
9 minute read
TRATAMIENTO COMBINADO ORTO-PERIO DE UNA RECESIÓN GINGIVAL
DR. DOMINGO MARTÍN Máster Ortodoncia de Valencia. Ortodoncista de práctica exclusiva en San Sebastián. DRA. TERESA IRIARTE Máster Ortodoncia USC (Santiago de Compostela). Ortodoncista de práctica exclusiva en San Sebastián. DRA. AMAIA MATÉ Máster Ortodoncia UCM (Madrid). Ortodoncista de práctica exclusiva en San Sebastián.
Advertisement
RESUMEN
Se presenta un caso clínico para describir el tratamiento multidisciplinar de la recesión gingival de un incisivo inferior. El origen de la recesión fue la activación de un retenedor fijo de ortodoncia, que produjo el movimiento de la raíz del incisivo fuera de la cortical vestibular.
El tratamiento de la recesión comprendió una primera fase de ortodoncia, previa a un injerto conectivo bilaminar. El objetivo del tratamiento de ortodoncia fue corregir el torque del incisivo, es decir, mover la raíz del dentro de hueso, para mejorar las condiciones para realizar el injerto, y así el pronóstico del mismo.
Se consiguió cumplir el objetivo principal del tratamiento, que era mejorar la situación periodontal del incisivo y corregir la recesión gingival. Además, con el tratamiento ortodóncico se obtuvo un resultado funcional y estéticamente ideal. PALABRAS CLAVE: recesión gingival, tratamiento orto-perio, injerto conectivo, retención fija.
ABSTRACT
It is presented a case report describing the multidisciplinary treatment of a gingival recession in a lower incisor. The cause of the recession was the unexpected activation of an orthodontic bonded retention, which produced a buccal movement of the root of the incisor out of the cortical bone.
The treatment of the recession consisted of an initial phase of orthodontic treatment to correct the torque of the incisor, improve the position of the root inside the bone and, therefore, improve the prognosis of the connective tissue graft.
The main goal of the treatment was achieved, as the recession was successfully corrected. Additionally, with the orthodontic treatment it was obtained a functional and esthetically ideal result.
INTRODUCCIÓN
Las retenciones fijas son utilizadas frecuentemente para mantener los dientes en la posición obtenida con el tratamiento de ortodoncia.1,2 Aunque la retención fija ha demostrado ser un modo efectivo, predecible y respetuoso con la salud periodontal, no está exenta de riesgos.3
El fracaso de las retenciones fijas normalmente se debe a la fractura o al descementado.3 Asimismo, el uso a largo plazo de retenciones fijas está asociado a una mayor acumulación de placa a nivel lingual de los incisivos inferiores, con el consiguiente aumento en la profundidad de sondaje y riesgo de recesión gingival.4
Entre las complicaciones menos frecuentes, existen dos que merecen especial atención debido a los problemas que producen.5 Son las complicaciones producidas como consecuencia de la torsión de alambre, que según cómo o dónde se produzca, puede tener dos posibles efectos: 1) inclinación de todos los dientes produciendo un canting o 2) cambio de torque entre dos dientes adyacentes. Esta última es la que está más asociada a las recesiones gingivales, ya que desplaza la raíz fuera de la cortical.5 (Fig.1.)
La prevalencia de estas complicaciones menos frecuentes está estimada entre un 2,7% y un 5% de todos los casos.6 Como posibles factores asociados se incluyen: 1) errores en el cementado de la retención como la falta de pasividad del arco7, 2) inestabilidad en el arco que forma la retención8 o 3) la activación debida a un trauma mecánico.6
En los casos donde la raíz queda fuera de la cortical, la mejora de la posición de la raíz dentro del hueso por medio de ortodoncia ha demostrado ser beneficiosa en la reducción de deshiscencias y recesiones, lo cual puede ser especialmente ventajoso si se planea realizar un injerto a posteriori.9
Los procedimientos periodontales más comunes para el tratamiento de las recesiones gingivales son el injerto de tejido conectivo sobre lecho bilaminar, la reposición coronal o desplazamiento lateral, o la combinación de ambas.10,11 En este artículo describimos el tratamiento ortodóncico-periodontal de una recesión gingival de un incisivo inferior.
Fig.1. Ilustración que explica el fenómeno de cambio de torque entre dos dientes adyacentes. Imagen cedida por cortesía por Kevin O’Brien’s Orthodontic Blog, April 2018.
CASO CLÍNICO
Anamnesis:
Paciente de 30 años. No fumadora. Previamente tratada con ortodoncia y tras unos años comenzó la recesión gingival. Sin antecedentes de enfermedad periodontal. Resumen diagnóstico ortodóncico:
La paciente presenta una clase I esquelética, con un perfil recto y una exposición gingival correcta en sonrisa.
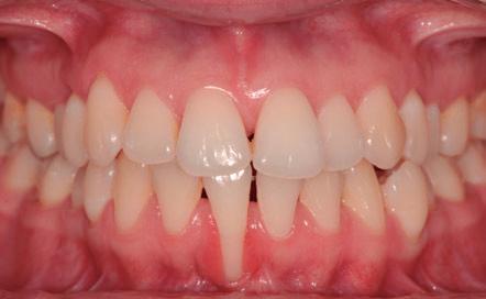
En la foto de sonrisa (Figura 2, derecha), observamos unos márgenes gingivales desnivelados y triángulos negros entre los incisivos superiores, debidos a la inclinación o tipo distal excesivo y a la forma triangular de los incisivos. En la foto intraoral, observamos una gran recesión gingival a nivel del 4.1 (Figura 2, izquierda).
A nivel oclusal tiene una clase I molar y canina en el lado derecho y en el lado izquierdo presenta una clase II canina y una clase I molar. Presenta una mordida cruzada del 3.4, los incisivos inferiores proinclinados y la sobremordida está disminuida (Fig. 2).


