
46 minute read
ENTREVISTA
Luís Filipe Correia,
Advertisement
O médico dentista Luís Filipe Correia preside, desde 2013, ao Conselho Deontológico e de Disciplina (CDD) da Ordem dos Médicos Dentistas, órgão independente que aprecia e delibera sobre questões disciplinares, éticas e deontológicas da profissão. Em 2016 foi nomeado pela OMD para integrar a Task Force Ethics do Council of European Dentists, que se encontra a preparar a revisão do Código de Ética do CED, com novas disposições que deverão ser aplicadas a partir do início de 2018. Em entrevista à Revista da OMD, Luís Filipe Correia destaca os principais desafios com que o órgão disciplinar se depara e as novas exigências que surgem em virtude do contínuo crescimento do número de profissionais. Aborda, ainda, o impacto que a internet tem tido no acesso do paciente à informação e o grau de conhecimento dos médicos dentistas sobre a deontologia que regula a sua profissão. O presidente do CDD recorda, também, os progressos alcançados em matéria de publicidade em saúde, após um caminho iniciado há quatro anos.
ROMD- Que apreciação faz sobre a generalidade dos médicos dentistas acerca do grau de conhecimento que detêm das normas ético-deontológicas da profissão?
LFC - Diria que o grau de conhecimento geral dos médicos dentistas sobre a deontologia que regula a nossa classe é inferior ao que seria desejável, pois cada um tende a suportar-se na sua moral e deontologia individual. Daquilo que considera ser moral ou imoral, certo ou errado, bom ou mau, não dando a atenção devida às normas que regulam a profissão. A razão deste tipo de comportamento encontra-se, talvez, fundamentada numa atividade isolada, como é na generalidade a medicina dentária, onde os
Considero importante e preventivo que todos os médicos dentistas despendam mais do seu tempo a ler o nosso Código Deontológico, as deliberações e recomendações emanadas pelo CDD, a interpretá-las e interiorizá-las, de forma a cumprir naturalmente com as normas estipuladas, prevenindo assim as situações de litígio
valores morais individuais tendem a sobrepor-se aos coletivos. No entanto, na medicina o conceito da defesa do “primado do doente” deve ser sobreposto a qualquer tipo de interesse. Um médico deveria ter o culto do “virtuosismo”, cumprindo os valores morais ideais intrínsecos à sua atividade, como a fidelidade ao doente, a compaixão, a justiça e a equidade, a coragem, o altruísmo e a competência. Entretanto, hoje a saúde é considerada como uma área económica, o que provoca pressão nestes conceitos éticos básicos, sendo necessário regular os comportamentos dos médicos através de códigos de conduta dinâmicos e atualizados aos tempos modernos. Pode então afirmar-se que, na generalidade, os médicos dentistas conhecem as ideias gerais da ética e deontologia, mas não lhes dão a atenção merecida, a não ser quando surgem as situações de conflito. Considero, portanto, importante e preventivo que todos os médicos dentistas despendam mais do seu tempo a ler o nosso Código Deontológico, as deliberações e recomendações emanadas pelo CDD, a interpretá-las e interiorizá-las, de forma a cumprir naturalmente com as normas estipuladas, prevenindo assim as situações de litígio.
ROMD- A saúde em Portugal está entregue a diferentes reguladoras e autoridades competentes. Como vê o atual cenário nacional de articulação de competências?
LFC - Na minha opinião, a regulação tem que existir. O que se pode discutir é a existência de várias entidades reguladoras na mesma área de intervenção e a interação entre essas entidades. Da existência de várias entidades resulta a produção de várias leis ou regulamentos, que muitas vezes não concorrem para o mesmo sentido de atuação. Eu claramente defendo a existência de uma entidade que regule a saúde no seu geral, que bem poderia ser a ERS, e uma outra entidade que regule a classe profissional, isto é a Ordem, com regulamentos e ações bem definidas para ambas e complementares, em que o objetivo principal das duas é a qualidade dos serviços em saúde.
ROMD- Sabemos que uma Ordem não tem funções sindicais. Quais as principais dificuldades que se apresentam a qualquer órgão disciplinar de uma ordem profissional?
LFC - Quando está instalado um conflito entre duas entidades, quer seja entre prestadores de serviços ou prestadores e utentes, as partes em conflito procuram sempre que lhes seja feita justiça e num período o mais curto possível. Por outro lado, o universo dos médicos dentistas tem aumentado anualmente, ultrapassando já os 10 mil, o que se repercute num número crescente de participações feitas ao Conselho Deontológico. Portanto, o litígio é cada vez maior e o tempo que, inevitavelmente, uma ação disciplinar demora é uma outra causa de descontentamento e de dificuldade de gestão. Ser membro do CDD e analisar todo o tipo de participação que chega ao seu conhecimento, onde se julga o comportamento lícito, ou não, de colegas, obriga a que se faça um devido distanciamento da nossa condição de médico dentista, ter um perfeito conhecimento de todas as normas deontológicas, possuir uma grande dose de bom senso e, por fim, ter a coragem de assumir a responsabilidade pelas decisões tomadas.
ROMD- O Conselho Deontológico e de Disciplina da OMD é o único órgão independente da OMD. É um desafio exercer funções exclusivas de tão grande relevância para uma profissão?
LFC - Quando qualquer um de nós se disponibiliza para ocupar um cargo nos órgãos sociais de uma Ordem, deve fazê-lo com sentido de missão, de contribuir para uma causa comum e honrar a sua função. Reconheço que o CDD, sendo o órgão que exerce o poder disciplinar, é de capital importância na regulação da atividade, sendo por isso um desafio permanente e exigente.

