COVER MOM CHRISSY CLARK

20 PLACES TO TAKE THE KIDS THIS SPRING
SPRINGTIME RECIPES













![]()
COVER MOM CHRISSY CLARK

20 PLACES TO TAKE THE KIDS THIS SPRING
SPRINGTIME RECIPES













[They know what they’re talking about]

Journey to Motherhood with Dawn Marten, page 6

Vacation MOM with Donnita Bassinger, CTC, MCC, page 12

Body & Balance
Body & Balance with Dr. Chrissy Clark, page 8

Beyond the Bin with Daniel Hiestand, page 10

Say Cheese with Dr. Brad Chvatal, page 21

Pets are Family with Dr. Erica Harmon, page 22

Something to Smile About with Dr. Erin Estep, page 26

Your Best Self with Meghan Hess, NBC-HWC, page 30
Publisher
Matthew Nelson, Active Media, Inc PO Box 672, Aurora OR 97002-0672 info@activemediausa.com 503-825-2100
Editor-in-Chief
Managing Director Audrey Meier DeKam audrey@mommag.com
Mid-Valley & Lane County Business Development Manager Linda Blair linda@mommag.com 541-231-7250
Marion & Polk County Business Development Manager
Kim Leighty kim.leighty@mommag.com 503-510-9036
Designer Sean Carver sean@activemediausa.com
MOM Magazine is sustainably delivered throughout the community thanks to pedalersexpress.com

At a job I had decades ago, there was an out-of-the-way closet for office supplies. Inside were the typical pens, paper and such, along with a faded sticky note with the message: “Please help keep this little corner of the world clean.” I was oddly struck by it as I considered the little corner of the world I stood upon at that moment, zoomed out from far above, on this spinning planet.
With its simple ask, that note always brings me back to the idea of what we can do in one small corner of the earth, especially as a collective. I’ve come back to it as a way to focus, especially when the world seems chaotic. I stop and think, what can I do in my corner of the world, right where I live, to improve it? For me, the answer is volunteering.
When my kids were little, I did not have a spare second for volunteering, and I missed it. When they got into school, I managed to ferret out pockets of time. Periodically donating blood became a favorite because it was quiet and relaxing, and they gave me cookies and juice. I was able to help someone else and simultaneously feel cared for.
As my kids have grown, I try to involve them in volunteering in the hopes they catch the spirit. Fostering kittens is a family favorite: our home instantly becomes a hot spot for the kids’ friends to visit, which is something I enjoy.
While I’m able to volunteer in dribs and drabs, I’m keenly aware of the super-volunteers who devote their lives to it. These are remarkable people, and it’s part of why at

MOM Magazine we honor them with our annual Community Impact Awards. This year, we have chosen…
In the Mid-Valley: Community Outreach, Inc., which provides shelter, health care and more to families and individuals in need of stability.
In Eugene: the Eugene Public Library Foundation’s Imagination Library, which mails a free book each month to any child in Eugene, from birth to age five.
In Salem: Salem Angels provides resources and support to children, youth and families in the foster care community.
These remarkable organizations only scratch the surface of what people are doing, right where we live, to help make the world better. It’s a good reminder that in spite of everything, as Anne Frank wrote, people are good at heart. Take a look at your little corner of the world. It could use your help.
Audrey Meier DeKam

Welcoming a new baby is an exciting time, but it can also bring about a mix of emotions for older siblings. Here are some tips to ease the transition and make it a positive experience for everyone.
Prepare in advance
Start talking about the new baby early on. Children, especially younger ones, may not fully understand what’s happening, so it’s important to explain it in simple, age-appropriate terms. Read books together about becoming an older sibling, take a tour of the birth center/hospital and involve them in preparation such as setting up the baby’s room or gear. This helps them feel included in the process.
Encourage emotional expression
It’s natural for older siblings to have mixed feelings, from excitement to jealousy. Acknowledge these emotions and let your child know that it’s okay to feel them. Ask your child how they feel and validate their emotions by saying things like, “It’s normal to feel nervous or even upset about changes.” Create a safe space for feelings through talking, drawing or play.
Brought to you by:

Make sure the older sibling(s) know they are an important part of the family. Highlight the benefits and responsibilities that come with being a big sibling. Encourage gentle ways they can interact with the baby, like holding their hand, singing lullabies or talking to them. If they show interest in helping, give them age-appropriate tasks like getting a diaper or a blanket.
Incorporate one-on-one time
Newborns demand a lot of attention, but it’s important to carve out special moments for your older child(ren). Plan one-on-one activities, whether it’s reading a book, going to the park or playing a game. Let them choose their favorite book, meal or activity.

