
7 minute read
Japanese
Racerepræsentant: Jeanne Tribler tlf. 4230 0357 - jeatri@gmail.com Suppl.: Mette Mortensen tlf. 2066 4262 mette@japanell.dk
Mitralklap insufficiens (MVD) hos Japanese chin
Advertisement
Af dr. A.G. Schemel MRCVS Oversat af Mette Mortensen Mitralklap insufficiens (Mitral Valve Disease - MVD), tidligere kendt som endokardiose, er en nedbrydende sygdom, der påvirker hjerteklapperne hos midaldrende til ældre hunde. Den rammer hovedsageligt mindre racer og er den mest almindelige årsag til hjertesvigt. MVD er en tilstand, som udvikler sig med alderen. Visse racer, især cavalier king charles spaniels, har en væsentlig højere risiko for at udvikle sygdommen tidligere i livet og ofte også med en hurtigere udvikling af sygdommen. Status for Japanese Chin er uklar. Der er noget, der tyder på, at i nogle linjer begynder MVD tidligere svarende til det, der ses hos cavalier. Andre udvikler tilstanden sent i livet som andre små racer. Billedet er ikke entydigt, men det er vigtigt at vide, hvor vi står, både når det gælder avlshunde og familiehunde. MVD påvirker ikke kun livskvaliteten, men vil ofte udvikle sig til hjertesvigt (CHF) og resultere i for tidlig død/aflivning. Derfor er det vigtigt at forstå sygdommens mønster, symptomer, den diagnostiske tilgang, hvordan sygdommen påvirker hundens livskvalitet samt den langsigtede prognose.
Anatomi og fysiologi
Mitralklappen består af bladformede flader eller ”flapper”, der minder om husholdningsfilm (tynde og skinnende), og dens funktion er at kontrollere blodgennemstrømningen mellem venstre forkammer (atrium) og venstre hjertekammer (ventrikel). Når blodet skubbes ud i pulsåren for at forsyne kroppen med iltet blod, lukkes klappen for at forhindre blodet i at strømme tilbage. Når hjertet igen fyldes med iltet blod fra lungerne, er klappen åben. Denne cyklus gentages ved hvert hjerteslag. Om MVD

(Et normalt hjerte med mitralklappen til højre.

Forstørret hjerte med MVD. Læg mærke til den fortykkede mitralklap og det forstørrede forkammer.
Hjerteklap insufficiens er kendetegnet ved en fortykning af mitralklappens flige. Groft sagt er fladerne unormalt tykke og har som regel et knudret udseende. Ofte, og især i fremskredne tilfælde, påvirkes klappernes forankringsstruktur også og svækkes. På trods af intensivt forskningsarbejde i de senere år er den nøjagtige årsag til MVD stadig ukendt. Der er dog meget, der tyder på, at grundlaget er genetisk.
Konsekvenser af MVD
Fortykningen og forvrængningen af mitralklappens flader forhindrer normal tætning af klappen, og konsekvensen er utæthed. Samtidig kan overstrækning og undertiden brud på strengene, der holder klappen på plads, forårsage fremfald af mitralklappen, hvilket bidrager til dens utæthed. Som en direkte konsekvens skubbes en del af blodet bagud i venstre forkammer, hvilket forårsager en overbelastning med potentiel ophobning i lungerne. Derfor bliver venstre side forstørret og forårsager forstørret hjerte (kardiomegali). Hunde med milde tegn viser ofte ikke symptomer på hjertesygdom, og nogle udvikler aldrig decideret hjertesvigt. I fremskredne tilfælde af MVD øger overbelastningen trykket på venstre forkammer, hvilket fører til væske i lungerne og hjertesvigt (CHF).
Tegn på hjertesvigt
Hvis tilstanden er fremskreden, viser de fleste hunde symptomer på hjertesvigt. Et tegn er åndenød på grund af væske i lungerne. Åndenøden viser sig måske først, når hunden løber eller går op ad trapper. Efterhånden som hjertesvigt udvikler sig, bliver hunden stakåndet ved selv lille aktivitet. Træningsintolerance er et meget vigtigt tidligt tegn på hjertesygdom og skal overvåges nøje. En stigning i vejrtrækningshastigheden kombineret med en ofte kun lille tilbageholdenhed med at gå ture - eller generel træghed - er klare tegn på hjertesygdom. Nogle hunde med hjertesygdom udvikler en høj, tør hoste. Imidlertid er hoste ikke en ret nøjagtig indikator for hjertesygdom, især ikke hos racer som Japanese Chin, hvor problemer med øvre luftveje, herunder kollaps af luftrøret, kan forårsage hoste, der ikke er hjerterelateret. Alle hunde med MVD udvikler en hjertemislyd, og dens styrke er direkte forbundet med, hvor alvorlig tilstanden er. Mislyden klassificeres fra den mildeste knapt hørbare mislyd (grad 1) til en kraftig mislyd (grad 6), som kan høres selv uden et stetoskop. Mislydens udvikling er et vigtigt klinisk redskab for dyrlægen til at vurdere sygdommens tilstand. Normalt forventer man ikke kliniske symptomer ved en lav grad af mislyd (grad 1-2). Nylige undersøgelser har vist, at hunde med moderat mislyd (grad 3) kan have fremskreden MVD uden at vise kliniske symptomer. For disse hunde er tidlig behandling en klar fordel.
Diagnose af MVD
En grundig klinisk undersøgelse er vigtig i vurderingen af hjertesygdom. Lytning med stetoskop gør det muligt at vurdere mislyden og kan i mindre omfang afsløre væske i lungerne i de mere fremskredne tilfælde. I de fleste tilfælde er fordelene ved elektrokar-

