Actualități Stomatologice nr. 67

Page 1


ORTHOPANTOMOGRAPH® OP300 este cea mai cuprinzătoare platformă 3-în-1, proiectată pentru prezent şi viitor. OP300 oferă un sistem avansat de radiologie panoramică şi cefalometrică sau un Cone Beam Computer Tomograph (CBCT), precum şi posibilitatea imbinării celor două sisteme, oferind o adevărată platforma adaptabilă oricăror cerinţe. rosabilă a imaginilor 5 imagini panoramice obținute la o singură expunere ecisă ersatilitate completă umentariumdental.com

redacţia

EDITOR ŞEF

Prof. Dr. Adi A. Garfunkel

Medicină Orală, Universitatea Ebraică și Hadassah, Ierusalim, Israel

COLEGIUL ŞTIINŢIFIC

Conf. Dr. Lidia Boboc

Prof. Dr. Dorin Bratu

Dr. Alexandru Brezoescu, Președinte CMD București

Prof. Dr. Dorin Borzea

Șef Lucr. Dr. Lucian Chirilă

Prof. Dr. M. V. Constantinescu

Prof. Dr. Bogdan Dimitriu

Prof. Dr. Horia Dumitriu Membru titular

Academia de Ştiinţe Medicale Preşedinte de Onoare

Societatea de Parodontologie din România

Conf. Dr. Anca Silvia Dumitriu

Prof. Dr. Norina Forna, Decan Membru corespondent Academia de Ştiinţe Medicale

Prof. Dr. Emilian Hutu

Dr. Doron Haim

Prof. Dr. Andrei Iliescu, Membru titular Academia de Științe Medicale

Prof. Dr. Rodica Luca

Prof. Dr. Augustin Traian Mihai

Prof. Dr. Alexandru Monea

Șef Lucr. Dr. Ion Nicolescu

Prof. Dr. Ion Pătrașcu

Şef Lucr. Dr. Stana Păunică

Prof. Dr. Dragoş Stanciu

Prof. Dr. Mircea Surpățeanu

Prof. Dr. Șerban Țovaru

Prof. Dr. Constantin Vârlan

Asist. Univ. Dr. Anca Vereanu

ISSN: 1583-6010

Prof. Dr. Louis F. Rose

Editor Șef: Compendium, SUA

Prof. Dr. Meyer Fitoussi, Franța

Prof. Dr. Michael Glick,

Editor Șef: JADA, SUA

Prof. Dr. Dan Nathanson, SUA

Prof. Dr. Harold W. Preiskel, Anglia

Prof. Dr. André P. Saadoun, Franța

Actualități Stomatologice este o publicație editată sub egida

FONDATORI

PREŞEDINTE ONORIFIC

Prof. Dr. Nicolae Gănuță

Decan-Emerit Facultatea de Stomatologie

București, Clinica de Chirurgie OMF

Membru al Academiei de Științe Medicale

HONORIFIC PRESIDENT

Prof. Dr. D. Walter Cohen

Președinte-Emerit Colegiul Med. Pennsylvania

Decan-Emerit Univ. Pennsylvania, SUA

Editor-Emerit: Compendium, SUA

ÎNREGISTRARE

Revista se distribuie GRATUIT.

EDITOR CONSULTANT

Dr. Tiberiu Gh. Silaghi, medic primar

EDITOR EXECUTIV

Dr. Bianca Zaharia, medic specialist

EDITOR ASISTENT

Dr. Ana-Maria Herța, medic specialist

Dacă doriți să primiți revista “Actualități Stomatologice”, dacă v-ați schimbat adresa sau dacă, din diferite motive, deși sunteți înregistrat, nu ați primit-o, vă rugăm să ne contactați la: 0722.359.753 sau pe e-mail: inregistrare@actualitatistomatologice.ro

DISTRIBUŢIE

Martie, Mai, Septembrie, Noiembrie Poșta Română

TP nr. 103 / P / 4056 / 2008

Valabilitate permanentă

FINANCIAR

SECRETARĂ

Mihaela Ionescu 0722.359.753, 021.746.67.24

PUBLICITATE

Oana Georgescu 0723.640.333, 0729.922.604 office@dentalnews.ro

MARKETING: Dental News

OTOPENI - Județul Ilfov, Str. Ardealului nr. 9 F, Tel: 021.350.67.58, Fax: 021.350.67.59

CONSTANȚA - Județul Constanța, Str. I. C. Brătianu nr. 131, Tel/Fax: 0241.543.600, Tel/Fax 0241.543.948; Str. Sabinelor nr.3

Tel:0241.613.682, Fax:0241.511.590

E-mail: office@dacris.net www.dacris.net

DESIGN

Concept grafic, DTP & Prepress: Cătălin Cristescu catalin@kreatif.ro

Rezultate precise

Ușor de folosit

Intuitiv

Este un sistem inovator fără fir, cu tehnologie de ultimă oră, care se bazează pe bine cunoscutul Elements Obturation Unit (EOU).

O procedură dovedită care acum este mai eficientă ca niciodată. Adaptare excelentă, adâncime de polimerizare superioară și integritate marginală durabilă pentru o experiență revoluționară.

Reprezentanța comercială SpofaDental a.s. Str. Traian nr. 246, Et. 5, Ap. 13, sector 2, București, România Tel. direct: +4 021 315 45 49, Fax: +4 021 315 45 48

Este o inovație pentru procedura de lucru.

Dar a fost o revoluție pentru cabinetul meu.

www.KerrDental.eu

CUPRINS Nr. 67 SEPTEMBRIE 2015

În fiecare lună găsiți noi articole doar online pe site-ul revistei www.dentalnews.ro și în cadrul aplicației pentru tablete.

EDITORIAL

SALIVA, de la "deochiatul bunicii" la biofluidul complex care schimbă atitudini

BUSINESS of DENTISTRY

VIRTUAL DENTISTRY SERVICES

Realitatea stomatologiei virtuale

CURS

GIANFRANCO POLITANO & ANTHONY ATLAN by GC 16 octombrie 2015 Hotel NH, Timișoara

ADVERTORIAL / CASE REPORT Conceptul one abutment-one time aplicat restaurărilor înşurubate

COALA

58 12 8 20 16 51 15 33

SPECIAL REPORT

TODAY'S ENDODONTIC

Terapia endodontică ghidată de progresele tehnologice

UPDATE IN DENTISTRY

DENTAL MATERIALS

Ghid actualizat pentru selectarea materialelor dentare ceramice

ESTHETIC DENTISTRY

DENTAL OFFICE MANAGERS

3 module, 9 zile de curs 1-3, 22-24 octombrie & 12-14 noiembrie 2015

CONGRES SDR

24EMC 18-21 noiembrie 2015 Hotel Pullman, Bucureşti

PRACTICAL APPLICATION

COLLAGEN USAGE

Regenerarea în parodontologie: COLAGENUL

34

24

CONTINUING EDUCATION DRUG INTERACTIONS

3 interacţiuni medicamentoase pe care orice medic dentist trebuie să le cunoască

CASE STUDY

LYMPHOPROLIFERATIVE DISEASE

Limfom difuz cu celule B mari la nivel gingival.

Conţinutul materialelor publicitare şi al articolelor promoţionale aparţine firmelor producătoare importatoare sau distribuitoare ale produselor respective.

CLINICAL TECHNIQUE

ESSENTIALS

CROWN RESTORATIONS

Influenţa pozitivă a contururilor coronare asupra esteticii ţesuturilor moi

50

SOCKET MANAGEMENT

Managementul clinic al alveolelor postextracţionale deficitare vestibular

74

KOIS CENTER CASE

SYSTEMATIC TREATMENT APPROACH

Tratamentul sistematic utilizând deprogramatorul direct la un pacient fobic

DENTA de TOAMNĂ

Expoziţie Internaţională 19-21 noiembrie 2015, Romexpo, Bucureşti

78

66

4o

Răspunsurile corecte la articolul de EC din numărul trecut:

“Managementul protetic al recesiei gingivale periimplantare” 1d, 2a, 3d, 4a, 5d, 6b, 7b, 8c, 9a, 10d.

REVIEW & RESEARCH

ORAL CANCER DETECTION

Evaluarea markerilor salivari pentru detectarea precoce a cancerului oral

75 65

PLANMECA by DENTAL PARTNERS 18-20 septembrie 2015, Poiana Brașov

Prof. Adi A. GARFUNKEL adigarfunkel@md.huji.ac.il

Da, este o evidenţă: saliva a devenit fluidul complex din corpul uman cu importantă semnificaţie diagnostică. Este o nouă provocare nu doar pentru specialiştii din domeniu dar şi pentru noi, medicii dentişti, obligându-ne la aprofundarea cunoştinţelor şi cooperare interdisciplinară.

Saliva, care ne preocupa în general doar prin prisma complicaţiilor fiziologice simple legate de retenţia protezelor sau disconfortul generat de xerostomie devine un fluid biologic, cu potenţial diagnostic capital. Tocmai de aceea, vă recomand articolul referitor la markerii salivari utilizaţi în diagnosticarea precoce a cancerului oral.

"Ptiu, să nu-ţi fie de deochi.."

SALIVA, de la

"deochiatul bunicii"

la biofluidul complex care schimbă atitudini

Deşi ne expune la termeni ce par ezoterici: proteom, transcriptom salivar, etc, sunt indicaţii clare că aceste examene sofisticate vor îmbunătăţi procentele de supravieţuire chiar şi numai prin accentuarea necesităţii biopsiilor. Relevanţa clinică implică posibilitatea de a identifica neinvaziv şi nedureros leziuni cu risc redus de cancer, precum şi pe cele cu risc semnificativ.

Examinarea biomarkerilor salivari are consecinţe profunde în practică şi deschide noi strategii pentru diagnosticarea, evaluarea prognostică şi potenţialele terapii pentru cancere dar şi alte maladii. Ritmul circadian al cortizolului secretat poate fi stabilit prin examinarea salivei timpuriu la copii până la vârsta de 1 an.

Similarităţile dintre proteomul sangvin şi salivar au dus la accentuarea valorilor diagnostice ale salivei cu biomarkeri specifici diabetului de tip 2. Peste 60% dintre proteinele specifice diabetului au fost identificate în salivă. Concluzia logică este că examinarea salivei devine atractivă, simplă şi economică pentru diagnosticarea diabetului. Proteinele ADN, ARN prezente în plasmă sunt prezente şi în salivă.

Astfel, saliva devine o "oglindă a corpului". Avansările tehnologice au permis detectarea moleculelor semnificative în salivă prin electroforeză, spectrometrie, Western blot şi tehnici transcriptomice.

Sindromul Sjőgren, HIV, hepatita B şi C, boli cardiovasculare, cancer pulmonar, toate se exprimă prin biomarkeri salivari.

Breaking News publicate de Humeau M et al în luna iunie a acestui an indică o creştere a micro-ARNului salivar în cancerul de pancreas iar pe modelele experimentale precede detectarea sistemică a markerilor celulelor maligne.

Suntem pregătiţi să participăm prin profesia noastră la progresele medicale moderne incredibile?

Biofluidul cu care suntem atât de familiari, dar din alte puncte de vedere, necesită şi o altă abordare, mult mai complexă. Ne obligă la studiu suplimentar însă contribuţia la procesele diagnostice relative la sănătatea pacienţilor noştri trebuie să primeze.

Când ne scuipa bunica să nu ne fie de deochi, nu ştia săraca ce comori irosea... Cu prietenie, Adi A. Garfunkel

The Reality of Virtual Dentistry by Edward J. Zuckerberg, DDS, FAGD. Originally published in Compendium of Continuing Education in Dentistry 36(6) June 2015. Copyright © 2015 to AEGIS Communications. All rights reserved.

REALITATEA STOMATOLOGIEI VIRTUALE

Despre autor

Edward J. Zuckerberg, DDS, FAGD

General Dentist in part-time practice Palo Alto, California

Owner Painless Social Media LLC

The author’s son is the CEO of Facebook, which owns Oculus Rift.

Medicii dentişti utilizează internetul pentru a-şi satisface cerinţele educaţionale în condiţiile de confort ale căminului sau cabinetului. De asemenea, se pare că aceştia îmbrăţişează tot mai mult internetul şi ca pe o metodă alternativă pentru asigurarea îngrijirii directe a pacientului. Pentru mulţi, simpla menţionare a "stomatologiei virtuale" evocă imagini în care pacienţii stau cu capul înfundat în computer, în timp ce braţele robotice le frezează dinţii.

În realitate, prin utilizarea metodelor virtuale de realizare a unor faze nechirurgicale în activitatea clinică – de exemplu consultaţiile şi diagnosticele bazate pe istoricul oral - dentiştii pot utiliza mai mult din timpul lor disponibil pentru

Tehnologia este prezentă în aproape toate cabinetele de medicină dentară. Radiologia digitală este deja banală, un număr tot mai mare de cabinete implementează tehnologia CAD/CAM şi o reţea eficientă de calculatoare dispusă în mai multe locaţii ale cabinetului a devenit esenţială pentru menţinerea fişelor şi gestionarea optimă a sarcinilor biroului de relaţii cu publicul.

efectuarea procedurilor mai rentabile, oferind totodată un serviciu convenabil pacienţilor existenţi sau potenţialilor pacienţi care pot aprecia cu adevărat abilitatea de a aborda multe dintre necesităţile lor dentare de acasă sau de la locul de muncă.

Servicii de stomatologie virtuală pentru medici şi pacienţi

Pacienţii care îşi caută un (nou) medic dentist trebuie să cearnă printre rezultatele căutărilor pe internet, recomandările primite din partea prietenilor sau medicii afişaţi pe lista companiei lor de asigurare. Actualmente, companiile care au conexiuni stabilite cu practicienii pot permite pacienţilor prospectivi să intervieveze virtual mai mulţi dentişti în privinţa necesităţilor stomatologice, astfel încât pe baza răspunsurilor virtuale pe care le primesc să poată selecta medicul potrivit.

De exemplu, un serviciu de asistenţă medicală de bază lansat de curând a permis recent medicilor dentişti membri să deţină un “program

virtual de cabinet” în cadrul căruia pacienţii existenţi ai cabinetului sau posibilii noii pacienţi trimişi de serviciul menţionat pot solicita şi primi consultaţii video. Aceste consultaţii pot include de asemenea încărcarea radiografiilor digitale de la medicii dentişti anteriori şi imagini orale efectuate de ei sau de alţi medici dentişti, alături de istoric şi planuri de tratament. Serviciul de îngrijiri medicale gestionează chiar şi colectarea taxelor de la pacienţi pentru medicul dentist şi asigură numeroase servicii de publicitate pentru cabinetul virtual al dentistului. O parte dintre serviciile ce ar putea fi gestionate în cursul acestor vizite virtuale includ evaluări postoperatorii, controale pentru pacienţii cu disconfort excesiv după procedurile efectuate, consultaţii realizate după o şedinţă destinată doar pentru înregistrările diagnostice, prezentările planurilor de tratament, evaluarea tumefacţiei faciale, etc.

O altă companie de stomatologie virtuală permite abonaţilor săi conectarea cu medicii dentişti prin intermediul aplicaţiilor sale pentru telefonul mobil inteligent. Aplicaţia prezintă o interfaţă unică ce ghidează pacienţii printr-o serie de şabloane care utilizează o cameră încorporată pentru a înregistra o serie standardizată de fotografii intraorale şi extraorale ce devin parte a fişei pacientului, alături de descrierea acuzelor şi a simptomelor. Pacienţi aleg un medic sau mai mulţi medici dentişti care au contract cu serviciul de stomatologie virtual pentru a-şi trimite datele în vederea obţinerii unei opinii cu privire la necesităţile lor dentare. Dentiştii pot opta dacă să perceapă sau nu taxă pentru consultaţiile oferite; aceste taxe sunt colectate de compania de stomatologie virtuală şi transferate medicului dentist. Apoi medicii dentişti pot revizui solicitările în timpul lor liber – sau

pot utiliza în mod util timpul eliberat în mod neaşteptat datorită unei anulări sau unei proceduri care a mers mai repede decât era de aşteptat - şi să răspundă pacientului prin intermediul aplicaţiei cu recomandări, care în cazul unui nou pacient prospectiv, se pot traduce printr-o vizită la cabinet.

O companie britanică, aflată încă în stadiu de prototip, a dezvoltat un scanner cu utilizare la domiciliu ce seamănă cu o perie de dinţi. El emite o lumină cu lungime de undă mică, apropriată radiaţiei infraroşii, capabilă să detecteze variaţiile de densitate a dinţilor (cum ar fi caria dentară incipientă sau semnificativă) oarecum ca un instrument de detectare personală a cariei. Compania speră că dispozitivul va fi disponibil publicului în toamnă la un cost apropriat cu cel al periei de dinţi electrice.

Dispozitivul va funcţiona cu o aplicaţie instalată pe telefonul inteligent, ce va prezenta o diagramă a cavităţii orale şi va furniza rezultatele sub forma iluminării dinţilor în culorile verde, galben sau roşu. Utilizatorii îşi pot asocia dispozitivul cu cabinetul medicului lor dentist, astfel încât medicul poate obţine un raport al rezultatului şi, la nevoie, poate oferi consultaţii. Unde este cazul, se pot face recomandări terapeutice pentru tehnicile de remineralizare, iar acest centru wellness al cabinetului stomatologic poate deveni o sursă de profit suplimentar care să ofere simultan servicii benefice şi conservatoare pacienţilor existenţi, cu atragerea concomitentă a noilor pacienţi.

O altă utilizare a stomatologiei virtuale s-a implementat deja în cadrul unui program pilot dezvoltat de Universitatea Pacific Dental School din San Francisco. Lansat iniţial în regiunea San Mateo, programul numit “Virtual Dental Home”

utilizează serviciile unui asistent dentar înregistrat (registered dental assistant, RDA) sau ale unui igienist dentar înregistrat (registered dental hygienist, RDH) care călătoresc în regiuni defavorizate cu seturi portabile ce conţin un scaun pliabil, laptop, cameră digitală şi o unitate radiologică portabilă. RDA sau RDH trimit imaginile către un medic dentist care poate stabili un diagnostic şi poate prescrie tratamentul adecvat ce poate include sau nu necesitatea unei vizite la cabinetul dentar. Viziunea constă în extinderea acestui program la scară naţională şi posibil internaţională.

În sfera educaţiei continue, Nobel Biocare şi-a modernizat cursurile de implantologie prin utilizarea unei căşti de realitate virtuală ce a debutat la începutul acestui an. Experienţa este sporită de un video de 360°, vizualizat în cadrul unei aplicaţii software individualizate cu realitate virtuală controlată de o interfaţă fără contact şi ghidată printr-o tehnologie cu cap de urmărire ataşat la mască. Senzorul gyro detectează modul în care utilizatorii îşi deplasează capul şi ajustează imaginea în consecinţă pentru a oferi o experienţă uimitoare de realitate virtuală în care utilizatorii se simt de parcă ar fi chirurgi. În cele din urmă, această tehnologie poate fi utilizată pentru a spori educaţia pacienţilor precum şi la consultaţiile virtuale.

Concluzii

Îmbrăţişarea tehnologiei în cabinetul dentar înseamnă deschiderea continuă spre idei ce permit practicienilor să fie mai eficienţi şi să asigure un confort suplimentar pacienţilor. Dentiştii care limitează utilizarea tehnologiei în cadrul îngrijirii directe a pacienţilor în cabinetul dentar se pot găsi în dezavantaj în comparaţie cu colegii care aleg stomatologia virtuală ca şi instrument suplimentar în arsenalul practicii lor. ¤

TERAPIA ENDODONTICĂ ACTUALĂ GHIDATĂ DE PROGRESELE

Despre autor

James Bahcall, DMD, MS Professor, College of Dental Medicine, Midwestern Univ., Downers Grove, Illinois; Diplomate, American Board of Endodontics, Chicago, Illinois

nainte de anii 1990, tratamentul endodontic convenţional se efectua prin prepararea canalelor cu acele de mână din oţel inoxidabil şi cu obturarea canalelor prin compactarea laterală la rece a gutapercii. În timpul tratamentului, vizualizarea se realiza adesea fără nicio magnificaţie (cum ar fi lupele dentare), iar cele două radiografii standard developate în recipiente consecutive constituiau singurul ghid al clinicianului în determinarea lungimii corecte de lucru a unui sistem de canale radiculare.

Domeniul endodonţiei a cunoscut progrese tehnologice şi schimbări de mentalitate în ceea ce priveşte terapia canalului radicular.

INSTRUMENTAREA

Acele rotative Ni-Ti au conferit o metodă mai consecventă şi eficientă pentru efectuarea tratamen-

Inovaţiile din sfera instrumentării, obturării, vizualizării şi a tehnicilor chirurgicale permit clinicienilor să ofere prognosticuri mai bune pe termen lung după tratamentul endodontic.

Viitoarele tendinţe din endodonţie includ tehnicile de regenerare şi utilizarea imprimării tridimensionale.

tului endodontic, în comparaţie cu instrumentarea manuală cu dispozitive din oţel inoxidabil. Alături de schimbarea metalului din structura acelor, a crescut şi conicitatea acelor endodontice rotative, fiind disponibile diverse forme transversale, spre deosebire de acele manuale.

Aceste perfecţionări ajută instrumentele rotative în modelarea şi prepararea mai bună a canalului în vederea irigării şi obturării.

În prezent există o tendinţă a utilizării acelor cu reciprocitate în cadrul tratamentului endodontic nechirurgical.

Acestea au demonstrat necesitatea unui număr mai redus de ace pentru prepararea sistemului de canale radiculare, faţă de acele rotative. De asemenea, acele cu reciprocitate au dovedit o rezistenţă mai bună la fatigabilitatea ciclică împotriva ruperii.

Ca şi în cazul oricărei tehnologii, vor exista progrese continue din partea producătorilor prin îmbunătăţirea formei şi eficienţei acelor cu reciprocitate.

Totodată, în următorii ani, fără îndoială se vor publica mai multe studii clinice referitoare la acele cu reciprocitate pentru a ajuta clinicienii să ia decizii bazate pe dovezi cu privire la necesitatea modificării sistemului rotativ utilizat actual.

Un alt instrument important utilizat în cadrul tratamentului endodontic contemporan este reprezentat de apexlocator.

Tehnologia actuală a transformat apex finderul într-un instrument de precizie care ajută medicii dentişti în determinarea lungimii canalului radicular prin detectarea joncţiunii cement-dentină (CDJ) sau a constricţiei maxime a orificiului apical al canalului.

Adăugarea instrumentării ultrasonice şi sonice ca parte a arsenalului destinat tratamentului endodontic a permis localizarea mai bună a canalelor calcificate, prepararea apexurilor în chirurgia endodontică şi/sau curăţarea reziduurilor de pe pereţii canalelor după prepararea endodontică.

IRIGAŢIA ŞI OBTURAŢIA

Deşi acele endodontice îndepărtează o porţiune semnificativă a ţesutului pulpar vital şi necrotic, anatomia complexă a canalelor din cadrul unui sistem endodontic poate împiedica abilitatea unui ac de a îndepărta ţesutul pulpar din canalele laterale, istmuri sau delte apicale.

De aceea, tratamentul endodontic este semnificativ mai eficient atunci când preparaţia biomecanică se efectuează în combinaţie cu instrumentarea mecanică şi diverse soluţii pentru irigaţie.

Hipocloritul de sodiu (NaOCl) este considerat încă irigantul de elecţie în tratamentul endodontic pentru că poate dizolva ţesutul pulpar vital şi necrotic şi deţine şi efecte antimicrobiene.

Totuşi, acesta nu dizolvă componentele anorganice din smear layer şi, de aceea, trebuie utilizat în combinaţie cu acidul etilenediamintetra-acetic (EDTA).

