
29 minute read
2.4.5.4 Stereotactische bestraling
Hoofdstuk 5 Behandelingsmodaliteiten
2.4.5.4 Stereotactische bestraling
Deze bestralingstechniek past men toe bij sommige kleine tumoren, uitzaaiingen van tumoren in het lichaam en goedaardige aandoeningen zoals arterioveneuze malformaties. Bij deze behandeling worden er vanuit verschillende richtingen kleine stralenbundels op de tumor gericht via de VMAT-techniek. Het is de bedoeling om een hoge dosis te geven op de tumor en het omliggende weefsel zoveel mogelijk te sparen. Hierbij wordt er dus een hogere dosis per fractie gegeven waardoor er minder bestralingssessies nodig zijn in vergelijking met de andere technieken. Dit wordt ook wel hypofractionatie genoemd. Stereotactische radiotherapie kan toegepast worden bij primaire longtumoren, long-, hersen-, lever- en botmetastasen in het lichaam. Door de techniek is het tevens mogelijk om eenmalig een hersenletsel heel precies met een hoge dosis te bestralen. Dat noemt men radiochirurgie.
2.4.5.5 Adaptieve radiotherapie
In plaats van de bestralingsreeks uit te voeren met een set van data en beeldmateriaal, maakt men bij adaptieve radiotherapie nieuw beeldmateriaal tijdens de behandeling om de evolutie van de tumor en omliggende weefsels op te volgen. Tijdens de reeks kunnen dan de bestralingsvelden en dosis aangepast worden in functie van de evolutie van de tumor. Adaptieve radiotherapie wordt bijvoorbeeld bij ORL-tumoren toegepast, waarbij in sommige centra tussentijds een nieuwe PET/CT en/of gewone CT genomen wordt om het doelvolume en de dosis aan te passen aan de biologische en anatomische veranderingen.
2.4.5.6 Hematologische bestraling
Er zijn een aantal hematologische pathologieën (bv. ziekte van Hodgkin) waarbij er een gerichte bestralingstechniek wordt toegepast. Ten eerste wordt TBI (total body irradiation) uitgevoerd met de bedoeling de kankercellen van het zieke beenmerg te vernietigen en het immuniteitssysteem te onderdrukken. De onderdrukking verkleint de kans op afstoting voor een latere transplantatie (van beenmerg of bloedstamcellen). In het geval van TBI bestraalt men het volledige lichaam, met uitzondering van de longen en ooglenzen. Bij TSI (total skin irradiation) wordt de huid bestraald, met als doel alle cutane letsels te verkleinen en het immuniteitssysteem te onderdrukken. Als laatste kan men ook lymfeweefsel bestralen. Dat noemt men dan TLI (total lymphoid irradiation). TLI heeft eveneens als doel om het immuniteitssysteem te onderdrukken.
Tijdens deze behandelingen moet de patiënt in bepaalde posities staan, zitten of liggen zodat het doelvolume bestraald kan worden. In sommige centra wordt de patiënt in zijligging bestraald met behulp van een vacuümmatras. In andere centra gebruikt men een frame met zadel.
Figuur 18 Total body irradiation
Hoofdstuk 5 Behandelingsmodaliteiten
Het frame is op een vastgelegde afstand van de kop van het bestralingstoestel geplaatst, zodat het volledige lichaam in het bereik ligt. Specifiek voor de TSI zal de patiënt tussen de bestralingsvelden van positie moeten veranderen zodat alle zones van de te bestralen huid bestraald kunnen worden. Tijdens de behandeling zullen de verpleegkundigen of technologen erop moeten toezien dat de patiënt zijn positie blijft behouden.
2.4.5.7 Gating
Gating is een bestralingstechniek waarbij de bestraling gekoppeld is aan de ademhalingsbeweging. Dit past men onder andere toe bij de bestraling van de linkerborst. Aangezien het hart dicht tegen het bestralingsveld ligt, gebruikt men een gatingtechniek om het te beschermen tijdens de bestraling. Bij de inademingsfase is het thoraxvolume het grootst omdat het stuk long dat tussen het hart en de borstwand ligt, gevuld wordt met lucht. De borstwand schuift naar anterieur en craniaal met het gevolg dat het hart buiten het doelvolume valt. Daardoor krijgt het omliggende longvolume zo weinig mogelijk dosis en wordt ook de hartdosis verlaagd. Deze bestralingstechniek noemt men de deep inspiration breath hold-techniek (DIBH) of active breathing control (ABC). Via de communicatie van de verpleegkundigen of technologen door de intercom weet de patiënt wanneer ze moet inademen en de ademhaling moet blokkeren gedurende ongeveer dertig seconden. Bij sommige lineaire versnellers kan het bestralingstoestel de bundel automatisch laten stoppen wanneer de patiënt de ademhaling niet meer vasthoudt. Zo blijft de stralingsbescherming van het hart gegarandeerd.
Hoofdstuk 5 Behandelingsmodaliteiten
Figuur 19 DIBH
Foto DIBH

2.4.5.8 Recente ontwikkelingen
De radiotherapiewereld staat allesbehalve stil. Er zijn continu evoluties om telkens verbeteringen aan te brengen in de nauwkeurigheid van de bestraling. Dit zorgt voor een grotere locoregionale tumorcontrole en een verlaagde kans op bestralingsgerelateerde nevenwerkingen. Wat volgt is een summiere opsomming van nieuwe ontwikkelingen van de voorbije jaren.
Het TomoTherapy®-toestel is een lineaire versneller die tijdens de bestraling continu 360° rond de patiënt draait. De conventionele toestellen kunnen slechts eenmalig 360° rond de patiënt draaien en moeten dan terugkeren. Voor elke bestraling met het TomoTherapy®-toestel kan men megavolt-CT-beelden van het te bestralen gebied genereren.