Every child reacts differently to the arrival of a new sibling. Some may warm up quickly, while others may take more time. Be patient with your child as they adjust and expect some regression: It’s not uncommon for older siblings to want to be babied again or show signs of jealousy. This is temporary and usually subsides over time. Praise your older child(ren), whether it’s being helpful or gentle with the baby.
Celebrate the sibling bond
Take photos and videos of your older child holding or interacting with the baby. Encourage activities that foster closeness, like playing together, reading books together or simply spending time together. These moments will be cherished as they grow up and look back on their shared history.
Dawn Marten, MSN, CNM
oregonbirthandwellness.org
541-515-6556
890 Beltline Road in Springfield



Baby wearing is the practice of carrying a baby or toddler in a soft carrier, wrap or sling with the baby in front or back of your body. This style of baby and mom bonding has been used across many cultures for centuries especially in indigenous communities.
It’s important for you to feel strong while carrying your child. Wearing a baby places emphasis on certain muscle groups, especially your entire posterior chain (aka, the back of the body) and your core. Exercises that help you support your body and baby while carrying them include:
Bridges: build a strong booty
Deadlifts: build a strong lower back and hammies
Squats: build a POWERHOUSE body
Rows: build a strong upper back
Pallof Press: build a strong core
Bird Dog: build core stability and balance

Try these exercises two to three times per week for three sets of 8 – 12 reps each. Make sure the load is heavy enough to feel your muscles working but not too heavy that you lose form or have pelvic floor symptoms such as pain, leakage or heaviness.


Dr. Chrissy Clark, PT, DPT, WCS, CFL-2 dualitypelvichealthandwellness.com 260 W Broadway, Eugene, OR 97401 Call or text: 541-357-3839
























Have you ever purchased a new electronic appliance, only to have it fail just a few months or years after purchase? This can be very frustrating, but it’s also how our economic system is designed.
The more products break, the more products consumers have to buy — and the more companies profit. There is actually a term for this practice: planned obsolescence. Adding insult to injury is the historic inability to repair these faulty items, meaning we — consumers — must fork out more cash for another new item that will break again soon after purchase.
Well, good news, fellow Oregonians. The state’s new Right to Repair law was enacted on Jan. 1. The law requires manufacturers to provide parts, tools, information and software access to repair most electronic devices made after 2015.
It even goes further by banning “parts pairing,” a practice that prevents independent repair. This law will help save consumers money, and slow down one of the fast-growing waste streams: e-waste.
Visit FixItLaneCounty.org and search the site’s “Repair Stories” section to find an Oregon State Public Interest Research Group guide on what the law means for you. The site also includes a listing of local repair businesses and a calendar of Fix-It Fair events.

• Bilingual and garden program.
• Weekly curriculum plan base on STEM or kid-size science, engineering and math.
• Early learning cultural program.
• ERDC accepted.
• Part time and full time available to start any time.





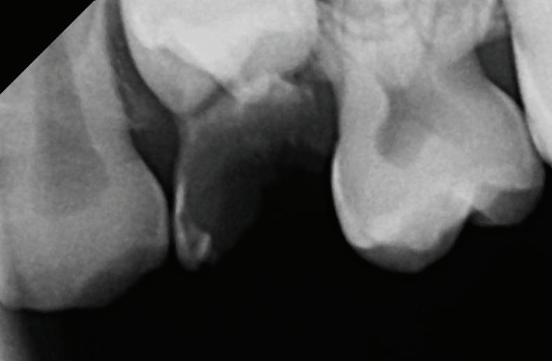
Thumb-sucking and pacifier use are natural self-soothing habits for infants and toddlers, but prolonged use can negatively impact dental development. If these habits continue beyond age 3, they may cause long-term changes in the shape of the mouth, alignment of the teeth and overall bite.
Common orthodontic issues include an open bite (where the front teeth don’t meet), a crossbite (where the upper jaw becomes too narrow), and protruding front teeth, which increase the risk of injury. These changes can also affect speech development, swallowing, breathing (snoring) and facial growth.
The ideal time to stop is between ages 2 and 4, before the adult teeth start coming in. If your child struggles to quit, gentle reminders, rewards and distractions can be effective. If the habit persists past age 5, or you notice changes in tooth positioning, an orthodontic evaluation is recommended.
Seeing an orthodontist by age 7 can help identify bite problems early and prevent more extensive treatment later. In some cases, simple interventions, such as a special appliance, can help break the habit and guide proper jaw development. Addressing these concerns early ensures a healthier, more confident smile for your child as they grow. Please call us for a free consultation if you have any concerns about your child’s bite.


