
40 minute read
From the CEO’s desk
Lessons Learned: Can the COVID-19 pandemic help bring fragmented health systems together?
By Cynthia Davis
Advertisement
COVID-19 and the current waves of seasonal flu and respiratory syncytial virus (RSV) are raising serious questions about whether and how our health-care systems can provide essential resources during times of crisis and beyond.
At Lakeridge Health, we believe that answers can be found in more and better health system integration – connecting all services, from primary care to hospitals to long-term care – so they work together as one.
Integration is no longer an option. It is a necessity. Our focus is on quality. We’re working hard to connect all health-care providers around a common purpose, so patients can expect the same high standard of care wherever and whenever they use the system.
The drive to integrate, and the logic behind it, is captured in Lakeridge Health’s vision: One System. Best Health.
COVID-19 and other viral illnesses have been putting this vision to the test.
Lakeridge Health, based in Durham Region, has been pursuing a strategy of health system integration. Our organization is one of Ontario’s largest health-care systems, with five hospitals and a sixth in the proposal stages, a long-term care (LTC) home, and one of the Region’s largest mental health providers., We are working closely with the Durham Ontario Health Team (OHT) to build partnerships with primary and community care providers. We have invested in a clinical information system connecting all hospitals across the broader Central East Region, providing a unified digital health platform for all patients.
When the pandemic arrived in early 2020, Lakeridge Health became the centre for infection control expertise, supplying resources such as personal protective equipment to community-based providers and LTC homes, and the centre of advanced clinical care, treating close to 5,000 seriously ill COVID-19 patients.
During one of the most intense waves of COVID-19, in partnership with the Durham OHT, we extended an urgent call to action to primary and community care partners. Within 24 hours, more than 250 recipients met virtually to offer help. Clinics across the region provided COVID-19 assessments and care options, easing the burden on our emergency departments. Clinicians staffed a virtual urgent care clinic serving thousands of patients.
Regional coordination among hospitals, public health, primary care, community clinics, and emergency responders enabled one of Ontario’s fastest vaccine rollouts. More than one million doses of COVID-19 vaccines were administered by November 30, 2021.
A COVID-19 Therapeutic Clinic, working with primary care and assessment centres, prescribed close to 20 percent of Ontario’s initial supply of the novel therapeutic Paxlovid.
Overall, the system responded quickly and effectively to the pandemic. When we rallied around a common purpose and understood our common goals, we were able to be successful.
But challenges remain.
Nurses and other frontline workers have been carrying the greatest burden of crisis response. Some are leaving for less stressful positions or leaving health care entirely. Those remaining face even more pressure, working extra shifts and caring for more patients. Other professionals and non-clinical staff have been stepping in where they can, so everyone in health care is feeling the added stress.
Staff shortages have caused temporary emergency department and acute care closures across Canada. Lakeridge Health is no exception, and we made the difficult decision to close an intensive care unit at one of our hospitals in the summer of 2022.
Health system integration is being tested again as severe respiratory illnesses place even more strain on resources. But there are early signs that it’s still the right approach.
Health-care professionals leave public systems because they aren’t getting what they need as employees. This includes better compensation, and extends to the full range of employee supports.
As a large system, Lakeridge Health can recruit centrally, offering diverse career opportunities across multiple hospitals and care centres. With a team of more than 8,000 staff and physicians, we have more capacity to support succession planning, education, mentoring, and health and wellness, along with innovations that enable efficiency, productivity, and teamwork. Integrated systems will be better positioned to put these supports in place.
All of this takes time and commitment. Building a fully integrated, sustainable health system is a journey, and much more work needs to be done.
But the benefits are important and achievable. The current challenges will hopefully prompt lasting changes that strengthen partnerships and collaboration, and substantial investments in the supports needed for health-care professionals to confront new challenges while living healthy, balanced lives.
Now, almost three years since the start of the COVID-19 pandemic, our health-care workers are not looking for praise or accolades for their courage and hard work during the crisis. They want the system-wide changes that will enable them to do what they do best – deliver excellent patient care. ■ H
Cynthia Davis
Exceeding and sustaining quality and safety standards during exceptional times
By Dr. Frank Martino and Tiziana Rivera
In 2019, William Osler Health System (Osler) embarked on a transformational quality and patient safety journey aligned with its strategic focus on quality excellence. Embracing a visionary and purposeful approach, Osler developed a more robust corporate quality infrastructure that reaffirmed accountability for quality and patient safety at the individual, program, corporate and governance levels of the organization. Osler has been proactively working to instill a long-term best practice mindset across the organization.
In the two years that followed, Osler found itself facing the stark realities of the COVID-19 pandemic as its hospitals tested, vaccinated and treated people in one the hardest hit communities in Ontario. Discussions about quality and patient safety took on a heightened urgency, accelerating the implementation of strategic initiatives that would equip teams to continue to deliver safe, quality care under incredibly challenging circumstances.
Among the most significant of those initiatives was the roll-out of digitally-driven iHuddle Boards in late 2020 to transform how Osler’s clinical teams manage quality and safety, review unit/program performance, and collaborate on key organizational initiatives. The large digital touchscreens in each unit are designed to visually translate Osler’s corporate strategic directions in a manner that is as meaningful to frontline teams as it is to the executive team and Board. They enable senior leaders to share strategic, operational, and quality metrics with clinical units in real-time, so that everyone is working with the same data to enable evidence-informed decision-making at both the unit level and organization-wide.
When Accreditation Canada surveyors visited Osler in 2021 and 2022, they identified the iHuddle Boards as an organizational strength, recognizing their effectiveness in supporting staff and physician communication, collaboration, engagement and quality improvement, particularly in reinforcing the integration of required organizational practices (ROPs) into daily work. Through a separate evaluation process, the iHuddle Boards and process were recognized as a global leading practice by the Health Standards Organization (HSO) and Accreditation Canada.
Osler’s pursuit of quality excellence was further strengthened in November 2021, when Osler began a three-year journey to become a globally recognized Best Practice Spotlight Organization (BPSO) thanks to a partnership with the Registered Nurses Association of Ontario (RNAO). Osler’s journey to achieve BPSO designation signifies its long-term commitment to deliver the highest standards of care to patients. Among the evidence-based best practice guidelines that nursing and interprofessional teams are working to implement is Preventing Falls & Reducing Injury from Falls, which is the number one patient safety incident reported through Osler’s PSIM Framework.
During the pandemic, Osler also initiated a standardized, team-based approach to patient safety incident management (PSIM) to improve reporting, staff, physician, patient and family engagement and response to patient safety incidents. Implementation of the PSIM Framework has led to enhanced corporate oversight for incident management, greater staff, physician and patient engagement in the process, a significant increase in the reporting of incidents, and an increase in the number of reports for incident types that had been historically underreported. The PSIM Framework is a testament to staff, physicians, leaders, and Osler’s Patient and Family Advisory Council members who collaborated to co-create a non-punitive, evidence-based and inclusive approach to patient safety incident reporting.
With their resilience put to the test on multiple fronts throughout the pandemic, Osler’s staff and physicians have not only succeeded in sustaining quality and patient safety standards during this time – in many cases they have exceeded them. That was borne out in 2022, during which time Osler earned Accreditation Canada’s highest rating, the Accredited with Exemplary Standing designation; was nationally acknowledged by the Canadian College of Health Leaders (CCHL) as the recipient of the prestigious 2022 Excellence in Patient Safety Award for its approach to patient safety incident management; and was recognized by the Health Standards Organization (HSO) and Accreditation Canada for five global leading practices that improve quality and patients’ lives.
Building on a strong history of supporting physician and clinician training, Osler is working as the primary hospital partner with Toronto Metropolitan University to develop a School of Medicine in Brampton. This represents a significant opportunity to teach and train home-grown talent and strengthen health human resources capacity across the region. This will also create new opportunities to expand Osler’s clinical and applied research program through academic and clinical partnerships that support Osler’s evolution into an academic health centre.
In a year in which Osler marked the 50th Anniversary of Etobicoke General Hospital, the 15th Anniversary of Brampton Civic Hospital, and the 5th Anniversary of Peel Memorial Centre for Integrated Health and Wellness, it is proud to build on the rich legacies of the teams that came before. Looking ahead, Osler will continue to embrace transformative thinking and a best practice mindset to ensure the further advancement of its commitment to quality so that the community continues to receive safe, quality, compassionate care now and into the future. ■ H

