
16 minute read
Premios Ignacio Menes
from Veterinariae 31/2022
by Veterinariae
premio ignacio menes 2021
El Colegio Oficial de Veterinarios de Asturias, en su decidida vocación de dinamizar y mejorar el ejercicio de la profesión veterinaria, convocó por decimoquinto año consecutivo los Premios Científicos Ignacio Menes. En esta edición el primer premio se ha otorgado a los colegiados Margarita López Pérez-Pellón y a Pedro Pablo Mayo Robles por su trabajo conjunto Eritroleucemia en una gata negativa al virus de la leucemia felina. El resto de premios ha quedado desierto. La entrega formal de los premios y diplomas honoríficos, se realizará durante la celebración de la próxima festividad de San Francisco, en el año 2022.
Advertisement
Introducción
La eritroleucemia es una entidad poco frecuente en gatos. Es un tipo de leucemia mieloide con proliferación aberrante de formas eritroides inmaduras en la médula ósea. La forma aguda (AML) produce eritropoyesis ineficaz y anemia severa. Como consecuencia hay una acumulación de células blásticas inmaduras en la médula ósea y en sangre periférica. En gatos, a diferencia de los perros, está asociada a retrovirus y probablemente los factores genéticos y ambientales juegan un papel importante. En humanos se ha referido que son necesarios trastornos cromosómicos adquiridos para desarrollar AML. El cariotipo en perros es difícil de desarrollar, por lo tanto y a pesar de que se han descrito alteraciones cromosómicas en la AML no podemos determinar los factores genéticos implicados. Estas AML tienen un inicio repentino y clínicamente son muy agresivas. El número de células circulantes suele estar disminuido, las células neoplásicas desplazan a las células normales, en un proceso llamado mieloptisis. Existe también la forma crónica refiriéndose al grado de diferenciación de las células leucémicas y la mixta caracterizada por células blásticas eritroides y mieloides. 1-4
Presentamos un caso de eritroleucemia en una gata joven, negativa para el virus de la leucemia, que inicialmente se presentó con un cuadro de apatía y anorexia asociado a una anemia no regenerativa severa.
Descripción del caso clínico
Una gata común europea, castrada, de 5 años, 6,5 kg de peso, con una condición corporal de 6/9, vacunada y desparasitada al día, que vivía en un piso con otro gato y varios perros, sin antecedentes de enfermedades previas, sin exposición conocida a tóxicos y que no tomaba ninguna medicación, fue visitada por apatía y anorexia de varios días de evolución. El examen físico general reveló deshidratación de un 7%, mucosas pálidas y taquicardia. Se realizó un hemograma que mostró una anemia no regenerativa severa, con un hematocrito del 12%, leucocitosis marcada con neutrofilia con desviación a la izquierda y presencia de precursores de eritrocitos en el frotis de sangre periférica, que la máquina de hematología contaba, por error, como leucocitos, y una bioquímica sérica que no presentaba alteraciones.
El listado de problemas era apatía, anorexia, mucosas pálidas, taquicardia, deshidratación y anemia no regenerativa. Probablemente la anemia era el problema primario y los demás problemas secundarios, por lo tanto, se plantearon los diagnósticos diferenciales de anemia no regenerativa en el gato (tabla 1).
Se realizó una radiografía de tórax, que fue normal y una ecografía abdominal que tampoco presentó alteraciones. También se realizó una prueba ELISA frente al virus de la leucemia felina (FeLV) e inmunodeficiencia (FIV) que fue negativa para ambas enfermedades. Se envío sangre entera para la realización de PCRs para micoplasmas hemotrópicos y virus de la leucemia, para descartar una infección regresiva.
Ante la ausencia de evidencia de la presencia de una enfermedad extramedular,
Artefactual • Dilución • Excepciones • Pre-regenerativas: – Hemorragia/hemólisis recientes – Extracciones recientes en pacientes críticos Causas extramedulares • Enfermedad renal • Anemia de enfermedad crónica • Anemia por déficit de hierro • Infecciones – FeLV – FIV – PIF – Leishmaniosis – Ehrlichiosis – Mycoplasmas • Fármacos/Tratamientos: – Agentes citotóxicos – Metimazol – Albendazol – Antibióticos – Agentes estimulantes de la eritropoyetina – Irradiación • Déficits nutricionales – Déficit de Vitamina B12 Causas medulares • Inmunomediadas: – Aplasia pura de glóbulos rojos – Anemia hemolítica inmunomediada no regenerativa • Vascular Necrosis de la médula ósea • Mieloptisis – Neoplasias (leucemias, mieloma múltiple) – Síndromes mielodisplásicos – Mielofibrosis (primaria o secundaria • Otros
dado lo severo de la anemia y el elevado número de precursores eritroides en el frotis de sangre periférica y pendiente de los resultados de pruebas infecciosas, se decidió hacer un estudio completo de médula ósea (mo), consistente en la evaluación conjunta de un hemograma, junto con una citología y biopsia de mo y realización de una PCR de virus de leucemia felina en mo, para descartar una infección regresiva latente en mo. Para la preparación del paciente, se requirió anestesia general, preparación aséptica de la zona y la infiltración con anestésico local en piel, subcutáneo y periostio. Se aportó analgesia antes, durante, y después del procedimiento. La biopsia se realizó con una aguja de Jamshidi, tomando la muestra del aspecto craneolateral del tubérculo mayor del húmero.