Mas ser membro do Conselho Deontológico e Disciplina dá acesso a outros tipos de desafios. Pela razão de estarem duas partes em conflito, leva-nos a testemunhar na primeira pessoa tudo o que envolve, pressiona e condiciona a atividade de um médico dentista, desde as condições de trabalho, às relações interpessoais, até ao conhecimento dos temperamentos e valores que cada médico dentista possui. Digamos que é uma função que obriga a ter que reunir e aplicar muito do “virtuosismo” médico, nomeadamente a compaixão, a justiça, a equidade e a coragem, tornando-se, assim, numa grande experiência de vida. Por isso, é preciso mantê-lo independente e sem pressão dos outros poderes, executivo e legislativo, para bem da própria instituição.
ROMD- O acesso à informação por parte do doente tem aumentado. Considera que este fator tem influência na atividade disciplinar, no sentido do crescimento do número de participações?
LFC - Sabe-se que a iliteracia médica leva facilmente à aceitação de “curas milagrosas”, de “tratamentos pioneiros”, ou da simples aceitação como certo o que os médicos afirmam, sem qualquer tipo de contestação. Para evitar este tipo de passividade por parte do doente, sou claramente favorável ao esclarecimento e educação dos nossos doentes. Se é certo que haverá sempre uma assimetria de conhecimentos entre o médico e o doente, também é certo que é fundamental dotar este último de conhecimentos mínimos, de forma a poder participar no processo de tratamento ou mesmo de não aceitar certas propostas ou práticas de tratamento. A procura da informação médica na internet tem crescido, mas sabe-se da dificuldade de encontrar nela a informação credível e compreensível para o caso em concreto, cabendo então ao médico dentista fornecer toda a informação ao doente, de uma forma clara e adaptada ao seu nível de conhecimento, para que este possa então decidir com total liberdade o que pretende para a sua saúde e que papel pode desempenhar na sua cura. O que a realidade mostra é que muitas reclamações são desprovidas de fundamento, enquanto outras não contêm a informação certa, completa e necessária. Umas são simplesmente desabafos. Outras que indiciam uma má prática clínica precisam quase sistematicamente de ser complementadas com informação clínica que fundamente a participação.
ROMD- Podemos conhecer quais as matérias recorrentes que na conduta dos médicos dentistas merecem censura ou reparo do CDD?
LFC - Depende das partes que se encontram em conflito. Caso se trate de um conflito entre dois médicos dentistas, a matéria versa fundamentalmente duas questões: a questão da divulgação profissional, onde as consultas gratuitas, as falsas especialidades ou falsos rastreios são os principais temas, ou o não cumprimento por parte do diretor clínico da deliberação que estipula a necessidade de informar os doentes da nova morada profissional do médico dentista que o atendeu, quando este sai de uma clínica. Quando se trata de uma participação feita por parte de um doente, as mais usuais incidem sobre a recusa do médico dentista em entregar os meios auxiliares de diagnóstico ao doente quando solicitado por este e na existência de uma possível má prática clínica. As áreas da ortodontia, cirurgia e prostodontia, por se prestarem a tratamentos mais onerosos e mais prolongados, são as mais visadas.
ROMD- A matéria da divulgação da atividade profissional, vulgo publicidade, tem sido um desafio?
LFC - Antes de mais, em relação à publicidade, quero relembrar que no ano de 2005 a Autoridade da Concorrência (AdC) aplicou uma coima à OMD pela existência de uma tabela de valores com os mínimos e máximos, obrigando-a a revogá-la. Nessa altura, a AdC também avisou que qualquer tipo de obstaculização à publicidade em saúde por parte da OMD seria contrário às regras de mercado instituídas, ameaçando-a com novas coimas. Em 2007, o CDD elaborou e aprovou um Regulamento Interno, o 115/2007, que regula a divulgação profissional, os seus princípios gerais pelos quais se deve reger, assim como quais os conteúdos admitidos e os proibidos. Em 2014, dá-se a aprovação do Regulamento da ERS sobre publicidade em saúde e em 2015 é aprovado o Decreto-Lei n.º 238 de 14-10-2015 que estabelece o regime jurídico das práticas de publicidade em saúde, assim como a Lei 124/2015 que aprova os novos Estatutos da OMD. Foi, portanto, entre os anos de 2005 a 2013 que a publicidade proliferou, tornando-a uma prática comum, alimentada pelo quase vazio legal vigente e pelo desconhecimento geral de quais as regras da publicidade por parte dos médicos dentistas e dos detentores das clínicas dentárias. A partir de 2013, o Conselho Deontológico alterou profundamente a sua ação perante a divulgação de práticas publicitárias desconformes à deontologia profissional, especialmente quando esta vai no sentido de desprestigiar e ferir a reputação da profissão. O CDD considerou, também, que seria atribuída ao diretor clínico a responsabilidade pelo cumprimento das regras relativas à divulgação da atividade profissional, uma vez que lhe cabe pugnar pela defesa e cumprimento dos princípios éticos e deontológicos da medicina dentária. Com esta alteração de conduta por parte do CDD iniciou-se uma nova etapa, com a instauração de procedimentos cautelares ou processos disciplinares. Portanto, temos um caminho iniciado há quatro anos no que diz respeito à matéria de publicidade e que, até à presente data, resultou na retirada da publicidade efetuada por parte de alguns médicos dentistas, levando ao arquivamento do processo e, entre os processos concluídos com aplicação de penas disciplinares, foram aplicadas 23 advertências, 4 censuras e 4 multas.
ROMD- Não tendo a Ordem poder legislativo, se um dia pudesse legislar que assuntos colocaria na agenda do dia do Parlamento?
LFC - Essa pergunta dá azo àquele tipo de resposta demagógica. Eu se fosse Governo seria muito melhor que o teu e o que eu não conseguisse fazer seria culpa do meu antecessor. Antes de mais quero adiantar que sou favorável a uma supervisão por parte do Estado em áreas sensíveis e de interesse geral, como é o caso da saúde, pois não acredito na denominada autorregulação dos mercados e, se me é permitido “legislar”, vou aproveitar esta ver-
dadeira utopia, quanto à medicina dentária diz respeito: regular a publicidade em saúde no total respeito pelos interesses do doente e da dignidade profissional, regular a atividade dos planos de saúde e dos seguros no sentido da defesa da qualidade dos serviços, criar regras de acesso e controlo de qualidade dos cursos de medicina dentária, criar a carreira profissional dos médicos dentistas no SNS, possibilitar o acesso universal da população aos cuidados de saúde oral, criando ao mesmo tempo um sistema convencionado com as instituições privadas de acesso à população em geral. Legislar no sentido da maioria do capital social das empresas da área da saúde serem detidas por médicos, reintroduzir a tabela de nomenclatura com valores mínimos e máximos, incluir o Código Deontológico da OMD como parte integrante dos Estatutos da OMD, dotar as ordens da saúde de um poder regulador e deontológico ainda mais forte, a par de uma Entidade Reguladora para a Saúde, fiscalizadora na defesa do superior interesse dos doentes, legislar no sentido da salvaguarda da informação clínica dos doentes, criar incentivos para a investigação científica e criar programas nacionais de promoção para a saúde com o intuito de aumentar os níveis de literacia da população.