Brought to you by:
(541) 683-8490 • EugeneBraces.com 1400 Valley River Drive, 240, Eugene



By Donnita Cagle Bassinger, CTC, MCC

As a travel agent, I'm always amazed that people will trust their hard-earned money and time with a random travel website on the internet. Anyone can create a website filled with pretty pictures and too-good-to-be-true offers, take your money (and your personal information) and then shut down the page.
There are numerous imitation websites that pretend to be legitimate hotels, airlines, cruise lines and tour companies. When you’re planning and booking your trip, you have to be very careful to make sure you are on the legitimate website as they use similar names to fool you.
For example: before you travel out of the U.S., you need to find out if the country you’re visiting has any requirements such as entry fees, exit fees and Visas. If you simply Google
“Mexican Departure Tax” you may end up at a very official looking scam site that will charge you about $50 each instead of the legitimate site that charges $14.
You will need a current passport book (not card) to fly to destinations outside of the U.S. Some countries require that your passport is valid for six months after your return trip. You can get reliable information on the official site travel.state.gov. From there you can find information on travel requirements for each country.
As you prepare to travel, there are things you can do to protect yourself. Don’t ever pack valuables in your checked luggage. It is not unusual for people to have their bags rummaged through and items stolen.

You can put AirTags in your checked bags and your carry-on bags to help you track them if they are lost. Make sure your name and cell number are on your luggage tags and inside your bag. Don’t put your address where it is visible on your luggage tags, as thieves can go to your home to rob you while you are out of town. For the same reason, you should also avoid posting on public social media that you are away from home.
When you arrive at your destination, watch out for people pretending to be “official” taxi services and transportation companies. Make sure you know exactly who you are meeting or what true official services look like and don’t be fooled by overly friendly people offering to take you somewhere.
It is recommended that you don’t travel with expensive jewelry or items that could make you a target for thieves. Always be aware of your surroundings. Anywhere there are tourists, there will be people who want to take advantage of you. Don’t keep wallets in back pockets or leave valuables unattended or easily accessible.

Don’t use free-standing ATM machines as many are not secure. Go into a bank or shopping mall to use an ATM. Don’t use free Wi-Fi in random areas as it can be used to access information in your phone or computer. Bring your own charging bank to use for your phone to avoid plugging into chargers in airports and public places.
In most tourist destinations there are very aggressive salespeople who will offer you the world to get you to attend a “presentation,” “free breakfast” or “tour.” Avoid these people! At a minimum you will waste hours of precious vacation time, and you may end up stranded somewhere if you tell them you won’t buy their deal. Or worse yet, you may be talked into signing a contract for a very expensive “vacation club.” You do not want to sign a contract in a foreign country without having an attorney advise you and they will never allow that.
Using a trusted travel agent for your trip can alleviate your worries. I want you to have an amazing, stress-free vacation!
On May 7, 2025, REAL ID requirements go into effect for air travel within the USA. Everyone age 18 or older will be required to show either a REAL ID or a current passport. In Oregon the REAL ID driver license has a star in the right corner. Investing in a current passport allows you to travel on a whim!
STAY UPDATED WITH OFFICIAL INFORMATION:
U.S. State Department travel.state.gov
Passports usa.gov/passport
Oregon Real ID Oregon.gov/realID
AIRLINES SERVING THE EUGENE AIRPORT
Alaska Airlines: AlaskaAir.com
Allegiant: Allegiantair.com
American Airlines: AA.com
Avelo Airlines: Aveloair.com
Delta: Delta.com
Southwest: Southwest.com
United Airlines: United.com
Vacation MOM is brought to you in partnership with Eugene Airport
Donnita Bassinger has been a travel agent for four decades. She is the owner of VIP Vacations, Inc., and she enjoys sending families on vacations around the world. She is a mom to three sons and lives in Eugene with her husband.
Contact Donnita at 541-913-5272 @VacationMOMpage


