
42 minute read
LA ENTREVISTA
Fotoarte: Editorial Renascence | Fotografía: AdobeStock

Advertisement
CDEO. Analy Reséndiz López. Profesor e investigador de la UAM Xochimilco
PS.Jacobo Eliut Gatica Guadarrama. PS Diego Alejandro Cenobio Castillo.
PS Dayann Mishel Cambrón Cruz. Pasante de la licenciatura de Odontología UAM Xochimilco
El objetivo de este artículo es presentar el caso clínico de una rehabilitación con carillas de cerómero como una opción estética para restaurar dientes anteriores temporales. Se realiza una descripción de la técnica así como factores que deben considerarse en la toma de decisión para el uso de este tratamiento.
Rehabilitación estética
con carillas de cerómero en incisivos temporales superiores. Caso clínico
A
La caries dental y los traumatismos
dentoalveolares son las principales causas de afectación en los incisivos temporales, dando lugar a alteraciones en la oclusión de la dentición temporal y en algunos casos, la permanente.1

Históricamente ha sido un gran problema y reto a la vez para la odontología infantil restaurar y al mismo tiempo promover la función y estética a los dientes anteriores superiores temporales.2,3 Debido al incremento en la demanda de una apariencia natural para la restauración de dientes anteriores hoy día en el mercado existen varias opciones que ofrecen posibilidad de rehabilitar de forma estética los incisivos. Este caso muestra una opción más dentro de las existentes.3,4
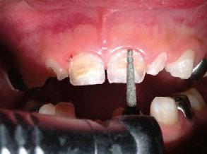
Figura 1. Foto inicial de la paciente.
Caso clínico
Paciente femenina de 3 años de edad que requiere rehabilitación de los incisivos superiores, la madre de la paciente solicita que el tratamiento sea lo más conservador y estético posible.
El requerimiento estético por parte de la madre de la paciente es fundamental para la decisión de la confección del plan de tratamiento, selección del material y preparación de la restauración (Figura 1).
Se inicia la preparación con desgaste mínimo de las superficies vestibulares con fresa diamantada de punta redondeada, el desgaste es mínimo solo tratando de hacer más uniforme la superficie, ya que el grosor de las carillas será de aproximadamente .5 mm, en el área cervical vestibular se realiza una terminación

B

Figura 2. Preparación.
tipo “chaflán”, en los incisivos laterales se retira lesión cariosa con fresa de bola diamantada del núm. 6 (Figura 2).
En cuestión de minutos se realiza la preparación ya que solo se realiza un ligero desgaste en la zona vestibular con fresa troncocónica de punta redondeada y la remoción del tejido dañado en zonas interproximales con fresa de bola de diamante, se procede a la toma de impresión con silicona con un manejo de material en 2 tiempos.
Se envía a laboratorio dental impresión, antagonista en yeso piedra y mordida en cera, solicitando la elaboración de 4 carillas de cerómero en color B1 (Figura 3).
Una vez conformadas las carillas se realiza prueba inicial para verificar ajuste marginal e interproximal para posteriormente realizar profilaxis en los dientes a restaurar.
Al comprobar el ajuste, se realiza el acondicionamiento del área de adhesión aplicando en la superficie dental ácido fosfórico al 35% durante 15 segundos, con posterior lavado y secado, despues





A


Figura 3. Carillas en modelo con vista vestibular y palatino.
Figura 4. Colocación de ácido fosfórico, tratando de generar microretención, ayudando al mejor anclaje y estabilidad de las carillas. B


Figura 5. Colocación de sistema adhesivo.
se coloca con microbrush el adhesivo (Figura 4 y 5).
Se coloca resina dual sobre la carilla y se lleva a la preparación ejerciendo una ligera presión, ayudando al correcto posicionamiento y fluido del material excedente, de igual forma se provecha la presencia de este material excedente para favorecer el sellado en las áreas que, por la naturaleza de la lesión, quedaron irregulares en la preparación.
Se retiran excedentes con microbrush y desliza hilo dental entre las zonas interproximales antes de polimerizar, con el fin de evitar la unión entre las carillas. Se fotopolimeriza por 3 segundos logrando que la resina dual endurezca ligeramente y se logre retirar el material excedente. Se continúa fotopolimerizando por 20 segundos más. Para finalizar, con papel de articular, se verifica la correcta oclusión del paciente y la ausencia de puntos prematuros de contacto, aunque cabe señalar que no se realizó desgaste en cara palatina.
Por último, se realizó pulido de carillas con discos, siguiendo el protocolo correspondiente (Figura 6).

Figura 6. Pulido de carillas.
Figura 7. Visión palatina de carillas


Figura 8. Vista vestibular de carillas. Figura 9. Restauraciones terminadas y en oclusión. 8
Conclusión
La rehabilitación de dientes anteriores temporales ha sido de gran debate durante varias décadas, debido a que se busca obtener funcionalidad, durabilidad y estética, con materiales que requieran de un procedimiento sencillo, dadas las condiciones conductuales que se presentan al tratar a un paciente pediátrico. Las carillas de cerómero son una excelente opción cuando el paciente requiere de un manejo poco invasivo y estético. Estas carillas requieren poco desgate y por lo tanto menos estímulos al paciente, facilitando el manejo conductual, especialmente en los pacientes menos cooperadores.
9
Referencias
1. Humprey W. Use of Chrome Steel in children’s dentistry. Dent Surv.1950; 26: 945-949. 2. Woo D, Sheller B. Dentists’ and parents’ Perceptions of Health, Esthetics and Treatment of Maxillary Primary Incisors. Pediatr Dent. 2005; 27(1):19-23. 3. Holan G, Abu M. Parent’s attitude toward their children’s appeareance in the case of esthetic defects on the anterior primary teeth. J Clin Pediatr Dent. 2009; 34(2):141-46. 4. Resendiz A, Castro C. Rehabilitación estética en Odontopediatría con carillas de SR Adoro en incisivos superiores temporales. Odont Pediatr Act 2015; 4(11) : 6-10

Desastres

Fotoarte: Editorial Renascence | Fotografía: AdobeStock

en implantología oral
Thomas Graber.
1B 1A
La implantolog ía oral ha tenido
un auge impresionante en los últimos 15 años, principalmente debido al inter és económico del clínico, que ve a la implantolog ía oral como un salvavidas económico para su profesión.