COVER STORY: INNOVATIONS IN MEDICINE How award-winning Canadian technology can help overloaded hospitals
By Ananth Ravi
The ongoing effects of the COVID-19 pandemic continue to overwhelm Canada’s healthcare system. The surgical backlog that has built up in our hospitals since 2020 continues to come at a cost for patients and their families. In Ontario alone, hospitals this past spring were facing a backlog of one million surgeries and the province’s doctors are now pushing for innovative and efficient solutions, such as non-profit surgical centres in the face of this challenge.
We’ve always known that delays in care can have life-or-death consequences for patients – particularly for people living with cancer. The Canadian Cancer Society has noted that delaying cancer care by just a few weeks can increase the risk of death by around 10 percent. Leaving COVID aside – even other respiratory challenges such as RSV and the seasonal flu can push wait times over the top in an already-strained system.
One way to help solve the backlog for Canada’s overloaded hospitals is to adopt newer and better technology that can help make surgeries more efficient while improving the patient experience.
For example, many hospitals still use wire-guided localization, a way to mark the location of a lesion before surgery, by inserting wires into the patient’s breast. It’s a technique that hasn’t changed much in 50 years. Wire-guided localization demands a lot of coordination among the patient, radiologist, surgeon and pathologist because the procedure has to be performed on the same day as the surgery. This can create scheduling challenges for all the people involved as well as for the hospital itself.
Wire-guided localization is particularly challenging and anxiety-inducing for patients. Because the lesion has to be marked on the same day as the surgery, it can mean a long day spent waiting at the hospital. As part of the wire-guided procedure, the patient needs to fast the whole time, which can sometimes lead to fainting. Patients often need to sit around in a hospital gown as they wait for an operating room to open up, while also trying to avoid accidentally snagging their gown on the protruding wire. Finally, the wire has also been known to become displaced or transected during surgery, which can lead to inaccuracy and additional procedures.
Instead of relying on this method, hospitals should consider a technology where the marker can be implanted without wires on the same day or a few days before surgery as a way to ease backlogs in a way that is much more patient-centred and efficient.
One such technology is MOLLI Surgical’s Health Canada-approved MOLLI®, a precise, easy to use new technology for soft tissue localization. Recognized with a gold medal in the 2022 Medical Design Excellence Awards, named as one of TIME Magazine’s Best Inventions of 2022 and one of the Next Big Things in Tech by Fast Company, MOLLI puts the patient first by providing a better experience over traditional wire and other localization options. The wire-free technology includes the MOLLI Marker®, which is detected using the MOLLI Wand®. The MOLLI Tablet® then displays the distance between the tip of the MOLLI Wand and the MOLLI Marker, helping surgeons locate lesions (and precisely remove) them more efficiently with improved accuracy. The localization procedure takes about five minutes. This gives patients autonomy over their scheduling and creates flexibility for health systems to adapt quickly to changing needs.
From a hospital perspective, wirefree technology allows for a more flexible approach when it comes to scheduling surgeries, reduces the impact of unforeseen delays in radiology, and increases the number of surgeries that can be performed in a day. Just by “decoupling” localization from surgery, care teams can improve their workflows to make care for patients more timely and create a better overall experience. When hospitals take this step, it leads to a 34% increase in the scheduling capacity of radiology departments and a 41% increase in breast-conserving surgery programs. In short, wire-free localization provides a better experience before, during, and after surgery for patients, for the radiologist who helps to locate the lesion, and for the surgeon who has to remove it.
For people who work in hospitals, improving their workflows, clearing cancer surgery backlogs and making sure people can continue to have faith in their local hospital are all vital concerns. As hospitals and administrators explore new ways to increase efficiency in the face of these wait-time challenges, it’s important that the changes that are ultimately adopted are not just efficient for the hospitals, but centred on the patient, too. ■ H


