
7 minute read
PROBLEMAS CAUSADOS PELA MÁ HIGIENIZAÇÃO BUCAL
Olá Pessoal do Grupo Mulher Brazil! Desde abril deste ano, estamos conversando sobre a importância de realizar uma boa higienização bucal para todos os tipos de pacientes como adultos, crianças, bebês, pacientes portadores de próteses móveis e fixas e como usar os instrumentos para auxiliar e facilitar a higiene bucal.
Mas tenho como obrigação falar também sobre os problemas que a má higiene pode causar em sua vida. Infelizmente a má escovação pode causar ou agravar doenças em outras partes do corpo, comprometendo além da saúde bucal a saúde física como um todo. Por ser um assunto muito extenso, dividirei em duas partes:
Advertisement
Parte 1 - Doenças como: Cáries, Gengivite, Periodontite, Aftas, Candidíase e o Mau hálito. Parte 2 - Doenças como: Endocardite Bacteriana, Pneumonia, Artrite Reumática, Parto Prematuro, Impotência Sexual e Diabetes.
A falta de higiene bucal acontece quando deixamos de lado a escovação e o uso do fio dental, hábitos que devem ser realizados diariamente após as refeições, antes de dormir e ao acordar.
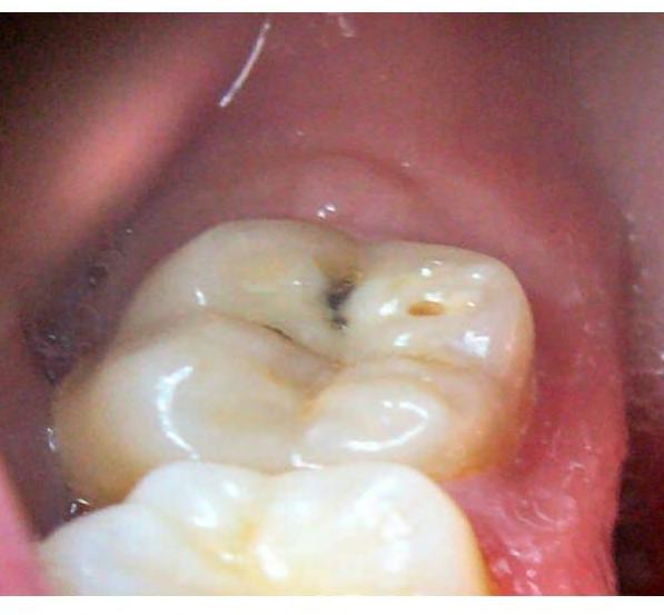
Cáries - Lesão que se inicia na parte externa do dente que, pelo acúmulo de placa bacteriana, sendo uma película viscosa e incolor, formada de açúcares, restos de alimentos e bactérias, conseguem destruir o Esmalte do dente, uma estrutura dura e mineralizada. Após destruir o esmalte dentário, a cárie começa a se infiltrar para a parte interna do dente. A cárie se forma através da reação da placa bacteriana com açúcares dos alimentos que consumimos, produzindo ácidos que atacam o esmalte dentário e deixando os dentes vulneráveis, permitindo que a cárie se desenvolva ainda mais. Caso a cárie não seja tratada e detectada com antecedência, ela poderá evoluir e causar diversos problemas mais graves como: infecções , contaminações, morte da polpa do dente e até a extração dentária.

Gengivite - Trata-se de uma inflamação gengival, também causada por acúmulo de placa bacteriana na superfície dental próximo a margem gengival e se não forem removidas, transformam-se em tártaro. No caso da gengivite, as toxinas das placas bacterianas causam sinais como vermelhidão, aumento da sensibilidade (dor) e até sangramento durante a escovação e podendo evoluir para uma Periodontite.

Periodontite - Infelizmente quando nos referimos a uma Periodontite, significa uma grave doença que afeta desde a gengiva, ligamentos dentários e até o osso alveolar, estrutura óssea que suporta e envolve o dente. Com a presença do tártaro, a gengiva apresenta sangramentos, inchaços, mal hálito persistente, dores na mastigação, e dependendo do grau de absorção óssea e a mobilidade dentária já é detectada. A periodontite pode ou não apresentar sintomas, o que é mais uma razão para que o paciente mantenha consultas regulares com seu dentista. Importante: com um tratamento adequado, é possível evitar danos mais graves. Por outro lado, se o problema não for detectado e tratado corretamente, a doença pode evoluir para a Periodontite Avançada e resultar inclusive, na extração dos dentes afetados, como foi citado anteriormente.


