
7 minute read
PEEK a protetikában
Dr. med. dent. Bernd Siewert (Spanyolország) PEEK A PROTETIKÁBAN
Egyre több páciens igényli a fémmentes fogpótlást. Ezért a restaurációkhoz újabb és újabb műanyagok kerülnek felhasználásra. Különösen nagy jelentőségűvé vált a nagy teljesítményű polimerek csoportja. A legjobban, legszélesebb körben elterjedt és klinikailag használt polimer a poliéterketon (PEEK) a poliakril-éterketon csoportból. Szerzőnk pácienseseteken keresztül mutatja be, mennyire vált be az anyag a protetikai felhasználás során.
Advertisement
A humán medicinában már 18 éve alkalmazzák a PEEK anyagot, többek között a gerincsebészetben és más implantátumoknál is, pl. mint mesterséges koponyafedél – a fémes megoldások alternatívájaként; klinikailag be is vált. A siker alapját kiváló tulajdonságai képzik, a kis fajsúlyhoz viszonyított nagy szilárdság, a kémiai anyagokkal és korrózióval szembeni ellenállás, a magas hőtűrő képesség, és a változatlan természetes nyersanyag tisztasága és biokompatibilitása. PEEK-ből készíthető biokompatibilis, fémmentes fogpótlás is, amely a fémalapúakkal összehasonlítva a fémes íz, korrózió, hő- és elektromos vezetőképesség, allergiás reakciók okozásának kellemetlen tulajdonságait nem hordozza. A PEEK tiszta formájában nem tartalmaz töltőanyagot, mint pl. a Yunyi Medical YuDent anyaga (1. ábra), világos bézs színű, és szinte teljesen röntgen-transzlucens. Be lehet színezni fémoxid pigmentek hozzáadásával. Ekkor azonban tudnunk kell, hogy csak a tiszta, pigmentmentes PEEK birtokolja a kiemelkedő, klinikailag bizonyítható biokompatibilitást.
Gyakorlatunkban a PEEK-et az alábbi indikációs területeken alkalmazzuk:
Időlegesen kivehető rögzített fogpótlások:
• titánimplantátumokra csavarral rögzített (a fémek redukálva, csak titán) • hidak és blokkba fogott koronák rágóterületen • teljes állcsontra kiterjedő hidak (fogatlan állcsont) • teleszkópok cirkonimplantátumokra (100%-ban fémmentes, fogatlan állcsont)
Rögzített, nem kivehető fogpótlások
Kivehető fogpótlások:
• „fém”lemezek (100%-ban fémmentes) • kombinált munkák (100%-ban fémmentes) • fogsorerősítések (100%-ban fémmentes) • stéges megoldások implantátumokra • A töltetlen PEEK fogpótlástani fogorvosi szempontból fontos fizikai paramétereit a következőkben mutatom be.
Hidak és blokkba fogott koronák rágóterületen
José Luis 78 éves páciensnek szüksége volt a negyedik kvadránsban hiányzó fogai pótlására. Az okklúzió kritikusnak volt ítélhető a hiányzó szemfogvezetés és a front élharapás következtében. Az antagonistán elhelyezett fémkerámia koronák növelték a túlterhelés veszélyét. A realitás azt mutatja, idősebb pácienseknél


3. ábra: Az Astra implantátumok klinikai szituációja lenyomatvételkor a 4. kvadránsban. 4. ábra: Kompozitleplezésű PEEK híd a beépített implantátumkapcsolattal.


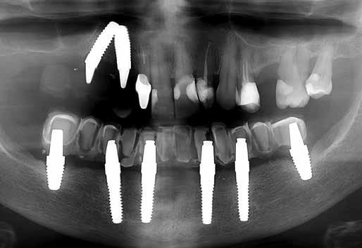
5. ábra: Az implantátumokra okkluzális csavarrögzítéssel elhelyezett híd in situ. 6. ábra: 16 hónappal a behelyezés után ellenőrző röntgenkép.


