
6 minute read
VITA: Efficient layering for high-quality dental implant aesthetics
Efficient layering for high-quality dental implant aesthetics
Advertisement
“Beauty lies in simplicity” - the ancient Greek philosopher Plato already knew this over 2000 years ago. Many in dental technology have had this experience: A small embellishment or too much creativity can take away the natural look of a restoration. The restoration can look less like a natureinspired work of art that blends with the neighboring hard tooth substance to form a unit, but rather can appear artificial and superimposed. A ceramic veneering system should complement the simple process so that the dental technician's skills can be optimized when it comes to natural beauty. Thanks to new framework materials for the digital workflow, edentulous jaws can now be restored with all-ceramic implant prosthetics. Zirconia provides a stable and aesthetic base for veneering ceramics, which makes it easier to reproduce nature. In the following case history, Master Dental Technician Marcio Breda (Vitória, Espírito Santo, Brazil), describes how beauty can be created with ease on six implants using the highly translucent zirconia VITA YZ HT White and the universal veneering ceramic VITA LUMEX AC (both from VITA Zahnfabrik, Bad Säckingen, Germany).
CASE STUDY: A 35-year-old patient was dissatisfied with the functionality and aesthetics of the full dentures in his upper jaw. The patient complained of the insufficient suction effect, which generally made him feel insecure in public and was accompanied by rocking when biting and chewing. As a result, he avoided hard foods. The denture teeth and the base of the full denture appeared lifeless and artificial.
The patient wanted a fixed restoration on implants that would give him security and age-appropriate aesthetics. After detailed diagnostics and a consultation, he decided on six implants and a superstructure made of zirconia and veneer ceramics that could be fitted individually and match the natural teeth in his lower jaw. The base tooth shade A3 was determined for the incisors in the lower jaw using the VITA classical A1-D4 shade guide. CLINICAL STEPS AND CAD/CAM After the insertion and healing of the implants, an impression with model analogues and an opposing jaw impression provided the basis for the production of a master model and its articulation in the registered jaw relation. The model situation was then digitized in the laboratory scanner Ceramill Map 400+ (Amann Girrbach, Pforzheim, Germany). The construction was anatomically reduced, incorporating six GM Mini Conical Abutments (Neodent, Curitiba, Paraná, Brazil) with the exocad software (exocad, Darmstadt, Germany). The zirconia substructure was finally milled from the zirconia VITA YZ HT White using the Ceramill Motion 2 (Amann Girrbach, Pforzheim, Germany). The highly translucent framework structure was intended to ensure natural translucency in the area of the teeth right from the start.
INFILTRATION AND LAYERING After finishing, the dental parts of the framework were infiltrated with VITA YZ HT SHADE LIQUID A3 in order to match the base tooth shade of the lower jaw teeth. A corresponding infiltration with VITA YZ EFFECT LIQUID Pink was carried out in the gingival area for the basic reproduction of the gingiva. After drying, the framework was sintered. The washbake was done in the dental area with VITA LUMEX AC FLUO INTENSE sand in order to implement a natural fluorescence in the depths. Strong GINGIVA rosewood was used in the mucosal area for an initial reproduction. After the washbake, the dentine cores were layered with more chromatic DENTINE A3 on the canines and with DENTINE A2 on the other teeth, and then anatomical cutbacks were performed.
On the incisors, the mamelon structure was reconstructed with MAMELON saffron. The first enamel layering was done in the upper two-thirds with translucent ENAMEL clear to allow the mamelon anatomy to appear three-dimensional from the depths. After the first firing, the approximal areas were separated to eliminate tension. This
was followed by alternate layering of ENAMEL clear, ENAMEL fog and OPAL TRANSLUCENT opal-neutral. After the second firing, the cutting edge was completed with alternating layers of ENAMEL fog and TRANSLUCENT smoky-white. The gingiva was then reproduced with a balanced mixture of GINGIVA grapefruit and ENAMEL clear. After the third firing, only morphological corrections were made in the dental area with PEARL shell, which achieved a mother-ofpearl effect A mixture of ENAMEL clear and GINGIVA light-rose completed the mucosal area. After the last firing, the finishing was carried out with differently shaped, fine diamond instruments and rubber polishers. A glaze firing with VITA AKZENT PLUS GLAZE LT provided the finalization.
HIGH AESTHETICS WITH EASE As the furnace slowly opened, more and more details of the (almost) finished work became visible. Teeth and gingiva appeared as a natural unit. An anatomically preformed framework and the targeted coloring of the dental and gingival areas were the basis for the successful reproduction. After only a few layers, it was possible to achieve a highly aesthetic result. This proved to be an efficient advantage, particularly in the long span restoration. The layered ceramic simplicity had created a nofrills and believable aesthetic: optimum beauty in a very short time.
PICTURED RIGHT FROM TOP ROW (LEFT):
The stained zirconia substructure made of VITA YZ HT after sintering TOP ROW (RIGHT): The washbake with FLUO INTENSE sand and GINGIVA rosewood.
2ND ROW (L): The dentine core with DENTINE A3 on the canines and DENTINE A2 on the other teeth 2ND ROW (R): Anatomical cut-backs were done after the layering of the dentine core.
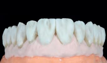
3RD ROW (L): The mamelon structure of the incisors was reconstructed with MAMELON saffron 3RD ROW (R): The first enamel layering was done in the upper two-thirds with ENAMEL clear.
4TH ROW (L):The approximal region was separated to prevent tension 4TH ROW (R): Alternating layering of the cutting edge with ENAMEL clear, fog, and OPAL TRANSLUCENT opal-neutral.
5TH ROW (L): ENAMEL fog, TRANSLUCENT smokywhite in the region of the teeth and GINGIVA grapefruit with ENAMEL clear in the gingival region 5TH ROW (R): The correction firing was done dentally with PEARL shell and gingivally with GINGIVA light-rose.
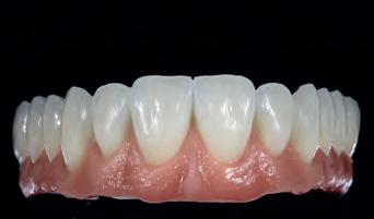
6TH ROW (L): The restoration after finishing with diamonds and rubber polishing. 6TH ROW (R): The finished, glazed implant prosthetic work looked absolutely natural.
7TH ROW (L): With efficient layering, a highly aesthetic result was achieved 7TH ROW (R): Gingiva and teeth had merged into a nature-identical unit.