FORMAÇÃO& CIÊNCIA

CADERNO DA REVISTA DA ORDEM DOS MÉDICOS DENTISTAS
Sumário
34 - Caso clínico Follow-up de 6 anos de caso de descruzamento de mordida com facetas feldspáticas
João Desport, Ana Almeida, Miguel Fraga
40 - Vencedor da melhor comunicação oral de revisão no XXV Congresso da OMD Células estaminais de origem dentária: caracterização e futuras aplicações em endodontia regenerativa
Joana Freitas, Diana Sequeira, João Martins, Paulo J Palma, João Miguel Santos
46 - Calendário de eventos científicos Formação Contínua OMD
Composição do Conselho Científico
Ricardo Faria e Almeida (Presidente) Cassiano Scapini Cristina Trigo Cabral Francisco Fernandes do Vale João Desport João Paulo Tondela J. João Mendes Luís Pedro Ferreira Paulo Durão Maurício Paulo Miller Pedro Ferreira Trancoso Pedro Pires Pedro Sousa Gomes Sandra Gavinha Sofia Arantes e Oliveira Susana Noronha
Editorial
POR METIS E THEMIS
Sendo a qualidade de vida o novo horizonte de expectativa da sociedade, encontra-se, o futuro médico dentista, confrontado com exigências contraditórias. Por um lado, como atingir essa qualidade de vida, se o desemprego é quase uma certeza para muitos. Por outro, como favorecer a saúde e a qualidade de vida dos seus doentes, orientando as suas decisões clínicas pelo melhor conhecimento científico, se não absorverem o conhecimento adequado que fundamente o exercício da prática médica.
Ambas as exigências cursam em paralelo e deviam ser motivo de agregação, para uma reflexão conjunta, entre os diversos intervenientes - Universidades, Estado, Ordem dos Médicos Dentistas e Sociedades Científicas - constituindo assim uma entidade robusta que absorvesse a informação mais relevante, compreendendo-a mais profundamente para assim responder com mais agilidade.
Tomemos o exemplo do desemprego, intimamente ligado ao crescimento, quase exponencial, do número de médicos dentistas, que leva ao desencantamento e pessimismo individual perante a profissão, com efeitos devastadores sobre a moral e funcionamento da sociedade. Não é difícil imaginar a angústia dos colegas que estão anos e anos inativos, de estágio em estágio, sem acesso pleno à sociedade. Nem podemos deixar que este sentimento de fracasso seja remetido exclusivamente à responsabilidade individual. É, acima de tudo, uma falha em todo o sistema que, devidamente comprometido, tem agora a responsabilidade da solução.
Numa época marcada pela mediatização excessiva, plena de notícias falsas que impedem o conhecimento fundamentado e rigoroso sobre determinado assunto e que apela à promoção iluminada da ignorância, corremos o risco de deixar para trás um dos pilares do desenvolvimento, que é o conhecimento científico. Também o futuro médico dentista, se não absorver o conhecimento adequado na origem da sua formação que fundamente o exercício de qualquer ato terapêutico, não terá uma atitude crítica face às muitas solicitações de cursos inchadamente vazios de conteúdo válido e formações não idóneas, que o levam a consumir má informação e mau conhecimento. A este respeito, e contrariando esta tendência, tem tido a OMD um papel meritório nas ações de formação e, principalmente, com a implementação das especialidades, onde se destaca a ortodontia. Criada em 1999 e caminhando agora na idade adulta, a especialidade de ortodontia, alimentada pelas pós-graduações reconhecidas pela OMD e que funcionam em ambiente idóneo, é o bom exemplo para celebrar a ciência e o conhecimento produzido nas universidades e aplicado à sociedade, melhorando a qualidade de vida dos indivíduos
Mas será apenas a implementação das especialidades o impulso necessário para dotar o futuro médico dentista de conhecimento necessário ao exercício não tutelado da profissão? Talvez não. Talvez seja necessário recuar no tempo, nem que para tal se rejeite a visão da modernidade triunfal onde o futuro é sempre pensado como superior ao presente. Os atuais planos curriculares das escolas médicodentárias, amputados na sua base, em dois semestres, pela Declaração de Bolonha - cujos decisores, neste ponto, não foram guiados nem por Métis e nem por Themis - tendem a valorizar a prática em detrimento da formação médica básica. Horas e horas de prática são necessárias para um ótimo desempenho, mas não são o suficiente. A forma como se emprega o conhecimento enquanto se pratica é de crucial importância, faz a diferença e permite a obtenção de melhores resultados.
Enquanto a universidade não for apenas uma inspeção técnica, mas sim um lugar onde se abra o espírito, apele à compreensão e ao pensamento crítico e continue a existir para produzir conhecimento, certamente que não faltarão razões para ter esperança no futuro médico dentista.
Termino o editorial sem por um ponto final, deixando a cada um uma perspetiva para serem retiradas ilações ou interrogações.
Francisco do Vale
Médico Dentista, especialista em Ortodontia Professor da Faculdade de Medicina da Universidade de Coimbra (FMUC) Coordenador da Pós-graduação de Ortodontia da FMUC
CASO CLÍNICO
João Desport1, Ana Almeida2, Miguel Fraga3
1 Médico dentista - FMDUP. Médico-FMUP 2 Médica dentista - FMDUP 3 Médico dentista - CESPU INTRODUÇÃO
Nem sempre o/a paciente aceita a nossa proposta inicial de tratamento. Teremos então de sugerir uma alternativa viável, exequível e que seja aprovada pelo mesmo/a. É interessante observar o desempenho clínico dessas nossas propostas ao longo do tempo.
DESCRIÇÃO DO CASO CLÍNICO
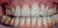
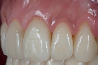
Trata-se de uma paciente com 37 anos que pretendia melhorar a estética dos seus dentes. Já havia sido tratada com restaurações diretas, mas o resultado foi sempre insatisfatório (Fig. 1).

Figura 1
Na análise do sorriso apresentava os seguintes problemas: 1. Dentes superiores escuros e com manchas, principalmente o dente 21. 2. Restaurações em compósito com cárie subjacente, com infiltração marginal e discromia. 3. Curvatura da linha incisal invertida 4. Arcada em forma de “V” numa vista oclusal 5. Corredores vestibulares pouco preenchidos 6. Mordida cruzada de todos os dentes do 2º quadrante 7. Festonado gengival desalinhado (11, 21, 22 e 23 elevados)
Apresentava também: 1. Ausência dos dentes 45a1 e 36 2. Migração para distal do 45 3. Mesioinclinação dos 45, 47 e 37 4. Recessão gengival do 31
Após a realização de ortopantomografia, telerradiografia e estudo ortodôntico, foi proposta disjunção maxilar cirúrgica e tratamento ortodôntico para descruzamento de mordida e restante correção da posição dos dentes, mas a paciente recusou.
Assim sendo, propusemos a alternativa seguinte: 1. Realização de 10 facetas feldspáticas (EX-3 Kuraray Noritake Dental Inc) de 15 a 25 com uma forma que permitisse descruzar a mordida, obter guias anteriores e caninas e melhorar a estética. 2. Na mandíbula, eliminar as interferências posteriores dos últimos molares direito e esquerdo através de modificação da face oclusal dos mesmos por desgaste e compósito direto.
Complementarmente, propusemos: 1. Branqueamento interno do dente 21. 2. Restauração do 21 sem recorrer a espigão. 3. Renovação de quase todas as restaurações em compósito (Point4 Kerr) dos dentes superiores. 4. Implante e coroa no 36. 5. Ponte em compósito (Signum-Heraeus Kulzer) aderido, reforçado com estrutura metálica fundida, para substituir o 45a com preparos mínimos dos pilares 44 e 45.
DISCUSSÃO
Embora a proposta inicial ortodôntico-cirúrgica fosse, no nosso entender, a mais indicada para tratar o caso, a realidade é que a opção escolhida preencheu satisfatoriamente os objetivos iniciais da paciente, fazendo-o de forma mais rápida, menos invasiva e mais confortável. No entanto, condicionou a estética final, no sentido em que os dentes 11, 21, 22 e 23 ficaram com uma proporção altura/largura maior que a ideal, devido à posição inicial da gengiva, que se manteve. Só com ortodontia é que se poderia extruir esses dentes para melhorar a posição da gengiva. Ora, para corrigir a inversão da curvatura da linha incisal dos dentes anteriores e descruzar a mordida anterior era necessário baixar a posição do bordo incisal. Só que, com isso, infelizmente, passou a existir a referida discrepância na proporção altura/largura dos dentes anteriores.
O dente 21 apresentava uma grande perda estrutural: tinha uma lesão CL III mesial e outra distal para além da cavidade de acesso endodôntico. Estava por isso em alto risco de fratura11. Para diminuir esse risco, foi decidido recobrir toda a face palatina com compósito direto, como se de uma faceta palatina se tratasse (Fig. 2- outubro 2010).







Figura 2


Para além disso sabíamos que, segundo Pascal Magne, a colocação de uma faceta vestibular feldspática iria recuperar quase totalmente a resistência perdida11. Não se colocou nenhum espigão. Pode-se notar nas fotos uma deterioração da interface cerâmica-compósito que poderá ser facilmente reparada com aplicação de ácido fluorídrico na cerâmica da interface e jateamento do compósito, seguido de adesivo e compósito fotopolimerizável. No final do branqueamento interno deste mesmo dente, constatou-se que ele se encontrava demasiado claro, porque a paciente ficou 3 meses com o perborato de sódio presente na cavidade de acesso, devido a ter sido submetida a cirurgia abdominal e ter ficado por isso impedida de vir à consulta retirá-lo no devido tempo. No entanto, a faceta colocada mascarou esse indesejado “hiperbranqueamento”.
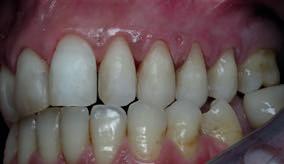
De assinalar que o desgaste do esmalte vestibular, proximal e incisal dos dentes preparados foi quase nulo e a preservação da vitalidade pulpar foi conseguida em todos os dentes (Fig. 3).
Decidiu-se descruzar a mordida e preencher os corredores vestibulares à custa de aderir umas facetas com um volume vestibular e um aumento do comprimento dos dentes bastante considerável (Fig. 4).


