviště je 60–90 min (obr. 1).

Primárním předmětem sledování byly výsledky onkologické léčby, které byly vyhodnocovány pouze u MWA provedených jako primární léčba lokalizovaných RCC cT1 (n = 62), šest pacientů bylo vyřazeno z důvodu absence dalšího sledování. Úspěšnost léčby byla tedy vyhodnocena u 56 pacientů.

Pacienti byli po provedené MWA pravidelně sledováni pomocí CT vyšetření (kontrastní CT vyšetření hrudníku, břicha a malé pánve), první CT po výkonu bylo provedeno v rozmezí 3–6 měsíců. Dále byli pacienti sledováni s ročním intervalem, přičemž část pacientů byla sledována cestou spádových urologických ambulancí, v nichž byla četnost i celková doba sledování variabilní. Pro rozlišení časných recidiv a nekompletní MWA bylo za recidivu považováno jakékoliv nově zjištěné viabilní ložisko na kontrolním CT vyšetření následujícím po prvním kontrolním CT vyšetření provedeném těsně po MWA (3–6 měsíců po výkonu). Všechna lokálně umístěná viabilní ložiska zjištěná na prvním CT vyšetření 3–6 měsíců po zákroku naopak považujeme za nekompletní MWA. Případy, u kterých bylo MWA nutné 1× nebo 2× opakovat pro nekompletnost, byly pro potřeby hodnocení onkologických výsledků chápány jako jeden případ, ve výsledcích zároveň uvádíme celkový počet takto opakovaných výkonů. Doba do recidivy a doba sledování byla u těchto případů stanovena od poslední provedené MWA.

Sekundárním cílem studie bylo zhodnocení frekvence pooperačních komplikací u všech provedených MWA, vč. popisu jejich závažnosti.

Data byla statisticky zpracována pomocí chí-kvadrát testu a Kaplan-Meierovy analýzy přežití. Ke zpracování bylo užito rozhraní Python 3.10 s využitím knihoven pandas, matplotlib a scipy.stats. Hladina statistické významnosti byla α < 0,05.

Výsledky

Klinická data

Z celkového počtu 63 pacientů bylo 41 (65 %) pacientů mužského pohlaví, zbylých 22 (35 %) pacientů byly ženy. Medián věku pacientů v době provedení zákroku byl 76 let (IQR 71–79). Průměrná velikost nádorového ložiska byla 30,4 mm (± směrodatná odchylka 10,7 mm). Průměrná hodnota D.A.P. (diameter-axial-polar nephrometry) je rovna 6. Z 56 pacientů, u nichž jsou vyhodnocovány onkologické výsledky, byla histologie odebrána u 32 pacientů, z toho ve 29 případech v rámci samostatného zákroku před MWA a ve 3 případech k odběru došlo v jedné době s MWA. Z 32 bioptovaných lézí se ve 29 (91 %) případech jednalo o světlobuněčný RCC, v jednom (3 %) případě se jednalo o papilární RCC, v jednom (3 %) případě se jednalo o angiomyolipom a jedna biopsie vyšla neprůkazně. U 24 pacientů bioptická verifikace provedena nebyla. Průměrná délka hospitalizace i medián délky hospitalizace jsou 2 dny.

Onkologické výsledky

Výsledky léčby z onkologického hlediska byly hodnoceny u 56 pacientů. U 45 (80 %) pacientů byla ablace kompletní, bez přítomnosti reziduálních viabilních nádorových struktur na prvním kontrolním CT. U 11 (20 %) pacientů byla ablace nekompletní, přičemž k odstranění nádoru bylo u deseti pacientů nutné ablaci jednou opakovat, u jednoho pacienta

Graf 1. Kaplan-Meierova křivka přežití bez recidivy. Graph 1. Kaplan-Meier estimation of recurrence-free survival.

30(1): 19–23

RCC – renální karcinom

Tab. 2. Výskyt recidiv a nutnost re-ablací.

Tab. 2. Incidence of recurrences and need for re-ablation. tumor  < 30 mm tumor  > 30 mm celkem

Počet pacientů 28 28 56

Počet recidiv 4 (14 %), z toho 2 (7 %) MTS 9 (32 %), z toho 4 (14 %) MTS 13 (23 %), z toho 5 (9 %) MTS

Re-ablace 2 (2. MWA) 8 (2. MWA), 1 (3. MWA) 10 (2. MWA), 1 (3. MWA)

MTS – vzdálená metastáza, MWA – mikrovlnná ablace

byly nutné celkem tři ablační výkony. Během sledování, jehož délka dosahuje mediánu 24 měsíců (IQR 9–40), byla detekována recidiva u celkem 13 (23 %) pacientů, z toho v 5 (9 %) případech ve formě vzdálené metastázy. Pokud soubor pacientů rozdělíme do dvou skupin podle maximálního rozměru tumoru, přičemž jako hranici použijeme hodnotu 30 mm, což odpovídá hranici udávané guidelines Evropské urologické asociace, pod níž lze pomocí RFA dosáhnout optimálních výsledků (u MWA vzhledem k malému počtu doposud provedených studií hranice definována není [2]), je patrné, že u pacientů s nádory < 30 mm se recidivy vyskytly ve 14 % případů, zatímco u pacientů s většími nádory postihly recidivy přibližně třetinu (32 %) pacientů. Výsledky jsou shrnuty v tab. 2 a na grafu 1. Na Kaplan-Meierově křivce je patrný rozdíl v 5letém přežití bez recidivy u pacientů s tumory menšími/ většími než 30 mm. Trend však nesplňuje kritérium statistické významnosti (p = 0,143).

Pooperační komplikace

Z celkového počtu 78 MWA došlo k pooperačním komplikacím u celkem 14 (18 %) zákroků. V pěti (6 %) případech se jednalo o komplikace závažné, odpovídající stupni ≥ 3 dle Clavien-Dinda [6]. Z toho v jednom případě došlo k úmrtí 5 dní po výkonu bez jednoznačné spojitosti s MWA, vzhledem k těsné časové vazbě je však tento případ do komplikací započítán. Podrobný výčet a rozdělení komplikací dle závažnosti shrnuje tab. 3.

Diskuze

Onkologické výsledky MWA v terapii RCC stadia cT1 N0 M0 jsou dle naší studie závislé na velikosti tumoru. Ve skupině pacientů, jejichž tumory měly < 30 mm, bylo během sledování 86 % pacientů bez recidivy, zatímco v případě tumorů o maximálním rozměru 30–70 mm nemělo recidivu 68 % pacientů. Dle našich dat MWA v léčbě RCC stadia cT1 dosahuje podobných onkologických výsledků, jaké

Tab. 3. Pooperační komplikace a jejich četnost.

Tab. 3. Postoperative complications and their frequency.

Stupeň Popis

I  perirenální hematom pneumotorax protrahovaná makroskopická hematurie

akcelerace hypertenze

Počet

Podíl na celkovém počtu výkonů (%)

poranění střeva

selhání solitární ledviny 1 1

nedetekováno

úmrtí recentně po mikrovlnné ablaci

jsou dle literatury obecně uváděny u resekčních výkonů, u tumorů do 30 mm. U větších tumorů narůstá jak nutnost re-ablací, tak výskyt recidiv a riziko vzniku vzdálených metastáz. Ačkoliv trend pozorovaný v naší studii nedosáhl statistické významnosti (p = 0,143), což lze přičíst relativně malému počtu pacientů a kratší době sledování, potvrzují podobný vývoj i jiné rozsáhlejší studie, u nichž byl rozdíl již statisticky signifikantní.

Příkladem je studie publikovaná v roce 2020 porovnávající MWA a parciální nefrektomie stran onkologických výsledků a perioperačních komplikací. Studie čítá 185 provedených MWA pro RCC T1a N0 M0, po dobu sledování s mediánem 40 měsíců zůstává 83 % pacientů bez recidivy, recidiva ve formě vzdálené metastázy se pak vyskytla ve 4,3 % případů. V rámci porovnání s parciálními nefrektomiemi není pozorován statisticky významný rozdíl v lokální progresi onemocnění ani ve výskytu vzdálených metastáz [7].

Rozsáhlá metaanalýza obsahující 27 jednotlivých studií, zahrnující krom MWA i RFA a kryoablace, dále potvrzuje, že u klinického stadia T1a jsou onkologické výsledky ablačních metod přibližně srovnatelné s výsledky parciálních nefrektomií, oproti tomu u stadia cT1b je parciální nefrektomie výrazně superiorní [8].

Ve většině případů je MWA bezpečná metoda vhodná i pro polymorbidní fragilní pacienty. Komplikace obecně se vyskytly v 18 % případů, závažné komplikace (stupně ≥ 3 dle Clavien-Dinda) se vyskytly u 6 % provedených zákroků.

Ces Urol 2026; 30(1): 19–23

Podobná frekvence komplikací je shodná s literárními daty ze studií s většími soubory pacientů, uvedenými dále. V rámci retrospektivní studie publikované v roce 2023 zahrnující MWA i RFA byly u 101 provedených MWA pozorovány perioperační komplikace u čtrnácti (14 %) případů, pouze v jednom (1 %) případě se jednalo o komplikace závažné (stupně ≥ 3 dle Clavien-Dinda) [9]. Při porovnání s resekčními výkony je četnost všech typů komplikací vyšší u resekcí, četnost vážných komplikací je u obou metod srovnatelná [10–12].

Při posuzování indikace MWA či resekčního zákroku je třeba vzít v úvahu především celkový stav pacienta, jeho možnosti podstoupit celkovou anestezii, předpokládanou dobu dožití, velikost tumoru, renální funkce a v neposlední řadě přání pacienta, který by měl být obeznámen s výhodami a nevýhodami obou zmiňovaných metod.

Mezi limitující faktory studie patří relativně krátká střední doba sledování, selekční bias způsobený tím, že pacienti podstupující MWA jsou často starší a trpí četnějšími přidruženými onemocněními než pacienti podstupující resekční výkony, což je fenomén popisovaný i u jiných studií

Literatura

zabývajících se MWA [12,13]. Dalším faktorem, který může ovlivnit zejména onkologické výsledky, je absence bioptické verifikace u téměř poloviny souboru, což může nadhodnotit efektivitu této metody v případě zařazení pacientů s benigními lézemi. A z hlediska hodnocení pooperačních komplikací také retrospektivní charakter studie, který ztěžuje detailní popis všech komplikací.

Závěr

V léčbě lokalizovaných nádorů ledvin (cT1 N0 M0) představuje MWA alternativu k resekčním operačním výkonům. Terapeutický výsledek je výrazně závislý na velikosti tumoru. U tumorů do 3 cm metoda dosahuje srovnatelných onkologických výsledků s podobnou frekvencí výskytu pooperačních komplikací jako resekční výkony.

Střet zájmů: Autoři prohlašují, že nemají žádný konflikt zájmů.

Prohlášení o podpoře: Spolufinancováno z projektu OP JAK Mluvíme s mikroby – porozumění mikrobiálním interakcím v konceptu One Health, registrační číslo CZ.02.01.01/00/22_008/0004597.

1. Ústav zdravotnických informací a statistiky ČR. Národní zdravotnický informační systém (NZIS), národní onkologický registr (NOR). [online]. Dostupné z: https://www.uzis.cz.

2. EAU Guidelines. Edn. presented at the EAU Congress, Madrid 2025. [online]. Available from: https://uroweb.org/guidelines/urological-infections/ chapter/introduction.

3. Lane BR, Abouassaly R, Gao T et al. Active treatment of localized renal tumors may not impact overall survival in patients aged 75 years or older. Cancer 2010; 116(13): 3119–3126. doi: 10.1002/cncr.25184.

4. Sun M, Becker A, Tian Z et al. Management of localized kidney cancer: calculating cancer-specific mortality and competing risks of death for surgery and nonsurgical management. Eur Urol 2014; 65(1): 235–241. doi: 10.1016/j.eururo.2013.03.034.

5. Korčáková E, Mírka H, Štajdlová K et al. Mikrovlnná ablace a její role v léčbě malých renálních nádorů. Ces Urol 2023; 27(4): 213–221. doi: 10.48095/ cccu2023027.