Clorhexidina (CHX) este utilizată actualmente în irigaţia endodontică în cazurile cu pulpă necrotică. CHX prezintă efecte antimicrobiene, substantivitate şi toxicitate redusă.

Motivul principal pentru care CHX nu înlocuieşte utilizarea NaOCl în terapia endodontică este reprezentat de faptul că nu deţine proprietăţi de dizolvare a ţesuturilor.

Utilizarea gutapercii termoplastice reprezintă tendinţa actuală a obturaţiei endodontice. Când vine vorba de replicarea sistemului de canale radiculare, tehnica de compactare verticală la cald este semnificativ mai bună decât cea laterală la rece a gutapercii. Compactarea verticală la cald este o metodă eficientă pentru dobândirea obturaţiei tridimensionale în spaţiul unui canal.

Este important de menţionat că în cazul tehnicilor de obturare cu gutapercă caldă, este nevoie totuşi de un sealer endodontic ca şi în cazul obturaţiilor cu gutapercă compactată lateral la rece.

VIZUALIZAREA

Vizualizarea tratamentului endodontic chirurgical şi convenţional s-a limitat istoric la cele două dimensiuni ale unei radiografii dentare. În prezent, endodonţia este privită ca o procedură microchirurgicală.

Rezultatul de bază al tuturor intervenţiilor microchirurgicale constă în necesitatea vizualizării de către clinicieni a unui câmp terapeutic magnificat.

Utilizarea lupelor, a microscoapelor şi endoscoapelor în cadrul tratamentului endodontic a permis endodonţilor/medicilor dentişti să magnifice un câmp terapeutic specificat dincolo de imaginea oferită de ochiul liber.

Utilizarea magnificaţiei în tratamentul endodontic sporeşte abilitatea clinicianului de a identifica mai bine şi de a trata etiologia originii endodontice.

Ajută de asemenea dentistul să identifice liniile de fractură, să localizeze orificiile canalelor şi să determine variaţiile anatomice ale dinţilor şi structurilor de susţinere.

RADIOGRAFIA

Utilizarea radiografiilor digitale a permis medicilor dentişti să captureze, să vizualizeze, să mărească şi să stocheze imaginile radiografiilor endodontice într-un format care nu se degradează în timp. Vizualizarea unei radiografii endodontice digitale pe un monitor cu rezoluţie mare permite interpretarea rapidă şi uşoară de către clinician. Tehnologia tomografiei compute -

rizate cu fascicul conic (CBCT) a sporit şi mai mult abilitatea de a interpreta fracturile radiculare şi patologiile endodontice în cadrul proceselor de diagnostic şi de evaluare a prognosticului.

Spre deosebire de radiografia bidimensională (2-D), CBCT oferă detectarea precoce a patologiei în osul trabecular, cu eliminarea concomitentă a suprapunerii structurilor anatomice. CBCT nu înlocuieşte radiografia digitală convenţională, ci mai degrabă se utilizează ca metodă adjuvantă atunci când în stabilirea diagnosticului este nevoie de vizualizarea unui câmp tridimensional.

CHIRURGIA ENDODONTICĂ

În decursul ultimilor 20 ani s-au înregistrat progrese semnificative în chirurgia endodontică. Utilizarea magnificaţiei (cum ar fi microscopul chirurgical şi endoscopul), prepararea ultrasonică a vârfului canalului radicular, microinstrumentele şi noile materiale pentru obturaţia retrogradă reprezintă o parte din progresele importante.

În cadrul unui studiu descris de Tsesis, autorii au raportat că tratamentul endodontic chirurgical modern cu utilizarea magnificaţiei şi a anselor ultrasonice a îmbunătăţit rezultatul în comparaţie cu tehnicile chirurgicale endodontice tradiţionale.

VIITOARELE TENDINŢE ÎN ENDODONŢIE

Ca în orice domeniu al asistenţei medicale, tehnologia şi cercetarea ajută la progresul îngrijirii pacientului printr-o mai bună prevenţie, diagnostic şi prognostic după tratament. Sfera endodonţiei nu face excepţie.

O parte din viitoarele tendinţe din acest domeniu constau în endodonţia regeneratoare şi utilizarea imprimării 3-D.

ENDODONŢIA REGENERATOARE

Este definită ca o procedură biologică ce poate înlocui un ţesut dentar dur împreună cu celulele pulpare. Deşi această ştiinţă regeneratoare are o istorie de peste 50 ani, literatura endodontică a demonstrat succes clinic semnificativ în cadrul tehnicilor de regenerare endodontică doar în ultimul deceniu.

Ştiinţa endodonţiei regeneratoare va continua să devină mai aplicabilă clinic pentru medicii care vor avea abilitatea de a asigura pacienţilor lor acest tip de terapie.

Progresele actuale din chirurgia endodontică reprezintă un rezultat al progreselor tehnologice şi al schimbărilor procedurale.

Deşi acestea au îmbunătăţit rezultatele terapeutice chirurgicale, evaluarea preoperatorie a cazului este încă îngreunată de limitarea în interpretarea reprezentării radiologice bidimensionale a unui câmp chirurgical tridimensional in vivo

UTILIZAREA IMPRIMĂRII 3D

Integrarea recentă a tehnologiei CBCT în chirurgia endodontică a îmbunătăţit semnificativ imagistica 3D a radiografiei 2D.

Abilitatea de a transforma imaginea CBCT într-un model prechirugical prin imprimarea 3D oferă o imagistică a locaţiei endodontice chirurgicale in vivo. Utilizarea în viitor a imprimării 3D în cadrul tratamentului endodontic convenţional va oferi medicilor un model pretratament al structurii unui canal/unei rădăcini. ¤

HyFlex™ EDM

• Cu până la 700% rezistență mai mare la fractură

• Suprafață întărită în mod special

• Mai puțină pilire necesară pentru succesul tratamentului

DESCHIZĂTOR

.12

Pila pentru calea de alunecare 10 / .05

40 / .04

50 / .03

60 / .02

Conceptul "One Abutment - One Time" aplicat restaurărilor protetice înşurubate pe implanturi cu conexiune conică by Sebastian Şoicu, medic dentist; Răzvan Stuparu, medic dentist; şi Camelia Daraban, medic dentist.

CONCEPTUL ONE ABUTMENT

-

ONE TIME APLICAT RESTAURĂRILOR PROTETICE ÎNŞURUBATE PE IMPLANTURI CU CONEXIUNE CONICĂ

Despre autori

Sebastian Şoicu

Medic Dentist

Clinica Dental House Piteşti

Doctor în Ştiinţe Medicale sebsoicu@dentalhouse.ro

Răzvan Stuparu Medic Dentist

Clinica Dental House Piteşti

Camelia Daraban Medic Dentist

Clinica Dental Style Bucureşti

Plasarea definitivă a bonturilor finale la sfârșitul etapei chirurgicale de inserare sau la descoperirea implanturilor și absența oricărei tentative de dezinserare definesc conceptul "one abutment–one time" și sunt urmate de reducerea semnificativă statistic a remodelării osoase periimplantare și, implicit, a modificării volumului țesuturilor moi.

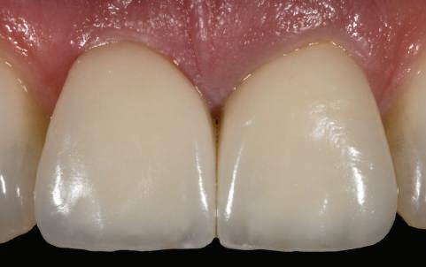
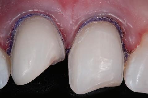
A fost examinată leziunea prezentă la nivelul mucoasei gingivale vestibulare în dreptul premolarului 34 în apropierea joncțiunii muco-gingivale (fig. 1), constatându-se că este vorba despre un nodul fibros gingival care nu necesită nicio atitudine terapeutică (alta decât examinarea periodică) și care nu influențează conduita de tratament local.

n implantologia zilelor noastre, există tendința de a înlocui, ori de câte ori este posibil, abordarea etapizată a tratamentului implanto-protetic cu una mai rapidă, care presupune o singură etapă chirurgială - inserarea implantelor imediat postextracțional, completată deseori de realizarea concomitentă a unei restaurări provizorii imediate.

Un interes special prezintă lățimea biologică peri-implantară, ce poate fi alterată de numărul de inserări/dezinserări ale diferitelor componente protetice la nivelul implantului, în decursul etapelor clinice de realizare a restaurării protetice. Consecințele acestui fapt sunt migrarea apicală a inelului fibro-conjunctiv periimplantar și scăderea volumului țesuturilor dure și moi.

Conceptul "one abutment–one time" este mai ușor de aplicat restaurărilor fixe cimentate. Introducerea în uzul clinic a pieselor protetice intermediare cu conicitate mare și înălțime redusă a permis însă transferul conceptului "one abutment–one time" de la restaurările cimentate spre cele înșurubate.

CAZ CLINIC

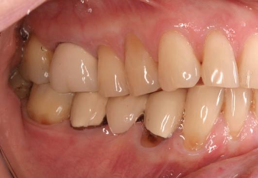
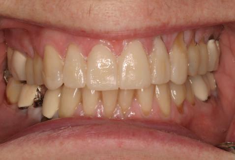
Pacientul EG, 45 ani, fumător, s-a prezentat în clinică pentru rezolvarea multiplelor probleme estetice și funcționale. Planul de tratament general a vizat afectarea parodontală generalizată, îndepărtarea tuturor restaurărilor protetice vechi, extracția dinților compromiși, retratamentele endodontice și reconstituirile de bonturi necesare pentru dinții stâlpi, precum și realizarea unor restaurări protetice înșurubate implantar la nivelul celor 4 cadrane dar și restaurări unidentare la nivelul bonturilor dentare restante.

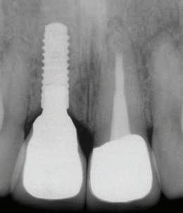
Conform informațiilor oferite de CBCT, pe pozițiile molarilor 36 și 37 au fost inserate două implanturi Ankylos (Dentsply Implants) C/X A 11 (diametru 3.5 mm, lungime 11 mm).

Datorită stabilității primare la inserare de aproximativ 35 Ncm pentru ambele implanturi, am optat pentru înșurubarea bonturilor intermediare conice Balance Base Narrow Straight GH 3.0 și vindecare transgingivală (fig. 2, 3). Inserarea acestor stâlpi s-a realizat la un cuplu de forțe de 25Ncm, cu ajutorul unei chei dinamometrice, aplicându-se ulterior cape de protecție (fig. 4). Vindecarea transgingivală postoperatorie a decurs fără complicații.

După aproximativ 10 săptămâni am hotărât protezarea preparațiilor 34 și 35 cu coroane metalo-ceamice și realizarea unei restaurări fixe metalo-ceramice înșurubate ocluzal la nivelul bonturilor intermediare de la implanturile 36 și 37.

Stâlpii de amprentă au fost înșurubați direct la nivelul bonturilor conice, nefiind nevoie de dezinserarea

+ Citiţi articolul integral cu mai multe studii de caz pe www.dentalnews.ro

Figurile 1. Status clinic şi radiologic iniţial; 2. Bontul Balance Base Narrow Straight GH 3.0; 3. Bonturile Balance Base Narrow aplicate imediat post-inserare la 25 Ncm; 4. Aplicarea capelor de protecţie şi sutura; 5. Stâlpii de amprentă înşurubaţi la nivelul bonturilor Balance Base Narrow;

stâlpilor montați în etapa chirugicală (abutment/tissue level impression) (fig. 5). Amprenta finală s-a realizat cu ajutorul unei linguri individuale deschise în zona implanturilor 36 și 37, folosind vinylsiloxanether (Identium, Kettenbach) într-un singur

timp și două consistențe (fig. 6). În laboratorul dentar, tehnicianul a folosit implante analog specifice sistemului Balance Base Narrow, iar în etapa de machetare s-au utilizat ca infrastructură cape de plastic (wax-up copings) adaptate pe platforma bonturilor conice. Ansamblul cape-machetă a fost apoi ambalat, turnat și prelucrat conform protocolului clasic.

A urmat proba scheletului metalic al restaurărilor protetice, iar apoi restaurările protetice au fost finalizate în laborator prin placarea cu ceramică a componentei metalice, aplicarea efectelor coloristice și glazurare. Am optat pentru extinderea ocluzală a canalului metalic destinat șurubului de fixare pentru a evita zone de ceramică nesusținută la acest nivel și datorită faptului că pentru pacient au primat aspectele funcționale în fața celor estetice pentru zona molară (fig. 7).

În etapa finală de tratament protetic, am acordat o atenție deosebită stabilirii ariilor de contact interproximale, care să prevină impactul alimentar o dată cu restabilirea, în viitor, a integrității protetice a arcadei maxilare. De asemenea, a fost testată pasivitatea la strângerea șuruburilor protezei implanto-purtate. Coroanele unidentare au fost cimentate cu ciment ionomer modificat cu rășini (GC Fuji Plus EWT). Restaurarea cu sprijin implantar a fost înșurubată la nivelul platformelor protetice cu ajutorul cheii dinamometrice la un cuplu de forțe de 10Ncm. În interiorul canalului de acces la șuruburi a fost introdusă și condensată bandă de teflon, până la aproximativ 2 mm de suprafață.

Pentru diminuarea efectului optic cenușiu dat de metal, am optat pentru aplicarea unui strat de rășină opacă fotopolimerizabilă (Opak, Angelus), restul spațiului fiind obturat cu material compozit, în armonie cu relieful ocluzal din vecinătate (fig. 8 a, b, c, d, e). Aspectul final al restaurărilor poate fi observat în fig. 9. Cazul clinic a fost rezolvat în colaborare cu laboratorul dentar PROTODENT din Timișoara.

Pacientul a primit instrucțiunile de igienizare pentru noile restaurări protetice și programarea pentru controlul periodic, care se va suprapune cu continuarea planului de tratament. Bilanțul radiologic al cazului este evidențiat în fig. 10 a, b, c, d.

DISCUŢII

Bonturile conice scurte au fost utilizate inițial de sistemul Brånemark la începutul anilor '80, pentru realizarea restaurărilor înșurubate, dovedind însă destule neajunsuri. Aceste piese protetice au evoluat de-a lungul timpului, ajungându-se în zilele noastre ca numeroase sisteme de implanturi să le includă în portofoliul protetic.

Acest tip de bonturi protetice este destinat realizării restaurărilor înșurubate la nivelul a cel puțin două implanturi. De asemenea, aceste structuri pot susține cu succes lucrări protetice de amplitudini mai mari, inclusiv proteze fixe totale, atât la maxilar, cât și la mandibulă, pornind de la minimum patru implanturi. Angulația de 15° a conului de angajament protetic a bonturilor drepte permite o compensare a diferențelor de paralelism între implanturi de până la 30°. Axul de inserție al restaurării protetice poate fi corectat suplimentar prin utilizarea bonturilor angulate de 15° sau 30°. Conicitatea mare a stâlpilor protetici intermediari de tip Balance Base permite obținerea unei pasivități reale a suprastructurii protetice la nivelul mezostructurii, fiind de fapt singura

Figurile 6 Detaliu al amprentei "abutment level" cu vinylsiloxanether în lingură individuală deschisă; 7. Restaurarea protetică finalizată pe model (vedere vestibulară şi ocluzală) şi aspectul dinspre faţa mucozală;

soluție predictibilă pentru a obține acest deziderat de pasivitate la o restaurare înșurubată, fără afectarea calității conexiunii implant-bont.

În cazul suprasolicitării ocluzale funcționale sau parafuncționale a unei proteze parțiale fixe cimentate sau în situația în care aceasta nu este pasivă, pot apărea alterări ireversibile: fracturări ale materialului de placaj, deșurubarea/fracturarea șurubului de fixare a bontului protetic, fracturarea bontului protetic, resorbția osoasă crestală peri-implantară și chiar fracturarea coletului implantar în zona conexiunii. Problemele astfel apărute sunt greu de surmontat, fiind deseori nevoie de refacerea restaurării, înlocuirea bontului protetic sau chiar de tratamentul leziunii osoase peri-implantare sau explantare. Când luăm în considerare restaurările înșurubate la nivelul bonturilor intermediare, în aceleași condiții de suprasolicitare, șuruburile scurte de fixare sunt de obicei primele care cedează (deșurubare sau fracturare). Chiar dacă acest fapt nu este de dorit, re-înșurubarea sau înlocuirea șurubului nu sunt manevre costisitoare și sunt relativ ușor de realizat prin canalele de acces ocluzale. Cazul clinic a prezentat o posibilitate de protezare a unei breșe aflate în

Figurile 8 Etapele inserării restaurării înşurubate la nivelul bonturilor Balance Base: a. înainte de îndepărtarea capelor de protecţie; b. după îndepărtarea capelor de protecţie; c. restaurarea protetică înşurubată la 10 Ncm; d. obturarea canalelor de acces la şuruburile de fixare cu bandă de teflon; e. obturarea porţiunii superioare a canalelor cu răşină compozită;

zona molară mandibulară printr-o restaurare cu sprijin implantar înșurubată la nivelul bonturilor trans-mucozale Balance Base

Narrow. Plasarea acestor bonturi încă din etapa chirurgicală a determinat vindecarea transgingivală și menținerea volumului țesuturilor dure și moi peri-implantare, datorită influențelor benefice pe care le-au generat calitatea conexiunii conice Morse, conceptele "one abutment–one time" și "platform switching" care caracterizează sistemul de implanturi folosit. Transferul platformei protetice de la nivelul implantar (osos) la cel gingival și absența ciclurilor de dez-/re-inserare au determinat absența contaminării microbiene suplimentare a conexiunii bont-implant, precum și realizarea mai facilă a etapelor de amprentare și de verificare a calității scheletului și restaurării finale. Amprenta în lingură deschisă "abutment-level" prezintă mai puține tensiuni comparativ cu cea "implant-level", la care bonturile de amprentă se înșurubează în implanturi. În aceste condiții, solidarizarea unui număr de până

la trei stâlpi de amprentă în lingură deschisă devine opțională. Testarea și verificarea pasivității au fost realizate atât la proba de schelet, cât și la proba finală a restaurării, prin aprecierea manuală a rezistenței la strângere a șurubului de fixare și prin evaluarea radiologică a adaptării piesei protetice pe pragurile de sprijin ale bonturilor intermediare. Intensitatea contactului proximal a fost evaluată după înșurubarea restaurării cu sprijin implantar la cuplul de forțe de 10Ncm și verificată cu ajutorul aței dentare, ținând cont de particularitățile parodontale ale implanturilor și dinților (anchiloză funcțională vs. parodonțiu de susținere).

CONCLUZII

Restaurările protetice cu suport implantar înșurubate la nivelul bonturilor conice intermediare reprezintă o variantă terapeutică de succes în protezarea edentațiilor parțiale laterale, atât la maxilar, cât și la manidibulă. Posibilitatea de asociere a acestui tip de protezare cu principiul "one abutment–one time" și obținerea unei

pasivități reale a restaurării în raport cu mezo- și infrastructura pot conduce la obținerea stabilității durabile a țesuturilor moi și dure peri-implantare și a succesului pe termen lung a tratamentului protetic, mai ales în condițiile utilizării unui sistem implanto-protetic care are încorporat principiul "platform switching".

Bonturile prezentate în acest articol, prin structura lor monolitică, previn contaminarea bacteriană peri-implantară. Absența ciclurilor de dez-/ re-inserare ("one trans-mucosal abutment–one time"), precum și suprafața concavă de sub platforma de sprijin a acestor stâlpi favorizează creșterea volumului țesuturilor moi și realizarea efectului "o-ring". După inserarea bonturilor intermediare, toate etapele clinice (amprentare, probele scheletului și a restaurării finale) se realizează la nivel gingival, dispărând astfel riscul contaminării bacteriene la nivel implantar și al migrării apicale a barierei epitelio-conjunctive peri-implantare. ¤

Figurile 9 Aspect final în cavitatea orală al coroanelor mixte metalo-ceramice 34, 35 şi al protezei parţiale fixe metalo-ceramice cu sprijin implantar înşurubată; 10 Bilanţul radiologic al cazului: a. aspectul radiologic al re-tratamentului

la nivelul dinţilor 34, 35; b. radiografia realizată după inserarea implanturilor şi aplicarea bonturilor intermediare; c. verificarea adaptării scheletului metalic la nivelul platformelor bonturilor intermediare; d. restaurarea finală.

endodontic

Three

3 INTERACŢIUNI MEDICAMENTOASE

PE CARE ORICE MEDIC DENTIST TREBUIE SĂ LE CUNOASCĂ

Despre autori

Elliot V. Hersh, DMD, MS, PhD Professor, Pharmacology, Department of Oral Surgery and Pharmacology, School of Dental Medicine, University of Pennsylvania, Philadelphia, Pennsylvania

Paul A. Moore, DMD, PhD, MPH Professor, Pharmacology and Dental Public Health, Departments of Dental Anesthesiology and Dental Public Health, School of Dental Medicine, University of Pittsburgh, Pittsburgh, Pennsylvania

Fără îndoială, populaţia tot mai îmbătrânită a pacienţilor din cabinetele stomatologice consumă tot mai multe medicamente, inclusiv o varietate de produse psihotrope şi medicamente cardiovasculare.Medicamentele pe care dentiştii le prescriu sau le administrează cel mai frecvent includ medicamentele antiinflamatoare nesteroidiene (AINS), precum ibuprofen sau naproxen (tabel 1), antibiotice şi antifungice, ca metronidazol (ca Flagyl®) şi fluconazol (ca Diflucan®), şi anestezice locale care conţin adrenalină vasoconstrictoare (tabel 2).

Ceea ce mulţi clinicieni nu realizează este faptul că aceste medicamente, frecvent utilizate în practică, pot fi implicate în interacţiuni medicamentoase adverse severe cu medicaţiile pe care le iau pacienţii pentru o va-

Pacienţii cu istoric medical şi medicamentos complex sunt tot mai obişnuiţi în practica dentară. Acest articol trece în revistă trei interacţiuni medicamentoase adverse severe, bine susţinute de literatură, cu impact major. Medicamentele antiinflamatoare nesteroidiene (AINS) inhibă excreţia renală a litiului, putând provoca intoxicaţie severă.

Metronidazolul şi fluconazolul inhibă metabolismul warfarinei, rezultatul final constând în creşterea dramatică a INR şi la o posibilă hemoragie fatală.

Propranololul şi alţi agenţi de blocare beta-adrenergici neselectivi pot inhiba efectul vasodilatator al epinefrinei în soluţiile de anestezie locală dentară, ducând la reacţii hipertensive şi bradicardie reflexă concomitentă.

Este important pentru clinicieni să recunoască şi să evite aceste interacţiuni medicamentoase severe.

rietate de probleme medicale. Acest articol va revizui trei interacţiuni medicamentoase ce pot surveni în practica stomatologică.

AINS ŞI LITIUL

Aşa cum ilustrează tabelul 1, există o varietate de AINS dintre care medicul dentist poate selecta pentru gestionarea durerii odontogene şi postoperatorii. Aceste analgezice reprezintă medicamentele din prima linie care ar trebui să fie implicate în această situaţie, datorită mecanismului lor unic de acţiune, o inhibare a sintezei de prostaglandină în regiunea traumei chirurgicale, ceea ce face ca aceste medicamente să fie extrem de eficiente în tratamentul durerii dentare postoperatorii. Există numeroase studii publicate bazate pe dovezi, de tip dublu-orb şi controlate cu placebo, care demon-

strează eficienţa globală a acestor medicamente după îndepărtarea chirurgicală a molarilor de minte impactaţi. Totuşi, la anumiţi pacienţi, AINS ar trebui evitate sau utilizate cu precauţie din cauza posibilităţii de precipitare a interacţiunilor medicamentoase adverse severe. O recenzie comprehensivă a acestui subiect se poate găsi în publicaţiile anterioare. Un asemenea medicament este litiul.