Sin embargo , la implantolog ía no est á considerada como especialidad con todo y que algunas universidades del pais la incluyan en sus progamas de postgrado como: especialidad en periodoncia e implantes, especialidad en prostodoncia e implantes, especialidad en prótesis fija removible e implantes. Sin embargo la implantología oral s í requiere de conocimientos muy amplios y complejos en cirugía, oclusión, prótesis fija y removible, periodoncia, endodoncia y odontología estética.
Debido a esta complejidad de los tratamientos con implantes el international team for implantology (ITI ) estableció el concepto S. A. C. (Sencillo, avanzado y complejo) el cual tiene 3 áreas las que serían S. A. C. quirúrgico, S. A. C. protésico y S. A. C. estético.
Una vez que vemos e stas clasificaciones, su conexión y su complejidad podemos decir con toda certeza que la implantolog ía oral no es un procedimiento que se puede brindar a nuestros pacientes sin la experiencia, conocimientos y responsabilidad del clínico que en muchísimas ocasiones solo cuenta con un curso en implantolog ía oral de fin de semana otorgado por la marca comercial que vende los implantes o , en el mejor de los casos , un diplomado impartido por docentes con dudosa preparación (los implantes dentales no son como taquetes en la pared que cualquiera puede colocar, es necesario adquirir los conocimientos y habilidades que nos den la experiencia y seguridad en lo que hacemos).
Mencionar é algunos de los resultados más comunes que en lo particular considero como desastres en implantolog ía y que tienen su origen en una mala o muy deficiente preparación acad émica.
Caso 1
Paciente que se sometió a cirugía de 4 implantes para soportar prótesis fija atornillada, el implante colocado en la zona del primer premolar inferior derecho (Figura 1A). Se colocó con técnica sin colgajo (flap-less), sin guía quirúrgica, sin mapeo, sin tomografía computarizada TC . El resultado se muestra en la Figura 1B . Se comentó con el C. D. Tratante que manifiesta no saber c ómo interpretar la TC ni cómo elaborar un mapeo, se llega a la siguiente evaluación: falta de conocimientos y habilidades para colocar implantes (flap-less).








colocar aditamento original con original
Caso 2
Paciente que se presenta con dolor en la ATM refieriendo que a partir de la colocación de sus prótesis sobre implantes el dolor temporomandibular se presentó y se ha incrementado con el paso del tiempo, despues del exámen oral de rutina y toma de la de radiografía correspondiente se llega a la siguiente, conclusión: se colocó un tornillo endodóntico en el implante correspondiente al primer molar superior derecho que se supone fue colocado al no contar con el tornillo de fijación indicado por la marca de los implantes que se colocaron, rompiendo la regla de “colocar aditamento original con original”, y que despues de aflojarse ocasiona que la corona tenga movilidad teniendo mala oclusión y presente dolor; tambien la corona del implante correspondiente al segundo premolar derecho no bajó hasta la plataforma por ser cementada con cemento semiendurecido evitando así que el cemento fluya, ocasionando que la corona tenga contacto prematuro y siendo otro factor para presentar dolor en la articulación (Figura 2).
Evaluación: falta de experiencia y conocimientos, ademas de un completo desconocimientos de las consecuencias de improvisar.

2
Caso 3
Paciente que se presenta despues de que su tratamiento según su C.D. ya ha terminado y quejándose de que no puede comer correctamente despues de gastar tanto dinero (Figura 3).
La valoración y conclusión de este caso es bastante sencilla. Los 2 implantes inferiores y sus coronas tienen una dirección en su eje longitudinal que está dirigido al espacio correspondiente al que ocuparia el primer molar superior derecho.

Evaluación: el desconocimiento de los protocolos quirúrgicos y la falta de experiencia y habilidad se pueden considerar como los factores determinantes en el fracaso en este procedimiento.
“2 implantes para hacer oclusión con un solo molar que no existe”.
3
Caso 4
Paciente referido a la clínica, con molestia en la mejilla y dolor en fondo de saco a la altura del segundo premolar superior izquierdo, la molestia inició a los 2 dias despues de su cirugía para colocarle un implante dental. En su exámen de rutina se determina que existe inflamación, enrojecimiento y temperatura (indicadores de infección), se le practica una tomografía computarizada en la que se descubre la malposición del implante, (Figura 4A), que fue colocado en posición muy externa y practicamente sin soporte óseo. Evaluación: el protocolo de colocación de implantes flap-less es una técnica que requiere de habilidad, conocimientos anatómicos, experiencia y el manejo correcto de guias quirúgicas elaboradas con la ayuda de la tomografía computarizada (Figura 4B).

4A 4B
5A

5B

Caso 5
Paciente que se presenta al consultorio para solicitar asesoría como perito, en la demanda por 5 millones de pesos por daño moral al C.D. que le realizó un tratamiento con implantes y que después de 18 meses de que se le colocaron 2 implantes en la posición que ocuparian los órganos dentales no. 12 y 22, con la intención de colocar una prótesis de 4 unidades, el paciente ha padecido durante todo este tiempo molestias como dolor constante, rinitis y mal olor en su respiración. En el exámen intraoral de rutina presenta una prótesis fija de 6 unidades que el paciente declara no haber sido lo propuesto por su dentista en un principio ya que lo que se le propuso originalmente fue una prótesis fija de 4 unidades soportada por 2 implantes. Se ordena la toma de una ortopantomografía (Figura 5A) y se descubre que uno de los implantes está colocado en una posición sumamente elevada. Su dentista le responde a la paciente, “todas las molestias que presenta son normales ya que el implante del lado derecho está dormido”.
Evaluación:se puede deducir que el C.D. que llevó a cabo este acto quirúrgico no realizó ningún estudio previo a la colocación de los implantes y simplemente se aventuró a colocarlos con técnica flap-less, tampoco consideró ni evaluó por ningun medio si existía hueso en calidad y cantidad en la zona de colocación, esto queda claro al ver en la radiografía (Figura 5A) que el implante en cuestion no tiene tornillo de cicatrización de primera intención, lo que nos da la idea clara de que al colocar el implante este nunca fue colocado en hueso, sino entre hueso y tejido blando y al irse tan profundo y atravesar el piso de la nariz el tornillo de cicatrización no se pudo colocar por la profundidad del implante y la falta de visibilidad por no haber abierto un colgajo (Figura 5B).
Conclusión: el C.D. fue demandado por el paciente por la vía civil, las razones por las que perdió el caso fueron: la falta de un expediente clínico conforme a la norma oficial nom-004-SSA3-2012 y la imposibilidad de demostrar que contaba con los estudios que lo consideraran competente para la colocación de implantes dentales.
Caso 6