6. Clavien PA, Barkun J, de Oliveira ML et al. The clavien-dindo classification of surgical complications: five-year experience. Ann Surg 2009; 250(2): 187–196. doi: 10.1097/SLA.0b013e3181b13ca2.

7. Yu J, Zhang X, Liu H et al. Percutaneous microwave ablation versus laparoscopic partial nephrectomy for ct1a renal cell carcinoma: a propensity-matched cohort study of 1955 patients. Radiology 2020; 294(3): 698–706. doi: 10.1148/radiol.2020190919.

8. Yanagisawa T, Mori K, Kawada T et al. Differential efficacy of ablation therapy versus partial nephrectomy between clinical t1a and t1b renal tumors: a systematic review and meta-analysis. Urol Oncol 2022; 40(7): 315–330. doi: 10.1016/j.urolonc.2022.04.002.

9. Aarts BM, Gomez FM, Lopez-Yurda M et al. Safety and efficacy of RFA versus MWA for t1a renal cell carcinoma: a propensity score analysis. Eur Radiol 2023; 33(2): 1040–1049. doi: 10.1007/s00330-022-09110-w.

10. Nisen H, Järvinen P, Kilpeläinen T et al. Hand-assisted laparoscopic versus open partial nephrectomy in patients with t1 renal tumor: comparative perioperative, functional and oncological outcome. Scand J Urol 2015; 49(6): 446–452. doi: 10.3109/21681805.2015.1076030.

11. Arora S, Keeley J, Pucheril D et al. What is the hospital volume threshold to optimize inpatient complication rate after partial nephrectomy? Urol Oncol 2018; 36(7): 339.e17–339.e23. doi: 10.1016/j.urolonc.2018.04.009.

12. Chan VW, Abul A, Osman FH et al. Ablative therapies versus partial nephrectomy for small renal masses – a systematic review and meta-analysis. Int J Surg 2022; 97: 106194. doi: 10.1016/j.ijsu.2021.106194.

13. Shapiro DD, Wells SA, Best SL et al. Comparing outcomes for patients with clinical T1b renal cell carcinoma treated with either percutaneous microwave ablation or surgery. Urology 2020; 135: 88–94. doi: 10.1016/j.urology.2019.09.024.

Ces Urol 2026; 30(1): 19–23

Roboticky asistovaná Anderson-Hynesova pyeloplastika pro obstrukci pyeloureterální junkce u dětí

Robot-assisted Anderson-Hynes pyeloplasty for ureteropelvic junction obstruction in children

Hlavní stanovisko práce: Roboticky asistovaná pyeloplastika u dětí, s výjimkou velmi malých pacientů, u nichž jsme limitováni velikostí nástrojů a délkou anestezie, se stává preferovanou chirurgickou modalitou a novým standardem léčby obstrukce pyeloureterální junkce.

Major statement: Robot-assisted pyeloplasty in children, except for very young children, where the use of robotics is limited by instrument size and anesthesia duration, is becoming the preferred surgical modality and the new standard of treatment for ureteropelvic junction obstruction.

Souhrn: Cíl: Cílem práce je představit operační postup našeho pracoviště a funkční výsledky u dětských pacientů, kteří podstoupili roboticky asistovanou Anderson-Hynesovu pyeloplastiku pro obstrukci pyeloureterální junkce (PUJ) s využitím robotického systému. Soubor pacientů a metody: V naší institucionální databázi byly retrospektivně vyhodnoceny nálezy u pacientů ve věku ≤ 18 let, kteří podstoupili roboticky asistovanou pyeloplastiku (RALP) mezi březnem 2014 a květnem 2025. Byly hodnoceny demografické údaje, klinické a ultrazvukové (UZ) nálezy, výsledky diuretické MAG3 scintigrafie při indikaci k pyeloplastice, způsob drenáže ledviny, komplikace a pooperační výsledky. Výsledky: Do analýzy bylo zahrnuto 42 dětí. Medián věku byl 14 (rozmezí 5–18) let. Medián hmotnosti byl 54 (18,5–80) kg. Medián operačního času byl 121 (43–207) min a medián konzolového času 82 (34–157) min. DJ stent byl zaveden u 28 (64,3 %) pacientů a extrahován za medián 53 (36–630) dní. U 14 pacientů byla zvolena pyelostomie, která byla extrahována po mediánu 10,5 (8–14) dne. Medián doby hospitalizace byl 8 (5–17) dní. V době hodnocení souboru byli pacienti po operaci sledováni 21,5 (4–104) měsíců. Komplikace se vyskytly u 9 (21,4 %), přičemž závažné Clavien ≥ III byly u 4 (9,5 %) pacientů (2× obstrukce stentu, 1× dislokace stentu a 1× inkrustace stentu). U pacientů, u nichž byla zajištěna drenáž kalichopánvičkového systému (KPS) pyelostomií, nebyly žádné pooperační komplikace. Během pooperačního sledování nebyla zjištěna porucha drenáže KPS nebo zhoršení renálních funkcí. Úspěšnost RALP byla 100 %. Závěr: Naše zkušenosti ukazují výborné funkční výsledky RALP u dětí s přijatelnou mírou komplikací. Drenáž KPS pyelostomií snižuje počet pooperačních komplikací.

Klíčová slova: pyeloplastika – obstrukce pyeloureterální junkce – dětská urologie – roboticky asistovaná

Summary: Objective: The aim of this study was to evaluate perioperative and functional outcomes of pediatric patients who underwent robot-assisted Anderson-Hynes pyeloplasty for ureteropelvic junction obstruction using a robotic surgical system. Patients and Methods: Pediatric patients aged ≤ 18 years who underwent robot-assisted laparoscopic pyeloplasty (RALP) between March 2014 and May 2025 were retrospectively identified from our institutional database. Demographic and clinical characteristics, perioperative outcomes,

Zuzana Študentová

Vladimír Študent jr. Jan Šarapatka

Oldřich Šmakal

Urologická klinika

LF UP a FN Olomouc

doc. MUDr. Vladimír Študent jr., Ph.D., FEBU

Urologická klinika

LF UP a FN Olomouc

Zdravotníků 7 779 00 Olomouc

Vladimir.student2@fnol.cz

Doručeno: 16. 2. 2026

Přijato: 11. 3. 2026

type of renal drainage, pelvic resection, postoperative complications, and functional outcomes were recorded and analyzed. Results: A total of 42 children were included in the analysis. The median age was 14 (range 5–18) years, and the median body weight was 54 (range 18.5–80) kg. The median operative time was 121 (range 43–207) minutes, and the median console time was 82 (range 34–157) minutes. A double-J stent was placed in 28 patients (64.3%) and removed after a median of 53 (36–630) days. Pyelostomy was used in 14 patients and removed after a median of 10.5 (8–14) days. The median length of hospital stay was 8 (range 5–17) days. At the time of data analysis, the median postoperative follow-up was 21.5 (4–104) months. Complications occurred in 9 patients (21.4%), with major complications (Clavien-Dindo grade ≥ III) observed in 4 patients (9.5%; 2 stent obstructions, 1 stent dislocation, and 1 stent encrustation). No ureteropelvic junction restenosis or deterioration of renal function was observed during follow-up. The overall success rate of RALP was 100%. Conclusion: These data support RALP as a safe and effective treatment option for ureteropelvic junction obstruction in pediatric patients. Key words: pyeloplasty – ureteropelvic junction obstruction – pediatric urology – robot-assisted surgery

Úvod

Vrozená obstrukce pyeloureterální junkce (PUJ) je abnormalita definovaná jako nedostatečný odtok moči z ledvinné pánvičky do proximálního močovodu, vedoucí k dilataci dutého systému ledviny s možností poškození ledvinných funkcí. Jedná se o nejčastější příčinu dilatace kalichopánvičkového systému (KPS) u dětí [1]. Dnes je zlatým standardem resekční pyeloplastika s přerušením močovodu publikovaná Andersonem a Hynesem v roce 1949 jako otevřená operace [2]. První laparoskopická pyeloplastika byla publikována Schuesslerem et al v roce 1993 [3]. První roboticky asistovaná pyeloplastika (RALP – robot-assisted laparoscopic pyeloplasty) u dětí byla provedena v roce 2002 v Bostonu, USA [4,5]. RALP u dětí, podobně jako laparoskopická pyeloplastika, je spojena s kratší dobou hospitalizace a s menší spotřebou analgetik a menšími krevními ztrátami, avšak s delším operačním časem v porovnání s otevřenou operací [6]. RALP přináší zkrácení doby

Obr. 1. Poloha pacienta na boku na začátku operace. Fig. 1. Patient positioning in the lateral decubitus position at the beginning of the operation.

operace v porovnání s laparoskopií, při robotické operaci je provedení anastomózy jednodušší, což vede k preferenci této metody [7]. Další výhodou mohou být menší jizvy spojené s lepším kosmetickým efektem [8]. Tato práce si klade za cíl zhodnotit uplynulou dekádu provádění RALP u dětí na našem pracovišti, popsat vývoj techniky a dosažené výsledky.

Materiál a metody

V naší institucionální databázi byli retrospektivně vyhledáni pacienti ≤ 18 let, kteří podstoupili RALP mezi březnem 2014 a květnem 2025. K operaci byli indikováni pacienti s izolovanou dilatací KPS III.–IV. stupně definovanou podle Society for Fetal Urology a s poklesem relativní funkce ledviny (< 40 %), nebo s poklesem relativní funkce ledviny o 10 % v následném sledování, při jednoznačném průkazu obstrukce po podání furosemidu při MAG3 scintigrafii nebo bolestivé symptomatologii, lateralizované močové infekci, či litiáze [1].

Obr. 2. Umístění tří robotických troakarů u malých dětí spolu s jedním asistenčním portem.

Fig. 2. Placement of three robotic trocars in small children, together with one assistant port.

30(1): 24–29

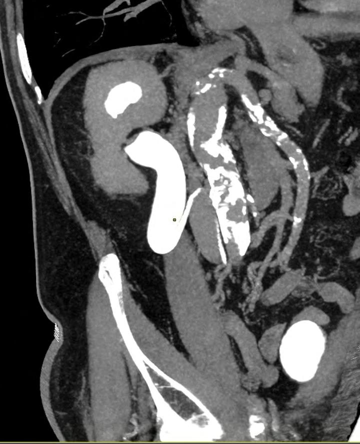
Obr. 3. Zavedená pyelostomie do ledvinné pánvičky a vedená retroperitoneem kolem dolního pólu ledviny u 12letého pacienta s křižující akcesorní cévou vedoucí k dolnímu pólu levé ledviny.

Fig. 3. Pyelostomy inserted into the renal pelvis and placed retroperitoneally around the lower pole of the kidney in a 12-year-old patient with a crossing accessory vessel supplying the lower pole of the left kidney.

U všech pacientů bylo provedeno standardizované UZ vyšetření uropoetického traktu a diuretická MAG3 scintigrafie. CT urografie nebyla rutinně indikována. DJ stent před operací (prestenting) byl zaveden pouze v případě symptomatických hydronefróz s výraznými bolestmi nebo infekcemi.

Operace byly provedeny na robotickém operačním systému druhé generace da Vinci Si® do září 2016 (n=9), od července 2018 byly provedeny na novém systému čtvrté generace da Vinci Xi® (Intuitive Surgical, Inc.). Ve všech případech byl použit standardní multiportový přístup. Všechny operace byly provedeny transperitoneálně a vždy byla provedena pyeloplastika s přerušením močovodu dle Andersona a Hynese [2]. Resekce pánvičky byla zvolena dle míry dilatace pánvičky a anatomických poměrů zjištěných během operace. Výkony byly provedeny ve standardní poloze na boku se sklonem 45–60° (obr. 1). Kapnoperitoneum s tlakem 8 mmHg bylo založeno vždy otevřenou technikou dle Hassona, při níž je z malé laparotomie v medioklavikulární čáře asi 1–2 cm kraniálně od pupku vypreparován vstup pro kamerový port. U da Vinci Si® byl použit 12mm kamerový port, dva 8mm robotické troakary spolu s 12mm asistenčním portem. U da Vinci Xi® byly využity čtyři 8mm trokary a jeden 8mm asistenční port. U malých dětí do 10 let věku byly pro menší rozměry břicha použity pouze tři 8mm robotické troakary spolu s jedním 8mm asistenčním portem (obr. 2). K provedení anastomózy a uzavření pánvičky byly použity vstřebatelné monofilamentní stehy Monocryl® 6-0 nebo 5-0.

