
13 minute read
ARTÍCULO CIENTÍFICO
LOS MISTERIOS DEL PASO DEL TIEMPO
FERNANDO FOMBELLIDA CORTÁZAR
Advertisement
Doctor en Medicina y Cirugía. Especialista en Estomatología. Director del Curso-Taller de Cirugía Mucogingival en periodoncia e implantes para el dentista general. Dedicación exclusiva a periodoncia e implantes en clínica Dr. Fombellida en San Sebastián. Autor de los libros "Cirugía Mucogingival", "La elongación coronaria para el práctico general" y "Regeneración tisular guiada".
Suelo plantear y defender que el éxito de un tratamiento lo de ne el paso del tiempo. Para bien o para mal, el transcurso de los años, pone las cosas en su sitio. De modo que el típico “Resultado al año” presente en múltiples presentaciones o publicaciones, aporta, en mi opinión, un valor relativo. Para ser conscientes y darnos cuenta de la evolución que siguen nuestros tratamientos, es importante disponer de controles fotográ cos periódicos. Fotogra ar nuestros casos nos va a permitir seguir su evolución con mayor objetividad. Cuando observamos la evolución de nuestros casos, comprobamos que algunos se mantienen estables en el tiempo. Otros empeoran, sobre todo cuando se han manejado situaciones extremas y los hay que incluso mejoran. Algunos casos presentan evoluciones sorprendentes, un tanto curiosas, sin que tengamos una explicación científica sólida de lo que está ocurriendo. El objetivo del presente artículo, es mostrar la evolución que tienen los autoinjertos libres epitelizados (ALE) y los injertos de tejido conectivo (ITC), a largo plazo. Uno de los fenómenos que voy a presentar ya está descrito en la literatura científica, pero el resto son, en mi opinión, novedosos y a la vez, sorprendentes.
CASO CLÍNICO Nº 1
La inserción reptante en los autoinjertos libres epitelizados terapéuticos y su estabilidad a lo largo del tiempo
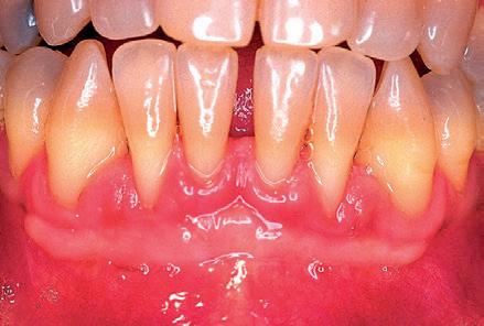
Lo que ocurre en este primer caso, al estar ya descrito en la literatura cientí ca, es el menos sorpresivo de los cuatro casos que se presentan. Sin embargo, no por ello deja de ser un fenómeno, en mi opinión, llamativo. Para interpretarlo correctamente, nos tenemos que situar a principios de la década de los noventa. La paciente S. G. de 26 años, desarrolló recesiones gingivales a nivel de 31 y 41 (Fig. 1). En aquella época, una de las técnicas quirúrgicas más frecuentemente empleada para el cubrimiento de las recesiones gingivales era el autoinjerto libre epitelizado, descrito por Holbrook y Oshenmbein en 1983.

Fig 1: Año 1990. Mujer de 26 años que presenta recesiones gingivales a nivel de 31-41.
Fig 2: Sutura del autoinjerto libre epitelizado al lecho receptor. Se crea un nuevo margen gingival.

