
15 minute read
Komplex fogazati rehabilitáció
Dr. Antonello Francesco Pavone, dr. Andrea Bazzucchi, dr. Simone Verardi, dr. Alessandro Rampello, dr. Mario Bazzucchi (Olaszország)
A fogazat „megfiatalítása” láthatatlan fogszabályzó készülékek segítségével
Advertisement
A fogazat elhasználódása alatt azoknak a degeneratív folyamatoknak az összesített hatását értjük, melyeken az élet során a szervezet keresztülmegy. Ezek lehetnek a fogérintkezések közben fellépő mechanikai erők (abrázió, attríció), endogén vagy exogén eredetű savas közegek által kiváltott kémiai behatások (erózió), kariogén baktériumok által okozott pathológiás folyamatok és parodontális elváltozások, valamint iatrogén ártalmak. A felnőtt páciensek kezelése során általában egyszerre több ellátásra szoruló elváltozást is diagnosztizálhatunk: hiányzó fogak, kopott fogazat, esetleg régi, nem megfelelő, sérült fogpótlások, rendellenes helyzetben lévő fogak stb… Ezen páciensek kezelésekkel kapcsolatos kérései mindig az esztétikai vagy a rágással kapcsolatos kívánságaik kielégítését szolgálja. A kezelések során a fogorvosoknak nem csak a páciensek kéréseinek teljesítésére, hanem ezzel egyidejűleg a fogazat általános megjelenésének és funkciójának lehetőség szerinti javítására is törekedniük kell. Mindemellett a lehető legtöbb saját foganyag megőrzését és az évek során elvesztett kemény- és lágyrészek pótlását (pl.: hiányzó fogak, sorvadt állcsontgerinc, lágyszöveti defektusok) is szem előtt kell tartaniuk, úgy, hogy közben egy hoszszú távon fenntartható eredményekkel járó kezelési tervet állítanak össze. Ezek mindig összetett esetek. Annak érdekében, hogy a fentiekben megfogalmazott összes kezelési célt teljesíteni tudjuk, interdiszciplináris megközelítésre van szükség. Az ilyen komplex rehabilitációs kezeléseket „fogászati megfiatalításnak” nevezzük. Ezeknek a beavatkozásoknak lényege az elhasználódott fogazat biológiai szempontokat figyelembe vevő minimál invazív módon történő helyreállításában rejlik, mely folyamat végére a páciensek fogai visszanyerhetik fiatalkori megjelenésüket. A rehabilitációs kezeléseknek a célja, hogy a páciensek a lehető leghosszabb időn keresztül képesek legyenek mosolyogni és rágni. A protetikai kezeléseket végző fogorvosoknak helyre kell tudni állítaniuk a fogívek szabályos lefutását és az alsó és felső fogív között megfelelő interokkluzális érintkezéseket kell létrehozniuk. Így lehet csak az ellátás befejezését követően elért végeredmény biológiai szempontokat figyelembe vevő esztétikáját, funkcionális megfelelőségét, hosszú távú fenntarthatóságát biztosítani. Nagyon fontos, hogy már a kezelések elején meghatározzuk, hogy melyek azok a hiányzó fogak, amelyeket a későbbiekben pótolni szeretnénk, valamint helyesen diagnosztizáljuk a kariológiai, endodonciai vagy parodontológiai okok miatt ellátást igénylő elváltozásokat. Szintén kiemelt jelentőséggel bír a fogak megtarthatóságának kiértékelése. A kezelési terv felállítása során tisztában kell lennünk azzal, hogy mely fogak alkalmasak fogpótlások ideiglenes vagy végleges elhorgonyzására. A preprotetikai fázisban el kell látnunk a diagnosztizálásra került kórfolyamatokat, megfelelő pozícióba kell állítanunk a megtartani kívánt fogakat, pótolnunk kell az elvesztett csontállományt, valamint gondoskodnunk kell az íny megfelelő állapotáról. Ha szükség van rá, úgy a foghiányok pótlására szolgáló dentális implantátumok is ebben a fázisban kerülnek behelyezésre. Általánosságban elmondható, hogy azokat a kezeléseket, amelyek befejezése biológiai okok miatt hosszú időt vesz igénybe (pl.: fogszabályozás, csontpótlás, implantáció), a lehető leghamarabb érdemes elkezdeni. A fogszabályzó kezelések egyik legfontosabb célja, hogy elérjük a lehető legharmonikusabb interokkluzális fogérintkezéseket, továbbá az állcsont relációs helyzetének frontális és szaggitális síkban is megfelelőnek kell lennie. A fogszabályzás befejezésekor a fogpozícióknak nem orthodonciai, hanem protetikai szempontok szerint kell ideálisnak lenniük. Az Invisalign ClinCheck szoftver (Align Technology) segítségével a protetikus az orthodontussal együtt meg tudja határozni azokat a végső fogpozíciókat, amelyek a lehető legjobb végeredmény biztosításához elengedhetetlenek. Bizonyos klinikai paramétereket, mint a fogak klinikai koronájának nagyságát, az egyes fogak fogíven belüli optimális pozícióját, a fogívek egymáshoz viszonyított helyzetét, a fogak között látható rések nagyságát, a frontfogak tengelyének dőlését, az overjet és overbite mértékét már a kezelések megkezdése előtt pontosan definiálni kell. Ezeket az adatokat viszont csak a tervezett végleges fogpótlás ismeretében lehet meghatározni, ezért van szükség az orthodontus és a protetikus szoros együttműködésére. A közös munka során az egyik legelső és legfontosabb feladat annak a meghatározása, hogy a páciens jelenlegi maximális