NEWS Decision support tool used in the Emergency Department reduces rates of death or hospitalization after heart failure
Atool that Emergency Department clinicians can use to guide hospital admission or discharge decisions for heart failure patients reduces 30-day all-cause death or cardiovascular hospitalization by 12 per cent, according to a new trial from the Peter Munk Cardiac Centre (PMCC) at University Health Network (UHN), ICES, and the Ted Rogers Centre for Heart Research.
The validated tool, which was developed using data analytics, helps hospital staff to ascertain whether heart failure patients fall into low-, intermediate-, or high-risk categories, which can then inform the decision to admit a patient to hospital or discharge with follow-up care.
The randomized trial, published in the New England Journal of Medicine, included 10 hospitals and 5,452 patients in Ontario, Canada, and assigned hospitals to usual care (when clinicians use their clinical judgement to guide decisions) followed by a cross-over to the use of the tool. The study was made possible through funding from the Ontario SPOR SUPPORT Unit (OSSU).
The study comes as hospitals grapple with overcrowding and staffing shortages and suggests that heart failure patients at lower risk of adverse events can be discharged from the Emergency Department or following a short hospital stay – with rapid follow-up care in place.
“Heart failure places a substantial health burden on patients and increases healthcare utilization and costs,” says lead author Dr. Douglas Lee, staff cardiologist at the Peter Munk Cardiac Centre at UHN, Ted Rogers Chair in Heart Function Outcomes at the Ted Rogers Centre for Heart Research (TRCHR), and Senior Scientist at ICES. “We need new approaches to improve the care that we deliver to patients with heart failure who come to the Emergency Department, and the strategy that we tested may be a step toward achieving this goal.”
The tool is used to support clinicians’ decision-making about who should be hospitalized and who can be discharged home early, with provision of a rapid follow-up visit at a clinic staffed by a nurse and supervised by a cardiologist.
Researchers found that the hospital-based strategy for decision support was associated with: • A 12 per cent reduction in the rate of all-cause death or cardiovascular hospitalization over 30 days. • A decrease in the rate death or cardiovascular hospitalization over a 20-month follow-up. • Fewer than six deaths or all-cause hospitalizations for low-risk and intermediate-risk patients who were discharged from hospital until they could be seen by a doctor in the outpatient clinic.
“It has always been our goal to ensure that we provide the right care, for the right patient, at the right time,” says senior author Dr. Heather Ross, Scientific Lead, Ted Rogers Centre for Heart Research, and Division Head, Cardiology, at the Peter Munk Cardiac Centre at the University Health Network. “This diagnostic tool will have an immense impact, not just on patients and families, but on the whole of the healthcare system.”
The study, “Trial of an Intervention to Improve Acute Heart Failure Outcomes” was published in the New England Journal of Medicine. The study was supported by ICES and was funded by the Ontario SPOR Support Unit, the Ted Rogers Centre for Heart Research, and the Canadian Institutes of Health Research. ■ H
This article was provided by UHN News.
2022 Canadian Interoperability Landscape Study
We’ve gathered evidence about the current state of digital health interoperability in Canada and the significant opportunities for health system improvement.