Ultralydsbillede af hjerte af normal størrelse og med tynd mitralklap.
diogram (EKG) begrænsede, da hjerterytmeforstyrrelser er sjældne ved denne tilstand, og forstørrelse af hjertet vurderes mere præcist ved ekkokardiografi (ultralyd). Ultralyd har revolutioneret diagnosticeringen af MVD og er det mest hensigtsmæssige i de fleste tilfælde. Dette er en ikke-invasiv procedure, bedøvelse af hunden er normalt unødvendigt, og resultatet fås med det samme. Historisk er røntgenstråler blevet brugt til at vurdere forstørrelse af hjertet, men de kan kun bruges til vurdering af hjertets yderside. Røntgenstråler er dog stadig yderst nyttige til at vurdere lungefunktion og til at diagnosticere potentiel væske i lungerne. Det kan være nødvendigt at bedøve hunden, og ved hunde, hvis vejrtrækning allerede er påvirket, er en omhyggelig risikovurdering her yderst vigtig.
Behandling af MVD
Tidligere var behandlingsmulighederne begrænsede - de eneste var vanddrivende midler for at beherske væskeophobning og Digoxin for at styrke hjertets funktion. Vanddrivende midler bruges stadig i vid udstrækning ved fremskreden MVD. Digoxin bruges meget sjældent i dag. Det kan være nyttigt på kort sigt, men på lang sigt kan det have en negativ effekt, hvor det slider på hjertet, og de potentielle bivirkninger er betydelige.