Fig.2. Foto de sonrisa, llama la atención el triángulo negro entre 1.1 y 2.1 (izquierda). Foto intraoral frontal, destaca la recesión gingival del 4.1 (derecha).

Fig.3. Fotos intraorales. Obsérvese la discrepancia óseo-dentaria superior e inferior, la sobremordida disminuida.

Resumen diagnóstico periodontal:
El 4.1 presenta una recesión gingival avanzada debido a la posición de la raíz en relación a una cresta estrecha y un periodonto fino (Fig. 2).
Plan de tratamiento:
El tratamiento multidisciplinar consistió en una primera fase de ortodoncia, con el objetivo principal de mejorar la posición de la raíz del 4.1 dentro del hueso, como paso previo a un recubrimiento radicular de conectivo.
A continuación se detallan los objetivos del tratamiento ortodóncico completo: • Alinear y nivelar. Desgaste interproximal para resolver la discrepancia óseodentaria negativa superior e inferior.
Corregir la mordida cruzada del 3.4 y mejorar la sobremordida. • En la arcada inferior, corregir el torque del 4.1, llevando la raíz hacia lingual. • En la arcada superior, corregir la inclinación mesio-distal de 1.1 y 2.1 y recontornear las coronas, para subir el punto de contacto entre 1.1 y 2.1 y así cerrar el triángulo negro entre ellos.
En cuanto a la parte del tratamiento periodontal, consiste en un injerto en 4.1 de tejido conectivo sobre lecho bilaminar, una vez re-introducida la raíz en los confines del alveolo. (Fig.6)
Fig.4. Radiografía panorámica inicial.
Secuencia de tratamiento (Fig. 5):
Imagen 1: foto intraoral inicial.
Imagen 2: tras alinear la arcada inferior, colocamos un “warren spring” para dar torque radicular lingual al incisivo inferior.
Imagen 3: añadimos composite en la base del bracket del incisivo inferior para lingualizarlo y así producir un “creeping attachment” o “inserción reptante” del tejido blando y el recubrimiento óseo.
Imagen 4: una vez mejorada la posición del incisivo dentro del hueso, se mantuvo ferulizado durante tres meses hasta que el tejido conectivo del injerto madurara, para mejorar el pronóstico del mismo.
Imagen 5: situación periodontal previa al injerto: persiste grieta gingival a pesar del movimiento a lingual de la raíz.
Imagen 6: tras realizar el injerto periodontal, se observa un recubrimiento radicular completo y tejido mimetizado con el entorno.
Imagen 7: re-alineando del incisivo en la arcada.
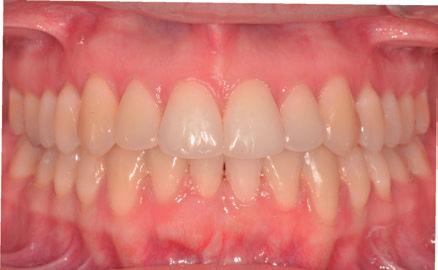
Imagen 8: foto intraoral tras finalizar el tratamiento.