Figura 3
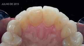
JANEIRO 2011











FEVEREIRO 2011 MARÇO 2010
FEVEREIRO 2011
FEVEREIRO 2011

MARÇO 2010 ABRIL 2011




OUTUBRO 2010 ABRIL 2011 MARÇO 2017

Figura 4
MARÇO 2011 MARÇO 2017

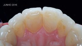
Os tecidos periodontais permaneceram saudáveis (ver Fig. 5) ao longo destes anos, talvez até mais saudáveis do que se a paciente tivesse permanecido com o seu esmalte original, já que a cerâmica feldspática retém menos placa bacteriana que o próprio esmalte2,10. Contribui também para esta sanidade gengival, o facto de a adaptação marginal de uma faceta feldspática ser melhor do que a de outros tipos de restaurações indiretas nomeadamente nas coroas tradicionais cimentadas (em vez de aderidas)11. Com a técnica do modelo refratário utilizada nestas facetas, consegue-se um “gap” de apenas 40 micra11. Além disso, estas restaurações são aderidas ao dente segundo o protocolo recomendado por Pascal Magne, que utiliza compósito micro-híbrido fotopolimerizável aquecido em conjunto com adesivo com carga (Optibond FL), em vez de usar cimentos resinosos, o que proporciona a preservação da qualidade na transição dente-restauração ao longo do tempo, quer a nível estético, quer a nível de rugosidade e de menor desgaste da superfície desse material que preenche o referido “gap”4 .

MARÇO 2010

ABRIL 2011

ABRIL 2011
Figura 5
MARÇO 2010


JUNHO 2016

JUNHO 2016
ABRIL 2011
NOVEMBRO 2011
JANEIRO DE 2012 NOVEMBRO 2011 NOVEMBRO 2011
NOVEMBRO 2011
JUNHO 2016 NOVEMBRO 2011
MARÇO 2017
Figura 6
A paciente foi adiando o recobrimento da recessão do 31.
CONCLUSÃO Apesar da forma e estrutura das restaurações utilizadas no tratamento deste caso não serem as tradicionais, a reabilitação mantem-se estável ao fim destes anos. Pensamos que tal facto se ficou a dever ao seguinte: 1. Preservação máxima das estruturas naturais pré-existentes. 2. Colocação de restaurações que, devido aos materiais utilizados e às respetivas técnicas de adesão, recuperaram ou preservaram a resistência dos dentes. 3. Equilíbrio oclusal.