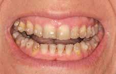
1-4. ábra: Kiindulási állapot.
5. ábra: ClinCheck szoftverrel történő kiértékelés. A kiindulási és az orthodonciai kezelés végén elérni kívánt állapot összehasonlítása.
6-9. ábra: Az orthodonciai kezelés végén elért állapot.




















10. a-c. ábra: Módosult passzív erupció jelenlétének diagnosztizálása radiológiai felvételek segítségével (altered eruption radiographic technique; AlteRx).
11. a-b. ábra: A gingivectomia és frenulectomia elvégzését követően látható állapot.
12. a-d. ábra: Az állcsont relációs helyzetét a helyreállítás befejezése után elérni kívánt állapotot bemutató mock-up felhelyezését követően rögzítettük az arcív és a harapási sánc segítségével.






interkuszpidációs helyzete (IKP) milyen mértékben tér el az állcsontok centrális relációs helyzetétől (CR). Ezt a helyzetet úgy is leírhatnánk, mint az a legideálisabb állkapocs-ízületi helyzet, amely elérését követően a lehető legkedvezőbb állkapocshelyzetből történhet meg az alsó és felső fogív végleges fogpótlásokkal történő helyreállítása. Ennek a meghatározásakor a frontális és a szaggitális síkban megfigyelhető komponenseket is figyelembe kell venni. Az optimális állcsont relációs helyzetének megállapítása előtt elengedhetetlen az állkapocs-ízület beprogramozása, a rágóizmok lazítása, és állkapocs-ízületi rendellenességek fennállásának ellenőrzése. Amennyiben állkapocs-ízületi rendellenességeket diagnosztizálunk, úgy először gnatológiai terápiát alkalmazunk, melynek célja a rágóizmok működésének és az állkapocs-ízület egészségének helyreállítása. A komplex rehabilitációs beavatkozások kivitelezésének megtervezését csupán az új, biológiai és funkcionális szempontokból ideális állkapocs-ízületi helyzet elérését követően szabad megkezdeni.





13. a-e. ábra: A végleges helyreállítás során kerámiahéjakat,valamint az 1.5-ös fogon rögzülő 1.4-es fogat pótló lengőtagos hidat készítettünk.
14. a-c ábra: A végleges fogpótlásokat frontális és laterális irányból bemutató felvételek.



