
5 minute read
Oral and Maxillofacial Pathology Case of the Month Diagnosis and Management
ORALand maxillofacial pathology diagnosis and management—from page 117
Langerhans Cell Histiocytosis Discussion
Langerhans cell histiocytosis (LCH) was previously known as “histiocytosis X”, because of a poor understanding of its etiology.1,2 It is now known to be a reticuloendothelial system disorder manifesting as a clonal disease of myeloid dendritic cells.3 Although LCH has been diagnosed in all age groups, the disease predominantly affects children in the age range of 1 to 4 years.3 The relative rarity of LCH increases the risk of underdiagnosis and misdiagnosis, and therefore underscores the need for a high index of suspicion for osteolytic bone lesions presenting with no apparent etiology.4 Historically, LCH was characterized by 3 clinical variants: Letterer-Siwe, affecting mainly infants, presents as an acute disseminated disease involving multiple organ systems; Hand-SchullerChristian disease, which also may involve the skeletal and extraskeletal tissues; and eosinophilic granuloma, which presents as a chronic, localized form of LCH typically involving the skeleton, but occasionally also extraskeletal tissues in adults.4 A congenital and syndromic form of LCH, called Hashimoto–Pritzker syndrome, is also recognized, and patients present with deep subcutaneous skin lesions.4 A recent revision of the classification of histiocytosis by the Histiocyte Society, classifies LCH as “single system”-, “lung”- and “multisystem” based on site and organ (liver, spleen, bone marrow) dysfunction.4,5 In single system LCH, the skin is most commonly affected, followed by the lymph nodes and lungs.6 When the skeleton is affected, the skull, long bones, pelvis, ribs, vertebra, and posterior mandible are the most common sites.4,7 Clinical presentations of oral cavity LCH are hardly straight forward resulting in significant challenges when attempting to establish a differential diagnosis. Common sites are the jaw bones as well as the gingiva and periodontium. In these locations, the clinical features often mimic a constellation of more common entities related to periodontal diseases, such as gingival epulides, granulomatous or ulcerative lesions, or malignancies.8,9 Furthermore, early intraoral lesions confined to the maxillofacial skeleton are not always apparent during oral examination and are only discovered fortuitously on radiographs, where they present as radiolucent osteolytic processes. Such instances generate additional considerations in the differential diagnosis, including odontogenic lesions, as in the present case, thereby necessitating a biopsy to determine the histopathologic diagnosis of the lesion. Radiographically, LCH of the jaw presents as
ORALand maxillofacial pathology, continued
a punched out radiolucency with ill-defined borders, often accompanied by severe alveolar bone resorption leading to the typical tooth/teeth “floating in space” as in the present case.2
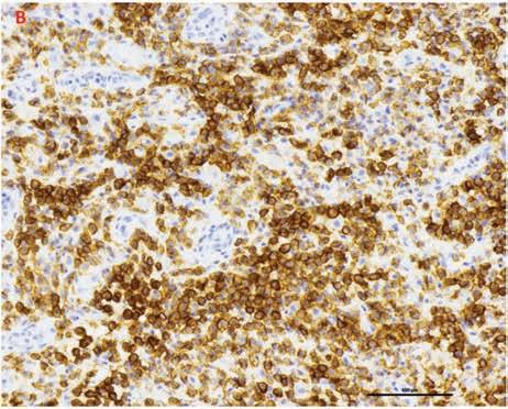
The classic histopathologic features of LCH include the identification of numerous histiocytes exhibiting coffee bean-shaped (lobulated) nuclei and inconspicuous nucleoli with eosinophilic cytoplasm.10 These are interspersed with variable numbers of aggregated and degranulating eosinophils throughout the sections, in additions to neutrophils, plasma cells, lymphocytes, and sometimes, multinucleated giant cells.10 Diagnosis is usually confirmed with immunostains for CD1a, S100, CD207 (langerin), and CD163 positivity in the Langerhans cell population.11,12 Further evaluation by electron microscopy, demonstrates the presence of Birbeck granules, which are tennis racket shaped organelles, within the cytoplasm of the histiocytes. The recently discovered CD207 (langerin) serves as a surrogate marker for Birbeck granules.8 These immunophenotypic characteristics of LCH were confirmed in the present case (Figure 3).