Paciente que se presenta al consultorio para solicitar asesoria como perito, en la demanda por daño moral, por 2 millones de pesos . Se realiza exámen intraoral de rutina presentando una prótesis fija soportada por 3 implantes, (Figura 6 ) los cuales presentan movilidad severa por no tener suficiente soporte óseo, la paciente reporta dolor, mal olor, dificultad y molestia extrema al masticar los alimentos, por suaves que estos sean.
Se realiz ó una entrevista con el C.D. tratante donde refiere que pretendió utilizar la técnica de flap-less, acepta no tener la experiencia y que realizó el tratamiento como un mecanismo de aprendizaje, sin considerar las posibles consecuencias legales que esto le pudieran oca sionar.
Evaluación: la falta de preparación y capacitación para ser competente en la colocación de implantes dentales fue evidente en este caso, el resultado de la demanda fue una conciliación por medio de un acuerdo donde se compromete el C.D. tratante a devolver el monto del dinero que cobró y pagar los gastos para una rehabilitación total con implantes, la cual se realizó por medio de regeneración ósea (ingerto óseo autólogo) y la colocación de 4 implantes y una prótesis fija atornillada de metal -porcelana.
6


7A
Caso 7
Paciente que se presenta en la clínica para solicitar una solución a sus molestias por la colocación de 2 implantes en los espacios de los órganos dentales 12 y 13, se realiza exámen de rutina donde se observa que la paciente tiene un provicional de acrílico de 6 unidades, (Figura 7A) se toma la ortopantomografía indicada (Figura 7B) mostrando un conflicto en cuanto a cuál sería el que se rehabilite. Lo que nos hace pensar si estos implantes fueron colocados por el mismo plomero que colocó estos mingitorios (Figura 7C). Evaluación: despues de levantar un colgajo se puede observar que los implantes estan rodeados de tejido fibroso conectivo y secreción purulenta, (Figura 7D) debido a que por falta de irrigación suficiente, se sobrecalentó el hueso en el momento del fresado para realizar el lecho implantario, se podría considerar que el mal resultado en este tratamiento se debió a una muy evidente falta de conocimientos, experiencia y habilidades por parte del C.D. que realizó la colocación.

7C

7B 7D
8A

Caso 8
Paciente que se presenta con fractura bilateral de su placa acrílica montada sobre barra atornillada. Se realiza el exámen de rutina y se puede observar cómo la barra tiene un movimiento de balanceo, se ordena la ortopantomografía en la cual se pueden ver los implantes colocados sin paralelismo, lo cual no representa gran problema, el problema es que la barra simplemente no ajusta de manera pasiva sobre los implantes, esa es la razón por la cual las tenciones acumuladas al ocluir, aflojan los tornillos y hace que se pierdan como se puede observar en la Rx. (Figura 8A), de los 6 implantes superiores solo 2 tienen tornillos de fijación.
Evaluación: el desconocimiento de cómo funciona una sobredentadura por el clínico y el laboratorio dental llevan al fracaso los tratamiento:
• En primer lugar: este tipo de implantes no cuentan con aditamentos para corregir la falta de paralelismo. • En segundo lugar: si se cuela una barra para sobredentadura, se debe dejar enfriar el cuele, por lo menos por 24 hrs. antes de abrirlo, para así evitar que se tuerza el metal, de esta forma es como quedará ajustada la barra de forma pasiva. • En tercer lugar: la barra tendría que haberse encerado de forma anatómica, es decir, con soportes metalicos tipo muñón para darle soporte a los dientes y que tenga más fuerza y resistencia a la masticación, evitando así las fracturas de dientes y de la placa en general (Figura 8B) .
8B

9
Caso 9
El paciente se presenta para que se rehabilite su implante, se le realiza su exámen de rutina y no se puede determinar la marca de implante que se utilizó, principalmente porque, por lo que yo estoy enterado, no existen implantes con tornillos de cicatrización fabricados en cobre, bronce o latón que serían los metales de color más cercanos al color del que traía el paciente (amarillo)(Figura 9), al solicitar información con el maxilofacial que lo colocó, y así poder ver la posibilidad de comprar el aditamento más adecuado posible para la fabricación del la prótesis, la respuesta fue sorprendente para mí, solo dijo : “la rehabilitación es problema tuyo yo solo coloco implantes, no los rehabilito”.
Evaluación: se colocó el implante, nuevamente sin el mas mínimo conocimiento de los protocolos quirúrgicos, protésicos y sin guía quirúrgica.
Caso 10
Paciente que se presenta con parestecia unilateral del lado izquierdo y problemas de dolor, mal olor, y dificultad para triturar alimentos. A la altura del primer molar inferior izquierdo, en su exámen de rutina se detecta una gran bolsa periodontal y su encía en esa zona se observa enrrojecida, inflamada y purulenta, al realizar la ortopantomografía correspondiente (Figura 10), se descubre una gran destrucción ósea ocasionada por una periimplantitis severa, 2 implantes que soportan solo una corona total y que estan atravesando el conducto del nervio dental inferior, razón por la que presenta la parestecia
Evaluación: los posibles razonamientos que se proponen para justificar este tratamiento podrían ser:
• Primero: ignorancia total de una planeación quirúrgica (tomografía, guía quirúrgica), protésica, de soporte de cargas, oclusión y en general falta de educación en implantología oral. • Segundo: y el más triste, cobrar 2 implantes para rehabilitar una sola pieza dental.
Conclusión
Los tratamientos con implantes dentales son una maravilla en cuanto a resultados estéticos y funcionales. No hay nada más satisfactorio que poder ver la sonrisa de un paciente que después de años de no poder reír o comer adecuadamente salga de nuestro consultorio con una sonrisa de alegría al poder morder nuevamente una manzana, esto se lo debe el paciente al tiempo de educación que nosotros como clínicos comprometidos le dediquemos a nuestra preparación acad émica. Para esto puedo mencionar que durante mi vida profesional no he visto una organización tan grande y tan comprometida con la educación como el ITI International team for implantology y junto con el ITI academy nos brindan la oportunidad de estar preparados en implantolog ía oral a nivel mundial.
Solo tenemos que entender que la mision del ITI es :
“Promover y d iseminar el conocimiento de todos los aspectos de la implantología oral y la regeneración tisular guiada a través de la formación y la investigación en beneficio de los pacientes” .