Afta - São ferimentos que aparecem na mucosa da boca como: lábios, língua, parte interna das bochechas e garganta , com a coloração branca e avermelhada, que costumam causar dor e muito desconforto. Apesar de não existir uma causa específica para o aparecimento de aftas, a má higiene bucal é considerada como um dos fatores que mais contribuem para o seu surgimento. De maneira geral, as aftas não precisam de tratamento e desaparecem em até duas semanas.
Candidíase - A Candidíase Oral, que é conhecida popularmente como “sapinho”, é uma infecção causada pelo acúmulo do fungo Candida albicans. Ela possui a forma Aguda e Crônica. Fase Aguda: 1- Pseudomembranosa: É a forma mais comum de candidíase oral. É caracterizada por placas ou nódulos branco-amarelados de consistência mole à gelatinosa. 2- Eritematosa: Pode ocorrer independentemente ou juntamente com a forma Pseudomembranosa. Em ambos os casos, o paciente relata sensibilidade intensa devido às numerosas erosões (lesões).
Fase Crônica:
Atrófica - Ocorrem em pacientes que usam próteses totais superiores. Nesse tipo de lesão, é comum que o palato (“céu da boca”) encontre-se hiperemiado (avermelhado e com sensações de ardência) e dolorido.
Mau Hálito - O mau hálito é o cheiro desagradável que a pessoa exala pela boca. A halitose não é uma doença ou uma anomalia, mas um indício de que algo não está correto no organismo. Temos algumas principais causas que promovem o mau hálito:


1. Saburra (Placa bacteriana depositada sobre a língua);
2. Cárie; 3. Periodontite; 4. Gengivite;
5. Cásseos (placas bacterianas depositadas nas amígdalas); 6. Xerostomia (“boca seca”).

Portanto, a falta de higiene bucal ajuda na proliferação de bactérias, que, com o passar do tempo, começam a emitir o odor tão característico. Por isso , é tão importante não deixar nenhum resquício de sujeira para trás e se lembrar de escovar a língua, mas também escovar cada parte de nossos dentes, gengiva e consequentemente usar o fio dental para limpar entre os dentes. E o nosso bate-papo não termina por aqui. Na próxima edição vamos conversar sobre quais são as doença e suas complicações se caso as bactérias presentes em uma boca sem a devida higienização poderá causar em nosso organismo. Portanto, nunca deixem de visitar regularmente o seu dentista ! Um super beijo!
A importância de conhecer nossos filhos
Morar em uma mesma casa não garante conhecer o outro. Para conhecer é preciso contato, troca, diálogo, tempo juntos, desenvolver a escuta, a percepção pelo olhar dele e não pelo seu, isso ajuda muito no conhecimento dos nossos filhos. Esta percepção envolve a conexão, que leva ao conhecimento deles.


A conexão é o parar, o olhar nos olhos a fundo, o olhar além do seu comportamento, entendendo seus sentimentos e a sua forma de agir, o que está impulsionando o seu comportamento, para então conduzir as intervenções necessárias. Se você quer uma conexão com seu filho, vocês dois precisam estar presentes. Estar presente na relação, sentindo e agindo depende sobretudo de você! Não espere por ele, mostre o seu interesse, envolva-o e você vai descobrir o quanto esta conexão é importante. Mas sempre lembrando de ocupar sua posição de pai e mãe, pois a criança e o adolescente sempre pedem limites. Limite é segurança, é amor.
Quando a conexão vai ficando em segundo plano, o conhecer também vai ficando.
Você realmente conhece o seu filho? Está presente no seu dia a dia, conhece os seus amigos, sabe o que aconteceu em seu dia, sabe do que ele gosta de fazer e do que não gosta, conhece seus pontos fortes, seus medos, suas limitações, sabe o que você precisa estimulálo, sabe como ele usa o seu tempo, sabe do tempo que ele precisa para fazer qualquer coisa, conhece o jeito que ele percebe, dá e recebe o amor?
Nossos filhos estão crescendo, precisamos conhecê-los para estimular o que precisam
e para saber como fazer. Conhecendo é que aprendemos a valorizar suas qualidades, elogiar suas conquistas, respeitar seus limites, alimentar o que lhes falta para que cresçam não apenas fisicamente, mas emocionalmente também e possam extrair o melhor de si e das pessoas que estão a sua volta também.
Nossos filhos estão formando o seu perfil comportamental, suas crenças de identidade, capacidade e merecimento, estão passando por fases de desenvolvimento que precisamos conhecer para saber como trabalhar, precisamos estar atentos, por exemplo, para não puxar para baixo o filho mais velho, atrasando o seu desenvolvimento, e nem puxar para cima o mais novo acelerando o seu desenvolvimento, e tão pouco espremer o filho do meio, entre o mais velho e o mais novo. É preciso um equilíbrio entre o desenvolvimento intelectual e o emocional e isso envolve a conexão, que é um exercício diário de percepção, que leva ao conhecimento e ajuda na escolha das melhores estratégias de ação.
Cada filho precisa ocupar o seu lugar na família, sem comparações, sentindo-se único, importante e pertencente. Curta e aprenda cada fase do seu desenvolvimento, fortalecendo seu filho e tornando cada fase um degrau forte que sustente as outras fases que estão por vir. Por isso, um passo de cada vez, curta cada um, pois passa muito rápido!
Lembre-se, a conexão te dá pistas do que você precisa trabalhar, esteja sempre atento para saber onde e como intervir se necessário, e isso envolve conhecimento, paciência, persistência e muito amor.

Fabiana Muller
Psicóloga e Coach Trabalha com orientação aos pais e com inteligência emocional com crianças @fabianacgm @integrarehdc

Todo mundo pode fazer uma revista. Mas como estas daqui, somente a MulherBrazil faz!


772-360-7117 407-747-4056
Acesse o site