Innovations


n November 16th, St. Michael’s Foundation aired its 8th annual medical research competition, Angels Den, and awarded St. Michael’s Hospital teams $500,000 to fund their research.
“Angels Den has provided critical seed funding to launch several homegrown innovations that promise to revolutionize areas of medicine,” said Dr. Ori Rotstein, Vice President, Research and Innovation, at St. Michael’s Hospital. “It’s the catalyst for getting early-stage research projects by some of the best minds in medicine off the ground.”
During the hour-long virtual event that streamed on angelsden.ca, six teams of scientists pitched their research ideas to a panel of celebrity judges and more than 60 jurors for a chance to win the Keenan Award for Medical Discovery or the Odette Award for Health System Innovation, each valued at $150,000. A third award, the $100,000 Canada Life People’s Choice Award, was handed out to the team that received the most viewer votes. The four finalists that did not win either the Keenan Award or the Odette Award were awarded $25,000 for their projects. HERE ARE THE WINNERS
The Keenan Award for Medical Discovery funds novel therapies, better diagnostics, vaccines or medical devices that will improve patients’ lives. WINNER – SUCTIONING STONES FOR CLEAN KIDNEYS • Dr. Monica Farcas, Investigator, Li
Ka Shing Knowledge Institute, Surgeon-Entrepreneur, Urologist, St.
Michael’s Hospital. • The Challenge: The pain of kidney stones is excruciating and 10 percent of adults have an attack in their lifetime. While surgeons can remove kidney stones by breaking them with lasers, the process leaves tiny fragments, like sand, that can create new stones over time.
With too many recurrences, people can lose their kidney function altogether. • The Solution: Dr. Monica Farcas has invented a device that sucks up the kidney stone fragments during surgery leaving the patient completely stone free. Now they want to take the prototype to the next level. For the patient, the innovation means healthy kidneys and a pain-free life.
And for the health-care system, it means fewer emergency visits and operations.
The Odette Award for Health System Innovation aims to improve the healthcare system’s effectiveness, efficiency, equitability or sustainability. WINNER – BREATHE EASY: THE PERSONALIZED VENTILATOR IS HERE • Dr. Laurent Brochard, Clinician Scientist, Keenan Research
Centre for Biomedical Science,
Keenan Chair in Critical Care and Acute Respiratory Failure, and Intensive Care Physician, St.
Michael’s Hospital • Dr. Muhammad Mamdani, Scientist, Li Ka Shing Knowledge Institute and Vice President, Data
Science and Advanced Analytics, and Odette Chair in Advanced
Analytics, St. Michael’s Hospital. • The Challenge: Mechanical ventilation saves lives. But if it’s not matched to each patient, it can further damage lungs, cause anxiety, pain and discomfort, and even injure other organs. For too many patients, that can mean prolonged stays in hospital, and lead to longterm disability or even death. Not surprisingly, each patient needs different levels of ventilation. How can clinicians make sure a patient gets the full benefit of mechanical ventilation, with none of its bad effects? • The Solution: Dr. Laurent Brochard and Dr. Muhammad Mamdani will create and deploy into practice AI algorithms that analyze a patient’s status, minute-by-minute. The clinicians then use this information to adjust the ventilation based on patients’ real-time needs which results in less sedation, fewer complications and deaths, and quicker recovery. And for hospitals, that means ICU beds are freed up faster to care for other critically ill patients.
The Canada Life People’s Choice Award goes to the online audience favourite, based on the number of their votes.
that will revolutionize medicine O Dr. Monica Farcas Dr. Carmen McCaffrey and Dr. Dr. Laurent Brochard and Dr. Elizabeth Miazga Muhammad Mamdani WINNER – MYENDO: THE APP THAT EASES ENDOMETRIOSIS • Dr. Carmen McCaffrey, Investigator, Li Ka Shing Knowledge Institute, Minimally Invasive Gynecologic Surgeon, St. Michael’s Hospital • Dr. Elizabeth Miazga, Clinical Fellow, Minimally Invasive Gynecologic Surgery, St. Michael’s Hospital. • The Challenge: Endometriosis is an agonizing pelvic disease that afflicts 10 per cent of women and people assigned female at birth. Diagnosis is often delayed by 5-10 years and surgery may take years to book, leaving women to suffer with chronic pain, infertility, and significantly impaired quality of life. First-line treatments, like mindfulness and pelvic floor physiotherapy, are effective but often not accessible. They can be too costly for some, since they’re not covered by OHIP, and providers are few and far between. • The Solution: Dr. Carmen McCaffrey and Dr. Elizabeth Miazga have already developed a basic MyEndo app, which hosts a mindfulness course for patients with endometriosis that eases pain. Now they want to expand the app to include a wide range of online treatments and educational resources, making it free and open access, so women everywhere can get the care they desperately need and deserve. The episode can be viewed online at angelsden.ca. ■ H