7. ábra: A klinikai kép 16 hónappal a behelyezés után. 8. ábra: Gyógyult periapikális gyulladás a 42-esen.

nem lehet mindig teljes rehabilitációt végezni. Nem az esztétika, hanem a rágófunkció visszanyerése áll első helyen. Biztos választás ilyen esetben a direkt csavarrögzítéses implantátum elhorgonyzású híd, anatomikus PEEK vázzal, kompozitleplezéssel. A csonthoz hasonló rugalmassági együttható, a magas törési szilárdság és a jó biokompatibilitás a klinikai siker alapjai (4–5. ábrák). A 16 hónap elteltével elvégzett első klinikai ellenőrzés (6–7. ábrák) során a páciens kifejezte elégedettségét, a harmadik kvadránsban mutatkozó hiány zárása nem volt szükséges, a rágófunkció helyreállt. A 42-es fog gyökérkezelése sikeres volt, meggyógyult a periapikális gyulladás (8. ábra).
A 88 éves Amélia 2017 februárjában látogatott először rendelőnkbe. Annyira elégedetlen volt implantátum megtámasztású hídjával (fémvázas, csavarrögzítésű, fogsor-fogakkal és műanyaggal leplezett híd), hogy még az implantációt is megbánta. Rossz hangulatának

9. ábra: A csavarozott „teljes fogsor” kiindulási helyzete. 10. ábra: Az újrakészített 12 tagú pótlás PEEK hídvázzal és kerámiafogakkal.


11. ábra: A kész híd bazális nézete a mérlegen: 26 gramm együttes tömeg. 12. ábra: A magas transzlucenciájú kerámiakoronák jó esztétikát biztosítanak.


13. ábra: Ellenőrzés két év után. 14. ábra: Két év hordás utáni panoráma röntgenkép részlete.

oka az volt, hogy a fogak folyamatosan kitörtek az ötéves pótlásból (9. ábra). Nálunk is mutatkoztak hasonló problémák az ilyen megoldásokkal, ezért mi már nem készítünk ilyet. A megoldást a teljes anatomikus vázzal készülő PEEK hidak jelenthetik, Gradia (GC) kompozittal leplezve, vagy teljes cirkónium-dioxid koronák, mint a bemutatott esetben is (10. ábra). A hölgynél még megvolt a multi-unit analógokkal és ínymaszkkal készült minta, így nem volt szükség új lenyomat vételére. 26 grammos teljes súlyukkal a hidak nagyon könnyűek (11. ábra). Az egyedi cirkonkoronák összeragasztása a PEEK vázzal kiválóan bevált. A direkt a PEEK anyagból kifrézelt multi-unit kapcsolódási felület nem igényli titánkúp beragasztását. Nem tapasztaltunk még csavarlazulást! A multi-unit egységekhez alkalmazott kicsiny csavarok meghúzására ajánlott nyomaték csak 15 Ncm. A teljes cirkonkoronák magas transzlucenciája (12. ábra) a laboratórium folyamatos munkamenete során is biztosítja a jó esztétikai hatást. A koronák egyenkénti elkészítése és rögzítése megőrzi a PEEK váz saját rugalmasságát, így olyan pontosságot biztosít, amely merev hidaknál csak ritkán érhető el. Közvetlenül az új híd becsavarozása után kellemes beszédérzésről számolt be a hölgy, mivel a hidat a PEEK váz következtében gracilisabban alakíthattuk ki.

15. ábra: A fogatlan állkapocs kiindulási helyzete.
17. ábra: A töltött PEEK-ből készült hídváz bazális nézete (BioHPP). 16. ábra: Négy egyrészes cirkonimplantátum (whitesky) és két kétrészes (disztálisan) (Zeramex) behelyezés után 2012-ben.



18. ábra: A híd in situ.



19. ábra: Szabadvég keskeny gerinccel.
20. ábra: Ultrahangos fűrésszel végzett repesztés
21. ábra: Az integrálódott cirkonimplantátumok és a lecsiszolt 12-es pillérfog.
22. ábra: Az implantátumokba ragasztott cirkonfejek és a cirkon primer az 12-re ragasztva.