10




Una sonrisa puede conquistar el mundo. Una sonrisa puede conquistar el mundo. Los brackets de la familia Quick. Los brackets de la familia Quick.
Solo hace falta un instante. Basta con pisar una sala para Solo hace falta un instante. Basta con pisar una sala para conquistarla. Cuando una persona se siente segura, se muestra conquistarla. Cuando una persona se siente segura, se muestra y afronta la vida con positivismo. Una sonrisa brillante y el y afronta la vida con positivismo. Una sonrisa brillante y el mundo es nuestro. mundo es nuestro. Lo que hace por sus pacientes es mucho más que un simple Lo que hace por sus pacientes es mucho más que un simple tratamiento ortodóncico. Les prepara para brillar más y pisar tratamiento ortodóncico. Les prepara para brillar más y pisar con más fuerza, en todos los aspectos. con más fuerza, en todos los aspectos.
Foto: Luis Seminario / www.marca5sentidos.com Foto: Luis Seminario / www.marca5sentidos.com




Prevalencia de torus palatinos y mandibulares
Objetivo: Dar a conocer la prevalencia de torus palatino y mandibular en los pacientes que acuden a la Clínica de Operatoria Dental durante el periodo agosto 2019-enero 2020 en la Facultad de Odontología UAGro en pacientes de ambos géneros con un rango de 18 a 50 años de edad.
Tipo de estudio: Transversal, observacional, descriptivo material y método: La recolección de datos se llevó a cabo dentro de los horarios de la clínica establecidos por parte de la Facultad de Odontología de la UAGro, con cada paciente se realizó el llenado de una historia clínica, además de solicitar la firma de una carta de consentimiento informado en dicho documento se le menciona al paciente el objetivo del estudio a realizar, una vez aceptado y firmado, se procedió a la recolección de datos, primero por medio del uso de un cuestionario con 12 preguntas en donde el paciente asignaba una respuesta considerando su autopercepción, de manera clínica se procedió a la inspección bucal y mediante el uso de un formato diseñado por columnas se elaboró una tabla que serviría para vaciar los datos obtenidos, en dicho formato se incluían, edad del paciente, sexo, tipo de torus localizado ya sea en el maxilar o mandíbula, predisposición a estrés, etc. para posteriormente dar los resultados de cada uno de los objetivos antes mencionados y del cuestionario de estrés.
Resultados: Dentro de los resultados obtenidos se expresan que de los 150 pacientes que acudieron a la Clínica de Operatoria Dental durante dicho periodo, únicamente se detectaron de manera general a 73 pacientes en total que tenían presencia de torus en la cavidad oral, por lo tanto representa un 49% de los pacientes de la muestra, también tenemos a 77 pacientes que representan estos un 51% del total, en los cuales no se localizó ningún tipo de torus. La diferencia entre ambos es poco significativa en términos estadísticos pues corresponde al 1% de diferencia, por lo tanto se demuestra que s í existe una alta incidencia en la presencia de torus. De manera específica dentro de los 79 pacientes con presencia de torus corresponden
Fotoarte: Editorial Renascence | Fotografía: AdobeStock
Muñúzuri Arana Lourdes Hilda, Vargas Zuñiga Luis Martín, Trejo Muñuzuri Tanya Paulina, Vega Torres Rubi, Luna Gómez Juan Manuel, Adams Ocampo Julio Cesar.
1. Cuerpo Académico de Investigaciones Odontológicas CA 174, Facultad de Odontología-UAGro. 2. Universidad Hipócrates 10711@uagro.mx
en pacientes que acuden a consulta en la Clínica de Operatoria Dental en la Facultad de Odontolog ía UAGRO durante el periodo ago o 2019-enero 2020
al sexo masculino 21 pacientes ( 9 con torus palatino y 12 con torus mandibular), en el sexo femenino se localizó la presencia de torus en 52 pacientes ( 16 con torus palatino y 36 con torus mandibular) por lo que existe mayor predominancia en la prevalencia del torus mandibular en el sexo femenino. Referente al rango de edades de los 18 a los 20 años se localizaron 2 pacientes con torus, de los 31 a 40 años se localizaron a 24 pacientes con torus y de los 41 a los 50 años encontramos a 39 pacientes con torus , lo que consideramos realmente relevante y demuestra que la edad con mayor incidencia en aparición de torus es de los 41 a 50 años. Tomando en cuenta el valor total de los 79 pacientes que resultaron con torus acorde con la encuesta aplicada con relación al estrés dentro de los resultados obtenidos se localizó a 59 pacientes con estrés y a 14 pacientes sin estrés , esto significa que hay un valor muy alto en correspondencia a la presentación del estrés.