Figuur 20 TomoTherapy®-toestel

Het CyberKnife® is een toestel waarbij de versnellersbuis gemonteerd is op een robotarm. Hierdoor is het toestel niet meer afhankelijk van een vaste draaicirkel zoals bij alle andere bestralingstoestellen. Het kan zo vanuit verschillende hoeken met een hele reeks smalle stralingsbundels het doelvolume bestralen. Het is in staat om mee te bewegen met de ademhaling. Het CyberKnife-systeem neemt voortdurend röntgenfoto’s zodat men in realtime informatie krijgt over de positie van de (bewegende) tumor en er eventuele correcties kunnen worden uitgevoerd tijdens het bestralingsproces. Deze techniek kan worden gebruikt voor de bestraling van long- of levertumoren ter hoogte van de beweeglijke diafragmaregio.
Figuur 21 Het CyberKnife® (A foto 20)

Hoofdstuk 5 Behandelingsmodaliteiten

Recent is er ook een lineaire versneller ontwikkeld waarbij er diagnostische MRI-beelden genomen kunnen worden in plaats van CT-beelden. Vandaar de naam MR-Linac. De toegevoegde waarde van MRI-beelden ten opzichte van CBCT-beelden is een verbeterde visualisatie van zacht weefsel. Realtime adaptieve radiotherapie wordt op die manier een mogelijkheid bij prostaatbestralingen.
Een andere moderne ontwikkeling is de bestraling met een type elementaire deeltjes, protonentherapie. Deze techniek bestaat al geruime tijd in Azië en de VS maar kent nu ook in België een opmars. Dit toestel wekt protonen op, in plaats van fotonen en elektronen. De protonen kunnen nog gerichter ingezet worden, zodat nog meer gezond weefsel gespaard wordt. Deze zeer precieze bestraling wordt bijgevolg gebruikt voor diep gelegen tumoren of tumoren die te dicht bij kwetsbare weefsels liggen, momenteel vooral binnen de pediatrie. Er moet echter altijd de overweging gemaakt worden van de kosten van de behandeling ten opzichte van de effectieve winst van het sparen van het gezonde weefsel.
Figuur 22 Protonenbestraling

Hoofdstuk 5 Behandelingsmodaliteiten
Een andere materie van deeltjesstraling is via carbonionen, die momenteel in het buitenland opgang maakt. Deze geladen carbondeeltjes hebben een hoge biologische effectiviteit en kunnen in de toekomst mogelijk worden ingezet voor het bestralen van verschillende types kankers.
2.5 Inwendige bestraling
Inwendige bestraling wordt ook wel brachytherapie genoemd. Dit is een vorm van radiotherapie waarbij een stralingsbron in het gezwel zelf wordt ingebracht of zo kort mogelijk tegen het gezwel wordt geplaatst.
Het kan als enige radiotherapeutische behandeling toegepast worden, maar meestal als aanvullende behandeling (boost) bij een uitwendige bestraling omdat het voornamelijk over kleinere tumoren gaat. Het doelvolume mag niet te groot zijn.
2.5.1 Methode
Brachytherapie is een uiterst precieze behandeling die een hoge stralingsdosis geeft aan het gezwel en een zeer kleine dosis aan de omliggende gezonde weefsels. De bestraling vindt plaats in een met lood afgeschermde ruimte.
De methode waarmee men te werk gaat heet afterloading. Afterloading wil zeggen dat men eerst holle naalden, buizen of katheters (applicatoren) zonder aanwezigheid van een radioactieve bron, plaatst in of nabij het doelvolume. Pas nadien zullen de applicatoren in contact komen met radioactiviteit. Eerst wordt de positie van de applicatoren gecontroleerd door middel van CT-beeldvorming, waarna een medisch fysicus via de planningscomputer een nauwkeurige dosisverdeling berekent om een optimale bestraling te garanderen. Vervolgens kan de patiënt geïnstalleerd worden in de bestralingsbunker.
Na het positioneren wordt de patiënt aangesloten aan de afterloader met de hiervoor voorziene transfertubes. Dat zijn lange kabels waardoor de radioactieve bron in contact kan worden gebracht met het specifieke doelvolume. Het personeel kan de bunker sluiten zodat zij geen straling oplopen. Na het aansluiten van de transfertubes wordt er door een fysicus aan de hand van een computersysteem een check-up gedaan van de doorgankelijkheid van de tube. Als die acceptabel is, kan de bestraling gestart worden. Om de veiligheid te garanderen wordt de patiënt geobserveerd via camerabeelden. Er moeten steeds een arts, fysicus en een verpleegkundig personeelslid aanwezig zijn om nodige acties uit te voeren mocht er zich een probleem voordoen.
De afterloader bestaat uit o.a.: • een loden kluis of een wolfraamkluis waarin de bronnen bewaard worden; • een sturingssysteem om de bronnen tot in de patiënt (in de applicator) en terug in de kluis te transporteren;
Hoofdstuk 5 Behandelingsmodaliteiten
• een besturingscomputer die ervoor zorgt dat het volledige behandelingsschema uitgevoerd wordt (alle bestralingsgegevens over de verschillende bronposities en de precieze tijden waarop een bron op een bepaalde positie moet blijven (zie punt 2.5.3 Dosisdebiet), worden vooraf in de besturingscomputer ingebracht); • veiligheidscircuits voor het goed functioneren van het toestel, de controle op de bronpositie.
