
8 minute read
Diagnóstico Clínico Aplicado
Diagnóstico Clínico Aplicado
UN PACIENTE CON... Dolor en lóbulo tiroideo: tiroiditis subaguda de De Quervain
Advertisement
María Belén Guzmán Garcíaa, José Manuel Morales Canob aResidente de 4º año de Medicina Familiar y Comunitaria. Centro de Salud Ciudad Real 2. Ciudad Real. (España). bEspecialista en Medicina Familiar y Comunitaria. Tutor de Residentes. Centro de Salud Ciudad Real 2. Ciudad Real. (España).
Revista Clínica de Medicina de Familia - versión On-line ISSN 2386-8201versión impresa ISSN 1699-695X Rev Clin Med Fam vol.14 no.1 Barcelona feb. 2021 Epub 22-Mar-2021
Correspondencia: María Belén Guzmán García. Centro de Salud Ciudad Real 2. C/ Palma, 11. 13004 Ciudad Real. (España). Correo electrónico: mbelen.guzman@gmail.com
Diputació, 320, Barcelona, Cataluña, ES, 08009, 93 317 03 33 - revclinmedfam@semfyc.es
Resumen
Presentamos un caso de tiroiditis subaguda en un hombre de 51 años que comienza con sintomatología inespecífica de febrícula e intensa astenia de días de evolución. De profesión veterinario, la primera sospecha es de picadura de garrapata, y se solicita en primera instancia una analítica completa con serología y una radiografía de tórax. A los 4 días ya disponemos del resultado de las pruebas solicitadas, y llaman nuestra atención unos valores de reactantes de fase aguda elevados, así como una hormona estimulante de la tiroides (TSH) suprimida con valor de T4 libre de 2,56 ng/dL. En ese mismo momento, ante la sospecha de un
cuadro de tiroiditis subaguda, realizamos una ecografía tiroidea y obtenemos imágenes compatibles con nuestra sospecha. Comenzamos tratamiento con antinflamatorios no esteroideos, continuando con corticoides y controles ecográficos periódicos en nuestra consulta, hasta resolución del cuadro clínico.
La tiroiditis de De Quervain es una patología que, dada la clínica inespecífica con la que puede presentarse y su resolución espontánea, es posible que pase desapercibida en nuestras consultas de Atención Primaria. la mandíbula o la garganta, relacionado con la distensión de la cápsula glandular1. La evolución de este proceso es generalmente hacia la remisión espontánea en unos 4 a 6 meses, presentando en su evolución más típica cuatro fases características2:
• Fase aguda: caracterizada por la presencia de dolor tiroideo y tirotoxicosis, con una duración aproximada de 3-6 semanas.
• Período asintomático transitorio eutiroideo.
Palabras clave: Hipertiroidismo; Dolor de Cuello; Tiroiditis de De Quervain; Ti-
roiditis Subaguda
Abstract: Pain in the thyroid lobule: subacute (de De Quervain’s) Thyroiditis
• Hipotiroidismo: puede ocurrir después de varias semanas y llegar a durar varios meses.
• Fase final de recuperación: en el que las pruebas funcionales tiroideas se normalizan.
We report a case of subacute thyroiditis in a 51-year-old man who began to present non-specific symptoms of low grade fever and intense asthenia of a few days clinical course. A vet by profession, the initial suspicion was tick bite. Full analysis with serology and chest x-ray was initially requested. After four days we received the results of the tests requested. Some high acute phase reactant values and a depressed TSH with a free T4 value of 2.56 ng/dl were notable. At this same time, given the suspicion of symptoms of subacute thyroiditis, we performed thyroid ultrasound and obtained images compatible with our suspicions. We commenced treatment with NSAIDs and continued corticosteroids and periodic ultrasound controls in our consultation, until the clinical picture resolved.
De Quervain thyroiditis is a pathology which - given the non-specific clinical symptoms it can begin with and their spontaneous resolution - may go unnoticed in our primary care consultations.