La gura nº2, muestra el tejido donante suturado al lecho receptor. El margen del injerto, se sitúa a nivel de la línea amelocementaria. La gura nº 3, muestra la cicatrización temprana a los dos
meses. Se puede apreciar una pérdida parcial del injerto en su porción coronal. Está descrito en la literatura cientí ca que en recesiones estrechas, cuando se logra un óptimo control del bio lm sobre la super cie radicular expuesta, la encía puede reptar y acabar por cubrir la parte de la raíz expuesta. Este fenómeno, que
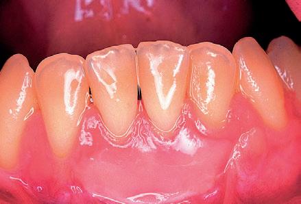
suele desarrollarse durante el primer año, no es nada nuevo y ha sido descrito ampliamente en la literatura cientí ca con el término de inserción reptante. En la gura nº 4, se muestra el resultado al año. Se aprecia cómo el injerto ha reptado hasta cubrir completamente la super cie radicular. Pero deseo insistir nuevamente en la idea de que el resultado al año, tiene tan solo un valor relativo. ¿Esta inserción reptante se mantiene estable a lo largo de los años o por el contrario, tiene cierta tendencia a la recidiva? La gura nº 5, muestra el caso 25 años después. En este periodo, la paciente se ha sometido a un segundo tratamiento ortodóntico, para resolver una recidiva. Se puede comprobar que tanto la encía que reptó, como todo el injerto en su conjunto, se mantienen estables a lo largo del tiempo.

Fig 3: Cicatrización temprana. Se ha creado una dimensión volumétrica de tejido queratinizado adecuada, se ha profundizado el vestíbulo, pero se ha perdido una pequeña cantidad de tejido donante, quedando una pequeña porción de las raíces sin cubrir.

Fig 4: Resultado al año. Se ha producido el fenómeno de inserción reptante. La encía ha cubierto la totalidad de la super cie radicular expuesta. Compárese con la Fig 3. Pero, ¿se mantiene estable esta inserción reptante a lo largo de los años? Fig 5: Resultado a los 25 años. La encía obtenida por medio de la inserción reptante, se mantiene estable 25 años después.

CASO CLÍNICO Nº 2
¿Pueden los autoinjertos libres epitelizados pro lácticos cubrir la super cie radicular?
Los injertos profilácticos, se emplean habitualmente en casos de recesiones múltiples, donde no es posible lograr un cubrimiento

Fig 6: Año 1995. Varón de 55 años que presenta recesiones gingivales generalizadas, con pérdida de inserción a nivel interproximal.
radicular completo y donde la estética no es una de las principales preocupaciones para el paciente (Fig nº 6). A diferencia de los injertos terapéuticos, los injertos profilácticos no pretenden cubrir la superficie radicular expuesta. El objetivo es aumentar la cantidad de encía insertada existente, para evitar el avance de las recesiones. Por lo tanto, se trata de poner un stop al avance de la recesión sin que se pretenda, en ningún momento, modificar la ubicación del margen gingival.
Se realizó un autoinjerto libre epitelizado submarginal, es decir, respetando la pequeña banda de encía queratinizada existente, con la técnica de injerto en acordeón que se extendió de 33 a 43. La gura nº 7, muestra la cicatrización temprana. Como era de esperar, se ha logrado aumentar la cantidad de encía insertada,
por debajo del margen gingival, situándose éste en su posición original. Lo llamativo de este caso es que, transcurridos 12 años, la encía ha migrado hacia incisal y ha cubierto parcialmente las super cies radiculares expuestas (Fig nº 8). Es curioso observar cómo con el transcurso de los años se ha remodelado el tejido blando, otorgándole un contorno y un volumen muy diferentes a los que se aprecian en la gura nº 7.
Diferencias entre el caso 1 y el caso 2
En el primer caso, se ha eliminado el margen gingival existente y se ha creado un nuevo margen gingival con el injerto (Fig. 3). A partir de este nuevo margen gingival, la encía ha reptado y ha logrado cubrir la super cie radicular que aún permanecía expuesta (Fig. 4)≤. Sin embargo, lo ocurrido en el segundo caso no deja aún de sorprenderme y no logro ofrecer una explicación clara de lo ocurrido. Tampoco he tenido ocasión de ver en la literatura cientí ca publicaciones al respecto. Tuve ocasión de consultar personalmente este caso con el Dr. Gri n (jefe del departamento de periodoncia de la Universidad de Tufts, en Boston). En su opinión, también se trata de un caso de inserción reptante. Di ero de esta explicación, ya que la inserción reptante se produce cuando se crea un margen gingival nuevo y no se logra cubrir por completo la super cie radicular. En mi opinión, lo ocurrido podría responder a un remodelado gingival que cambia de volumen y forma, no solo en sentido coronal, sino también en sentido apical y en espesor. Este remodelado, ¿es el que puede “empujar” la encía en sentido coronal sin que ello responda a una inserción reptante?.