Figuur 23 Afbeelding van een toestel dat radioactieve bronnen bevat die tot in de applicators gebracht kunnen worden. Op deze afbeelding zijn de katheters die het toestel met de applicators verbinden en de besturingscomputer niet afgebeeld. (A foto 22)

2.5.2 Techniek
2.5.2.1 Interstitieel
Bij deze methode worden de radioactieve bronnen in het te behandelen weefsel (bv. het borstweefsel of de prostaat) geïmplanteerd. Dat gebeurt onder sedatie (borst) of algemene anesthesie (prostaat). Bij huidtumoren plaats men soms onder lokale verdoving enkele fijne naaldjes.
Bij sommige toepassingen worden de bronnen niet meer verwijderd, omdat hun activiteit langzaam uitdooft zonder schade te veroorzaken aan het omliggende weefsel. Een voorbeeld hiervan is de implantatie van I125-zaadjes in de prostaat.
2.5.2.2 Intracavitair
Bij deze techniek wordt de bron via een natuurlijke opening in het lichaam (de slokdarm, de vagina, de uterus enz.) tot tegen het tumorweefsel gebracht.
Hoofdstuk 5 Behandelingsmodaliteiten
Het plaatsen van de applicator bij de vrouwelijke geslachtsorganen gebeurt onder algemene anesthesie. Voor de slokdarm gebeurt het plaatsen onder lokale verdoving op de dienst endoscopie.
2.5.2.3 Contacttherapie
Deze techniek is mogelijk bij huidtumoren. Men kan hierbij tubes bevestigen op een persoonlijk masker of men maakt gebruikt van een applicator die tot tegen de tumor geplaats kan worden. Dit wordt de Leipzigtechniek genoemd. Voor contacttherapie is er geen anesthesie nodig.
2.5.3 Dosisdebiet
Het dosisdebiet is evenredig met de activiteit van de bron en wordt uitgedrukt in Gy per uur. Het aantal kernen van een radioactieve bron dat per tijdseenheid vervalt, wordt de activiteit van de bron genoemd. De eenheid van dat verval is becquerel (Bq). De activiteit van een bron is niet constant en vermindert met de tijd. De tijdsduur om eenzelfde dosis toe te dienen met dezelfde bron zal dan ook toenemen naarmate de bron ouder wordt.
De tijd van toediening van de vereiste dosis met radioactieve bronnen kan sterk verschillen en varieert van enkele minuten (hoog dosisdebiet) tot over enkele dagen (gemiddeld dosisdebiet).
Bij een gemiddeld dosisdebiet wordt de bronsterkte zodanig gekozen dat het dosisdebiet tussen 0,2 Gy en 12 Gy per uur ligt. De patiënt moet een aantal dagen gehospitaliseerd blijven. Elk uur krijgt de patiënt een pulse van een aantal minuten bestraling. Zo is er elk uur een bestralingsvrije periode waarin de patiënt verzorgd kan worden of bezoek kan ontvangen. Dat wordt aangegeven aan de buitendeur van de kamer met behulp van een kloksysteem. De bronnen worden automatisch teruggetrokken in de kluis van de afterloader.
De behandeling kan weer voortgezet worden als de patiënt zich alleen in de kamer bevindt. Men probeert de behandeling echter niet vaker te onderbreken dan strikt noodzakelijk is.
2.5.3.2 Hoog dosisdebiet (high dose rate)
Als het dosisdebiet meer dan 12 Gy per uur bedraagt, spreekt men van een hoogdosis-debietbehandeling. Hiervoor gebruikt men een radio-isotoop met een hoge activiteit. Door het hoge dosisdebiet kan de behandeling eenmalig (bv. borstbestraling) of in verschillende keren (bv. gynaecologische bestraling of bestraling van huidtumoren) uitgevoerd worden. De behandelingstijden zijn vrij kort en de patiënt kan na de behandeling telkens het ziekenhuis verlaten.
Figuur 24 Dosisdistributie HDR

Hoofdstuk 5 Behandelingsmodaliteiten
2.6 Therapiegerelateerd symptoommanagement
De effecten van radiotherapie op de normale weefsels kunnen ingedeeld worden in (sub)acute en laattijdige reacties. Acute reacties treden op tijdens (vanaf week 2) of kort na de radiotherapie en verdwijnen enkele weken na de laatste bestraling. Laattijdige reacties verschijnen na maanden of zelfs jaren. Deze reacties zijn onomkeerbaar en nemen progressief toe. De specifieke neveneffecten van radiotherapie zijn gelokaliseerd in het bestraalde gebied. De nevenwerkingen zijn daarnaast afhankelijk van de lokalisatie en grootte van het letsel en het aantal bestralingssessies (fracties) en de dosis die de patiënt krijgt. Hoe vaker de patiënt bestraald moet worden, hoe groter de kans dat er zich nevenwerkingen ontwikkelen, denk maar aan roodheid op de huid die pas na de tweede week zichtbaar wordt.
Wat volgt is een korte bespreking van de twee meest voorkomende (sub)acute nevenwerkingen bij radiotherapie, vermoeidheid en huidtoxiciteit. Daarna worden de acute en laattijdige nevenwerkingen van enkele anatomische regio’s of indicaties toegelicht.
2.6.1 Vermoeidheid
Vermoeidheid is een algemene nevenwerking van de bestraling, de andere nevenwerkingen zijn hoofdzakelijk afhankelijk van het bestraalde gebied. Elke patiënt ervaart deze vermoeidheid op zijn eigen manier. Sommige mensen voelen zich onbehaaglijk en slecht, zeker wanneer de radiotherapie concomitant gegeven wordt met chemotherapie. Als de patiënten alleen radiotherapie (met of zonder heelkunde) ondergaan, is de vermoeidheid doorgaans minder ernstig en van voorbijgaande aard. Vermoeidheid treedt meestal op in de eerste week van de behandeling en kan aanslepen tot twee à vier weken na het einde van de behandeling.