PROFESSION
Pelvic floor physical therapist & business owner
COMMUNITY
Eugene, Santa Clara area
PARTNER
Kurt Clark, construction & studying for real estate license
CHILDREN
Remi, 5 months
PHOTOS BY: LIVIA FREMOUW
MOM’s favorite…
Tell us about your favorite…
…words to live by
Connect authentically, grow fearlessly, lead boldly
…place to find some peace & quiet
Ridgeline Trail
…binge-worthy TV or podcast
Anything true crime!
…way to get out of making dinner
We rotate who makes dinner throughout the week so it doesn’t feel like too much of a chore.
…inspirational quote
My Brain And Heart Divorced, a poem by John Roedel
WITH HER OWN PHYSICAL THERAPY PRACTICE AND A NEW BABY, THIS MOM IS FEELING THE TIME SQUEEZE...AND THE OVERWHELMING LOVE.
All families are unique. Tell us about yours. I’m originally from Ohio and my husband, Kurt, is originally from Washington. We met in 2018 in Washington after I moved to the Tri-Cities from Florida. We then got married in 2021 in Hood River, and we welcomed our little Remi in October 2024. We both brought a fur baby into the family. I brought Ari, a Boston Terrier, and he brought Kobe, a Yorkie Poo.
We moved to Eugene in March 2024 after traveling for a year. We had a loose rubric of what we wanted to find in a community to put roots down and Eugene fit the bill.
Every family has its own traditions, rituals or inside jokes. What are some of yours?
Now that we have a baby, we have been talking about what type of traditions and rituals we want to create as a family. One inside joke we do have is that if one of us helps out the other, the receiver of the favor sings, “You’re my hero” from Wind Beneath My Wings by Bette Midler.
Tell us about one of your proudest mom moments. Right now I’m really proud of how I’ve leaned into my maternal side. I’ve been driven by my masculine, serious, productive side my entire life and currently I’m enjoying being soft, silly and affectionate. I’m also proud of how I brought Remi into this world. My own birth was traumatic and I had this vision of healing my trauma, and my ancestral trauma, while welcoming a baby at home in an empowered, informed and loving manner.
Now tell us about one of your most humbling mom moments. Oh man, literally every day of my young mom life. I’ve had to learn, and continue to learn, that how I envision my day going is most likely not going to happen. My time isn’t my time anymore.
What is something you swore you would never do before kids that you now do (skip showers, go to a drive-through coffee in your pjs, etc.)?
This is TMI but…poop with the door open. I wasn’t quite sure how I could go to the bathroom by putting Remi down unattended. I think I set the record for the fastest poop ever!
You know you’re a mom when you hear yourself say… I’ve reheated this coffee twice now.
We know that being a mom is a full-time job. How do you balance (or not) motherhood, activities, work, volunteering, household responsibilities, and life in general? What sometimes falls through the cracks?
I feel like when I talk to other moms, no matter how old their kids are, there seems to be no such thing as balance. It’s almost like here are five important aspects of your life but you can only pick three to focus on. Which I greatly struggle with. I’m asking myself a lot, “What needs are and aren’t being met?” And that helps me prioritize.
Since I just opened up my own physical therapy practice, the three aspects I’ve been focusing on lately are career, motherhood and community outreach. I’m hoping that
We love locally owned businesses, restaurants, places and organizations. Share your favorite…
…shop to pick up a gift for friend Down to Earth
…coffee spot
Washburne Cafe
…spot to get a good workout
TreeLine CrossFit
…restaurant to take the kids Public House
…restaurants for a date night
George & Violet’s, Marche, Sabai
…take-out or quick bite
Evergreen Indian Restaurant
…meetup spot for happy hour I would love suggestions!
…local park where kids can let off steam
Remi isn’t old enough yet to be on the equipment but the park at Skinner Butte looks fun.
…events in your community
Ducks football & softball games
…any other local places you love Havana Cafe, Provisions
when Remi gets a little older that I can put more focus on my self-care and being a better friend.