Fig.6. Imágenes de la cirugía periodontal. Injerto conectivo bilaminar (izquierda), imagen de la sutura (derecha).

1


3


5


7 2

4
6
8
Fig.5.


COMPARATIVA INICIO/FIN




Fig.8. Fotos intraoral y de sonrisa inicial (imagen superior) y final (imagen inferior).
DISCUSIÓN
La necesidad de re-tratamiento ortodóncico debida a una complicación por la retención fija depende de la severidad del caso. Si solo se produce un ligero desalineamiento dentario, con frecuencia conseguimos una recuperación espontánea simplemente con la retirada de la retención fija y haciendo un poco de desgaste interproximal. 12 Sin embargo, cuando suceden cambios significativos en el alineamiento de los incisivos, a veces es necesario un retratamiento de ortodoncia y, en casos severos, incluso un tratamiento periodontal.
Se han descrito varias técnicas de cirugía periodontal para cubrir una recesión gingival, aunque el injerto de reposicionamiento apical CTG o con derivado de matriz de esmalte, es el de elección en las zonas anteriores y de premolares.
CONCLUSIÓN
Los re-tratamientos ortodóncicos debidos a complicaciones causadas por las retenciones fijas, a parte de alargar la duración del tratamiento, elevan el coste de tratamiento. Por ello, cuando a un paciente se le prescribe una retención fija, es necesario realizar controles cada seis meses e instruirlo para poder identificar un problema y así poder actuar con rapidez y prevenir problemas mayores.
BIBLIOGRAFÍA
1. Renkema, A.M.; Sips, E.T; Bronkhorst, E.; and Kuijpers-Jagtman, A.M.: A survey on orthodontic retention procedures in the Netherlands, Eu. J. Orthod. 31:432-437,2009.
2. Pratt, M.C.; Kluemper, G.T.; Hartsfield, J.K. Jr.;Fardo,D.;and Nash, D.A.: Evaluation of retention protocols among members of the American Association of Orthodontists in the United States, Am. J.Orthod. 140:520-526,2011.
3. Lie Sam Foek, D.J:Ozcan,M.;Verkerke, G.J.;Sandham,A.; and Dijkstra,P.U.: Survival of flexible, braided, bonded strainless steel lingual retainers: A historic cohort study, Eur.J.Orthod.30:199-204,2008.
4. Pandis, N.; Vlahopoulos,K.;Madianos, P.; and Eliades, T.:Long-term periodontal status of patients with mandibular lingual fixed retention, Eur. J.Orthod.29:471-476,2007.
5. Marek, I. and Kucera, J.: Twist-effect, X-effect and other unexpected complications of fixed retainers,LKS. 25:98-106,2005. 6. Katsaros,C.; Livas, C.; and Renkema, A.M.: Unexpected complications of bonded mandibular lingual retainers, Am. J. Orthod. 132:838-841,2007.
7. Pazera, P.; Fudalej, P.; and Katsaros ,C.: Severe complication of a bonded mandibular lingual retainer, Am. J. Orthod. 142:406-409,2012.
8. Zachrisson,B.J.:Third generation mandibular bonded lingual 3-3 retainer, J. Clin. Orthod.29:39-48,1995.
9. Engelking, G.and Zachrisson, B.U.: Effects of incisor repositioning on monkey periodontium after expansion through the cortical bone, Am. J. Orthod.82:23-32,1982.
10. Wolf, H.F.;Rateitschak, E.M.;Rateitschak, K.H and Hassell, T.M.:Color Atlas of Dental Medicine: Periodontology, Georg Thieme Verlag, Stuttgart, Germany, 2005.
11. Kassab, M.M. and cohen, R.E.: Treatment of gingival reccesion , J.Am. Dent. Assoc.133:1499-1506,2002.
12. Aasen, T.O. and Espeland, L.: An approach to maintain orthodontic alignment of lower incisors without the use of retainers, Eur. J.Orthod.27:209-214,2005.