Hoofdstuk 5 Behandelingsmodaliteiten
2.6.2 Huidreacties
Ondanks het doel om zo specifiek mogelijk te bestralen zonder omliggend weefsel te beschadigen, zal de patiënt soms te maken krijgen met huidreacties. Die reacties zijn verschillend naargelang de bestralingsregio, dosis, diepte en individuele verschillen van elke patiënt. Zo zal men geen huidreacties ondervinden bij een prostaat- of longbestraling, maar mogelijk wel bij een borstbestraling, rectumbestraling, ORL-tumor, gynaecologische bestraling, huidtumoren en oncologische ulcera.
Voor de radiotherapie start, wordt er een inschatting gemaakt van de huidreactie en speelt men daarop in. De patiënt krijgt preventief advies en wordt gedurende de bestralingsreeks opgevolgd. Als het preventief advies onvoldoende is, zal hier een ander wondzorgadvies voor worden uitgeschreven. Het wordt besproken met de patiënt en eventueel ook doorgespeeld naar de thuisverpleegkundige. De reacties worden op die manier onder controle gehouden zodat infecties vermeden kunnen worden.
Er kan binnen oncologische wondzorg een onderverdeling worden gemaakt tussen een oncologisch ulcus en een oncologische wonde. Beide hebben een classificatiemodel waarbinnen de huidreacties worden onderverdeeld. Een oncologisch ulcus ontstaat doordat er een doorbraak is van maligne cellen door de huid heen. Doordat het om een tumorale reactie gaat, zal men hierbij minder naar wondheling streven, maar naar maximaal comfort en symptoombehandeling. Een oncologische wonde is een wonde die ontstaan is door de tumorbehandeling zelf (zie tabel 1). Een aantal weken na radiotherapie verdwijnen deze huidreacties met een goede wondzorg. Er zijn een aantal aandachtspunten waarop moet worden gelet om de oncologische zorg voor de patiënt zo aangenaam mogelijk te houden. Het belangrijkste doel is streven naar een zo goed mogelijke levenskwaliteit. Daarom opteert men voor een zo eenvoudig en comfortabel mogelijke wondzorg. De wondbehandeling gebeurt volgens het TIME-management (tissue, infection/ inflammation, moisture, epithelialisation).
De patiënt kan tot ongeveer tien dagen na de uitwendige radiotherapie nog extra huidlast ervaren. Na die periode zal de huid zich zo goed mogelijk volledig herstellen. Toch kan er een bruine of donkere verkleuring van de huid zichtbaar blijven.
Na een inwendige bestraling kunnen nog tot ongeveer drie weken na de behandeling huidreacties plaatsvinden, voornamelijk bij inwendige bestraling van huidtumoren. Nadien zal de huid zich ook hier opnieuw gaan herstellen.
Hoofdstuk 5 Behandelingsmodaliteiten
Tabel 1 Conform RTOG-scoringsysteem
Graad I licht erythema, droge desquamatie
Graad II uitgesproken erythema, beperkte vochtige epidermolyse in huidplooien, matig oedeem
Graad III belangrijke, confluerende vochtige desquamatie over grotere zones, belangrijk oedeem
(Graad IV) (ulceratie, bloeding, necrosis)
2.6.3 Bestraling in het hoger abdomen
De behandeling van tumoren in de gastro-intestinale tractus is veelal chirurgisch. Aangezien deze mucosa moeilijk te bestralen is en hierdoor veel nevenwerkingen zullen ontstaan, zal men maar in enkele gevallen voor radiotherapie opteren. De slokdarm is echter wel een voorkomende indicatie voor curatieve radiotherapie. Tumoren van de galblaas, galwegen en pancreas kunnen ook wel bestraald worden, maar dat zal vooral in de palliatieve setting zijn. Ook kunnen metastasen in de lever via stereotactische radiotherapie behandeld worden.
2.6.3.1 Bestraling van de oesophagus
Acute bijwerkingen
Door de bestraling op de slokdarm zal er na week twee bestralingsgerelateerde oesophagitis ontstaan, ontsteking van de slijmvliezen. De gevolgen hiervan zijn dat de patiënt pijn zal hebben bij het slikken en een gevoel van slechte voedingspassage. Ook een droge mond (mede door de verminderde intake) en verminderde eetlust komen vaak voor bij dergelijke bestralingen. Hierdoor kan de patiënt vermageren. Belangrijk daarbij is dat de patiënt opgevolgd moet worden door de arts en de diëtist. Calorierijke voedingstips en indien noodzakelijk een PEG-sonde (percutaan endoscopische gastrostomiesonde) moeten ervoor zorgen dat de patiënt op gewicht blijft. De verpleegkundigen of technologen moeten er zich van bewust zijn dat voeding een belangrijk aspect is tijdens de behandeling, en moeten de patiënt tijdens de bestraling bevragen en tijdig doorverwijzen. Aangezien bij deze tumoren een langdurig bestralingsschema noodzakelijk is, zullen er ook aan de huid reacties ontstaan. Dat zal ook vanaf week twee gebeuren. Het is van belang om vanaf het begin van de bestraling preventieve hydraterende huidbescherming aan te raden. Ook algemene tips zoals het vermijden van een scheermes bij mannen (extra wondjes) en het niet gebruiken van parfum en dergelijke worden meegegeven. In de loop van de reeks bestralingssessies kunnen de huidreacties verergeren. De verpleegkundigen of technologen zien de patiënt elke dag en hebben dus een belangrijke rol in het bewaken van het comfort van de patiënt. Aangepaste huidzorg en wondzorg moeten worden uitgevoerd. De huidreacties zullen pas twee à drie weken na de stop van de radiotherapie verbeteren.