Obr. 4. Stejný pacient. Pohled na vyvedenou pyelostomii v přední axilární čáře. Již uzavřené ranky po trokarech.

Fig. 4. The same patient. View of the externalized pyelostomy in the anterior axillary line. Trocar incision sites after closure.

Drenáž byla zajištěna DJ stentem, od roku 2022 pyelostomií, která byla zavedena extraperitoneálně 5mm troakarem v přední axilární čáře. Jako pyelostomie byla použita PVC kalibrovaná cévka (ureterosigmoidostomický katetr Coloplast) CH6 fixovaná Safil® Quick 6-0 k pánvičce (obr. 3 a 4). Pětimilimetrový trokar byl použit pouze pro zavedení pyelostomie, nikoliv pro robotické instrumentárium během vlastního výkonu. Peritoneum bylo vždy uzavřeno vstřebatelným stehem a drén do retroperitonea nebo do dutiny břišní nebyl standardně zaveden.

Po operaci je močový katetr obvykle odstraněn 2.–3. pooperační den, pyelostomie 9.–10. pooperační den. DJ stent je indikován k extrakci za 6–8 týdnů od operace. Sledování po operaci zahrnuje klinické kontroly na našem pracovišti spolu s UZ vyšetřením ledvin. Kontrolní MAG3 scintigrafii provádíme jen u pacientů s předoperačním poklesem relativní funkce ledviny < 40 %, nebo o 10 % při sledování vývoje dilatace, nebo pokud nedojde po operaci ke zmenšení dilatace KPS o 50 %. První kontrola je provedena po extrakci stentu nebo 3 měsíce po operaci. Další kontrola je provedena dle UZ nálezu za 3–6 měsíců. Pacienti jsou podle UZ nálezu, případně podle výsledku kontrolní MAG3 scintigrafie předáni do péče spádového nefrologa nebo urologa po min. 2 letech sledování.

Retrospektivně bylo provedeno vyhodnocení demografických údajů, anamnézy − symptomatologie, stupně dilatace KPS ledviny, relativní funkce ledviny, průkazu obstrukce PUJ.

Tab. 1. Vstupní charakteristika souboru.

Tab. 1. Baseline patient characteristics.

Parametr Hodnota

počet pacientů

medián věku (rozmezí)

medián hmotnosti (rozmezí)

lateralita

• levostranné RALP

• pravostranné RALP

dilatace pánvičky

• stupeň III

• stupeň IV

medián anteroposteriorního průměru pánvičky (rozmezí)

42

14 (5–18) let

54 (18,5–80) kg

25 (59,5 %) 17 (40,5 %)

19 (45,2 %) 23 (54,8 %)

26,5 (7–56) mm

medián tloušťky parenchymu (rozmezí) 10 (4–17) mm

další předoperační charakteristiky

• pokles relativní funkce ledviny < 40 %

• bolesti (nefralgie)

• infekce (obstrukční pyelonefritida)

• progrese dilatace

• litiáza

RALP – roboticky asistovaná pyeloplastika

11 (26,2 %) 16 (38,0 %) 5 (11,9 %) 2 (4,8 %) 1 (2,4 %)

Byly posouzeny pooperační komplikace ve vztahu k typu drenáže KPS. Z období pooperačního sledování byla zhodnocena symptomatologie, UZ a případně scintigrafické nálezy vč. doby sledování. Informace byly získány pouze z naší vlastní databáze.

Výsledky

V období od března 2014 do května 2025 bylo provedeno 42 RALP u pediatrických pacientů. Základní demografické charakteristiky souboru jsou shrnuty v tab. 1. Medián věku byl 14 (rozmezí 5–18) let a medián tělesné hmotnosti činil 54 (18,5–80) kg. Levostranné výkony byly provedeny u 25 (59,5 %) a pravostranné u 17 (40,5 %) pacientů. Předoperačně byla dilatace KPS III. stupně zjištěna u 19 (45,2 %) a dilatace IV. stupně u 23 (54,8 %) pacientů. Medián dilatace pánvičky (antero-posteriorní průměr) byl 26,5 (rozmezí 7–56) mm a medián tloušťky parenchymu byl 10 (rozmezí 4–17) mm. U 11 (26,2 %) pacientů byl zjištěn pokles funkce ledviny < 40 %, bolesti (nefralgie) byly přítomny před RALP u 16 (38 %) pacientů. U dalších pěti (11,9 %) pacientů byly přítomny infekce (obstrukční pyelonefritida), progrese dilatace byla zaznamenána u dvou (4,8 %) pacientů, litiáza u jednoho (2,4 %) pacienta.

Medián operačního času byl 121 (rozmezí 43–207) min a medián konzolového času činil 82 (34–157) min. Nejkratší operační čas byl zaznamenán u technicky jednoduchého výkonu u staršího dítěte bez anatomických variací a u zkušeného operačního týmu v pozdější fázi učební křivky. DJ stent byl zaveden u 28 (64,3 %) pacientů a extrahován po mediánu 53 (36–630) dní. U 14 pacientů byla zvolena pyelostomie, extrahovaná po mediánu 10,5 (8–14) dne. Medián délky hospitalizace byl 8 (5–17) dní. Komplikace se vyskytly u 9 (21,4 %) pacientů, přičemž závažné komplikace stupně Clavien ≥ III byly zaznamenány u 4 (9,5 %) pacientů – 2× obstrukce DJ stentu, 1× dislokace stentu a 1× inkrustace stentu. Medián doby sledování po operaci byl 21,5 (rozmezí 4–104) měsíce, přičemž u žádného pacienta nebyla zjištěna stenóza PUJ ani zhoršení renálních funkcí. Perioperační a pooperační výsledky vč. operačních časů, způsobu drenáže, komplikací a funkčních výsledků jsou shrnuty v tab. 2. Celková úspěšnost RALP dosáhla 100 %.

Diskuze

V posledních dvou dekádách se RALP etablovala jako preferovaná miniinvazivní rekonstrukční metoda vedle otevřené a laparoskopické Anderson-Hynesovy pyeloplastiky. V pediatrické populaci však její zavedení do širší praxe probíhalo pomaleji, zejména z důvodu technických limitů u malých dětí, vyšších nákladů a delší učební křivky. Výsledky naší práce potvrzují, že RALP je i v dětském věku bezpečnou a vysoce efektivní metodou léčby obstrukce PUJ.

Úspěšnost RALP v našem souboru byla 100 %, což je plně srovnatelné s výsledky publikovaných zahraničních souborů a metaanalýz, které uvádějí dlouhodobou úspěšnost mezi 94 a 99 % [6,9]. Metaanalýza Cundyho et al neprokázala signifikantní rozdíl v úspěšnosti mezi otevřenou, laparoskopickou a RALP u dětí, avšak robotický přístup byl spojen s kratší dobou hospitalizace, nižší krevní ztrátou a menší potřebou analgetizace ve srovnání s otevřeným výkonem [6]. Tyto závěry jsou v souladu s našimi výsledky, neboť během sledování nebyla zaznamenána restenóza PUJ ani zhoršení renálních funkcí.

Relativně větší délka hospitalizace v našem souboru oproti některým zahraničním pracím pravděpodobně souvisí s odlišnou organizací péče a specifiky provozu dětských oddělení.

Medián operačního času 121 min odpovídá hodnotám uváděným v literatuře, kde jsou u RALP u dětí popisovány operační časy nejčastěji v rozmezí 110–180 min v závislosti na věku dítěte, tělesné hmotnosti a zkušenosti pracoviště [9,10]. Významným aspektem naší série je skutečnost, že do roku 2018 byly výkony prováděny na starším robotickém systému da Vinci Si®, zatímco od roku 2018 byly operace realizovány na systému da Vinci Xi®. Starší platforma Si je spojena s méně flexibilním dockováním a horší ergonomií, což je v pediatrické populaci, vzhledem k omezenému operačnímu prostoru, zvláště limitující. Zavedení systému da Vinci Xi® vedlo na

24–29

našem pracovišti ke zjednodušení portového rozložení (využití čtvrtého ramene), plynulejšímu průběhu výkonů a postupnému nárůstu počtu indikovaných pacientů. Podobné zkušenosti byly popsány i v zahraničních studiích, které dokumentují zkrácení operačního času a lepší technický komfort při použití platformy Xi ve srovnání se systémem Si [10].

Otázka věku a tělesné hmotnosti zůstává klíčovým faktorem při indikaci RALP u dětí. Medián věku našich pacientů byl 14 let, přičemž nejmladší dítě mělo 5 let. Tento konzervativnější indikační přístup odpovídá praxi většiny evropských pracovišť. Přestože jsou v literatuře popsány úspěšné RALP i u kojenců a dětí s hmotností < 15 kg, řada autorů upozorňuje na zvýšenou technickou náročnost výkonu, delší dobu anestezie a sporný přínos robota oproti otevřené operaci v této věkové skupině [9,11]. Naše zkušenosti potvrzují, že největší benefit RALP lze očekávat u starších a hmotnostně větších dětí, u nichž lze plně využít výhod robotické sutury a ergonomie. Způsob pooperační drenáže zůstává předmětem diskuze. V našem souboru byl DJ stent použit u 64,3 % pacientů. Délka ponechání DJ stentu v našem souboru odpovídá historické praxi na pracovišti. Všechny závažné komplikace (Clavien ≥ III) pozorované v tomto souboru byly spojeny právě se stentem. Od roku 2022 jsme u vybraných pacientů zavedli pyelostomii jako alternativní způsob drenáže. Literatura uvádí, že pyeloplastika s drenáží KPS vnitřní drenáží DJ stentem může být spojena s vyšším výskytem stent-related komplikací a nutností sekundárního výkonu k extrakci stentu, zatímco nestentované či pyelostomické postupy mohou tato rizika u pečlivě vybraných pacientů snížit [9,12]. Naše výsledky naznačují, že pyelostomie může představovat bezpečnou alternativu, která navíc eliminuje nutnost další intervence k extrakci stentu často v celkové anestezii. V budoucnu předpokládáme širší využití pyelostomie a případné zkrácení doby ponechání DJ stentu. K definitivním závěrům jsou však zapotřebí větší prospektivní studie.

Celková míra komplikací 21,4 % v našem souboru odpovídá údajům publikovaným v zahraničních pracích, kde se komplikace po RALP u dětí pohybují mezi 15 a 25 %, přičemž závažné komplikace jsou relativně vzácné [9,13]. Důležité je, že žádná z komplikací v našem souboru nevedla k trvalému poškození renální funkce operované ledviny.

V českém kontextu jsou publikovaná data o RALP u dětí zatím velmi omezená, naše pracoviště však prezentovalo několik sdělení na českých i evropských urologických konferencích [14,15]. Existuje však několik prací hodnotících laparoskopickou pyeloplastiku v dětské populaci, které popisují velmi dobré funkční výsledky a nízkou morbiditu. Sedláček et al publikovali zkušenosti s transmezokolickou laparoskopickou pyeloplastikou u dětí s vysokou úspěšností, avšak na menším souboru pacientů a v období, kdy robotická chirurgie v klinické praxi dosud nebyla běžně dostupná [16]. Podobně Kočvara et al potvrdili, že laparoskopická pyeloplastika

Tab. 2. Perioperační a pooperační výsledky RALP.

Tab. 2. Perioperative and postoperative outcomes of RALP.