Litiul este un remediu major în tratamentul tulburării depresive bipolare. Are un indice terapeutic redus, ceea ce înseamnă că diferenţa dintre dozele eficiente şi cele toxice este relativ mică. De aceea, trebuie monitorizate cu atenţie nivelurile plasmatice ale litiului pentru a asigura eficienţa terapeutică şi totodată pentru a evita toxicitatea.

AINS inhibă excreţia renală a litiului şi poate cauza acumularea plasmatică a litiului la niveluri toxice, ducând în cele din urmă la toxicitate renală, gastrointestinală şi toxicitate la nivelul sistemului nervos central. S-a dovedit că tratamentul cu ibuprofen 1800mg/zi şi naproxen 750mg/zi timp de 6 zile a crescut nivelurile plasmatice ale litiului, stabile în prealabil, iar magnitudinea efectului său a variat foarte mult în rândul subiecţilor studiaţi.

Ibuprofen a produs o creştere medie cu 34% (între 12-66%), în vreme ce naproxen a generat o creştere medie de 16% (între 0-42%). După utilizarea ibuprofenului în doze de 1600mg/zi timp de o săptămână pentru tratamentul durerii de umăr au fost raportate situaţii individuale cu creşterea de 3-4 ori a nivelurilor sangvine de litiu însoţite de stupoare, ataxie, confuzie şi insuficienţă renală. Un raport mai recent descrie cazul unui pacient în vârstă de 51 ani cu istoric de tulburare bipolară tratată cu litiu, care s-a prezentat la un departament de urgenţă cu confuzie, dizartrie, mers anormal şi diaree.

Ulterior, înainte de a fi externat din spital, el a necesitat şi intubare. Simptomele sale au început la 2 zile după ce medicul său dentist îi prescrisese ibuprofen câte 800mg de 3 ori pe zi după extracţia unui molar infectat. Valorile sale de laborator erau semnificative în privinţa nivelurile elevate de litiu la 3mmol/litru (intervalul terapeutic normal variază între 0,6-1mmol/litru) şi prezenta o insuficienţă renală uşoară. Un alt raport recent descrie o pacientă în vârstă de 49 ani cu concentraţii stabile de litiu care manifesta letargie, diaree, greaţă, vărsături, hipersalivaţie, tremur, slăbiciune musculară şi confuzie la 3 zile după începerea tratamentului cu AINS meloxicam. Nivelurile sale serice de litiu erau peste 5 mmol/litru.

Se recomandă ca înainte de prescrierea analgezicelor AINS pacienţilor cu terapie cu litiu, medicul dentist să se consulte cu psihiatrul pacientului.

Figura

1. Modificările tensiunii arteriale sistolice.

Valoare iniţială (baseline).

Figura

2. Modificările tensiunii arteriale diastolice.

Trebuie iniţiată o monitorizare mai frecventă a nivelurilor sanguine de litiu (la intervale de 4-5 zile) şi poate fi necesară diminuarea dozelor de litiu. O alternativă ar consta în evitarea completă a analgezicelor AINS la pacienţii trataţi cu litiu şi, la nevoie, prescrierea în loc a acetaminofenului sau a produselor combinate acetaminofen/opioide, cum ar fi acetaminofenul asociat cu hidrocodonă (ex. Vicodin®).

METRONIDAZOL SAU FLUCONAZOL ÎN COMBINAŢIE

CU WARFARINA

Metronidazolul este deosebit de eficient împotriva bacteriilor obligat anaerobe asociate cu boala parodontală, abcesele periapicale şi periimplantita. Întrucât nu are nicio acţiune împotriva bacteriilor facultativ anaerobe, care pot constitui parte a florei mixte ce populează aceste locaţii

DENUMIRE GENERICĂ DENUMIRI COMERCIALE OBIŞNUITE

Ibuprofen Advil, Motrin, Vicoprofen, Combunox

Naproxen sodic Aleve, Anaprox

Diflunisal Dolobid

Diclofenac Cataflam, Zipsor

Ketoprofen Orudis

Etodolac Lodine

Meloxicam Mobic

Ketorolac Toradol, SPRIX

Tabelul 1. AINS frecvent utilizate pentru a trata durerea acută

DENUMIRE GENERICĂ DENUMIRI COMERCIALE OBIŞNUITE

Lidocaină 2% cu adrenalină 1:50.000 sau 1:100.000 Xylocaine, Octocaine, Lignospan

Articaină 4% cu adrenalină 1:100.000 sau 1:200.000 Septocaine

Prilocaină 4% cu adrenalină 1:200.000 Citanest Forte

Bupivacaină 0,5% cu adrenalină 1:200.000 Marcaine

Tabelul 2. Anestezice locale care conţin adrenalină

infectate, metronidazolul se combină în mod frecvent cu o penicilină sau cu ciprofloxacină.

Fluconazol este un agent antifungic eficient în tratamentul candidozei mucoase şi alte infecţii candidiene de la nivelul cavităţii orale. Warfarina (ex. Coumadin®) este cel mai frecvent prescris anticoagulant din lume şi este implicat în prevenirea infarctului miocardic, embolismului pulmonar şi atacurilor cerebrale ocluzive la pacienţii cu risc crescut, cum ar fi cei cu fibrilaţie atrială, înlocuirea valvei cardiace şi tromboză venoasă profundă. Similar litiului, warfarina are un indice terapeutic redus şi se recomandă monitorizarea lunară a statusului de coagulare al pacientului pentru a asigura niveluri plasmatice ce se încadrează în intervalul terapeutic. Nivelurile sanguine excesive de warfarină pot duce la hemoragie internă, inclusiv sângerare intracraniană.

Warfarina se metabolizează preponderent prin intermediul sistemului citocrom P-450 intestinal şi hepatic, a cărui izoformă metabolică predominantă este reprezentată de P-450 2C9

(CYP 2C9). Metronidazolul şi fluconazolul sunt posibili inhibitori ai CYP 2C9; astfel, ei pot bloca metabolismul warfarinei şi pot creşte ulterior nivelurile sanguine ale warfarinei până la valori toxice, îndeosebi izomerul său S(-) mai puternic.

În cadrul unui studiu cu 8 persoane voluntare, pretratamentul cu metronidazol în doze de 750mg/zi timp de 1 săptămână a crescut semnificativ nivelurile plasmatice şi timpii de înjumătăţire chiar şi în cazul unei singure doze de warfarină, faţă de cazurile tratate doar cu warfarină. Aceasta s-a acompaniat cu o creştere semnificativă a timpilor medii de protrombină.

Într-un raport de caz, o pacientă în vârstă de 31 ani care a primit terapie cu warfarină timp de 6 ani fără niciun episod hemoragic anterior a fost internată la spital cu multiple echimoze la nivelul ambelor membre inferioare şi cu tumefierea evidentă şi hemoragia în ţesutul subcutanat în spatele genunchiului ei stâng, după finalizarea unui tratament de 10 zile cu metronidazol 750mg/ zi administrat pentru o infecţie cu trichomonas. Timpul de protrom-

bină era de 147 sec; timpul normal de protrombină variază între 17-19 secunde. S-a administrat vitamina K, antidotul pentru supradoza de warfarină, iar starea ei s-a ameliorat în decurs de o săptămână. Într-un caz mai recent, o pacientă de 78 ani a început terapia cu metronidazol cu doze de 250mg la intervale de 8 ore timp de 5 zile şi cu levofloxacină (Levoquin®) 500mg o dată pe zi timp de 6 zile pentru tratarea unei infecţii a tractului respirator superior. Pacienta nu a anunţat nici unul dintre medicii săi curanţi că se afla sub tratament concomitent cu warfarină. Cel mai recent rezultat INR al său indica valoarea de 2,5. La şase zile după vizita ei la clinică, pacienta a fost internată la spital pentru o hemoragie nazală profuză şi o "cefalee neobişnuită", iar o scanare CAT a evidenţiat prezenţa unui atac cerebral hemoragic minor. Valoarea INR a crescut la 8,0. După o spitalizare de o săptămână, care a inclus administrarea vitaminei K şi transfuzie de sânge, ea a fost externată.

În literatură apar cazuri cu hemoragie cerebrală, sângerări gastrointestinale, hemoragie intraoculară şi cu valori INR semnificativ crescute din cauza interacţiunii warfarină–fluconazol. În cadrul unui studiu de cohortă retrospectiv la 22.272 de veterani aflaţi sub tratament cu warfarină de cel puţin 1 lună s-a administrat un agent antimicrobian. 9,7% din cei care au primit fluconazol şi 4,9% din cei care au primit metronidazol au prezentat valori INR de peste 6,0 (scorurile INR normale la pacienţii cu tratament anticoagulant ar trebui să fie cuprinse între 2,0 şi 3,0).

Un studiu caz-martor care a implicat informaţii din baza de date US Medicaid referitoare la 308.100 de utilizatori de warfarină a demonstrat un nivel ridicat (raportul cotelor = 2,09) al sângerărilor gastrointestinale la cei trataţi cu warfarină şi care primeau fluconazol, în comparaţie cu cei cărora li se administra antibioti-

cul cefalexină lipsit de interacţiuni medicamentoase (Keflex®).

Pe baza acestor rapoarte de caz şi studii clinice, autorii recomandă ca dentiştii să evite prescrierea de metronidazol şi fluconazol la pacienţii trataţi concomitent cu warfarină.

ADRENALINA

CU PROPRANOLOL

Nu există probabil un domeniu al farmacologiei stomatologice mai amplu dezbătut decât cel al utilizării sau evitării anestezicelor locale cu conţinut de adrenalină la anumite populaţii de pacienţi cu situaţii medicale complexe, inclusiv cele tratate cu produse ce prezintă interacţiuni medicamentoase.

În realitate, rapoartele de caz care descriu interacţiunile medicamentoase adverse între vasoconstrictorii din soluţiile anestezice locale stomatologice şi medicamentele cu posibile interacţiuni sunt extrem de rare, pe de o parte pentru că adrenalina reprezintă actualmente de departe vasoconstrictorul utilizat la cea mai largă scară împreună cu anestezicele locale în stomatologie.

Deşi adrenalina deţine efecte vasoconstrictoare alfa-1 adrenergice pe o serie de paturi vasculare – cele mai importante de menţionat ar fi cele de sub piele şi membranele mucoase – prezintă şi efecte vasodilatatoare asupra altor paturi vasculare ce conţin predominant receptori beta-2 adrenergici, cum ar fi cele din musculatura scheletală, ducând la vasodilataţie (tabelul 3). Această proprietate vasodilatatoare a epinefrinei limitează efectul posibil presor al medicamentului spre deosebire de alţi agenţi vasoconstrictori, cum ar fi levonordefrina şi noradrenalina, care au activitate beta-2 adrenergică mai redusă, sau chiar absentă în cazul noradrenalinei.

Medicamentele de blocare beta-adrenergice, cunoscute şi sub denumirea de betablocante, sunt utilizate pe

SUBTIP RECEPTOR ACŢIUNEA RECEPTORILOR

Alfa-1 adrenergic

Beta-1 adrenergic

Beta-2 adrenergic

Vasoconstricţia vaselor sanguine de sub piele sau membranele mucoase.

Rată cardiacă crescută. Forţă de contracţie crescută.

Bronhodilataţie. Vasodilataţia vaselor sanguine în muşchiul scheletal şi organele interne.

BETABLOCANTE NESELECTIVE BETABLOCANTE CARDIOSELECTIVE

Propranolol (Inderal)

Nadolol (Corgard)

Timolol (Blocadren)

Sotalol (Betapace)

scară largă în tratamentul hipertensiunii, al anginei, aritmiilor cardiace şi durerilor de cap migrenoase. Ele sunt clasificate în două grupe: betablocante neselective care blochează atât receptorii beta-1, cât şi pe cei beta-2; şi beta-blocante cardioselective, care blochează numai receptorii beta-1 (tabelul 4).

Actualmente betablocantele cardioselective se prescriu pe scară mai largă datorită faptului că lipsa activităţii blocante beta-2 adrenergice limitează efectele bronhoconstritoare care se poate observa ocazional în cazul betablocantelor neselective. Totuşi, propranololul betablocant neselectiv este în continuare prescris pe scară largă.

În literatură a apărut o serie de cazuri care descriu reacţii de hipertensiune severă la şase pacienţi aflaţi sub tratament cronic cu propranol care au primit lidocaină cu adrenalină pentru proceduri de chirurgie plastică facială. În două dintre aceste cazuri, pacienţilor li s-au administrat câte 10ml, respectiv 12ml de soluţie lidocaină 1% plus adrenalină 1:100.000.

Aceasta se traduce printr-o cantitate de adrenalină de aproximativ 6, respectiv 7 carpule cu anestezic local stomatologic a câte 1,7ml.

Tensiunea lor arterială a crescut de la nivelurile normale (120/80 şi 110/70mmHg) la niveluri de hiperten-

Atenolol (Tenormin)

Metoprolol (Lopressor)

Acebutolol (Sectral)

Betaxolol (Kerlone)

siune acută (200/100 şi 190/110mmHg), cu bradicardie reflexă concomitentă. Într-un al treilea caz, un pacient care a primit 13 ml de soluţie cu adrenalină 1:200.000 a intrat în stop cardiac şi a necesitat resuscitare cu tratament de urgenţă, inclusiv defibrilare.

În literatura stomatologică există un singur raport de caz în care pacienta, o femeie în vârstă de 32 ani, aflată sub tratament zilnic cu propranolol pentru hipertensiune şi aritmii a primit 1,5 ampule de mepivacaină 2% plus levonordefrină 1:20.000 (un vasoconstrictor în relaţie chimică cu epinefrina). Tensiunea ei sistolică şi diastolică a crescut cu 40, respectiv cu 15 mmHg. În cadrul unei vizite ulterioare când s-au utilizat două ampule de mepivacaină 3%, tensiunea ei arterială a rămas stabilă.

Baza teoretică a acestei interacţiuni medicamentoase adverse severe dintre propranolol şi adrenalină constă în faptul că primul blochează efectele beta-2 vasodilatatoare ale adrenalinei, ducând la efecte alfa-1 vasoconstrictoare, funcţionând fără opoziţie şi ducând la hipertensiune cu bradicardie reflexă concomitentă. Unul dintre cele mai convingătoare studii care susţin interacţiunea medicamentoasă dintre propranolol şi adrenalină este ilustrat în fig. 1 şi fig. 2. Cinci pacienţi trataţi pentru hipertensiune severă prelungită, fie cu agentul betablocant neselectiv

Tabelul 3. Acţiunea adrenalinei la nivelul diferiţilor receptori
Tabelul 4. Clasificarea agenţilor blocanţi beta-adrenergici cu denumiri comerciale frecvente

PANOUL DE CONTROL

Unitatea de afișaj color TFT cu informații clare și ușor de citit permite managementul intuitiv al unit-ului dentar. Toți parametrii instrumentului pot fi gestionați și stocați pentru 3 utilizatori independenți.

LAMPA VENUS LED

ampă de lucru cu sursă de lumină LED ce oferă durată lungă de viață și consum oarte redus de energie. Permite o rotație pe 3-axe pentru iluminarea perfectă a zonei de operare,

Scaunele exclusive ale sistemului Skema6 sunt concepute pentru o poziție de lucru cât mai corectă și sănătoasă cu multiple posibilități de reglaj. SCAUNE

Oltarului nr. 4, sector 2, 020765, București (Intersecția Calea

beta-adrenergic propranolol, fie cu agentul betablocant cardioselectiv beta-adrenergic metoprolol îşi administrau doza obişnuită de dimineaţă cu 2 ore înainte de a fi supuşi efectului vasopresor prin utilizarea infuziei lente de adrenalină cu diferite doze, timp de 8 minute.

După finalizarea primei sesiuni, aceşti pacienţi au fost trecuţi la un tratament alternativ pentru cel puţin 4 săptămâni şi s-a administrat din nou provocarea cu adrenalină.

Aşa cum arată fig. 1, după infuzia lentă cu 16μg (2 μg/min) de epinefrină care reprezintă o doză puţin mai redusă faţă de cea pe care o conţine o singură ampulă de 1,7-ml de anestezic local dentar cu adrenalină 1:100.000 (17 μg sau 0,017 mg), creşterea medie a tensiunii arteriale sistolice a fost de aproximativ 15mmHg în grupul cu propranolol şi de numai 5mmHg la grupul cu metroprolol.

După cum ilustrează şi fig. 2, diferenţele din prisma tensiunii arteriale diastolice după infuzia de 16-μg de

epinefrină au fost mai pronunţate, crescând cu doar 2mmHg în lotul tratat cu metoprolol şi cu 14mmHg în grupul cu propranolol. Diferenţa a atins nivelul de semnificaţie statistică (P < 0,05).

Când s-a infuzat lent doza de 32μg de adrenalină, o cantitate uşor mai mică decât 2 ampule de soluţie anestezică de 1,7ml cu adrenalină 1:100.000 (34 μg sau 0,034 mg), grupul cu metoprolol a manifestat o creştere de 10mmHg în tensiunea arterială sistolică medie, în timp ce grupul tratat cu propranolol a prezentat o creştere medie a tensiunii arteriale sistolice cu 33 mmHg (P < 0,05). Tensiunea arterială diastolică a rămas neschimbată în grupul cu metoprolol dar a crescut cu 21 mmHg în lotul tratat cu propranolol (P < 0,05).

Alte studii cu infuzii intravenoase au raportat răspunsuri presoare similare când adrenalina s-a administrat pacienţilor aflaţi sub tratament cu propranolol sau alte betablocante neselective. Deşi se poate argumenta

că infuzia intravenoasă nu seamănă în mod tipic cu injecţiile dentare submucoase, în practica dentară survin injecţii intravasculare accidentale, cu viteze de injectare de cel puţin opt ori mai rapide (o ampulă pe minut) decât în cazul ratelor de infuzare din studiile prezentate mai sus.

Există două studii în literatură în care pacienţii trataţi cu agenţi betablocanţi neselectivi au primit injecţii dentare cu lidocaină şi adrenalină. În unul dintre studii, când voluntarii normali au fost trataţi în prealabil cu o singură doză orală de pindolol, un agent blocant beta-adrenergic neselectiv, s-au observat creşteri uşoare (de 8-9mmHg), dar semnificative (P < 0,05) în tensiunea arterială sistolică şi diastolică şi în rezistenţa vasculară periferică, alături de diminuarea în concordanţă a ratei cardiace, după administrarea a două injecţii intraorale de lidocaină 2% plus adrenalină 1:80.000 (în total 45 μg sau 0,045 mg de epinefrină).

Când aceiaşi indivizi nu au fost pretrataţi cu pindolol, administrarea aceleiaşi doze de soluţie cu anestezic local a indus diminuări slabe ale tensiunii arteriale sistolice şi diastolice, precum şi a rezistenţei vasculare periferice. Rezultate similare s-au raportat şi la pacienţii dentari cu boli cardiovasculare trataţi cu betablocante neselective care au primit o singură ampulă de lidocaină 2% cu adrenalină 1:80.000 (22,5μg sau 0,0225mg epinefrină).

Pe baza rapoartelor de caz din literatura de chirurgie plastică şi a rezultatelor din studiile clinice prezentate mai sus, se fac următoarele recomandări:

La pacienţii care necesită proceduri stomatologice simple restauratoare şi se află sub tratament cu propranolol sau alte blocante beta-adrenergice, pare prudentă evitarea completă a anestezicelor locale care conţin adrenalină, cum ar fi utilizarea

mepivacainei 3% sau a prilocainei 4% simple. La pacienţii care necesită hemostază pentru procedurile dentare chirurgicale sau o durată de acţiune mai lungă, se admite un maxim absolut de 0,034 mg de adrenalină (două ampule de soluţie 1:100.000 sau patru ampule cu soluţie de 1:200.000).

Tehnica adecvată de aspiraţie este obligatorie pentru a evita injectările intravasculare accidentale şi se recomandă viteze reduse de injectare. Înainte de administrarea ampulelor suplimentare de anestezic local, trebuie determinată tensiunea arterială şi rata pulsului pentru a asigura rămânerea stabilă a semnelor vitale.

Trebuie absolut evitată utilizarea adrenalinei în concentraţie de 1:50.000 şi aplicarea firelor de retracţie impregnate cu adrenalină care conţin adrenalină racemică între 0,5 şi 1mg la o lungime a firului de 2,5cm.

CONCLUZII

Cu o populaţie de pacienţi în continuu proces de îmbătrânire care foloseşte cantităţi tot mai mari de medicamente, practicienii trebuie să cunoască interacţiunile medicamentoase ce pot periclita echilibrul medical al pacienţilor.

AINS, deosebit de eficiente în tratarea durerii postoperatorii, trebuie evitate sau utilizate cu precauţie la pacienţii trataţi cu litiu. Prescrierea fie a metronidazolului, un antibiotic eficient împotriva bacteriilor anaerobe, fie a agentului antifungic fluconazol ar trebui evitată la pacienţii aflaţi concomitent sub terapie cu warfarină. În fine, în cazul pacienţilor trataţi cu propranolol, trebuie evitate anestezicele locale cu conţinut de adrenalină dacă sunt supuşi unor proceduri restauratoare de scurtă durată sau să se utilizeze cu precauţie (nu mai mult de 0,034 mg) la pacienţii care necesită hemostază sau proceduri dentare prelungite. ¤

CHESTIONAR

3 INTERACŢIUNI MEDICAMENTOASE PE CARE

ORICE MEDIC DENTIST TREBUIE

SĂ LE CUNOASCĂ

1. Litiul este un remediu major în tratamentul:

a. fibrilaţiei atriale;

b. tulburării bipolare depresive;

c. hipertensiunii;

d. anxietăţii.

2. Cazurile cu creşterea nivelurilor sangvine de litiu acompaniate de stupoare, ataxie, confuzie şi insuficienţă renală au fost raportate după utilizarea de:

a. ibuprofen;

b. penicilină;

c. diazepam;

d. hidrocodonă.

3. Fluconazol este un agent antifungic eficient în tratamentul:

a. infecţiilor bacteriene anaerobe;

b. infecţiilor bacteriene aerobe;

c. infecţiilor bacteriene anaerobe facultative; d. candidozei mucoase şi al altor infecţii candidozice la nivelul cavităţii orale.

4. Warfarina este utilizată la pacienţii cu risc crescut, inclusiv la cei cu: a. fibrilaţie atrială; b. înlocuirea valvei cardiace; c. tromboza venoasă profundă; d. toate răspunsurile de mai sus.

5. Ca inhibitori puternici ai CYP 2C9, metronidazol şi fluconazol pot bloca metabolismul:

a. warfarinei; b. hidrocodonei; c. naproxenului; d. nici unui medicament menţionat mai sus.

6. Antidotul pentru o supradoză de warfarină este: a. naloxona; b. vitamina K; c. ibuprofenul; d. lidocaina.

7. În cazul anumitor pacienţi cu probleme medicale complexe, probabil nicio altă sferă a farmacologiei stomatologice nu este mai amplu dezbătută decât utilizarea sau evitarea anestezicelor locale care conţin:

a. ketorolac; b. fluconazol; c. epinefrină; d. ibuprofen.

8. Medicamentele beta blocante adrenergice, cunoscute şi sub denumirea de betablocante, sunt utilizate pe scară largă în tratamentul:

a. hipertensiunii;

b. anginei;

c. durerii de cap migrenoase; d. toate răspunsurile de mai sus.

9. Teoretic, propranololul blochează efectele vasodilatatatoare beta-2 ale epinefrinei, lăsând efectele vasoconstrictoare alfa-1 să funcţioneze fără opoziţie, ceea ce duce la:

a. angioedem;

b. ulcere gastrice;

c. hipertensiune;

d. tahicardie.