Esetbemutatás (1.)
A 48 éves hölgypáciens azzal a szándékkal kereste fel rendelőnket, hogy javítsunk a mosolya megjelenésén. Aggasztotta a fogazatának elhasználódottsága, a rövidnek tűnő fogai, és az oldalsó ollóharapása (1-4. ábra). Az általános anamnézisében nem szerepelt semmilyen betegség vagy allergia. Első lépésként az interokkluzális fogérintkezések javítását és az ollóharapás megszüntetését javasoltuk. A kívánt fogmozgatások eléréséhez alignereket, azaz átlátszó anyagból készült kivehető fogszabályzó sínek alkalmazását terveztük. Az orthodonciai előkészítést követően a rövidebbnek tűnő fogaknak megfelelően gingivectomia, valamint komplex restauratív célú fogazati rehabilitáció elvégzését, azaz a fogainak „megfiatalítását” javasoltuk. A komplex fogászati kezelés során a kopott fogazat helyreállítása érdekében kismértékben meg akartuk növelni az évek során lecsökkent harapási magasságát. A fogak helyreállítását minimál invazív módszerek alkalmazásával akartuk elérni. Kedvezőbbé akartuk továbbá tenni a front régióban található fogak méretét és színét, valamint meg akartuk erősíteni a szerkezeti integritásukat. A beavatkozások során a lehető legkevesebb egészséges saját foganyagot akartunk feláldozni. Az orthodonciai kezelés során rést akartunk nyitni a hiányzó jobb felső első kisőrlőfog (1.4) pótlásához, valamint meg akartuk szüntetni a jobb felső kismetsző és a jobb alsó szemfognak megfelelő látható ollóharapási helyzetet. Az előbbieken kívül a fogívek tágítását és a fogívek formájának optimalizálását, és az overjet és overbite optimalizálását terveztük. Ezek mind hozzájárulnak a funkció javításához (5. ábra). A fogszabályzó kezelés befejezését követően meg kell határoznunk a további beavatkozások elvégzésével elérni kívánt protetikai és esztétikai célokat. A tervezés során minden esetben az orthodonciai kezelés során elért állapotból indulunk ki (6-9. ábra). A módosult passzív erupció jelenlétét AlteRx készülék segítségével igazoltuk. A páciens ínymosolyának kismértékű korrekciója és a felső front régióban található fogak méretének megnövelése érdekében gingivectomiát végeztünk (10. ábra). A gingivectomia kiegészítéseként frenulectomia is történt. A fogméretek incizális irányba történő további növelése érdekében kerámiahéjak készítését terveztük (11. ábra). A szövetek gyógyulása alatt a rágóizmokban jelenlévő feszülést deprogramozó készülék segítségével megpróbáltuk megszüntetni (Ri.P.A.Ra. linguális ív, IPERMEDI-CAL;). Az állcsont relációs helyzet rögzítését kismértékben megemelt vertikális dimenziók mellett végeztük el. A folyamat során arcívet is alkalmaztunk. Mindkét fogívről lenyomatot vettünk, majd a minták elkészítését követően a gipsz modelleket a harapás alapján artikulátorban rögzítettük. Ezt követően a fogtechnikai laboratóriumban elkészítettük a fogazati rehabilitáció alapjául szolgáló wax-upot. A wax-up alapján készült szilikonsablonok segítségével önkötő akrilátból a szájüregen belül elkészítettük a mock-upot. A mock-up lehetővé tette, hogy a tervezett fogpótlások esztétikai megjelenését, a rágózónában létrejövő új okklúziót és a funkcionális elmozdulások során megfigyelhető fo-

15. ábra: A végleges fogpótlások átadását követően készített panorámafelvétel.