A la espera de resultados de todas las pruebas enviadas, se procedió a hospitalizar al paciente, realizando un «quick test A+B» ® de Alvedia para determinar el grupo sanguíneo, para realizar una transfusión de concentrado de hematíes. El grupo sanguíneo fue A. A continuación, se realizó una prueba de compatibilidad entre donante y receptor, que resultó compatible. El hematocrito post transfusión fue de un 16%. Se procedió, así mismo, a colocar una sonda de alimentación naso-esofágica, estableciendo un plan de alimentación y de fluidoterapia, y se instauró tratamiento médico con doxiciclina a 5 mg/kg cada doce horas vía oral, para cubrir la posible presencia de infección por micoplasmas, y metilprednisolona a 2 mg/kg y día vía intravenosa por si pudiera tratarse de una anemia hemolítica inmunomediada, bien regenerativa en fase no-regenerativa todavía o una aplasia pura de células rojas o una anemia hemolítica inmunomediada no-regenerativa.
Al 6º día de hospitalización empezó a ingerir alimento por sí sola y al día siguiente se dio de alta para casa, con el hematocrito estable en un 14%, comiendo y bebiendo de modo autónomo y con el mismo tratamiento médico.
El resultado de las PCRs para micoplasmas fue negativo, así como la PCR para el virus de la leucemia en mo.
El estudio de mo reveló la presencia de una hipoplasia medular marcada con mielofribrosis secundaria. En el frotis de sangre periférica se apreció una anemia moderadamente regenerativa (14,5%) con anisocitosis, policromasia, ocasionales esquistocitos, glóbulos rojos fantasma, un 28% de células eritroides en diferentes estadíos de maduración, neutrofilia con desviación a la izquierda y trombocitosis (imagen 1). En base al resultado de este estudio junto con el resto de las pruebas, el diagnóstico más probable era una anemia hemolítica inmunomediada. Se retira el tratamiento con doxiciclina y se mantiene la metilprednisolona a la misma dosis.
En los siguientes dos meses se realizan revisiones semanales consistentes en un examen físico general y hemograma. Durante el primer mes el hematocrito va ascendiendo hasta llegar a un 21% con una leve respuesta regenerativa y un estado general normal. El siguiente mes el hematocrito empieza a descender hasta un 12% y el recuento de células nucleadas va asciendo correspondiéndose en su mayoría con eritrocitos en diferentes estadíos de maduración. El apetito va disminuyendo y está más apática. Se realiza una nueva transfusión de concentrado de eritrocitos
información adicional e inscripciones:
edvijil@yahoo.es / Tel. 617 22 48 53 www.oposicionesveterinaria.es

GRUPO DE PREPARACIÓN DE OPOSICIONES
Pruebas en preparación (turnos separados)
• Comunidades autónomas: — Asturias: - 4 plazas (en curso) + próxima convocatoria 25 plazas OEP 2017-2018. Incluye lista de interinos. - Próxima OEP 2021. — La Rioja: Próxima OEP 2021-2022. Incluye lista de interinos. • Administración General del Estado: — Cuerpo Nacional Veterinario: - 59 plazas OEP 2020 (en curso BOE nº286 de 30 de noviembre de 2021). - 64 plazas OEP 2021. • Disponibles temarios resto de oposiciones Comunidades Autónomas
Características del grupo
• Equipo de preparación: 2 funcionarios de carrera del Principado de Asturias + 2 funcionarios del CNV bajo la coordinación de Eduardo Vijil. • Temarios completos, actualizados y con © propio; Test;
Guión-resumen de cada Tema; Casos prácticos. • Sede las clases: Ilustre Colegio Oficial de Veterinarios de Asturias (Plaza de América, 10. Oviedo) • Periodicidad quincenal (viernes tarde y sábado mañana). • Condiciones preferenciales colegiados. • Desarrollo de las clases Asturias: — Explicación de un grupo de 5-7 Temas por sesión. — Ejercicio Test y Práctico acerca de los Temas explicados en la clase anterior (1er y 2º exámenes). — Elaboración del guión-resumen de cada Tema y de sus combinaciones, de cara al ejercicio escrito que contiene la
Convocatoria (3er examen). — Sesiones recapitulatorias cada 4 clases. • Desarrollo de las clases CNV: — Explicación, entrega y actualización de un grupo de Temas afines entre sí. — Elaboración y entrega de varios supuestos de preguntas relacionadas pero no coincidentes sobre dicho grupo de Temas, de cara al 1er ejercicio escrito. — Elaboración y entrega del guión-resumen que debe emplearse para el ejercicio oral de dichos Temas (3er ejercicio), así como la práctica individualizada de dicho examen oral. — Resolución de casos prácticos sobre los Temas explicados en la quincena anterior (4º ejercicio).