REFERÊNCIAS BIBLIOGRÁFICAS
1. Calamia, J. (2005) Etched Porcelain Laminate Restorations A 20 year Retrospective AACD Monograph Vol II
Calamia, J.R., Calamia, C. (2007) Porcelain Laminate Veneers Reasons for 25 years of sucess Dental Clinics of North America no 2
2. Chan, C., Weber, H. (1986) Plaque retention on teeth restored with full-ceramic crowns. A comparative study J Prosthet
Dent;56:666-671
3. D’Arcangelo. C., De Angelis, F., Vadini, M., D’Amario, M. (2012) Clinical evaluation on porcelain laminate veneers bonded with light-cured composite: results up to 7 years.
Clin Oral Investig. Aug;16(4):1071-9. doi: 10.1007/s00784-0110593-0. Epub 2011 Jul 20.
4. Duarte, S.Jr., Sartori, N., Sadan, A., Phark J.H. (2011) Adhesive
Resin Cements for Bonding Esthetic Restorations: A Review.
QDT2011. Quintessence Publishing Company Inc.
5. Dumfahrt, H., Schaffer, H. (2000) Porcelain laminate veneers.
A retrospective evaluation after 1 to 10 years of service: part
II - clinical results. Int J Prosthodont; Jan-Feb;13(1):9-18.
6. Fradeani, M. (1998) Six-year follow-up with Empress veneers.
Int J Periodontics Restorative Dent;18:216-25.
7. Fradeani, M., Redemagni, M., Corrado, M. (2005) Porcelain laminate veneers: 6 to 12-year clinical evaluation--a retrospective study. Int J Periodontics Restorative Dent. Feb;25(1):9-17.
8. Friedman, M.J. (1998) A 15-year review of porcelain veneer failure - a clinician’s observations. Compend Contin Educ
Dent; Jun;19(6):625-8, 630, 632 passim; quiz 638. inate veneers: outcomes of the aesthetic pre-evaluative temporary (APT) technique. Int J Periodontics Restorative Dent. Dec;32(6):625-35
10. Kourkouta, S., Walsh, T.T., Davis, L.G. (1994) The effect of porcelain laminate veneers on gengival health and bacterial plaque characteristics J Clini Periodontal;21:638-640
11. Magne, P., Belser, U. (2002) Bonded Porcelain Restorations in the Anterior Dentition: A Biomimetic Approach. Illinois,
Quintessence Publishing Co, Inc
12. Magne, P., Magne M. (2005) Treatment of Extended Anterior Crown Fractures Using Type IIIA Bonded Porcelain Restorations. CDA.Journal.Vol.33.No.5.May
13. Meijering, A.C., Creugers N.H., Roeters F.J., Mulder J. (1998)
Survival of three types of veneer restorations in a clinical trial: a 2.5-year interim evaluation. J Dent;26:563-8.
14. Peumans, M., Van Meerbeek, B., Lambrechts, P., Vuylsteke-Wauters, M., Vanherle, G. (1998) Five-year clinical performance of porcelain veneers. Quintessence Int;29:211-21.
15. Petridis, H.P. e col. (2012) Survival of ceramic veneers made of different materials after a minimum follow-up period of five years: a systematic review and meta-analysis. Eur J Esthet Dent. Summer;7(2):138-52.
16. Schllchting, L.M., Stanley, K., Magne, M., Magne, P. (2015)
The non-vital discolored central incisor dilemma. Int J Esthet
Dent. Winter;10(4):548-62
17. Strasser, H.E., Weiner, S. (1988) Long term Clinic Evaluation of Etched Porcelain Veneers 10-20 Years J Dental Research.
VENCEDOR DA MELHOR COMUNICAÇÃO ORAL DE REVISÃO NO XXV CONGRESSO DA OMD
Células estaminais de origem dentária: caracterização e futuras aplicações em endodontia regenerativa
Joana Freitas, Diana Sequeira, João Martins, Paulo J Palma, João Miguel Santos
Área de Medicina Dentária, Faculdade de Medicina, Universidade de Coimbra RESUMO: Células estaminais são células indiferenciadas capazes de proliferação continuada e diferenciação numa grande variedade de tecidos quando expostas a determinados ambientes e estímulos. No adulto estas células podem ser isoladas de diferentes fontes, tais como a medula óssea, o sangue periférico ou o tecido adiposo. No entanto, as células estaminais de origem dentária representam uma boa alternativa a outras fontes uma vez que são mais fáceis de isolar do que as provenientes da medula óssea e mantêm caraterísticas semelhantes como a capacidade de diferenciação em vários tipos de células especializadas.
OBJETIVO: Realizar uma revisão da literatura atual referente à caraterização e aplicação clínica das células estaminais de origem dentária, com especial enfoque na área endodontia regenerativa.
MATERIAL E MÉTODOS: Revisão da literatura efetuada com recurso à base de dados PubMed usando a combinação dos termos MESH “stem cells” e “regenerative endodontics” com conetor booleano “AND”, tendo sido selecionados 14 estudos relevantes, complementados com 4 referências cruzadas, num total de 18 fontes bibliográficas.
INTRODUÇÃO: As células estaminais (SCs) são células que apresentam elevado potencial de proliferação e autorrenovação a longo prazo e capacidade de diferenciação em vários tipos de linhas celulares especializadas1,2,3,4,5,6,7. Assim, é notável a sua importância na manutenção da homeostasia e reparação dos tecidos ao longo da vida de um organismo. Como tal, têm sido alvo de particular interesse para investigadores e clínicos em geral, como uma forma de regenerar tecidos danificados e melhorar prognósticos de algumas patologias. Neste contexto, muitos estudos têm sido realizados para identificar e isolar SCs e compreender os seus aspetos biológicos.
As SCs mantêm-se normalmente num estado quiescente até serem estimuladas por sinais ativados por dano ou remodelação dos tecidos.2 Estas células podem ser isoladas nos estádios iniciais da embriogénese (SCs embrionárias) ou em tecidos pós-natais (SCs adultas). 3,5
As SCs embrionárias são células indiferenciadas, isoladas durante as fases mais precoces de desenvolvimento, apresentando-se como praticamente totipotentes, podendo dar origem a tecidos das três camadas germinativas embrionárias (endoderme, mesoderme e ectoderme). Embora apresentem propriedades particulares como a capacidade de se diferenciarem em centenas de outros tipos de células, os aspetos bioéticos envolvidos no seu estudo, nomeadamente na sua colheita a partir de embriões humanos, têm sido fatores limitativos no avanço da investigação deste campo.3 Outras desvantagens inerentes às SCs embrionárias são o fato de apresentarem alguma instabilidade genética, a obrigatoriedade de transplantação para hospedeiros imunocomprometidos, o risco de formação de teratocarcinomas e a sua fácil contaminação em cultura in vitro.
1
As SCs adultas, também designadas por somáticas, estão presentes em tecidos adultos especializados, tais como a medula óssea, pele e gordura. Nestes nichos, são responsáveis pela renovação das populações de células e pela manutenção da homeostasia tecidular. As SCs adultas podem ser obtidas a partir de fontes menos questionáveis no que respeita à bioética, no entanto apresentam algumas limitações comparativamente com SCs embrionárias, como o fato de se encontrarem em número reduzido nos tecidos, apresentarem maiores dificuldades
CLASSIFICAÇÃO DAS CÉLULAS ESTAMINAIS DE ACORDO COM A SUA PLASTICIDADE
TOTIPOTENTE Células estaminais capazes de se diferenciar em Ectoderme, Mesoderme, Endoderme e em tecidos extra-embrionários (ex. Zigoto)
PLURIPOTENTE Células estaminais capazes de se diferenciar em todas as células do corpo exceto tecidos extra-embrionários (ex. Células estaminais embrionárias e células estaminais pluripotentes induzidas)