Conclusión: Los resultados que se presentan en esta investigación son de mucha relevancia ya que de 150 pacientes, los torus presentes fueron en una proporción de 2 a 1 entre mujeres y hombres. Se observó un predominio de los torus mandibulares aunque se necesitan estudios más amplios para determinar la presencia real de esta afección y su epidemiología en la población en general. Bibliografia: (Abubaker, O., Benson, K. Oral and Maxillofacial Surgery Secrets. Editorial Mosby. Segunda Edición. 2017. 2. Donado, M. Cirugía Bucal Patología y Técnica. Editoral Masson. Segunda Edición. 1999. Pág. 499-500. 3. Neville, B.W., D. Damm, C. Allen, J. Bouquot. Oral & Maxillo facial Pathology. Segunda edición. 2002. Pág. 2l. 4. Rev. Gastroenterol. Peru2004; 24: 343-348 Cavidad oral, torus palatinusy Torus Mandibulares 6. Sapp, P., Eversole, L.R. y WysockiG. Patología Oral y Maxilofacial Contemporánea. Editorial Harcourt. Segunda Edición. 2018. Pág. 106 7. Winkler, S. Prostodoncia Total. Editorial Limusa. Primera Reimpresión. 2017. Pág. 109110. García A, Martinez J, M. Gómez R., Soto A., Oviedo L. (2018). Current stantus of the torus palatinus and torus mandibularis. Medicina Oral, Patología Oral y Cirugía BUCAL. P. 353-360).
Desde el siglo pasado diferentes
autores, como Fox y Danniels (2016), trataron de definir el torus desde el punto de vista clínico e histopatológico. Al igual que las exostosis y osteomas, los torus son considerados como lesiones tumorales benignas, aunque no son neoplasias verdaderas. En realidad son excrecencias de hueso cortical denso, comúnmente localizados en 2 puntos específicos en el paladar duro y en la parte lingual de la mandíbula: los torus pueden presentar formas lobuladas consistentes localizadas como una masa pedunculada lobulillar que puede surgir a partir de una base única , también pueden presentarse multilobulados, es decir , con múltiples protuberancias cada una con base individual; éstas pueden unirse con surcos entre ellas unilaterales, múltiples y sobre la línea milohioidea su localización más común es en la región de los premolares”. (Rodríguez Lolymar, Santos Marina,
Medina Adriana (2000). Torus and bony exostosis. revision of the literature. Acta Odontológica Venezolana,37, 2).
Los torus se presentan en la línea media del paladar duro como un aumento de volumen circunscrito de consistencia dura pétrea, de mucosa subyacente muy fina, de color normal, pero ocasionalmente la mucosa puede estar hipocoloreada. (Felgueroso Rodríguez B, Ramos Moreno MA, Segovia Torres M. Torus mandibular: revisión. Foros de Patología de la Universidad Rey Juan Carlos. 2009 [citado 22 nov 2010]).
Aunque generalmente son asintomáticos, se requiere de intervención quirúrgica únicamente cuando éstos son grandes e interfieren en la confección y uso de alguna prótesis dental a utilizar, también cuando obstaculizan la higiene oral e interfieren en la función masticatoria o deglutiva, pudiendo provocar molestias ya que se han reportado casos donde el tamaño de los torus mandibulares bilaterales es excesivo e interfiere con los movimientos de la lengua.
Los torus palatinos y mandibulares están recubiertos por una capa extremadamente delgada de tejido y por esta razón, pueden irritarse con mucha facilidad con ligeros movimientos en caso del uso de una prótesis dental, ya que la textura fina de la mucosa genera que el paciente no tolere una oclusión cargada de la misma prótesis dental. (Jiménez Palacios C. Condiciones no patológicas de la cavidad bucal. Acta Odontológica Venezuela. 2019 [citado 21 mar 2011]; 39 (3):98-9. Disponible en: http://www. scielo.org.ve/scielo.php?script=sci_arttext&pid=S000163652001000300015&lng=es&nrm=iso).
Garguilo y Arrocha en 1967 y Czuszah y cols., 1996, describen que después de realizar injertos gingivales libres, se podían observar la formación de torus o exostosis en áreas en las cuales se realizaron dichos injertos. propone 3 teorías que explican la existencia de estas protuberancias óseas luego de realizar injertos libres de encía. (Garguilo A. & Arrocha R.: (1967). Histochemical evaluation of free gingival grafts. Periodontics, 5:285-291).
Habitualmente los torus se desarrollan al principio de la etapa adulta y están relacionados al bruxismo, masticación, factores genéticos y ambientales. El tamaño de los torus varía con el tiempo y son de crecimiento lento.
Los torus y exostosis normalmente aparecen en mujeres después de los treinta años de edad, en una proporción de mujer: hombre de 2:1 (Shafer y Levi 1987). En niños son sumamente raros. (Schelegel, 1986; Pynn y cols., 1995).
Para establecer el diagnóstico es fundamental el realizar un examen clínico intraoral, así como una completa anamnesis, la revisión de los tejidos orales es de suma importancia. Se deben aliviar cualquier tipo de irregularidades y molestias propias de la mucosa provocadas por tejido óseo (torus mandibulares o palatinos, exostosis, etc.).
A pesar de que su etiología es desconocida, se han formulado diferentes teorías multifactoriales, pero no excluyentes, que explican la naturaleza genética en la formación de estas excrecencias óseas. (Suzuki y Sakai 1960; Sellevold, 1980; Seah,1995; Gorsky y cols., 1996; Nolte y cols.,1997), ambiental (Pynn y cols, 1995; Seah, 1995; Nolte y cols, 1997), funcional (Johnson, 1959 ; Ossemberg, 1981; Pynn y cols. 1995; Czuszah y cols., 1996; Nolte y cols., 1997 )
El estrés se considera como un conjunto de eventos que involucran a la persona y al entorno, el cual debilita y pone en riesgo la salud personal de quien lo padece, la teoría ambientalista se