Últimos resultados (orden cronológico)
• La Rioja 2019 (final): 2 de 2 aprobados (nº1 inc.) // 2021 (final): 5 de 8 aprobados (nº1 incl.). • Cantabria 2020 (final): 15 de 12 aprobados. • Aragón 2019 (final): 10 de 10 aprobados (nº1 incl.) // 2020 (final): 19 de 25 aprobados (nº1 incluido). • Murcia 2019-2020 (final): 25 de 43 aprobados (nº1 incluido). • Diputación Foral de Gipuzkoa 2018 (final): 5 de 9 aprobados. • Diputación Foral de Álava 2018 (final): 8 de 18 aprobados.



previa prueba de compatibilidad y dado que existía una sospecha muy alta de la existencia de una eritroleucemia, se evalúa nuevamente la mo para confirmar el diagnóstico. En el hemograma se observó la presencia de abundantes precursores hemáticos en diferentes estadíos de maduración con cambios displásicos representando un 89% del total de células nucleadas con una 13,7% de hematocrito sin regeneración. La citología y la biopsia mostraron la presencia de una proliferación de células redondas compatibles con una leucemia (leucemia eritroide aguda/eritroleucemia) con hipoplasia medular marcada y mielofibrosis leve (imágenes 2 y 3).
Se retiró el tratamiento con metilprednisolona y se trató con citosina arabinósido 150mg/m²/ subcutáneo cada doce horas y cada dos días, y varias transfusiones, pero al no existir una buena respuesta los cuidadores decidieron la eutanasia.
Discusión
La clasificación de las leucemias en gatos es difícil debido a la similitud de las características clínicas y patológicas y el solapamiento y mezcla de los diferentes tipos implicados. La mayoría de los casos descritos son de la era FeLV y sólo existen publicaciones de casos aislados de la actual era post-FeLV, lo cual añade más confusión sobre el conocimiento de su biología y resultados. En los gatos con sospecha de leucemia la evaluación de la sangre periférica (hemograma con recuento diferencial, citometría de flujo y PARR para las de tipo linfoide) y el aspirado y biopsia de mo suelen ser necesarios para el diagnóstico. Una citología de mo con más del 30% de blastos anormales es suficiente para diagnosticar una leucemia aguda. Todos los gatos con leucemia deben de ser testados para FeLV/FIV, ya que la mayoría de los casos descritos son gatos positivos a FeLV.4,5
La leucemia mieloide aguda (AML) es una enfermedad neoplásica del sistema hematopoyético que suele tener su origen en la mo, rara y caracterizada por una proliferación aberrante y/o disminución de la apoptosis de un clon de células inmaduras. Esto resulta en la acumulación de células blásticas inmaduras en mo y sangre periférica, y en ocasiones en otros órganos. Suele tener un curso muy rápido con alta morbilidad y mortalidad. El contaje de leucocitos en sangre periférica es variable y puede oscilar desde una leucopenia a contajes superiores a 250000/µl. En 1985, se formó el grupo de estudio de la leucemia animal dentro de la sociedad americana de patología clínica con el fin de desarrollar criterios específicos morfológicos y citoquímicos para clasificar las leucemias agudas no linfoides. Es importante poder reconocer los diferentes subtipos de leucemia para poder recabar información útil de cara al pronóstico y establecimiento de tratamientos adecuados, así como poder establecer comparaciones entre diferentes estudios. En 1991, este grupo propuso un sistema de clasificación siguiendo una adaptación del sistema FAB (French-American-British) (tabla 2). Debido a que el sistema de clasificación FAB modificado ha sido adoptado recientemente, los nombres dados a estos procesos en la literatura varían considerablemente.1,5