Tell us about your work or volunteerism outside of the home. I have been a pelvic health physical therapist for 9 years and I am the proud owner of Duality Pelvic Health and Wellness (DPHW). When I tell people my niche in physical therapy there are many follow-up questions because it’s still not well known in the general public.
I remember being in my third year of physical therapy school, not really sure which population I wanted to work with and almost worried that I picked the wrong career. One day, a pelvic health physical therapist spoke to our class and I instantly knew that was what I wanted to do. Since I graduated in 2016, I have thrown all of my energy into learning how to diagnose and treat pelvic floor concerns including leakage, bowel issues, pain, prolapse and diastasis recti, especially when it comes to athletes and active adults.
As for volunteerism, I’m hoping to broaden my work in the future to include other aspects in the community. Currently, I’m setting up a bunch of free educational seminars throughout the community with a variety of places so be sure to keep an eye out for those.
Tell us about a recent achievement you’re proud of, or a personal passion or talent. Well, opening up my own practice has been in the works for over two years so I am extremely proud of this accomplishment! I wanted to create a space that was family-oriented and communityminded with a serene atmosphere to promote healing. And I think I have achieved that. When was the last time you failed? What did you learn? I’m going to answer this question a little differently. I have made tons of mistakes, whether they have been small or large, throughout my adulthood. I remember when I was younger I would be so hard on myself when I did make a mistake and it was difficult to admit to them; not being perfect felt like a failure. But now, I embrace making mistakes and not being perfect…that’s how I grow. I still struggle from time to time with the voice in the back of my head saying that I’m never good enough. When that happens, I know I need to give myself some grace and have a day full of rest and replenishment.
Do you have a goal you’d like to accomplish within the next five years? I would love for my practice to grow with not only more physical therapists, but also with other practitioners. I want DPHW to be almost a one-stop shop for your health concerns. And if we don’t provide a certain service, I sure hope that we have made strong connections in the community so that you can access those services easily. Also, my vision for DPHW is to be a leader in reducing birth trauma and the maternal mortality rate, especially within BIPOC and LGBTQIA+ communities.
Tell us about your upbringing. How did it shape the mother you are today? I grew up in a very supportive family where I was encouraged to try new things and be independent. I’m an only child so I was given many opportunities, from competitive sports to traveling to education. Because of these experiences, I understand the privileges I had (and continue to have), and I want to ensure that my daughter can recognize those as well. A couple aspects that I wish were emphasized during my childhood that I am focusing on with my daughter is teaching her how to set boundaries and how to feel and express her emotions in a healthy way.
What do you think is the most important life skill or value your parents taught you? They may have had a hard time with it from time to time but they raised a very independent woman who even from a young age would challenge the status quo. My mom tells this story of how I would get “talks too much” on my report cards in elementary school. When she would discuss this with the teacher, my mom would ask if I was being disruptive and they always said no. So my mom would reply, then we probably should just let her talk then! She wanted me to know that what I had to say was important and valued.
When was the last time you did something for the first time? In 2023 I actually took a sabbatical, focusing on my mental and physical health. My husband and I sold our house and travelled the country for a few months in a RV. Then we stayed in Kurt’s hometown and I got a job at a winery where I learned so many new skills. It may not seem that those skills would pertain to being a physical therapist or running a practice, but they sure did.