Keywords: De Quervain Thyroiditis; Hyperthyroidism; Neck Pain; Subacute
Thyroiditis; Thyroiditis
Introducción
La tiroiditis subaguda, también conocida como de De Quervain o granulomatosa, se define como una inflamación de la glándula tiroidea secundaria, probablemente, causada por una infección viral. Es una entidad relativamente frecuente (5%) y constituye la causa más común de tiroides doloroso. Es más habitual en mujeres de 3050 años y suele aparecer en verano. Inicialmente, suele existir un síndrome prodrómico viral de vías respiratorias altas que incluye mialgias, febrícula, astenia, sensación de cuerpo extraño en la garganta y, con frecuencia, dolor en la zona tiroidea, que se puede irradiar a los oídos, Es una enfermedad que generalmente no suele recidivar, aunque algunos autores han publicado en series de casos que la recidiva se puede presentar en un 5%3.
Caso Clínico
Hombre de 51 años sin antecedentes de interés, que acude a nuestra consulta de Atención Primaria por un cuadro de febrícula intermitente y astenia de 1 semana de evolución. En la primera consulta, la exploración física es normal. De profesión veterinario, nuestra primera sospecha es que se trate de una picadura de garrapata, ya que asocia comenzar el cuadro clínico tras estar en contacto con un perro no desparasitado. Decidimos hacer una analítica sanguínea con serología y una radiografía de tórax. Pasados 4 días, el paciente acude para ver los resultados. Respecto a la clínica nos comenta que sigue con el mismo cuadro, asociando además dolor en la región lateral derecha del cuello, que comprobamos en la exploración.
Procedemos a revisar las pruebas complementarias. La radiografía es normal, y en la analítica destaca una elevación de la velocidad de sedimentación globular (VSG) y un hipertiroidismo con TSH abolida (< 0,01 mUI/L). Ante la sospecha de una tiroiditis subaguda, decidimos hacer una ecografía del cuello en ese momento.
El tiroides normal al ultrasonido tiene la forma de una letra H (para otros como una mariposa), con lóbulos derecho e izquierdo de contornos lisos, generalmente de 15-20 mm en corte transversal y de 30-60 mm en corte longitudinal4.
La característica más llamativa de esta prueba de imagen
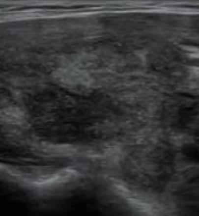
que orienta a nuestro diagnóstico fue el aumento del tamaño de la glándula tiroides, con focos hipoecoicos dentro del parénquima normal (aspecto seudonodular con bordes mal definidos) y una disminución de la vascularización eco-Doppler (figuras 1 y 2).
El diagnóstico diferencial5 de la tiroiditis subaguda puede plantearse con procesos infecciosos, sobre todo víricos, de vías respiratorias altas y faríngeos, y con las tiroidopatías que cursan con hipertiroidismo con ecogenicidad ecográfica disminuida, como es la enfermedad de Graves-Basedow, donde observamos un patrón hipervascular en la ecografía; la tiroiditis supurativa aguda, que son tiroiditis poco frecuentes, causadas por bacterias (Staphylococcus/ Streptococcus), donde la ecografía nos viene muy bien para descartar abscesos, así como otras tiroiditis con baja ecogenicidad y otros hallazgos como nódulos tiroideos malignos. A veces para su diagnóstico definitivo se debe hacer una biopsia tiroidea.
Para tratar a este paciente, comenzamos con antinflamatorios no esteroideos, pero, dado que no refería mejoría clínica, continuamos con corticoides orales en pauta descendente, y observamos que los síntomas remiten a las pocas semanas. Citamos al paciente en varias revisiones, con control clínico, analítico y ecográfico, y observamos una regresión a los valores de la normalidad en las diferentes pruebas.
Discusión
La tiroiditis de De Quervain, también llamada tiroiditis subaguda o tiroiditis de células gigantes, con frecuencia es precedida por un cuadro infeccioso del tracto respiratorio superior. Su diagnóstico es eminentemente clínico, y gracias a la ecografía6, una herramienta accesible en nuestras consultas de Atención Primaria, disponemos de una ayuda fundamental para disminuir nuestra incertidumbre clínica y orientarnos con más seguridad en nuestro diagnóstico, además de permitirnos excluir otras patologías, como las previamente mencionadas. Por todo ello, son pocos los casos que precisan la confirmación diagnóstica mediante la citología por aspiración con aguja fina de tiroides7.