Hoofdstuk 5 Behandelingsmodaliteiten
In de meeste centra worden de patiënten de weken na de radiotherapie nog verder opgevolgd. Ze komen op consultatie bij de arts om eventuele verdere gewichtsafname op te sporen, aangezien voeding een belangrijke factor is in het herstelproces. Ook de huidzorg zal de eerste weken na de radiotherapie verder worden opgevolgd.
Laattijdige bijwerkingen
In zeldzame gevallen kan er een stenose in de slokdarm optreden. Dat kan leiden tot passagestoornissen waardoor voedings- en vochtintake in gedrang komen. De huid van de hals kan een permanente verkleuring vertonen. Daarnaast zijn oedeem en fibrose van de huid of het bindweefsel mogelijk. Ook vasculaire veranderingen kunnen optreden met teleangiëctastieën tot gevolg.
2.6.4 Bestraling in het lagere abdomen
2.6.4.1 Bestraling van het rectum en de anus
In tegenstelling tot dunne- en dikkedarmtumoren kunnen tumoren in het anaalkanaal wel bestraald worden. De nevenwerkingen van deze bestraling komen voort uit de aantasting van de mucosa.
Acute bijwerkingen
Acute bijwerkingen zijn vooral diarree, slijmverlies (al dan niet met inmenging van bloed), branderig gevoel en pijnlijke krampen. Voor de start van de bestraling kunnen er al enkele voedingstips gegeven worden waardoor de consistentie van de stoelgang stabiel blijft en de vochtintake gewaarborgd wordt. Indien het stoelgangspatroon veranderd, zal de diëtist aangesproken moeten worden. Laxativa of medicatie tegen diarree kan voorgeschreven worden. De blaas ligt ook dichtbij het doelvolume, waardoor er in zeldzame gevallen blaasklachten kunnen ontstaan. Bijvoorbeeld pijn bij het plassen, vaker moeten plassen, vooral ’s nachts, minder krachtige urinestraal bij de man, vaker kleine hoeveelheden per keer plassen, urgenter plasgevoel. Ook huidreacties rond de anus en liezen kunnen voorkomen. Een zitbad met kamillosan kan hier verlichting bieden. De patiënt krijgt preventief ook het advies om speciale doekjes te gebruiken als laatste reiniging nadat hij naar het toilet is geweest. Er mag ook een vochtinbrengende zalf gebruikt worden in de liezen. Indien huidreacties verergeren, zal er een aangepast protocol toegepast worden.
Laattijdige bijwerkingen
De acute bijwerkingen zullen na de bestraling geleidelijk verbeteren, maar kunnen ook overgaan in chronische klachten. Dat komt echter zelden voor. Ook verklevingen met obstructie tot gevolg zijn zeldzaam. Bijkomend kunnen er ook seksuele klachten ontstaan. Voor mannen betekent dit dat er meer kans is op erectiestoornissen en een ‘droog’ orgasme (gevoel van klaarkomen maar zonder of met een verminderde zaadlozing). Vrouwen kunnen droogheid van de vagina ervaren of vaginale stenose ontwikkelen.
Hoofdstuk 5 Behandelingsmodaliteiten
2.6.4.2 Bestraling van de blaas
Acute bijwerkingen
Soms heeft de patiënt al blaasklachten, die tijdens de bestraling in ernst kunnen toenemen. Andere bijwerkingen van een blaasbestraling zijn vooral gebaseerd op slijmvliesreacties. Zo kunnen er cystitisklachten ontstaan zoals pollakisurie, dysurie en pyurie. Die klachten kunnen verholpen worden door veel te drinken, tabak, alcohol en sterk gekruid voedsel te vermijden en regelmatig te urineren. Aangezien de darmen dicht tegen het doelvolume liggen, kunnen er ook darmklachten ontstaan, in de vorm van diarree gepaard met krampen en (bloederig) slijm in de ontlasting.
Laattijdige bijwerkingen
Het plaspatroon kan gewijzigd zijn. Dit uit zich in het frequenter moeten plassen, voornamelijk ’s nachts. Ook kan men moeite ervaren met het lang ophouden van urine. Er is een kans op het ontstaan van radiatiecystitis waardoor er makkelijker bloedingen ontstaan. Hierbij is het belangrijk dat de patiënt steeds een arts contacteert om andere oorzaken uit te sluiten.