Parametr Hodnota

medián operačního času (rozmezí) 121 (43–207) min

medián konzolového času (rozmezí)

způsob drenáže

• DJ stent

• pyelostomie

82 (34–157) min

28 (64,3 %) 14 (33,3 %)

medián doby extrakce DJ stentu (rozmezí) 53 (36–630) dní

medián doby extrakce pyelostomie (rozmezí) 10,5 (8–14) dne

medián délky hospitalizace (rozmezí) 8 (5–17) dní

celkový výskyt komplikací 9 (21,4 %) komplikace Clavien ≥ III

• obstrukce DJ stentu

• dislokace DJ stentu

• inkrustace DJ stentu 4 (9,5 %) 2 1 1

medián doby sledování (rozmezí) 21,5 (4–104) měsíce

restenóza PUJ během sledování 0

zhoršení renálních funkcí 0

úspěšnost RALP 100 %

RALP – roboticky asistovaná pyeloplastika, PUJ – pyeloureterální junkce

představuje efektivní miniinvazivní alternativu k otevřené operaci [17]. Ve srovnání s těmito pracemi však RALP přináší technické zjednodušení rekonstrukční fáze výkonu a potenciálně kratší učební křivku, což může představovat jeden z faktorů dalšího rozvoje miniinvazivní chirurgie v dětské urologii v České republice.

Limitací této studie je její retrospektivní charakter a relativně malý počet pacientů operovaných v nižší věkové skupině. Dále není soubor RALP srovnán s kontrolní skupinou (otevřené či laparoskopické pyeloplastiky). Náš soubor také zahrnoval převážně starší děti a adolescenty, což odpovídá konzervativnějšímu indikačnímu přístupu. Studie neobsahuje ekonomickou analýzu nákladů RALP ve srovnání s jinými chirurgickými přístupy. Limitací může být také selektivní indikace kontrolní pooperační MAG3 scintigrafie, což však odpovídá běžné klinické praxi a doporučením některých pracovišť. Silnou stránkou je naopak dlouhé období sledování, které dokumentuje vývoj techniky, přechod mezi

generacemi robotických systémů a výsledky běžné klinické praxe. Naše data podporují závěr, že RALP představuje u dětí, s výjimkou velmi malých pacientů, bezpečnou a vysoce efektivní metodu s potenciálem stát se preferovaným chirurgickým přístupem při léčbě obstrukce PUJ.

Závěr

Naše zkušenosti ukazují, že roboticky asistovaná Anderson-Hynesova pyeloplastika představuje u dětí bezpečnou a vysoce efektivní metodu léčby obstrukce PUJ. Výsledky jsou

Literatura

srovnatelné jak se zahraničními soubory, tak i s českými zkušenostmi s laparoskopickou pyeloplastikou. S výjimkou velmi malých pacientů lze RALP považovat za preferovaný miniinvazivní chirurgický přístup, zejména na pracovištích s dostatečnými zkušenostmi v robotické a dětské urologii.

Střet zájmů: Autoři prohlašují, že nemají žádný konflikt zájmů.

Prohlášení o podpoře: Zpracování tohoto článku nebylo podpořeno žádnou společností.

1. Radmayr C, Bogaert G, Bujons A et al. EAU Guidelines on Pediatric Urology. In: European Association of Urology Guidelines, 2025 edition. European Association of Urology 2025: 59.

2. Anderson JC, Hynes W. Retrocaval ureter; a case diagnosed pre-operatively and treated successfully by a plastic operation. Br J Urol 1949; 21(3): 209–214. doi: 10.1111/j.1464-410x.1949.tb10773.x.

3. Schuessler WW, Grune MT, Tecuanhuey LV et al. Laparoscopic dismembered pyeloplasty. J Urol 1993; 150(6): 1795–1799. doi: 10.1016/ s0022-5347(17)35898-6.

4. Gettman MT, Peschel R, Neururer R et al. A comparison of laparoscopic pyeloplasty performed with the davinci robotic system versus standard laparoscopic techniques: initial clinical results. Eur Urol 2002; 42(5): 453–457. doi: 10.1016/s0302-2838(02)00373-1.

5. NewYork-Presbyterian Hospital. First Robotic Urologic Surgery on a Child in NYC Performed at New York Weill Cornell. [online]. Available from: https://www.nyp.org/news/first-robotic-urologic-surgery-on-a-child-in-nyc-performed-at-ny#.

6. Cundy TP, Harling L, Hughes-Hallett A et al. Meta-analysis of robot-assisted vs conventional laparoscopic and open pyeloplasty in children. BJU Int 2014; 114(4): 582–594. doi: 10.1111/bju.12683.

7. Silay MS, Danacioglu O, Ozel K et al. Laparoscopy versus robotic-assisted pyeloplasty in children: preliminary results of a pilot prospective randomized controlled trial. World J Urol 2020; 38(8): 1841–1848. doi: 10.1007/s00345-019-02910-8.

8. Ghidini F, Bortot G, Gnech M et al. Comparison of cosmetic results in children >10 years old undergoing open, laparoscopic or robotic-assisted pyeloplasty: a multicentric study. J Urol 2022; 207(5): 1118–1126. doi: 10.1097/JU.0000000000002385.

9. Esposito C, Cerulo M, Lepore B et al. Robotic-assisted pyeloplasty in children: a systematic review of the literature. J Robot Surg 2023; 17(4): 1239–1246. doi: 10.1007/s11701-023-01559-1.

10. Chun B, Ayyash O, Schneck FX et al. Comparison of perioperative outcomes and cost for pediatric robotic pyeloplasty using the Da Vinci Si and Xi surgical systems. J Pediatr Urol 2026; 22(1): 105529. doi: 10.1016/j.jpurol.2025.07.022.

11. Avery DI, Herbst KW, Lendvay TS et al. Robot-assisted laparoscopic pyeloplasty: multi-institutional experience in infants. J Pediatr Urol 2015; 11(3): 139.e1–139.e5. doi: 10.1016/j.jpurol.2014.11.025.

12. Kočvara R, Sedláček J, Drlík M et al. Unstented laparoscopic pyeloplasty in young children (1–5 years old): a comparison with a repair using double-J stent or transanastomotic externalized stent. J Pediatr Urol 2014; 10(6): 1153–1159. doi: 10.1016/j.jpurol.2014.04.017.

13. Gu H, Liu Y, Lv J. Comparative outcomes of robotic-assisted and conventional laparoscopic pyeloplasty in pediatric patients: a decade of evidence. J Robot Surg 2025; 19(1): 436. doi: 10.1007/s11701-025-02618-5.

14. Študent V jr, Hartmann I, Šmakal O. Roboticky asistovaná pyeloplastika u pacientů ≤ 18 let věku. Ces Urol 2022; 26(Suppl. A): 55.

15. Studentova Z, Student V jr, Sarapatka J et al. Robot-assisted Anderson-Hynes pyeloplasty for ureteropelvic junction obstruction in children. Eur Urol Open Sci 2025; 79: S27. doi: 10.1016/s2666-1683(25)00340-4.

16. Sedláček J, Kočvara R, Molčan J et al. Transmesocolic laparoscopic pyeloplasty in children: a standard approach for the left-side repair. J Pediatr Urol 2010; 6(2): 171–177. doi: 10.1016/j.jpurol.2009.06.010.

17. Kočvara R, Sedláček J, Vraný M et al. Laparoskopická a retroperitoneoskopická pyeloplastika. Ces Urol 2003; 7(4): 6–10. doi: 10.48095/cccu2003021.

Ces Urol 2026; 30(1): 24–29

Kombinace systémové a chirurgické léčby u pacienta s primárně

inoperabilním renálním karcinomem podkovovité ledviny: význam multioborové spolupráce –aktualizované výsledky 3letého

sledování

Combination of systemic and surgical treatment in a patient with primarily inoperable renal cell carcinoma in a horseshoe kidney: the importance of multidisciplinary collaboration – updated results of 3-year follow-up

Souhrn: Primárně inoperabilní, lokálně pokročilý renální karcinom představuje významnou výzvu v uroonkologii. Ačkoliv systémová léčba není v této indikaci standardní součástí terapeutického postupu, u pečlivě vybraných pacientů může vést k regresi onemocnění a umožnit následnou chirurgickou resekci. Prezentujeme aktualizované výsledky 3letého sledování pacienta s iniciálně inoperabilním nálezem, u něhož systémová terapie vytvořila podmínky pro následnou úspěšnou chirurgickou intervenci.

Klíčová slova: renální karcinom – systémová terapie – regrese – chirurgická léčba

Summary: Primarily inoperable, locally advanced renal cell carcinoma represents a significant challenge in uro-oncology. Although systemic therapy is not a standard component of treatment in this setting, in carefully selected patients it may lead to disease regression and enable subsequent surgical resection. We present updated results of a 3-year follow-up of a patient with an initially inoperable finding in whom systemic therapy created the conditions for a subsequent successful surgical intervention.

Key words: renal cell carcinoma – systemic therapy – regression – surgical management

Jiří Herman1

Vladimír Študent jr.1

Aleš Vidlář1

Anežka Zemánková2

Igor Hartmann1

1 Urologická klinika

LF UP a FN Olomouc

2 Onkologická klinika

LF UP a FN Olomouc 

MUDr. Jiří Herman Urologická klinika

LF UP a FN Olomouc

Zdravotníků 248/7

779 00 Olomouc 9 Jiri.herman2@fnol.cz

Doručeno: 1. 12. 2025

Přijato: 7. 2. 2026

Úvod

Renální karcinom je z hlediska incidence 14. nejčastějším nádorovým onemocněním celosvětově. V roce 2022 dosáhl počet nově diagnostikovaných případů karcinomu ledviny 434 419 (což představuje 2,2 % všech nádorů na světě), zatímco počet úmrtí činil 155 702 (což představuje 1,6 % všech nádorů na světě) [1]. Česká republika vykazuje celosvětově jednu z nejvyšších incidencí zhoubných nádorů ledvin [2]. U metastatického světlobuněčného renálního karcinomu (ccRCC – clear-cell renal cell carcinoma) je standardem léčby systémová terapie, u lokalizovaného onemocnění je to chirurgická resekce [3]. Klinickou výzvu představují nádory lokálně pokročilé, a tedy obtížně operabilní, u nichž není systémová léčba před operací zatím standardně indikována, avšak může být zvážena u vybraných specifických případů s cílem zmenšení rozsahu primárního tumoru a dosažení operability [4]. V roce 2023 jsme prezentovali krátkodobé výsledky resekce podkovovité ledviny s primárně inoperabilním ccRCC, který regredoval po systémové léčbě, čímž byl umožněn záchovný výkon na ledvině [5]. Cílem této kazuistiky je přinést dlouhodobé výsledky sledování tohoto pacienta.

Kazuistika

Pacient, 52 let, bez závažnějších komorbidit či renální insuficience, s výchozím stavem podle Eastern Cooperative Oncology Group (ECOG) 0, byl došetřován pro ataku makroskopické hematurie. CT vyšetření břicha odhalilo objemný tumor pravé části podkovité ledviny velikosti 150 × 120 × 100 mm, klinické stadium cT4 N0 M0 (obr. 1). Konfirmační biopsie byla

provedena pod ultrazvukovou kontrolou. Pro velikost, lokální invazi a rizikovost chirurgického výkonu byla po zvážení multioborovou komisí nasazena systémová léčba nivolumab 240 mg i.v. à 2 týdny + cabozantinib 40 mg p.o. denně dle protokolu klinické studie Checkmate 9ER, která započala 1. 12.  2021. Z důvodu rozvoje hepatotoxicity byla po 6 týdnech kombinovaná léčba deeskalována na monoterapii cabozantinibem. Kontrolní CT vyšetření 3 měsíce od zahájení léčby (obr. 2) prokázalo parciální regresi onemocnění, a proto bylo rozhodnuto o pokračování monoterapie cabozantinibem po dobu dalších 3 měsíců. Následná další regrese (obr. 3) umožnila radikální nefrektomii s R0 resekcí (obr. 4). Pacient zůstává již 3. rok v kompletní remisi (obr. 5).

Diskuze

Neoadjuvantní systémová léčba u vstupně inoperabilního RCC představuje možnost, jak u vybraných pacientů dosáhnout regrese onemocnění a následně umožnit chirurgický výkon. Přestože chirurgická resekce zůstává základní modalitou léčby lokalizovaného RCC [3], u lokálně pokročilých nádorů může být primární operace technicky neproveditelná nebo spojena s nepřijatelným rizikem komplikací a ztráty renální funkce.