10. La pacienţii care necesită hemostază în cazul procedurilor chirurgicale şi se află sub tratament cu propranolol, ce cantitate maximă de epinefrină se recomandă?

a. 0,034 mg (34 μg); b. 0,054 mg (54 μg); c. 0,068 mg (68 μg); d. 0,108 mg (108 μg).

Regeneration in Periodontics: Collagen—A Review of Its Properties and Applications in Dentistry by Lanka Mahesh, BDS, MBA; Gregori M. Kurtzman, DDS, DICOI, DADIA; and Sagrika Shukla, MDS.

Originally published in Compendium of Continuing Education in Dentistry 36(5) May 2015. Copyright © 2015 to AEGIS Communications. All rights reserved.

REGENERAREA ÎN PARODONTOLOGIE: COLAGENUL

Despre autori

Lanka Mahesh, BDS, MBA

Private Practice

New Delhi, India

Gregori M, Kurtzman, DDS, DICOI, DADIA

Private Practice

Silver Spring, Maryland

Sagrika Shukla, MDS

Private Practice

New Delhi, India

Cuvântul colagen, utilizat pentru prima oară în anul 1865, îşi are originea din limba greacă având semnificaţia de glue-maker. La mamifere, toate ţesuturile conţin colagen, fiind cea mai abundentă proteină şi cea mai importantă componentă a corpului din punct de vedere structural şi funcţional. Distribuţia sa omniprezentă în tot corpul uman presupune implicarea colagenului în toate procesele de creştere şi remodelare şi, datorită caracteristicilor sale

Colagenul asigură ocluzivitate celulară, biocompatibilitate şi resorbabilitate. Are proprietăţi chemotactice pentru celulele regeneratoare şi poate intensifica migraţia şi ataşamentul fibroblastelor. Este un agent hemostatic cu imunogenicitate slabă, manipulare uşoară şi capacitate de a augmenta grosimea tisulară. La dezintegrarea prin procesul de resorbţie, produşii săi intermediari sunt utilizaţi de corpul gazdă pentru a forma ţesut nativ. În plus, aceste proteine sunt elastice şi facilitează reparaţia, fiind util pentru numeroase aplicaţii biomedicale. Articolul evidenţiază aspecte importante ale colagenului ca biomaterial utilizat în stomatologie.

specifice structurale, chimice şi biologice, se poate studia cu uşurinţă din punct de vedere morfologic, al biosintezei, degradării şi distribuţiei geografice, ca o funcţie a timpului şi a modificării fiziologice. Colagenul este şi cea mai veche proteină cunoscută. Deşi în urmă cu mai puţin de 40 de ani se cunoştea un singur tip de colagen, actualmente sunt studiate 29 tipuri de colagen sau proteine asemănătoare colagenului.

Caracteristica cea mai definitorie a colagenului o reprezintă structura sa, care îi conferă stabilitate, abilitate funcţională, rezistenţă şi caracteristici fizice. Are trei componente polipeptidice paralele într-o conformaţie elicoidală de stânga de tipul poliprolinei II (PPII), care se încolăcesc una peste cealaltă cu o singură grupare reziduală, pentru a forma un helix triplu de dreapta. Acest model structural elegant este similar în cazul celor 29 tipuri de colagen. În 1940, Astbury & Bell îl

descriau pentru prima oară; în 1955, a fost redefinit de Rich & Crick, precum şi de North & et al, devenind structura triplu helicoidală acceptată astăzi.

Colagenul este compus din trei lanţuri – fiecare dintre acestea având pe lungime 1400 de aminoacizi – înfăşurate laolaltă într-un helix triplu strâns. Această structură robustă este formată dintr-o secvenţă repetată de aminoacizi, în cadrul căreia, fiecare al treilea aminoacid este glicina; celelalte două sunt prolina şi hidroxiprolina, care completează multe dintre poziţiile restante ale lanţului. Apa prezentă în structură joacă rol în menţinerea conformaţiei moleculei native de colagen. Punţile individuale de apă iau naştere şi se rup în doar câteva picosecunde pentru a preveni descolăcirea regiunii sărace în aminoacizi. Totuşi, moleculele de apă care formează o singură legătură hidrogenică la catena principală de fapt destabilizează helixul triplu, întrucât conferă structurii doar energie termică. În plus, un înveliş de hidratare, care acoperă întregul helix triplu serveşte ca şi cilindru de hidratare extins în jurul helixului triplu, iar reziduurile Hyp par să acţioneze ca şi "pietre de temelie" ce susţin conexiunea dintre reţeaua de apă şi moleculele peptidice. Învelişul hidratant este un lubrifiant biologic în structura proprie a colagenului şi determină distanţa inter-helicoidală. În lipsa învelişului de hidratare, moleculele de colagen s-ar agrega prin formarea legăturilor nespecifice, ducând la stări amorfe blocate.

Progresele din sfera medicală au dus la înţelegerea diferitelor proprietăţi ale colagenului şi ale aplicaţiilor sale în domeniul medical şi dentar. Cele mai importante dintre aceste caracteristici sunt elasticitatea şi regenerarea, proprietăţi care au fost implicate, de

asemenea, în produsele colagenice utilizate pe scară largă în aplicaţiile biomedicale pentru regenerarea ţesuturilor. Asocierea colagenului ca biomaterial în domeniul medical nu reprezintă o noutate; s-a utilizat ca prima sutură medicală cu peste 5000 de ani în urmă, sub formă de păr. Ulterior s-au dezvoltat şi suturile cu catgut de colagen pentru regenerarea plăgilor, precum cele ale gladiatorilor trataţi de Claudius Galenus. În stomatologia zilelor noastre, colagenul se foloseşte sub formă de membrană, material de grefă osoasă, ca agent pentru eliberarea locală a medicamentelor şi ca agent hemostatic.

Colagenul funcţionează ca un fel de declanşator ce influenţează proliferarea şi diferenţierea celulelor specializate. Din punct de vedere biomedical, colagenul joacă un important rol în dezvoltare, reparaţia plăgilor, activarea trombocitelor şi angiogeneză. Aceste proprietăţi ale colagenului sunt utilizate în cadrul diferitelor aplicaţii biomedicale, de exemplu în sistemele medicamentoase, incluzând: bariere colagenice utilizate în oftalmologie; bureţi pentru arsuri/plăgi; mini pelete şi tablete pentru livrarea proteinelor; formulă de gel în combinaţie cu lipozomi pentru eliberarea prelungită a medicamentelor; ca material de control pentru livrarea transdermică; nanoparticule pentru livrarea genelor; şi matricele de bază pentru sistemele de culturi celulare.

De asemenea, colagenul se utilizează şi în ingineria tisulară, inclusiv la înlocuirea pielii, producţia de substituenţi de os, vase sangvine şi valve artificiale. Colagenul hidrolizat poate juca un rol important în gestionarea greutăţii. În chirurgia cosmetică, colagenul se utilizează pe scară largă ca umplutură dermală pentru tratamentul ridurilor şi al pielii îmbătrânite.

Colagenul prezintă aplicaţii multiple şi în stomatologie. De exemplu, dopurile de colagen se folosesc în controlul hemoragiei, iar formele resorbabile de colagen se aplică sub formă de pansamente pe plăgile orale, pentru închiderea grefei şi a alveolelor postextracţionale şi pentru promovarea vindecării. Membranele pe bază de colagen se folosesc, de asemenea, în terapia implantară şi parodontală ca bariere pentru a preveni migraţia epitelială şi pentru a permite celulelor cu capacitate regeneratoare să repopuleze ariile defectuoase. Tabelul 1 sintetizează beneficiile şi dezavantajele colagenului ca biomaterial.

MEMBRANELE DE COLAGEN

În stomatologie, membranele se folosesc pentru reconstrucţia parodontală în procesul cunoscut sub denumirea de regenerare tisulară ghidată (guided tissue regeneration, GTR). Membranele se utilizează pentru a exclude migrarea spre plagă a celulelor din epiteliul gingival ce au capacitate de dezvoltare rapidă. Procedurile GTR folosesc dispozitive barieră care se aplică între lamboul parodontal şi defectul osos cu scopul de a menţine un spaţiu pentru repopularea defectului cu celule ce deţin potenţial regenerator. Primele membrane de acest fel disponibile în comerţ erau confecţionate din politetrafluoretilenă (ePTFE) şi erau neresorbabile.

Actualmente există mai multe materiale resorbabile care elimină necesitatea unei a doua intervenţii chirurgicale. Membranele bioresorbabile sunt fabricate din diverse materiale, precum acidul poliglicolic, acidul polilactic, dura mater, pericard, celuloză oxidată, digă şi os laminar; totuşi, colagenul s-a dovedit a fi deosebit de potrivit pentru aplicaţiile GTR datorită chemotaxiei sale pentru fibroblastele liga-

mentului parodontal, acţionând ca o barieră în calea celulelor epiteliale migratoare, oferind hemostază şi servind ca o schelă fibrilară pentru colonizarea tisulară şi vasculară timpurie.

PREPARAREA

MEMBRANELOR DE COLAGEN

Colagenul se poate prepara dintr-o serie de surse prin utilizarea diverselor tehnici. Cu toate acestea, membranele de colagen sunt fabricate de obicei prin demineralizarea osului total sau pulverizat, acompaniată în general de extracţia lipidelor.

Procesul începe cu solubilizarea sau dispersarea colagenului, continuând apoi cu purificarea şi reconstituirea sa. Ulterior se elimină materialele necolagenice, iar colagenul restant se stabilizează înainte de implantare. În fine, legăturile încrucişate care apar în cursul maturării biologice a colagenului pot fi stimulate in vitro cu ajutorul mai multor factori, cum ar fi tipul şi concentraţia agentului de procesare, precum şi prin pH şi temperatura de incubaţie.

În mod normal, majoritatea membranelor barieră sunt reticulate pentru a extinde timpul de absorbţie şi pentru a reduce antigenicitatea. Mai mult, gradul până la care barierele de colagen sunt reticulate poate influenţa la rândul său rezultatele terapeutice. Legăturile încrucişate se pot introduce fie prin metode fizice, fie prin reactivi chimici.

Tehnica de reticulare a ţesutului colagenic cel mai frecvent utilizată în prezent este cea cu glutaraldehidă (GA) care reduce semnificativ antigenicitatea şi biodegradarea implantului.

În esenţă, GA blochează grupările laterale amino ale colagenului şi realizează legături încrucişate între lanţurile peptidice.

Metodele fizice includ deshidratarea sau iradierea colagenului cu raze ultraviolete sau gama. Iradierea are două efecte principale asupra colagenului: iniţierea legăturilor încrucişate aleatorii şi ruperea moleculei de tropocolagen. Metodele de sterilizare destinate colagenului includ căldura, oxidul de etilenă şi iradierea. Nu în ultimul rând, dacă înainte de încălzire colagenul se deshidratează cu atenţie, stabilitatea sa se amplifică şi se pot aplica temperaturi de sterilizare.

MEMBRANELE DE COLAGEN UTILIZATE ÎN CADRUL GTR

Diferitele tipuri de membrane utilizate în tratamentul GTR sunt derivate din diverse surse de origine animală (bovină, porcină sau echină) şi se obţin din diverse locaţii, cum ar fi tendoane sau dermul. Se obţin din tipurile I sau III de colagen, sau din ambele.

Conform studiilor efectuate, creşterea osului în porii şi interstiţiile membranei poate surveni în locaţiile unde membrana este în contact strâns cu osul. Osul se depozitează direct pe peretele porului, umplând aproape complet porii şi chiar traversând membrana care deţine un material bioinert perfect cu proprietăţi osteoconductoare. Acest fenomen se regăseşte în cazul membranelor barieră pe bază de colagen, în special dacă sunt reticulate. Deşi încă nu s-a dezvoltat membrana GTR ideală, în prezent cele fabricate din colagen par să ofere multe dintre caracteristicile dorite.

COLAGENUL HEMOSTATIC

Colagenul se utilizează de asemenea şi în controlul sângerării; în acest scop sunt disponibile diverse produse. Aceşti agenţi sunt structuri moi, albe, pliabile, nonfriabile,

BENEFICIILE

ŞI DEZAVANTAJELE COLAGENULUI CA BIOMATERIAL

BENEFICII

• Disponibil din abundenţă şi purificat cu uşurinţă din organisme vii (constituie peste 30% din ţesuturile vertebratelor)

• Non-antigenic

• Biodegradabil, bioresorbabil, netoxic şi biocompatibil; biodegradabilitatea se poate regla prin legături încrucişate

• Sinergic cu componentele bioactive

• Plasticitate biologică datorită forţei tensile crescute şi a expresibilităţii minime

• Hemostatic – promovează coagularea sanguină

• Formulat sub diverse forme

• Modificabil cu uşurinţă pentru a produce materiale conform necesităţilor prin utilizarea grupărilor sale funcţionale

• Compatibil cu polimerii sintetici

DEZAVANTAJE

• Costul ridicat al colagenului tip I pur

• Variabilitatea colagenului izolat (ex. densitatea reticulată, dimensiunea fibrelor, prezenţa impurităţilor, etc.)

• Hidrofilia care duce la absorbţie şi eliberare mai rapidă

• Variabilitate în rata degradării enzimatice, în comparaţie cu degradarea hidrolitică

• Proprietăţi complexe de manevrare

• Efecte adverse precum encefalopatia spongiformă bovină (BSF) şi mineralizarea.

Tabelul 1. Beneficiile şi dezavantajele colagenului ca biomaterial

coerente şi asemănătoare bureţilor. Sunt fabricaţi din colagen bovin (de obicei din tendoane flexoare profunde), nu sunt toxici sau pirogeni. Produsele au capacitate mare de absorbţie şi pot îngloba cantităţi mari de fluide. Indicaţiile lor cuprind protecţia plăgilor şi controlul scurgerilor şi al sângerărilor provenite din plăgile orale curate. Pot fi decupate şi aplicate pe suprafeţe hemoragice. Când se aplică, ele absorb rapid sângele, creând o structură artificială asemănătoare cheagului sanguin, cu încetinirea şi chiar oprirea hemo-

ragiei. În ceea ce priveşte aplicarea, aceste produse trebuie menţinute pe loc timp de 2-5 minute pentru dobândirea hemostazei şi apoi pot fi detaşate, înlocuite sau lăsate in situ. Aceste materiale colagenice se resorb complet în decurs de 14-56 zile, în funcţie de gradul de reticulare a materialului. În plus faţă de capacitatea de obstrucţie mecanică a hemoragiei, aceste materiale influenţează procesul de coagulare. În contact cu sângele, colagenul cauzează agregarea plachetelor, care se cuplează în număr mare la fibrilele colagenului. Plachetele agregate se degranulează, eliberând factori ca tromboxanul A2, care ajută la formarea cheagului. Buretele de colagen asigură totodată şi o matrice tridimensională (3-D) pentru consolidarea cheagului sanguin. Ca şi în cazul celor mai mulţi agenţi hemostatici, colagenul nu se utilizează pe plăgile infectate sau contaminate. Agenţii pot servi ca un focar pentru formarea abceselor şi pot amplifica dezvoltarea bacteriilor. Reacţiile adverse posibile sunt reprezentate de formarea adeziunilor, reacţii alergice sau de corp străin, dehiscenţa plăgilor şi formarea seromului subgaleal (acumulare de ser sangvin sub scalp). Efectele includ posibile interferenţe cu regenerarea plăgii, iar aplicarea în alveolele postextracţionale s-a asociat cu accentuarea durerii. La modelul animal, locurile de incizie inoculate cu Staphylococcus aureus au demonstrat infecţii mai severe în cazul utilizării colagenului, comparativ cu cazurile control. În afară de bureţi şi dopuri, aceste produse sunt disponibile şi sub formă microfibrilară. Această formă este de obicei mai puţin utilă în cazul procedurilor chirurgicale.

COLAGENUL CA SUBSTITUENT OSOS

Colagenul se utilizează ca şi vehicul implantabil pentru proteinele

osteoinductoare, cum ar fi proteina morfogenică osoasă-2 (rhBMP-2). Colagenul, în combinaţie cu alţi polimeri sau agenţi chimici, se utilizează în cadrul procedurilor de augmentaţie osoasă. Colagenul osos demineralizat se foloseşte ca material de grefă osoasă pentru tratamentul defectelor congenitale sau dobândite, fie singular, fie în combinaţie cu hidroxiapatita.

COLAGENUL ÎN SISTEMELE

MEDICAMENTOASE CU ELIBERARE LOCALĂ

Pentru eliberarea locală a medicamentelor, au fost testate diferite tipuri de membrane pe bază de colagen. În 1990, Steinberg et al descria un dispozitiv degradabil cu eliberare controlată bazat pe o matrice de bicoproteină reticulată cu formaldehidă care conţinea clorhexidină.

Sursa de colagen este reprezentată de vezica aeriană provenită din peştele de apă dulce. Vezica de aer este un organ respirator accesoriu utilizat la respiraţia reală. Colagenul de peşte, numit de asemenea şi colagenul piscicol, este o proteină extrasă din resturile de peşte, inclusiv din solzi, piele sau vezica de aer; provine preponderent din crapul de apă dulce, Labeo rohita Purificarea colagenului din peşte implică hidroliza alcalină, revenirea colagenului la un pH neutru, şi supunerea la hidroliză acidă pentru stabilizarea sa. Colagenul se liofilizează în particule, burete sau foiţe care se pot apoi decupa la dimensiunea şi forma dorită. Prepararea filmelor de membrană se face pe plăci şi nu se liofilizează.

Membranele din colagen îmbunătăţite cu clorhexidină sunt utilizate în tratamentul parodontitei cronice ca adjuvant la procedurile de detartraj şi planare radiculară, demonstrând reducerea profun-

zimilor de sondare, diminuarea sângerării gingivale şi ameliorarea nivelului de ataşament clinic, în comparaţie cu detartrajul şi netezirea radiculară singură. Un alt material folosit în mod frecvent pentru livrarea locală a medicamentelor cuprinde fibre de tetraciclină impregnate în fibre de colagen, disponibile în flacoane. Aceste fibre maronii sunt resorbabile. Ele sunt îmbibate în soluţie salină şi se aplică în pungile parodontale cu un cleşte de bumbac sau cu chiureta până la umplerea completă a pungii sau puţin sub marginea gingivală. Aceasta permite difuzia medicamentului pe măsură ce colagenul este supus resorbţiei, eliberând medicamentul din matrice într-o manieră controlată.

PANSAMENTELE DE COLAGEN

În stomatologie, colagenul se mai foloseşte şi ca pansament datorită unora dintre caracteristicile acestuia. Prima este reprezentată de rolul structural şi funcţional în reparaţia plăgilor. Natura hidrofilă ce se poate atribui structurii moleculare caracterizată printr-un conţinut crescut de aminoacizi diaminodicarboxilici şi carbohidraţi oferă o geometrie de suprafaţă foarte potrivită pentru adeziunea celulară. Un alt factor, care promovează atracţia celulelor fibrogenice la implanturile de colagen, este reprezentat de prezenţa la suprafaţa celulelor a unei fibronectine asemănătoare glicoproteinelor.

Aceste molecule deţin o afinitate accentuată pentru colagen şi se cuplează în mod specific cu regiunile definite de la suprafaţa colagenului.

Există două forme principale de pansamente de colagen pentru plăgi: bureţi şi filme. Bureţii colagenici formează o structură 3-D cu pori sau canale largi, comunicări intercanalare şi combinaţii de ma-

cromolecule ale ţesutului conjunctiv pentru a intensifica infiltraţia ţesutului din plagă şi dezvoltarea celulelor in vivo. Bureţii s-au utilizat atât la acoperirea temporară, cât şi la cea permanentă a plăgilor. Colonizarea celulară a bureţilor depinde de porozitate şi de prezenţa structurii fibroase.

Cea de-a doua formă a pansamentelor pentru plăgi este reprezentată de filmele de colagen, care se fabrică prin turnarea colagenului pe suprafeţe metacrilice. Pentru îmbunătăţirea proprietăţilor lor de manevrare, acestea se reticulează prin expunerea la raze ultraviolete.

CONCLUZII

Abundenţa colagenului, structura sa cristalină cu rezoluţie crescută şi abordările biofizice moderne au permis studiul detaliat al structurii şi stabilitatea helixului triplu al acestuia, simplificând metodele de sintetizare a spiralelor triple lungi şi a fibrilelor de colagen. Materialele rezultante sunt pregătite pentru a fi utilizate în biomedicină şi nanotehnologie. Semnificaţia funcţională datorită elasticităţii şi reparabilităţii a fost implicată în abilitatea biomaterialelor colagenice de a spori regenerarea ţesuturilor parodontale şi restaurarea esteticii şi a funcţiei. Aceste proprietăţi mecanice unice sunt predominant dependente de formarea legăturilor încrucişate intermoleculare dintre moleculele de colagen din interiorul fibrelor pentru a preveni alunecarea sub sarcină şi prin alinierea variată a acestor fibre reticulate din ţesut.

Astfel, s-a impus studierea sistematică a comportamentului mecanic al colagenului şi înţelegerea detaliilor microscopice, întrucât acestea ar influenţa rezistenţa mecanică şi alte proprietăţi atunci când se vizualizează la o scară mai largă.

Înţelegerea acestor proprietăţi a evidenţiat comportamentul acestora în structurile corporale mai mari şi modul în care diferite tipuri de colagen influenţează proprietăţile mecanice ale diverselor ţesuturi.

Această înţelegere aprofundată sprijină utilizarea colagenului pentru fabricarea biomaterialelor ce asigură calitatea superioară a agenţilor biomedicali, îndeosebi pentru reconstrucţia şi regenerarea unui parodonţiu afectat. ¤

Subclassification and Clinical Management of Extraction Sockets with Labial Dentoalveolar Dehiscence Defects by Stephen J. Chu, DMD, MSD, CDT; Guido O. Sarnachiaro, DDS; Mark N. Hochman, DDS; Dennis P. Tarnow, DDS . Originally published in Compendium of Continuing Education in Dentistry

36(7) July/Aug 2015. Copyright © 2015 to AEGIS Communications. All rights reserved.

MANAGEMENTUL CLINIC AL ALVEOLELOR POSTEXTRACŢIONALE CU DEFICIT OSOS VESTIBULAR

Despre autori

Stephen J. Chu, DMD, MSD, CDT

Clinical Associate Professor

Ashman Department of Periodontology and Implant Dentistry

New York University College of Dentistry, NY, NY

Guido O. Sarnachiaro, DDS

Clinical Assistant Professor, Department of Prosthodontics

Columbia University College of Dental Medicine

New York, New York

Department of Periodontology and Oral Implantology

Temple University School of Dentistry

Philadelphia, Pennsylvania

Mark N. Hochman, DDS

Former Clinical Associate Professor

Ashman Department of Periodontology and Implant Dentistry

New York University College of Dentistry, NY, NY

Dennis P. Tarnow, DDS

Clinical Professor Director of Implant Education

Columbia University College of Dental Medicine, NY, NY

Autorii descriu o subclasificare a alveolelor postextracţionale cu absenţa parţială sau totală a peretelui osos vestibular, dar cu ţesut moale prezent. Tehnica descrisă implică inserarea imediată a implantului, regenerarea ghidată cu grefarea osoasă, şi un bont de vindecare individualizat cu două piese care generează rezultate clinice satisfăcătoare la pacienţii cu linia surâsului joasă. Protocolul şi secvenţele terapeutice sunt descrise în cadrul unei prezentări de caz.

Inserarea imediată a implantului concomitent cu restaurarea provizorie (IIPP) în locaţiile extracţionale proaspete se recomandă cu scopul de a îmbunătăţi rezultatul estetic restaurator.