16. a-e. ábra: A végleges fogpótlások átadását követően 3 évvel látható állapotot bemutató felvételek.
gérintkezéseket még a végleges fogpótlások elkészítése előtt tesztelhessük (12. ábra). A páciens fogait a felhelyezett mock-up alapján készítettük elő. A front régióba héjak, a rágózónába pedig onlayek készítését terveztük. A hiányzó 1.4-es fog pótlását egy adhezív módon rögzülő, cirkóniumból készülő, lengőtagos híd segítségével akartuk megvalósítani. A ragasztás során PANAVIA V5 anyagot használtunk (Kuraray Noritake Dental; 13-15. ábra). A fogpótlások átadását követően a páciensnek egy éjszakai harapásemelő sínt készítettünk. A kontrollvizsgálatok során megállapítottuk, hogy a páciens új okklúziója és a fogazatának esztétikája hosszú távon is stabil maradt (15-20. ábra).
Esetbemutatás (2.)
Az 57 éves páciens azért kereste fel a rendelőnket, mert tökéletes mosolyt szeretett volna elérni. Világos színű, szabályos, fiatalos megjelenésű zárt fogazatot szeretett volna magának (21-24. ábra). A kezeléseket a jobb felső, második kisőrlőfog (1.5) eltávolításával, valamint oki parodontális terápiával, a bal alsó, második kisőrlő és nagyőrlő (35 és 37) endodonciai kezelésével, továbbá a bal alsó, első nagyőrlőfog pozíciójába történő (3.6) implantátumbehelyezéssel kezdtük. Az implantátum beültetését követően a 3.5-3.7-es fogakon elhorgonyzott, háromtagú ideiglenes hidat készítettünk. Ezután intraorális szkent készítettünk a ClinCheck szoftverrel történő analízis elvégzéséhez (25-26. ábra). A páciens pathológiás nyelési szokásait a FroggyMouth (Froggy & Co.)készülék segítségével korrigáltuk. Az eszközt 21 napon keresztül, napi 20 percen át alkalmazta a páciens. A páciens orthodonciai kezelése során alignereket alkalmaztunk. A kezelés alatt esetenként a Ri.P.A.Ra. készüléket viselte. Ez az eszköz a nyelv kóros pozíciójának megszüntetésében és az alignerekkel történő fogmozgatások hatékonyságának növelésében vett részt. Ennek a készüléknek van egy linguális irányba mutató íves része, amelynek az a feladata, hogy a páciens nyelvét a kemény szájpadlás elülső egyharmadához vezesse. Mivel az eszköz maga szilikonból készült, ezért a mechanikai tulajdonságai lehe-










21-22. ábra: Kiindulási állapot.









23-24. ábra: A kiindulási állapotot bemutató intraorális és radiológiai felvételek.
tővé teszik, hogy a páciens éjszakai fogcsikorgatása ellen hasson. Az eszközt alignerek viselése esetén is könnyen be lehet helyezni, sőt az alignerek biomechanikai hatásfokát is nagyban növelik, mivel egy rágható aktivátorként viselkednek (27. ábra). A fogszabályzó kezelés befejezését követően a jobb alsó, első nagyőrlőfogat (4.6) eltávolítottuk, majd ebbe és a jobb felső, első kisőrlőfog (1.5) pozíciójába egy-egy implantátumot helyeztünk. Ezután a megszokott ellátási protokollunkat követve, szilikon lenyomatanyag alkalmazásával lenyomatott vettünk mindkét fogívről, és arcív segítségével az állcsont relációs helyzetét enyhén megemelt, vertikális harapási magasság mellett rögzítettük. Ezután mintákat készítettünk, amelyek beartikulálását követően elkészítettük a páciens új, fiatalos fogazatának alapjául szolgáló wax-upot. A leírtak alapján készülő mock-up elengedhetetlen a tervezett fogpótlás funkcionális és esztétikai paramétereinek ellenőrzéséhez. A páciens új mosolyának megfigyelését, valamint a fogak egymáshoz viszonyított arányainak kontrollálását ennek segítségével könnyen elvégezhetjük. Egyértelműen meg tudjuk állapítani azt is, hogy a tervezett harapásemelés mértéke megfelelő volt-e, valamint, hogy a fogtechnikai laboratóriumban készült viaszterv jelenlegi formájában alkalmas-e a kívánt esztétikai hatás elérésére, megfelel-e a vele szemben támasztott funkcionális elvárásoknak (28-32. ábra). Elsősorban gingivectómiával akartuk a módosult, passzív erupció miatt csökkent fogméretek nagyságát korrigálni. A klinikai koronák nagyságát inkább gingivális irányba terveztük megnövelni, azért, hogy incizális irányba már csak kismértékű emelést kelljen végrehajtani. Ezzel azt akartuk elérni, hogy ne kelljen az overbite nagyságát szükségtelenül megnövelni. Így el tudjuk kerülni a megnövekedett overbiteból származó potenciális veszélyeket. A fogak minimál invazív preparálása után, földpát kerámiából ké-




25-26. ábra: ClinCheck szoftverrel történő kiértékelés. A kiindulási és az orthodonciai kezelés végén elérni kívánt állapot összehasonlítása.