MULTIPOTENTE Células estaminais cuja capacidade de diferenciação está limitada a algumas linhagens celulares, geralmente do folheto embrionário de onde derivam (ex. Células Estaminais Mesenquimatosas)
Tabela 1 - Classificação das células estaminais de acordo com a sua plasticidade. Adaptado de: Saito M.T., Silvério K. G., Casati M. Z., Sallum E. A., Nociti F. H. (2015) Tooth-derived stem cells: Update and perspectives. World Journal of Stem Cells. 7: 399-407
de isolamento1, possuírem um tempo de vida mais limitado e menor potencial de diferenciação. A fim de ultrapassar esta limitação, as SCs adultas podem ser reprogramadas pela inserção de genes associados, formando SCs pluripotentes induzidas (iPSCs).3
As SCs mesenquimatosas (MSCs), obtidas a partir de medula óssea, têm sido amplamente estudadas sendo, inicialmente descritas como aderentes e clonogénicas. Diversos estudos foram executados para identificação de outras fontes e potencial de diferenciação das MSCs, com a finalidade de as utilizar em procedimentos regenerativos.3
Devido à variedade de protocolos utilizados para isolar e caracterizar MSCs, o Mesenchymal and Tissue Stem Cell Committee of the International Society for Cellular Therapy propôs critérios mínimos para definir MSCs de medula óssea (BMMSC) e outros tipos de MSCs in vitro. Assim, de forma a poderem ser distinguidas de outras células, as MSCs devem ser aderentes ao plástico em condições de cultura padrão, apresentar um conjunto expresso de diferenciação positiva para os CD105, CD73 e CD90, e serem negativas para os CD45, CD34 e para as moléculas de superfície dos leucócitos antígeno-DR humanos (HLA-DR). Devem apresentar ainda capacidade de diferenciação em osteoblastos, condrócitos e adipócitos8 em condições in vitro.
3
As fontes de MSCs estão presentes não só em tecidos fetais, mas também em muitos tecidos adultos, nos quais se incluem os tecidos dentários (TDSCs – Tooth Derived Stem Cells). Neste contexto, os tecidos dentários têm sido investigados como nichos de MSCs, uma vez que representam uma fonte acessível, com morbilidade limitada e sem riscos adicionais para o dador.5 No entanto, apresentam como limitação major o facto de se encontrarem em número reduzido. Mais estudos são necessários acerca da sua viabilidade e das suas propriedades em processos regenerativos.

As células estaminais de origem dentária já identificadas são: células estaminais da polpa dentária de dentes permanentes (DPSC), células estaminais da polpa dentária de dentes decíduos humanos esfoliados (SHEDs), células estaminais da papila apical (SCAP), células estaminais do folículo dentário (DFPCs) e células estaminais do ligamento periodontal de dentes permanentes (PDLSCs) e decíduos (DePDL) (Fig.1).3,1
Células Estaminais da Polpa Dentária (DPSCs)
As DPSCs foram as primeiras TDSCs isoladas e caraterizadas em 2000.3,8,9,10,11 Consistem numa população heterogénea de células estaminais presentes no tecido pulpar dos dentes permanentes1 .
Obtidas preferencialmente a partir da polpa de terceiros molares permanentes5, estas células apresentam uma grande capacidade de adesão e proliferação quando colocadas em matrizes apropriadas, quer in vitroquer in vivo.
1,5 Alguns estudos relatam maior capacidade proliferativa do que as BMMSC3,10, ao passo que outros consideram-na semelhante1 . Apresentam ainda capacidade de formar depósitos minerais in vitro, ainda que em quantidades reduzidas em comparação com as BMMSCs.3
Fig. 1
Origem das Células Estaminais de Origem Dentária. Adaptado de: Diogenes, A.; Henry, M.A; Teixeira, F.B.; Hargreaves, K.M. (2013) An update on clinical regenerative endodontics. Endodontic Topics, 28: 2–23
As DPSC são capazes de se diferenciar em células da linha osteogénica, condrogénica, adipogénica, miogénica e neurogénica (Tabela 2).1,10 Quando transplantadas in vivo, bem como in vitro, alguns clones DPSC diferenciam-se em linhagens de odontoblastos6, formando um complexo pulpo-dentinário-like11, constituído por uma matriz mineralizada adjacente a uma camada de odontoblastos, similar ao do complexo pulpo-dentinário de dentes humanos normais. As DPSCs são também capazes de formar tecido semelhante à polpa dentária quando transplantadas para canais radiculares.
1
Quando sujeitas a agressões, as DPSCs são estimuladas a aumentar a sua capacidade de proliferação e diferenciação, estando assim fortemente envolvidas no processo de formação da dentina reparadora/terciária.1
Células Estaminais de Dentes Decíduos (SHED)
As SHED são células estaminais isoladas a partir da polpa remanescente de dentes decíduos.6 Este tipo de TDSCs apresenta-se promissor pela sua fácil obtenção e estado precoce de diferenciação. De notar que as SHEDs apresentam capacidade de diferenciação num maior número de linhas celulares do que a maioria das DPSCs11 por serem consideradas mais imaturas.1,5 Mostram também maior capacidade proliferativa do que as BMMSC10 e as DPSC9, e maior capacidade para a diferenciação osteogénica e adipogénica que as DPSC in vitro. 3,5 Apresentam maior capacidade para induzir formação de tecido ósseo in vivo. De acordo com algumas investigações, não se podem diferenciar diretamente em osteoblastos mas induzem nova formação óssea através da formação de um modelo de osteoindução3 .
A utilização de células estaminais multipotentes colhidas a partir de dentes decíduos apresentam vantagens significativas na medida em que podem ser facilmente isoladas de forma não invasiva conservando a sua potencialidade após expansão in vitro.4 Os dentes decíduos podem então representar um recurso ideal de SCs para reparação/ regeneração de tecidos dentários, na regeneração óssea e cartilagínea, e, possivelmente na regeneração de células do tecido nervoso.4
Tanto as SHEDs como as DPSCs, quando expostas a factores pró-angiogénicos como o VEGF podem dar origem à formação de vasos sanguíneos, o que representa uma importante caraterística a ter em conta nos processos de revascularização pulpar.1
Células Estaminias da Papila Apical (SCAP)
A papila apical é o tecido localizado no ápice radicular de dentes com rizogénese incompleta (Fig. 2). As SCAPs são células isoladas a partir deste tecido7,11 que apresentam características de MSCs6,10. Estas células podem originar células neuronais, odontoblastos, osteoblastos5, condroblastos e adipócitos, quando cultivadas sob condições adequadas.3 Contrariamente a outras MSCs, as SCAPs apresentam atividade telomerásica positiva, característica de células embrionárias que indica o carácter imaturo e capacidade proliferativa destas células.6 Além disso, realça-se o facto de tecidos em desenvolvimento poderem conter SCs distintas de tecidos maduros. As SCAPs apresentam também a capacidade de formar um complexo pulpo-dentinário. De referir que estas células aparentam constituir a principal fonte de odontoblastos primários, implicados no processo de formação da dentina radicular6, ao passo que as DPSCs constituem uma fonte de odontoblastos secundários, envolvidos na formação de dentina reparadora.1

