
4 minute read
Absent Pulmonary Artery Presenting as High-altitude Pulmonary Edema
Douglas Dillon, MD Austin T. Smith, MD
Advertisement
Intermountain Healthcare, Department of Emergency Medicine, Park City, Utah
Section Editors: Jacqueline Le, MD Submission History: Submitted May 26, 2022 Revision received September 12, 2022; Accepted September 20, 2022 Electronically published November 4, 2022 Full text available through open access at http://escholarship.org/uc/uciem_cpcem DOI: 10.5811/cpcem.2022.9.57506
Case Presentation: A 22-year-old male with no known past medical history presented to our emergency department complaining of difficulty breathing. A plain film chest radiograph revealed findings consistent with a tension pneumothorax.
Discussion: However, due to physical examination findings inconsistent with the imaging report, a computed tomography of the chest was ordered which revealed an absent right pulmonary artery. The patient was ultimately treated for high altitude pulmonary edema and discharged on nifedipine and supplementary oxygen. [Clin Pract Cases Emerg Med. 2022;6(4):330-332.]
Keywords: absent pulmonary artery; high altitude pulmonary edema; environmental emergencies; shortness of breath; dyspnea.
CASE PRESENTATION
A 22-year-old male presented to our emergency department (ED) complaining of difficulty breathing. The patient was visiting from sea level and driving a snowmobile at an elevation just above 9,000 feet when he became short of breath. He denied any trauma. He presented to our ED (elevation 5,412 feet) with improvement but ongoing dyspnea. On arrival to the ED, the patient had a heart rate of 113 beats per minute, and he was breathing 40-45 times per minute with an oxygen saturation of 89% on 15 liters nonrebreather mask. His pulmonary exam was significant for bilateral breath sounds with wheezing that was more prominent on the left side.
A plain film of the chest was ordered, which was interpreted by radiology as probable left-sided tension pneumothorax (Image 1). However, the treating physician thought that pulmonary edema was more likely based on real-time interpretation of this image along with physical exam findings. Due to an inconsistency between the clinical presentation and imaging report, a contrast-enhanced computed tomography angiography was ordered, which revealed an absent right pulmonary artery and hypoplastic right lung (Images 2, 3).
Image 1. An anteroposterior plain film of the chest revealing a deviated trachea (star) and a deep sulcus sign (arrow), in addition to fluffy infiltrates in the left lung fields.
The patient was transferred to a facility at a lower elevation and discharged five days later on nifedipine and supplementary oxygen. The final diagnosis was high-altitude

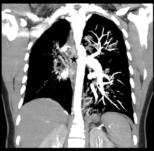
Image 2. A coronal view of a contrast-enhanced computed tomography angiography revealing an absent right pulmonary artery (star) and hypoplastic right lung. CPC-EM Capsule
What do we already know about this clinical entity? Absent pulmonary artery is a rare condition frequently diagnosed when evaluating for causes of dyspnea. Patients with this condition are particularly susceptible to high altitude pulmonary edema.
What is the major impact of the image(s)? It is important for clinicians to ensure that a radiologic findings are consistent with clinical conditions; if not, more investigation should be sought.
How might this improve emergency medicine practice? This case is an excellent example of the importance of clinical correlation and not anchoring on a diagnosis. Had the clinician relied upon the radiologic interpretation, this patient could have had a catastrophic outcome.

Image 3. An axial view of a contrast-enhanced computed tomography angiography revealing an absent right pulmonary artery (star).
pulmonary edema (HAPE) and absent right pulmonary artery.
DISCUSSION
Absent pulmonary artery is a rare condition, occurring in approximately 1 in 200,000 adults1 Usually it is accompanied by other cardiovascular abnormalities, but it can be isolated.2 Due to the nature of the embryologic development, it most commonly occurs on the right side.3 Presentation and diagnosis vary but is typically found while evaluating for pulmonary hypertension, suspected structural lung disease, or cardiac evaluations. Interestingly, HAPE is seen in approximately 10% of patients with an absent pulmonary artery.3-6 This is thought to be caused by development of pulmonary hypertension secondary to altitude and exercise at higher elevation.5
The authors attest that their institution requires neither Institutional Review Board approval, nor patient consent for publication of this case report. Documentation on file.
Address for Correspondence: Austin Smith, MD, Intermountain Healthcare, Department of Emergency Medicine, 900 Round Valley Drive, Park City, Utah, 84060. Email: austinsmith@utexas.edu.
Conflicts of Interest: By the CPC-EM article submission agreement, all authors are required to disclose all affiliations, funding sources and financial or management relationships that could be perceived as potential sources of bias. The authors disclosed none.
Copyright: © 2022 Dillon et al. This is an open access article distributed in accordance with the terms of the Creative Commons Attribution (CC BY 4.0) License. See: http://creativecommons.org/ licenses/by/4.0
REFERENCES
1. Bouros D, Pare P, Panagou P, et al. The varied manifestation of pulmonary artery agenesis in adulthood. Chest. 1995;108(3):670–6. 2. Presbitero P, Bull C, Haworth SG, et al. Absent or occult pulmonary artery. Br Heart J. 1984;52(2):178–85. 3. Ten Harkel AD, Blom NA, Ottenkamp J. Isolated unilateral absence of a pulmonary artery: a case report and review of the literature. Chest. 2002;122(4):1471-7. 4. Rios B, Driscoll DJ, McNamara DG. High-altitude pulmonary edema with absent right pulmonary artery. Pediatrics. 1985;75(2):314-7. 5. Hackett PH, Creagh CE, Grover RF, et al. High-altitude pulmonary edema in persons without the right pulmonary artery. N Engl J Med. 1980;302(19):1070-3. 6. Fiorenzano G, Rastelli V, Greco V, et al. Unilateral high-altitude pulmonary edema in a subject with right pulmonary artery hypoplasia.
Respiration. 1994;61(1):51-4.