
6 minute read
A fogmeder feltöltése bioaktív, magától keményedő szintetikus csontpótlóval �������
Dr. Harald Fahrenholz (Ausztria)
Advertisement
Kiemelkedő primer stabilitás és hatékonyság
Pácienseink fokozott egészségtudatának következménye, hogy egyre többen érdeklődnek a fémmentes implantátumok felől. Jó barátom, dr. Johan Feith mutatta meg nekem a cirkóniumimplantátumok világát és magát a ZV-3 rendszert, amit ma Patent implantációs rendszernek hívnak. Én 2008-ban kezdtem használni a rendszert.
Bevezetés
A rendszer klinikai teljesítményét a 2009 és 2015 közötti időszakban kezelt pácienseimen retrospektíven vizsgáltam dr. Sofia Karapataki-val együtt (Athén, Görögország)� Az utánkövetéses vizsgálatban 114 Patent implantátum szerepelt� A klinikai túlélési arány 97,6% volt; implantátumtörés nem fordult elő ebben az időszakban� Az öszszes eset, ahol implantátumot vesztettünk csontpótláshoz, arcüregemeléshez vagy azonnali implantációhoz volt köthető� A mai napig körülbelül 700 Patent implantátumot helyeztem be, és mindösszesen három esetben fordult elő törés, mindegyik a kétrészes implantátumnál� Utólagosan kijelenthető, hogy mindegyik sikertelenség a nem megfelelő protetikai ellátásból adódott� Nem figyeltünk meg semmilyen szétválást vagy törést az üvegszálas felépítményeken� Ezek az eredmények jól korrelálnak Becker és mtsai. (2017) és Brület és mtsai. (2014) által leírtakkal [1,2]� Mind a két tanulmány kiváló gingivális zárásról számolt be, ami Brüll és mtsai. szerint még a titániumimplantátumokénál is jobb� A saját eredményeink: egyetlen periimplantitist sem láttunk ezeknél az implantátumoknál� Brüll és mtsai� retrospektív tanulmánya jó eredményekről számolt be azonnali implantáció esetén is� Az alábbi esetnél bemutatjuk, hogy hogyan használható a Patent implantációs rendszer azonnali implantáció és azonnali terhelés esetén�
Kezdeti szituáció
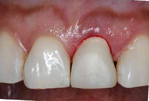
Egy harmincéves hölgypáciens jelentkezett a klinikánkon elsősegélyért egy törött bal felső középső metszőfoggal (2�1-es fog)� A törés nem volt látható (1. ábra), de hamarosan a korona levált a fogról (2. ábra)� Egy hagyományos röntgenfelvétel alapján (3. ábra) úgy döntöttünk a pácienssel együtt, hogy a fogat eltávolítjuk, és a helyére azonnal behelyezünk egy 13 mm hosszú és 4,5 mm átmérőjű kétrészes Patent implantátumot (4. ábra)� Emellett egy azonnali terheléses protokoll mellett döntöttünk, aminél egy ideiglenes korona kerül az implantátumra ugyanabban az ülésben [3, 6]� Három alternatív kezelést vettünk fontolóra:
• Extrakció minden egyéb „azonnali” beavatkozás nélkül, csak ideiglenes pótlás készítése� • Extrakció augmentáció PRF (platelet-rich fibrin) és csontpótló anyag segítségével, majd ideiglenes pótlás készítése� • Extrakció, azonnali implantáció, és ha lehetséges, azonnali restauráció ideiglenes koronával�


3. ábra: Kiindulási állapot, röntgenfelvétel. 4. ábra: 13 x 4,5 mm-es Patent implantátum. 5. ábra: A gyökér extraktor.



6. ábra: Az eltávolított gyökér. 7. ábra: Az implantátum ágyának kialakítása az alveolus palatinális falán. 8. ábra: Az előfúró a kontrollfelvételen.