Según el Grupo de Estudio de la Leucemia Animal, la AML se distingue de otros tipos de neoplasias mieloides por tener una población de células blásticas indiferenciadas superior al 30% de células nucleadas en mo o sangre periférica. La eritroleucemia se clasifica como un subtipo de AML (M6) si más del 50% de las células nucleadas en mo son de origen eritroide y el número de mielocitos y mieloblastos es inferior al 30% en mo (tabla 3). Estos criterios se basan en el sistema de clasificación FAB para la AML de humana. Más recientemente, la Organización Mundial de la Salud, incorporó criterios clínicos, morfológicos e información genética de importancia pronóstica para la clasificación de la AML, en humana, que derivó en la subclasificación en 7 tipos y numerosos subtipos. Las eritroleucemias se subdividen en aquellas que tienen componentes eritroides y no eritroides y aquellas que sólo tienen un componente eritroide.1
La eritroleucemia en personas es una enfermedad neoplásica rara que afecta a individuos de edad media o mayores, que suele ir precedida de un síndrome mielodisplásico, que está asociada a numerosas anomalías genéticas, y que suele tener un pronóstico muy malo (supervivencia media de 4 a 14 meses). En gatos, la eritroleucemia (antes llamada mielosis eritroide), también es una neoplasia muy rara y poco descrita y que casi siempre se ha asociado a gatos positivos a FeLV. Típicamente se presenta en gatos de mediana edad o jóvenes infectados por el FeLV. Suele ir precedida de un síndrome mielodisplásico y el pronóstico es malo.1
En nuestro caso, la presentación clínica fue la característica de este tipo de procesos, con un cuadro de apatía, anorexia y taquicardia, en una gata de mediana edad, debido a una anemia no regenerativa, probablemente de curso bastante agudo, dados los signos clínicos. Siendo
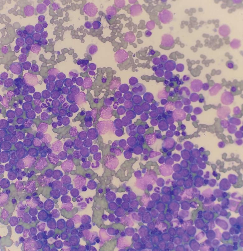
V Imagen 1. Citología de aspirado de médula ósea sugestivo de hipoplasia medular. R Imagen 2. Citología de aspirado de médula ósea. Eritroleucemia. Los precursores hemáticos están representados casi exclusivamente por células eritroides en diferentes estadíos de maduración, que sustituyen el resto de las líneas hematopoyéticas. Se observan células binucleadas y mitosis marcadamente incrementadas en número. W Imagen 3. Biopsia de médula ósea. Eritroleucemia. Espacio medular con precursores hemáticos representados predominantemente por células eritroides.

Leucemias agudas
AUL Leucemia indiferenciada aguda (antes llamada reticuloendoteliosis) M1 Leucemia mieloblástica, sin diferenciación M2 Leucemia mieloblástica, con alguna diferenciación neutrofílica M3 Leucemia promielocítica (no descrita en animales)
M4 Leucemia mielomonocítica
M5a Leucemia monocítica, sin diferenciación
M5b Leucemia monocítica con alguna diferenciación monocítica
M6 Eritroleucemia
M6Er Variante de la M6 con eritroblastos comprometiendo el componente eritroide M7 Leucemia megacarioblástica Leucemias mieloides crónicas
CML Leucemia mielógena crónica
CMML Leucemia mielomonocítica crónica
CMoL Leucemia monocítica crónica Displasia hematopoyética
MDS Síndrome mielodisplásico MDS-Er Síndrome mielodisplásico con predominancia eritroide < 50%
Células blásticas (% de TCN) Células eritroides en la médulas ósea
> 50%
Células blásticas (% de CNE) Células blásticas incluyendo rubliblastos (% de TCN)
>30% <30% >30% <30% <30% >30%
AUL MDS M6 AML CML
TCN: todas las células nucleadas de la médula ósea, incluyendo linfocitos, células plasmáticas, macrófagos y mastocitos. CNE: células no eritrocíticas en la médula ósea. AUL: leucemia indiferenciada aguda; células blásticas, mieloblastos, monoblastos y megacarioblastos. AML: leucemias mieloides agudas M1-M5 y M7. MDS-Er M6Er
MDS: síndrome mielodisplásico.
CML: leucemia mieloide crónica, incluyendo mielógena crónica, mielomonocítica crónica y leucemia monocítica crónica.
M6: eritroleucemia. MDS-Er: síndrome mielodisplásico con predominancia eritroide.