Acute bijwerkingen
Bestraling van de uterus en cervix geven zelden aanleiding tot uitgesproken klachten. Patiënten ondervinden meer last van de nevenwerkingen aan de omliggende organen, namelijk de darmen en de blaas. Dat manifesteert zich in de vorm van diarree, buikkrampen en eventueel slijmbijmenging. De patiënt zal begeleid moeten worden door de arts en diëtist om het lichaamsgewicht stabiel te houden. Ook blaasklachten komen frequent voor in de vorm van cystitisklachten (pijnlijkere en frequentere mictie). Het vaginaslijmvlies is resistenter waardoor er zelden acute nevenwerkingen ontstaan. Bestraling van vulva en vagina daarentegen geeft dezelfde nevenwerkingen als de mucositis in het hoofdhalsgebied. In een eerste fase kan er ontsteking voorkomen met verhoogde vochtafscheiding, dikwijls gevolgd door verdroging van de vagina. Ook plasklachten en diarreeklachten zijn voorkomende nevenwerkingen van dergelijke bestraling. In de meeste gevallen zal er ook huidreactie optreden met vooral veel ongemak voor de patiënt. Correcte educatie en wondzorg is hierbij belangrijk. In enkele gevallen wordt de patiënt tijdens de behandeling opgenomen, om wond- en blaasinfecties te voorkomen. Bij brachytherapie zijn er meestal weinig klachten. Na een paar weken kan het slijmvlies van de vagina wel wat droger en soms ook stugger worden. Vrouwen die bestraald worden ter hoogte van het abdomen, het bekken of de ruggengraat lopen een verhoogd risico op ontwikkeling van acute ovariële disfunctie, zeker als beide eierstokken binnen het stralingsveld liggen. De eileiders en eierstokken zelf kunnen dus niet bestraald worden, maar kunnen toch in een bestralingsveld liggen waardoor hier ook gevolgen ontstaan. Vooral voor de patiënt is het belangrijk dat er aandacht aan geschonken wordt, in het kader van herstel van de fertiliteit. Als de bestraling op jonge leeftijd gebeurt, kan de fertiliteit zich meest-
Hoofdstuk 5 Behandelingsmodaliteiten
al herstellen. Hoe ouder de vrouw op het moment van de bestraling is, hoe groter de kans is op permanente infertiliteit. Ook de stralingsdosis en de fractionatie spelen daarbij een rol.
Laattijdige bijwerkingen
Als de vaginawand in het bestralingsgebied zat, kan er een vaginale stenose ontwikkelen. Het ontstaan van stenose kan minimaal gehouden worden door het gebruik van dilatoren. Vaginale dilatatie moet, om effect te hebben, preventief drie keer per week toegepast worden gedurende minimaal één jaar. Een eventuele laattijdige reactie van brachytherapie is het ontstaan van hematurie doordat ook de blaas een bepaalde dosis heeft ontvangen. Een ander belangrijk neveneffect van stralingsschade aan de eierstokken is het verhoogde risico op premature menopauze.
Acute bijwerkingen
Bij bestraling van het kleine bekken (in de buurt van de blaas en de prostaat van de man) bestaat het risico op tijdelijke of blijvende impotentie. Tijdelijke impotentie kan al ontstaan zijn tijdens het onderzoek dat de uroloog verrichtte om de diagnose prostaatkanker vast te stellen, maar het kan ook het gevolg zijn van spanning en emotie. Omdat ook de blaas en de darmen dicht bij de te bestralen regio liggen, kunnen ook daar nevenwerkingen ontstaan. Dat uit zich (zoals bij de bestraling in het bekken van de vrouwen) in diarree gepaard met bijmenging van bloed en/of slijm en ook plasklachten kunnen ontstaan (pollakisurie, dysurie en pyurie). De mannelijke gonaden (testes) zijn zeer stralingsgevoelige organen. De schade kan veroorzaakt worden tijdens een directe bestraling van de testes of door verstrooide straling bij de behandeling van omliggend weefsel. In dat laatste geval kan men de testes echter heel goed afschermen, veel beter dan de ovaria. Bij de man ziet men na blootstelling van de testes aan een lage dosis vaak een tijdelijke steriliteit.
Laattijdige bijwerkingen
De kans op blijvende impotentie door bestraling van het gebied rond de prostaat is ongeveer 25 % kleiner dan na het operatief weghalen van de prostaat. Factoren die meespelen zijn de leeftijd en de verwerking van het ziekteproces. Andere laattijdige bijwerkingen zijn vooral van de darmen en minder van de blaas. Ze zijn vergelijkbaar met de acute bijwerkingen, namelijk frequente ontlasting met krampen en bloed- en slijmbijmenging. Of er blijvende steriliteit zal ontstaan hangt af van de dosis en het fractionatieschema.
Hoofdstuk 5 Behandelingsmodaliteiten
2.6.5 Bestraling in het hoofd-halsgebied
2.6.5.1 Bestralingen van de schedelregio
Acute bijwerkingen
De bijwerkingen worden veroorzaakt door de primaire tumor, de metastatische letsels en/of door de gebruikte behandelingsmethode. Klachten zoals vermoeidheid, algemene malaise, concentratieverlies zijn een veelvoorkomend probleem tijdens en na de bestraling. Andere klachten zoals geheugenverlies, depressiviteit kunnen zien voordoen. Haaruitval treedt vrijwel altijd op na bestraling van een hersentumor. Alleen het haar van de bestraalde hoofdhuid valt uit. De uitval begint niet meteen en neemt meerdere weken (drie tot negen weken) in beslag. De uittredende bundel kan ook leiden tot haaruitval. Hoofdpijn, misselijkheid en braken kunnen een gevolg zijn van hersenoedeem, (vocht) door de bestraling, maar dat hoeft niet. In uitzonderlijke gevallen kan het een teken zijn van tumoractiviteit. Meestal kunnen deze bijwerkingen met pijnstillers, antimisselijkheidsmiddelen of met dexamethason behandeld worden.
Laattijdige bijwerkingen
Met name jonge kinderen zijn gevoeliger voor de late effecten van de bestraling. Bestraling wordt daarom zoveel mogelijk achterwege gelaten in de eerste levensjaren. Littekens in de hersenen worden gekenmerkt door achteruitgang van het concentratievermogen en van het kortetermijngeheugen. Dit zijn de belangrijkste laattijdige problemen die optreden bij volwassen patiënten. Hormonale stoornissen kunnen optreden na bestraling van de hypofyse. Droge ogen ziet men bij een hersentumor gelegen achter het oog. Achteruitgang van het gezichtsvermogen kan optreden als een tumor in of nabij het oog tot een hoge dosis bestraald moet worden. Vooral de ooglens is gevoelig voor bestraling.