Which good habit do you wish you started earlier? Exercise to be healthy and strong both physically and mentally, not to lose weight. Like many girls, my weight was a frequent topic of discussion as a kid/teen. So I learned from a pretty young age that exercise was meant to be a punishment and to make me smaller. Because of this mindset, I tend to have an on-again, off-again relationship with exercise. I wish I knew what I know now about the benefits of exercise when it’s not tied to what you look like.
When did you realize you were no longer a child?
This is pretty hard…in 2023 my husband and I experienced two miscarriages. It’s weird to say that I never really felt like an adult until one of the most tragic events happened to me. These miscarriages showed me how fragile life really is and made me question my entire reality.
It’s Saturday afternoon and you suddenly find yourself at home alone for a few hours (we know, it never happens). What do you do?
Take myself out on a date. I used to either head to breakfast or sit at the bar at a nicer restaurant by myself when I needed to recharge my batteries.
What’s your superpower? Persistence

Tell us something about you that would surprise people who don’t know you. I absolutely love sports! It’s been a part of my life and continues to be in many ways. I can watch, talk or play sports all the time.
If you could turn any activity into an Olympic sport, in which event would you win a gold medal? Playing Chopped. I can take a look at what’s inside our fridge, pull out the stuff that needs to be eaten before it goes bad, and make something pretty tasty.
What is your least/most favorite household chore? Despite loving to cook, I hate grocery shopping. My favorite chore is putting away clutter and organizing.
Outside of your family members, who/what inspires you to be better? Our community. I truly believe that if we want to create change and to improve our quality of life, it starts with advocating for equity in our local communities.
Listen to mom.
Who and what has influenced the mother you are today? All of the mothers in my life have influenced me and especially my mom. She became a mom soon after her own mom
had passed so she had to navigate motherhood without having the ability to ask her mom for advice or help. That takes so much courage and resiliency.
What message would you like to share with other moms? Remember to tell it like it is. We aren’t supposed to do this alone. How our society has evolved has taken away the village aspect of motherhood. If you feel you are alone, please reach out to a trusted person. Or even me! At DPHW, I built a cozy space with a couch, coffee and tea so moms and their kids can hang out in a safe space if needed.
Is motherhood what you expected? What surprised you the most? I’m still early in my motherhood journey and what has surprised me is that I don’t really know how to describe the feelings I have for my daughter. Like it’s more than love and I’ve only ever known her outside of me for five months. I tell her every day that I love her and am so proud of her but I find that so inadequate. We should brainstorm a word that encompasses all of the feelings that we have for our kids.











In the spirit of celebrating MOM Magazine’s 20 th anniversary, we’re sharing our top 20 favorite local events and spaces for kids. Put these on your list for springtime fun!








Planet Palooza: activities & Parade of the Species
April 19
Corvallis corvallisoregon.gov/parksrec/page/ planet-palooza-0
Eugene Saturday Market: food, art & dancing encouraged Saturdays, April 5 to mid-Nov. Eugene eugenesaturdaymarket.org
Finders Keepers: find glass floats at the coast
April 19-22 & May 9-11 Lincoln City explorelincolncity.com
Heart of the Valley Home Show: entertainment for kids
April 25-27
Albany oregonhearthandhomeevents.com
Oregon Ag Festival: petting zoo, tractor races & activities
April 26-27 Salem oragfest.com
CreativiTee: decorate T-shirts
Tues. - Sat., 11 a.m. to 5 p.m. Salem creativiteespace.com
Gilbert House: hands-on exhibits for kids
Tues. - Sun., 10 a.m. to 5 p.m. Salem acgilbert.org
Potters Quarters: paint your own pottery
Mon. - Sun., see website for hours Eugene pottersquarter.com
PlaySpace Cafe: indoor playspace & coffee shop
Tues. - Sun., reservations encouraged for weekends Eugene theplayspacecafe.com
Albany Carousel: ride handcarved carousel animals
Wed. - Sun.
Albany albanycarousel.com






My Fair Lady: musical at The Majestic Theatre
May 2-18
Corvallis majestic.org
OSU Pet Day: kids zone, teddy bear surgery & more
May 3
Corvallis vetmed.oregonstate.edu/pet-day
McMenamins UFO festival : parade, street fair & more May 16-17 McMinnville ufofest.com
All Steamed Up: miniature train rides, scavenger hunt & more May 17
Salem antiquepowerland.com/events/ steamd-up-for-kids
The Kroc Center: family pool fun, rock wall climbing & more Everyday, see site for hours
Salem salem.kroccenter.org
Crux Rocks Climbing Gym: all levels of climbing & cafe Mon. - Sun., see site for hours
Eugene cruxrock.com
Detroit Fishing Derby: all ages fishing
May 17-19
Detroit detroitlakefoundation.org/ events/2025-detroit-fishing-derby
Circe Valise: clowns, juggling, magic & storytelling
May 24
Corvallis whitesidetheatre.org
First Willamette Valley Pow Wow May 31
Lebanon calendar.powwows.com/events/ willamette-valley-pow-wow/
Blippi: Join the Band at the Elsinore Theatre
June 1
Salem elsinoretheatre.com

When you have pets, it’s important to ensure that your spring cleaning routine keeps their safety and comfort in mind.
First, focus on pet-safe cleaning products. Many traditional cleaning supplies can be toxic to animals, so opt for natural or pet-safe alternatives. Look for products that are free of harsh chemicals like ammonia, bleach or phthalates, as they can be harmful if ingested or inhaled by your pet. You can also make your own cleaning solutions using ingredients like vinegar and baking soda for a safer, eco-friendly approach.
Next, pay special attention to areas your pets frequent. Clean and disinfect their bedding, toys and any surfaces they interact with regularly. Vacuuming your carpets, rugs and upholstery is especially important to remove pet hair and dander, which can contribute to allergies. Don’t forget to wash their bowls, collars and leashes as well.
Additionally, try to minimize stress for your pets during your cleaning session. If possible, keep them in a separate room while you work, especially if you’re using strong-smelling cleaners or moving furniture around.
Store cleaning supplies and chemicals securely, out of reach of your pets, and check your home for any items that might pose a choking or poisoning risk. While prevention is key, we know that accidents do happen; we’re open 24/7 for emergency veterinary care.