Fully virtual ultrasound
By Samir Boulazreg
As semblances of normalcy gradually return following the COVID-19 pandemic, lingering effects related to attrition, burnout, and stress continue to drastically impact the healthcare system. The Bureau of Labor Statistics observed a loss of 524,000 U.S. healthcare workers from February 2020 to September 2021, bringing the healthcare infrastructure to the verge of collapse. The situation is similar in Canada. Making matters worse is new research from Elsevier Health that spans over 109 countries and that continents which indicates that a further third of professionals intend to leave the field within the next two to three years. This substantial loss in healthcare’s human resource is a worldwide issue that has forced the industry to think of new solutions that minimize labor shortage disruptions and does not come at the cost of patient care quality. In making pivots to the way healthcare operates, Telemedicine has so far proved itself to be a major player in healthcare reform. Telemedicine, described as virtual treatment of patients through audiovisual technology, increases staff workflow efficiency, enables easier patient access to services, and allows for a reduction in healthcare related costs for both patients and clinicians. The future of Telemedicine is one which allows healthcare professionals to see patients across clinics, cities, and provinces/states in the same day without any physical displacement of caregiver or patient. However, there is still a technology gap for healthcare services that require patient contact. Noticing the healthcare reconceptualization that is currently underway, some companies have attempted to augment this solution through innovations within the Telemedicine realm. For instance, Wosler Corporation, a Canadian healthcare technology company is currently building a telemedicine platform of virtual healthcare labor, digitized clinics and interconnected robotic devices that would allow sonographers to conduct remote ultrasound scans of patients.
Wosler Corporation has already achieved a major milestone that showcases the wide-ranging potential of Telemedicine. Within the last month, Wosler Corporation conducted a fully virtual ultrasound scan by stationing a sonographer in London, Ontario with a remote-controlled device that preformed a scan 3500 km away in Wabasca, Alberta. Wosler Corporation’s aim, which is centered on improving the distribution of scarce human resources in healthcare, also expands into the artificial intelligence realm by its vision of relegating low-grade work to artificial intelligence programs. This would permit healthcare professionals to address more pressing issues when on the clock and allow for less distraction to be directed toward administrative aspects (e.g., data entry, triaging, etc.) Automation would allow the healthcare system to make a considerable shift in workflow productivity as many clinicians themselves are expecting to be relieved in this way. According to the aforementioned Elsevier Health international research survey, 56% of sampled doctors and nurses worldwide are expecting artificial intelligence support tools that will serve them in the bulk of their clinical decisions within the next decade.
Telemedicine also allows rural and remote areas to be served with far greater ease. Access to specialized medical services in these communities has been a long existing issue in healthcare, a problem that are not new to the healthcare field, making the future utility of Telemedicine likely ubiquitous. As a result, a strong case can made that the greatest indirect benefit that the pandemic left behind is the current evolution of the healthcare system. This evolution, expedited by companies like Wosler Corporation, will allow more patients to be seen, lessen the cost and burden on the healthcare system, and reduce several barriers related to access. ■ H
The co-founders of Wosler Corporation.

CAR 2023 Annual Scientific Meeting
Advancing Imaging Care Through Innovation

April 27-30, 2023 Montreal, QC
Gather with your radiology community at the Canadian Association of Radiologists’ Annual Scientific Meeting taking place April 27-30, 2023. Join us at our NEW location Le Westin Montréal, Montreal, QC. This year’s program, developed by the CAR 2023 Annual Scientific Meeting Planning Committee, focuses on technological innovation as a crucial element in the advancement of imaging care.
This year’s event will offer sessions relevant to many different subspecialties and practice environments. CAR 2023 features engaging didactic lectures and interactive Q&A sessions with presenters, along with opportunities to network and socialize with colleagues. Speakers from across North America will come together to deliver captivating plenary lectures, including presentations from Dr. Jan Fritz (New York University), Dr. Jeremy Erasmus (University of Texas), Dr. Jorge Soto (Boston Medical Centre), Dr. Carlos Torres (University of Ottawa), and Dr. Yiming Gao (AIRP).
The CAR’s four Affiliate Societies are developing amazing educational sessions that highlight cardio-thoracic radiology (CSTR), abdominal radiology (CSAR), emergency and trauma radiology (CETARS), and pediatric radiology (CanSPR). The program will also feature two hands-on interactive workshops, one focused on MSK Ultrasound and one on advanced structured reporting. Back by popular demand is a dedicated virtual Trainee Day where medical students, residents, and fellows can participate in an entire day of sessions and lectures aimed at their educational needs.
CAR 2023 – Advancing Imaging Care Through Innovation is the premiere radiology event of the year and an experience not to be missed!
CANADIAN ASSOCIATION OF RADIOLOGISTS Accomplishing goals through better working relationships
Radiology departments consist of a variety of overlapping and intersecting responsibilities, with tremendous interplay between disciplines. This can make managing the professional relationships between radiologists, technologists, booking clerks, nurses, and others a complex challenge.
Dr. Jean Seely is President of the Canadian Society of Breast imaging (CSBI) and Co-Chair of the CAR’s Breast Imaging Working Group. In her decades of experience, having positive interaction between these groups is critical to accomplishing departmental goals and offering better patient care, while strained relationships can drastically impede the aims of a department.
“The ongoing challenge is simply that each different group within a radiology department has different responsibilities or goals and processes for achieving them,” says Dr. Seely. “As radiologists, we know what is required of us to do our jobs but sometimes we might not see how our work fits within the larger network of clinical administration.”
Dr. Seely says that when speaking from different vantage points in a workplace, it is often difficult to understand the fundamentals of each other’s perspectives. These situations are often a matter of properly defining the problem, seeking first to understand it before resolving it. She recalled an experience implementing new workflow software as an example of this disconnect in action.
“When bringing in this new medical information system, what we didn’t initially realize was that the informa-
HOW COULD YOU BETTER CARE FOR YOUR PATIENTS IF YOU HAD AN EXTRA 23* MINUTES IN YOUR DAY?