Két év hordás után stabil a helyzet (13. ábra). A töltetlen PEEK radio-transzlucens, a röntgenképen kontúrja csak halványan felismerhető (14. ábra).
A most már nyolcéves alsó híd azonban problémákat okoz, az egyszerűbb tisztíthatóság és kezelhetőség érdekében négy Locator-ral elhorgonyzott kivehető fogsorra fogjuk cserélni. A PEEK belső erősítésként kerül majd felhasználásra, ahogy a továbbiakban bemutatásra kerülő esetben is.
Időlegesen kivehető, 100%-ban fémmentes cementezett fogpótlás
A 62 éves Maria Jesús 2012-ben jelentkezett nálunk, akkor hat cirkonimplantátumot kapott az alsó állcsontba (15–16. ábrák). Az implantátumokra valószínűleg a világon elsőként elkészült töltött PEEK-ből CAD/CAM marással készített, PMMA héjakkal leplezett (17. ábra) hídját kapta, ideiglenes cementtel rögzítve (18. ábra). 2015-ben felül hiányzó 13, 14, 15 és 16 fogait (18. ábra) kétrészes cirkonimplantátumok beültetése után (19–22. áb-

23. ábra: A PEEK hídváz bazális nézete. 24. ábra: Kompozitleplezésű híd okkluzális nézete.


25. ábra: A híd beragasztva. 26. ábra: 2019-es állapot: világosan látszik a csont- és lágyszövet átépülése az alveoluson.


27. ábra: Röntgen-ellenőrzés 2019: a panorámakép részlete, stabil cervikális csont az implantátumok körül. 28. ábra: Töltetlen PEEK-ből mart lemez, még a nyerstömbben. Az állcsontot direkt szájszkennerrel olvasták be.

rák) ragasztott híddal pótoltuk. A nagy vertikális távolság miatt itt is alkalmaztunk PEEK-et (23–25. ábrák). Mindkét híd mai napig kifogástalanul funkcionál (26–27. ábrák). A hölgy elégedett a 100%-ban fémmentes megoldással.
A részleges lemezes kivehető fogpótlások vázának elkészítése CAD/CAM technológiával PEEK-ből meglehetősen költséges. Nagyon sok anyagot igényel, így drága (28–29. ábrák). A kapcsok készítése eltér tervezés szempontjából a hagyományos fémlemeznél megszokottól (30–31. ábrák). Ha azonban a páciens fémmentes megoldást keres, ezt kell választanunk.
Fogsorerősítés (100%-ban fémmentes)
A PEEK kiválóan megfelel fogsorok fémmentes megerősítésére (28–29. ábrák). A PEEK felszíne tartósan jól köt az akrillal. Évek során sem válik szét. A két anyag rugalmassági együtthatója optimálisan egészíti ki egymást. Az utólagos megmunkálás is könnyű, laborban és rendelőben egyaránt.
Összefoglalás
Klinikai tapasztalataink fogpótlásokkal tíz év munkáin és utógondozásán alapulnak. Az egyedi darabok

29. ábra: Jó illeszkedés az STL adatokból nyomtatott mintán. 30. ábra: A kapocselhorgonyzású részleges lemezes kivehető pótlás bazális nézete.


31. ábra: A 30. kép fogsora in situ.

32. ábra: Alsó teljes lemezes fogsor két Locator-ral és PEEK erősítéssel. 33. ábra: Alsó teljes lemezes fogsor 4 O-gyűrűvel és frézelt PEEK erősítéssel.

– mint a fogpótlások – készítése során a szubsztraktív CAD/CAM eljárás, (amikor pl. exocad vagy 3Shape szoftverek segítségével öttengelyes marógépekkel frézelünk ki nyerstömbökből vázakat a virtuális tervnek megfelelően) mintegy arany-standard vált be 2012 után. Bebizonyult, hogy a kiemelkedő anyagtulajdonságok megmaradnak, és nagyon precíz illeszkedés is elérhető.