enfoca precisamente en los estímulos ambientales los cuales pueden alterar o perturbar la psique o al cuerpo, esta teoría es utilizada en psicopatología, y sustenta que el estrés se localiza fuera de la persona es decir se encuentra en el ambiente. (Zitnik GA, Curtis AL, Wood SK. (2016). Adolescent Social Stress Produces an Enduring Activation of the Rat Locus Coeruleus and Alters its Coherence with the Prefrontal. Neuropsy chopharmacology, p. 41, 24, 25).
Con lo anterior es que surge una posible relación entre el estrés y los padecimientos dentales como son el bruxismo y torus mandibular por mencionar algunos. Dentro de los factores etiológicos del bruxismo se encuentran los estados emocionales como la ansiedad, depresión y situaciones de estrés. (Von-Bischhoffshausen-P, Kristine, Wallem-H, Andrea, Allendes-A, Alfonso, & Díaz-M, Rodrigo. (2019). Prevalencia de Bruxismo y Estrés en Estudiantes de Odontología de la Pontificia Universidad Católica de Chile. International journal of odontostomatology, 13(1), 97-102. https://dx.doi.org/10.4067/S0718381X2019000100097). El bruxismo es una forma de descargar tensiones emocionales y vitales. Es nuestro cerebro quien descarga dichas tensiones a los músculos masticatorios y esto se traduce en un apretamiento inconsciente de los dientes. (Martina Pino, Pablo Núñez. (23 agosto 2016). Los casos del Bruxismo aumentan el Stress. Colegio de odontólogos y estomatólogos de valencia, 33, 12, 13).
Existen teorías que mencionan la reacción funcional al estrés masticatorio. El estrés masticatorio, asociado a cargas funcionales estimula el crecimiento del torus (Eggen S. (2015). Torus Mandibularis: an estimation of the degree of genetic determination. surgeon dental, 25, 11, 12, 13). Se realizó un estudio de series de casos en el periodo comprendido entre septiembre de 2015 y marzo 2016 en la población atendida en el Departamento de Estomatología de la Policlínica Pedro Díaz Coello del municipio Holguín, República de Cuba, conformado por 132 pacientes captados. Los torus palatinos y mandibulares se presentaron con mayor frecuencia en el grupo de edades comprendidas entre 35 y 59 años, el 54.17%. El sexo donde predominaron los torus palatinos y mandibulares fue el femenino con el 75% del total. Un total de 48 pacientes presentaron torus, 24 en el paladar, el 50%. La forma de aparición de ambos tipos de torus fue el lobulado. Se reportó una mayor prevalencia de torus en mujeres (64.63%) que en hombres (35.37%), en una relación 2 a 1. (Batista Sánchez, Tamara, Jorge Figueredo, Elizabeth, Estrada Moreno, Alba Rosa, Jardines Grégori, Tamara, & Tamayo Ávila, Juan Oniel. (2013). Torus mandibulares y palatinos en pacientes atendidos en la Policlínica Pedro Díaz Coello. Correo Científico Médico, 17(3), 315-319. Recuperado en 06 de septiembre de 2020, de http://scielo.sld.cu/scielo. php?script=sci_arttext&pid=S1560)
Es de suma importancia considerar las repercusiones y consecuencias del estrés como una de las causales de efectos nocivos para la salud dental de los habitantes del Puerto de Acapulco de Juárez del Estado de Guerrero, algunos de los pacientes con torus son detectados durante la consulta de práctica diaria, pero con regularidad los pacientes no saben que presentan exostosis y desconocen su significado, los síntomas, las posibles causas de aparición y su probable vínculo con el estrés. La relevancia de la presente investigación se basa en los datos obtenidos en la Clínica de Operatoria Dental de la Facultad de Odontología UAGro durante el periodo agosto 2019 a enero 2020, reportando los casos existentes de torus palatino y torus mandibular
presentes , asimismo la edad, sexo, localización y forma de presentación más frecuente en pacientes de género femenino y masculino correlacionándolo con el estrés que presentan los encuestados en un rango de edades de entre los 18 a 50 años y que autorizaron participar en esta investigación.
Objetivos
Objetivo general
Dar a conocer la prevalencia de torus palatino y mandibular en los pacientes que acuden a la Clínica de Operatoria Dental durante el periodo agosto 2019 al mes de enero 2020 en la Facultad de Odontología UAGro en pacientes de género femenino y masculino con un rango de 18 años a 50 años de edad.
Objetivos específicos
• Determinar el sexo más afectado por torus palatino y mandibular. • Indicar cuál es el tipo de torus más predominante. • Reconocer la edad con mayor frecuencia de torus. • Establecer la cantidad de pacientes con estrés
Tamaño de la muestra
La muestra estuvo constituida por 150 pacientes de ambos sexos con un rango de edad de los 18 a los 50 años que asistieron a la consulta externa de las Clínicas de la Facultad de Odontología de la UAGro, estos fueron seleccionados al azar conforme ingresaron a la Clínica de Operatoria Dental durante el periodo que comprende el mes de agosto del año 2019 a enero 2020.
Tipo de estudio
Transversal, observacional, Descriptivo.
Método y recolección de datos
La presente investigación se realizó en el periodo comprendido del mes de agosto 2019 a enero 2020 en la Clínica de Operatoria Dental, la recolección de datos se llevó a cabo dentro de los horarios de la clínica establecidos por parte de la Facultad de Odontología UAGro, a cada paciente se le realizó su historia clínica, además de la entrega de la carta de consentimiento informado para su aceptación y firma explicándole el objetivo del estudio a realizar, se procedió a la recolección de datos y como primer paso se le entregó un cuestionario con 12 preguntas en donde el paciente asignaba una respuesta considerando


su autopercepción; mediante el uso de un formato diseñado por columnas se elaboró una tabla para vaciar los datos obtenidos, en dicho formato se incluyó edad del paciente, sexo, tipo de torus localizado ( este dato se obtuvo con la observación e inspección intrabucal en la clínica) ya sea en el maxilar o mandíbula, bilateral o unilateral, nivel de estrés, para posteriormente finalizar con las gráficas de los resultados obtenidos..
Definición de torus palatino y mandibular
La palabra torus tiene su origen en el latín que significa tumor o protuberancia circular y no se considera como una condición patológica, sino una variación anatómica. (Piera N, Daniele N, Villalain D. Valoración clínica de proliferaciones de tejido duro en la cavidad bucal. Rev. Medicina Oral 2002; p. 97-102).
El torus palatino y mandibular se define como una anomalía que se caracteriza por presentarse en forma de un cumulo de células que a su vez forman tejidos, los cuales puedes ser óseos o blandos, son comúnmente hallados en la mandíbula o el paladar, aunque también exista una variedad de tipo lingual. Considerado también como un relieve óseo benigno localizado en el paladar duro en mandíbula a manera de protección del organismo antes fuerzas exógenas con frecuencia e intensidad no deseadas, es decir son un refuerzo óseo. (Cortes,J.V, (2006) Torus mandibular. Revista clínica de medicina de familia. p. 242-244.estructura ósea del torus palatino). Los torus y las exostosis son consideradas lesiones que se presentan en los maxilares como prominencias compactas, la mayoría de las veces son asintomáticas recubiertas por mucosa de aspecto sano, en las superficies vestibulares y linguales o palatinas de los maxilares y que muchas veces impiden el asentamiento adecuado de una prótesis dental. (Manotas, I., Pertuz V., Suárez L. (2005). Torus palatino, torus mandibular y exostosis maxilares. Duazary ; 2: p. 115-123)
El torus palatino (TP) se presenta como una excrecencia nodular formada por hueso cortical denso. Son asintomáticas y de crecimiento lento. Generalmente, aparecen a cada lado de la línea media del paladar duro, siendo más frecuentes en adultos y en el sexo femenino, estos crecimientos óseos se unen y forman una única protuberancia.
El torus palatino está cubierto por una mucosa delgada, estirada y a veces pálida; con frecuencia sufre traumatismos formando úlceras de cicatrización lenta. En algunas ocasiones puede manifestarse un surco central sobre el torus. Radiográficamente el TP se presenta en la línea media del paladar como una sombra radiopaca que se proyecta hacia atrás,