Dosavadní klinické zkušenosti ukazují, že neoadjuvantní léčba, zejména s využitím tyrosinkinázových inhibitorů, může vést ke zmenšení primárního tumoru a změně jeho operability, a to i u původně inoperabilních nálezů [6,7]. Efekt této léčby však bývá variabilní a významné patologické odpovědi jsou vzácné. Kombinace imunoterapie s cílenou léčbou

Obr. 1. CT břicha s kontrastní látkou před zahájením terapie v transverzální a koronární projekci dokumentuje objemný tumor podkovovité ledviny velikosti 150 × 120 × 100 mm.

Fig. 1. Contrast-enhanced abdominal CT in transverse and coronal planes prior to treatment initiation demonstrating a bulky tumour of the horseshoe kidney measuring 150 × 120 × 100 mm.

30–34

Obr. 2. CT břicha s kontrastní látkou za 3 měsíce od zahájení léčby v transverzální a koronární projekci dokumentuje parciální regresi onemocnění, velikost tumoru 90 × 60 × 100 mm.

Fig. 2. A 3-month follow-up contrast-enhanced abdominal CT in transverse and coronal planes demonstrating partial disease regression, tumor size 90 × 60 × 100 mm.

Předkládaná kazuistika navazuje na naši dříve publikovanou práci [5]. Přinášíme výsledky dlouhodobého sledování, které potvrzuje přetrvávající kompletní remisi onemocnění i několik let po chirurgickém výkonu. Specifickým aspektem tohoto případu je postižení podkovovité ledviny, které je spojeno se zvýšenou chirurgickou náročností [9]. V této situaci

může neoadjuvantní léčba přispět nejen ke zmenšení rozsahu tumoru, ale i k bezpečnějšímu plánování chirurgického výkonu s cílem dosažení radikální resekce při maximálním zachování funkčního renálního parenchymu.

V současné době není role neoadjuvantní léčby u RCC dosud jasně vymezena a chybí konsenzus ohledně výběru pacientů, délky léčby i hodnocení odpovědi [10]. Dosavadní klinické studie hodnotící neoadjuvantní léčbu RCC tvoří převážně menší studie fáze II [11]. Jediná randomizovaná studie rozšířily léčebné možnosti u metastatického onemocnění a v jednotlivých případech byly úspěšně použity i v neoadjuvantním kontextu [8].

Obr. 3. CT břicha s kontrastní látkou za 6 měsíců od zahájení léčby v transverzální a koronární projekci, velikost tumoru 90 × 50 × 95 mm.

Fig. 3. A 6-month follow-up contrast-enhanced abdominal CT in transverse and coronal planes, tumor size 90 × 50 × 95 mm.

Obr. 4. CT břicha s kontrastní látkou v transverzální a koronární projekci po radikální nefrektomii.

Fig. 4. Contrast-enhanced abdominal CT in transverse and coronal planes following radical nephrectomy.

fáze III v perioperačním uspořádání (studie PROSPER) neprokázala statisticky významný přínos a byla předčasně ukončena pro nedostatečnou účinnost [12]. K negativním výsledkům mohly přispět i metodologické aspekty studie, jako byla heterogenita zařazených nádorů, krátká doba předoperační léčby nivolumabem a vysoký podíl cenzorovaných dat.

V budoucnu se potřebujeme komplexněji zaměřit na tuto problematiku, definovat rizikové skupiny pacientů, identifikovat způsoby hodnocení efektu neoadjuvantí léčby, které léčebné režimy jsou vhodné a také jak dlouhá by měla neoadjuvantní systémová terapie být [11]. Je třeba také zdůraznit nutnost individuální indikace a mezioborové spolupráce při

zvažování neoadjuvantního přístupu. Neoadjuvantní léčba zatím zůstává off-label postupem a může být spojena s významnou toxicitou, což vyžaduje pečlivý výběr pacientů a jejich důsledné sledování [13].

Závěr

V této práci prezentujeme dlouhodobé sledování pacienta se vstupně inoperabilním RCC, u něhož neoadjuvantní systémová léčba umožnila následnou radikální chirurgickou resekci a vedla k dlouhodobé kompletní remisi onemocnění. Neoadjuvantní terapie může u vybraných pacientů s lokálně pokročilým RCC a nepříznivými anatomickými poměry

Obr. 5. CT břicha s kontrastní látkou v transverzální a koronární projekci 3 roky od započetí léčby.

Fig. 5. Contrast-enhanced abdominal CT in transverse and coronal planes performed three years after initiation of treatment.

představovat cestu k dosažení kurativního chirurgického výkonu. Její indikace by měla být zvážena zatím jen v individuálních případech a podání by mělo být založeno na rozhodnutí multidisciplinárního týmu.

Literatura

Střet zájmů: Autoři prohlašují, že nemají žádný konflikt zájmů

Prohlášení o podpoře: Zpracování tohoto článku nebylo podpořeno žádnou společností.

1. Bray F, Laversanne M, Sung H et al. Global cancer statistics 2022: GLOBOCAN estimates of incidence and mortality worldwide for 36 cancers in 185 countries. CA Cancer J Clin 2024; 74(3): 229–263. doi: 10.3322/caac.21834.

2. International Agency for Research on Cancer. GLOBOCAN 2020: Cancer today – kidney cancer internet. Lyon: IARC 2020. [online]. Available from: https://gco.iarc.who.int/today/data/factsheets/cancers/29-Kidney-fact-sheet.pdf.

3. EAU Guidelines. Edn. presented at the EAU EAU Guidelines, Madrid 2025. [online]. Available from: https://uroweb.org/guidelines/ renal-cell-carcinoma.

4. Bindayi A, Hamilton ZA, McDonald ML et al. Neoadjuvant therapy for localized and locally advanced renal cell carcinoma. Urol Oncol 2018; 36(1): 31–37. doi: 10.1016/j.urolonc.2017.07.015.

5. Zemankova A, Studentova H, Kopova A et al. Neoadjuvant nivolumab and cabozantinib in advanced renal cell carcinoma in a horseshoe kidney – how to achieve a safe and radical resection? A case report and review of the literature. Front Oncol 2023; 13: 1115901. doi: 10.3389/ fonc.2023.1115901.

6. Bilen MA, Jiang JF, Jansen CS et al. Neoadjuvant cabozantinib in an unresectable locally advanced renal cell carcinoma patient leads to downsizing of tumor enabling surgical resection: a case report. Front Oncol 2021; 10: 622134. doi: 10.3389/fonc.2020.622134.

7. Roy AM, Briggler A, Tippit D et al. Neoadjuvant cabozantinib in renal-cell carcinoma: a brief review. Clin Genitourin Cancer 2020; 18(6): e688–e691. doi: 10.1016/j.clgc.2020.04.003.

8. Ingels A, Campi R, Capitanio U et al. Complementary roles of surgery and systemic treatment in clear cell renal cell carcinoma. Nat Rev Urol 2022; 19(7): 391–418. doi: 10.1038/s41585-022-00592-3.

9. Roussel E, Tasso G, Campi R et al. Surgical management and outcomes of renal tumors arising from horseshoe kidneys: results from an international multicenter collaboration. Eur Urol 2021; 79(1): 133–140. doi: 10.1016/j.eururo.2020.09.012.

10. European Association of Urology. EAU Guidelines on Renal Cell Carcinoma 2024. [online]. Available from: https://uroweb.org/guidelines/ renal-cell-carcinoma.

11. Bex A, Jewett M, Lewis B et al. A call for a neoadjuvant kidney cancer consortium: lessons learned from other cancer types. Eur Urol 2025; 87(4): 385–389. doi: 10.1016/j.eururo.2025.01.007.

12. Allaf ME, Kim SE, Master V et al. Perioperative nivolumab versus observation in patients with renal cell carcinoma undergoing nephrectomy (PROSPER ECOG-ACRIN EA8143): an open-label, randomised, phase 3 study. Lancet Oncol 2024; 25(8): 1038–1052. doi: 10.1016/S1470-2045(24)00211-0.

13. Motzer RJ, Rini BI, McDermott DF et al. Nivolumab plus ipilimumab versus sunitinib in first-line treatment for advanced renal cell carcinoma: extended follow-up of efficacy and safety results from a randomised, controlled, phase 3 trial. Lancet Oncol 2019; 20(10): 1370–1385. doi: 10.1016/ S1470-2045(19)30413-9.

Urol 2026; 30(1): 30–34

Retrokavální ureter

Retrocaval ureter

Muž, 85 let, byl odeslán praktickým lékařem na urologické vyšetření pro časté mikce, zejména v nočních hodinách. Ultrasonografické vyšetření močových cest prokázalo vpravo patrný megaureter sledovatelný přibližně 5 cm pod dolním pólem pravé ledviny, s dilatací kalichopánvičkového systému (KPS). Při následné CT urografii byla vpravo zjištěna nápadná dilatace KPS a proximální třetiny ureteru s kolénkovitým ohybem, střední třetina ureteru byla štíhlá, zatímco distální třetina hypotonická (obr. 1 a 2). Nález odpovídal vrozené anomálii zvané retrokavální ureter (I. typ dle Batesona a Atkinsona). Jednalo se o náhodný nález bez klinických projevů. Pacient byl o této vrozené vývojové anomálii standardně poučen, bez nutnosti urologické terapie.

Retrokavální ureter je vzácná vývojová anomálie, známá také jako cirkumkavální ureter nebo preureterální vena cava, která vzniká v důsledku abnormálního vývoje dolní duté žíly. Embryologicky k této anomálii dochází při perzistenci pravé subkardiální žíly, z níž se vyvíjí dolní dutá žíla, která zůstává ventrálně vůči ureteru. Ureter proto probíhá za dolní dutou žílou a následně se kolem ní stáčí, aby dosáhl své konečné laterální polohy. Výsledkem je abnormální vztah mezi dolní dutou žílou a ureterem [1].

Bateson a Atkinson rozdělili retrokavální ureter do dvou typů:

• typ I je častější a tvoří přibližně 90 % případů, má charakteristický tvar písmene „S“ nebo „rybího háčku“ a je obvykle asociován se středně těžkou až těžkou hydronefrózou;

• typ II je vzácnější, vyznačuje se mírnějším zakřivením ureteru a většina pacientů s tímto typem je asymptomatická [2].

Retrokavální ureter se nejčastěji klinicky manifestuje ve 3.–4. dekádě života a jeho výskyt je přibližně čtyřikrát častější u mužů než u žen. Klinický obraz je variabilní. Přibližně 80 % pacientů je symptomatických. Nejčastějším projevem je bolest v ipsilaterálním boku, která může být tupá a trvalá nebo kolikovitého charakteru v závislosti na stupni obstrukce. U části pacientů se vyskytuje hematurie (mikroskopická i makroskopická) nebo infekce horních močových cest, zejména akutní pyelonefritida s horečkou, leukocyturií a bakteriurií. Diagnostika této anomálie se opírá o ultrasonografii, která prokazuje dilataci KPS, následovanou CT urografií s 3D rekonstrukcí. CT urografie je metodou volby pro přesné zobrazení anatomických poměrů, vztahu ureteru k dolní duté žíle,

doi: 10.48095/cccu2026006

Alexandra Kucserová1,2

Hynek Skoták3

Milan Král1,3

Daniela Tomášková4

Zbyněk Tüdös1,5

1 LF UP v Olomouci

2 Radiodiagnostické oddělení, Nemocnice AGEL

Valašské Meziříčí a.s.

3 Urologická klinika, FN Olomouc

4 Radiodiagnostické oddělení, Nemocnice AGEL Prostějov a.s.

5 Radiologická klinika, FN Olomouc

MUDr. Alexandra Kucserová

Radiodiagnostické oddělení

Nemocnice AGEL

Valašské Meziříčí a.s.