2.6.5.2 Bestraling van de halsregio
Acute bijwerkingen
De ernst van de bijwerkingen is sterk afhankelijk van de tumorplaats, de grootte van het bestralingsveld en het fractionatieschema. De meeste klachten verdwijnen ook na de behandeling. Vermoeidheid komt hier ook voor, vaak in combinatie met de andere bijwerkingen zoals bv. gewichtsafname, huidirritatie … De huidtoxiciteit kunnen we terug weergeven aan de hand van tabel 2 (cf. RTOGscoringsysteem).
Hoofdstuk 5 Behandelingsmodaliteiten
Tabel 2 Conform RTOG-scoringsysteem
Graad I licht erythema, droge desquamatie
Graad II uitgesproken erythema, beperkte vochtige epidermolyse in huidplooien, matig oedeem
Graad III belangrijke, confluerende vochtige desquamatie over grotere zones, belangrijk oedeem
(Graad IV) (ulceratie, bloeding, necrosis)

Huidotoxiciteit kan vermeden worden door rekening te houden met deze tips: - Een vochtinbrengende zalf twee tot drie keer per dag aanbrengen vanaf de start van de RT.
Hierdoor krijgt men reductie van graad III-toxiciteit. - Zonexpositie moet zoveel mogelijk vermeden worden. - Te strakke of synthetische kledij of wrijving met schurende kledij kunnen ook het best vermeden worden. - Qua hygiëne gelden ook hier de bovenbeschreven maatregelen zoals het gebruik van milde zepen, het droogdeppen en droog houden van de huid. Er wordt tevens aangeraden om geen aftershave, deodorant met alcohol of parfum in de bestraalde regio te gebruiken. Elektrisch scheren heeft de voorkeur voor de heren. Tijdens de bestralingsperiode wordt ten stelligste afgeraden om te gaan zwemmen vanwege het uitdrogende effect van de chloor. Kleefpleisters mogen niet aangebracht worden op de bestraalde regio.
Tijdens de bestraling ontstaat vaak radiomucositis, oedeem van de stembanden/supraglottische regio. Dat uit zich in diverse stadia.
Tabel 3 RTOG-classificatie
Graad I beperkt enantheem
Graad II sterk enantheem + beperkt fibrineus beslag
Graad III uitgebreide confluerende witte plaques
(Graad IV) (bloederige mucositis, necrosis)
Hoofdstuk 5 Behandelingsmodaliteiten

Een preventieve patiënteneducatie en strikte opvolging tijdens de behandeling is essentieel. Afhankelijk van de bijwerkingen kunnen bepaalde adviezen gegeven worden zoals aangepaste voeding (zacht/vloeibaar, niet pikant) en een goede mondhygiëne. Indien nodig wordt bij de patiënt op voorschrift van de arts bepaalde medicatie opgestart (analgetica, schimmelwerende medicatie). Lasering (oncolase) wordt ook soms uitgevoerd. Dit is een pijnloze, korte behandeling die vaak twee maal per week uitgevoerd wordt en die zorgt voor onmiddellijke pijnverlichting.
Andere bijwerkingen zoals smaakverlies, heesheid, haarverlies komen vaak voor bij dergelijke bestralingen. De patiënten worden wekelijks opgevolgd door een onco-diëtiste. Calorierijke voedingstips en indien noodzakelijk een PEG-sonde (percutaan endoscopische gastrostomiesonde) moeten er ook hier voor zorgen dat de patiënt op gewicht blijft. Andere tips, zoals veel drinken tijdens maaltijd, suikervrije kauwgom eten, gevarieerd eten ... worden steeds meegegeven.
Laattijdige nevenwerkingen
Fibrose en vasculaire veranderingen van bindweefsel zijn meestal onomkeerbaar. Dat komt voor onder diverse vormen zoals: dysfagie en verslikken ten gevolge van oedeem en fibrose: slikapparaat met maagsondedependentie; persisterende xerostomia (droge mond); hypothyreoïdie (= een traagwerkende schildklier): één keer per jaar schildkliertesten; fibrose huid en spieren hals: bewegingsbeperking; osteonecrose kaakbeen; ulcera, chronische wondes.
Submentaal oedeem kan drie tot zes maanden na therapie voorkomen. Het verdwijnt meestal spontaan en heeft vaak geen specifieke behandeling nodig.
2.6.5.3 Bestraling van de slokdarm
Acute bijwerkingen
Een ontsteking van de binnenbekleding van de slokdarm (oesophagus) is de meest voorkomende bijwerking. Ze uit zich in de laatste twee weken van de behandeling tot vier weken na
Hoofdstuk 5 Behandelingsmodaliteiten
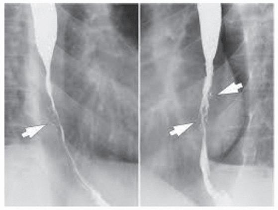
het beëindigen van de bestraling. Ze heeft een cumulatief karakter, is zelflimiterend en interfereert niet met de behandeling. Aangepaste voeding, medicatie en een antischimmelbehandeling worden opgestart.
Figuur 25 Vernauwing oesophagus

Laattijdige nevenwerkingen
Die ontstaan meer dan drie maanden na bestraling (soms tot 1 jaar) en hebben meestal een irreversibel karakter. Een chirurgische behandeling is soms aangewezen.