Figure 3. Immunohistochemistry stains show diffuse immunopositivity for CD163 (A; mag. x200), and (B; mag. X200) CD207 (langerin) in Langerhans cells.

The mainstay of treatment for localized oral LCH is surgery. In certain instances, surgery is augmented with steroid injections.4 In cases of recurrence, or extensive lesions, patients may be treated with radiotherapy, singly or in combination with surgery.4 However, in the case of extensive disease with organ dysfunction, or in classic systemic LCH, chemotherapy significantly improves outcome.4,5 Relatively new treatment includes the administration of monoclonal CD1a antibody in combination with any of the above traditional therapies.13 The prognosis of localized LCH is good. Overall prognosis however, is dependent on the age of patient, number of sites involved, whether or not disease is multisystemic, and whether or not disease has already resulted in organ/system dysfunction. Prognosis is generally poor in patients younger than 2 years of age, those with multiple sites or multiorgan involvement, and those with organ dysfunction at the time of diagnosis.5
1. Gorsky M, Silverman S Jr., Lozada F, Kushner J. 1983. Histiocytosis X: Occurrence and oral involvement in six adolescent and adult patients. Oral Surg Oral Med Oral Pathol. 55(1):24-28. 2. Altay MA, Sindel A, Özalp Ö, Kocabalkan B, Özbudak İH, Erdem R, Salim O, Baur DA. 2017. Langerhans cell histiocytosis: A diagnostic challenge in the oral cavity. Case Rep Pathol 2017:1–6. 3. Lian C, Lu Y, Shen S. Langerhans cell histiocytosis in adults: a case report and review of the literature. 2016. Oncotarget. 5;7(14):18678-18683. 4. Cherian LM, Sasikumar D, Sathyan P, Varghese BE. 2021. Langerhans cell histiocytosis: A diagnostic enigma in the oral cavity. J Oral Maxillofac Pathol. 25(Suppl 1):S27-S31. 5. Rao DG, Trivedi MV, Havale R, Shrutha SP. 2017. A rare and unusual case report of Langerhans cell histiocytosis. J Oral Maxillofac Pathol. 21:140–144. 6. Hicks J, Flaitz CM. 2005. Langerhans cell histiocytosis: Current insights in a molecular age with emphasis on clinical oral and maxillofacial pathology practice. Oral Surg Oral Med Oral Pathol Oral Radiol Endodontology. 100(2):S42–66. 7. Bedran NR, Carlos R, de
Andrade BAB, Bueno APS, Romañach MJ, Milito CB. 2018. Clinicopathological and Immunohistochemical study of head and neck langerhans cell histiocytosis from Latin America. Head Neck Pathol. 12:431–439. 8. Morimoto A, Oh Y, Shioda Y, Kudo K, Imamura T. 2014. Recent advances in Langerhans cell histiocytosis. Pediatr Int. 56(4):451-461. 9. Aricò M, Girschikofsky
M, Généreau T, Klersy C, McClain K, Grois N, Emile JF, Lukina E, De Juli E, Danesino C. 2003. Langerhans cell histiocytosis in adults. Report from the International Registry of the Histiocyte Society. Eur J Cancer. 39(16):2341-2348. 10. Felstead AM, Main BG, Thomas SJ, Hughes CW. 2013. Recurrent Langerhans cell histiocytosis of the mandible. Br J Oral Maxillofac Surg. 51(3):264-265 11. Sahm F, Capper D, Preusser M, Meyer J, Stenzinger A, Lasitschka F, et al. 2012. BRAFV600E mutant protein is expressed in cells of variable maturation in Langerhans cell histiocytosis. Blood. 120:e28–34. 12. Grana N. Langerhans cell histiocytosis. 2014. Cancer Control. 21:328–334. 13. Ramos-Gutierrez E, AlejoGonzalez F, Ruiz-Rodriguez S, Garrocho-Rangel J, PozosGuillen A. 2016. Langerhans cell histiocytosis: Current concepts in dentistry and case report. J Clin Exp Dent. 8:e102–108.