Find out how

“We’ve found that the ease of using the MEDRAD® Centargo injection system is having a real impact on our technologists’ ability to do their work quickly and with less worry. For example, because I am spending less time preparing the injector and its components, I have more time to spend with the patient, increasing their comfort level and understanding of the procedure. The quality of this interaction provides a better overall experience for both myself as a clinician and the patient.”
– Mike Minoo, Manager, CT and Interventional Radiology at Sunnybrook Health Sciences Centre
*Calculations are based on a site that scans on average 30 patients per day, following the values outlined in PerCent Study “AS RADIOLOGISTS, WE KNOW WHAT IS REQUIRED OF US TO DO OUR JOBS BUT SOMETIMES WE MIGHT NOT SEE HOW OUR WORK FITS WITHIN THE LARGER NETWORK OF CLINICAL ADMINISTRATION.”
tion the radiologist sees is not necessarily the same as what the technologist or booking clerk might see on their end, which led to several communication problems. It wasn’t until we took screenshots and shared our exact viewpoints of the information that we fully understood what the other person was talking about.”
The inverse can also take place, and lead to positive outcomes with efficient execution.
Dr. Seely recounted an issue surrounding pre-surgical radioactive seed procedures. The underlying problem was that patients were consistently delayed getting from the pre-surgical procedure to the surgery appointment. This was difficult for patients, and surgeons were displeased with the slow downs. Despite carrying out the correct pre-surgical procedures, radiologists were being held accountable for the delays.
The issue brought together clinical and administrative staff to better understand each other’s role in the process, which swiftly generated a solution. “Once the manager found out the radioactive seed procedure could be done outside of the surgery day instead of same-day for similar or lower costs, administrative changes were implemented quickly to adjust the staffing needs and the delays were gone,” says Dr. Seely.
Though the outcome in this instance turned out positively, it did not come about on its own or accidentally, says Dr. Seely. Had radiologists, surgeons, and administration remained siloed and not come together to commonly understand each other, the solution for the delays may not have materialized or been implemented as quickly as it did.
“It is paramount that radiologists invest time in building relationships with people administering medical care,” says Dr. Seely. “It is an incredibly effective way of avoiding conflict and resolving problems.” ■ H

Cordless mobility through a battery powered, Wi-Fi enabled configuration.
24-hour use Centargo’s
daily set-up process can be completed in under 2 minutes. Touch screen within the scan room so that you can be close to your patient.
The bar code reader reduces manual data entry and provides easy traceability and access to contrast and injection details.*
The simple snap-in patient line auto- primes upon insertion and is ready for the next patient in less than 20 seconds.
One click
For more information, please visit radiology.bayer.ca
PP-PF-RAD-CA-0550-1 June 2022