Când se realizează IIPP, dobândirea rezultatelor de succes depinde de următorii factori: sănătatea gingivală pre-tratament; morfologia şi dimensiunile ţesuturilor osoase şi moi; stabilitatea primară a implantului; poziţionarea spaţială a implantului; şi fabricarea unei restaurări provizorii cu contur adecvat. Pentru dezvoltarea unui protocol IIPP eficient este importantă înţelegerea fiecăruia dintre aceşti factori.

Morfologia alveolei osoase reziduale după extracţie, înainte de inserarea imediată a implantului este esenţială pentru tehnica IIPP. Stabilirea unei clasificări acceptate permite clinicienilor să colecteze date clinice importante pentru protocoale terapeutice mai predictibile.

Elian et al au clasificat defectele ce identifică problemele asociate pierderii de ţesut dur şi moale orizontal şi vertical.

Clasificarea delimita componenta orizontală medio-facială şi posibilul risc al recesiei medio-faciale asociat cu pierderea de perete osos vestibular postextracţional.

S-a descris următoarea clasificare a alveolelor:

Tipul (1): perete osos vestibular şi ţesuturi asociate complet intacte.

Tipul (2): ţesut moale prezent dar cu defect osos (absenţa parţială sau totală a peretelui osos vestibular).

Tipul (3): defect mediofacial prezent (pierderea peretelui osos vestibular şi a ţesuturilor moi).

În cadrul acestei clasificări de bază, tipurile 1 şi 3 sunt adecvat descrise. În cazul alveolelor postextracţionale reziduale de tip 2, se impune o descriere mai detaliată pentru o atitudine terapeutică corectă, chiar

Figurile

1-2. Imaginea schematică sagitală (1), respectiv vestibulară (2) a alveolei de tip 2A, unde 1/3 coronară a peretelui osos vestibular este absentă, însă ţesuturile moi sunt total intacte.

3-4. Aspectul schematic sagital (3), respectiv vestibular (4) al alveolei de tip 2B, unde 1/3 medie a peretelui osos vestibular este absentă, dar cu ţesuturile moi complet intacte. 5-6. Aspectul schematic sagital (5), respectiv vestibular (6) al alveolei de tip 2C, unde 1/3 apicală a peretelui osos vestibular este absentă, dar cu menţinerea total intactă a ţesuturilor moi.

dacă tratamentul şi rezultatele au fost deja descrise în literatură. Literatura descrie inserarea imediată a implanturilor în alveole postextracţionale deficitare şi plasarea unei grefe osoase, fie sub formă de blocuri autogene, alogrefă particulată cu sau fără membrană pentru regenerarea osoasă ghidată (GBR). De asemenea, în momentul intervenţiei chirurgicale se inseră şi o restaurare provizorie totală sau un bont de vindecare individualizat pentru susţinerea ţesuturilor gingi-

ETAPA TERAPEUTICĂ PROCEDURA CLINICĂ

1 Plasarea implantului cu o înclinaţie palatinală, împlicând pereţii proximali ai alveolei, cu lăsarea unui orificiu vestibular

2 Construirea unui bont de vindecare individualizat cu două piese, cu fixare cu şurub

3 Îndepărtarea bontului de vindecare individualizat

4

Adaptarea şi plasarea membranei absorbabile pentru GBR. Membrana ar trebui să acopere defectul cu cel puţin 2mm circumferenţial şi să se extindă până la nivelul FGM medio-facial

5 Aplicarea materialului de grefă osoasă vestibular faţă de suprafaţa implantului şi palatinal faţă de membrana absorbabilă

6 Reînlocuirea bontului de vindecare individualizat fabricat.

vale periimplantare şi restaurarea dintelui. Diferiţi autori au sugerat că dimensiunea, extinderea şi forma defectului osos pot influenţa rezultatele estetice chiar pe termen scurt ale tratamentului.

De aceea, obiectivul prezentului articol constă în identificarea unei subclasificări a alveolelor de tip 2 care să considere dimensiunile şi volumul defectului osos vestibular, alături de oferirea unui scenariu clinic care să exemplifice protocolul şi secvenţa terapeutică.

SUBCLASIFICARE

Pentru a cuantifica deficitul de perete osos vestibular se foloseşte următoarea subclasificare a alveolelor de tip 2, ţesuturile moi fiind intacte:

Tipul 2(A): absenţa 1/3 coronare a peretelui osos vestibular, cu 5-6mm faţă de marginea gingivală liberă (FGM) (fig. 1, 2).

Tipul 2(B): absenţa celor 2/3 medio-coronare din peretele osos vestibular, cu aproximativ 7-9mm de la FGM (fig. 3, 4).

Tipul 2(C): absenţa 1/3 apicale a peretelui osos vestibular, cu cel puţin 10mm faţă de FGM (fig. 5, 6).

TEHNICA CLINICĂ

Este descrisă o tehnică ce implică inserarea imediată a implantului, GBR şi aplicarea grefei osoase, cu bont de vindecare individualizat care să conducă la rezultate estetice substanţiale. Tabelul 1 prezintă un rezumat al secvenţelor terapeutice şi al etapelor clinice.

În primul rând, deoarece implantul este utilizat pentru retenţia bontului de vindecare individualizat, protocolul terapeutic necesită un minim de 25Ncm torsiune de inserţie a implantului pentru stabilitatea primară şi a asigura integrarea. În regiunile premolare, anatomia alveolelor permite stabilitatea implanturilor prin implicarea pereţilor laterali, deoarece premolarii au dimensiuni oro-vestibulare mai mari decât în sens mezio-distal. În cazul alveolelor anterioare, implicarea osului oral şi apical este strategică pentru a asigura nu doar inserarea adecvată a implantului, ci şi stabilitatea primară.

Se fabrică un bont de vindecare cu contur individualizat cu ajutorul materialului provizoriu de tipul materialelor acrilice, bisacrilice sau compozitelor fluide. Apoi se îndepărtează înainte de aplicarea membranei resorbabile. Membrana

trebuie să acopere şi să se extindă cu câţiva mm dincolo de pereţii laterali ai defectului, reproducând forma sa şi extinzându-se până la nivelul FGM mediofacial. Apoi se aplică materialul de grefă osoasă între partea palatinală a membranei şi suprafaţa vestibulară a implantului, până la nivelul FGM. Bontul de vindecare individualizat cu două piese se repoziţionează, protejând şi menţinând astfel membrana şi materialul de grefare pe toată durata fazei de vindecare. Se îndepărtează excesul de grefă osoasă exprimat în şanţul gingival. Pacientul este instruit să nu clătească şi să evite periajul regiunii cel puţin 2 zile pentru a permite stabilizarea cheagului sangvin.

PREZENTARE DE CAZ

Un pacient asiatic (87 ani) s-a prezentat cu durere la percuţie la nivelul primului premolar stâng superior (2.4.), care servea ca bont anterior al unei proteze parţiale fixe (FDP) pentru înlocuirea lui 2.5. La sondarea parodontală, s-a înregistrat o profunzime de 9mm pe latura medio-vestibulară a bontului coronar, indicând fractură radiculară verticală (fig. 7), diagnostic confirmat şi radiologic (periapicală şi CBCT). În acest scenariu clinic, tipul defectului se încadra în alveola de tip 2B.

S-a cimentat provizoriu o FDP posterioară cu retenţii coronare totale pe molarii 2.6. şi 2.7. şi un ataşament de interblocare internă spre o FPD anterioară între 1.3.-2.3. menţinut pe mai mulţi ani, cu recimentări periodice. Îndepărtarea provizorie a FDP posterioare a permis nu doar tratamentul premolarului 2.4., ci a menţinut de asemenea o restaurare fixă de tranziţie pe durata fazei de vindecare chirurgicală şi de încărcare non-ocluzală a implanturilor inserate corespunzător 2.4. şi 2.5. Tratamentul chirurgical a inclus extracţia atraumatică a 2.4. fără elevare de lambou, cu menţinerea

Tabelul 1. Sumarul secvenţelor terapeutice şi al etapelor clinice

Figurile 7. Clinic defectul osos medio-facial s-a diagnosticat prin sondarea spre apex a leziunii. S-a înregistrat o adâncime de sondare de 9mm în cazul 2.4. 8. S-a utilizat un excavator chirurgical pentru debridarea minuţioasă a alveolei postextracţionale după disecţia delicată a fibrelor gingivale înainte de extracţie. Se observă că prin extinderea vestibulară a excavatorului peretele vestibular era absent. 9. Pentru stabilitate primară s-au utilizat pereţii laterali ai alveolei primului premolar. Implantul s-a inserat cu o înclinaţie palatinală nu mai mare de 3mm şi nu mai profundă

de 4mm de la FGM vestibulară pentru a permite o distanţă verticală mai mare pentru un profil de submergenţă adecvat al bontului de vindecare individualizat. 10. Un conformator sau o matriţă prefabricată pentru porţiunea cervicală a rădăcinii s-a utilizat pentru a captura forma subgingivală a ţesuturilor mucoase periimplantare. Această matriţă acrilică s-a cimentat ulterior la un bont implantar PEEK (polieter-etercetonă) prefabricat. 11. Bontul de vindecare individualizat cu două piese cu golurile acoperite cu răşină acrilică, cu contur complet, lustruit înainte de inserţie; în timpul

menţinerii pe poziţie, s-a permis vindecarea timp de 6 luni înainte de prima deconectare. 12. Membrana de colagen resorbabilă s-a modelat dincolo de pereţii laterali ai defectului şi apoi s-a aplicat în alveolă până la nivelul FGM. S-a utilizat doar porţiunea „conică” a „cornetului de îngheţată”. 13. Grefa osoasă s-a aplicat între aspectul vestibular al implantului şi palatinal faţă de membrana de colagen resorbabilă. 14. Bontul de vindecare individualizat cu două piese construit anterior s-a reintrodus pentru a conţine, a proteja şi a menţine materialul de grefă osoasă în cursul fazei de vindecare.

în acest fel a aportului sangvin periostal spre peretele osos rezidual interproximal şi vestibular. Disecţia delicată a fibrelor supracrestale s-a realizat cu o lamă de bisturiu 15c înainte de extracţia dintelui, iar alveola s-a debridat minuţios cu un excavator chirurgical (fig. 8). Absenţa parţială a peretelui osos vestibular era evidentă (fig. 8), deşi ţesutul moale era intact în totalitate. S-a inserat un implant conic cu schimbare de platformă şi tip de conexiune internă la 4mm sub FGM pentru a permite spaţiul necesar profilului de emergenţă corespunzător bontului de vindecare individualizat cu două piese (fig. 9). S-a obţinut stabilitatea primară prin implicarea pereţilor proximali laterali ai alveolei şi s-a confirmat cu o torsiune manuală de 50Ncm pentru a facilita fabricarea imediată a bontului.

Înainte de inserarea materialului de grefă osoasă s-a fabricat un bont de vindecare individualizat cu două piese şi fixare cu şurub. S-au utilizat cilindri temporari cu conexiune hexagonală internă din polieter-eter-cetonă (PEEK), o matriţă cu formă radiculară cu profil de submergenţă din polimetilmetacrilat (PMMA) (fig. 10) specific pentru 2.4. şi o răşină acrilică autopolimerizabilă pentru a construi un bont de vindecare individualizat. Acest bont prezenta contururi subgingivale conforme cu starea pre-extracţională a porţiunii cervicale a rădăcinii, susţinând astfel profilul de emergenţă a ţesuturilor moi pentru a ajuta la protejarea cheagului sangvin şi la menţinerea particulelor de grefă osoasă pe durata fazei de vindecare (fig. 11).

S-a adaptat şi conturat o membrană de colagen absorbabilă dincolo de dimensiunea şi forma defectului osos vestibular evaluat anterior (fig. 12). Membrana s-a aplicat pe suprafaţa internă a peretelui alveolei postextracţionale reziduale; s-a augmentat cu alogrefă osoasă sub formă de particule mici (250-1000microni) în momentul inserării implantului (fig. 13). Apoi bontul de vindecare individualizat s-a reinserat cu torsiune manuală, asigurându-se sprijin adecvat pentru ţesuturile moi şi arhitectura gingivală (fig. 14).

S-a administrat terapie antibiotică postchirurgicală şi s-a controlat la o săptămână postoperator pentru evaluarea clinică a vindecării. A urmat o perioadă de vindecare de 8 luni pentru a permite reconstituirea peretelui vestibular înainte de amprentarea finală a implanturilor 2.4. şi 2.5. S-a efectuat şi un examen CBCT pentru a confirma vindecarea radiologică a osului nou generat (fig. 15). După prima deconectare a bon-

tului de vindecare individualizat, era evidentă anatomia arhitecturii gingivale reconstituite şi menţinute la nivelul alveolei postextracţionale (fig. 16, 17). S-au fabricat restaurări metalo-ceramice unidentare, cu şuruburi pentru implanturile 2.4. şi 2.5., precum şi coroane cu acoperire totală în cazul dinţilor 2.6. şi 2.7. (fig. 18, 19). S-a efectuat o radiografie periapicală finală după inserţia restaurărilor definitive unidentare la nivelul sextantului stâng superior din dentiţia pacientului (fig. 20).

Figurile 15. CBCT efectuat la 8 luni postoperator prezintă restabilirea radiologică a peretelui osos vestibular înainte de prima deconectare şi amprentare. 16. Aspectul clinic al ţesuturilor gingivale în jurul bontului de vindecare la 8 luni după vindecarea chirurgicală. 17. Prima deconectare a bontului de vindecare a 2.4. a prezentat forma anatomică a alveolei şi menţinerea crestei vestibulare. 18. Aspectul ocluzo-vestibular al coroanelor implantare cu fixare cu şuruburi (2.4. şi 2.5.). 19. Aspectul facial al coroanelor implantare cu fixare cu şuruburi (2.4. şi 2.5.) 20. Rx periapicală a restaurărilor implantare 2.4. şi 2.5.; prezintă niveluri osoase adecvate în jurul ambelor implanturi la 10 luni după chirurgia implantară.

DISCUŢII ŞI SEMNIFICAŢIE CLINICĂ

Acest articol a prezentat o subclasificare a defectelor alveolare de tip 2 caracterizate prin prezenţa ţesutului moale dar absenţa parţială sau totală a peretelui osos vestibular. Metoda convenţională în cadrul căreia abordarea acestui tip de defect implica protocolul prin abordare întârziată, presupune: extracţia cu sau fără prezervarea alveolei, vindecarea, inserarea implantului, perioada de osteointegrare, restaurarea provizorie a implantului, amprentarea finală şi livrarea restaurării definitive. O asemenea secvenţă terapeutică prin abordare întârziată cuprinde mai multe etape pe o perioadă mai extinsă de timp şi mai multe şedinţe, nu doar pentru practician, ci şi pentru pacient.

Semnificaţia clinică a tehnicii descrise, în care inserarea implantului într-o alveolă postextracţională proaspătă cu pierderea parţială sau totală a peretelui osos vestibular este combinată cu regenerare osoasă ghidată, prezintă beneficii semnificative pentru clinician şi pacient deopotrivă.

Aceste avantaje includ: 1) procedurile terapeutice sunt condensate în mai puţine şedinţe; 2) durata terapeutică globală este redusă; 3) se menţine arhitectura gingivală a ţesuturilor moi; şi 4) este viabilă oportunitatea şi abilitatea de a regenera peretele osos vestibular.

Defectele de tip 2A şi 2B se pot trata cu rezultatele substanţiale menţionate anterior, însă defectele de tip 2C prezintă un grad mai mare de dificultate şi trebuie abordate cu precauţie, îndeosebi în zona estetică. ¤

A Review of the Positive Influence of Crown Contours on Soft-Tissue Esthetics by Richard P. Kinsel, DDS; Bryan I. Pope, DMD, MSD; and Daniele Capoferri. Originally published in Compendium of Continuing Education in Dentistry 36(5) May 2015. Copyright © 2015 to AEGIS Communications. All rights reserved.

INFLUENŢA POZITIVĂ A CONTURURILOR CORONARE ASUPRA ESTETICII ŢESUTURILOR MOI

Despre autori

Richard P. Kinsel, DDS Health Sciences Associate Clinical Professor Dept. of Preventive and Restorative Dental Sciences University of California San Francisco San Francisco, California Private Practice Foster City, California

Bryan I. Pope, DMD, MSD Private Practice

Peninsula Periodontal Associates San Mateo, California

Daniele Capoferri Owner, Swiss Dental Design

Foster City, California

Restaurările estetice necesită controlul precis al multiplelor variabile din timpul fabricării coroanei, în sinergie biologică cu profilul ţesuturilor din vecinătate. Acest obiectiv lăudabil reprezintă adesea o provocare pentru echipa terapeutică.

Marginea gingivală liberă este descrisă ca având muchii ascuţite şi parabolice, urmărind extinderea vestibulară şi palatinală a osului alveolar şi joncţiunea smalţ-cement (CEJ) a dintelui. Conturul facial al ţesutului moale este mult influenţat de concavitatea interfeţei radiculare în raport cu convexitatea smalţului coronar. Simularea dintelui natural depinde

Echipa terapeutică trebuie să înţeleagă structurile biologice adiacente dentiţiei naturale şi implanturilor. Acest articol descrie potenţialul contururilor restauratoare specific concepute pentru a dicta profilul gingival optim pentru coroanele cu sprijin dentar şi implantar. Autorul exemplifică importanţa evaluării clinice şi dezbate elementele cheie în anticiparea cazurilor în care papila proximală are potenţialul de a reveni la o înălţime şi formă favorabilă.

şi de localizarea zenitului gingival facial, definit ca cea mai apicală poziţie a marginii gingivale libere. În cazul dentiţiei normale sănătoase, zenitul se află în general la 1mm distal de linia mediană a dintelui, fiind mai pronunţat la incisivii centrali maxilari şi mai redus la cei laterali şi canini.

Contururile suprafeţei maxilare ale CEJ au formă parabolică şi uşor concavă. Papila interdentară ocupă aria proximală până la punctul de contact. Managementul restaurator al ţesutului moale proximal se bazează pe volumul ambrazurii, localizarea pe osul crestal până la punctul de contact restaurator şi sănătatea parodontală sau periimplantară a dintelui, respectiv a implantului adiacent.

Următoarele cazuri trec în revistă modul de gestionare a profilurilor gingivale vestibulare şi proximale exclusiv prin utilizarea contururilor restauratoare. Înţelegerea biologiei ţesuturilor moi adiacente dentiţiei naturate şi potenţialul înnăscut pentru manevrarea spaţială sunt de importanţă majoră. Aceste concepte sunt direct aplicabile în

Descoperiţi puterea fibrelor

cazul coroanelor cu sprijin implantar deopotrivă.

MIGRAŢIA CORONARĂ A MARGINII GINGIVALE LIBERE

Recesia gingivală iatrogenă, ca în primul caz ilustrat, poate fi cauzată de marginile gingivale restauratoa-

re, cu efect asupra lăţimii biologice. Fig. 1 prezintă aspectul clinic tipic al ţesutului moale atunci când marginea coroanei exercită presiune asupra ataşamentului de ţesut conjunctiv. Aspectul clinic a fost confirmat de sondarea parodontală (fig. 1). Astfel, era de aşteptat ca marginea gingivală vestibulară să

CAZUL I – Figurile

1. Marginea coroanei a afectat ataşamentul de ţesut conjunctiv. S-a utilizat o sondă parodontală pentru sondarea crestei alveolare şi s-a determinat o profunzime de 1mm. Marginea gingivală liberă vestibulară avea potenţialul de a se deplasa coronar printr-un proces cunoscut sub denumirea de "reataşament".

2. După îndepărtarea coroanei existente a devenit vizibilă plasarea apicală excesivă a marginii preparaţiei.

3. S-a finalizat reducţia axială-gingivală adecvată şi marginea gingivală iniţială s-a plasat coronar faţă de CEJ a incisivului central adiacent.

4. Coroana provizorie a facilitat formarea unui ataşament epitelial joncţional lung.

5. Aspectul clinic al coroanei definitive la 1 an după aplicarea in situ, demonstrând că profilul ţesutului moale era stabil şi simetric cu cel al controlateralului natural.

migreze coronar. S-au realizat modele diagnostice pentru fabricarea coroanei provizorii.

După îndepărtarea coroanei metalo-ceramice, preparaţia dentară subiacentă a demonstrat plasarea excesiv de apicală a marginii gingivale şi reducţia axială insuficientă după cum este ilustrat în (fig. 2).

Tratamentul corector iniţial a implicat netezirea cementului preparat anterior cu ajutorul unei freze canelate de carbură pentru finisare. S-a realizat reducţia axială şi gingivală adecvată, iar marginea gingivală a fost plasată coronar faţă de CEJ a incisivului central adiacent (fig. 3).

Restaurarea provizorie a fost concepută cu marginea vestibulară subconturată care a facilitat migraţia coronară a gingiei vestibulare deasupra suprafeţei radiculare, proces ce conduce la o adeziune epitelială joncţională lungă stabilă şi rezistentă la infecţiile bacteriene. După 6 săptămâni, s-au obţinut locaţia apicală optimă şi forma marginii vestibulare definitive (fig. 4). Pe baza amprentelor s-a realizat coroana metalo-ceramică. Aspectul clinic de la finalizarea tratamentu-

CAZUL II – Figurile

6. Incisivul central drept prezenta o restaurare compozită defectuoasă şi carie palatinală, necesitând o restaurare coronară totală.

7. În şanţ s-a introdus un fir de retracţie neimpregnat.

lui a demonstrat stabilitatea şi sănătatea clinică a profilului gingival vestibular şi proximal (fig. 5).

INFLUENŢA CONTURURILOR

CORONARE ASUPRA PROFILULUI GINGIVAL

Marginea gingivală liberă se poate deplasa apical exclusiv cu utilizarea convexităţii coronare, fără a fi necesară alungirea coronară chirurgicală.

Aceasta impune localizarea crestei osoase într-o poziţie apicală, la >2mm, permiţând deplasarea marginii gingivale libere cu prezervarea dimensiunii lăţimii biologice naturale.

În acest caz, a fost necesară sondarea osului pentru a determina cu precizie localizarea suportului alveolar.

8. Marginea gingivală a preparaţiei coronare finalizate a urmărit conturul ţesutului moale. Convexitatea marginii faciale a coroanei ceramice definitive a stabilit poziţia şi conturul marginii gingivale libere.

9. Aspectul clinic al coroanei ceramice definitive la 1 an post-tratament. Se observă poziţia şi conturul marginilor gingivale libere dar şi absenţa inflamaţiei clinice.

Acest pacient (fig. 6) prezenta o asimetrie gingivală vestibulară la nivelul incisivului central drept cauzată de erupţia pasivă alterată. Din cauza suportului coronar restant inadecvat era necesară o restaurare coronară.

Sondarea parodontală a indicat că şanţul intracrevicular era de 1mm în cazul incisivului central stâng, respectiv 2,5mm în cazul controlateralului (erupţie pasivă alterată).

De aceea, marginea gingivală liberă se putea poziţiona apical la 1,5mm fără afectarea ataşamentului epitelial joncţional.

Înainte de plasarea marginii gingivale, în şanţ s-a introdus un fir de retracţie neimpregnat (fig. 7) pentru a deplasa apical marginea gingivală la acelaşi nivel cu cel al incisivului central adiacent. Poziţia marginii gingivale libere vestibulare a fost determinată prin îndepărtarea selectivă a ghipsului de pe modelul master, cu dezvoltarea simetriei în raport cu incisivul central adiacent (fig. 8). Conturul CEJ convex al coroanei definitive a deplasat marginea gingivală liberă într-o poziţie acceptabilă dpdv estetic şi biologic. Aspectul profilului gingival la 1 an după tratament a confirmat sănătatea clinică şi stabilitatea poziţională (fig. 9).

RESTAURAREA PAPILEI INTERPROXIMALE

Clinicienii au încercat să regenereze chirurgical papila interproxi-

mală, dar în general cu rezultate suboptime.