Amennyiben nem sikerül megfelelő primer stabilitást elérni, akkor azonnali ideiglenes készítés nem lehetséges, valamilyen másféle rögzített ideiglenes pótlás készül� Az azonnali restauráció nagy előnye, hogy minden szöveti struktúra – beleértve a lágyszövetet (papillákat) és a csontot – optimálisan megőrizhető [4,5]� Helyi érzéstelenítést követően az extraktor erő vektorát a fog centrális tengelyének megfelelően alkalmaztuk, majd a gyökeret eltávolítottuk (6. ábra)� Az alveolust óvatosan kitisztítottuk, eltávolítva mindenféle lágyszövetet a csontról� Egy szilikonkulcsot használtunk, hogy könnyebb legyen az ideiglenes korona elkészítése a szék mellett�
Előkezelés
A bukkális csont megőrzése érdekében az atraumatikus fogeltávolításhoz egy gyökér extraktort alkalmaztunk, amely a szomszédos fogakon támaszkodott (5. ábra)� Az intakt alveolus és az egészséges csont nélkülözhetetlen az implantátum biztos elhorgonyzásához� Egy atraumatikus fogeltávolítási protokollt választottunk, hogy megfelelő körülményeket teremtsünk a csont megőrzésével és csont optimális előkészítésével az implantátum számára� Az extrakció után a kemény- és lágyszövetek megőrzése a tér mindhárom dimenziójában fontos a hibátlan esztétika eléréséhez� A bukkális csontfal igen fontos az implantátum megfelelő térbeli pozicionálásához, továbbá a szuprastruktúra alatti lágy szövetek megőrzéséhez különösen a frontterületen� Ebből kifolyólag kulcsfontosságú a csontreszorpció megelőzése vagy csökkentése�
Sebészi beavatkozás
Az implantátumágy előkészítéséhez a fúrást a fogmeder palatinális oldalán végeztük (7. ábra), hogy megőrizzük a bukkális csontot és elkerüljük, hogy túl nagy nyomás legyen rajta az implantátum behelyezésekor� Miután az implantátum helyét kialakítottuk a megfelelő sebészi szettel, az implantátumot 40 Ncm-es behelyezési nyomatékkal helyeztük be (8. ábra)�
Implantáció
A fogeltávolítás után a sebet ki kellett takarítani egy éles kürettel� Nagyon fontos, hogy finoman bánjunk a területtel, ahova az implantátumot szeretnénk behelyezni, különösen fontos, hogy ne sérüljön a bukkális csontlemez� Ezért megjelöltem a palatinális falat egy

9. ábra: A behelyezett Patent implantátum. 10. ábra: Az implantátum pozíciója a röntgenfelvételen. 11. ábra: Az üvegszálas csap készítése szék mellett (extraorálisan).



12. ábra: Az üvegszálas csap beragasztva a bepróbálás után. 13. ábra: Röntgenfelvétel az implantálás után. 14. ábra: Az ideiglenes korona, közvetlen a műtét után.



15. ábra: 1 nappal a műtét után. 16. ábra: 2 héttel a műtét után, szépen gyógyult a lágyszövet.

gömbfúróval, majd 2 mm-es előfúróval 13 mm-ig fúrtam� Amint az előfúrás sikeres, már nem nehéz tovább tágítani egészen 4,5 mm-ig [7]� Az implantátum ágyát ellenőriztük a megfelelő eszközzel, majd dezinfektáltuk ózonnal� Az implantátumot be lehet helyezni kézzel, racsni segítségével, vagy a megfelelő gépi behajtóval� Ennél az esetnél a primer stabilitást 40 Ncm-es behelyezési nyomatékkal sikerült elérni (9. ábra)� Kontrollröntgent (10. ábra) és egy üvegszálas csapot készítettünk a szék mellett extraorálisan� Egy dummy implantátumot használtunk, hogy könynyebb legyen az elkészítése (11. ábra)� A bepróbálás után az üvegszálas csapot RelyX Unicem-mel ragasztottuk be, az ideiglenes koronát szintén a rendelőben készítettük el a szilikonkulcs segítségével [8]� Az üvegszálas csapot vazelinnel izoláltuk és a koronát ideiglenes ragasztóval ragasztottuk, hogy el tudjuk távolítani a későbbiekben (12. ábra)� A kontrollröntgeneken (13. ábra) a csont jól megtartottnak tűnt, és az ideiglenes koronát át lehetett adni (14. ábra)� A korona sem okkluzióban sem artikulációban nem érintkezett az antagonista fogazattal� Egy nappal (15. ábra) és két héttel (16. ábra) később a lágyszövet szépen gyógyult�
Protetikai rehabilitáció
6 héttel később a laboratóriumban egy második ideiglenes korona készült (17. ábra)�


17. ábra: A laboratóriumban készült második ideiglenes korona.

19. ábra: A végleges korona. 18. ábra: A csonk fehér folyékony kompozittal fedve.



20. ábra: Az eredmény.
A fogszín eltalálása nem volt könnyű feladat az üvegszálas csap transzparenciája miatt� A fogtechnikussal történt egyeztetést követően fehér kompozit rezin segítségével maszkoltuk el a „felépítményt” (18. ábra)�
4 hónapos gyógyulási időszakot követően átadtuk a végleges koronát (19. és 20. ábrák)� A lágyszövet továbbra is tökéletesen gyógyult maradt [9,10]� Az 5 éves kontrollon a csontszint teljesen megtartott volt (21. ábra)�
Konklúzió
A Patent implantációs rendszer jó választás, amennyiben azonnali implantációt és azonnali ideiglenes készítést tervezünk� Az implantátumvesztés rizikója biztosan nagyobb, mint a hagyományos kétfázisú műtéteknél, azonban az előnyök és hátrányok mérlegelése után a páciens komfortja és az implantátum körüli szövetek megőrzése sokkal fontosabb�
Forrás: EDI Journal 2020/2
Az irodalomjegyzék szerkesztőségünkben elérhető