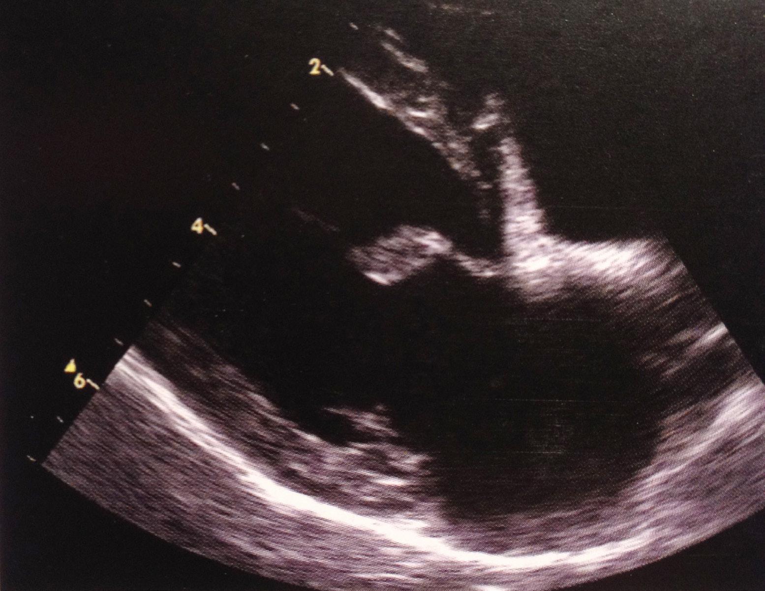
Ultralydsbillede af fremskreden MVD. Læg mærke til formen på mitralklappens flade og det forstørrede venstre forkammer.

Røntgenbillede af et kraftigt forstørret hjerte og væske i lungerne.
For omkring 30 år siden blev brugen af visse former for blodkarudvidende medicin (ACE-hæmmere) mere specifik, og lidt senere gjorde Pimobendan (Vetmedin), en kalciumblokker, en enorm forskel i behandlingen, og hunde fik ikke bare en forbedret livskvalitet, men også en længere forventet levealder. Det skal påpeges, at selv den bedste medicinske behandling kun dæmper symptomerne og ikke er helbredende. En kirurgisk udskiftning af klappen - som den udføres på mennesker - ville være helbredende. Det bruges dog oftest ikke på hunde, men kan være en mulighed i fremtiden. Man skal også huske, at ikke alle hunde med en mislyd har hjertesvigt og brug for behandling. Mange hunde kan leve med en lille mislyd i mange år uden kliniske symptomer. Det er dog vigtigt at overvåge tilstanden ofte ved hjælp af ultralyd, og for mange hunde er tidlig behandling en fordel. Der er ingen standardbehandling, der passer til alle hunde, og sædvanligvis er en individuel sammensat medicinsk behandling den mest optimale.
Prognose
Desværre er der ingen kur, og selv med behandling vil mange hunde med MVD i sidste ende dø af sygdommen. Imidlertid kan moderne behandling og avanceret diagnostik ikke kun forlænge levetiden, men også sikre en god livskvalitet. I modsætning til tidligere, hvor hunde i den sidste fase af hjertesvigt ofte ”druknede” af væskeophobning og fik en pinefuld død, går hunde i medicinsk behandling generelt fredeligt bort, eller afslutningen på livet sker pludselig og hurtigt.
Konklusion
Selvom der ikke er nogen klar videnskabelig dokumentation for, at Japanese Chin generelt er tilbøjelige til at få MVD tidligt, som det ofte ses hos cavalier, er der statistiske data, der tyder på, at japanesen er overrepræsenteret mht. ”hjertesygdom”. Racens genpulje i hele verden er tæt forbundet og begrænset, og enhver introduktion - eller bredere spredning - af gener, der forårsager tidlig MVD, kan vise sig at være fatal for racen. Heldigvis er dét at lytte til hjertet en enkel, ikke-invasiv og billig måde at diagnosticere denne tilstand på, og derfor er hjerteundersøgelser en vigtig del af forebyggelsen og begrænsningen af sygdommen. Der er mange let tilgængelige undersøgelser af cavalier, som viser, at brugen af ældre hunde uden mislyd, eller hvor mislyden er dukket op meget sent, har forbedret levetiden for denne race. Den generelle regel bør derfor være at bruge avlshunde, som lever længe, og det tilrådes på det kraftigste ikke at bruge hunde med tidlig mislyd i avlen.
Andreas Schemel er bosat i England og uddannet dyrlæge med speciale i smådyrsmedicin samt kardiologi og har skrevet doktorafhandling om hjerteklapsygdom i cavalier king charles. Er desuden FCI-dommer og opdrætter af Japanese Chin. Dømte i 2020 Japanese Chin på Crufts og skal i 2021 dømme toy-gruppen.
