
5 minute read
Agenda de cursos
from Argos 236
by Grupo Asís
A B

Advertisement

Figuras 2A y 2B. Imágenes de regurgitación mitral en ecocardiografía (corte paraesternal longitudinal derecho). Visualización de la válvula mitral con Doppler color (2A) y corte paraesternal apical izquierdo. Visualización de la válvula mitral con Doppler continuo (2B).

• Bajo gasto cardiaco, déficit sistólico, taquicardia o fibrilación auricular. • Síncopes. • Tos persistente.
Mantener en un equilibrio confortable a estos pacientes supone un reto para el clínico ya que los signos que aparecen pueden ser muy diversos (figuras 2A y 2B).
Signos clínicos y estrategias de estabilización de pacientes en fase D (ACVIM consensus)
Insuficiencia cardiaca congestiva: resistencia a furosemida 1
Hablamos de pacientes descompensados hacia fase D cuando los clasificados en fase C y bajo el tratamiento estándar de este estadio según el consenso1 (0,2- 0,3 mg/kg/12 h pimobendan, 0,5 mg/ kg/12 h benaceprilo, 2 mg/kg/24 h de espironolactona y hasta la dosis máxima de 8 mg/kg/24 h de furosemida) presentan signos de insuficiencia cardiaca congestiva (edema pulmonar).
Podemos detectar esta resistencia a diuréticos y la evolución de la enfermedad cardiaca gracias a la monitorización del Sleep
Respiratory Rate (SRR) por parte del propietario en su domicilio4. Se considerará motivo de urgencia SRR>30 rpm; sin embargo, si la frecuencia respiratoria aumenta con respecto a la frecuencia habitual del paciente, puede ser indicador de progresión de la enfermedad mitral a fase D (figura 3).