Clinical decision support can improve DI
Medical imaging is a cornerstone of patient care in Canada. Throughout healthcare, medical imaging procedures are relied upon to identify, diagnose, and treat disease. When requiring imaging it is imperative that patients are receiving the right test at the right time, providing the most relevant clinical value to the patient through their journey.
The Canadian Association of Radiologists (CAR) is advocating for the implementation of national electronic referral systems incorporating Clinical Decision Support (CDS) tools for medical imaging, to ensure that patients receive more timely access to imaging. Integrating CDS tools into clinical workflows across the country would help patients receive the most suitable test based on their symptoms. The goal of these systems is not only to help to reduce further backlogs for medical imaging but also provide support for referring practitioners in selecting the best imaging procedure for their patients.
The CAR with the support of the Canadian Medical Association and working with the Canadian Association of Emergency Physicians, the College of Family Physicians of Canada, the Nurse Practitioners Association of Canada, and the Society of Rural Physicians of Canada, have already embarked on a national project focused on the creation and integration of Canadian-specific diagnostic imaging referral guidelines into CDS systems. These evidence-based, peer-reviewed guidelines will be freely available to help guide healthcare professionals decision-making processes, enhance care and enable better communication among healthcare providers.
“Ensuring that patients receive the medical imaging referral that provides the most clinical value at the right time, while also reducing risks as much as possible is the goal,” said Dr. Ryan Margau, co-chair, CAR Imaging Referral Guidelines Working Group and chief and medical director, Medical Imaging, North York General Hospital. “Widespread adoption of CDS tools will allow for referring medical professionals to have access to latest evidence-based knowledge as part of their regular workflow – taking some of the unknowns out of ordering medical imaging.”
Canada is behind other industrialized countries when it comes to e-referrals underpinned by CDS. CDS systems for medical professionals referring to radiology have been implemented with considerable success in other countries. The Royal College of Radiologists in the United Kingdom has partnered with MedCurrent Corporation, a leading Canadian CDS software company, to incorporate the UK-focused radiological referral guidelines into a CDS software platform called MedCurrent iRefer CDS. This system provides UK clinicians with robust referral guidelines directly at the point-of-care.
Moreover, the National Health Service (NHS) in England has invested millions to deploy CDS throughout the country. Over the next few years, they will embark on a Digital Diagnostic Capability Program (DDCP) initiative to improve access to diagnostic services to English citizens.
In 2014, the United States Congress passed the Protecting Access to Medicare Act (PAMA) that requires referring providers to consult US-based referral criteria guidelines, in conjunction with approved CDS Systems, prior to ordering advanced diagnostic imaging services (CT, MR, Nuclear Medicine and PET) for Medicare and Medicaid patients.
While these developments have not gone unnoticed in Canada, only a few Canadian hospitals have started implementing CDS solutions. North York General Hospital, in Toronto, has implemented a MedCurrent iRefer CDS system that is integrated into the ordering module of their hospital electronic medical record (EMR) system.
The Jewish General Hospital (JGH) in Montreal has also implemented MedCurrent iReferr CDS. Dr. Huy Le, the chief of Radiology at the JGH says his institution is at Canada’s forefront of implementing CDS because of its history of integrating technology. “Dr. Lawrence Rosenberg, the CEO of our institution, had a vision for adopting digital health many years ago, which included pertinent applications in medical imaging.”
Dr. Le says this approach led JGH to successfully create an electronic Order Entry System (OES) earlier this year, now in production and testing phases with clinicians. The interfacing of CDS with the OES was done in parallel with testing and is currently functional.
Meanwhile, Alberta Health Services has integrated a CDS system, called CareSelect, which is primarily focused on CT and MRI. CareSelect is integrated with their Epic EMR, AHS’s electronic health record system and it is about two thirds of the way through provincial implementation. CareSelect relies on referral guidelines from the American College of Radiology (ACRselect) to categorize referrals as low, medium, or high value.
Dr. Bill Anderson, former Provincial medical director, AHS, says the current status of the CDS implementation is a data gathering mode; he believes this technology can be used for targeted quality improvement work. He further states that “in the future this system can incorporate active alert messages to referring physicians, which will help to guide referrals to medical imaging for patients.”
In Canada we need to look to these examples and build on the successes,
Canadian Hospitals transforming X-ray technology with KA Imaging’s Reveal 35C
Grand River Hospital (GRH) and KA Imaging are partnering on an innovative commercialization project supported by the Coordinated Accessible National (CAN) Health Network. The Reveal 35C detector will be installed at the hospital and will help clinicians validate patient tube and line placements as well as monitor the health of patients to prevent respiratory conditions. Recently, the Reveal 35C was evaluated by University Health Network (UHN) through the Early Adopter Health Network (EAHN™), a program developed by the Ontario Bioscience Innovation Organization (OBIO®). After a successful evaluation at UHN, KA Imaging’s device received a positive determination of value. Reveal™ 35C is a single exposure, portable, digital dual-energy subtraction (DES) X-ray detector. Powered by its exclusive SpectralDR™ technology, it uses the same radiation dose as a chest X-ray to create 3 different images without motion artifacts. In medical applications, this means a regular DR, plus a soft tissue and bone images. “The Reveal 35C is an opportunity for Canadian hospitals to improve care by producing images that offer extra information, relieving pressure in their emergency rooms and ICUs,” says Amol Karnick, President and CEO of KA Imaging.
kaimaging.com
identifying best practices for the development of CDS referral system for radiology. This is not limited to medical imaging. Once developed, this system could act as a blueprint for other specialties in Canada.
“Imaging referral guidelines should be collaborative non-punitive tools, designed to improve quality, safety, and relevance. Our work in bringing a CDS solution online at North York General Hospital has demonstrated the need for Canadian-specific referral guidelines. Collaboration with all stakeholders, including patients and referring providers is needed to create comprehensive Canadian guidelines, designed to improve care for Canadian patients and families,” said Dr. Margau.
It is not only radiologists who agree with this approach. Dr. Paul Pageau, co-chair, CAR Imaging Referral Guidelines Working Group and director, Point-of-Care US, Department of Emergency Medicine, The Ottawa Hospital and assistant professor, University of Ottawa says that “we need to work collaboratively with the broad spectrum of referring medical professions to make informed decisions regarding the selection of medical imaging tests and treatments. Having easily accessible Canadian guidelines will help us achieve this.”
The federal government has committed to investing $2 billion in new funding to address wait times for procedures including diagnostic imaging. This will help to increase the number of CT and MRI scanners across the country. The national implementation of CDS would help ensure that these new resources are used as efficiently as possible.
There is an opportunity to improve overall effectiveness of referrals for medical imaging in Canada. By integrating CDS systems in all jurisdictions, radiology departments could potentially reduce diagnostic imaging backlogs, streamline care for priority procedures, improve radiologist workload, and better measure and assess imaging requests across the country. The ultimate goal is improved patient care for Canadians and enhanced productivity for provincial healthcare systems. ■ H

REVEAL™ MOBI LITE
Powered by SpectralDR™ MORE CONFIDENCE. LESS TIME. BETTER PATIENT OUTCOMES.
SpectralDR™