Fig 7: Cicatrización temprana. Se realizó un autoinjerto submarginal. Se aprecian de manera nítida los límites que de nen el injerto y el margen gingival que ha sido respetado. El injerto, ha logrado crear una adecuada dimensión volumétrica de encía insertada y ha profundizado el vestíbulo. En ningún momento se ha pretendido cubrir la super cie radicular.

Fig 8: Resultado a los 12 años. Compárese con la Fig 7. El injerto ha sufrido un profundo remodelado con el paso del tiempo, modi cándose su contorno, volumen y cubriendo parcialmente las super cies radiculares expuestas. ¿Cómo es posible que ocurra este fenómeno con un injerto submarginal?
CASO CLÍNICO Nº 3


Un autoinjerto libre epitelizado con un comportamiento caprichoso
Para interpretar adecuadamente este caso, debemos situarnos de nuevo en la década de los noventa. Mujer de 19 años que desarrolló recesiones gingivales durante el transcurso del tratamiento ortodóntico. Llama la atención la

Fig 9: Año 1997. Mujer de 19 años que presenta recesiones gingivales en 31-41. Se aprecia un biotipo extremadamente no y ausencia de profundidad vestibular.
presencia de un biotipo extremadamente no y una ausencia de profundidad vestibular. (Fig. 9) Se realizó un autoinjerto libre epitelizado a nivel del 31 y 41 con el que se cubrió totalmente la super cie radicular expuesta. Se creó una dimensión volumétrica de encía insertada adecuada y se profundizó el vestíbulo (Fig. nº 10). A diferencia del primer caso, el injerto cubrió desde el primer momento la totalidad de la super cie radicular, por lo que no fue necesario que se desarrollara la inserción reptante.
A partir de ahora, vamos a focalizar la atención en el diente 42. Su encía es na y transparente. El injerto no abarcó esta zona debido a las características de la bromucosa palatina. La paciente se marchó a vivir a Escandinavia y acudió de nuevo a nuestra consulta nueve años después. ¿Qué había ocurrido durante este periodo de tiempo? Nada sorprendente hasta el momento. Había ocurrido lo que tenía que ocurrir, es decir, el desarrollo de una recesión a nivel del 42 y la excelente estabilidad del autoinjerto libre epitelizado del 31-41 (Fig. nº 11). Sin embargo, lo realmente sorprendente tiene lugar 19 años después de haberse practicado el injerto, es decir, diez años después de la imagen que se muestra en la Fig. 11. La encía insertada localizada en 31 y 41, se desplaza lateralmente hacia el diente 42 (Fig. nº 12) dotando a este diente de una adecuada cantidad de encía insertada. Es como si se hubiera producido un ALE pro láctico de manera espontánea a nivel del 42, lo que implica un stop en el avance de la recesión de este diente.
Comentario:
Quizá lo más llamativo de este caso radica en que la extensión lateral no estaba presente a los nueve años de haber sido realizado el injerto, como puede observarse en la Fig. nº 11 y habría que plantearse por qué se ha desarrollado con posterioridad esta expansión lateral. A día de hoy, no tengo ningún razonamiento científico que justifique lo ocurrido. Tampoco en la literatura científica consultada he podido encontrar ningún caso similar. Está descrito que los autoinjertos libres epitelizados, suelen sufrir una contracción primaria (que se produce nada más obtener el injerto) y una contracción secundaria (que se produce durante la etapa de cicatrización y meses posteriores). Se ha descrito también cierto engrosamiento de los autoinjertos libres epitelizados con el paso del tiempo, pero en la literatura científica no se menciona la expansión lateral hacia los dientes vecinos, es decir, el proceso contrario a la contracción.