Figura 3. Imagen del gráfico de la monitorización de sleep respiratory rate realizado por un propietario, utilizando la app Cardio Canina.
En estos casos disponemos de varias estrategias en el tratamiento ambulatorio en casa: • Sustituir una de las dosis de furosemida por vía no parenteral, por ejemplo subcutánea, ya que la enfermedad mitral descompensada también puede dar lugar a insuficiencia cardiaca derecha y a dificultad en la circulación de retorno abdominal. Ya sea por situaciones de gastroenteritis o por la aparición de edema en mucosa intestinal, puede interferir la absorción de nuestros fármacos y, por tanto, la absorción de diuréticos. Administrar estos, mientras sea posible, por vías no parenterales puede ser de gran ayuda. • Introducir torasemida mediante estas tres estrategias: - Sustituir una dosis de furosemida por torasemida como rescate, y después continuar con el tratamiento estándar de furosemida. - Combinar furosemida y torasemida. - Sustituir furosemida por torasemida.
La dosis diaria de torasemida equivale al 5-10 % de la dosis diaria de furosemida, es decir: desde 0,1 hasta 0,6 mg/kg/24 h, dividido en dos tomas si fuese necesario. • Añadir un segundo diurético (hidroclorotiazida), observando la evolución de la función renal y equilibrio electrolítico (figura 4).
Aparición de arritmias
El gran aumento de volumen del atrio izquierdo puede desencadenar en alteraciones del impulso eléctrico, como la aparición de fibrilación atrial, por lo que podemos tomar su aparición como indicador del avance de la enfermedad degenerativa a fase D.
Se trata de una taquicardia supraventricular que da lugar a impulsos aberrantes e irregulares que pasan por el nódulo atrioventricular, generando contracciones ventriculares con mayor frecuencia y con ritmo irregular. Los signos clínicos que podemos observar en consulta son debilidad, cansancio, letargo, pero no necesariamente disnea
2
o taquipnea, ya que su sintomatología se debe a un bajo gasto cardiaco por mala contracción ventricular y déficit sistólico.
El tratamiento consensuado para el tratamiento de la fibrilación atrial consiste en una combinación de digoxina 0.0025-0.005 mg/kg/12 h en con diltiazem 0,2-5 mg/kg/8 h3 (figura 5).
Síncopes
Otro de los síntomas de descompensación de la enfermedad degenerativa de válvula mitral son los síncopes o episodios transitorios de pérdida postural y de conciencia.
La sobrecarga de volumen izquierda puede repercutir en una sobrecarga de presión pulmonar, dando como resultado hipertensión pulmonar postcapilar. La aparición de síncopes es el síntoma más común de hipertensión pulmonar, unida o no a episodios de tos5 .
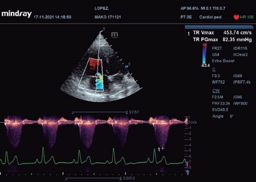
Según el consenso ACVIM de 2020 sobre diagnóstico y tratamiento de la hipertensión pulmonar en perros5, el patrón vascular en radiografía pulmonar puede acercarnos al diagnóstico de hipertensión pulmonar. Sin embargo, es necesaria la confirmación mediante ecocardiografía, considerando signos de hipertensión pulmonar una regurgitación tricúspide mayor de 3 m/s (normal menor de 2,8 m/s) y/o aplanamiento del septo IV. Por lo tanto, trataremos con venodilatadores como el sildenafilo (2 mg/kg/12 h) cuando: • Haya presencia de síntomas (episodios sincopales o presincopales). • Haya signos de sobrecarga de presión o volumen derecha en el estudio ecocardiográfico: aplanamiento de septo IV, acompañado de velocidades de regurgitación tricúspide aumentada (figura 6).
Toses persistentes: false friend
Como hemos comentado anteriormente, la fase D del consenso ACVIM se define como la descompensación de la enfermedad de la válvula mitral en tratamiento de fase C. En ella aparecen, de forma refractaria, síntomas de insuficiencia cardiaca congestiva, como: disnea, taquipnea, into-
3
4
lerancia al ejercicio, síncopes, desvanecimientos, etc. Es frecuente que perros de razas pequeñas también presenten episodios frecuentes de toses secas tras las que incluso pueden colapsar o sincopar. Los receptores sensitivos de la tos están principalmente en la laringe, la tráquea y los bronquios principales y son prácticamente inexistentes en las vías bajas y, por eso, el edema pulmonar raramente causa tos7 . No debemos confundirnos y tratar a este paciente como descompensado en fase D sospechando que padece insuficiencia cardiaca congestiva y aumentando la diuresis ya que, en este caso, puede deberse a procesos de bronquitis crónica, broncomalacia o colapso traqueal, tan comunes en perros mayores de pequeño tamaño.
Las estrategias que tenemos para el tratamiento de tos de estos pacientes con enfermedad de válvula mitral en fase C (ACVIM consensus) que presentan toses persistentes son: • Prednisona (1 mg/kg/24h) vía oral. • Si es necesario alargar el tratamiento en el tiempo cambiar la vía de administración a inhalada: fluticasona 100 mcgr/12h8 . • Antitusígenos: maropitant 2 mg/kg/48 h, butorfanol 0,1 mg/kg/12 h. Sobre todo cuando las crisis de tos generan gran colapso e incluso síncopes.
Conclusiones
La fase terminal de la enfermedad degenerativa de la válvula mitral, denominada por el consenso ACVIM como fase D, supone un reto para el clínico por la variedad de síntomas que puede albergar y el carácter refractario de estos.1
Es clave involucrar al propietario en la monitorización del paciente mediante el recuento de las respiraciones en reposo (SRR).4
Ante la aparición de síntomas como cansancio, letargo, o intolerancia al ejercicio debemos revisar el ritmo cardiaco, pudiendo detectar fibrilación auricular.1
Ante la aparición de síncopes, es importante discriminar las causas de la hipertensión pulmonar: precapilar (posible origen en enfermedad pulmonar – bronquial) o postcapilar (origen en la sobrecarga de volumen izquierda, asociada a congestión venosa) ya que las estrategias de tratamiento son muy diferentes.5
Bibliografía disponible en www.grupoasis. com/argos/bibliografias/rescate236