O recenzie sistematică a literaturii efectuată de Blatz & Hürzeler atestă impredictibilitatea acestor tehnici.

Din fericire, potenţialul migraţiei incizale a papilei este mare atunci când suportul osos proximal subiacent este favorabil.

Un raport clinic recent a demonstrat că consolidarea papilei prin augmentaţie chirurgicală nu a fost posibilă fără modificarea adiţională a contururilor proximale la nivelul incisivilor centrali.

Alt pacient (fig. 10) prezenta o deficienţă a înălţimii papilare între centralii superiori, vizibilă chiar şi în surâs.

Înlocuirea coroanei metalo-ceramice defectuoase de la nivelul centralului drept a consolidat înălţimea papilei proximale, exclusiv cu ajutorul contururilor restauratoare.

Wax-up-ul diagnostic a determinat faptul că discrepanţele dimensionale mezio-distale puteau fi abordate cu restaurări din porţelan feldspatic cimentate adeziv cu răşină pe regiunea mezială a incisivului central stâng. Suportul osos subiacent favorabil a facilitat posibilitatea migraţiei incizale a papilei proximale.

Tehnicianul a fabricat coroana ceramică şi restaurarea cu adeziune răşinică. Conturul preparaţiei a urmat ondulaţiile faciale ale suprafeţei dentare naturale pentru a camufla marginea vestibulară (fig. 11). Conturul restaurator proximal a determinat forma papilei interdentare (fig. 12). Zâmbetul pacientului vizualizat la controlul după 1 an (fig. 13) reflectă înălţimea şi forma îmbunătăţită a papilei, demonstrând stabilitatea pe termen lung a papilei proximale.

CONTURURI CORONARE CU SUPORT IMPLANTAR

Deşi o coroană cu sprijin implantar corespunzător incisivului central poate reda îndeaproape aspectul natural, diferenţele de la nivelul marginii gingivale libere pot genera dizarmonie vizuală (fig. 14). Dezvoltarea ţesuturilor moi şi dure optime din vecinătate este dificilă din cauza platformei restauratoare plate a implanturilor în contrast cu forma parabolică a CEJ regăsită în cazul dinţilor naturali.

Când coroanele cu sprijin implantar sunt adiacente dinţilor naturali, prezenţa sau absenţa papilei este dependentă de poziţia verticală a ataşamentului parodontal de la nivelul dintelui adiacent (fig. 15).

Când acesta nu are pierdere de ataşament proximal, distanţa verticală dintre punctul de contact şi creasta osoasă sub 5mm deţine cel mai mare potenţial pentru ocupa-

rea totală cu papilă. Acest fenomen este facilitat de osul crestal intact şi grupurile de fibre dentogingivale şi dentoperiostale ale dintelui adiacent.

În acest caz, modelul master a fost modificat pentru a duplica profilul CEJ al incisivului central drept superior. Conturul CEJ al coroanei metalo-ceramice definitive a determinat profilul vestibular şi proximal al gingiei; acest proces necesită adesea o perioadă de mai multe luni de zile. Contururile favorabile de ţesut moale vizualizate la 1 an după plasarea bontului de zirconiu şi a coroanei ceramice definitive (fig. 16) au confirmat acest potenţial regenerator papilar.

Un alt caz ce a implicat realizarea contururilor coronare cu sprijin implantar a demonstrat o discrepanţă a marginilor gingivale libere asociate incisivului central maxilar drept şi coroanei ceramice contro-

CAZUL III – Figurile

10. Deficienţa papilară dintre incisivii centrali şi dimensiunile mezio-distale erau evidente în cursul zâmbetului normal.

11. Înlocuirea coroanei existente alături de o restaurare proximală cu adeziune la porţelan pe incisivul central adiacent a corectat discrepanţa de lăţime şi spaţiul ambrazurii proximale.

12. Contururile coroanei ceramice definitive şi restaurarea adezivă au sporit potenţialul regenerator al papilei proximale.

13. Zâmbetul pacientului la şedinţa de control programată după 1 an.

laterale cu sprijin dentar (fig. 17). Panta lineară a coroanei ceramice originale cu sprijin implantar (fig. 18, stânga) a cauzat migraţia apicală a marginii gingivale libere. Contururile finale, cu concavitatea formei radiculare şi convexitatea formei coronare, au determinat profilul ţesutului moale (fig. 18, dreapta). Restaurările coronare definitive din porţelan au consolidat conturul dentar natural, croma, nuanţa, textura de suprafaţă şi cadrul gingival (fig. 19, 20).

DISCUŢII ŞI CONCLUZII

Restaurările coronare din zona estetică sunt inerent complexe. Frecvent sunt necesare cunoştinţele şi abilităţile de colaborare ale unei echipe experimentate. Adesea o soluţie restauratoare nechirurgicală poate conduce la estetica gingivală dorită. Totuşi, este necesară înţelegerea detaliată a ţesuturilor moi şi dure adiacente restaurării pentru a evita răspunsul inflamator iatrogen cauzat de plasarea excesiv de apicală a marginilor coronare. Evaluarea suportului osos cu sonda parodontală oferă informaţii valoroase în privinţa fezabilităţii soluţiei restauratoare pentru un defect gingival. Convexitatea cervicală formează conturul gingival după procedurile de acoperire a rădăcinii vestibulare. Conturul joncțiunii smalț-cement al unei coroane cu sprijin implantar determină contururile ţesutului moale vestibular şi proximal. ¤

V – Figura

17. Aspectul iniţial al coroanei maxilare drepte cu sprijin implantar şi aspectul coroanei dentare naturale stângi. Se observă deficienţele conturului restaurator şi profilul ţesutului moale.

CAZUL IV – Figurile

14. Cadrul gingival înainte de plasarea unei restaurări ceramice cu sprijin implantar demonstrând înălţimea deficientă a papilei.

15. Rx demonstrează că este de aşteptat ca structura osoasă de sprijin să faciliteze regenerarea papilei atunci când contururile proximale simulează dentiţia naturală adiacentă.

16. Profilul favorabil al ţesutului moale la 1an.

CAZUL V – Figurile

18. Contururile faciale ale coroanei originale cu sprijin implantar contrastează cu cele ale noii restaurări definitive. O tranziţie lineară de la platforma implantului la coroana originală deplasează coronar gingia vestibulară (stânga), însă conturul mai vertical cu o convexitate CEJ delimitată

defineşte contururile gingivale faciale şi proximale (mijloc, dreapta).

19. Coroanele definitive din porţelan cu profil gingival optim completează iluzia dinţilor naturali.

20. Rx efectuată în momentul inserării definitive a coroanei.

CAZUL

Updating Classifications of Ceramic Dental Materials: A Guide to Material Selection by Edward A. McLaren, DDS, MDC; and Johan Figueira, DDS.

Originally published in Compendium of Continuing Education in Dentistry 36(6) June 2015. Copyright © 2015 to AEGIS Communications. All rights reserved.

GHID ACTUALIZAT PENTRU SELECTAREA MATERIALELOR DENTARE CERAMICE

Despre autori

Edward A. McLaren, DDS, MDC Professor, Founder and Director, UCLA Post Graduate Esthetics Director, UCLA Center for Esthetic Dentistry Founder and Director, UCLA Master Dental Ceramist Program, UCLA School of Dentistry, Los Angeles, California

Private Practice limited to Prosthodontics and Esthetic Dentistry, Los Angeles, California

Johan Figueira, DDS Faculty, UCLA Center for Esthetic Dentistry UCLA School of Dentistry, Los Angeles, California

Aplicaţiile ceramicilor în stomatologie au devenit populare în secolul al 18-lea datorită caracteristicilor estetice ale materialului.

Alexis Duchateau, o farmacistă pariziană, le-a integrat în stomatologie prin crearea unui set complet de proteze cu utilizarea ceramicii. Mai târziu, în 1903, Charles Land le-a dezvoltat prin conceperea incrustaţiilor integral ceramice şi a restaurărilor coronare prin utilizarea porţelanurilor arse, inovaţii

Indicaţiile şi compoziţia materialelor dentare ceramice actuale serveşte ca bază pentru determinarea clasei corespunzătoare unui caz specific. Prin înţelegerea clasificării, compoziţiei şi caracteristicilor celor mai noi materiale integral ceramice care sunt prezentate în articolul de faţă în ordinea descrescătoare a caracterului conservator, dentiştii şi tehnicienii dentari pot determina materialul ideal pentru un anumit tratament.

care au dus la crearea coroanelor de acoperire din ceramică. De atunci, ceramicile dentare au evoluat cu modificări în privinţa compoziţiei chimice, în proprietăţile estetice, procesele de fabricaţie, ambalare şi indicaţii. S-au obţinut rezultate estetice şi biocompatibile cu primele versiuni ale ceramicilor dentare, dar slăbiciunea acestora în rezistenţa la tensiune şi rupere a necesitat dezvoltarea unui material cu rezistenţă şi durabilitate mai mari, îndeosebi când erau necesare restaurări mai groase şi/sau se impunea cimentarea preponderent la dentină.

Alături de tehnologia CAD/CAM, materialele presabile şi frezabile actuale permit fabricarea restaurărilor ceramice mai puternice şi mai minim invazive, totodată şi estetice. Aceasta facilitează selecţia materialului ceramic optim pe baza tratamentului specific, întrucât ceramicile mai noi sunt mai puternice, uşor de utilizat şi versatile. Selectarea materialului ceramic depinde şi de tehnică. Informaţiile contradictorii au creat confuzie în

Estetica în multe culori

Determinarea perfectă a culorii cu VITA Easyshade® V

Determinarea culorii nu a fost niciodată mai inovatoare, mai facilă și mai ales mai precisă, decât cu noul VITA Easyshade V. Acesta îmbină tot ce poate oferi determinarea digitală modernă a culorii și comunicarea acesteia în practica zilnică.

Tehnodent Poka S.R.L.

Str. Crișul Nr. 2

RO-300567 Timișoara

Tel 0040-256 206453

Tel/Fax 0040-256 206453

e-mail birou@poka-dent.ro

NOU: Comunicarea digitală a culorii prin noua aplicaţie smartphone

VITA mobile Assist.

SC Dentotal Protect S.R.L.

Blvd. Mircea Vodă 24, Sector 3

RO-030667 București

Tel 00402-1-3115619

Fax 00402-1-3115620

e-mail office@dentotal.ro

VITA shade, VITA made.

VITA Easyshade V impresionează prin confortul maxim ce îl oferă, designul elegant, precum și printr-o serie de beneficii fără precedent. De ce v-aţi mulţumi cu mai puţin? www.vita-zahnfabrik.com facebook.com/vita.zahnfabrik

Helios Medical & Dental

Blvd. Iuliu Maniu Nr. 6, sector 6

RO-060044 București

Tel 00402-1-4087104

Fax 00402-1-3192945

e-mail office@heliosmedical.ro

Informaţii : Adrian Apreotesei

Tel 021 3200350

privinţa ceramicilor restauratoare adecvate unor situaţii specifice. Înţelegerea clasificărilor, compoziţiei şi a caracteristicilor materialelor integral ceramice contemporane permite dentiştilor şi tehnicienilor să determine materialul ideal pentru un tratament dat.

COMPOZIŢIE, CARACTERISTICI ŞI CLASIFICARE

Ceramicile sunt materiale solide anorganice, nemetalice produse prin încălzirea la temperaturi crescute şi prin răcirea ulterioară a

al unui pacient care a necesitat modificări estetice până cel puţin la nivelul premolarilor (fig 5); aspectul postoperator cu faţetele feldspatice CL-I până la primul premolar (fig 6).

compuşilor primari precum nitruri, carburi, oxizi metalici şi borizi, precum şi amestecuri ale acestor materiale. De aceea, un material etichetat drept ceramic este de fapt neceramic prin definiţie dacă este creat printr-o altă tehnică de procesare sau dacă prezintă componente organice.

Materialele ceramice pot conţine o structură cristalină sau parţial cristalină, sau pot fi amorfe (cum este sticla). Întrucât majoritatea ceramicilor dentare prezintă cel puţin o componentă cristalină, unii autori

Figurile 1, 2, 3. Imaginea preoperatorie (fig 1), în timpul preparaţiei (fig 2) şi cea finală postoperatorie (fig 3) în cazul unei faţete feldspatice CL-I cu două unităţi. 4 Stratificarea manuală cu o pensulă a unei ceramici feldspatice CL-I.

limitează definiţia ceramicilor mai degrabă la materiale anorganice cu conţinut cristalin, decât la includerea sticlelor necristaline, deşi sticlele sunt ceramici.

Este lesne de înţeles că ceramicile dentare sunt clasificate în general în funcţie de microstructură, care facilitează înţelegerea ştiinţifică a naturii structurale şi chimice a ceramicilor, însă ajută doar foarte puţin medicii sau ceramiştii în selectarea materialului corespunzător pentru o situaţie clinică dată. Maniera în care se procesează o ceramică influenţează în mare măsură comportamentul său mecanic şi, prin urmare, pe cel clinic. Astfel, clasificarea ceramicilor dentare pe baza compoziţiei şi a modului în care ele sunt procesate poate

Figurile 5, 6. Aspectul preoperator

oferi parametri clinici clari pentru evaluarea şi selectarea adecvată a celui mai conservator material ceramic pentru fiecare situaţie. Categoriile de mai jos sunt prezentate în ordine, de la cele mai conservatoare în ceea ce priveşte prezervarea structurii dentare sănătoase. Articolul reprezintă o actualizare a unui sistem de clasificare publicat anterior care consideră documentaţia clinică a succesului ceramicilor de sticlă mai noi şi introduce noi materiale.

CL-I (PULBERE/LICHID)

Porţelanurile de clasa I (CL-I) sub formă de pulbere şi lichid sunt create din materiale ce conţin în primul rând dioxid de silicon şi deţin o matrice sticloasă cu cantităţi variate dintr-o fază cristalină. Grupul CL-I include porţelanurile feldspatice denumite astfel pentru că original se fabricau – şi unele continuă să se fabrice – din feldspaţii naturali (cum ar fi aluminosilicaţii compuşi din cantităţi asortate de potasiu, sodiu, bariu sau calciu). În prezent, sunt disponibile mai multe opţiuni (fig. 1-3).

Materialele CL-I sunt fabricate manual (fig. 4); ele sunt cele mai conservatoare şi de obicei şi cele mai transparente materiale ceramice, dar totodată şi cele mai slabe. Translucenţa crescută a materialului şi estetica creează iluzia dinţilor naturali. Materialele de tipul porţelanului pulbere/lichid sunt ideale pentru cazurile în care rămâne smalţ semnificativ şi/sau dinţii prezintă încă structură sănătoasă (adică 50% sau mai mult smalţ restant pe dinte) şi cel puţin 50% din substratul de adeziune este reprezentat de smalţ şi cel puţin 70% din margine este în smalţ. Restaurările din porţelan feldspatic care aderă la substraturi preponderent de smalţ au dovedit o rată de succes mai mare pe termen lung.

Porţelanurile pulbere/lichid demonstrează estetică crescută şi manevrabilitate şi, întrucât se pot stratifica foarte subţire şi plasa direct pe smalţ, sunt considerate cele mai conservatoare dintre clasele de ceramici nemetalice. Porţelanurile CL-I necesită o grosime de 0,20,3mm pentru fiecare modificare de nuanţă.

Această clasă de materiale este indicată în general pentru restaurările anterioare dar se poate utiliza ocazional şi în cazul premolarilor şi mai rar la molari, cu condiţia ca toţi parametrii să fie la un nivel de risc foarte redus (fig. 5-6).

CL-II (CERAMICI DE STICLĂ)

Compoziţia ceramicilor CL-II este similară cu cea a porţelanului CL-I din prisma faptului că am-

bele deţin o matrice sticloasă, dar cele două clase variază în privinţa raporturilor de sticlă-material cristalin şi a tipurilor de cristale. În cazul materialelor CL-II, tipurile de cristale se pot fie adăuga la sticlă, fie se pot cultiva în matricea de sticlă. CL-II diferă totodată de porţelanurile CL-I în privinţa fabricaţiei, pentru că se formează sub formă de blocuri industriale dense pentru procesare şi prelucrare. Pe baza tipului de cristal şi a comportamentului clinic documentat, ceramicile sticloase CL-II presate şi prelucrate se pot diviza în două subgrupuri distincte: CL-IIa şi CL-IIb.

CL-IIa

Acestea conţin sticlă feldspatică cu conţinut de leucit în cantităţi mici-spre-moderate (<50%). Materialele conţin sub 50% substanţă

cristalină şi se comportă mai mult ca sticla, ce necesită adeziune. Ca toate materialele CL-II, cunoscute sub denumirea de ceramici sticloase, CL-IIa se pot utiliza pentru aceleaşi indicaţii ca CL-I, inclusiv la dinţii frontali, premolari şi, în rare ocazii, la molari. În plus, prezintă succes clinic pe termen lung bine documentat în situaţii cu stres amplificat sau atunci când se expune mai multă dentină. Ele pot fi deosebit de transparente, dar în mod tradiţional necesită grosimi uşor mai mari pentru manevrabilitate şi estetică/potrivirea nuanţelor (adică o grosime minimă de lucru

Figurile

7. Faţetele CL-IIa cu stratificarea incizală minimă a porţelanului.

8 Faţetele CL-IIa postoperator (ceramici prelucrate de Sam Lee, CDT, MDC).

Figurile 9-11 Aspectul preoperator (fig 9), preparaţie cu restaurări compozite (fig 10), şi cimentarea finală a materialului CL-IIb (fig 11) (contur ceramic final şi nuanţare de către Steve Lee, CDT, MDC). 12 Caracteristicile optice ale unui material din noua categorie CL-IIb—un silicat de litiu ranforsat cu zirconia.

de 0,8mm dacă se stratifică cu un porţelan de faţetare) (fig. 7-8).

Materialele din această subdiviziune demonstrează rezistenţă crescută, în primul rând datorită tehnicii de procesare cu utilizarea blocurilor dense industriale şi probabil datorită leucitului şi abilităţii sale de a influenţa coeficientul de expansiune termică, inhibând propagarea fisurilor.

Materialele dense cu conţinut de sticlă şi leucit sunt indicate pentru faţetele mai groase, coroane anterioare, inlayuri şi onlayuri posterioare, dar numai atunci când se poate

menţine o adeziune şi etanşare pe termen lung.

CL-IIb

Aceasta este o subcategorie nouă care include sticla sau ceramicile sticloase cu conţinut cristalin moderat-spre-mare (adică >50%). Microstructura materialului este constituită dintr-o matrice de sticlă ce împrejmuieşte o a doua fază de cristale individuale. Original este o sticlă omogenă, după care un tratament secundar determină apariţia de nuclei de sticlă ce cresc progresiv, sub forma unui proces care imprimă materialului proprie -

Figurile 13-14

Structura din zirconia stratificată cu porţelan (CLIIIb) cu porţelan roz stratificat în regiunea gingiei (fig 13); imaginea finală intraorală a lucrării din zirconia stratificată cu porţelan (fig 14) (imagini cu amabilitatea Aram Torosian, MDC).

13

Figurile 15-16. Lucrări din zirconia CL-IIIb prelucrate înainte de colorare şi sinterizare finală (fig 15); restaurare monolitică CL-IIIb colorată şi cu sinterizare finală (fig 16) (imagini cu amabilitatea Enrico Steger/Zirkonzahn).

tăţi mecanice şi fizice îmbunătăţite prin maximizarea prezenţei de cristale şi prin generarea de stres de compresiune în jurul acestora. Un exemplu pentru această subcategorie de materiale este disilicatul de litiu, un material ceramic de sticlă, compus din silica, dioxid de litiu, alumină, oxid de potasiu şi pentoxid fosforic.

După ce componenta cristalină atinge valoarea optimă prin procesul de fabricaţie, se pulverizează sub formă de pulbere şi se procesează printr-o varietate de tehnici. Disilicatul de litiu este indicat pentru aceleaşi situaţii clinice ca alte ceramici de sticlă; totuşi, când se fabrică o restaurare monolitică cu contur total şi se cimentează cu un material răşinic, este adecvată şi în situaţiile cu stres mai mare, precum în cele care necesită coroane totale, chiar şi pe molari (fig. 9-11).

Noile completări la această categorie sunt silicaţii de litiu ranforsaţi cu zirconia (ZLS) (fig. 12). Aceştia constau dintr-o ceramică de sticlă silicat de litiu ranforsată cu aproximativ 10% cristale de zirconia. Deşi aceste materiale sunt relativ noi, testarea iniţială in vitro demonstrează o optică excelentă şi proprietăţi fizice similare cu cele ale disilicatului de litiu. Cu toate acestea, doar disilicaţii de litiu prezintă date clinice pe termen lung care susţin utilizarea lor ca restaurări unice în orice regiune orală. Restaurările din această subcategorie de materiale demonstrează rezistenţă crescută, rezistenţă la fracturare şi estetică cu aspect natural, rezultând într-o alternativă versatilă şi puternică pentru o mai mare varietate de indicaţii. Ele sunt indicate în cazul implicării unor riscuri mai mari (cum ar fi cazurile în care smalţul se reduce sub 50%

din suprafaţa dintelui, atunci când sub 50% din substratul de adeziune este reprezentat de smalţ şi/sau când cel puţin 30% din margine se localizează în dentină).

Datorită proprietăţilor sticloase, se recomandă cimentarea adezivă. Cu toate acestea, adeziunea la dentină duce la restaurări mai puţin predictibile din cauza flexibilităţii dentinei; restaurările cimentate la smalţ sunt mult mai predictibile, având în vedere rigiditatea semnificativă, în comparaţie cu dentina.

CL-III (CRISTALINE CU REZISTENŢĂ CRESCUTĂ)

Sunt ceramice cristaline cu rezistenţă crescută, cu fază cristalină minimă sau absentă şi se produc de asemenea prin procese industriale. Ele diferă de sticlă sau de ceramicile de sticlă pe baza manierei în care matricea cristalină sinterizată

a materialului cu modul crescut (85-100% din volum) creează o joncţiune cu particulele din faza cristalină.

CL-IIIa

Materialele CL-IIIa sunt fabricate prin crearea matricei poroase care ia forma unui bloc şi apoi se procesează la forma dorită cu ajutorul tehnologiei CAD/CAM, după care se topeşte un material de faza a doua şi se introduce în porii materialului. Sticla de lantan aluminosilicat se introduce sub formă de lichid sau de sticlă topită în toţi porii prin acţiunea capilară, creând un material dens şi interpenetrant de la suprafeţele interne spre cele externe. Materialul final este o reţea cristalină 85% infuzată cu o mică cantitate de sticlă. Acest material dispare de pe piaţă şi treptat este înlocuit complet de ceramicile policristaline 100%.

CL-IIIb

Ceramicile cristaline CL-IIIb 100% cu rezistenţă crescută erau iniţial materiale pe bază de alumină. Sistemele de alumină s-au dovedit reuşite în cazul restaurărilor unidentare, dar sunt înlocuite de zirconia şi disilicatul de litiu din cauza riscului crescut de eşec în regiunea molară. Zirconia se poate utiliza totodată în lipsa structurii dentare semnificative, în prezenţa unui risc crescut de flexiune şi stres, în cazul coroanelor totale posterioare şi a

situaţiilor cu proteze parţiale fixe (fig. 13, 14) şi atunci când adeziunea este problematică, de exemplu în cazul marginilor subgingivale. În cazurile unde nu se poate menţine adeziunea şi etanşarea (situaţiile de adeziune cu risc crescut, inclusiv problemele în controlul umezelii, stres de tensiune şi de forfecare crescut la interfeţele adezive şi interfeţele de adeziune variabile), sunt adecvate ceramicile CL-III cu rezistenţă crescută sau ceramicile metalice (CL-IV), întrucât se pot aplica prin tehnicile de cimentare convenţionale. O îngrijorare în cazul zirconiei cu contur total constă în uzura dentiţiei antagoniste.