superpuesta en la zona dental y los senos maxilares. (Manotas I, Estévez E. torus palatino, torus mandibulares y exostosis de los maxilares en pacientes de la Clínica Odontológica de la Universidad del Magdalena Colombia, año 2006. Revista Ciencias Biomédicas. 2010; p. 47-53). M, (2016). Morfological and clinical characteristics of the torus palatinus and torus mandibularis in a simple o young and adults, Romanian people. Rom J Morphol Embryol, p. 139-144).
Como posibles orígenes también se considera al tipo de alimentación como deficiencia de suplementos ricos en calcio y el tipo de dieta. (García A, Martinez J, M. Gómez R., Soto A., Oviedo L. (2010). Current stantus of the torus palatinus and torus mandibularis. Medicina Oral, Patología Oral y Cirugía BUCAL. P. 353360).
Dentro de los factores ambientales desencadenantes de esta patología se hace referencia a:
• Estrés: se presentan como consecuencia de la hiperfunción masticatoria, abrasión dentaria o bruxismo. • Enfermedades periodontales y procesos infecciosos del tejido conectivo cercano a la línea gingival. • Hábitos alimenticios: estando relacionados con el nivel de consumo de ácidos grasos polisaturados y vitamina D, ya que están involucrados en el proceso de crecimiento óseo.
La presencia de torus ha resultado tener positiva correlación con la presencia de desgaste oclusal, así como con la presencia de trastornos de la articulación temporomandibular y el aumento de la edad.
Dentro de los factores ambientales se considera como un detonante “el factor del estrés del paciente”, ya que, al presentar estrés, el paciente tiende a desarrollar otros hábitos dañinos para la salud dentaria como hiperfunción masticatoria, bruxismo o abrasión. (Ihunwo, A; Phukubye, P (2016). Frecuency and Anatomical Features of Toris Mandibularis in a Black South African Population, Homo, p. 253-262).
Etiología
La etiología de estos crecimientos óseos como torus palatino y torus mandibular es desconocida sin embargo algunos autores y estudios refieren que se podría deber a varios factores de aspecto genético, anomalías en el desarrollo, infecciones, desnutrición, uso de drogas respecto a la teoría del desarrollo y crecimiento de los torus se le asocia a una interacción de factores genéticos y factores ambientales, mientras que otros autores mencionan que la aparición de estas exostosis es gracias a una transferencia autosómica dominante, ya que hay una alta reincidencia genética de torus entre padres e hijos. (Scrieciu M, Mercut V, Birjovanu C, Stan M, Marinescu R, Niculescu M, Iorgulescu D, Bataiosu
Clasificación según su localización:
Al Quaran & Al Dwairi; clasifican los torus en 2 grandes grupos: torus palatino y torus mandibular. (Al Quran, F. A. & Al-Dwairi, Z. N. (2016). Torus palatinus and torus mandibularis in edentulous patients. J.Contemp. Dent. Pract., 7(2):112-119).
Torus palatino
Corresponde a un crecimiento del proceso (apófisis) palatino de la maxila (maxilar superior), presentándose en forma de espolón o nodular, que se extiende en sentido anteroposterior en la línea media del paladar.
A su vez el torus palatino según Lee y cols.; en 2001 los clasifica de la siguiente manera:
• Tipo I: el torus recorre desde el foramen incisivo a la espina nasal posterior a lo largo de la sutura palatina mediana. • Tipo II: El torus palatino va desde el foramen incisivo a la sutura palatina transversa a lo largo de la sutura. • Tipo III: El torus palatino va desde la parte posterior del maxilar a la parte más posterior de la espina nasal a lo largo de la sutura palatina media. • Tipo IV: El torus palatino se restringe a la parte posterior del maxilar a lo largo de la sutura palatina media
Torus mandibular
Se manifiesta como un reborde óseo lobular que surge a lo largo del borde lingual de la mandíbula por arriba de la cresta del músculo milohioideo. Estos torus son habitualmente bilaterales y se presentan con mayor frecuencia en zona de premolares. También pueden presentarse de manera unilateral. (Al Quran, F. A. & Al-Dwairi, Z. N.(2006). Torus palatinus and torus mandibularis in edentulous patients. J. Contemp. Dent. Pract., p.112).
Clasificación según su forma:
• Torus llanos o planos: El torus mandibular se presenta como una protuberancia ligeramente convexa con una superficie lisa. En el torus palatino esta protuberancia se ubica ampliamente de manera simétrica en ambos lados del paladar.
• Torus lobular: Se presenta como forma de masas, pedunculada, sésil o lobular, pueden surgir de una sola base. Se aplica para ambos tipos de torus.
• Torus nodular: protuberancias múltiples, cada uno con base individual, pueden unirse formando surcos entre ellos, se aplica en ambos tipos de torus.
• Torus en forma de hueso: se presenta a lo largo del rafe palatino medio, a lo largo de la zona del torus palatino y en forma bilateral en el caso de los torus mandibulares.
Clasificación según su tamaño:
El crecimiento del torus es gradual, siendo mayor en la segunda o tercera década de la vida, por lo general el crecimiento de los torus es relativo y varía acorde a cada estudio realizado, Chew define el tamaño de los torus como pequeño, mediano y grande, dejando una relación directa entre el tiempo que prevalece en un paciente esta anomalía con el crecimiento de la misma.
Se clasificó a los torus según su tamaño de la siguiente manera: Torus pequeños: Alcanzan tamaños no mayores de 3 mm.
Torus medianos: Oscilan de 3 a 5 mm.
Torus grandes: Alcanzan tamaños mayores de 5 mm.
Clasificación de torus según su número:
Torus unilateral único