Fig.2 - Papilas apicais nos ápices de um dente com rizogénese incompleta (esquerda) e separadas dos mesmos (direita).
Células Estaminais do Folículo Dentário (DFSCs)
Células derivadas do tecido do folículo dentário que é um tecido conjuntivo laxo constituído por uma condensação de células ectomesenquimatosas que rodeia o gérmen dentário em estádios iniciais de formação do dente e que contém células que formam os três tecidos que constituem o periodonto: ligamento periodontal, cemento e osso alveolar.3,7 Assim sendo, apresenta grande potencialidade na regeneração óssea e periodontal. As DFSCs possuem capacidade de diferenciação em osteoblastos, cementoblastos, adipócitos e algumas células neurais10 (Tabela 2). Apresentam maior taxa de proliferação comparativamente com as DPSC e SCAP, e maior potencial do que SCAP para formar nódulos mineralizados in vitro. 3 De notar que estas células apresentam características semelhantes às PDLSCs in vivo. 1
Células Estaminais do Ligamento Periodontal (PDLSCs)
O ligamento periodontal é constituído por uma população de células heterogénea, com subconjuntos celulares em vários estádios de desenvolvimento com linhagens fibroblásticas, osteoblásticas e cementoblásticas. Dentro destes subconjuntos, supunha-se que as MSCs estariam presentes no ligamento periodontal, o que foi confirmado em 20043,9. As PDLSCs são mais proliferativas, clonogénicas e apresentam maior longevidade do que as BMMSCs. Têm capacidade de diferenciação em adipócitos, fibroblastos, osteoblastos e cementoblastos (Tabela 2).7,10 Embora as PDLSCs sejam capazes de formar tecido mineralizado in vitro, quando a diferenciação osteoblástica/cementoblastica é induzida, eles formam menos nódulos mineralizados do que BMMSC. Além disso, quando transplantadas em ratinhos imunocomprometidos, alguns clones de PDLSCs formaram estruturas de ligamento periodontal in vivo.
3
De notar que estas células apresentam níveis altos de Scleraxis6 (fator de transcrição específico do tendão), sendo as únicas TDSCs que apresentam este fator e, por isso, funciona como um marcador específico na sua identificação.
Células Estaminais do Ligamento Periodontal de Dentes Decíduos (DePDL)
Em 2010, foram isolados DePDL a partir do ligamento periodontal de dentes decíduos e em comparação com os seus homólogos permanentes são células com maior capacidade proliferativa. Observou-se que embora DePDL e PDSLCs tenham a capacidade de se diferenciar em adipócitos-like e osteoblastos-like in vitro, as DePDL mostram um potencial mais elevado para diferenciação adipogénica enquanto as PDLSCs têm um maior potencial para diferenciação osteogénica.3
Células Estaminais Pluripotentes Induzidas (iPSCs)
As células estaminais pluripotentes induzidas (iPSCs) são células estaminais geradas a partir de células somáticas adultas através de um processo de reprogramação celular.5,12 Este processo teve lugar pela primeira vez em 200612 e desde então o interesse neste tipo de células tem vindo a aumentar continuamente uma vez que permite a criação de células estaminais adultas pluripotentes sem a necessidade de adquirir células pluripotentes de embriões e eliminando as questões bioéticas que isso acarreta.5
Uma vez que as iPSCs são geradas a partir de tecidos adultos, os tecidos dentários apresentam uma fonte promissora de iPSCs dada a sua fácil acessibilidade e recolha. Estas células podem ser utilizadas ao nível da medicina dentária na regeneração de tecidos periodontais e no desenvolvimento e regeneração dentário.
TDSCS LOCALIZAÇÃO MARCADORES DE EXPRESSÃO CAPACIDADE DE DIFERENCIAÇÃO
Positivos Negativos In vitro In vivo
DPSCs Polpa de dentes permanente CD29, CD44, CD73, CD90, CD14 Osteoblastos, adipócitos, Estruturas Dentina-like CD105, CD146, STRO-1, CD34 condrócitos, hepatócitos, Oct-3/4, Sox-2, nanog CD45 células neurais.
SHEDs Polpa de dentes decíduo CD29, CD105, CD146, STRO-1 CD31, Osteoblastos, odontoblastos Formação de dentina, I nduzem CD34 adipócitos, células neurais. a formação óssea nas células
SCAPs Papila apical de dentes CD24, CD29, CD31, CD44 CD14 Osteoblastos, adipócitos, Tecido Dentina-like em desenvolvimento CD73, CD90, CD105, CD106, CD18 condrócitos, hepatócitos, CD146, CD166, STRO-1, Oct-3/4, CD34 células neurais. Sox-2, nanog, survivin CD45, CD150
DFSCs Folículo dentário de dentes CD29, CD44, CD73, CD90 CD14 Osteoblastos, adipócitos, Tecido Ósseo/Cemento-like em desenvolvimento CD105, nestin CD31, condrócitos, hepatócitos, CD34 células neurais CD45 CD117
PDLSCs Ligamento periodontal de CD44, CD90, CD105, CD166 CD14 Osteoblastos/cementoblastos, Tecido do Ligamento dentes permanentes CD146, STRO-1, Oct-3/4, CD34 adipócitos, células neurais. Periodontal/ Sox-2, nanog, nestin CD45 Cemento-like
DePDL Ligamento periodontal CD105, CD166, STRO-1, Oct-4 CD34 Osteoblastos, adipócitos. de dentes decíduos CD45
Tabela 2: Caraterização das Células Estaminais de Origem Dentária. Adaptado de: Saito M.T., Silvério K. G., Casati M. Z., Sallum E. A., Nociti F. H. (2015) Tooth-derived stem cells: Update and perspectives. World Journal of Stem Cells. 7: 399-407
ENDODONTIA REGENERATIVA E ENGENHARIA DE TECIDOS
A polpa dentária é frequentemente lesada por infeções de origem bacteriana, trauma dentário ou procedimentos iatrogénicos. O tratamento endodôntico (TE) de eleição em casos de polpa infetada ou necrosada nos dentes com formação radicular completa consiste na extirpação da polpa lesada e no preenchimento do sistema de canais com um material sintético biocompatível.5 Apesar da sua eficácia clínica no controlo da infeção e eliminação dos sintomas o TE apenas tem como objetivo o selamento do espaço canalar sem ter em conta o restabelecimento da função original.5 Assim sendo, inúmeras complicações, tais como, fraturas dentárias e infeções repetidas podem ocorrer mais frequentemente em dentes com TE devido à sua perda de função sensorial e consequente falta de mecanismos de defesa natural.5 Alguns TE alternativos, tais como a apexificação, têm demonstrado eficácia no processo de promoção da dentinogénese e encerramento apical, especialmente em casos de dentes imaturos, em que a rizogénese se encontra ainda incompleta. Contudo, este tipo de tratamento não permite um contínuo desenvolvimento da raiz e tem como desvantagem a necessidade de cooperação do paciente e ser um processo moroso.5
A endodontia regenerativa providencia a conversão de dentes não vitais em vitais e o seu foco é a substituição da polpa lesada por tecido pulpar funcional.13 A engenharia de tecidos é uma área de investigação multidisciplinar com objetivo principal de restaurar, manter e regenerar tecidos danificados3 com substitutos biológicos criados em laboratório. Esta área, no âmbito da endodontia regenerativa, proporciona-nos uma panóplia de novas perspetivas acerca da revitalização de tecido pulpo-dentinário lesado usando abordagens biológicas que vão mais além dos tratamentos tradicionais.
Utilização de TDSCs em Procedimentos Endodônticos Regenerativos
Os componentes básicos de engenharia de tecidos envolvem uma tríade regenerativa constituída por três elementos básicos interativos: matrizes, moléculas sinalizadoras e células estaminais, que desempenham um papel fundamental no processo de regeneração.3,13,14 As matrizes servem como um modelo tridimensional capaz de guiar e apoiar a formação do tecido a regenerar9,15; fatores de crescimento, que reforçam esta atividade celular induzindo as células a migrar, proliferar e se diferenciarem3,15; e células capazes de uma resposta eficaz que proporcionam a síntese do tecido de regeneração.1 Na área da Endodontia, a engenharia de tecidos divide-se em dois principais procedimentos, sendo eles o cell homing e o cell transplantation.