Indiferent că este vorba de alumină sau zirconia, aceste materiale demonstrează rezistenţe mai mari decât materialele CL-I şi CL-II şi se pot folosi la fabricarea unei substructuri pentru înlocuirea metalului. Totuşi, ele sunt mai opace din cauza conţinutului cristalin mai mare, care diminuează estetica globală. De aceea, ele se stratifică apoi cu porţelan, oferind astfel rezistenţă superioară şi rezultate estetice îmbunătăţite. Ceramicile CL-III cu rezistenţă crescută necesită o grosime de 1,2-1,5mm, în funcţie de culoarea substratului. În prezent se folosesc versiuni mai transparente în regiunea posterioară ca restaurări cu contur total sau restaurări monolitice integral zirconice (fig. 15-16).

CL-IV (METALO-CERAMICE)

CL-IV reprezintă ceramicile metalice, care sunt în esenţă materiale CL-I aplicate pe un substrat metalic de susţinere, fiind utilizate în situaţii clinice cu stres crescut unde pot fi necesare coroanele convenţionale şi estetică sporită. Sunt ideale atunci când se păstrează structuri dentare minime sau acestea lipsesc complet.

Ca şi materialele CL-III, metalo-ceramicile CL-IV demonstrează rezistenţă mai mare dar caracteristici estetice limitate. Ele necesită o grosime de cel puţin 1,5mm pentru a crea o estetică cu aspect natural. Aceste materiale demonstrează calităţi similare cu cele ale restaurărilor CL-III pe bază de zirconia, dar substructurile metalice nu au aceeaşi sensibilitate de ardere ca şi zirconia.

Ceramicile metalice CL-IV se pot îmbunătăţi în privinţa esteticii dacă la substratul metalic se utilizează o cantitate mai mare de aur (fig. 17).

CONCLUZII

Indicaţiile şi compoziţia materialelor ceramice dentare actuale asigură o bază pentru determinarea clasei adecvate a ceramicilor pentru un anumit caz. Restul factorilor care influenţează alegerea materialului includ prezervarea structurii dentare, cerinţele pentru menţinerea adeziunii, estetica, smile design şi nuanţarea.

Materialele ceramice CL-I şi CL-II deopotrivă asigură estetică bună dar rezistenţă limitată. Deşi toate tipurile de ceramici sunt slabe în privinţa stresului de tensiune şi forfecare în comparaţie cu stresurile de compresiune, dacă stresurile se pot controla, materialele mai slabe pot fi utilizate cu succes.

Materialele ceramice CL-III şi CL-IV oferă rezistenţă dar calităţi estetice reduse. Atunci când stresurile funcţionale nu pot fi controlate şi se utilizează materiale mai puternice (cum ar fi zirconia, alumina, metalul), porţelanul se poate faţeta pe substructură pentru a obţine rezultate estetice.

Un caz ideal ar necesita doar una dintre clasificările ceramice menţionate. Totuşi, cu opţiunile de materiale disponibile în prezent este posibilă realizarea unor restaurări care să satisfacă toate cerinţele. ¤

ProMax 3D

R adiografie panoramică și 3D cu un singur senzor

FOV: între Ø 40 x 50 cm și Ø 230 x 260 cm

Bazat pe platforma Planmeca ProMax utilizând tehnologia SCARA (Selectively Compliant Ar ticulated Robot Arm)

Compatibil cu imagini DICOM

Sistemul Smar tPan calculează automat până la 9 curbe diferite panoramice, suprapuse cu o imagine mar tor unde claritatea este ajustată în toate zonele vizibile ale imaginii.

Opţional:

• ProFace - sistem unic de scanare facială

• Braţ teleradiografii

• Program planificare implanturi

PLANMECA 4D JAW MOTION Înregistrează în timp real mișcările 3D ale mandibulei.

49.900

C AD/C AM Soluţia pentru cabinet

Planmeca PlanScan® – scanner

intraoral ultra-rapid (scanează fără pudră, în timp real, rezultate exacte de la un element, la arcada completă, sistem STL deschis).

Planmeca PlanCAD® Easy – simplu și eficient, instrument de design pentru lucrări protetice (inlay, onlay, faţete, coroane și punţi, proiectează până la 16 dinţi în aceeași sesiune, doar 5 pași până la frezare).

Modulul Endo pentru soft-ul Romexis, dedicat special pentru studiile endodontice

Disponibil pentru toata gama de echipamnete ProMax 3D, oferă o vizualizare per fecta a celor mai fine detalii anatomice

Planmeca PlanMill® 40 – aparat de frezat de înaltă precizie, sistem 4 axe cu motoare de mare viteză, strategii diferite pentru materiale diferite, frezare per fectă chiar și pentru faţete foar te subţiri, operaţiuni controlate de computer : sistemul comunică utilizatorului schimbarea instrumentelor, apa etc

Va așteptăm la 18, 19, 20 septembrie 2015, Poiana Brașov

București: Str. Vișinilor nr. 2, ap. 1, sector 2

Tel: 0722 660 619, Fax : 031 316 205 404, valentina.c@dpgrup.ro

Tel: 0724 027 447, iolanda.balan@dpgrup.ro

Timișoara: Str. Gheorghe Lazăr nr. 31, bl. T4, ap. 1

Tel: 0256 497 353, Mobil: 0723 490 655, camelia.balas@dpgrup.ro

Systematic Treatment Using a Direct Deprogrammer to Resolve Long-Standing Problems in a Phobic Patient by Marc J. Beshar, DMD

Originally published in Compendium of Continuing Education in Dentistry 36(6) June 2015. Copyright © 2015 to AEGIS Communications. All rights reserved.

TRATAMENTUL SISTEMATIC

UTILIZÂND

DEPROGRAMATORUL

DIRECT LA UN PACIENT

FOBIC

Despre autor

Marc J. Beshar, DMD Private Practice New York, New York

Recunoaştere:

Kois Center (Seattle, WA) and its staff and volunteers for their support; Payne Dental Lab, Inc. (San Clemente, CA). Special thanks to James Polley, DDS

acienţii se prezintă la cabinetul dentar cu propriile îngrijorări, valori şi priorităţi. Pentru succesul tratamentului, este esenţial ca medicii să înţeleagă perspectiva pacienţilor şi să le demonstreze totodată că preocupările lor sunt înţelese. Este îndeosebi importantă abordarea preocupării principale a pacientului mai ales dacă există experienţe dentare negative repetate. Poate fi necesară acţionarea rapidă pentru a redobândi suficientă încredere care să permită discutarea ulterioară a unei îngrijiri comprehensive.

ANAMNEZA ŞI MOTIVELE PREZENTĂRII

O profesoară de liceu în vârstă de 65 ani s-a prezentat la cabinet cu

În cazul de faţă, pacienta s-a prezentat la cabinet fiind dezamăgită de rezultatul restaurărilor anterioare, cu emoţie şi lipsa încrederii faţă de profesie. Prin utilizarea unui deprogramator Kois fabricat imediat în cabinet, pacienta a experimentat ameliorarea rapidă a disconfortului persistent, după care a acceptat o soluţie cuprinzătoare pentru problemele dentare. Alături de prezentarea cazului, articolul detaliază instrucţiunile pentru fabricarea acestui dispozitiv imediat.

disconfort la nivelul musculaturii masticatorii, cu sunete articulare şi lipsa unei ocluzii repetabile, simptome de care suferea de mulţi ani. A acuzat agravarea problemelor ocluzale după ultima restaurare protetică efectuată. La momentul respectiv considera că dinţii ei "se dezintegrau, se uzau şi se ciobeau" (fig. 1). Ultima restaurare, o coroană inferioară dreaptă era disconfortantă şi nu putea identifica o muşcătură confortabilă. A afirmat clar că nu dorea "stomatologie cosmetică" în pofida faptului că era conştientă de aspectul neatractiv al dinţilor (fig. 2). Ea a împărtăşit şi faptul că în această etapă a vieţii obiectivul principal era confortul şi nu estetica.

ISTORIC MEDICAL

Pacienta prezenta un istoric de hipertensiune arterială, echilibrată medicamentuos (statine). Istoricul îndelungat de boală de reflux gastroesofagian (GERD) fusese tratat anterior cu pantoprazol şi în momentul prezentării se afla sub control. S-a determinat un scor ASA 2 datorită vârstei sale, deci pacienta prezenta un risc moderat.

ORAL

Ciment ionomer de sticlă - Bulk & Go. Toleranță la umezeală. Auto-adeziv.Eliberează fluor. Biocompatibil. Radioopac. Rezistență la uzură (Clasa I, Clasa a II-a, Clasa a V-a). Nu necesită strat protector (varnish).

6 nuanțe: Alb, A1, A2, A3, A3.5, A4

ISTORIC DENTAR

Pacienta manifesta dentofobie, situaţie oglindită de scorul auto-raportat de 8/10 din fişa dentară. Raporta experienţe dentare negative pentru că după fiecare vizită la stomatolog ocluzia ei s-a agravat şi a dezvoltat durere musculară. Nu îi plăcea forma pontică a punţii inferioare drepte. Îşi simţea dinţii uzaţi şi în stare tot mai afectată, cu lipsa unei muşcături stabile şi îşi acuza dentiştii anteriori cu privire la restaurările de slabă calitate ce retenţionau alimentele. Mai mult, nu dormea bine şi sforăia.

DIAGNOSTIC, EVALUAREA RISCULUI ŞI PROGNOSTIC

PARODONTAL

Examinarea a evidenţiat sângerare uşoară la sondare, profunzimi de sondare generalizate de 3mm cu o serie de 4mm în zona posterioară şi deficit osos de maxim 2mm. Pacienta a fost diagnosticată cu AAP tip II. Risc: redus.

Prognostic: bun.

BIOMECANIC

La examenul clinic s-a observat uzura dinţilor şi coroane cu faţete ceramice fracturate. Alimentele se retenţionau în contactele interdentare largi, cauzând carii şi halitoză. Toţi dinţii posteriori prezentau semne de carie radiculară şi eroziune tipică unui mediu acid (fig. 3, 4).

Risc: crescut.

Prognostic: global slab, deşi fără

speranţă în cazul dinţilor cariaţi, în lipsa tratamentului.

FUNCŢIONAL

Pacienta era conştientă de uzura activă şi modificarea ocluziei. Clinic, dinţii frontali erau uzaţi şi nu putea

Figurile

1. Fotografia preoperatorie cu zâmbetul larg; se evidenţiază restaurări vechi şi incisivi maxilari uzaţi.

2. O imagine de detaliu a dinţilor frontali afişează eroziune, ciobire şi un plan ocluzal neuniform.

3. Se observă zone de retenţie alimentară la nivelul ponticului din cadranul drept, în IM.

4. Aspectul preoperator al cadranului stâng în IM, cu restaurări defectuoase şi eroziune.

5. Prim planul retractat al dentiţiei preoperatorii.

găsi o poziţie de contact prietenoasă pentru maxilare (fig. 5).

Diagnosticul iniţial a fost de disfuncţie ocluzală. Pe baza istoricului medical, era expusă la risc pentru apneea de somn şi a acceptat un studiu al somnului.

Figurile

6. Deprogramatorul imediat

în poziţie după fabricarea sa intraorală.

7. Cu buzele în repaus se observă distanţa dintre buză şi muchia incizală a caninilor.

8. Mock-up-ul intraoral iniţial aşezat pe poziţie ca matriţă de reducţie pentru a preveni prepararea dentară inutilă.

9. După finalizarea tratamentului afişarea incisivilor cu buzele în repaus.

10. Prim plan cu restaurările anterioare.

11. Rezultatul final cu zâmbetul larg al unei paciente mulţumite.

Risc: moderat.

Prognostic: slab în lipsa tratamentului.

DENTOFACIAL

În poziţia cu zâmbet larg, toţi dinţii frontali se expuneau complet, plasând pacienta la un risc crescut. Acesta a refuzat categoric tratamentul dentar cosmetic, fiind interesată strict de corectarea funcţională cu scopul menţinerii dinţilor restanţi pentru tot restul vieţii fără necesitatea unei restaurări ulterioare.

De aceea, în cursul prezentării cazului sau a procedurii restauratoare nu s-au dezbătut beneficiile dentofaciale.

Risc: crescut.

Prognostic: slab în lipsa tratamentului.

OBIECTIVE TERAPEUTICE

Pacienta a dorit menţinerea dinţilor cu necesitatea intervenţiilor stomatologice minime în viitor. Dorea ca tratamentul dentar să fie efectuat o singură dată, dar corect. Planul de tratament recomandat propunea rezolvarea următoarelor obiective:

• Eliminarea cariei, cu prevenirea distrugerii ulterioare a structurii dentare.

• Acoperirea regiunilor dentare erodate pentru a le proteja de afectarea ulterioară.

• Refacerea formei şi a funcţiei în cazul restaurărilor de porţelan defectuoase.

• Deschiderea ocluziei pentru a crea spaţiu în vederea restaurării structurii pierdute.

• Aplatizarea planurilor de ocluzie şi

alinierea lor cu faţa pacientei.

• Restaurarea ocluziei într-o poziţie de RC repetabilă.

• Alungirea dinţilor frontali pentru a înlocui structura pierdută.

• Înlocuirea cu implant a ponticului din cadrul punţii.

• Tratarea unei posibile tulburări de somn.

PLANUL DE TRATAMENT

Planul de tratament a implicat fabricarea unui deprogramator Kois imediat, alături de modelele de studiu, înregistrarea ocluziei, fotografii şi un wax-up diagnostic. Planul urmărea restaurarea structurii dentare pierdute, a cariilor şi a restaurărilor

defectuoase cu utilizarea restaurărilor indirecte de porţelan în cazul dinţilor 1.7.-2.7., 3.7., 3.6., 4.4., 4.6., 4.7. şi restaurări compozite directe la dinţii 3.5., 3.4. şi 4.3. În cazul premolarului 4.5. s-a planificat o restaurare cu implant/bont/coroană, iar în cazul molarului 4.8. s-a propus extracţia. În plus, s-a recomandat şi un studiu de somn.

Etapa 1: Restabilirea confortului pentru pacient.

Diagnostic, preocupări majore, plan de tratament

Întrucât pacienta era dezamăgită de restaurările anterioare care nu îi satisfăceau aşteptările, interviul iniţial a fost esenţial pentru reuşita acestui caz. Interviul s-a realizat în afara sălii de tratament, pentru a elimina barierele de comunicare şi a oferi un ambient în care pacienta şi clinicianul să poată sta faţă în faţă în timp ce ea să explice disconfortul fizic şi emoţional. A devenit clar faptul că avea nevoie să-i fie ascultate atent doleanţele cu scopul de a dobândi suficientă încredere pentru a continua orice proceduri clinice.

Pacienta a revenit o săptămână mai târziu. S-au realizat teste de încărcare (articulaţie) şi de imobilitate (musculatură). Testele bilaterale pentru ATM au fost negative, indicând că puteau accepta încărcarea iar un dispozitiv deprogramator ar fi reprezentat o strategie adecvată. S-a fabricat un deprogramator direct imediat pentru ameliorarea imediată a problemelor ocluzale persistente (fig. 6). După 2 zile pacienta a raportat un nivel de confort "mai mare decât cel din ultimii ani". A acceptat purtarea dispozitivului pentru încă 2 săptămâni, apoi a revenit pentru o examinare comprehensivă, modele de studiu, înregistrarea ocluziei şi fotografii.

S-a utilizat evaluarea clinică şi fotografia buzelor în repaus pentru a determina poziţia muchiei incizale ideale (fig. 7) şi s-a efectuat un wax-

up pe modelele montate. S-a fabricat un dispozitiv siliconic de fixare după wax-up-ul segmentului 1.3.-2.3. înainte de waxup-ul dinţilor posteriori. Un al doilea dispozitiv de fixare s-a realizat după modelarea în ceară a dinţilor posteriori (cu excluderea molarilor secunzi), oferind stopuri anterioare şi posterioare stabile pentru restaurarea provizorie. Cea de-a treia şedinţă a constat în prezentarea cazului, în cadrul căreia pacientei i s-au prezentat modelele cu ceară, cu descrierea secvenţelor terapeutice. S-a discutat noua poziţie a muchiei incizale, iar pacienta a fost bucuroasă să afle că avea posibilitatea să vizualizeze rezultatul în cavitatea orală înainte de realizarea oricărui tratament ireversibil.

Etapa a 2-a:

Tratamentul restaurator

Cu pacienta sedată, s-a extras 4.8. iar implantul s-a inserat corespunzător 4.5. După 2 săptămâni, a revenit pentru şedinţa restauratoare iniţială. Dispozitivul siliconic realizat pe baza wax-up-ului anterior s-a umplut cu material bisacrilic automixabil, apoi s-a poziţionat intraoral pentru a permite vizualizarea directă a modificărilor propuse (fig. 8).

După acordul din partea pacientei, segmentul 1.3.-2.3. s-a preparat cu ajutorul mock-up-ului direct folosit ca matriţă de reducere. Restaurările provizorii s-au realizat cu un stop lingual anterior ca să acţioneze ca un deprogramator. Acest stop s-a ajustat la noua DVO dorită. Aceasta s-a putut verifica cu uşurinţă pentru că molarii secunzi nu au fost preparaţi, făcând posibilă utilizarea unei matriţe transferată de pe modelele montate intraoral.

Odată cu stabilirea DVO pe stopul anterior, pentru a prepara şi a restaura provizoriu dinţii 1.6.-1.4. respectiv 2.4.-2.6. s-a utilizat matriţa creată pe baza wax-up-ului de la nivelul întregii maxile. Noua DVO stabilită s-a

verificat cu o cheie siliconică realizată între molarii secunzi nepreparaţi pe modelele montate.

În cursul celei de-a doua şedinţe restauratoare, restaurările maxilare indirecte s-au cimentat prin aplicarea protocoalelor standard.

În cadrul celei de-a treia şedinţe restauratoare, s-au preparat şi restaurat provizoriu dinţii laterali drepţi inferiori, iar caninul 4.3. a beneficiat de o restaurare directă din compozit. Când pacienta a revenit pentru a patra şedinţă restauratoare, s-au cimentat restaurările posterioare din cadranul drept, cu prepararea celor din cadranul controlateral pentru restaurări indirecte cimentate în cadrul unei următoare şedinţe. După finalizarea restaurărilor (fig. 9-11), s-a efectuat un studiu de somn şi s-a aplicat un dispozitiv de avansare mandibulară.

CONCLUZII

Acest pacient a fost tratat cu o abordare sistematică învăţată la Kois Center cu diagnostic preoperator şi evaluarea riscului ce asigură rezultate predictibile şi educarea pacientului. Mai mult, accentul plasat pe ameliorarea rapidă a disconfortului pacientei a permis acestei persoane fobice să dobândească încredere în clinician şi să finalizeze tratamentul cu succes.

INSTRUCŢIUNI PENTRU FABRICAREA UNUI

DEPROGRAMATOR DIRECT

Cu dinţii în poziţie de intercuspidare maximă, se determină gradul de overjet şi overbite. Dacă overbite-ul este adânc, stopul anterior al deprogramatorului va fi invizibil şi poziţionat lingual faţă de incisivii centrali. În cazul unei relaţii cu overbite normal, stopul va coincide cu muchia incizală. Dacă există o ocluzie deschisă vertical anterior, un mic stop va deveni vizibil în spatele muchiei incizale a incisivului central maxilar. Când este posibil, pacientul

trebuie informat cu privire la faptul că în timpul purtării dispozitivului poate fi vizibilă o mică porţiune de material transparent. Se secţionează o bucată de material transparent de lingură individuală şi se rulează sub forma unui baston (fig. 12). (Pentru comoditate, acesta se poate modela dinainte şi se poate stoca pentru a fi rapid disponibil pentru utilizare). Cu pacientul aşezat în poziţie culcată, se utilizează o bucată de tifon pentru a şterge dinţii. Începând dintr-o parte, materialul de lingură se aplică pe marginea gingivală liberă palatinală în mijlocul primului molar (fig. 13). În funcţie de temperatura şi umiditatea ambi-

entală, se poate impune utilizarea vaselinei pe mănuşi pentru a preveni lipirea materialului. Materialul este adaptat în jurul arcadei, se tapează pe poziţie cu menţinerea unei grosimi minime de 1,5-2,5mm. Materialul se alungeşte pe măsură ce este adaptat. Se îndepărtează orice exces (fig. 14).

Materialul se polimerizează cu o lampă intraorală 60sec, cu lampa în mişcare până ce dobândeşte priza iniţială (fig. 15), ce se poate testa prin presarea uşoară a degetului. Pentru a preveni blocarea materialului sub profilul de emergenţă al dinţilor, odată cu confirmarea prizei iniţiale,

Figurile 12. O cantitate mică de material pentru lingură individuală se rulează între palme. 13. Începând din aria primului molar, materialul se adaptează în jurul arcadei dentare. 14. După atingerea regiunii molarului contralateral, se îndepărtează tot excesul de material. 15. Fotopolimerizarea cu o lampă intraorală se realizează doar până la priza iniţială a materialului. 16. Materialul cu priza iniţială se eliberează de retentivităţi. 17. În acest moment deprogramatorul se polimerizează complet. 18. Se adaugă platforma linguală. 19. Deprogramatorul final cu un singur punct de contact ocluzal.

deprogramatorul se eliberează uşor de pe suprafaţă dar fără detaşarea sa totală (fig. 16). Cheia pentru o îndepărtare reuşită constă în eliberarea deprogramatorului deja în cursul prizei iniţiale, dar să fie suficient de polimerizat pentru a preveni ruperea sa în cursul detaşării. Apoi dispozitivul se repoziţionează şi se polimerizează complet (fig. 17). Acest material este uşor flexibil chiar şi după priza completă, aşa că nu se blochează uşor în cavitatea orală. Cu toate acestea, dacă dispozitivul nu se aşează pe poziţie, operatorul îl poate secţiona pur şi simplu şi poate încerca refacerea sa. Riscul blocării dispozitivului în poziţie este crescut când sunt prezente breşe edentate sau ambrazuri gingivale largi. Materialul în exces se scurtează cu o freză pentru acrilat, iar dispozitivul se ajustează până la obţinerea adaptării ferme şi a poziţionării corecte. Platforma incizală este creată prin plasare şi polimerizare pentru a forma stopul anterior pe linia mediană (fig. 18). Înălţimea stopului se ajustează până ce se obţine un spaţiu liber de 1-1,5mm între molari. Odată cu confirmarea spaţiului liber cu ajutorul hârtiei de articulaţie, dispozitivul se îndepărtează şi se adaptează extraoral pentru a crea un mic punct de contact pe platformă, în mod ideal pe unul dintre incisivii centrali inferiori (fig. 19). Dacă retenţia pare inadecvată, dispozitivul se poate rebaza.

După finalizarea tuturor ajustărilor necesare, dispozitivul se lustruieşte şi se periază cu pastă de dinţi mentolată pentru a detaşa orice gust rezidual neplăcut. Instrucţiunile post-inserţie sunt aceleaşi cu cele oferite în cazul deprogramatoarelor Kois fabricate în laborator. ¤

Diffuse Large B-Cell Lymphoma of the Gingiva in a Patient on Long-Term Use of Methotrexate Being Treated for Psoriasis by Nathan Shapiro, DDS.

Originally published in Compendium of Continuing Education in Dentistry 36(6) June 2015. Copyright © 2015 to AEGIS Communications. All rights reserved.

LIMFOM DIFUZ CU CELULE B MARI LA NIVEL

GINGIVAL

PREZENTARE DE CAZ

Despre autor

Nathan Shapiro, DDS Private Practice in Periodontics Tucker, Georgia

MRecunoaştere:

Dr. Susan Muller Winship Cancer Center, Emory University, for supplying the referenced photomicrographs.