El tratamiento inicial consiste en la administración de antinflamatorios no esteroideos para disminuir el dolor tiroideo y el malestar general. En ocasiones, es necesario administrar corticoides orales, aunque es importante no hacerlo inicialmente si el paciente no presenta una sintomatología muy intensa, ya que se han observado casos de aparición de tiroiditis autoinmunes con más frecuencia en las tiroiditis subagudas que fueron tratadas con corticoides orales, que en las que solo fueron tratadas con antinflamatorios no esteroideos. Los betabloqueadores son necesarios cuando los síntomas de hipertiroidismo son muy intensos. No existe evidencia del beneficio del tratamiento con antitiroideos, ya que el mecanismo de esta enfermedad guarda más relación con la liberación de
Figura 1. Corte transversal del lóbulo tiroideo derecho. Se observan zonas hipoecogénicas con bordes mal definidos. Figura 2. Corte transversal del lóbulo tiroideo derecho. Se aprecia un aumento de tamaño de dicho lóbulo. Medida antero-posterior: 3,18 cm (valor normal 1-2 cm).


la prehormona tiroidea que con la síntesis de nuevas T3 y T4. Hay algunos casos publicados de la aparición de hipotiroidismo tardío en aquellas tiroiditis subagudas en las que se administraron antitiroideos como tratamiento de base.
Con este caso clínico queremos destacar que la tiroiditis de De Quervain es una patología que, dada la clínica inespecífica que presenta y su resolución espontánea, es posible que pase desapercibida en nuestras consultas de Atención Primaria, pues podemos no pensar en ella como primer diagnóstico. Por eso, es importante tenerla en cuenta en aquellos pacientes que acuden reiteradamente a nuestra consulta por síntomas como odinofagia, malestar general, astenia, febrícula o palpación de un nódulo tiroideo doloroso, debiendo solicitar ante la sospecha una analítica con VSG y hormonas tiroideas, y hacer una ecografía tiroidea, si es posible, y citar al paciente para futuras revisiones, con el objetivo de ir observando su evolución.
4. Lobo M. Ecografía de tiroides. Rev Med Clín Condes. 2018;29(4):440-9.
5. Ruiz Hernández I, Cano Soler A, Méndez Alonso AY, García Guell A. Tiroiditis de Quervain. Informe de caso. Rev Med Electron. 2013;35(4):400-2.
6. Pan F, Wang W, Wang Y, Xu M, Liang J, Zheng Y, et al. Sonographic features of thyroid nodules that may help distinguish clinically atypical subacute thyroiditis from thyroid malignancy. J Ultrasound Med. 2015;34(4):689-96.
7. Sandrone SS, Bürgesser MV, Calafat P, De Diller AB. Punciónaspiración con aguja fina tiroidea y su correlación diagnóstica con las piezas quirúrgicas. Siete años de experiencia en Córdoba, Argentina. Rev Esp Patol. 2008;41(3):195-202.
Recebido: 27 de Janeiro de 2020; Aceito: 19 de Maio de 2020.
Este es un artículo publicado en acceso abierto bajo una licencia
Agradecimientos: Se obtuvo el consentimiento del paciente para la publicación de este artículo.
REFERENCIAS BIBLIOGRÁFICAS
1. García de Francisco A, Prieto Zancudo C. Tiroiditis subaguda: revisión a partir de un caso clínico. Medifam. 2001;11(5):87-94. 2. Tiroiditis [Internet]. American Thyroid Association. 2020 [citado 20 de mayo de 2020]. Disponible en: http://www.thyroid.org.
3. Iitaka M, Momotani N, Ishii J, Ito K. Incidence of subacute thyroiditis recurrence after a prolonged latency: 24-year survey. J Clin Endocrinol Metab. 1996;81(2):466-9.
Creative Commons.