U Nemocnice 980

757 01 Valašské Meziříčí a.kuncakova@gmail.com

Doručeno: 16. 2. 2026

Přijato: 28. 2. 2026

odlišení jiných retroperitoneálních příčin obstrukce a plánování chirurgické léčby. Magnetická rezonance poskytuje srovnatelné informace bez radiační zátěže nebo nutnosti podání jodové kontrastní látky. Scintigrafie ledvin se využívá spíše výjimečně k hodnocení stupně obstrukce a renální funkce, případně ke sledování asymptomatických pacientů [1,3].

Co se týče léčby pacientů s touto vrozenou anomálií, závisí přístup na klinické manifestaci a renální funkci. U asymptomatických pacientů s normálním renálním scintigrafickým nálezem a zachovanou funkcí ipsilaterální ledviny se upřednostňuje aktivní observace, zatímco u pacientů s afunkční ledvinou je indikována nefrektomie. U všech symptomatických pacientů s obstrukcí je indikována chirurgická léčba. Obstrukce se tradičně řeší pyelopyelostomií, pyeloureterostomií nebo ureteroureterostomií po přerušení ureteru. V současnosti je zlatým standardem miniinvazivní léčba (laparoskopicky nebo roboticky) s antepozicí ureteru před dolní dutou žílu a zavedení DJ stentu na přechodnou dobu 4–6 týdnů od operace.

Střet zájmu: Autoři prohlašují, že nemají žádný konflikt zájmů.

Prohlášení o podpoře: Zpracování tohoto článku nebylo podpořeno žádnou společností.

Obr. 1. CT urografie – MIP (maximum intensity projection) rekonstrukce zobrazující pravostranný retrokavální ureter.

Fig. 1. CT urography – MIP (maximum intensity projection) reconstruction demonstrating a right-sided retrocaval ureter.

Obr. 2. 3D rekonstrukce CT urografie znázorňující pravostranný retrokavální ureter.

Fig. 2. A 3D reconstruction of CT urography depicting a right-sided retrocaval ureter.

Literatura

1. Abdel-Gawad M, Ali-El-Dein B, Barry J (eds). The Ureter: a comprehensive review. 1st ed. Cham: Springer Nature Switzerland 2023; 672.

2. Bateson EM, Atkinson D. Circumcaval ureter: a new classification. Clin Radiol 1969; 20(2): 173–177. doi: 10.1016/s0009-9260(69)80166-2.

3. Abdessater M, El Khoury R, Elias S et al. Diagnosis and laparoscopic management of retrocaval ureter: a review of the literature and our case series. Int J Surg Case Rep 2019; 59: 165–175. doi: 10.1016/j.ijscr.2019.05.036.

Zpráva z 2. vinohradského kazuistického dne

Report from the 2nd Vinohrady case report day

Na urologické klinice FN Královské Vinohrady se dne 27. ledna 2026 uskutečnil druhý ročník Vinohradského kazuistického dne.

Pro tento rok jsme vybrali dva tematické okruhy kazuistik – andrologie a akutní situace na urologické JIP. Akce proběhla v komorním a příjemném prostředí za účasti šesti mladých urologů a dvou zkušených odborných konzultantů, což umožnilo aktivní diskuzi a individuální přístup.

První blok andrologie vedl MUDr. David Čapka. Přednesl zajímavé kazuistiky z denní praxe, sdělil své klinické zkušenosti a předal množství praktických poznatků, které běžný urolog v ambulanci nevidí každý den. V jednotlivých sděleních byly probrány běžné diagnózy jako varikokéla či erektilní dysfunkce, ale i specifické diagnózy, jejichž řešení obvykle probíhá v gesci androloga. Druhá část programu byla věnována

MUDr. Alexandra Gregušová, FEBU

Urologická klinika 3. LF UK a FN Královské Vinohrady Šrobárova 50 100 34 Praha 10 alexandra.gregusova@fnkv.cz

akutním situacím na urologické JIP. Tato část byla pojata velmi prakticky. Pod taktovkou MUDr. Anne Le Roy z kliniky anesteziologie a resuscitace jsme nejdříve probrali několik kazuistik teoreticky, v nichž se hlavní důraz kladl na řešení akutních stavů a diferenciálně diagnostickou rozvahu.

V další části jsme se přesunuli do simulačního centra 3. LF UK v Praze, kde si účastníci mohli vybrané akutní situace a jejich řešení zkusit přímo na simulátoru dospělého pacienta. Ve dvojicích si mohli nacvičit řešení kritických momentů v bezpečném prostředí a prohloubit své praktické dovednosti.

Celkově se jednalo o velmi přínosnou akci, která nabídla účastníkům nové poznatky i cenný praktický trénink a prostor pro individuální odbornou diskuzi.

Další ročník proběhne koncem ledna roku 2027, budeme se těšit na váš zájem a účast.

Soutěž ČUS

Soutěž ČUS o nejlepší původní vědeckou práci publikovanou v časopise Česká urologie 2026

Do soutěže lze přihlásit práce publikované v časopise Česká urologie od 1. 1. do 31. 12. 2026. První autor práce musí být členem ČUS a aktivním urologem působícím v České republice. Kompletní pravidla pro udílení cen ČUS naleznete na webových stránkách ČUS

Vítězné práce budou vyhlášeny a oceněny na Výroční konferenci ČUS 2027. Výsledky budou následně zveřejněny v časopise Česká urologie a na webových stránkách ČUS.

Připomínáme, že uzávěrka pro přihlašování prací za rok 2025 je 1. 7. 2026

JARNÍ EDUKAČNÍ UROLOGICKÉ

SYMPOZIUM 2026

24. – 25. 4. 2026

Registrace bude spuštěna v lednu 2026

KONFERENČNÍ CENTRUM ENSANA, MARIÁNSKÉ LÁZNĚ JEUS26

Jarní edukacní urologické sympozium

Vážené kolegyně a kolegové,

rádi bychom Vás pozvali 24. – 25. 4. 2026 k účasti na dalším ročníku tradičního Jarního edukačního urologického sympozia/JEUS pořádaném Českou urologickou společností. Letos je to již jubilejní desátý JEUS. Poslední dva ročníky byly trochu atypické, v Mikulově 13. – 14. 6. 2024 byl na počest plzeňského uropatologa prof. Ondřeje Hese spojen se setkáním s patology. A loňský ročník v Praze 25. – 26. 4. 2025 byl zase organizován společně s Central European Meeting. CEM 2026 se bude mimochodem konat o týden dříve v polském Krakově. Původně byl JEUS 26 plánován na stejný datum jako CEM 2026 a museli jsme jej proto o týden odložit. JEUS 26 nás přivede na západ Čech, do překrásných Mariánských Lázní. Naposledy jsme západ Čech navštívili 2019, konkrétně tehdy Karlovy Vary. Akce proběhne v Konferenčním centru hotelu Ensana. Mariánské lázně se mj. zabývají léčbou urologických onemocnění, takže můžeme poznat, kam naše klienty odesíláme. O balneologii bude jednáno i v rámci odborného programu. Jistě si vedle odborných sdělení najdeme čas navštívit alespoň blízkou Zpívající fontánu s přilehlými kolonádami či jiné dominanty Mariánských Lázní.

Na přípravě odborného programu se letos společně s výborem ČUS podílí lékaři Urologické kliniky LF UK a FN Plzeň. Opět formou přehledných přednášek a praktických kurzů chceme předat urologům nejnovější poznatky zejména u méně často probíraných témat z urologie a oborů příbuzných. Formát bude zvyklý, tedy přednášky v pátek odpoledne a v sobotu dopoledne. Praktické kurzy (tzv. HoT – hands on training) budou zaměřené na endoskopii. Zpestřením celé akce bude páteční diskuzní večer (24. 4. 2026) v prostorách Centrálních Lázní.

Jako obvykle rádi uvítáme co nejvíce kolegů v předatestační přípravě, doufáme, že jim to jejich starší kolegové na pracovišti umožní.

Novinky o akci sledujte na stránkách ČUS www.cus.cz a na síti X (Twitter) pod hashtag #JEUS26.

Těšíme se na setkání s Vámi na západě Čech

Organizační zajištění:

Zpráva z uroonkologické sekce konference PragueONCO 2026

Report from the urooncology section of the PragueONCO 2026 conference

Ve dnech 28.–30. ledna 2026 se uskutečnil 17. ročník pražského multioborového kolokvia PragueONCO 2026. Zavedený onkologický kongres nabídl devět bloků v rámci hlavní lékařské sekce, šest paralelních lékařských sekcí, deset minikolokvií a dvě paralelní nelékařské sekce. Celkem se zaregistrovalo 1 202 účastníků. Urologická sekce nazvaná Za hranice současné klinické péče: perspektivy a limity terapie urologických malignit (Beyond Current Clinical Practice: Perspectives and Limitations of Treatment for Urological Malignancies) potvrdila, že uroonkologie v současnosti stojí na prahu významných změn. V letošním roce proto bylo v závěru každého ze vstupů zařazeno interaktivní hlasování, které odborné veřejnosti v publiku umožnilo vyjádřit svůj názor ohledně aktuálních trendů v našem oboru.

prof. MUDr. Viktor Soukup, Ph.D., FEBU, MHA

Urologická klinika

1. LF UK a VFN

Ke Karlovu 459/6 128 00 Praha 2 viktor.soukup@vfn.cz

V odborném panelu letos zasedli prof. Luboš Petruželka, prof. Marek Babjuk, prof. Viktor Soukup, prof. Shahrokh F Shariat, prof. Alexandr Poprach a MUDr. Martin Matějů, s nímž na organizaci celé sekce spolupracoval MUDr. Stanislav Hloušek. Ambicí organizátorů bylo zaměřit se na nosná témata, která budou v nejbližších letech formovat naši každodenní praxi, čemuž odpovídal jak obsah jednotlivých vstupů, tak otázky v následném hlasování.

Úvodního sdělení se ujal prof. Shahrokh F. Shariat, přednosta Urologické kliniky Lékařské univerzity ve Vídni a vedoucí Komplexního onkologického centra tamtéž. Ve své přednášce „BCG Today and Tomorrow“ shrnul aktuální postavení intravezikální BCG (Bacillus Calmette-Guerin) terapie u vysoce rizikového neinvazivního karcinomu močového

Obr. 1. Přednášející doc. MUDr. Jindřich Kopecký, Ph.D (vlevo), a prim. MUDr. PharmDr. Jan Dvořák (vpravo).

Fig. 1. The lecturers Assoc. Prof. Jindřich Kopecký, MD, PhD (on the left), and Jan Dvořák, MD, PharmD (on the right).

Obr. 2. Předsednictvo sekce uroonkologie.

Fig. 2. Presidium of the urooncology section.

Zdroj fotografií: We Make Media, s. r. o.

měchýře. Zdůraznil, že udržovací BCG terapie zůstává s dlouhodobě prokázaným přínosem v prevenci progrese i zlepšení přežití stále základním pilířem léčby. Upozornil však rovněž na její limity: 30–40 % pacientů je refrakterních nebo jim BCG terapie selhává, léčba bývá spojena s určitou mírou toxicity a léčebný preparát celosvětově čelí výpadkům dostupnosti. Chybí navíc spolehlivé biomarkery pro indikaci vhodných kandidátů, kteří z terapie budou profitovat. Přednášející zaměřil pozornost na probíhající klinické studie kombinující BCG s inhibitory kontrolních bodů imunity, jako je např. CREST, ALBAN či POTOMAC. Data naznačují statisticky významné zlepšení některých parametrů, zároveň ale ukazují vyšší výskyt nežádoucích účinků stupně ≥ 3. „BCG není passé, ale samo o sobě někdy nedostačuje. Na druhou stranu jej checkpoint inhibitory nemohou jen tak jednoduše nahradit,“ shrnul výmluvně téma prof. Shariat. V následném hlasování vyjádřila většina přítomných odborníků názor, že nové léčebné postupy či jejich kombinace budou mít do budoucna významnou relevanci pro klinickou praxi. Diskuze se potom soustředila především na otázku správné selekce pacientů a klinické významnosti dosažených benefitů.