Ms. Lesli Mitchell for editing support.

etotrexatul este un medicament imunosupresiv utilizat în tratamentul afecţiunilor autoimune cum ar fi artrita reumatoidă, artrita psoriazică şi psoriazisul. Medicamentul a fost elaborat în anii 1950 ca agent chimioterapeutic anticanceros şi s-a observat capacitatea sa de a elimina petele psoriazice la pacienţii supuşi tratamentului oncologic. Metotrexatul îşi exercită efectele prin interferenţa sa cu metabolismul acidului folic, prevenind maturaţia şi multiplicarea celulară. În prezent, este considerat tratamentul de primă linie al psoriazisului rezistent la steroizi şi al artritei psoriazice.

Efectele adverse frecvente ale metotrexatului includ greaţa, anorexia, stomatita, fatigabilitatea, hepatotoxicitatea şi fibroza pulmonară. Un efect advers neobişnuit dar sever al utilizării îndelungate

Clinicienii care la un pacient aflat sub tratament imunosupresiv observă o ulceraţie fără tendinţă de vindecare la nivelul mucoasei sau al ţesutului cheratinizat din cavitatea orală ar trebui să efectueze un examen biopsic pentru a exclude limfomul sau alte patologii maligne.

este boala limfoproliferativă (limfomul), o stare care poate ameninţa viaţa. Această formă de boală limfoproliferativă a fost raportată în cazul unei paciente în vârstă de 51 ani cu artrită reumatoidă care de 33 luni lua săptămânal doze orale de metotrexat. S-a prezentat cu o tumefacţie submandibulară şi cu modificări radiologice la nivel pulmonar şi mediastinal. Biopsia din glanda submandibulară a evidenţiat limfom malign cu celule B mari. După întreruperea metotrexatului, ea a fost supusă la chimioterapie pentru 12 săptămâni, după care a intrat în remisie.

Prezenţa manifestărilor orale a fost raportată şi la un pacient în vârstă de 70 ani, cu istoric de hepatită B, boală pulmonară obstructivă cronică, boală arterială coronariană, hipertensiune şi psoriazis. El a fost tratat cu metotrexat timp de 2 ani şi nu a primit niciun alt agent imunosupresiv. S-a prezentat cu pierdere severă de greutate, apetit limitat şi constipaţie alternând cu diaree.

Deşi starea lui s-a îmbunătăţit după întreruperea tratamentului cu metotrexat, ulterior s-a agravat, chiar şi sub chimioterapie şi, în cele din urmă, a murit la 2 luni după întreruperea medicaţiei cu metotrexat.

PREZENTARE DE CAZ

Un pacient în vârstă de 81 ani a fost îndrumat la cabinetul autorului pentru evaluarea unei ulceraţii gingivale de la nivelul regiunii premolare drepte mandibulare (fig. 1). Leziunea era prezentă de aproximativ 2 luni şi era refractară la terapia steroidiană locală şi antibioticele sistemice. Istoricul medical a pus în evidenţă utilizarea metotrexatului în decursul ultimilor 50 ani pentru tratarea psoriazisului. Comorbidităţile includeau hipertensiunea şi prostatita, ambele aflate sub control medicamentos. Pacientul raporta lipsa alergiei, a fumatului şi a consumului de alcool. Examenul intraoral a evidenţiat prezenţa unei ulceraţii de aproximativ 20x15mm, care se întindea între partea distală a caninului drept mandibular până la versantul distal al celui de-al doilea premolar drept mandibular. După obţinerea consimţământului, s-a practicat anestezia şi s-a îndepărtat un specimen din apropierea limitei vestibulare a leziunii cu scopul examinării biopsice. Întrucât leziunea era extinsă şi se suspecta o etiologie sistemică, s-a recomandat mai degrabă biopsia prin incizie, decât cea excizională.

Biopsia iniţială a demonstrat doar prezenţa unei inflamaţii nespecifice. S-a obţinut o a doua biopsie mai profundă, iar diagnosticul patologic final a evidenţiat limfomul difuz cu celule B mari (diffuse large B-cell lymphoma, DLBCL), testul pozitiv pentru virusul Epstein-Barr (EBV) consistent cu tulburarea limfoproliferativă asociată cu imunodeficienţă (asociată cu metotrexat). Fig. 2 prezintă ţesutul limfoid anormal, iar fig. 3 demonstrează prezenţa EBV.

Pacientul a fost îndrumat către oncolog pentru evaluare suplimentară, cu întreruperea utilizării metotrexatului. El a revenit la cabinetul autorului la o lună după vizita iniţială şi la 3 săptămâni de la întreruperea tratamentului cu metotrexat, iar regiunea respectivă prezenta îmbunătăţire semnificativă (fig. 4). La vizitele ulterioare de control nu s-a constatat recidivă.

DIAGNOSTIC DIFERENŢIAL ŞI

FACTORI CONTRIBUTIVI

Infecţiile virale cu familia Herpesviridae includ virusul herpes simplex (HSV tipul 1 şi 2) şi EBV. Cytomegalovirus şi virusul Varicella zoster fac parte tot din această

Figura 1. Pacientul s-a prezentat cu o ulceraţie gingivală extinsă la nivelul regiunii premolare drepte mandibulare. (Pacient trimis de Dr. Hassan Moeti) 1

familie, dar nu reprezintă scopul acestui articol.

HSV-1 se asociază în primul rând cu vezicule, care poartă şi denumirea de stomatită herpetică sau herpes labial, la nivelul buzelor. HSV-1 poate cauza o infecţie pe toată durata vieţii organismului gazdă, sub forma unei infecţii primare, latente, recurente sau persistente. HSV-2 se asociază cu herpesul genital, însă ambele tulpini pot determina leziuni în ambele locaţii menţionate.

EBV reprezintă unul dintre virusurile omniprezente, infectând peste 90% din populaţia adultă a lumii. Sistemul imun al unei persoane sănătoase menţine virusul sub observaţie. Mononucleoza infecţioasă este una dintre bolile cele mai reprezentative, de obicei benignă, asociată cu EBV. Imunitatea compromisă legată de vârstă şi de medicaţie poate cauza reactivarea EBV, ducând la limfoproliferări şi limfoame sub forma limfomului cu celule B, limfomul Hodgkin şi limfomul non-Hodgkin. Limfomul non-Hodgkin reprezintă 90% din cazuri, iar limfomul Hodgkin 10%.

DLBCL constituie cel mai frecvent tip de limfom malign în

Figurile

2. Celulele atipice erau pozitive pentru markerul celulelor B (magnificaţie 100x).

3. Hibridizarea in situ a ARN cu codificarea virusului Epstein-Barr (EBER) este puternic pozitivă aşa cum arată pigmentaţia nucleară roşie punctiformă (magnificaţie 200x).

4. La aproximativ 3 săptămâni de la întreruperea tratamentului cu metotrexat, leziunea s-a îmbunătăţit semnificativ fără chimioterapie.

ţările occidentale. Este descris sub forma unei boli care afectează nodulii limfatici (forma nodală) sau alte organe ale corpului (forma extranodală), de obicei la nivelul tractului gastrointestinal. În cadrul unei recenzii retrospective pe un lot de 554 pacienţi diagnosticaţi cu limfom non-Hodgkin difuz cu celule B, vârsta medie era de 48,7 ani. Raportul dintre sexul masculin şi feminin era de 2 la 1. Distribuţia locaţiilor primare pentru limfomul non-Hodgkin nodal (N-NHL) era de 58%. Distribuţia locaţiilor extranodale (EN-NHL) era de 42%.

Rata medie de supravieţuire a fost raportată la 4,8 ani în cazul N-NHL, respectiv la 6,3 ani în cazul EN-NHL. Factorii asociaţi cu prognosticul favorabil au fost reprezentaţi de vârsta sub 60 ani, stadiul timpuriu (I-II), implicarea extra-nodală, la nivel gastric sau osos şi lipsa simptomatologiei.

DISCUŢII

Manifestările orale ale bolii limfoproliferative (limfoame) sunt extrem de rare. S-a raportat remisia spontană a limfoamelor după întreruperea metotrexatului; unii pacienţi au răspuns doar la întreruperea metotrexatului, în timp ce alţii au necesitat chimioterapie. Dojcinov a studiat 26 pacienţi care au dezvoltat boală limfoproliferativă cu EBV pozitiv ca rezultat al diferitelor medicaţii imunosupresoare, incluzând 17 pacienţi care

prezentau imunosupresie legată de vârstă. 25% dintre pacienţi au necesitat chimioterapie, 45% au regresat spontan, iar la 15% s-au înregistrat remisii şi recăderi. Pacientul din cazul de faţă a demonstrat ameliorare clinică marcată la nivelul ulceraţiei gingivale în decurs de 3 săptămâni de la întreruperea metotrexatului, fără a fi necesar tratament suplimentar.

Pacientul prezentat a dezvoltat o stare numită DLBCL, cu includerea activării unei infecţii latente cu EBV. Hasserjian et al au studiat o serie de 18 pacienţi cu boală limfoproliferativă legată de medicaţie imunosupresoare. Doi dintre aceşti pacienţi au dezvoltat limfom cu celule B dar cu EBV negativ după utilizarea metotrexatului şi au fost trataţi cu succes cu medicaţie anti-

canceroasă. Pacientul de faţă avea DLBCL, test EBV pozitiv, dar nu a necesitat chimioterapie.

CONCLUZII

Metotrexatul este un imunosupresiv puternic utilizat în tratamentul psoriazisului, al artritei psoriazice şi al artritei reumatoide. Efectele adverse sunt de obicei tolerabile, însă ocazional imunosupresia severă poate cauza boală limfoproliferativă care poate ameninţa viaţa pacienţilor. Când se observă o ulceraţie fără tendinţă de vindecare la nivelul mucoasei sau al ţesutului cheratinizat din cavitatea orală la un pacient aflat sub tratament imunosupresiv, clinicianul ar trebui să ia în calcul examenul biopsic cu scopul de a exclude limfomul sau alte malignităţi. ¤

Evaluation of Salivary Transcriptome Markers for the Early Detection of Oral Squamous Cell Cancer in a Prospective Blinded Trial by Jack L. Martin, MD; Neil Gottehrer, DDS; Harvey Zalesin, DDS; Paul T. Hoff, MD; Michael Shaw, PhD; James H.W. Clarkson, MD; Pam Haan, BSN; Mark Vartanian; Terry McLeod, BSN; and Stephen M. Swanick. Originally published in Compendium of Continuing Education in Dentistry 36(5) May 2015. Copyright © 2015 to AEGIS Communications. All rights reserved.

EVALUAREA MARKERILOR SALIVARI PENTRU

DETECTAREA PRECOCE A CANCERULUI ORAL

Cancerul oral cu celule scuamoase (OSCC) este diagnosticat adesea în stadii tardive. Biomarkerii informativi ar putea juca un rol cheie în diagnosticul timpuriu. Validarea a şase markeri transcriptomi salivari individuali pre-specificaţi pentru OSCC şi un model multimarker prespecificat în cadrul unei noi populaţii prospective susţine soliditatea acestor markeri şi a metodologiei multi-marker. Noile modele generate în cadrul acestei populaţii cu utilizare prevăzută au potenţialul de a spori şi mai mult procesul de decizie pentru biopsia precoce. Leziunile cu risc foarte redus pentru cancer ar putea fi identificate neinvaziv la fel ca şi cele cu risc semnificativ crescut.

Cancerul oral este unul dintre cele mai frecvente cancere din lume. 90% dintre cancerele orale sunt reprezentate de carcinoamele cu celule scuamoase. Rata de supravieţuire la 5 ani în cazul cancerului cu celule scuamoase (OSCC) este de aproximativ 60% şi nu s-a îmbu-

Despre autori

Jack L. Martin, MD PP Sharpe Strumia Research Foundation Bryn Mawr, Pennsylvania CMO PeriRx LLC Broomall, Pennsylvania

Neil Gottehrer, DDS Guest Faculty, Univ. of Maryland Dental School Baltimore, Maryland Director of Dental Education PeriRx LLC Broomall, Pennsylvania Diplomate American Board of Periodontology Private Practice Periodontics Havertown, Pennsylvania

Harvey Zalesin, DDS Attending Oral Surgeon Michael Shaw, PhD Director of Research St. John Macomb-Oakland Hospital Warren, Michigan

Paul T. Hoff, MD Attending Physician MI Otolaryngology Surgery Associates Ypsilanti, Michigan

James H.W. Clarkson, MD Assistant Professor & Pam Haan, BSN Research Coordinator & Terry McLeod, BSN Research Nurse

Michigan State University Dept of Surgery, Lansing, Michigan

Mark Vartanian Clinical Coordinator University of Michigan Department of Surgery Ann Arbor, Michigan

Stephen M. Swanick CEO PeriRx LLC Broomall, Pennsylvania

nătăţit semnificativ în ultimele decenii. Supravieţuirea este de peste 90% dacă leziunea se detectează timpuriu, dar, din păcate, această afecţiune este recunoscută în mod frecvent în stadii avansate. Diagnosticul definitiv necesită examen histologic, însă determinarea pacienţilor pentru biopsie este

dificilă, aşa cum arată şi frecvenţa crescută a biopsiilor negative şi rata redusă a detectării timpurii.

Având în vedere uşurinţa şi caracterul nedureros al recoltării, saliva reprezintă fluidul corporal convenabil pentru evaluarea biomarkerilor. Proteomul şi transcriptomul salivar sunt elemente bine caracterizate şi există o serie de biomarkeri salivari despre care s-a sugerat că ar ajuta la detectarea precoce a cancerului oral. Biomarkerii singulari au capacitate diagnostică limitată, iar acest lucru a impus eforturi suplimentare pentru determinarea unor panouri multiple de biomarkeri cu scopul de a spori precizia discriminatorie.

CONTEXT

Studiile anterioare de caz-control au identificat markeri salivari ARNm discriminatori pentru OSCC. Institutul Naţional de Cancer din SUA (NCI) recomandă modelul de studiu cu colectarea prospectivă a specimenelor şi evaluarea retrospectivă oarbă (PRoBE) pentru identificarea riguroasă şi validarea biomarkerilor.

METODĂ

Studiul PRoBE a înrolat 170 pacienţi cu leziuni suspecte pentru OSCC. Înainte de efectuarea biopsiei orale s-a recoltat salivă. S-au determinat şase mARN pre-specificaţi asociaţi cu cancerul oral (IL1β, IL8, OAZ1, SAT, S100P şi DUSP1) şi cinci ARNm de întreţinere (MT-ATP6, RPL30, RPL37A, RPL0 şi RPS17) cu ajutorul reacţiei de polimerizare în lanţ (PCR), fără cunoaşterea diagnosticului tisular. În cadrul acestui nou set de date PRoBE s-a evaluat un panou de multi-markeri pre-specificaţi proveniţi din studiile anterioare NCI –Early Detection Research Network (EDRN) prin care s-au comparat

de asemenea pragurile individuale ale ciclului de markeri (Ct) din PCR în cazurile cu cancer versus control şi s-au generat noi modele discriminatorii.

DISCUŢII

Mortalitatea OSCC nu s-a îmbunătăţit semnificativ în ultimele decenii. Acest lucru se corelează în mare măsură cu diagnosticul tardiv. Cu toate acestea, în prezent majoritatea pacienţilor raportează lipsa unui screening oral aşa cum recomandă Societatea Americană de Cancer şi Asociaţia Dentară Americană. Un raport recent pune la îndoială valoarea screening-ului de rutină pentru cancerul oral, dar aceste date se referă la screening-ul efectuat de practicienii dentari generalişti în cadrul populaţiilor cu risc redus. Datele provenite din populaţiile cu risc mai mare sugerează potenţialul de a reduce mortalitatea cu ajutorul screening-ului pentru cancerul oral.

Domeniul iniţial de utilizare al biomarkerilor salivari menţionaţi constă mai degrabă în facilitarea deciziei cu privire la trimiterea pacienţilor cu risc la un specialist în vederea efectuării unei biopsii în urma detectării unor leziuni orale suspecte, decât în screening-ul generalizat efectuat pe populaţii cu risc redus. Mai multe rapoarte evidenţiază dificultatea luării deciziei pentru biopsie bazată doar pe examenul clinic.

Saliva este un biofluid disponibil care se obţine fără durere, iar colectarea sa se încorporează cu uşurinţă în fluxul de lucru al cabinetelor dentare sau al celor de asistenţă primară. Transcriptomul şi proteomul salivar sunt elemente deja bine caracterizate. Modelele animale indică faptul că există modificări specifice bolii în amprenta biomarkerilor salivari ca răspuns

la malignităţile salivare. Înainte de studiul de pre-validare NCI-EDRN, s-au identificat biomarkerii ARNm salivari pentru OSCC într-un studiu de descoperire, fiind confirmaţi ulterior în cadrul studiilor caz-control efectuate în grupuri etnice adiţionale. Studiile de descoperire au identificat totodată biomarkeri posibil discriminatori pentru alte malignităţi, fiind necesare studii suplimentare pentru a implementa în practica clinică aceste panouri adiţionale de teste salvatoare de viaţă.

Acest studiu a validat cu succes şase markeri salivari ARNm individuali identificaţi anterior pentru OSCC în cadrul unui studiu cu populaţie cu utilizare prevăzută, care cuprindea pacienţi cu leziuni orale suspecte de cancer. În plus, în cadrul acestei noi populaţii s-a validat un panou multimarker salivar pre-specificat dezvoltat din date provenite din studiul anterior NCI-EDRN. Studiul de faţă a utilizat modelul PRoBE pentru validare, aşa cum sugera publicaţia NCI-EDRN.

Această tehnologie îndeplineşte cele mai riguroase standarde recomandate de NCI pentru eliminarea confuziilor în validarea biomarkerilor; de aceea, rezultatele prezentului studiu susţin natura informativă a acestor biomarkeri şi puterea metodologiei cu panoul multi-marker.

Suma sensibilităţii şi specificităţii acestui panou premergător depăşeşte nivelul propus anterior de NCI ca fiind valoros în evitarea biopsiilor inutile la pacienţii de altfel candidaţi pentru biopsia leziunilor mamare.

Cu toate acestea, în scopul performanţei clinice optime, modelele dezvoltate în cadrul populaţiei cu utilizare prevăzută ar trebui să încorporeze gene interne de referinţă.

Un panou cu trei markeri generat de datele prezentului studiu şi care cuprinde DUSP1, SAT, şi OAZ1 cu gene de întreţinere a dus la o arie sub curba ROC de peste 0,85 şi o sumă maximă de sensibilitate şi specificitate de peste 150%.

Această performanţă este substanţial mai bună decât limita minimă propusă anterior de NCI pentru triajul leziunilor mamare suspecte şi are potenţialul de a ajuta la detectarea marii majorităţi a cancerelor la pacienţii cu leziuni orale suspecte, cu evitarea concomitentă a biopsiilor inutile.

De exemplu, scorurile de testare cu sensibilitate peste 95% şi specificitate de peste 50% ar avea o valoare predictivă negativă la peste 99% din populaţiile cu incidenţă de malignitate sub 10%.

Acest nivel de risc şi nivelurile semnificativ mai mici de risc sunt obişnuite în cazul leziunilor orale din practica zilnică, pe baza datelor biopsice obţinute din studii ample de screening.

Este demn de menţionat faptul că populaţia din studiul de faţă includea pacienţi cu afecţiuni descoperite predominant în faze incipiente. Costurile îngrijirii sunt substanţial reduse şi rezultatele se îmbunătăţesc în mod marcat când OSCC se detectează în faze timpurii. Studiile anterioare, inclusiv studiul de pre-validare NCI-EDRN, au demonstrat că markerii ARNm salivari au performanţă similară în cazul leziunilor T1/T2 versus T3/T4.

Rezultatele prezentului studiu confirmă şi extind aceste observaţii şi impun studii suplimentare pentru evaluarea posibilelor beneficii economice şi clinice.

Studiul de faţă include de asemenea pacienţi cu carcinoame in situ, însă dată fiind dimensiunea mică a eşantionului, sunt necesare studii adiţionale în cadrul acestui subgrup.

Rezultatul referitor la diferenţele semnificative în cadrul acestor biomarkeri la pacienţii cu displazie necesită studii suplimentare, având în vedere numărul redus de subiecţi în cadrul studiului prospectiv de faţă. Rata progresiei de la displazie orală la carcinom s-a raportat ca fiind cuprins între 16-36% în decurs de 1 până la 2 decenii; prin urmare, dacă se verifică în studiile ulterioare, aceşti markeri pot fi valoroşi în identificarea pacienţilor care necesită controale mai frecvente pentru conversia de la displazie la carcinom. O altă posibilă utilizare constă în supravegherea pacienţilor deja trataţi pentru OSCC. În SUA există peste 250.000 de supravieţuitori ai OSCC şi având în vedere rata crescută a recidivelor, disponibilitatea unui instrument de supraveghere convenabil pe termen lung este un obiectiv de mare interes.

Cei şase markeri ARNm (IL1β, IL8, OAZ1, SAT, S100P şi DUSP1) raportaţi sunt legaţi de gene cu funcţii de interes în instalarea cancerului oral. IL1β deţine funcţii legate de proliferarea celulară, inflamaţie şi apoptoză. IL are funcţii legate de angiogeneză, arestarea ciclului celular şi răspunsul imun. OAZ1 şi SAT reglează enzimele legate de sinteza poliaminei şi reparaţia ADN şi sunt implicate totodată în angiogeneză şi proliferarea celulară. S100P este implicat în reglarea numărului de funcţii celulare, inclusiv progresia ciclului celular şi diferenţierea celulară. DUSP1 este suprareglat de stresul oxidativ şi factorii de creştere şi poate juca rol şi în reglarea proliferării celulare.

Este necesară încorporarea standardelor interne de referinţă pentru a asigura comparabilitatea testelor la pacienţii individuali din practica clinică. S-au sugerat posibile gene de întreţinere impli-

cate în funcţiile celulare vitale, dar acestea trebuie validate în fiecare proces de boală specific şi în fiecare tip specific de specimen tisular. S-au identificat mai multe gene de acest fel care în prezenţa bolii sunt suprareglate în anumite ţesuturi şi prin urmare sunt nepotrivite ca şi standard intern. Studiul de faţă a identificat o serie de gene salivare de întreţinere potrivite pentru utilizarea în cadrul panourilor de detectare a OSCC. Încorporarea acestor controale interne sporeşte aplicabilitatea clinică.

CONCLUZII

Markerii salivari transcriptomi pentru identificarea OSCC au fost studiaţi în numeroase studii de cohortă, inclusiv într-un studiu amplu caz-control NCI-EDRN. Studiul prospectiv de faţă corespunde celor mai riguroase standarde pentru dezvoltarea biomarkerilor şi validează şase ARNm salivari individuali identificaţi anterior pentru OSCC. De asemenea, se validează un model multi-marker care însă are o putere discriminatorie mai redusă decât modelele generate în cadrul populaţiei cu utilizare prevăzută cu încorporarea genelor de întreţinere.

Implicaţia clinică a acestor rezultate constă în faptul că există posibilitatea de a identifica neinvaziv şi nedureros leziuni cu un risc foarte redus de cancer, precum şi cele cu risc semnificativ crescut. Sunt necesare eforturi suplimentare pentru asigurarea implementării eficiente a acestei tehnologii în practica clinică. ¤

Următorul număr al revistei tipărite va apărea la începutul lunii noiembrie. Noi articole pe www.dentalnews.ro

Turn static files into dynamic content formats.

Create a flipbook
Issuu converts static files into: digital portfolios, online yearbooks, online catalogs, digital photo albums and more. Sign up and create your flipbook.