2.6.6.1 Bestraling van de thorax (longen)
Acute bijwerkingen
Ook hier hangen de bijwerkingen sterk af van de dosis, de gebruikte techniek, het doelvolume enz. Oesofagitis komt voor vanaf week 2. Het kan onder andere verholpen worden door prikkelende voeding te vermijden. De patiënt kan beginnen te hoesten doordat zijn luchtwegen en zijn longweefsel geïrriteerd zijn. Als de long in het bestralingsveld zat, kan er pneumonitis optreden door beschadiging van het vasculaire endotheel of directe schade aan de pneumocyten gekenmerkt door prikkelhoest, dyspneu, koorts, hypoxemie en thoracale pijn. Later evolueert het beeld naar longfibrose. De ernst is afhankelijk van patiënt- en behandelingsgerelateerde factoren zoals leeftijd, rookgewoontes en de medische voorgeschiedenis (astma, COPD, emfyseem, ILD). De longblaasjes zijn bij rokers minder voorzien van zuurstof en dat zou maken dat radiopneumonitis bij hen minder voorkomt.
Figuur 26 Radiopneumonitis

Hoofdstuk 5 Behandelingsmodaliteiten
Laattijdige nevenwerkingen
Als de long in het bestralingsveld zat, kan er pneumonitis optreden door beschadiging van het vasculaire endotheel of directe schade aan de pneumocyten gekenmerkt door prikkelhoest, dyspneu en koorts. Later evolueert het beeld naar longfibrose. Ribfracturen komen frequent (na zes maanden) voor na een stereotactische bestraling van een longletsel (en bijbehorende hoge dosis op de ribben). Dat uit zich in plots hevige pijn aan het ribrooster en het geneest spontaan na een zestal weken.
2.6.6.2 Bestraling van de borst, thoraxwand en/of axillaregio
Acute bijwerkingen
Borstbestralingen komen zeer frequent voor. De bestralingen zijn de laatste jaren ook steeds nauwkeuriger geworden waardoor er minder bijwerkingen zijn die ook steeds minder hevig zijn. De meest voorkomende bijwerking is radiodermatitis. Door middel van verscheidene vochtinbrengende zalven wordt de huid tijdens de behandelingsperiode gevoed. Hoe zwaarder de borst hoe meer kans op ernstige radiodermatitis. In huidplooien (inframammair en axilair) bestaat er een kans dat er droge en zelfs vochtige desquamatie voorkomt. Naarmate de bestralingssessies verder vorderen, kan de borst meer opzwellen en gespannen aanvoelen door opgestapeld lymfeoedeem. Na de therapie neemt dit gelijk terug af. Patiënten kunnen hun haar verliezen in het bestralingsveld (oksel en/of borstkas bij mannen). De dosis op de haarwortels bepaalt of het tijdelijk of permanent is.
De mobiliteit van de arm en schouder kan na de operatie al wat verminderd zijn en nog meer verminderen tijdens de behandeling. Als er parasternale of axilaire klieren mee bestraald worden, kan het zijn dat de patiënten lichte slikproblemen vertonen. Die zijn van voorbijgaande aard in de weken na de laatste behandeling.
Hoofdstuk 5 Behandelingsmodaliteiten
Lymfeoedeem in de arm komt frequent voor bij vrouwen bij wie de okselklieren weggehaald/ bestraald zijn. Dat kan worden tegengegaan door het dragen van een steunkous en manuele lymfedrainage bij de kinesitherapeut.
Laattijdige nevenwerkingen
Patiënten die t.h.v. de borst bestraald werden, lopen kans op een permanente verkleuring van de huid in het bestralingsveld. Om dat zoveel mogelijk te vermijden wordt er aangeraden het eerste jaar na de radiotherapie zeer voorzichtig te zijn met zonnestraling. Net onder het oppervlak van de huid kunnen er ook teleangiëctasiën voorkomen. In de maanden na de bestralingen kan de borst vervormen en verharden door fibrose van het vetweefsel. De ribben krijgen ook een bepaalde dosis waardoor er osteoporose kan optreden. Dat wordt op voorhand zoveel mogelijk tegengewerkt door een botversterker te geven. Door middel van nieuwe technieken wordt de hartdosis verlaagd waardoor er op lange termijn veel minder hartproblemen voorkomen. Het komt zelden voor dat de bestraalde patiënten last krijgen van ademhalingsproblemen door een radiatiepneumonie.
Acute bijwerkingen
Botletsels die met radiotherapie behandeld worden zijn vaker metastases dan primaire bottumoren. Doordat deze patiënten over het algemeen geen lange levensduur meer hebben, is het moeilijk om de laattijdige effecten van radiotherapie op het bot te definiëren. Zoals bij zo goed als elke andere bestraling kan de patiënt ook hier last hebben van vermoeidheid. Het is mogelijk dat de patiënten in het begin van de behandeling een opflakkering van de pijn ervaren. Dat gaat meestal snel over en de pijn is onder controle/verdwenen tegen het einde van de bestralingen.
Er kan osteopenie optreden in de eerste weken na de behandeling. Dat is het verlies van botmineralen (niet voldoende om osteoporose vast te stellen) waardoor het bot een stuk van zijn stevigheid verliest. Osteopenie is omkeerbaar, binnen de drie à vier maanden is er recalcificatie en een volledig herstel vindt plaats binnen de zes maanden na de therapie.
Laattijdige nevenwerkingen
Een andere oorzaak van botverzwakking ten gevolge van bestralingen is avasculaire necrose waarbij er een verlaagde bloedtoevoer optreedt. Kinderen die behandeld werden met radiotherapie op de botten kunnen groeiremming ondervinden. Hierbij gaan de groeischijven vroegtijdig (deels) verbenen. Dit betekent dat de botten niet verder kunnen ontwikkelen of schuin groeien. Bij een dosis > 40Gy op het bot kan het zijn dat er na enkele maanden botatrofie ontstaat.