Fig. 3 Procedimento de Regeneração Pulpar Cell Free
Adaptado de: Albuquerque, M.T.P.; Valera, M.C.; Nakashima, M.; Nör, J.E.; BottinoM.C. (2014). Tissue-engineering-based Strategies for Regenerative Endodontics. Journal of Dental Research. 93(12):1222-1231
Cell homing vs Cell transplantation
O cell homingtrata-se de um método de base cell-free de regeneração do complexo pulpo-dentinário, que induz o recrutamento de MSCs endógenas residentes para o local de regeneração do tecido. Assim, as abordagens cell homing dispensam o transplante de MSCs, o que facilita o processo de regeneração do complexo pulpo-dentinário.16
Alguns estudos pré-clínicos demonstraram já resultados promissores no que toca à aquisição celular no espaço canalar radicular aquando do seu preenchimento com matrizes e fatores de crescimento. Contudo este método carece ainda de mais investigação referente à regeneração do complexo pulpo-dentinário in vivo.
16
O método cell homing apresenta grandes vantagens relativamente ao cell transplantation como menor custo e maior facilidade técnica. Contudo, a baixa densidade de SCs adquiridas através do cell homing e o seu limitado potencial regenerativo implicam algumas dificuldades na regeneração de grandes áreas de tecido danificado.1
Já o procedimento de cell transplantation consiste numa abordagem cell based de regeneração do complexo pulpo-dentinário.16
Este mecanismo implica a colocação de SCs autólogas ou alogénicas diretamente no sistema de canais radiculares16. Trata-se, como já foi referido de um procedimento mais dispendioso que o cell homing e que poderá implicar a necessidade de suprimir a resposta imune do indivíduo de modo o transplante não seja rejeitado pelo organismo, quando se tratam de SCs alogénicas. Até à data foram estabelecidos dois métodos principais para a regeneração do complexo pulpo-dentinário através de cell transplantation:
1. Implantação direta de células isoladas com ou sem matrizes biodegradáveis
2. Implantação de tecidos pré-fabricados compostos por células cultivadas in vitro e matrizes colocadas numa localização anatómica alvo5
Aquando da adoção de citoterapia para regeneração de tecidos pulpo-dentinários, a procura de uma fonte de células estaminais prontamente disponível é da mais alta importância. Como tal, e uma vez que as células estaminais mesenquimatosas do tecido pulpar têm de ser processadas previamente à sua utilização num procedimento transplantar, existe a necessidade da criação de bancos de células estaminais dentárias13. Antes do estabelecimento de um sistema de banco de células estaminais dentárias, o estado e qualidade das células preservadas deverá ser avaliado e monitorizado de forma a quem não hajam variações que venham a influenciar o resultado final da terapêutica.5
Condições necessárias para a regeneração do complexo pulpo-dentinário
Os requisitos críticos para sucesso da regeneração do complexo pulpo-dentinário não se limitam à morfogénese dos tecidos do tipo dentina/polpa, mas deve também ser acompanhada com angiogénese e neurogénese. Atualmente, as estratégias potenciais dedicadas a otimizar a regeneração dentina / polpa mediada por células estaminais são focadas em dois objetivos principais: a indução de angiogénese e a promoção da mineralização do tecido.5 CONCLUSÃO: A engenharia de tecidos da polpa dentária é um campo promissor que pode potencialmente ter um grande impacto sobre a saúde oral. No entanto, o recurso real de elementos necessários para o isolamento e tratamento das células estaminais e características de uma matriz ideal ainda não estão claros. A criação bancos de TDSCs representa assim uma possível fonte continuamente disponível de células estaminais, uma vez que estas podem ser eficazmente criopreservadas com excelente viabilidade e função após serem descongeladas.
Assim, esta área carece de mais investigação para que possa ser cada vez mais aplicada em procedimentos de medicina regenerativa. Em medicina dentária, particularmente na área da endodontia, o uso de células estaminais é promissor no que respeita a processos de reparação/regeneração do complexo pulpo-dentinário, com o restabelecimento da integridade do órgão dentário.
Futuramente para uma aplicação segura e eficaz destas células no tratamento de patologias é necessário desenvolver técnicas de expansão celular eficientes e reprodutíveis. Há também a necessidade de caraterizar imunologicamente e em termos de estaminalidade e diferenciação estas células. O estabelecimento de protocolos e guidelines que orientem o clínico podem representar uma mais-valia na uniformização da metodologia em aplicações terapêuticas celulares.
REFERÊNCIAS BIBLIOGRÁFICAS
1. Da Palma, P.J.R. (2013). Apexificação e Revascularização Pulpar em Dentes Permanentes Imaturos: Estudo experimental in vivo.
Tese de Doutoramento, Universidade de Coimbra
2. Lin, L.M.; Rosenberg, P.A. (2011). Repair and regeneration in endodontics. International Endodontic Journal. 44: 889–906.
3. Saito, M.T.; Silvério, K. G.; Casati, M. Z.; Sallum, E. A.; Nociti, F. H. (2015) Tooth-derived stem cells: Update and perspectives. World
Journal of Stem Cells. 7: 399-407
4. Kashyap, R. (2015). SHED - Basic Structure for Stem Cell Research. Journal of Clinical and Diagnostic Research. 9(3): ZE07-ZE09
5. 5 - Gong, T.; Heng, B.C.; Lo, E.C.M.; Zhang, C. (2016) Current Advance and Future Prospects of Tissue Engineering Approach to
Dentin/Pulp Regenerative Therapy. Hindawi Publishing Corporation: Stem Cells International, Volume 2016: Article ID 9204574
6. Friedlander, L.T.; Cullinan, M.P.; Love, R.M. (2009). Dental stem cells and their potential role in apexogenesis and apexification.
International Endodontic Journal. 42: 955–962
7. Potdar, P.D.; Jethmalani, Y.D. (2015). Human dental pulp stem cells: Applications in future regenerative medicine. World Journal
of Stem Cells. 7(5): 839-851
8. Huang, G. T.-J.; Sonoyama, W.; Liu, Y.; Liu, H.; Wang, S.; Shi, S. (2008). The Hidden Treasure in Apical Papilla: The Potential Role
in Pulp/Dentin Regeneration and BioRoot Engineering. Journal of Endodontics. 34: 645– 651
9. Dhillon, H.; Kaushik, M.; Sharma, R. (2015). Regenerative endodontics—Creating new horizons. Journal of Biomed Mater Res
Part B 00B:000–000.
10. Park, Y.-J.; Cha, S.; Park, Y.-S. (2016). Regenerative Applications Using Tooth Derived Stem Cells in Other Than Tooth Regenera-
tion: A Literature Review. Hindawi Publishing Corporation: Stem Cells International. Volume 2016: Article ID 9305986
11. Saber, S. E.-D. M. (2009).Tissue engineering in endodontics. Journal of Oral Science. 51: 495-507
12. Hynes, K.; Menichanin, D.; Bright, R.; Ivanovski, S.; Hutmacher, D.W.; Gronthos, S.; Bartold, P.M. (2015). Induced Pluripotent
Stem Cells: A New Frontier for Stem Cells in Dentistry. Journal of Dental Research © International & American Associations
for Dental Research 1 –8
13. Kabir, R.; Gupta, M.; Aggarwal, A.; Sharma, D.; Sarin, A.; Kola, M.Z. (2014). Imperative Role of Dental Pulp Stem Cells in
Regenerative Therapies: A Systematic Review. Nigerian Journal of Surgery. 20(1): 1–8
14. Albuquerque, M.T.P.; Valera, M.C.; Nakashima, M.; Nör, J.E.; BottinoM.C. (2014). Tissue-engineering-based Strategies for
Regenerative Endodontics. Journal of Dental Research. 93(12):1222-1231
15. Bansal, R.; Jain, A.; Mittal, S. (2015). Current overview on challenges in regenerative Endodontics. Journal of Conservative
Dentistry. 18(1): 1–6.
16. Cao, Y.; Song, M.; Kim, E.; Shon, W.; Chugal, N.; Bogen, G.; Lin, L.; Kim, R.H.; Park, N.H.; Kang, M.K. (2015). Pulp-dentin Rege-
neration: Current State and Future Prospects. Journal of Dental Research © International & American Associations for Dental
Research 1–8
17. Nosrat, A.; Kim, J.R.; Verma, P.; Chand, P.S. (2014). Tissue Engineering Considerations in Dental Pulp Regeneration. Iranian
Endodontic Journal. 9(1): 30-40
18. Diogenes, A.; Henry, M.A; Teixeira, F.B.; Hargreaves, K.M. (2013) An update on clinical regenerative endodontics. Endodontic
Calendário de Eventos Científicos FORMAÇÃO CONTÍNUA OMD
1º SEMESTRE
Curso para assistente dentário
Curso de higiene e segurança, esterilização e desinfeção de materiais e equipamento. Gestão de resíduos, rotinas de manutenção dos materiais e equipamentos 20 de Maio de 2017 – Hotel Príncipe Perfeito - Viseu
Curso modular de endodontia
3º Módulo – Obturação em endodontia 22 de Maio de 2017 - Crowne Plaza Porto – Porto
Curso modular de implantologia
3º Módulo – Abordagem da zona estética no tratamento com implantes: da cirurgia à prótese 22 de Maio de 2017– Hotel Vip Executive Villa Rica – Lisboa
Curso Conselho Deontológico e de Disciplina
Ética e Deontologia - Discussão de casos reais 2 de Junho de 2017– Hotel de Guimarães Business & Spa – Guimarães
Curso prático | Hands-on | Endodontia
3 de Junho de 2017 - Crowne Plaza Porto – Porto
Curso prático | Hands-on | Implantologia
Curso de fim de dia
8º Curso – Adesão e cimentos na restauração direta e prótese fixa 5 de Junho de 2017 - Crowne Plaza Porto – Porto
Curso hands-on CAD/CAM
Integração radiológica 3D com impressão digital para cirurgia com CAD/CAM 17 de Junho de 2017– Tryp Coimbra – Coimbra
Curso de fim de dia
9º Curso – Retenções intrarradiculares: quais, quando e porquê? 19 de Junho de 2017– Tryp Coimbra – Coimbra
Curso de fim de dia
10º Curso – Ortodontia e DTM 3 de julho de 2017 – Vip Executive Villa Rica – Lisboa
Curso Para Assistente Dentário
Curso de dentisteria, endodontia, e odontopediatria para assistente dentário 15 de julho de 2017 – Novotel Setúbal - Setúbal
Curso de fim de dia
11º Curso – Restaurações cerâmicas aderidas no setor anterior…opções! 17 de julho de 2017 – Hotel Lusitânia – Guarda
Curso Hands-On CAD CAM
Introdução ao CAD/CAM em restaurações unitárias anteriores aderidas 9 de setembro de 2017 – Lisboa - Vip Executive Villa Rica – Lisboa
Curso de fim de dia
12º Curso – correção de defeitos mucogengivais peri-Implantares 11 de setembro de 2017 – Hotel Principe Perfeito – Viseu
Curso para assistente dentário Curso de Prótese Parcial Removível e Fixa para Assistente Dentário
23 de setembro de 2017 – Espaço Físico OMD
Curso de fim de dia
13º Curso – Resolução de complicações de endodontia 25 de setembro de 2017 – Hotel Eva – Faro
Curso de Introdução à Atividade Profissional
Curso SBV/DAE – Cruz Vermelha Portuguesa
7 de outubro de 2017 – RA Madeira Funchal
Curso de Introdução à Atividade Profissional
9 de outubro de 2017 – Hotéis Real Lisboa - Lisboa
Curso para assistente dentário
Curso de ortodontia e implantologia para assistente dentário 14 de outubro de 2017 – RA Açores – Ponta Delgada
Curso de fim de dia
14º Curso – Elevação do seio Maxilar: indicações e técnicas 16 de outubro de 2017 – Hotel dos Templários - Tomar
Cursos teóricos RA Açores
Cirurgia oral 21 outubro de 2017 – Angra do Heroísmo – Espaço Físico da OMD
Curso SBV/DAE – Cruz Vermelha Portuguesa 21 de outubro de 2017 – RA Açores Ponta Delgada
26º Congresso da OMD
16, 17 e 18 de 20017 – Meo Arena - Lisboa