27. ábra: Linguális ívvel ellátott Ri.P.A.Ra. készülék.






28. a-f. ábra: A kivehető fogszabályzó készülék elhorgonyzását biztosító fogakra felhelyezett attachmentekről készült felvételek.


29. a-b. ábra: Az orthodonciai kezelés végén elért állapot.

30. ábra: A mosolygás közben látható fogméretek egymáshoz viszonyított arányainak megtervezése.









31-32. ábra: A tervezett pótlások funkcionális és esztétikai megfelelősségét mock-up segítségével ellenőriztük.
33. a-b ábra: Az esztétikai zónába kerámiahéjakat, míg a rágózónába ideiglenes hidakat és indirekt kompozit restaurátumokat készítettünk.





34–35. ábra: A protetikai fázis befejezését követően látható állapot.
36. a-d ábra: A rehabilitáció befejezését követő állapot fenntartása érdekében a páciens esténként Essix retainereket és Ri.P.A.Ra. készüléket viselt.










37. a-f ábra: A végleges fogpótlások átadását követően két évvel látható állapot.
szült héjakkal láttuk el a frontfogakat. A rágózóna ideiglenes fogpótlásokkal történő ellátását követően a páciens részére Essix retainereket készítettünk, melyeket esténként viselt (33. ábra). A kezelés befejezéseként a rágózóna végleges fogpótlásokkal történő helyreállítását végeztük el. A páciens fogazatának „megfiatalítása” során, a protetikai fázis alatt megnöveltük a harapási magasságot, és a front fogakat kerámiai héjakkal láttuk el. A rágózónában lévő ép fogakat kerámia onlayekkel, míg az implantátumokat és a 3.5-ös és 3.7-es fogakat cirkóniumból készült koronákkal borítottuk (34-35. ábra). A páciens a fenntartó kezelés részeként esténként Vivera (Align Technology) és Ri.P.A.Ra. készülékeket viselt (36-37. ábra).
Összegzés
A páciensek fogazatának „megfiatalítása” multidiszciplináris megközelítést igényel. A beavatkozások során minimál invazív megközelítést alkalmazunk, és a biológiai szempontok is súlyozottan kerülnek figyelembevételre. Fontos, hogy a páciens fogainak megjelenését csak olyan mértékben változtassuk meg, amely respektálja a páciens biológiai életkorát, és ne egy nyilvánvalóan természetellenes, túlzottan fiatalos mosolyt hozzunk létre. A funkcionális rehabilitáció során a két oldalon kiegyensúlyozott artikuláció létrehozására kell törekednünk, amely lehetővé teszi a szimmetrikus rágómozgások elvégzését. Fontos szempont, hogy egy hosszú távon stabil és fenntartható állapotot hozzunk létre. Annak érdekében, hogy megtaláljuk azt a legoptimálisabb megoldást, amely a lehető legkevesebb kompromisszum árán biztosítja a megfelelő klinikai paramétereket (esztétikai, biológiai, mechanikai és funkcionális szempontok), fontos, hogy a kiindulási diagnózisaink helyesek legyenek. Ezekre fogjuk majd az orthodonciai kezeléseinket alapozni, amely eredményeire pedig majd a protetikai kezelések fognak épülni. Felnőtt páciensek kezelése esetén kiemelt jelentőséggel bír, hogy a fogpozíciók háromdimenziós újrarendezését mindig a végleges protetikai ellátás megkezdése előtt be kell fejezni. (A cikk megírása során felhasznált szakirodalmi hivatkozások jegyzéke elérhető a szerkesztőségünkben.) Forrás: Ortho 2021;2 48-61