Fig 10: Resultado a los 2 años. Se ha cubierto completamente la super cie radicular expuesta y se ha creado una adecuada cantidad de tejido queratinizado. En este caso, no se produjo el fenómeno de inserción reptante, ya que el injerto cubrió desde el primer momento, la totalidad de la super cie radicular. Sin embargo, hay que prestar atención a la encía del 42, que es extremadamente na.

Fig 11: Resultado a los 9 años. El injerto se mantiene estable, pero se ha desarrollado una recesión a nivel del 42. Fig 12: Resultado a los 19 años. Compárese la diferencia con la Fig 11. Curiosamente, el injerto se ha extendido, de manera espontánea hacia el 42, dotándole a éste de una adecuada cantidad de encía insertada. ¿Por qué ha tardado tantos años el injerto en desarrollar este fenómeno?

CASO CLÍNICO 4
¿Pueden los injertos de tejido conectivo comportarse de manera similar a un autoinjerto libre epitelizado?
Mujer de 19 años remitida a nuestra consulta para tratar una dehiscencia de tejido blando que presentaba un implante localizado a nivel del 22 y que había sido colocado un año antes, debido a una agenesia. Esta paciente, había sido sometida durante su adolescencia a tratamiento ortodóntico. Los datos más relevantes de este caso son la presencia de un biotipo festoneado y fino y unas pequeñas retracciones en la encía marginal de 21 y 23 (pero no en el 22), así como
la existencia de dehiscencia ósea moderada en estos dientes. (Fig 13)
Para tratar la deshiscencia de tejido blando, se realizó un injerto de tejido conectivo submarginal asociado a un colgajo reposicionado (no desplazado) (Fig 14). En la g 15, se aprecia la cicatrización temprana con un buen sellado de la dehiscencia. La paciente
es remitida a su odontólogo de referencia y acude de nuevo a nuestra consulta nueve años más tarde. Lo curioso de lo ocurrido es que aunque el injerto fue ubicado en una posición submarginal, con los años sufre un cambio en su forma y volumen, desplazando a la encía en sentido coronal a nivel del 22 y cubriendo las pequeñas recesiones existentes en 21 y 23. (Fig 16) Lo llamativo de este caso es que el tejido blando ha cubierto parte de la corona del 22. Si bien guarda ciertas similitudes con el caso número 2, ya que ambos injertos tienen una ubicación

Fig 13: Año 1997. Mujer de 19 años que presenta una fenestración en el tejido blando, correspondiente a un implante colocado a nivel del 22. Se aprecia un biotipo extremadamente no y pequeñas recesiones en 21 y 23.

Fig 14: Se elevó un colgajo submarginal con dos incisiones liberadoras. El injerto de tejido conectivo, se ubicará sobre el lecho óseo y será cubierto por el colgajo. En ningún momento se involucra el margen gingival. Fig 15: Cicatrización temprana. La fenestración ha sido reparada.


Fig 16: Resultado a los 9 años. El injerto, ha sufrido un remodelado, con un cambio en su forma y volumen. Curiosamente, el margen gingival que se había respetado, se ha desplazado en sentido coronal sobre la corona del implante, cubriendo las pequeñas recesiones existentes en 21 y 23. Compárese con la Fig nº 13.
submarginal, se presenta una diferencia sustancial que merece la pena remarcar. En el caso número 2, existía una recesión y el tejido blando se había remodelado sobre la super cie radicular expuesta. En este último caso, sin embargo, no existía una recesión, habiendo crecido el tejido blando sobre la corona del implante, otorgándole una corona clínica más corta que la inicial.
BIBLIOGRAFÍA
Fombellida, F., Martos, F. Cirugía Mucogingival. Ed. Team Work Media España. 2004.