Prof. Alexandr Poprach ve sdělení nazvaném „Záchovné postupy u svalovinu invadujícího karcinomu močového měchýře (MIBC) v éře imunoterapie a role ctDNA: Nazrál čas ke změně paradigmatu?“ připraveném ve spolupráci s kolegy z Masarykova onkologického ústavu v Brně doc. Michalem Staníkem a doc. Radkem Lakomým shrnul možnosti multimodálního přístupu kombinujícího systémovou léčbu s radioterapií a dostupná data reflektující potenciál i meze

neprovedení standardní radikální cystektomie. Závěrem zdůraznil zásadní úlohu správné selekce pacientů a potřebnost dalšího důkazního materiálu ohledně dlouhodobé onkologické bezpečnosti záchovných postupů. Hlasování ukázalo, že většina auditoria považuje záchovné postupy za perspektivní terapeutickou možnost, ovšem za podmínky, že bude možné jednoznačně validovat dosažení kompletní remise i bez provedení radikální cystektomie. Z následné diskuze vyplynulo, že klíčem zůstává správná indikace pacientů a dostupnost zkušeného multidisciplinárního týmu.

Doc. Jindřich Kopecký z Fakultní nemocnice v Hradci Králové shrnul téma cytoredukčních postupů a experimentální roli neoadjuvantní imunoterapie u renálního karcinomu (obr. 1). V hlasování se většina účastníků přiklonila k názoru, že neoadjuvantní imunoterapie by se do budoucna mohla stát součástí léčebného schématu, především však u užší skupiny precizně selektovaných pacientů.

Prim. MUDr. PharmDr. Jan Dvořák z pražské Fakultní nemocnice Královské Vinohrady ve svém vstupu s názvem „Znovunasazení imunoterapie v léčbě RCC – realita, či slepá ulička?“ vyjádřil na základě dostupných dat názor, že v současnosti není u metastatického světlobuněčného renálního karcinomu podpora pro rutinní užití další imunoterapie při selhání v předchozí linii (obr. 1). V případě adjuvantního podání pak záleží na době do relapsu, kde se odborníci shodují na časovém období 1 roku. Hlasování ukázalo, že znovunasazení imunoterapie je v odborných kruzích stále považováno za nevyřešenou otázku, přičemž v klinické praxi se podle auditoria nelze rozhodovat jen na základě výsledků dostupných

studií. Téma vyvolalo živou diskuzi zejména v kontextu sekvenování léčby a narůstajícího počtu pacientů exponovaných checkpoint inhibitorům v časných liniích.

Uroonkologická sekce letošního ročníku potvrdila, že uroonkologie představuje dynamicky se rozvíjející obor, kde se hranice možností klinické péče neustále posouvají, a tento

trend lze očekávat i do budoucna (obr. 2). V jednotlivých diskuzích pak byla opakovaně tematizována nutnost individualizace onkologické léčby a správné stratifikace rizik. Interaktivní formát pak představoval cenný nástroj umožňující okamžitou reflexi diskutovaných dat na základě klinické zkušenosti odborné veřejnosti v auditoriu.

POKROKY

VE FUNKČNÍ

UROLOGII A

UROGYNEKOLOGII

28.–29. 5. 2026

Kyjov, Městské kulturní středisko

Pořadatel: Urologické oddělení Nemocnice Kyjov

Záštita : Sekce urodynamiky, neurourologie a urogynekologie (SUNU) České urologické společnosti ČLS J. E. Purkyně

Odborný garant: Prim. MUDr. Miroslav Krhovský

Organizační zajištění: SOLEN, s. r. o., Lazecká 297/51, 779 00 Olomouc

CZECH UROLOGY

WWW.CZECHUROL.CZ

Pokyny

pro autory

ÚVOD

Časopis Česká urologie je oficiálním periodikem České urologické společnosti ČLS JEP (ČUS) a vychází 4× ročně pouze v elektronické podobě, a to na www.czechurol.cz.

Časopis je otevřený i pro nečleny ČUS. Přijímá původní práce, přehledové články, kazuistiky, videa a příspěvky z urologické praxe v obrazech. Další součástí časopisu jsou editorialy, komentáře k jednotlivým sdělením, informace o nových knihách nebo recenze, zprávy z akcí, biografie významných osobností, zprávy Výboru ČUS, osobní zprávy a dopisy redakci.

Přehledové články, původní práce, videa a kazuistiky podléhají recenznímu řízení dvou nezávislých recenzentů a jsou schvalovány výkonnou redakční radou a redakční radou. Recenze je oboustranně anonymní. Veškerá komunikace stran přijetí článku do redakce i recenzního řízení probíhá prostřednictvím redakčního systému ACTAVIA.

Uveřejněná práce se stává majetkem časopisu Česká urologie a přetisknout její část v jiné publikaci lze jen s citací původu.

Zpracování původních prací, přehledových článků, videí, příspěvků z urologické praxe v obrazech a vypracování recenzních posudků je honorováno.

RUKOPIS

Autor příspěvku je odpovědný za originalitu příspěvku i za to, že jej nepublikoval, ani jeho část, v jiném médiu (vč. elektronického).

Autor vloží rukopis do elektronického redakčního systému ACTAVIA, který je dostupný na www.czechurol.cz. Redakce autora neprodleně uvědomí o obdržení a zařazení do recenzního řízení, pokud předložený rukopis splňuje všechny požadavky. Redakce si vyhrazuje právo na základě recenzního řízení rozhodnout nejdéle do 2 měsíců o přijetí či odmítnutí

Č as O pis ČE ské UROLOG i C ké sp OLEČ n O s T i ČL s JE p

příspěvku. Do tohoto termínu autor zaručuje, že práci nenabídne k publikaci jinde. O definitivním přijetí příspěvku či odmítnutí bude autor písemně informován. Termín rozhodnutí se může prodloužit, pokud bude autor na základě připomínek recenzenta požádán o opravu. Požadovaným jazykem je čeština, po domluvě s redakcí může být akceptována i slovenština a angličtina.

Rozsah rukopisu závisí na typu článku. Jedná se o obecná doporučení, po domluvě s redakcí lze v odůvodněných případech požadovaný rozsah upravit.

• Původní práce (Original Article) do 3 500 slov, max. 30 citací.

• Přehledový článek (Review) do 5 000 slov (cca 20 stran rukopisu), max. 50 citací.

• Video do 7 min, max. 10 citací; souhrn a klíčová slova v českém/slovenském a anglickém jazyce; komentář a titulky jsou kromě češtiny akceptovány také v angličtině (další informace viz odkaz „Video”).

• Kazuistika (Case Report) do 1 500 slov, max. 10 citací.

• Z urologické praxe v obrazech do 250 slov (1 normostrana), max. 5 citací a 8 obrázků, bez souhrnu a klíčových slov.

• Zprávy z vědeckých setkání a konferencí do 500 slov (2 normostrany), max. 8 fotografií.

• Recenze do 500 slov (2 normostrany), event. s nutnými přílohami a citacemi.

• Dopisy redakci/Diskuze do 500 slov (2 normostrany), max. 7 citací.

• Zprávy/Osobní zprávy do 500 slov (2 normostrany).

• Jubilea významných osobností do 750 slov (3 normostrany) + fotografie.

Je také možné (po dohodě s šéfredaktorem) publikovat abstrakta z odborných akcí.

43–46

FORMA RUKOPISU

Rukopis připravujte preferenčně v programu MS Word. Užívejte řádkování 1,5 a velikost písma 12 bodů, nejlépe Times New Roman.

Rukopis musí obsahovat následující části:

• titulní strana;

• souhrn (abstrakt) a klíčová slova v českém/slovenském a anglickém jazyce;

• vlastní text publikace (event. vč. poděkování) v češtině (případně po domluvě ve slovenštině či angličtině);

• seznam citované literatury;

• obrazová dokumentace (obrázky, grafy, tabulky, schémata) vč. legendy v českém/slovenském a anglickém jazyce.

Titulní strana rukopisu

Titulní strana by měla obsahovat následující položky:

• název sdělení v českém/slovenském a anglickém jazyce;

• jména všech autorů s uvedením jejich pracovišť;

• kontaktní informace pro korespondenci s autorem (jméno, příjmení, adresa pracoviště, telefon a e-mail);

• strukturovaný souhrn a klíčová slova v českém/slovenském a anglickém jazyce (viz níže);

• prohlášení o podpoře (nezávislý článek, státní grant, firemní grant) a příp. střetu zájmů.

Strukturovaný souhrn a klíčová slova

Cílem souhrnu je stručně informovat čtenáře o obsahu článku v krátkém a snadno pochopitelné textu v maximálním rozsahu 250 slov. Je přebírán zahraničními databázemi, proto je vhodné přípravě věnovat pozornost. U původních prací by měl mít následující strukturu:

• Cíl – jedna až dvě věty charakterizující stav problematiky a cíl práce;

• Soubor pacientů (materiál) a metoda – charakteristika sledovaného souboru, použité metody;

• Výsledky – nejvýznamnější výsledky, vyjádřené numericky, s udáním statistické významnosti;

• Závěr – co z dané studie vyplývá.

V souhrnu neuvádějte odkazy na literaturu a nepoužívejte nevysvětlené zkratky.

Klíčová slova v počtu do 5 v abecedním pořadí umístěte v českém/slovenském a anglickém jazyce pod textem souhrnu (podle Medical Subject Heading, který lze nalézt na http://www.nlm.nih.gov/mesh/MBrowser.html).

Text publikace

Rukopis musí splňovat pravidla pro publikování v biomedicínských časopisech stanovených organizací ICMJE (International Committee of Medical Journal Editors – http://www. icmje.org/ethical_1author.html). Používejte styl obvyklý

v medicínských časopisech. Vědecká sdělení čleňte přibližně dle následující struktury:

• Úvod;

• Soubor pacientů (materiál) a metoda (metodika);

• Výsledky;

• Diskuze;

• Závěry;

• Literatura.

Na závěr zařaďte seznam tabulek a obrázků vč. jejich popisu. V odstavci Metody popište použité přístroje, software, udejte typ a výrobce/prodejce.

Názvy přístrojů a léčiv musí být doprovázeny v závorce uvedeným jménem a sídlem výrobce. Kromě firemních názvů léčivých přípravků uvádějte pokud možno vždy jejich generické názvy.

Všechny použité zkratky vysvětlete v závorce při jejich prvním použití v textu (s výjimkou nejběžnějších, jakými jsou např. jednotky, JIP, CT).

Uveďte poděkování kolegům, sponzorům či podporovatelům projektu.

Používejte jen jednotky SI, za číslem užívejte oficiální symbol jednotky. Na začátku věty nepoužívejte číslovku, ale slovo.

Statistické zpracování

Použité statistické metody popište detailně, aby čtenáři mohli jednoznačně identifikovat způsob zpracování výsledků. Můžete diskutovat vhodnost použitých metod, experimentálního uspořádání, případně randomizace. Vysvětlete statistické zkratky a značky, které nejsou běžné.

Tabulky

Tabulky je třeba dodat v  editovatelné podobě (MS Word či MS Excel). Legendu k tabulkám uvádějte v českém/slovenském i anglickém jazyce. Vysvětlivky umístěte pod čarou a vysvětlete užité zkratky.

Grafy, schémata a obrázky

Grafy a schémata je třeba dodat v  editovatelné podobě (MS Excel) vč. zdrojových dat a očíslovat v pořadí, jak jdou za sebou.

Grafické soubory vytvořené pomocí statistických programů (např. Statsoft STATISTICA aj.) zasílejte v běžných vektorových formátech (např. .emf, .wmf, .svg apod.), v žádném případě ne ve formátu MS Word. Obrázky by měly text podporovat a vysvětlovat, nikoliv zdvojovat.

Obrázky zasílejte pouze v dostatečně vysokém rozlišení (300 dpi), barevném formátu RGB nebo CMYK. Doporučujeme používat nízkou nebo žádnou kompresi („vysoká kvalita“) a zasílat soubory ve formátu .jpg, .tif, .bmp nebo .cdr (Corel Draw).

Přílohy nesmí obsahovat osobní údaje, čísla chorobopisů, čísla vyšetření a osoby nesmí být identifikovatelné. Každý graf, schéma nebo obrázek uložte jako samostatný soubor a pojmenujte jej dle pořadového čísla v textu, např. Obr. 1B. jpg.