(541) 838-0577



Each week of Y summer camp brings a new adventure that sparks imagination and fosters creativity. From outdoor activities to arts and crafts, our camps are designed to teach new skills, explore new interests, and build friendships in a supportive environment.
2!

members and families.


Warming weather and more daylight has us in the mood for light eats.

8 round rice paper wraps
1 large avocado, peeled and sliced thin
2 cups carrots, shredded or julienned
2 cups shredded purple cabbage
2 cups ready-to-eat shrimp, no tails
⅔ cup chopped cilantro
Assemble all ingredients. Note that rice paper needs to be worked with quickly.
Fill a large shallow container with lukewarm water. Working with one rice paper at a time, dip it into the water for about 15 seconds until it softens, then lift and gently shake off excess water.
Lay the rice paper on a smooth, clean surface. In the center, add 1/4 cup each of the avocado, carrots, cabbage and shrimp. Sprinkle chopped cilantro over top.
Roll the rice paper similar to a burrito by folding in the sides then rolling forward. The rice paper is naturally sticky, so you might need to wet your fingertips while folding.

1/2 cup peanut butter, unsweetened
2 tablespoons brown sugar
2 tablespoons soy sauce
1 tablespoon rice vinegar
1 tablespoon grated ginger root
1/2 cup of fresh-squeezed lime juice
3 garlic gloves, pressed
2 – 4 tablespoons warm water
Salt to taste
Whisk together all sauce ingredients except the warm water and salt. Add a tablespoon of the warm water at a time to get it to a consistency of your liking. Add salt to taste. If you want a bit of spice, add a little chili sauce.
¾ cup warm water
¼ cup powdered milk
Substitute 1 cup of regular milk in place of the powdered milk and warm water.
¼ cup melted butter
⅓ cup honey
1 teaspoon salt
3 and 1/2 cups flour
1 cup raisins or currants (optional)
1/2 teaspoon mace
Substitute nutmeg if needed.
1 beaten egg
1 tablespoon yeast
In a large bowl, combine the water, milk, butter, honey and salt then stir until dissolved. Then mix in one cup of the flour, raisins or currants (if using) and the mace.
Add the beaten egg and yeast, then the additional 2 ½ cups of flour, and mix well.
On a clean surface, knead the dough until it is soft and smooth. Place in a greased bowl and let it rise one-and-half to two hours, until it doubles in size.
Shape into buns and mark each with a deep cross. Place buns on a greased baking sheet and let rise until doubled.
Bake at 375 degrees for about 25 minutes.


Don’t forget to sing the eponymous song — you know it already from your kid’s recorder practice.

¼ cup unsalted melted butter
¼ cup vegetable oil
1 cup sugar
2 eggs
¼ teaspoon almond extract
1 and 1/2 cup flour
¼ teaspoon salt
1 teaspoon baking powder
1/2 cup milk
1 tablespoon grated lemon zest or more to taste
¼ cup powdered sugar
1 – 2 tablespoons fresh lemon juice
Combine melted butter, oil and sugar in a large bowl, then stir in eggs and almond extract.
Sift together the flour, salt and baking powder. Add about half of the dry ingredients to the sugar mixture, and alternate with the milk until all are combined (but not overmixed). Add in the lemon zest.
In a greased loaf pan, bake at 325 for about 55 minutes or until a fork comes out clean. Cool on a rack for 10 minutes, then release from the pan.
For the glaze, whisk powdered sugar and lemon juice until it reaches your desired consistency. When the loaf is completely cool, drizzle the glaze overtop.

Regular dental checkups every six months are important for children because they help to prevent dental problems from developing or worsening. Here’s why:
Early detection: Regular dental checkups help detect problems early, such as cavities, gum disease, and other oral health issues. When caught early, dental issues are generally easier and less expensive to treat.
Preventive care: Routine dental cleanings and fluoride treatments can help prevent tooth decay and cavities. A dentist can also provide advice on good oral hygiene practices to help maintain healthy teeth and gums.