CARJ Editorial Board: Journal is strengthening in quality and impact
The CAR Journal (CARJ) continues to be an important educational pillar of the radiology community in Canada and internationally. The Journal brings together the best work and scientific activities from radiologists who engage with the field’s most challenging topics and earlier this year, reached an all-time high Impact Factor of 4.186.
Dr. Mona El Khoury, from Montreal, is an Associate Editor with the CARJ and believes the role of the journal is to offer answers to the immense challenges of daily practice, while keeping radiologists updated with current scientific knowledge, even as it constantly changes. “Unlike many other scientific journals, the CARJ equally addresses many educational issues, practical guidelines, and new innovations.”
“The CARJ owes its success to Canadian radiological community,” says Dr. Michael Patlas, Editor-in-Chief. “Many accomplished colleagues sent their incredible work to us and over 100 CAR members volunteered their time to review CARJ submissions.”
Associate Editor Dr. Alison Harris, from Vancouver, views the journal as an important platform for highlighting Canada’s radiology research that is having an indelible impact on the profession. “The CARJ provides a unique opportunity to feature research generated in Canada and highlight Canadian specific guidelines that can influence clinical practice and patient care.”
The strength and uniqueness of the CARJ derive from its comprehensiveness, says Dr. El Khoury. “All radiologists can find what they are searching for in the CARJ issues, from those in academic practice to those in community practice and radiologists-in-training.”
“The CARJ continues improving on its strengths. It is the premier Radiology publication in Canada, showcasing and publishing editorials on pertinent topics, ground-breaking research, and timely review articles,” says Dr. Harris.
Dr. Daria Manos, Associate Editor in Halifax, echoes this statement from her colleague and credits the journal’s leadership. “It is a pleasure to witness the improved quality of submissions to the CARJ from Canada and around the globe,” she said. “Dr. Patlas has shepherded an impressive increase in Impact Factor and has ensured that the hard work of submitting authors is respected by a fast-tracked review process.”
For these Editorial Board members, being involved with the CARJ has been a professionally enriching experience throughout their careers. “I have appreciated every level of my involvement with the CARJ,” says Dr. El Khoury. “As a radiologist born and trained outside Canada, being invited first as a reviewer then as a member of the editorial board means a lot to me and reflects widely on the high values and principles of equity and diversity respected by the CARJ, which are very dear to my heart.”
“Reviewing for the CARJ isn’t just about giving back,” says Dr. Manos. “Being a reviewer keeps my knowledge fresh and improves my own research by giving me a different perspective into what makes research publishable.”
There is plenty of optimism about the trajectory of the journal. “The CARJ is reinforcing itself as an educational and informative tool,” Dr. El Khoury says. “The quality of articles and usefulness in daily practice make it a beneficial tool for radiologists-in-training as well as those who are already settled.”
Dr. Harris expects the CARJ to continue to grow and evolve alongside of medical imaging in Canada and beyond. “There is broad scope to highlight excellent research and promote clinical guidelines with an equitable, diverse and inclusive lens to accommodate the different practice settings throughout Canada and globally.”
“I would encourage all CAR members to be actively involved with the CARJ,” she continued. “There are many opportunities to participate either by submitting papers or reviewing articles, being a reviewer or by regularly following the excellent content either online or in the print version of the journal. Even if you are a new CAR member, the CARJ offers a way to engage with it and the radiology community.” ■ H
Mobilizing the power of networks with deep resolve
The quality of MR imaging is defined by the trade-off between scan time, resolution and image noise. Improving one of these pillars usually requires compromising on one of the others. Deep Resolve, a deep learning solution for image reconstruction, can eliminate this dilemma. It enables clinicians to choose a significantly faster scan time while reducing noise and keeping the same resolution or even increasing image quality. Deep Resolve does not merely improve the final diagnostic image but starts at an even earlier stage: It works with the scanner’s raw data to use AI algorithms to improve the image from the first steps of image reconstruction. Speeding up scan time is especially valuable for patients who feel uncomfortable in MRI scanners, which is often the case for children, for example. Deep Resolve has great potential to shorten scan times by hooking into the very first step of image creation with all the available raw data. The Deep Resolve algorithms can therefore speed up scan times for brain MRI by up to 70 percent while doubling the resolution. Adding Siemens Healthineers’ unique Simultaneous Multi-Slice (SMS) technology can accelerate scan time further, by up to 80 percent. Deep Resolve is not limited to a particular region of the body and thus can help in almost every diagnostic procedure using MRI.
Find out more and discuss your needs. customeradvocate.ca@siemens-healthineers.com

Deep Resolve
Faster than ever before

siemens-healthineers.ca/deepresolve


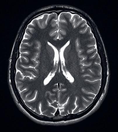
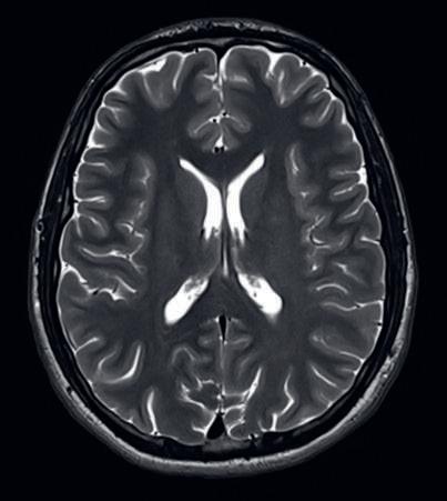
Deep Resolve is a deep learning image reconstruction technology that takes advantage of neural networks that accelerate MR scans, making them faster than ever before. Shorter scans boost workflow efficiency while improving the patient experience. Deep Resolve’s raw data-to-image reconstruction and very fast acquisition are game changers in MRI, helping generate actionable insights that can be diagnostically relevant. • Deep Resolve is a raw data-to-image deep learning reconstruction technology that enables high SNR and radically accelerated image acquisition.
• Enabling all relevant contrasts in one go with multi-shot
EPI and deep learning reconstruction for a total neuro exam in two minutes scan time.
2aaaa2350

Original:
MAGNETOM Lumina, 3T T2 TSE, PAT 1, TA 2:32 mins 28 slices, 0.4 × 0.4 × 2.5 mm³
88%
faster

Deep Resolve Boost¹ and Sharp:
MAGNETOM Lumina, 3T T2 TSE, PAT 4, SMS2, TA 18 s 28 slices, 0.3 × 0.3 × 2.5 mm³