M6Er: eritroleucemia con predominancia eritroide.
muy poco frecuente esta patología, en la mayoría de los casos descritos en la literatura, esta enfermedad se encuentra asociada a infecciones por el virus de la leucemia. Existen muy pocos casos en los que la presentación es en pacientes negativos a FeLV, como es nuestro caso. Nuestro gato fue negativo para tres pruebas diferentes para testar FeLV. Primero realizamos una prueba ELISA, que valora la presencia de antigenemia, que resultó negativa, y luego una PCR en sangre periférica y mo para valorar la posible presencia de una infección regresiva o regresiva latente en mo, que se presentan sin antigenemia.
La PCR es la prueba más sensible para detectar el virus de la leucemia, sin embargo, cabría la remota posibilidad de tener un número extremadamente bajo de copias de ADN en las muestras, o una secuencia de ADN del virus inusual que no se pudieran detectar por PCR.1
La punción de médula ósea es una técnica segura, fiable y efectiva, que está indicada en los casos de anemia severa para la que carecemos de diagnóstico y necesaria para obtener un diagnóstico de enfermedades medulares. En nuestro caso, fue necesario hace dos estudios de mo para obtener un diagnóstico definitivo ya que en el primero de ellos había una hipoplasia medular y ausencia de células que permitieran diagnosticar el proceso como neoplásico. En muchos casos, esta enfermedad viene precedida de un síndrome mielodisplásico, donde la mo en normo o hipercelular, no hipocelular como en nuestro caso. Es por ello por lo que se diagnosticó inicialmente como una anemia hemolítica inmunomediada. La presencia de glóbulos rojos nucleados en el frotis puede ser por la presencia de una anemia hemolítica, neoplasia medular, mielodisplasia o mieloptisis.7
La buena respuesta al tratamiento sugiere un estado pre leucémico previo al desarrollo de la AML.5. Fue necesaria una segunda citología y biopsia de mo para el diagnóstico definitivo de la eritroleucemia, una vez que el cuadro clínico empeoró, y sobre todo los precursores eritroides fueron en aumento en sangre periférica.
En medicina humana el tratamiento con citosina arabinósido induce diferenciación celular.2 En este caso no hubo una buena respuesta, en los frotis sanguíneos y hemogramas de seguimiento el número de eritrocitos nucleados fue in crescendo hasta 89% del total de las células nucleadas.
En conclusión, cabe destacar que, para el diagnóstico de eritroleucemia debe considerarse la evaluación de mo, particularmente en casos clínicos con presencia de células eritroides blásticas hematopoyéticas en frotis. Que es necesario testar con varias pruebas a estos gatos, ya que, en la mayoría de ellos, se presenta asociada a una infección por FeLV. Al igual que en humana podemos presumir que, gatos con eritroleucemia negativos a FeLV muestran alteraciones genéticas. Esta hipótesis podría considerarse en investigaciones futuras para el desarrollo de tratamientos quimioterápicos efectivos.
V Tabla 2. Subtipos de leucemias y displasias (Sistema FAB) R Tabla 3. Esquema de clasificación de las neoplasias mieloides y de los síndromes mielodisplásicos en perros y gatos.
Bibliografía
1. Fischer C, Tan E, Bienzle D: Erythroleukemia in a retrovirus-negative cat. J Am Vet
Med Assoc, 240(3), 294-297, 2012. 2. Shimada T, Matsumoto Y, Okuda M,
Momoi Y, Bon-Kobara M, Watari T, et al: Erythroleukemia in two cats naturally infected with feline leukemia virus in the same household. J Vet Med Sci, 57(2), 199204, 1995. 3. Comazzi S. et al: Erythremic myelosis (AML6er) in a cat. J Feline Med and Surg, 2(4), 213-215, 2000. 4. Vail DM, Pinkerton M: Feline lymphoma and leukemia (In) Vail DM, Thamm DH,
Liptak JM: Withrow and MacEwen’s small animal clinical oncology (6ed) St. Louis,
MO, Elsevier, 729-730, 2020. 5. Vail DM, Young KM: Canine acute myeloid leukemia, myeloproliferative neoplasms, and myelodysplasia (In) Vail DM, Thamm
DH, Liptak JM: Withrow and MacEwen’s small animal clinical oncology (6ed) St.
Louis, MO, Elsevier, 730-739, 2020. 6. Olson SW, Hohenhaus AE: Feline non-regenerative anemia: Diagnostic and treatment recommendations. J Feline Med and Surg, 21(7), 615-631, 2019. 7. Villalba IL, Sánchez IM: Alteraciones de los glóbulos rojos en el frotis sanguíneo (In)
Villalba IL, Sánche IM: Guía práctica de interpretación analítica y diagnóstico diferencial en pequeños animales. Grupo Asís
Biomédica, 22, 2015. ±