Mikrofotografie (histologické preparáty) označte zvětšením a uveďte barvení preparátu.

Legendy posílejte v českém/slovenském a anglickém jazyce a s uvedením informací, které umožní porozumět ilustracím bez znalosti vlastního textu sdělení. Zkratky užívejte jen výjimečně.

Video

Video zasílejte prostřednictvím systému ACTAVIA spolu s průvodním dopisem, souhrnem a klíčovými slovy v českém/slovenském a anglickém jazyce. Maximální délka videa je 7 min.

Videa vkládejte do redakčního systému ACTAVIA ve formátech DivX nebo MPEG4 . Jiný formát konzultujte s redakcí (adela.holcakova@carecomm.cz). Video musí obsahovat název, jména autorů a pracoviště, datum vytvoření videa (min. rok). Pro orientaci diváka by měly být důležité úseky doprovázeny českými, slovenskými nebo anglickými titulky či mluveným komentářem.

Abstrakt musí mít strukturovanou formu. Měly by v něm být obsaženy např. informace o zkušenostech pracoviště s danou metodikou, počty provedených výkonů apod.

Je možné přidat i vlastní psaný test v rozsahu do 1 000 slov s max. 2 obrázky a 10 citacemi. Pokud jej uvedete, je možné detailně popsat prezentovanou metodiku.

U hudby musí být vždy zajištěna autorská práva a toto v průvodním dopise deklarovat.

Literatura

Maximální počet odkazů je uveden výše v odstavci Rozsah rukopisu. Důraz by měl být kladen na české zdroje, což bude pozitivně ohodnoceno i v recenzním řízení. Pokud je to možné, vyhýbejte se nepublikovaným sdělením.

Uvádějte jen tři první jména autorů s doplněním formulace et al. Seznam citací číslujte podle pořadí, v jakém se citace postupně objevují v textu (nikoliv abecedně). V textu uvádějte odkaz na citaci arabskou číslicí v hranatých závorkách [1].

Citace knihy pište v pořadí autor, titul, vydání, místo vydání, jméno nakladatele, rok vydání.

Periodikum

1. Manjurul Islam AH, Kato H, Hayama M et al. Are neuroendocrine cells responsible for the development of benign prostatic hyperplasia? Eur Urol 2002; 42(2): 79–93. doi: 10.1016/s0302-2838(02)00269-5.

Kniha

1. Matthews DE, Farewell VT. Using and understanding medical statistics. 3rd ed. New York: WH Freeman 1996; 396.

Kapitola v monografii

1. Huang GJ, Wu YK. Operative techniques for carcinoma of the esophagus and gastric cardia. In: Huang GJ, Wu YK, eds. Carcinoma of the esophagus and gastric cardia. Berlin: Springer; 1984: 313–348.

Online zdroj

1. Uroweb. EAU Guidelines – Sexual and Reproductive Health. [online]. Available from: https://uroweb.org/ guidelines/sexual-and-reproductive-health.

Střet zajmů a prohlášení o podpoře

K publikaci může být přijat pouze rukopis, který nebyl publikován v jiném časopisu. Toto musí být autorem potvrzeno v průvodním dopisu.

Autor při odeslání rukopisu v redakčním systému souhlasí s Licenční dohodou, kde prohlašuje, že „Zpracování článku nebylo podpořeno farmaceutickou či jinou společností, která by nebyla uvedená v textu článku nebo v průvodním dopisu. Všechny společnosti, které zpracování této práce podpořily, jsou v textu článku či dopisu uvedené.“

V textu článku proto uveďte prohlášení, že „Zpracování tohoto článku nebylo podpořeno žádnou společností/bylo podpořeno společností XY.“ V případě, že byla práce podporována grantem, uveďte prosím číslo grantu a název agentury. Obě prohlášení pak budou publikována na konci článku.

Etické aspekty a lidská práva

Pojednává-li článek o studii prováděné na lidských subjektech, musí být v textu kapitoly metodika prohlášení, že studie byla před zahájením schválena etickou komisí (zásady podle Helsinské deklarace z roku 1975 a jejích revizí z let 2004, 2008 a 2013. Všechny prospektivní intervenční studie musejí být zaregistrovány v jedné z veřejně dostupných nekomerčních databází (např. www.clinicaltrials.gov).

Studie na zvířatech musí být v souladu s etickými normami a schváleny komisí jmenovanou k tomuto účelu. Tyto údaje uvede autor v průvodním dopisu.

Detaily o publikovaných pacientech, jako jméno, data narození, rodné číslo, se nesmějí uvádět na fotografiích nebo rodokmenech, pokud nejsou podstatné pro vědecké účely daného článku a pokud k nim nedal pacient písemný souhlas. Osoby na fotografiích nesmějí být identifikovatelné.

ODESÍLÁNÍ RUKOPISU

Kompletní rukopis zašlete do redakce vložením do redakčního systému ACTAVIA (odkaz pro odeslání naleznete na

webových stránkách www.czechurol.cz). Každý rukopis musí mít průvodní dopis, který obsahuje:

• prohlášení, že práce nebyla zadána jinému časopisu ani jinde otištěna, s výjimkou abstrakt a doporučených postupů;

• u klinických studií a studií s pokusy na zvířatech prohlášení, že byl protokol schválen etickou komisí příslušné instituce, současně musí být v metodice uvedena formulace „Protokol byl schválen Etickou komisí (název pracoviště)…“;

• plné jméno a adresu pracoviště, telefon a e-mail kontaktní osoby.

O obdržení rukopisu a jeho přijetí k publikaci budete informováni.

Případné dotazy můžete posílat na adresu:

Mgr. Adéla Holčáková Care Comm s.r.o. Výstaviště 405/1 – správní budova 603 00 Brno adela.holcakova@carecomm.cz tel. 733 337 425

KOMPLEXNÍ

ŠÉFREDAKTOR / EDITOR-IN-CHIEF

prof. MUDr. Milan Hora, Ph.D., MBA

Urologická klinika LF UK a FN Plzeň

VÝKONNÁ REDAKČNÍ RADA / EXECUTIVE EDITORIAL BOARD

doc. MUDr. Antonín Brisuda, Ph.D., FEBU

Urologická klinika 2. LF UK a FN Motol a Homolka, Praha

doc. MUDr. Michal Fedorko, Ph.D., FEBU

Urologická klinika LF UK a FN Brno

doc. MUDr. Michal Staník, Ph.D.

Oddělení onkourologie, MOÚ, Brno

prof. MUDr. Jan Krhut, Ph.D.

Urologická klinika LF OU a FN Ostrava

prof. MUDr. Viktor Soukup, Ph.D., FEBU

Urologická klinika 1. LF UK a VFN v Praze

prof. MUDr. Roman Zachoval, Ph.D.

Urologická klinika 3. LF UK a FTN, Praha

REDAKČNÍ RADA / EDITORIAL BOARD

prof. MUDr. Marek Babjuk, CSc.

Urologická klinika 2. LF UK a FN Motol a Homolka, Praha

prof. MUDr. Miloš Broďák, Ph.D.

Urologická klinika LF UK a FN Hradec Králové

prof. MUDr. Tomáš Büchler, Ph.D.

Onkologická klinika 2. LF UK a FN Motol a Homolka, Praha

doc. MUDr. Otakar Čapoun, Ph.D.

Urologická klinika 1. LF UK a VFN v Praze

as. MUDr. Olga Dolejšová, Ph.D.

Urologická klinika LF UK a FN Plzeň

prof. dr hab. n. med. Tomasz Drewa, FEBU

Urology Department, Nicolaus Copernicus Hospital, Bydgoscz, Polsko

prof. MUDr. Ondřej Fiala, PhD.

Onkologická a radioterapeutická klinika LF UK a FN Plzeň

doc. MUDr. Richard Fiala, CSc, FEBU Causeway Hospital, Coleraine, Severní Irsko

doc. MUDr. Robert Grill, Ph.D.

Urologická klinika 3. LF UK a FNKV, Praha Erik Havranek, MD FEBU FRCS (Urol) Northwick Park Hospital, Harrow a Central Middlesex Hospital, Londýn, GB

Česká urologie / Czech Urology

doc. MUDr. Jiří Heráček, Ph.D., MBA

Urologická klinika 1. LF UK a ÚVN – VFN Praha

MUDr. Jan Hrbáček, Ph.D. Urologické oddělení, FN Bulovka, Praha as. MUDr. Tomáš Pitra, Ph.D. Urologická klinika LF UK a FN Plzeň

doc. MUDr. Kristýna Pivovarčíková, Ph.D. Šiklův ústav patologie LF UK a FN Plzeň

Piotr L. Chlosta, MD, PhD, DSci, FEBU Department of Urology, Jagiellonian University in Krakow, Polsko

MUDr. Milan Král, Ph.D.

Urologická klinika LF UP a FN Olomouc

doc. MUDr. Ivan Minčík, Ph.D. Klinika urológie, FZO PU v Prešově, Slovensko

PD Dr. habil. Vladimír Novotný Urologische klinik, Städtisches Klinikum Görlitz, Německo

prof. Peter Nyirády M.D., Ph.D., D.Sc., FEBU

Department of Urology and Centre for Urooncology, Semmelweis University, Budapešť, Maďarsko

MUDr. Aleš Petřík, Ph.D. Urologické oddělení, FN České Budějovice

MUDr. Jan Schraml, Ph.D. Klinika urologie a robotické chirurgie FZS UJEP a Krajská zdravotní, a.s. –Masarykova nemocnice v Ústí nad Labem, o. z.

doc. MUDr. Vladimír Študent Jr., Ph.D., FEBU

Urologická klinika LF UP a FN Olomouc

prof. MUDr. Ján Švihra, PhD.

Urologická klinika JLF UK a UNM Martin, Slovensko

doc. MUDr. Štěpán Veselý, PhD. Urologická klinika 2. LF UK a FN Motol a Homolka, Praha

MUDr. Robert Wagenhoffer Urologische Klinik, Klinikum Ingolstadt, Německo

doc. MUDr. Peter Weibl, Ph.D. Urologie, Landesklinikum Korneuburg, Rakousko

doc. MUDr. Miroslav Záleský, Ph.D. Urologická klinika 1. LF UK a ÚVN – VFN Praha

Peter Zvara, M.D., Ph.D.

Department of Urology and Biomedical Laboratory, University of Southern Denmark Odense, Dánsko

březen 2026 / ročník 30 / č. 1 / vychází: 27. 3. 2026

Vydavatel: Česká lékařská společnost J. E. Purkyně, Sokolská 31, 120 26 Praha 2 Šéfredaktor: prof. MUDr. Milan Hora, Ph.D., MBA, Urologická klinika LF UK a FN Plzeň, horam@fnplzen.cz Nakladatel: Care Comm s.r.o., Klicperova 604/8, 150 00 Praha 5, www.carecomm.cz Odpovědná redaktorka: Mgr. Adéla Holčáková, adela.holcakova@carecomm.cz Jazyková korektura: Mgr. Irena Kratochvílová Grafická úprava: Barbora Kosinová

Inzerce: Mgr. Simona Dorňáková, simona.dornakova@carecomm.cz, +420 731 202 341

Rukopisy posílejte prostřednictvím redakčního systému ACTAVIA na webových stránkách www.czechurol.cz. Vychází: 4× ročně, online. Určeno odborné veřejnosti. Zaslané příspěvky se nevracejí. Nakladatel získá publikací příspěvku výlučné nakladatelské právo k jeho užití. Vydavatel a redakční rada upozorňují, že za obsah a jazykové zpracování inzerce odpovídá výhradně inzerent. Žádná část tohoto časopisu nesmí být kopírována a rozmnožována za účelem dalšího rozšiřování v jakékoliv formě či jakýmkoliv způsobem, ať již mechanickým či elektronickým, vč. pořizování fotokopií, nahrávek, informačních databází na magnetických nosičích, bez písemného souhlasu vlastníka autorských práv a vydavatelského oprávnění.

www.czechurol.cz

ISSN (online) 2336–5692

Pokyny pro autory najdete zde:

Turn static files into dynamic content formats.

Create a flipbook