Torus unilateral múltiple
Torus bilateral único
Torus bilateral múltiple
Referencias
1. Arévalo, I.I.A. (25 de octubre de 2018). Torus Palatino, Torus Mandibular y exostosis maxilar. Recuperado el 18 de noviembre 2018, de Revista de salud:http:77revistas.unimagdalena.edu.co/index.php/ duazary/article/view/293/26. 2. Herrera Casarrubias Deissy. (2017). Impacto del estrés psicosocial en la salud. Revista Electrónica de
Neurología, Universidad de Veracruz 8 ed, p. 5. 3. Ihunwo, A; Phukubye, P (2016). Frecuency and Anatomical Features of Toris Mandibularis in a Black
South African Population, Homo, p. 253-262. 4. Jiménez Palacios C. Condiciones no patológicas de la cavidad bucal. Acta Odontol Venezuela. 2001 [citado 21 mar 2011]; 39 (3):98-9. Disponible en: http://www.scielo.org.ve/scielo.php?script=sci_arttext&pid=S0001-63652001000300015&lng=es&nrm=iso
5. Kerdpon D, Sirirungrojying S. A clinical study of oral tori in southemr Thailand: Prevalence and the relation to parafunctional activity. Eur J Oral Sci. (2000);1: p.9.http://www.scielo.org.pe/scielo.php?script=sci_nlinks&ref=448730&pid=S1022-512920040 6. Madera MV, Jiménez MC, Luna LM. Prevalencia de torus palatino y mandibular en niños de una escuela pública de Cartagena, Colombia. ADM (2012); 70 (4): 197-201. 7. Manotas I, Estévez E. torus palatino, torus mandibulares y exostosis de los maxilares en pacientes de la Clínica Odontológica de la Universidad de Magdalena, año 2006. Revista Ciencias Biomédicas. 2010; p. 47-53. 8. Manotas, I., Pertuz V., Suárez L. (2005). Torus palatino, torus mandibular y exostosis maxilares. Duazary ; 2: p. 115-123). 9. Martina Pino, Pablo Núñez (2016) Los casos del Bruxismo aumentan el Stress. Colegio de odontólogos y estomatólogos valencia. Boletín Antropológico, 33,12,13. 10. 1Martins,D; Lata. P; Martins, T; Bussadori, K; Ferndandez, S. (2007). Toro palatino e mandibular: revisión de literatura. Conscientice Saude, p.62. 11. 1Meza Flores JL. Cavidad oral: torus palatinus y torus mandibularis. Rev Gastroenterol Perú. 2004 [citado 21 feb 2018]; 24(2): 343-48.Disponible en:http://www.scielo.org.pe/scielo.php?script=sci_arttext&pid=S1022-51292004000400007&lng=es&nrm=iso 12. 1Miranda Gutiérrez, Michel Sánchez. (2015). Torus palatinos y mandibulares en pacientes que acuden a consulta al Servicio de Odontología del Hospital Militar Regional de Acapulco, Guerrero. sanidad militar, 74, 1,2. 13. 1Philip Sapp J, Lewis R, Eversole George P. Patología oral y maxilofacial contemporánea. 2da. ed. Madrid: Mosby Elsevier; 2016. 14. 1-Piera N, Daniele N, Villalain D. Valoración clínica de proliferaciones de tejido duro en la cavidad bucal. Rev. Medicina Oral 2019; p. 97-102. 15. 1Prieto, K; (2015). Diagnóstico y Tratamiento del Torus Palatino y Mandibular; Odontoespacio. p.130 16. 1Reyes Campos MJ, Díaz Toral LG, García Miranda GA, Jesús Sandoval R, Zarza Alcántara ME. Torus mandibular eliminado bajo analgesia acupuntural en paciente con alergia a anestésicos convencionales: Caso clínico. Rev Mexicana Anest. 2006 [citado 22 nov 2010]; 29 (2):109-15.Disponible en: http:// www.medigraphic.com/pdfs/rma/cma-2006/cma062i.pdf 17. 1Rodríguez Lolymar, Santos Marina, Medina Adriana (2020). Torus and bony exostosis. revision of the literature. Acta Odontológica Venezolana, 37, 2. 18. 1Sandoval A. (2015). Estudio de prevalencia de torus palatino y mandibular en la población de la Universidad de las Américas, Colón y Granados. Ecuador: Universidad de las Américas, p.53. 19. 1Shah D., Sanghavi, Chawda, & Shah,(2017). Cavidad Oral: Torus Palatinus y Torus Mandibularis, 3: 107.10. 20. 2Von-Bischhoffshausen-P, Kristine, Wallem-H, Andrea, Allendes-A, Alfonso, & Díaz-M, Rodrigo. (2019). Prevalencia de Bruxismo y Estrés en Estudiantes de Odontología de la Pontificia Universidad Católica de Chile. International journal of odontostomatology, 13(1), 97-102. https://dx.doi.org/10.4067/ S0718-381X2019000100097

Encías saludables en 14 días*

**Estudio realizado vs. un cepillo de cerdas planas Combina dos tecnologías de cerdas: ULTRAFINAS + CROSSACTION

55 - 5688 - 4336 / 55 - 5688 - 4356 CON CARBÓN








PURIFICATION INDICATOR EXTRA SOFT







Cerdas extra suaves

Cerdas hasta 20X** más delgadas para un cepillado profundo y delicado

**estudio realizado vs. cepillo de cerdas planas
WHITENING THERAPY
Cerdas Ultrafinas y Regulares


MR