Monitoring growth and development: As children grow, their teeth and jaws develop, and regular dental checkups allow the dentist to monitor this growth and development. Early detection of any potential issues can help prevent more serious problems from developing later on.





Establishing good habits: Regular dental checkups can help children establish good habits, such as brushing and flossing regularly, and avoiding sugary or acidic foods and drinks that can harm their teeth.
This is why we recommend children visit the dentist twice a year, or more frequently based on their individual needs. We want those smiles to last a lifetime. Note the level of












































































































First, remove as much of the hair from brushes and combs as possible; the pointy end of a rat tail comb will help dislodge hair and buildup stuck between bristles. In a large bowl filled with hot water, add a cup of white vinegar and soak for 15 minutes. Use an old toothbrush to scrub out the gunk, then rinse and air dry. Note that some paddle brushes might have removable parts that allow for thorough cleaning.
Invest in a good bottle brush. Older styles lean toward wire and plastic bristles, which can rust and degrade. Look for a food-safe, dishwasher-safe one you can use to reach the sludge at the bottom of the bottles. Silicone is a popular choice.
Most all-fabric bags can typically go in the washing machine on a gentle cycle, but search — and we mean dig deep — into every last pocket before you do so. You do not want to accidentally wash a waxy lip balm, gum or other problematic items. For bags with vinyl adornments, you’ll have to hand wash them in a mild detergent. Press between dry towels to remove excess water and line dry.

Homegrown brand Nike recommends a 50/50 white vinegar and water solution in a spray bottle; spray inside the shoes and allow to dry. They also recommend a dry bar of soap placed in each shoe overnight. Crocs can go in the washing machine on a delicate cycle, with a gentle detergent. Air dry away from heat sources.
Apple provides very specific guidelines to cleaning their AirPods, involving a ceremony with micellar water, distilled water and a soft toothbrush. But we don’t know anyone with that kind of time on their hands, so a soft cloth wipe-down will do. If you want to live dangerously (and not fret about potentially ruining a pair of ear buds), you can try a toothpick to dislodge the gunk.

A melamine sponge works wonders for cleaning crayon and unidentified markings on the walls.


A melamine sponge works wonders for cleaning crayon and unidentified markings on the walls. Tip: Save money and shop for the generic brand in bulk.
After a thorough vacuuming, try a DIY upholstery spray to freshen up fabrics: mix 1 cup of water and ¼ rubbing alcohol in a spray bottle. If you don’t like the smell of rubbing alcohol, cheap vodka works too. And you can add a drop of your favorite essential oil to the mix if you like. Just be sure to spot test it first on furniture you care about, and store it securely out of reach of children.

The long handle of a broom can be used to bring forth the detritus of toys, food wrappers, juice boxes, underwear and no doubt a few surprises. If your child is old enough, ask for their much-needed help; they are small and can wriggle under there.
Tip: if your heating vents are on the floor, unscrew them and investigate with a flashlight. We’ve found numerous teeny toy parts, hair ties, coins and other items. One unlucky mom we know discovered old spaghetti.

Weeknights can be dinner’s great mystery. Takeout? Cereal? Dare we dream of actual food? Fear not, weary parent, strategic meal prep is your superhero (minus the cape, because…laundry).
Start by planning. Meatless Mondays and Taco Tuesdays are your friends. Grocery shop with a list (and avoid the snack aisle’s siren song). Batch cook on the weekend: Roast veggies, cook grains, prep protein. Embrace one-pot wonders, slow cookers, and sheet pan dinners…
Yet all of this is easier said than done. This is where a health coach can help. A health coach can act as your meal prep guru who holds you accountable. Many of us have trouble turning thought into actions. You have great ideas for meals saved on your phone, but your energy drops, or a kid gets sick, or a deadline comes up at work...life just happens.
A health coach listens to what you and your family need, in the context of your busy lives. If you have a picky eater, we customize a meal plan to make it work for all. We can teach and guide you in time-saving batch cooking, and offer creative recipes your kids might actually eat.
A health coach empowers you to conquer weeknight dinners, making healthy eating a sustainable lifestyle. You might even get two minutes to yourself...future you will thank you.


Brought to you by: West Coast Health + Wellness wchwellness.com west.coast.health.coach

Meghan Hess, NBC-HWC National board-certified Wellness Coach mhess@wellnesscoach.com





























































































































































































































































































